Can MDCT Enhancement Patterns Be Helpful in Differentiating Secretory from Non-Functional Adrenal Adenoma?
Abstract
:1. Introduction
2. Material and Methods
2.1. Study Population
2.2. Biochemical Parameters
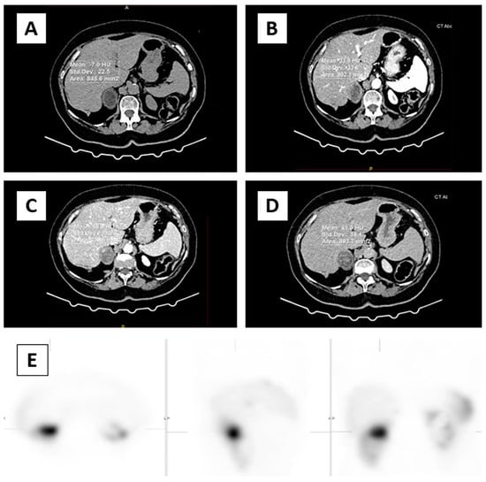
2.3. MDCT Imaging Protocol
2.4. Nuclear Medicine Imaging Protocol
2.5. Statistical Analysis
3. Results
Grouping Criteria for Patients
4. Discussion
5. Conclusions
Supplementary Materials
Author Contributions
Funding
Institutional Review Board Statement
Informed Consent Statement
Data Availability Statement
Conflicts of Interest
References
- Fassnacht, M.; Tsagarakis, S.; Terzolo, M.; Tabarin, A.; Sahdev, A.; Newell-Price, J.; Pelsma, I.; Marina, L.; Lorenz, K.; Bancos, I.; et al. European Society of Endocrinology clinical practice guidelines on the management of adrenal incidentalomas, in collaboration with the European Network for the Study of Adrenal Tumors. Eur. J. Endocrinol. 2023, 189, G1–G42. [Google Scholar] [CrossRef] [PubMed]
- Herrera-Martínez, A.D.; Rebollo Román, Á.; Pascual Corrales, E.; Idrobo, C.; Parra Ramírez, P.; Martín Rojas-Marcos, P.; Robles Lázaro, C.; Marginean, D.L.; Craujo-Castro, M. Adrenal Incidentalomas and Other Endocrine–Related Adenomas: How Much Does Cortisol Secretion Matter? Cancers 2023, 15, 4735. [Google Scholar] [CrossRef] [PubMed]
- Bancos, I. Adrenal Incidentalomas: Insights into Prevalence. Ann. Intern. Med. 2022, 175, 1481–1482. [Google Scholar] [CrossRef] [PubMed]
- Zhang, C.D.; Li, D.; Kaur, R.J.; Ebbehoj, A.; Singh, S.; Atkinson, E.J.; Achenbach, S.J.; Young, W.F.; Arlt, W.; Rocca, W.A.; et al. Cardiometabolic outcomes and mortality in patients with adrenal adenomas in a population-based setting. J. Clin. Endocrinol. Metab. 2021, 106, 3320–3330. [Google Scholar] [CrossRef] [PubMed]
- Canu, L.; Van Hemert, J.A.W.; Kerstens, M.N.; Hartman, R.P.; Khanna, A.; Kraljevic, I.; Kastelan, D.; Badiu, C.; Ambroziak, U.; Tabarinet, A. CT Characteristics of Pheochromocytoma: Relevance for the Evaluation of Adrenal Incidentaloma. J. Clin. Endocrinol. Metab. 2019, 104, 312–318. [Google Scholar] [CrossRef]
- Di Dalmazi, G.; Vicennati, V.; Garelli, S.; Casadio, E.; Rinaldi, E.; Giampalma, E.; Mosconi, C.; Golfieri, R.; Paccapelo, A.; Pagotto, U.; et al. Cardiovascular events and mortality in patients with adrenal incidentalomas that are either non-secreting or associated with intermediate phenotype or subclinical Cushing’s syndrome: A 15-year retrospective study. Lancet Diabetes Endocrinol. 2014, 2, 396–405. [Google Scholar] [CrossRef]
- Berland, L.L.; Silverman, S.G.; Gore, R.M.; Mayo-Smith, W.W.; Megibow, A.J.; Yee, J.; Brink, J.A.; Baker, M.E.; Federle, M.P.; Foley, W.D.; et al. Managing incidental findings on abdominal CT: White paper of the ACR Incidental Findings Committee. J. Am. Coll. Radiol. 2010, 7, 754–773. [Google Scholar] [CrossRef]
- Johnson, P.T.; Horton, K.M.; Fishman, E.K. Adrenal mass imaging with multidetector CT: Pathologic conditions, pearls, and pitfalls. RadioGraphics 2009, 29, 1333–1351. [Google Scholar] [CrossRef]
- Platzek, I.; Sieron, D.; Plodeck, V.; Borkowetz, A.; Laniado, M.; Hoffmann, R.T. Chemical shift imaging for evaluation of adrenal masses: A systematic review and meta-analysis. Eur. Radiol. 2019, 29, 806–817. [Google Scholar] [CrossRef]
- Szász, P.; Kučera, P.; Čtvrtlík, F.; Langová, K.; Hartmann, I.; Tüdös, Z. Diagnostic value of unenhanced CT attenuation and CT histogram analysis in differential diagnosis of adrenal analysis in differential diagnosis of adrenal tumors. Medicina 2020, 56, 597. [Google Scholar] [CrossRef]
- Mayo-Smith, W.W.; Song, J.H.; Boland, G.L.; Francis, I.R.; Israel, G.M.; Mazzaglia, P.J.; Berland, L.L.; Pandharipande, P.V. Management of Incidental Adrenal Masses: A White Paper of the ACR Incidental Findings Committee. J. Am. Coll. Radiol. 2017, 14, 1038–1044. [Google Scholar] [CrossRef] [PubMed]
- Lee, J.M.; Kim, M.K.; Ko, S.H.; Koh, J.M.; Kim, B.Y.; Kim, S.W.; Kim, S.K.; Kim, H.J.; Ryu, O.H.; Park, J.; et al. Clinical guidelines for the management of adrenal incidentaloma. Endocrinol. Metab. 2017, 32, 200–218. [Google Scholar] [CrossRef] [PubMed]
- Zeiger, M.A.; Thompson, G.B.; Duh, Q.Y.; Hamrahian, A.H.; Angelos, P.; Elaraj, D.; Fishman, E.; Kharlip, J. American Association of Clinical Endocrinologists; American Association of Endocrine Surgeons. American Association of Clinical Endocrinologists and American Association of Endocrine Surgeons Medical Guidelines for the Management of Adrenal Incidentalomas: Executive summary of recommendations. Endocr. Pract. 2009, 15, 450–453. [Google Scholar] [PubMed]
- Kapoor, A.; Morris, T.; Rebello, R. Guidelines for the management of the incidentally discovered adrenal mass. Can. Urol. Assoc. J. 2011, 5, 241–247. [Google Scholar] [CrossRef] [PubMed]
- Vukomanovic, V.; Matovic, M.; Djukic, A.; Ignjatovic, V.; Vuleta, K.; Djukic, S.; Vukomanovic, I.S. The role of tumor-seeking radiopharmaceuticals in the diagnosis and management of adrenal tumors. Acta Endocrinol. 2020, 16, 316–323. [Google Scholar] [CrossRef] [PubMed]
- Cambos, S.; Tabarin, A. Management of adrenal incidentalomas: Working through uncertainty. Best Pract. Res. Clin. Endocrinol. Metab. 2020, 34, 101427. [Google Scholar] [CrossRef]
- Wang, F.; Liu, J.; Zhang, R.; Bai, Y.; Li, C.; Li, B.; Liu, H.; Zhang, T. CT and MRI of adrenal gland pathologies. Quant. Imaging Med. Surg. 2018, 8, 853–887. [Google Scholar] [CrossRef]
- Adam, S.Z.; Nikolaidis, P.; Horowitz, J.M.; Gabriel, H.; Hammond, N.A.; Patel, T.; Yaghmai, V.; Miller, F.H. Chemical Shift MR Imaging of the Adrenal Gland: Principles, Pitfalls, and Applications. RadioGraphics 2016, 36, 414–432. [Google Scholar] [CrossRef]
- Mantero, F.; Terzolo, M.; Arnaldi, G.; Osella, G.; Masini, A.M.; Alì, A.; Giovagnetti, M.; Opocher, G.; Angeli, A. A survey on adrenal incidentaloma in Italy. Study Group on Adrenal Tumors of the Italian Society of Endocrinology. J. Clin. Endocrinol. Metab. 2000, 85, 637–644. [Google Scholar]
- Cyranska-Chyrek, E.; Szczepanek-Parulska, E.; Olejarz, M.; Ruchala, M. Malignancy risk and hormonal activity of adrenal incidentalomas in a large cohort of patients from a single tertiary reference center. Int. J. Environ. Res. Public Health 2019, 16, 1872. [Google Scholar] [CrossRef]
- Mosconi, C.; Vicennati, V.; Papadopoulos, D.; Dalmazi, G.D.; Morselli-Labate, A.M.; Golfieri, R.; Pasquali, R. Can Imaging Predict Subclinical Cortisol Secretion in Patients with Adrenal Adenomas? A CT Predictive Score. AJR Am. J. Roentgenol. 2017, 209, 122–129. [Google Scholar] [CrossRef] [PubMed]
- Marty, M.; Gaye, D.; Perez, P.; Auder, C.; Nunes, M.L.; Ferriere, A.; Haissaguerre, M.; Tabarin, A. Diagnostic accuracy of computed tomography to identify adenomas among adrenal incidentalomas in an endocrinological population. Eur. J. Endocrinol. 2018, 178, 439–446. [Google Scholar] [CrossRef] [PubMed]
- Connolly, M.J.; McInnes, M.D.F.; El-Khodary, M.; McGrath, T.A.; Schieda, N. Diagnostic accuracy of virtual non-contrast enhanced dual-energy CT for diagnosis of adrenal adenoma: A systematic review and meta-analysis. Eur. Radiol. 2017, 27, 4324–4335. [Google Scholar] [CrossRef] [PubMed]
- Tabarin, A.; Bardet, S.; Bertherat, J.; Dupas, B.; Chabre, O.; Hamoir, E.; Laurent, F.; Tenenbaum, F.; Cazalda, M.; Lefebvre, H.; et al. Exploration and management of adrenal incidentalomas. French Society of Endocrinology Consensus. Ann. D’endocrinologie 2008, 69, 487–500. [Google Scholar] [CrossRef] [PubMed]
- Chambre, C.; McMurray, E.; Baudry, C.; Lataud, M.; Guignat, L.; Gaujoux, S.; Lahlou, N.; Guibourdenche, J.; Tissier, F.; Sibony, M.; et al. The 10 Hounsfield units unenhanced computed tomography attenuation threshold does not apply to cortisol-secreting adrenocortical adenomas. Eur. J. Endocrinol. 2015, 173, 325–332. [Google Scholar] [CrossRef]
- Al-Waeli, D.K.; Mansour, A.A.; Haddad, N.S. Reliability of adrenal computed tomography in predicting the functionality of adrenal incidentaloma. Niger. Postgrad. Med. J. 2020, 27, 101–107. [Google Scholar]
- Taffe, I.; Haji-Momenian, S.; Nikolaidis, P.; Miller, F.H. Adrenal imaging: A comprehensive review. Radiol. Clin. N. Am. 2012, 50, 219–243. [Google Scholar] [CrossRef]
- Nagayama, Y.; Inoue, T.; Kato, Y.; Tanoue, S.; Kidoh, M.; Oda, S.; Nakaura, T.; Hirai, T. Relative enhancement ratio of portal venous phase to unenhanced CT in the diagnosis of lipid-poor adrenal adenomas. Radiology 2021, 301, 360–368. [Google Scholar] [CrossRef]
- Caoili, E.M.; Korobkin, M.; Francis, I.R.; Cohan, R.H.; Dunnick, N.R. Delayed enhanced CT of lipid-poor adrenal adenomas. Am. J. Roentgenol. 2000, 175, 1411–1415. [Google Scholar] [CrossRef]
- Tüdös, Z.; Kucera, P.; Szász, P.; Hartmann, I.; Langová, K.; Škarda, J.; Ctvrtlík, F. Influence of slice thickness on result of CT histogram analysis in indeterminate adrenal masses. Abdom. Radiol. 2019, 44, 1461–1469. [Google Scholar] [CrossRef]
- Corwin, M.T.; Badawy, M.; Caoili, E.M.; Carney, B.W.; Colak, C.; Elsayes, K.M.; Gerson, R.; Klimkowski, S.P.; McPhedran, R.; Pandya, A.; et al. Incidental adrenal nodules in patients without known malignancy: Prevalence of malignancy and utility of washout CT for characterization a multiinstitutional study. Am. J. Roentgenol. 2022, 219, 804–812. [Google Scholar] [CrossRef] [PubMed]
- An, Y.Y.; Yang, G.Z.; Lin, B.; Zhang, N.; Hou, H.T.; Zhu, F.M.; Tian, F.J.; Wang, J. Differentiation of lipid-poor adenoma from pheochromocytoma on biphasic contrast-enhanced CT. Abdom. Radiol. 2021, 46, 4353–4361. [Google Scholar] [CrossRef] [PubMed]
- Hrabak-Paar, M.; Đido, V.; Štern-Padovan, R. Should we use CT or MRI for detection and characterization of benign adrenal lesions? Ann. D’endocrinologie 2015, 76, 272–280. [Google Scholar] [CrossRef] [PubMed]
- Blake, M.A.; Kalra, M.K.; Sweeney, A.T.; Lucey, B.C.; Maher, M.M.; Sahani, D.V.; Halpern, E.F.; Mueller, P.R.; Hahn, P.F.; Boland, G.W. Distinguishing benign from malignant adrenal masses: Multi-detector row CT protocol with 10-min delay. Radiology 2006, 238, 578–585. [Google Scholar] [CrossRef] [PubMed]
- Kamiyama, T.; Fukukura, Y.; Yoneyama, T.; Takumi, K.; Nakajo, M. Combined use of diagnostic parameters of unenhanced and short 5-min dynamic enhanced CT protocol. Radiology 2009, 250, 474–481. [Google Scholar] [CrossRef]
- Sangwaiya, M.J.; Boland, G.W.; Cronin, C.G.; Blake, M.A.; Halpern, E.F.; Hahn, P.F. Incidental adrenal lesions: Accuracy of characterization with contrastenhanced washout multidetector CT—10-min delayed imaging protocol revisited in a large patient cohort. Radiology 2010, 256, 504–510. [Google Scholar] [CrossRef]
- Tu, W.; Verma, R.; Krishna, S.; McInnes, M.D.F.; Flood, T.A.; Schieda, N. Can Adrenal Adenomas Be Differentiated from Adrenal Metastases at Single-Phase Contrast-Enhanced CT? Am. J. Roentgenol. 2018, 211, 1044–1050. [Google Scholar] [CrossRef] [PubMed]
- Schieda, N.; Siegelman, E.S. Update on CT and MRI of Adrenal Nodules. Am. J. Roentgenol. 2017, 208, 1206–1217. [Google Scholar] [CrossRef]
- Ceccato, F.; Tizianel, I.; Voltan, G.; Maggetto, G.; Merante Boschin, I.; Quaia, E.; Crimì, F.; Scaroni, C. Attenuation value in adrenal incidentalomas: A longitudinal study. Front. Endocrinol. 2021, 12, 794197. [Google Scholar] [CrossRef]
- Schloetelburg, W.; Ebert, I.; Petritsch, B.; Weng, A.M.; Dischinger, U.; Kircher, S.; Buck, A.K.; Bley, T.A.; Deutschbein, T.; Fassnacht, M. Adrenal wash-out CT: Moderate diagnostic value in distinguishing benign from malignant adrenal masses. Eur J. Endocrinol. 2021, 186, 183–193. [Google Scholar] [CrossRef]
- Delivanis, D.A.; Bancos, I.; Atwell, T.D.; Schmit, G.D.; Eiken, P.W.; Natt, N.; Erickson, D.; Maraka, S.; Young, W.F.; Nathan, M.A. Diagnostic performance of unenhanced computed tomography and (18) F-fluorodeo fluorodeoxyglucose positron emission tomography in indeterminate adrenal tumours. Clin. Endocrinol. 2018, 88, 30–36. [Google Scholar] [CrossRef] [PubMed]

| Wilcoxon Signed Ranks Test | Z | p |
|---|---|---|
| Control group native phase HU—tumor group native HU | −2.462 | 0.014 |
| Control group arterial phase HU—tumor group arterial HU | −1.045 | 0.296 |
| Control group venous phase HU—tumor group venous HU | −2.800 | 0.005 |
| Control group delayed phase HU—tumor group delayed HU | −3.664 | 0.000 |
| 99mTc-HYNIC-TOC target/non-target ratio | −6.154 | 0.000 |
| MDCT Examination Phase | N | Mean | SD | Med | Min | Maks | |
|---|---|---|---|---|---|---|---|
| Native phase HU | nonfunctional | 29 | 12.29 | 17.70 | 7.00 | −13.00 | 44.00 |
| secretory | 21 | 11.63 | 19.96 | 11.00 | −17.00 | 50.00 | |
| Total | 50 | 12.04 | 18.39 | 9.50 | −17.00 | 50.00 | |
| Arterial phase HU | nonfunctional | 29 | 74.26 | 30.80 | 70.00 | 29.00 | 131.00 |
| secretory | 21 | 75.37 | 32.12 | 69.00 | 30.00 | 126.00 | |
| Total | 50 | 74.68 | 30.98 | 69.50 | 29.00 | 131.00 | |
| Venous phase HU | nonfunctional | 29 | 85.9 | 26.77 | 79.00 | 40.00 | 148.00 |
| secretory | 21 | 89.74 | 25.12 | 92.00 | 35.00 | 122.00 | |
| Total | 50 | 87.36 | 25.97 | 83.50 | 35.00 | 148.00 | |
| Delayed phase HU | nonfunctional | 29 | 51.03 | 18.23 | 50.00 | 21.00 | 91.00 |
| secretory | 21 | 41.05 | 15.93 | 37.00 | 17.00 | 72.00 | |
| Total | 50 | 47.24 | 17.90 | 43.00 | 17.00 | 91.00 | |
| Relative washout | nonfunctional | 29 | 41.29% | 8.97% | 42.00% | 20.00% | 60.00% |
| secretory | 21 | 52.89% | 10.43% | 51.00% | 34.00% | 68.00% | |
| Total | 50 | 45.70% | 11.03% | 44.50% | 20.00% | 68.00% | |
| Absolute washout | nonfunctional | 29 | 47.77% | 7.18% | 48.00% | 31.00% | 59.00% |
| secretory | 21 | 64.32% | 6.69% | 62.00% | 56.00% | 82.00% | |
| Total | 50 | 54.06% | 10.67% | 55.00% | 31.00% | 82.00% | |
| 99mTc-HYNIC-TOC target/non-target ratio | nonfunctional | 29 | 15.9 | 6.39 | 15.30 | 5.99 | 29.66 |
| secretory | 21 | 23.76 | 15.71 | 17.05 | 9.69 | 62.26 | |
| Total | 50 | 18.89 | 11.42 | 16.27 | 5.99 | 62.26 | |
| MDCT Examination Phase | Mann–Whitney U | Z | p |
|---|---|---|---|
| Native phase HU | 286.500 | −0.160 | 0.873 |
| Arterial phase HU | 283.500 | −0.220 | 0.826 |
| Venous phase HU | 254. 000 | −0.810 | 0.418 |
| Delayed phase HU | 197.500 | −1.941 | 0.052 |
| Relative washout | 122.500 | −3.446 | 0.001 |
| Absolute washout | 5.000 | −5.794 | 0.000 |
| 99mTc-HYNIC-TOC target/non-target ratio | 202.000 | −1.849 | 0.064 |
| MDCT Examination Phase | N | Mean | SD | Med | Min | Max | |
|---|---|---|---|---|---|---|---|
| Native HU | nonfunctional | 29 | 13.24 | 17.89 | 10.00 | −13.00 | 44.00 |
| secretory | 15 | 10.4 | 19.42 | 9.00 | −17.00 | 50.00 | |
| Total | 44 | 12.27 | 18.25 | 9.50 | −17.00 | 50.00 | |
| Arterial HU | nonfunctional | 29 | 73. 00 | 31.09 | 67.00 | 29.00 | 131.00 |
| secretory | 15 | 73.93 | 32.63 | 67.00 | 30.00 | 126.00 | |
| Total | 44 | 73.32 | 31.24 | 67.00 | 29.00 | 131.00 | |
| Venous HU | nonfunctional | 29 | 85.97 | 27.66 | 76.00 | 40.00 | 148.00 |
| secretory | 15 | 84.47 | 24.51 | 84.00 | 35.00 | 120.00 | |
| Total | 44 | 85.45 | 26.35 | 80.00 | 35.00 | 148.00 | |
| Delayed HU | nonfunctional | 29 | 51.28 | 18.8 | 50.00 | 21.00 | 91.00 |
| secretory | 15 | 38.2 | 14.29 | 35.00 | 17.00 | 70.00 | |
| Total | 44 | 46.82 | 18.33 | 43.00 | 17.00 | 91.00 | |
| Relative washout | nonfunctional | 29 | 41.14% | 9.25% | 42.00% | 20.00% | 60.00% |
| secretory | 15 | 53.47% | 10.34% | 52.00% | 34.00% | 68.00% | |
| Total | 44 | 45.34% | 11.20% | 44.50% | 20.00% | 68.00% | |
| Absolute washout | nonfunctional | 29 | 48.07% | 7.27% | 48.00% | 31.00% | 59.00% |
| secretory | 15 | 64.80% | 7.35% | 62.00% | 56.00% | 82.00% | |
| Total | 44 | 53.77% | 10.79% | 54.50% | 31.00% | 82.00% | |
| 99mTc-HYNIC-TOC target/non-target | nonfunctional | 29 | 16.06 | 6.55 | 15.30 | 5.99 | 29.66 |
| secretory | 15 | 25.7 | 16.89 | 17.05 | 9.85 | 62.26 | |
| Total | 44 | 19.34 | 11.92 | 16.57 | 5.99 | 62.26 | |
| MDCT Examination Phase | Mann–Whitney U | p |
|---|---|---|
| Native phase HU | 196.000 | 0.594 |
| Arterial phase HU | 210.500 | 0.862 |
| Venous phase HU | 215.500 | 0.960 |
| Delayed phase HU | 128.500 | 0.027 |
| Relative washout | 81.500 | 0.001 |
| Absolute washout | 5.000 | 0.000 |
| 99mTc-HYNIC-TOC target/non-target | 137.000 | 0.046 |
Disclaimer/Publisher’s Note: The statements, opinions and data contained in all publications are solely those of the individual author(s) and contributor(s) and not of MDPI and/or the editor(s). MDPI and/or the editor(s) disclaim responsibility for any injury to people or property resulting from any ideas, methods, instructions or products referred to in the content. |
© 2023 by the authors. Licensee MDPI, Basel, Switzerland. This article is an open access article distributed under the terms and conditions of the Creative Commons Attribution (CC BY) license (https://creativecommons.org/licenses/by/4.0/).
Share and Cite
Kocic, S.; Vukomanovic, V.; Djukic, A.; Saponjski, J.; Saponjski, D.; Aleksic, V.; Ignjatovic, V.; Vuleta Nedic, K.; Markovic, V.; Vojinovic, R. Can MDCT Enhancement Patterns Be Helpful in Differentiating Secretory from Non-Functional Adrenal Adenoma? Medicina 2024, 60, 72. https://doi.org/10.3390/medicina60010072
Kocic S, Vukomanovic V, Djukic A, Saponjski J, Saponjski D, Aleksic V, Ignjatovic V, Vuleta Nedic K, Markovic V, Vojinovic R. Can MDCT Enhancement Patterns Be Helpful in Differentiating Secretory from Non-Functional Adrenal Adenoma? Medicina. 2024; 60(1):72. https://doi.org/10.3390/medicina60010072
Chicago/Turabian StyleKocic, Svetlana, Vladimir Vukomanovic, Aleksandar Djukic, Jovica Saponjski, Dusan Saponjski, Vuk Aleksic, Vesna Ignjatovic, Katarina Vuleta Nedic, Vladan Markovic, and Radisa Vojinovic. 2024. "Can MDCT Enhancement Patterns Be Helpful in Differentiating Secretory from Non-Functional Adrenal Adenoma?" Medicina 60, no. 1: 72. https://doi.org/10.3390/medicina60010072
APA StyleKocic, S., Vukomanovic, V., Djukic, A., Saponjski, J., Saponjski, D., Aleksic, V., Ignjatovic, V., Vuleta Nedic, K., Markovic, V., & Vojinovic, R. (2024). Can MDCT Enhancement Patterns Be Helpful in Differentiating Secretory from Non-Functional Adrenal Adenoma? Medicina, 60(1), 72. https://doi.org/10.3390/medicina60010072

