Use of Optical Coherence Tomography and Optical Coherence Tomography Angiography in the Diagnosis and Follow-Up of Endogenous Candida Endophthalmitis: A Case Report
Abstract
1. Introduction
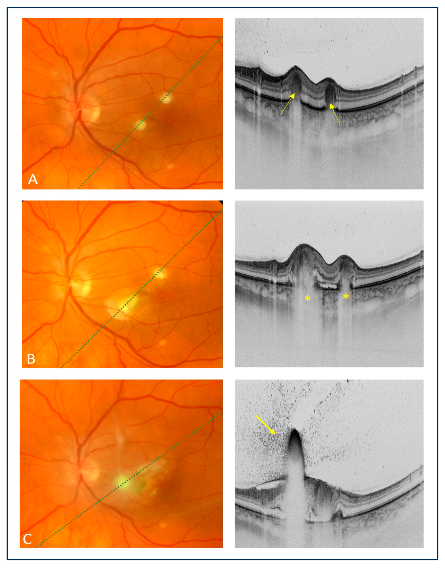
2. Case Description
3. Discussion
4. Conclusions
Author Contributions
Funding
Institutional Review Board Statement
Informed Consent Statement
Data Availability Statement
Conflicts of Interest
References
- Schwartz, S.G.; Flynn, H.W., Jr.; Das, T.; Mieler, W.F. Ocular infection: Endophthalmitis. Dev. Ophthalmol. 2016, 55, 176–188. [Google Scholar] [CrossRef] [PubMed]
- Sadiq, M.A.; Hassan, M.; Agarwal, A.; Sarwar, S.; Toufeeq, S.; Soliman, M.K.; Hanout, M.; Sepah, Y.J.; Do, D.V.; Nguyen, Q.D. Endogenous endophthalmitis: Diagnosis, management, and prognosis. J. Ophthalmic Inflamm. Infect. 2015, 5, 32. [Google Scholar] [CrossRef] [PubMed]
- da Costa Pertuiset, A.P.A.; Batlle Logroño, J.F. Endophthalmitis following Cataract Surgery: Successful Treatment Intravitreal and Systemic Voriconazole. Case Rep. Ophthalmol. Med. 2016, 2016, 4593042. [Google Scholar] [CrossRef]
- Abdin, A.D.; Suffo, S.; Alnaggar, D.; Daas, L.; Seitz, B. Recurrent fungal endophthalmitis after intravi treal injections of bevacizumab. Am. J. Ophthalmol. Case Rep. 2020, 17, 100591. [Google Scholar] [CrossRef] [PubMed]
- Small, K.W.; Tran, E.M.; Garabetian, C.A.; Avetisjan, J.; Walsh, T.J.; Shaya, F.S. Fungal En dophthalmitis after Intravitreal Injections of Triamcinolone Contaminated by a Compounding Pharmacy: Five-Year Follow-Up of 23 Patients. Ophthalmol. Retina 2019, 3, 133–139. [Google Scholar] [CrossRef] [PubMed]
- Chen, J.Y.; Jones, M.N.; Srinivasan, S.; Neal, T.J.; Armitage, W.J.; Kaye, S.B.; NHSBT Ocular Tissue Advisory Group and Contributing Ophthalmologists (OTAG Audit Study 18). Endophthalmitis after penetrating keratoplasty. Ophthalmology 2015, 122, 25–30. [Google Scholar] [CrossRef]
- Yang, Y.; Mei, F.; Lin, J.; Liao, J.; Wu, K.; Duan, F. Comparison of causative microorganisms of post traumatic endophthalmitis with and without retained intraocular foreign bodies. BMC Ophthalmol. 2021, 21, 381. [Google Scholar] [CrossRef]
- Henry, C.R.; Flynn, H.W.; Miller, D.; Forster, R.K.; Alfonso, E.C. Infectious keratitis progressing to endophthalmitis: A 15-year study of microbiology, associated factors, and clinical outcomes. Ophthalmology 2012, 119, 2443–2449. [Google Scholar] [CrossRef]
- Jackson, T.L.; Paraskevopoulos, T.; Georgalas, I. Systematic review of 342 cases of endogenous bacterial endophthalmitis. Surv. Ophthalmol. 2014, 59, 627–635. [Google Scholar] [CrossRef]
- Danielescu, C.; Anton, N.; Stanca, H.T.; Munteanu, M. Endogenous endophthalmitis: A review of case series published between 2011 and 2020. J. Ophthalmol. 2020, 2020, 8869590. [Google Scholar] [CrossRef]
- Bhagali, R.; Prabhudesai, N.P.; Prabhudesai, M.N. Post COVID-19 opportunistic candida retinitis: A case report. Indian J. Ophthalmol. 2021, 69, 987–989. [Google Scholar] [CrossRef]
- Menia, N.K.; Sharma, S.P.; Bansal, R. Fungal retinitis following influenza virus type A (H1N1) infection. Indian J. Ophthalmol. 2019, 67, 1483–1484. [Google Scholar] [CrossRef]
- Cho, H.; Shin, Y.U.; Siegel, N.H.; Yu, H.G.; Sobrin, L.; Patel, A.; Durand, M.L.; Miller, J.W.; Husain, D. Endogenous endophthalmitis in the American and Korean population: An 8-year retrospective study. Ocul. Immunol. Inflamm. 2018, 26, 496–503. [Google Scholar] [CrossRef] [PubMed]
- Shin, S.U.; Yu, Y.H.; Kim, S.S.; Oh, T.H.; Kim, S.E.; Kim, U.J.; Kang, S.J.; Jang, H.C.; Park, K.H.; Jung, S.I. Clinical characteristics and risk factors for complications of candidaemia in adults: Focus on endophthalmitis, endocarditis, and osteoarticular infections. Int. J. Infect. Dis. 2020, 93, 126–132. [Google Scholar] [CrossRef]
- Haseeb, A.A.; Elhusseiny, A.M.; Siddiqui, M.Z.; Ahmad, K.T.; Sallam, A.B. Fungal endophthalmitis: A comprehensive review. J. Fungi 2021, 7, 996. [Google Scholar] [CrossRef] [PubMed]
- Phongkhun, K.; Pothikamjorn, T.; Srisurapanont, K.; Manothummetha, K.; Sanguankeo, A.; Thongkam, A.; Chuleerarux, N.; Leksuwankun, S.; Meejun, T.; Thanakitcharu, J.; et al. Prevalence of ocular candidiasis and candida endophthalmitis in patients with candidemia: A systematic review and meta-analysis. Clin. Infect. Dis. 2023, 76, 1738–1749. [Google Scholar] [CrossRef]
- Reginatto, P.; Agostinetto, G.J.; Fuentefria, R.D.N.; Marinho, D.R.; Pizzol, M.D.; Fuentefria, A.M. Eye fungal infections: A mini review. Arch. Microbiol. 2023, 205, 236. [Google Scholar] [CrossRef] [PubMed]
- Lingappan, A.; Wykoff, C.C.; Albini, T.A.; Miller, D.; Pathengay, A.; Davis, J.L.; Flynn, H.W., Jr. Endogenous fungal endophthalmitis: Causative organisms, management strategies, and visual acuity outcomes. Am. J. Ophthalmol. 2012, 15, 162–166.e1. [Google Scholar] [CrossRef]
- William, A.; Spitzer, M.S.; Deuter, C.; Blumenstock, G.; Partsch, M.; Voykov, B.; Ziemssen, F.; Bartz-Schmidt, K.U.; Doycheva, D. Outcomes of primary transconjunctival 23-gauge vitrectomy in the diagnosis and treatment of presumed endogenous fungal endophthalmitis. Ocul. Immunol. Inflamm. 2017, 25, 239–245. [Google Scholar] [CrossRef] [PubMed]
- Zhang, Y.Q.; Wang, W.J. Treatment outcomes after pars plana vitrectomy for endogenous endophthalmitis. Retina 2005, 25, 746–750. [Google Scholar] [CrossRef]
- Sandhu, H.S.; Hajrasouliha, A.; Kaplan, H.J.; Wang, W. Diagnostic utility of quantitative polymerase chain reaction versus culture in endophthalmitis and uveitis. Ocul. Immunol. Inflamm. 2019, 27, 578–582. [Google Scholar] [CrossRef]
- Invernizzi, A.; Symes, R.; Miserocchi, E.; Cozzi, M.; Cereda, M.; Fogliato, G.; Staurenghi, G.; Cimino, L.; McCluskey, P. Spectral domain optical coherence tomography findings in endogenous candida endophthalmitis and their clinical relevance. Retina 2018, 38, 1011–1018. [Google Scholar] [CrossRef]
- Zhuang, H.; Ding, X.; Gao, F.; Zhang, T.; Ni, Y.; Chang, Q.; Xu, G. Optical coherence tomography features of retinal lesions in Chinese patients with endogenous Candida endophthalmitis. BMC Ophthalmol. 2020, 20, 52. [Google Scholar] [CrossRef]
- Veronese, C.; Maiolo, C.; Gurreri, A.; Morara, M.; Ciardella, A.P.; Yannuzzi, L.A. Multimodal imaging of multifocal chorioretinitis secondary to endogenous candida infection. Int. Ophthalmol. 2019, 39, 2137–2142. [Google Scholar] [CrossRef] [PubMed]
- Anvari, P.; Mirshahi, R.; Sedaghat, A.; Ghasemi Falavarjani, K. “Inverted snowing-cloud” sign in endogenous candida endophthalmitis. J. Ophthalmic Vis. Res. 2022, 17, 303–305. [Google Scholar] [CrossRef] [PubMed]
- Binder, M.I.; Chua, J.; Kaiser, P.K.; Procop, G.W.; Isada, C.M. Endogenous endophthalmitis: An 18-year review of culture-positive cases at a tertiary care center. Medicine 2003, 82, 97–105. [Google Scholar] [CrossRef] [PubMed]
- Au, L.; Guduru, K.; Lipscomb, G.; Kelly, S.P. Candida endophthalmitis: A critical diagnosis in the critically ill. Clin. Ophthalmol. 2007, 1, 551–554. [Google Scholar]
- Lavine, J.A.; Mititelu, M. Multimodal imaging of refractory Candoda chorioretinitis progressing to endogenous endophthalmitis. J. Ophthalmic. Inflamm. Infect. 2015, 5, 54. [Google Scholar] [CrossRef]
- Chhablani, J. Fungal endophthalmitis. Expert Rev. Anti. Infect. Ther. 2011, 9, 1191–1201. [Google Scholar] [CrossRef]
- Danielescu, C.; Stanca, H.T.; Iorga, R.E.; Darabus, D.M.; Potop, V. The Diagnosis and Treatment of Fungal Endophthalmitis: An Update. Diagnostics 2022, 12, 679. [Google Scholar] [CrossRef]
- Pappas, P.G.; Kauffman, C.A.; Andes, D.R.; Clancy, C.J.; Marr, K.A.; Ostrosky-Zeichner, L.; Reboli, A.C.; Schuster, M.G.; Vazquez, J.A.; Walsh, T.J.; et al. Clinical practice guideline for the management of candidiasis: 2016 update by the Infectious Diseases Society of America. Clin. Infect. Dis. 2016, 62, e1–e50. [Google Scholar] [CrossRef]
- Hamada, Y.; Okuma, R.; Katori, Y.; Takahashi, S.; Hirayama, T.; Ichibe, Y.; Kuroyama, M. Bibliographical investigation (domestic and overseas) on the treatment of endogenous Candida endophthalmitis over an 11-year period. Med. Mycol. J. 2013, 54, 53–67. [Google Scholar] [CrossRef] [PubMed][Green Version]
- Hariprasad, S.M.; Mieler, W.F.; Holz, E.R.; Gao, H.; Kim, J.E.; Chi, J.; Prince, R.A. Determination of vitreous, aqueous, and plasmaconcentration of orally administered voriconazole in humans. Arch. Ophthalmol. 2004, 122, 42–47. [Google Scholar] [CrossRef] [PubMed]
- Thunell, S.; Pomp, E.; Brun, A. Guide to drug porphyrogenicity prediction and drug prescription in the acute porphyrias. Br. J. Clin. Pharmacol. 2007, 64, 668–679. [Google Scholar] [CrossRef] [PubMed]
- Roveri, G.; Nascimbeni, F.; Rocchi, E.; Ventura, P. Drugs and acute porphyrias: Reasons for a hazardous relationship. Postgrad. Med. 2014, 126, 108–120. [Google Scholar] [CrossRef] [PubMed]
- Agarwal, A.; Invernizzi, A.; Singh, R.B.; Foulsham, W.; Aggarwal, K.; Handa, S.; Agrawal, R.; Pavesio, C.; Gupta, V. An update on inflammatory choroidal neovascularization: Epidemiology, multimodal imaging, and management. J. Ophthalmic Inflamm. Infect. 2018, 8, 13. [Google Scholar] [CrossRef]
- Campa, C.; Costagliola, C.; Incorvaia, C.; Sheridan, C.; Semeraro, F.; De Nadai, K.; Sebastiani, A.; Parmeggiani, F. Inflammatory mediators and angiogenic factors in choroidal neovascularization: Pathogenetic interactions and therapeutic implications. Mediat. Inflamm. 2010, 2010, 546826. [Google Scholar] [CrossRef]
- Cunningham, E.T., Jr.; Pichi, F.; Dolz-Marco, R.; Freund, K.B.; Zierhut, M. Inflammatory Choroidal Neovascularization. Ocular Immunol. Inflamm. 2020, 28, 2–6. [Google Scholar] [CrossRef]





Disclaimer/Publisher’s Note: The statements, opinions and data contained in all publications are solely those of the individual author(s) and contributor(s) and not of MDPI and/or the editor(s). MDPI and/or the editor(s) disclaim responsibility for any injury to people or property resulting from any ideas, methods, instructions or products referred to in the content. |
© 2024 by the authors. Licensee MDPI, Basel, Switzerland. This article is an open access article distributed under the terms and conditions of the Creative Commons Attribution (CC BY) license (https://creativecommons.org/licenses/by/4.0/).
Share and Cite
Kubicka-Trząska, A.; Bugara, D.; Żuber-Łaskawiec, K.; Pociej-Marciak, W.; Markiewicz, A.; Romanowska-Dixon, B.; Karska-Basta, I. Use of Optical Coherence Tomography and Optical Coherence Tomography Angiography in the Diagnosis and Follow-Up of Endogenous Candida Endophthalmitis: A Case Report. Medicina 2024, 60, 207. https://doi.org/10.3390/medicina60020207
Kubicka-Trząska A, Bugara D, Żuber-Łaskawiec K, Pociej-Marciak W, Markiewicz A, Romanowska-Dixon B, Karska-Basta I. Use of Optical Coherence Tomography and Optical Coherence Tomography Angiography in the Diagnosis and Follow-Up of Endogenous Candida Endophthalmitis: A Case Report. Medicina. 2024; 60(2):207. https://doi.org/10.3390/medicina60020207
Chicago/Turabian StyleKubicka-Trząska, Agnieszka, Dawid Bugara, Katarzyna Żuber-Łaskawiec, Weronika Pociej-Marciak, Anna Markiewicz, Bożena Romanowska-Dixon, and Izabella Karska-Basta. 2024. "Use of Optical Coherence Tomography and Optical Coherence Tomography Angiography in the Diagnosis and Follow-Up of Endogenous Candida Endophthalmitis: A Case Report" Medicina 60, no. 2: 207. https://doi.org/10.3390/medicina60020207
APA StyleKubicka-Trząska, A., Bugara, D., Żuber-Łaskawiec, K., Pociej-Marciak, W., Markiewicz, A., Romanowska-Dixon, B., & Karska-Basta, I. (2024). Use of Optical Coherence Tomography and Optical Coherence Tomography Angiography in the Diagnosis and Follow-Up of Endogenous Candida Endophthalmitis: A Case Report. Medicina, 60(2), 207. https://doi.org/10.3390/medicina60020207

