Psoriasis: What Is New in Markers of Disease Severity?
Abstract
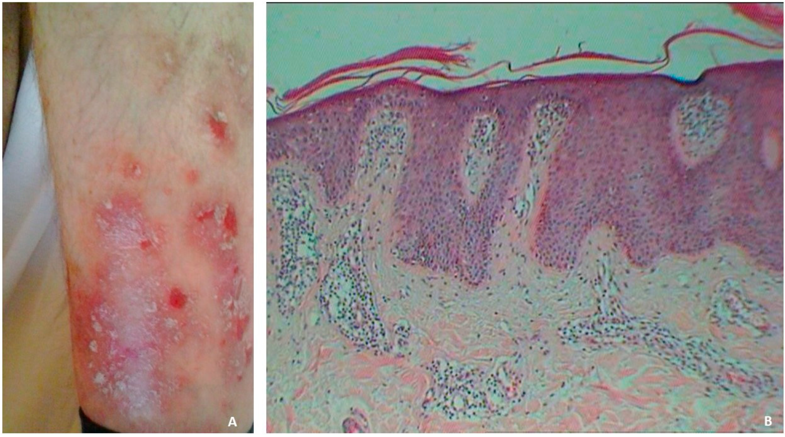
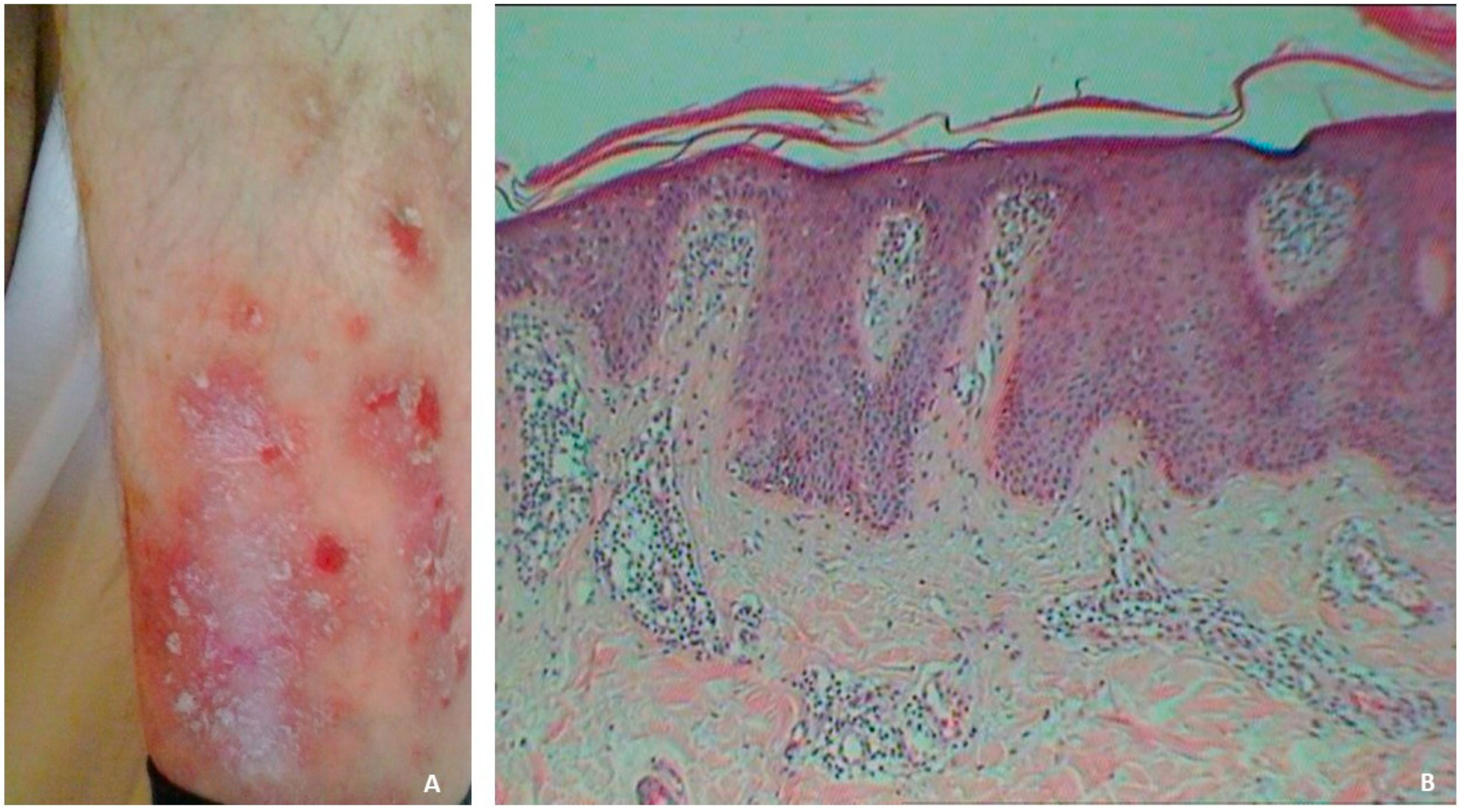
1. Introduction
2. Materials and Methods
3. Results
3.1. Inflammation-Related Markers
3.1.1. Immunomodulatory Molecules
3.1.2. Hematologic Parameters
3.1.3. Inflammatory Cells and Costimulatory Molecules
| Marker | Correlation with Disease Severity | Reference |
|---|---|---|
| TrxR | negative | Kiafar et al. [52] |
| IMA | positive | Tampa et al. [53] |
| MHR | positive | Sirin et al. [54] |
3.2. Oxidative Stress-Related Markers
3.3. Hormone-Related Markers
3.4. Cancer-Related Markers
4. Discussion
5. Conclusions
Funding
Conflicts of Interest
References
- Raharja, A.; Mahil, S.K.; Barker, J.N. Psoriasis: A Brief Overview. Clin. Med. 2021, 21, 170–173. [Google Scholar] [CrossRef]
- Dan, D.; Srivastava, N. Psoriasis: Striving for Potential Biomarkers. ASSAY Drug Dev. Technol. 2023, 21, 235–257. [Google Scholar] [CrossRef]
- Kamiya, K.; Kishimoto, M.; Sugai, J.; Komine, M.; Ohtsuki, M. Risk Factors for the Development of Psoriasis. Int. J. Mol. Sci. 2019, 20, 4347. [Google Scholar] [CrossRef]
- Roszkiewicz, M.; Dopytalska, K.; Szymańska, E.; Jakimiuk, A.; Walecka, I. Environmental Risk Factors and Epigenetic Alternations in Psoriasis. Ann. Agric. Environ. Med. 2020, 27, 335–342. [Google Scholar] [CrossRef]
- Rendon, A.; Schäkel, K. Psoriasis Pathogenesis and Treatment. Int. J. Mol. Sci. 2019, 20, 1475. [Google Scholar] [CrossRef]
- Wu, S.; Cho, E.; Li, W.; Grodstein, F.; Qureshi, A. Hormonal Factors and Risk of Psoriasis in Women: A Cohort Study. Acta Derm. Venereol. 2016, 96, 927–931. [Google Scholar] [CrossRef] [PubMed]
- Medovic, M.V.; Jakovljevic, V.L.; Zivkovic, V.I.; Jeremic, N.S.; Jeremic, J.N.; Bolevich, S.B.; Ravic Nikolic, A.B.; Milicic, V.M.; Srejovic, I.M. Psoriasis between Autoimmunity and Oxidative Stress: Changes Induced by Different Therapeutic Approaches. Oxidative Med. Cell. Longev. 2022, 2022, 2249834. [Google Scholar] [CrossRef] [PubMed]
- Weigle, N.; McBane, S. Psoriasis. Am. Fam. Physician 2013, 87, 626–633. Available online: https://www.scirp.org/reference/referencespapers?referenceid=1752924 (accessed on 18 January 2024). [PubMed]
- Griffiths, C.E.M.; Armstrong, A.W.; Gudjonsson, J.E.; Barker, J.N.W.N. Psoriasis. Lancet 2021, 397, 1301–1315. [Google Scholar] [CrossRef]
- Mihu, C.; Neag, M.A.; Bocşan, I.C.; Melincovici, C.S.; Vesa, Ş.C.; Ionescu, C.; Baican, A.L.; Lisencu, L.A.; Buzoianu, A.D. Novel Concepts in Psoriasis: Histopathology and Markers Related to Modern Treatment Approaches. Rom. J. Morphol. Embryol. Rev. Roum. Morphol. Embryol. 2021, 62, 897–906. [Google Scholar] [CrossRef] [PubMed]
- Reid, C.; Griffiths, C. Psoriasis and Treatment: Past, Present and Future Aspects. Acta Derm. Venereol. 2020, 100, 70–80. [Google Scholar] [CrossRef] [PubMed]
- Armstrong, A.W.; Read, C. Pathophysiology, Clinical Presentation, and Treatment of Psoriasis: A Review. JAMA 2020, 323, 1945–1960. [Google Scholar] [CrossRef] [PubMed]
- Hägg, D.; Sundström, A.; Eriksson, M.; Schmitt-Egenolf, M. Severity of Psoriasis Differs Between Men and Women: A Study of the Clinical Outcome Measure Psoriasis Area and Severity Index (PASI) in 5438 Swedish Register Patients. Am. J. Clin. Dermatol. 2017, 18, 583–590. [Google Scholar] [CrossRef]
- Kemeriz, F.; Gönül, M.; Cengiz, F.P.; Emiroğlu, N.; Cemil, B.Ç. Evaluation of Neopterin Level and Disease Severity in Patients with Psoriasis Vulgaris Treated with Narrowband UVB. Indian J. Dermatol. 2019, 64, 447–450. [Google Scholar] [CrossRef]
- Elgharib, I.; Khashaba, S.A.; Elsaid, H.H.; Sharaf, M.M. Serum Elafin as a Potential Inflammatory Marker in Psoriasis. Int. J. Dermatol. 2019, 58, 205–209. [Google Scholar] [CrossRef]
- Sun, X.; Liu, L.; Chen, S.; Wang, J.; Cai, X.; Song, J.; Zhou, M.; Guo, D.; Kuai, L.; Ding, X.; et al. Fibrinogen-like Protein 1 as a Novel Biomarker of Psoriasis Severity. J. Inflamm. Res. 2022, 15, 4637–4647. [Google Scholar] [CrossRef]
- Khashaba, S.A.; Attwa, E.; Said, N.; Ahmed, S.; Khattab, F. Serum YKL-40 and IL 17 in Psoriasis: Reliability as Prognostic Markers for Disease Severity and Responsiveness to Treatment. Dermatol. Ther. 2021, 34, e14606. [Google Scholar] [CrossRef]
- Akbari, H.; Talaee, R.; Zaker, S.F.; Nikoueinejad, H. Investigating the Correlation between Growth Differentiation Factor 15 Serum Level and Its Gene Expression with Psoriasis and Its Severity. Iran. J. Allergy Asthma Immunol. 2021, 20, 593–599. [Google Scholar] [CrossRef] [PubMed]
- Nguyen, C.T.H.; Nguyen, O.P.T. Increased Plasma Lipocalin-2 Levels Correlate with Disease Severity and May Be a Marker of Acute Inflammatory Response in Patients with Psoriasis. Dermatol. Rep. 2022, 14, 9469. [Google Scholar] [CrossRef] [PubMed]
- Assaf, M.; Salah, E. Lesional Upregulation of SLURP1 Immunostaining Parallels Disease Severity in Psoriasis Vulgaris Patients. JDDG J. Dtsch. Dermatol. Ges. 2018, 16, 1329–1337. [Google Scholar] [CrossRef] [PubMed]
- Nageen, S.; Shah, R.; Sharif, S.; Jamgochian, M.; Waqas, N.; Rao, B. Platelet Count, Mean Platelet Volume, and Red Cell Distribution Width as Markers for Psoriasis Severity. J. Drugs Dermatol. 2022, 21, 156–161. [Google Scholar] [CrossRef]
- Liu, W.; Zhou, X.; Wang, A.; Ma, J.; Bai, Y. Increased Peripheral Helper T Cells Type 17 Subset Correlates with the Severity of Psoriasis Vulgaris. Immunol. Lett. 2021, 229, 48–54. [Google Scholar] [CrossRef]
- Nguyen, C.T.H.; Kambe, N.; Yamazaki, F.; Ueda-Hayakawa, I.; Kishimoto, I.; Okamoto, H. Up-Regulated Expression of CD86 on Circulating Intermediate Monocytes Correlated with Disease Severity in Psoriasis. J. Dermatol. Sci. 2018, 90, 135–143. [Google Scholar] [CrossRef]
- Liu, P.; He, Y.; Wang, H.; Kuang, Y.; Chen, W.; Li, J.; Chen, M.; Zhang, J.; Su, J.; Zhao, S.; et al. The Expression of mCTLA-4 in Skin Lesion Inversely Correlates with the Severity of Psoriasis. J. Dermatol. Sci. 2018, 89, 233–240. [Google Scholar] [CrossRef] [PubMed]
- Gupta, M.; Weinberg, J.M.; Yamauchi, P.S.; Patil, A.; Grabbe, S.; Goldust, M. Psoriasis: Embarking a Dynamic Shift in the Skin Microbiota. J. Cosmet. Dermatol. 2022, 21, 1402–1406. [Google Scholar] [CrossRef]
- Olejniczak-Staruch, I.; Ciążyńska, M.; Sobolewska-Sztychny, D.; Narbutt, J.; Skibińska, M.; Lesiak, A. Alterations of the Skin and Gut Microbiome in Psoriasis and Psoriatic Arthritis. Int. J. Mol. Sci. 2021, 22, 3998. [Google Scholar] [CrossRef]
- Tashiro, T.; Sawada, Y. Psoriasis and Systemic Inflammatory Disorders. Int. J. Mol. Sci. 2022, 23, 4457. [Google Scholar] [CrossRef]
- Saalbach, A.; Kunz, M. Impact of Chronic Inflammation in Psoriasis on Bone Metabolism. Front. Immunol. 2022, 13, 925503. [Google Scholar] [CrossRef] [PubMed]
- Tuncer, S.K.; Kaldirim, Ü.; Eyi, Y.E.; Yildirim, A.O.; EkiNci, Ş.; Kara, K.; Eroğlu, M.; Öztosun, M.; Özyürek, S.; Durusu, M.; et al. Neopterin, Homocysteine, and ADMA Levels during and after Urticaria Attack. Turk. J. Med. Sci. 2015, 45, 1251–1255. [Google Scholar] [CrossRef] [PubMed]
- Hailemichael, W.; Kiros, M.; Akelew, Y.; Getu, S.; Andualem, H. Neopterin: A Promising Candidate Biomarker for Severe COVID-19. J. Inflamm. Res. 2021, 14, 245–251. [Google Scholar] [CrossRef]
- Hegazy, E.M.; Ibrahim, H.M.; Abd Elfatah, F.E.; Younis, A.M. Evaluation of Neopterin Level and Disease Severity in Patients with Psoriasis Vulgaris Treated with Narrowband UVB. SVU-Int. J. Med. Sci. 2023, 6, 81–87. [Google Scholar] [CrossRef]
- Koc, E.; Tunca, M.; Akgul, E.O.; Akar, A.; Kurt, Y.; Kurumlu, Z.; Erbil, K.; Kilic, S. Effects of Etanercept on Urine Neopterin Levels in Patients with Psoriasis in a Controlled, Open-label Study. J. Dermatol. 2009, 36, 191–196. [Google Scholar] [CrossRef]
- Solán, L.; Carbonell, D.; Muñiz, P.; Dorado, N.; Landete, E.; Chicano-Lavilla, M.; Anguita, J.; Gayoso, J.; Kwon, M.; Díez-Martín, J.L.; et al. Elafin as a Predictive Biomarker of Acute Skin Graft-Versus-Host Disease after Haploidentical Stem Cell Transplantation Using Post-Transplant High-Dose Cyclophosphamide. Front. Immunol. 2021, 12, 516078. [Google Scholar] [CrossRef] [PubMed]
- Holmannova, D.; Borsky, P.; Borska, L.; Andrys, C.; Hamakova, K.; Rehacek, V.; Svadlakova, T.; Malkova, A.; Beranek, M.; Palicka, V.; et al. Metabolic Syndrome, Clusterin and Elafin in Patients with Psoriasis Vulgaris. Int. J. Mol. Sci. 2020, 21, 5617. [Google Scholar] [CrossRef] [PubMed]
- Oestreicher, J.L.; Walters, I.B.; Kikuchi, T.; Gilleaudeau, P.; Surette, J.; Schwertschlag, U.; Dorner, A.J.; Krueger, J.G.; Trepicchio, W.L. Molecular Classification of Psoriasis Disease-Associated Genes through Pharmacogenomic Expression Profiling. Pharmacogenom. J. 2001, 1, 272–287. [Google Scholar] [CrossRef] [PubMed]
- Alkemade, H.A.C.; De Jongh, G.J.; Arnold, W.P.; Van De Kerkhof, P.C.M.; Schalkwijk, J. Levels of Skin-Derived Antileukoproteinase (SKALP)/Elafin in Serum Correlate with Disease Activity During Treatment of Severe Psoriasis with Cyclosporin A. J. Investig. Dermatol. 1995, 104, 189–193. [Google Scholar] [CrossRef]
- Lin, W.-W.; Ho, K.-W.; Su, H.-H.; Fang, T.-F.; Tzou, S.-C.; Chen, I.-J.; Lu, Y.-C.; Chang, M.-S.; Tsai, Y.-C.; Liu, E.-S.; et al. Fibrinogen-like Protein 1 Serves as an Anti-Inflammatory Agent for Collagen-Induced Arthritis Therapy in Mice. Front. Immunol. 2021, 12, 767868. [Google Scholar] [CrossRef] [PubMed]
- Tizaoui, K.; Yang, J.W.; Lee, K.H.; Kim, J.H.; Kim, M.; Yoon, S.; Jung, Y.; Park, J.B.; An, K.; Choi, H.; et al. The Role of YKL-40 in the Pathogenesis of Autoimmune Diseases: A Comprehensive Review. Int. J. Biol. Sci. 2022, 18, 3731–3746. [Google Scholar] [CrossRef] [PubMed]
- Baran, A.; Myśliwiec, H.; Szterling-Jaworowska, M.; Kiluk, P.; Świderska, M.; Flisiak, I. Serum YKL-40 as a Potential Biomarker of Inflammation in Psoriasis. J. Dermatol. Treat. 2018, 29, 19–23. [Google Scholar] [CrossRef]
- Wischhusen, J.; Melero, I.; Fridman, W.H. Growth/Differentiation Factor-15 (GDF-15): From Biomarker to Novel Targetable Immune Checkpoint. Front. Immunol. 2020, 11, 951. [Google Scholar] [CrossRef]
- Kaiser, H.; Wang, X.; Kvist-Hansen, A.; Krakauer, M.; Gørtz, P.M.; McCauley, B.D.; Skov, L.; Becker, C.; Hansen, P.R. Biomarkers of Subclinical Atherosclerosis in Patients with Psoriasis. Sci. Rep. 2021, 11, 21438. [Google Scholar] [CrossRef]
- Jaberi, S.A.; Cohen, A.; D’Souza, C.; Abdulrazzaq, Y.M.; Ojha, S.; Bastaki, S.; Adeghate, E.A. Lipocalin-2: Structure, Function, Distribution and Role in Metabolic Disorders. Biomed. Pharmacother. 2021, 142, 112002. [Google Scholar] [CrossRef]
- Romaní, J.; Caixàs, A.; Ceperuelo-Mallafré, V.; Carrascosa, J.M.; Ribera, M.; Rigla, M.; Vendrell, J.; Luelmo, J. Circulating Levels of Lipocalin-2 and Retinol-Binding Protein-4 Are Increased in Psoriatic Patients and Correlated with Baseline PASI. Arch. Dermatol. Res. 2013, 305, 105–112. [Google Scholar] [CrossRef]
- Baran, A.; Świderska, M.; Myśliwiec, H.; Flisiak, I. Effect of Psoriasis Activity and Topical Treatment on Serum Lipocalin-2 Levels. J. Dermatol. Treat. 2017, 28, 136–140. [Google Scholar] [CrossRef]
- Campbell, G.; Swamynathan, S.; Tiwari, A.; Swamynathan, S.K. The Secreted Ly-6/uPAR Related Protein-1 (SLURP1) Stabilizes Epithelial Cell Junctions and Suppresses TNF-α-Induced Cytokine Production. Biochem. Biophys. Res. Commun. 2019, 517, 729–734. [Google Scholar] [CrossRef]
- Swamynathan, S.; Campbell, G.; Tiwari, A.; Swamynathan, S.K. Secreted Ly-6/uPAR-Related Protein-1 (SLURP1) Is a pro-Differentiation Factor That Stalls G1-S Transition during Corneal Epithelial Cell Cycle Progression. Ocul. Surf. 2022, 24, 1–11. [Google Scholar] [CrossRef]
- Moriwaki, Y.; Takada, K.; Tsuji, S.; Kawashima, K.; Misawa, H. Transcriptional Regulation of SLURP2, a Psoriasis-Associated Gene, Is under Control of IL-22 in the Skin: A Special Reference to the Nested Gene LYNX1. Int. Immunopharmacol. 2015, 29, 71–75. [Google Scholar] [CrossRef]
- Balevi, A.; Olmuşçelik, O.; Ustuner, P.; Özdemir, M. Is There Any Correlation between Red Cell Distribution Width, Mean Platelet Volume Neutrophil Count, Lymphocyte Count, and Psoriasis Area Severity Index in Patients under Treatment for Psoriasis? ACTA Dermatovenerol. Croat. 2018, 26, 199. [Google Scholar] [PubMed]
- Canpolat, F.; Akpinar, H.; Eskioğlu, F. Mean Platelet Volume in Psoriasis and Psoriatic Arthritis. Clin. Rheumatol. 2010, 29, 325–328. [Google Scholar] [CrossRef] [PubMed]
- Costa, M.C.; Rocha, B.D.O.; Paixão, C.S.; Oliveira, M.D.F.S.P.D.; Mota, L.M.H.D.; Carvalho, L.P.D. Monocyte Subpopulations Study in Patients with Plaque Psoriasis. Med. Hypotheses 2017, 104, 101–103. [Google Scholar] [CrossRef] [PubMed]
- Wong, C.K.; Lit, L.C.W.; Tam, L.S.; Li, E.K.; Lam, C.W.K. Aberrant Production of Soluble Costimulatory Molecules CTLA-4, CD28, CD80 and CD86 in Patients with Systemic Lupus Erythematosus. Rheumatology 2005, 44, 989–994. [Google Scholar] [CrossRef] [PubMed]
- Kiafar, B.; Binabaj, M.M.; Jafarian, A.H.; Khazan, Z.; Hashemy, S.I. The Relationship between Tissue Thioredoxin Reductase Activity and the Psoriasis Area and Severity Index. Indian J. Dermatol. 2020, 65, 29–32. [Google Scholar] [CrossRef] [PubMed]
- Tampa, M.; Mitran, C.I.; Mitran, M.I.; Amuzescu, A.; Matei, C.; Georgescu, S.R. Ischemia-Modified Albumin—A Potential New Marker of Oxidative Stress in Dermatological Diseases. Medicina 2022, 58, 669. [Google Scholar] [CrossRef] [PubMed]
- Sirin, M.C.; Korkmaz, S.; Erturan, I.; Filiz, B.; Aridogan, B.C.; Cetin, E.S.; Yildirim, M. Evaluation of Monocyte to HDL Cholesterol Ratio and Other Inflammatory Markers in Patients with Psoriasis. An. Bras. Dermatol. 2020, 95, 575–582. [Google Scholar] [CrossRef] [PubMed]
- Shakoei, S.; Nakhjavani, M.; Mirmiranpoor, H.; Motlagh, M.A.; Azizpour, A.; Abedini, R. The serum level of oxidative stress and antioxidant markers in patients with psoriasis: A cross-sectional study. J. Clin. Aesthetic Dermatol. 2021, 14, 38. [Google Scholar]
- Kilic, A.; Yorulmaz, A.; Erdogan, S.; Cakmak, S.K.; Guney, E.; Sen, O.; Erel, O. An evaluation of thiol/disulphide homeostasis in patients with psoriasis. Adv. Dermatol. Allergol./Postępy Dermatol. Alergol. 2017, 34, 464–467. [Google Scholar] [CrossRef]
- Skutnik-Radziszewska, A.; Maciejczyk, M.; Fejfer, K.; Krahel, J.; Flisiak, I.; Kołodziej, U.; Zalewska, A. Salivary Antioxidants and Oxidative Stress in Psoriatic Patients: Can Salivary Total Oxidant Status and Oxidative Status Index Be a Plaque Psoriasis Biomarker? Oxidative Med. Cell. Longev. 2020, 2020, 9086024. [Google Scholar] [CrossRef]
- Guarneri, F.; Custurone, P.; Papaianni, V.; Gangemi, S. Involvement of RAGE and Oxidative Stress in Inflammatory and Infectious Skin Diseases. Antioxidants 2021, 10, 82. [Google Scholar] [CrossRef]
- Tampa, M.; Nicolae, I.; Ene, C.D.; Sarbu, I.; Matei, C.; Georgescu, S.R. Vitamin C and Thiobarbituric Acid Reactive Substances (TBARS) in Psoriasis Vulgaris Related to Psoriasis Area Severity Index (PASI). Rev. Chim. 2017, 68, 43–47. [Google Scholar] [CrossRef]
- Chatterjee, S. Oxidative Stress, Inflammation, and Disease. In Oxidative Stress and Biomaterials; Elsevier: Amsterdam, The Netherlands, 2016; pp. 35–58. [Google Scholar]
- Georgescu, S.R.; Ene, C.D.; Tampa, M.; Matei, C.; Benea, V.; Nicolae, I. Oxidative Stress-Related Markers and Alopecia Areata through Latex Turbidimetric Immunoassay Method. Mater. Plast 2016, 53, 522–526. [Google Scholar]
- Pleńkowska, J.; Gabig-Cimińska, M.; Mozolewski, P. Oxidative Stress as an Important Contributor to the Pathogenesis of Psoriasis. Int. J. Mol. Sci. 2020, 21, 6206. [Google Scholar] [CrossRef]
- Blagov, A.; Sukhorukov, V.; Guo, S.; Zhang, D.; Eremin, I.; Orekhov, A. The Role of Oxidative Stress in the Induction and Development of Psoriasis. Front. Biosci.-Landmark 2023, 28, 118. [Google Scholar] [CrossRef]
- Cannavò, S.P.; Riso, G.; Di Salvo, E.; Casciaro, M.; Giuffrida, R.; Minciullo, P.L.; Guarneri, F.; Nettis, E.; Gangemi, S. Oxidative Stress Involvement in Urticaria. J. Biol. Regul. Homeost. Agents 2020, 34, 675–678. [Google Scholar] [CrossRef] [PubMed]
- Hsiao, P.-F.; Huang, Y.-T.; Lu, P.-H.; Chiu, L.-Y.; Weng, T.-H.; Hung, C.-F.; Wu, N.-L. Thioredoxin-Interacting Protein Regulates Keratinocyte Differentiation: Implication of Its Role in Psoriasis. FASEB J. 2022, 36, e22313. [Google Scholar] [CrossRef]
- Lu, J.; Holmgren, A. The Thioredoxin Antioxidant System. Free Radic. Biol. Med. 2014, 66, 75–87. [Google Scholar] [CrossRef] [PubMed]
- Işık, S.; Kılıç, S.; Öğretmen, Z.; Çakır, D.Ü.; Türkön, H.; Cevizci, S.; Hiz, M.M. The Correlation between the Psoriasis Area Severity Index and Ischemia-Modified Albumin, Mean Platelet Volume Levels in Patients with Psoriasis. Adv. Dermatol. Allergol. 2016, 4, 290–293. [Google Scholar] [CrossRef] [PubMed]
- Onalan, E. The Relationship between Monocyte to High-Density Lipoprotein Cholesterol Ratio and Diabetic Nephropathy: Diabetic Nephropathy. Pak. J. Med. Sci. 2019, 35, 1081. [Google Scholar] [CrossRef]
- Al-Shamma, G.A.; Ahmed, Y.N.; Hassen, A.S. Comparison between the Claudin-3 and the Ratio of Monocyte to High-Density Lipoprotein Cholesterol as Markers for Psoriasis in a Sample of Iraqi Patients. Pak. J. Med. Health Sci. 2022, 16, 940–942. [Google Scholar] [CrossRef]
- Dogan, S.İ.; Atakan, N. Is Serum Amyloid A Protein a Better Indicator of Inflammation in Severe Psoriasis? Br. J. Dermatol. 2010, 163, 895–896. [Google Scholar] [CrossRef]
- Allam, J.-P.; Bunzek, C.; Schnell, L.; Heltzel, M.; Weckbecker, L.; Wilsmann-Theis, D.; Brendes, K.; Haidl, G.; Novak, N. Low Serum Testosterone Levels in Male Psoriasis Patients Correlate with Disease Severity. Eur. J. Dermatol. 2019, 29, 375–382. [Google Scholar] [CrossRef]
- Pietrzak, R.; Rykowski, P.; Pasierb, A.; Bartoszewicz, Z.; Stakun, M.; Rykowska, M.; Karoń, K.; Rudnicka, L.; Czuwara, J. Adrenocorticotropin/Cortisol Ratio—A Marker of Psoriasis Severity. Adv. Dermatol. Allergol. 2020, 37, 746–750. [Google Scholar] [CrossRef]
- Lee, Y.H.; Song, G.G. Association between Circulating Prolactin Levels and Psoriasis and Its Correlation with Disease Severity: A Meta-Analysis. Clin. Exp. Dermatol. 2018, 43, 27–35. [Google Scholar] [CrossRef]
- Jabbar, A.; Pingitore, A.; Pearce, S.H.; Zaman, A.; Iervasi, G.; Razvi, S. Thyroid Hormones and Cardiovascular Disease. Nat. Rev. Cardiol. 2017, 14, 39–55. [Google Scholar] [CrossRef]
- Caruntu, C.; Mirica, A.; Roşca, A.; Mirica, R.; Caruntu, A.; Tampa, M.; Matei, C.; Constantin, C.; Neagu, M.; Badarau, A. The Role of Estrogens and Estrogen Receptors in Melanoma Development and Progression. Acta Endocrinol. Buchar. 2016, 12, 234. [Google Scholar] [CrossRef]
- Robinson, D.P.; Klein, S.L. Pregnancy and Pregnancy-Associated Hormones Alter Immune Responses and Disease Pathogenesis. Horm. Behav. 2012, 62, 263–271. [Google Scholar] [CrossRef]
- Roman, I.I.; Constantin, A.-M.; Marina, M.E.; Orasan, R.I. The Role of Hormones in the Pathogenesis of Psoriasis Vulgaris. Clujul Med. 2016, 89, 11. [Google Scholar] [CrossRef]
- Slominski, A. Neuroendocrine System of the Skin. Dermatology 2005, 211, 199–208. [Google Scholar] [CrossRef]
- Datta, D.; Madke, B.; Das, A. Skin as an Endocrine Organ: A Narrative Review. Indian J. Dermatol. Venereol. Leprol. 2022, 88, 590–597. [Google Scholar] [CrossRef]
- Schwinge, D.; Carambia, A.; Quaas, A.; Krech, T.; Wegscheid, C.; Tiegs, G.; Prinz, I.; Lohse, A.W.; Herkel, J.; Schramm, C. Testosterone Suppresses Hepatic Inflammation by the Downregulation of IL-17, CXCL-9, and CXCL-10 in a Mouse Model of Experimental Acute Cholangitis. J. Immunol. 2015, 194, 2522–2530. [Google Scholar] [CrossRef]
- Rajasekharan, A.; Munisamy, M.; Menon, V.; Mohan Raj, P.S.; Priyadarshini, G.; Rajappa, M. Stress and Psoriasis: Exploring the Link through the Prism of Hypothalamo-Pituitary-Adrenal Axis and Inflammation. J. Psychosom. Res. 2023, 170, 111350. [Google Scholar] [CrossRef]
- Repousi, N.; Fotiadou, S.; Chaireti, E.; Makris, G.; Chouliaras, G.; Mantzou, A.; Vavouli, C.; Chrousos, G.P.; Stratigos, A.; Pervanidou, P. Circadian Cortisol Profiles and Hair Cortisol Concentration in Patients with Psoriasis: Associations with Anxiety, Depressive Symptomatology and Disease Severity. Eur. J. Dermatol. EJD 2022, 32, 357–367. [Google Scholar] [CrossRef] [PubMed]
- Morar, I.-I.; Tabăran, F.-A.; Mocan, T.; Jianu, E.-M.; Orăsan, M.-S.; Pop, A.-D.; Orăsan, R.-I. Immunohistochemical Study of Psoriatic Plaques and Perilesional Skin in Psoriasis Vulgaris Patients: A Pilot Study. Exp. Ther. Med. 2019, 18, 888–894. [Google Scholar] [CrossRef] [PubMed]
- Keen, M.A.; Hassan, I. Serum Prolactin Levels in Psoriasis and Its Association with Disease Activity: A Case-Control Study. Indian J. Dermatol. 2014, 59, 562–566. [Google Scholar] [CrossRef] [PubMed]
- Zhu, H. Squamous Cell Carcinoma Antigen: Clinical Application and Research Status. Diagnostics 2022, 12, 1065. [Google Scholar] [CrossRef] [PubMed]
- Tampa, M.; Sarbu, M.-I.; Mitran, M.-I.; Mitran, C.-I.; Matei, C.; Georgescu, S.-R. The Pathophysiological Mechanisms and the Quest for Biomarkers in Psoriasis, a Stress-Related Skin Disease. Dis. Markers 2018, 2018, 5823684. [Google Scholar] [CrossRef] [PubMed]
- Sun, Z.; Shi, X.; Wang, Y.; Zhao, Y. Serum Squamous Cell Carcinoma Antigen in Psoriasis: A Potential Quantitative Biomarker for Disease Severity. Dermatology 2018, 234, 120–126. [Google Scholar] [CrossRef] [PubMed]
- Ghonemy, S.; Mohamed, B.; Elkashishy, K.; Ibrahim, A.-S.M. Squamous Cell Carcinoma Antigen in Psoriasis: An Immunohistochemical Study. J. Clin. Aesthetic Dermatol. 2021, 14, 50–53. [Google Scholar]
- de Alcantara, C.C.; Reiche, E.M.; Simão, A.N. Cytokines in psoriasis. Adv. Clin. Chem. 2021, 100, 171–204. [Google Scholar]
- Georgescu, S.-R.; Tampa, M.; Caruntu, C.; Sarbu, M.-I.; Mitran, C.-I.; Mitran, M.-I.; Matei, C.; Constantin, C.; Neagu, M. Advances in Understanding the Immunological Pathways in Psoriasis. Int. J. Mol. Sci. 2019, 20, 739. [Google Scholar] [CrossRef]
- Winiarska-Mieczan, A.; Mieczan, T.; Wójcik, G. Importance of Redox Equilibrium in the Pathogenesis of Psoriasis—Impact of Antioxidant-Rich Diet. Nutrients 2020, 12, 1841. [Google Scholar] [CrossRef]
- Marek-Jozefowicz, L.; Czajkowski, R.; Borkowska, A.; Nedoszytko, B.; Żmijewski, M.A.; Cubała, W.J.; Slominski, A.T. The Brain–Skin Axis in Psoriasis—Psychological, Psychiatric, Hormonal, and Dermatological Aspects. Int. J. Mol. Sci. 2022, 23, 669. [Google Scholar] [CrossRef] [PubMed]
- Camela, E.; Potestio, L.; Fabbrocini, G.; Pallotta, S.; Megna, M. The Holistic Approach to Psoriasis Patients with Comorbidities: The Role of Investigational Drugs. Expert Opin. Investig. Drugs 2023, 23, 537–552. [Google Scholar] [CrossRef] [PubMed]


| Marker | Correlation with Disease Severity | Reference |
|---|---|---|
| Immunomodulatory molecules | ||
| Neopterin | positive | Kemeriz et al. [14] |
| Elafin | positive | Elgharib et al. [15] |
| FGL1 | negative | Sun et al. [16] |
| YKL-40 | positive | Khashaba et al. [17] |
| GDF-15 | positive | Akbari et al. [18] |
| Lipocalin-2 | positive | Nguyen et al. [19] |
| SLURP1 | positive | Assaf et al. [20] |
| Hematological markers | ||
| Platelet count | negative | Nageen et al. [21] |
| MPW | no correlation | Nageen et al. [21] |
| RDW | no correlation | Nageen et al. [21] |
| Inflammatory cells and costimulatory molecules | ||
| Tph cells | positive | Liu et al. [22] |
| CD86+ monocytes | positive | Nguyen et al. [23] |
| Membrane CTLA4 Soluble CTLA4 | positive no correlation | Liu et al. [24] |
Disclaimer/Publisher’s Note: The statements, opinions and data contained in all publications are solely those of the individual author(s) and contributor(s) and not of MDPI and/or the editor(s). MDPI and/or the editor(s) disclaim responsibility for any injury to people or property resulting from any ideas, methods, instructions or products referred to in the content. |
© 2024 by the authors. Licensee MDPI, Basel, Switzerland. This article is an open access article distributed under the terms and conditions of the Creative Commons Attribution (CC BY) license (https://creativecommons.org/licenses/by/4.0/).
Share and Cite
Tampa, M.; Mitran, M.I.; Mitran, C.I.; Matei, C.; Georgescu, S.R. Psoriasis: What Is New in Markers of Disease Severity? Medicina 2024, 60, 337. https://doi.org/10.3390/medicina60020337
Tampa M, Mitran MI, Mitran CI, Matei C, Georgescu SR. Psoriasis: What Is New in Markers of Disease Severity? Medicina. 2024; 60(2):337. https://doi.org/10.3390/medicina60020337
Chicago/Turabian StyleTampa, Mircea, Madalina Irina Mitran, Cristina Iulia Mitran, Clara Matei, and Simona Roxana Georgescu. 2024. "Psoriasis: What Is New in Markers of Disease Severity?" Medicina 60, no. 2: 337. https://doi.org/10.3390/medicina60020337
APA StyleTampa, M., Mitran, M. I., Mitran, C. I., Matei, C., & Georgescu, S. R. (2024). Psoriasis: What Is New in Markers of Disease Severity? Medicina, 60(2), 337. https://doi.org/10.3390/medicina60020337

