Mirizzi Syndrome—The Past, Present, and Future
Abstract
1. Introduction
Historical Overview
2. Pathophysiology of Mirizzi Syndrome
Biliary Anatomy, Aetiology, and Risk Factors
3. Classification Systems for Mirizzi Syndrome
3.1. McSherry Classification
3.2. Csendes Classification
3.3. Other Classification Systems
4. Clinical Presentation
4.1. Laboratory Investigations
4.2. Differential Diagnosis
5. Diagnosis of Mirizzi Syndrome
5.1. Ultrasonography
5.2. Computed Tomography (CT)
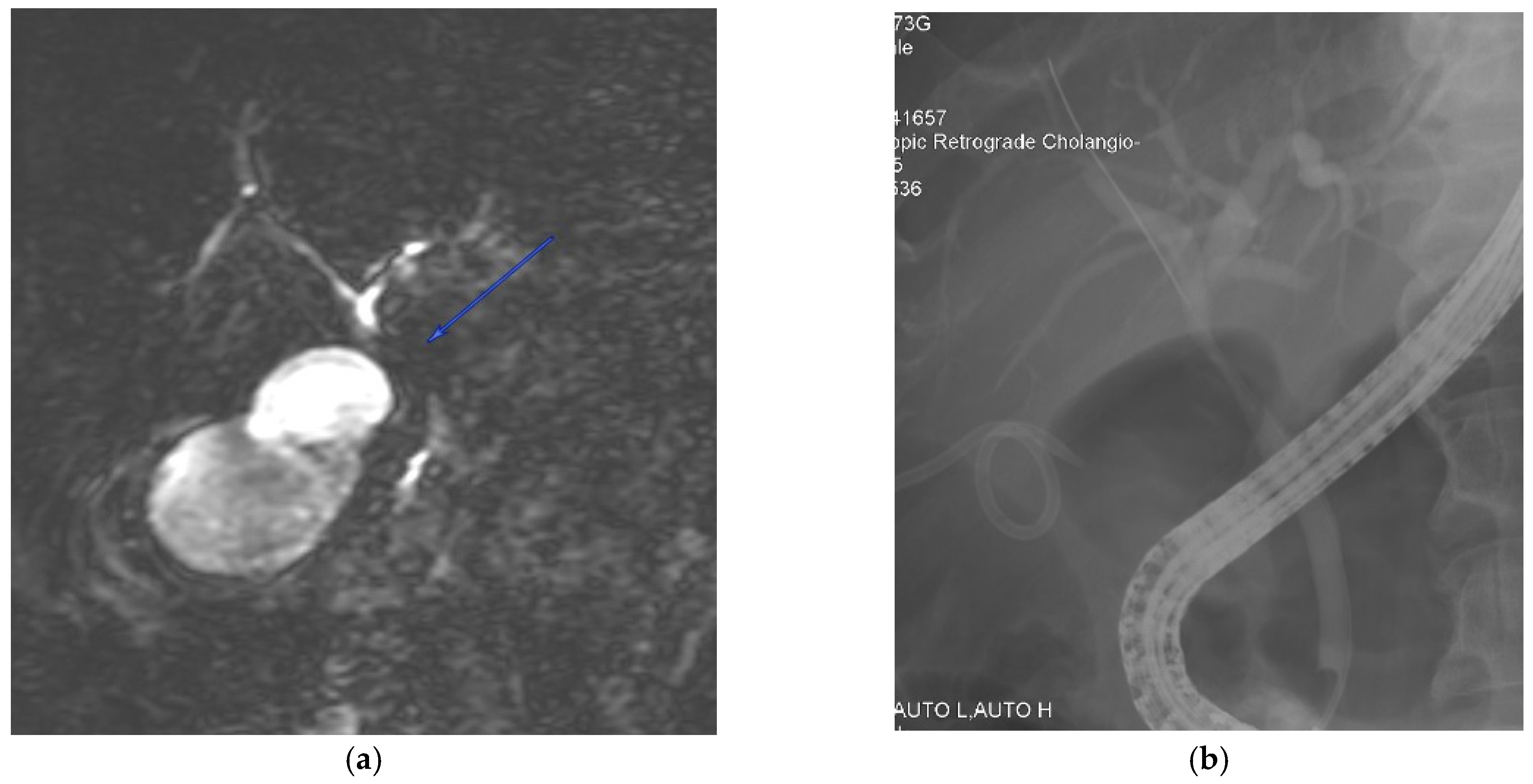
5.3. Magnetic Resonance Cholangiopancreatography (MRCP)
5.4. Endoscopic Retrograde Cholangiopancreatography (ERCP)
5.5. Percutaneous Transhepatic Cholangiography (PTC)
6. Management of Mirizzi Syndrome
6.1. Surgery
6.1.1. Cholecystectomy
6.1.2. Intraoperative Imaging
6.1.3. Choledochoplasty
6.1.4. T-Tube (Kehr Tube)
6.1.5. Bilioenteric Anastomosis (Hepaticojejunostomy)
6.2. The Role of Endoscopic Interventions
7. Future Perspectives and Emerging Treatments
7.1. Advances in Minimally Invasive Surgery
7.1.1. Single-Incision Laparoscopic Surgery (SILS)
7.1.2. Robotic-Assisted Surgery
7.2. Other Novel Techniques and Therapies
Cholangioscopy
8. Conclusions
Author Contributions
Funding
Institutional Review Board Statement
Informed Consent Statement
Data Availability Statement
Conflicts of Interest
References
- Beltran, M.A.; Csendes, A.; Cruces, K.S. The Relationship of Mirizzi Syndrome and Cholecystoenteric Fistula: Validation of a Modified Classification. World J. Surg. 2008, 32, 2237–2243. [Google Scholar] [CrossRef] [PubMed]
- Kok, K.Y.Y.; Goh, P.Y.M.; Ngoi, S.S. Management of Mirizzi’s Syndrome in the Laparoscopic Era. Surg. Endosc. 1998, 12, 1242–1244. [Google Scholar] [CrossRef] [PubMed]
- Antoniou, S.A.; Antoniou, G.A.; Makridis, C. Laparoscopic Treatment of Mirizzi Syndrome: A Systematic Review. Surg. Endosc. 2010, 24, 33–39. [Google Scholar] [CrossRef] [PubMed]
- Leopardi, L.N.; Maddern, G.J. Pablo Luis Mirizzi: The man behind the syndrome. ANZ J. Surg. 2007, 77, 1062–1064. [Google Scholar] [CrossRef] [PubMed]
- Chen, H.; Siwo, E.A.; Khu, M.; Tian, Y. Current Trends in the Management of Mirizzi Syndrome: A Review of Literature. Medicine 2018, 97, e9691. [Google Scholar] [CrossRef] [PubMed]
- Johnson, L.W.; Sehon, J.K.; Lee, W.C.; Zibari, G.B.; McDonald, J.C. Mirizzi’s Syndrome: Experience from a Multi-Institutional Review. Am. Surg. 2001, 67, 11–14. [Google Scholar] [CrossRef] [PubMed]
- Valderrama-Treviño, A.I.; Granados-Romero, J.J.; Espejel-Deloiza, M.; Chernitzky-Camaño, J.; Barrera Mera, B.; Estrada-Mata, A.G.; Ceballos-Villalva, J.C.; Acuña Campos, J.; Argüero-Sánchez, R. Updates in Mirizzi Syndrome. HepatoBiliary Surg. Nutr. 2017, 6, 170–178. [Google Scholar] [CrossRef]
- Lai, E.C.H.; Lau, W.Y. Mirizzi syndrome: History, present and future development. ANZ J. Surg. 2006, 76, 251–257. [Google Scholar] [CrossRef]
- Beltrán, M.A. Mirizzi Syndrome: History, Current Knowledge and Proposal of a Simplified Classification. World J. Gastroenterol. 2012, 18, 4639. [Google Scholar] [CrossRef]
- Abdalla, S.; Pierre, S.; Ellis, H. Calot’s Triangle. Clin. Anat. 2013, 26, 493–501. [Google Scholar] [CrossRef]
- Strasberg, S.M.; Hertl, M.; Soper, N.J. An Analysis of the Problem of Biliary Injury during Laparoscopic Cholecystectomy. J. Am. Coll. Surg. 1995, 180, 101–125. [Google Scholar] [PubMed]
- Lee, B.J.H.; Yap, Q.V.; Low, J.K.; Chan, Y.H.; Shelat, V.G. Cholecystectomy for Asymptomatic Gallstones: Markov Decision Tree Analysis. World J. Clin. Cases 2022, 10, 10399–10412. [Google Scholar] [CrossRef]
- Csendes, A.; Díaz, J.C.; Burdiles, P.; Maluenda, F.; Nava, O. Mirizzi Syndrome and Cholecystobiliary Fistula: A Unifying Classification. Br. J. Surg. 1989, 76, 1139–1143. [Google Scholar] [CrossRef] [PubMed]
- Beltran, M.; Csendes, A. Mirizzi Syndrome and Gallstone Ileus: An Unusual Presentation of Gallstone Disease. J. Gastrointest. Surg. 2005, 9, 686–689. [Google Scholar] [CrossRef] [PubMed]
- Abou-Saif, A.; Al-Kawas, F.H. Complications of Gallstone Disease: Mirizzi Syndrome, Cholecystocholedochal Fistula, and Gallstone Ileus. Am. J. Gastroenterol. 2002, 97, 249–254. [Google Scholar] [CrossRef] [PubMed]
- Chan, C.Y.; Liau, K.H.; Ho, C.K.; Chew, S.P. Mirizzi Syndrome: A Diagnostic and Operative Challenge. Surgeon 2003, 1, 273–278. [Google Scholar] [CrossRef] [PubMed]
- Jung, C.W.; Min, B.W.; Song, T.J.; Son, G.S.; Lee, H.S.; Kim, S.J.; Um, J.W. Mirizzi Syndrome in an Anomalous Cystic Duct: A Case Report. World J. Gastroenterol. 2007, 13, 5527–5529. [Google Scholar] [CrossRef] [PubMed]
- Lim, M.-S.; Jeon, J.Y.; Kwon, J.W.; Kim, I.-G.; Cho, J.W.; Kim, J.H.; Ha, H.I.; Kim, J.S. Laparoscopic Treatment for Post-Cholecystectomy Mirizzi Syndrome. Korean J. Hepato-Biliary-Pancreat. Surg. 2013, 17, 79. [Google Scholar] [CrossRef]
- Jones, J.D.; Pawa, R. Single-Operator Peroral Cholangioscopy for Extraction of Cystic Duct Stones in Postcholecystectomy Mirizzi Syndrome. Case Rep. Gastrointest. Med. 2017, 2017, 1710501. [Google Scholar] [CrossRef]
- McSherry, C.; Ferstenberg, H.; Virship, M. The Mirizzi Syndrome: Suggested Classification and Surgical Therapy. Surg. Gastroenterol. 1982, 1, 219–225. [Google Scholar]
- Cui, Y.; Liu, Y.; Li, Z.; Zhao, E.; Zhang, H.; Cui, N. Appraisal of Diagnosis and Surgical Approach for Mirizzi Syndrome: Diagnosis and Treatment for Mirizzi Syndrome. ANZ J. Surg. 2012, 82, 708–713. [Google Scholar] [CrossRef] [PubMed]
- Kulkarni, S.S.; Hotta, M.; Sher, L.; Selby, R.R.; Parekh, D.; Buxbaum, J.; Stapfer, M. Complicated Gallstone Disease: Diagnosis and Management of Mirizzi Syndrome. Surg. Endosc. 2017, 31, 2215–2222. [Google Scholar] [CrossRef] [PubMed]
- Corlette, M.B. Biliobiliary Fistula: A Trap in the Surgery of Cholelithiasis. Arch. Surg. 1975, 110, 377. [Google Scholar] [CrossRef] [PubMed]
- Starling, J.R.; Matallana, R.H. Benign Mechanical Obstruction of the Common Hepatic Duct (Mirizzi Syndrome). Surgery 1980, 88, 737–740. [Google Scholar] [PubMed]
- Payá-Llorente, C.; Vázquez-Tarragón, A.; Alberola-Soler, A.; Martínez-Pérez, A.; Martínez-López, E.; Santarrufina-Martínez, S.; Ortiz-Tarín, I.; Armañanzas-Villena, E. Mirizzi Syndrome: A New Insight Provided by a Novel Classification. Ann. Hepato-Biliary-Pancreat. Surg. 2017, 21, 67. [Google Scholar] [CrossRef] [PubMed]
- Dorrance, H.R.; Lingam, M.K.; Hair, A.; Oien, K.; O’Dwyer, P.J. Acquired Abnormalities of the Biliary Tract from Chronic Gallstone Disease. J. Am. Coll. Surg. 1999, 189, 269–273. [Google Scholar] [CrossRef] [PubMed]
- Gomez, D.; Rahman, S.H.; Toogood, G.J.; Prasad, K.R.; Lodge, J.P.A.; Guillou, P.J.; Menon, K.V. Mirizzi’s Syndrome—Results from a Large Western Experience. HPB 2006, 8, 474–479. [Google Scholar] [CrossRef]
- Karakoyunlar, O.; Sivrel, E.; Koc, O.; Denecli, A.G. Mirizzi’s Syndrome Must Be Ruled out in the Differential Diagnosis of Any Patients with Obstructive Jaundice. Hepatogastroenterology 1999, 46, 2178–2182. [Google Scholar]
- Kelly, M.D. Acute Mirizzi Syndrome. JSLS 2009, 13, 104–109. [Google Scholar]
- Safioleas, M.; Stamatakos, M.; Safioleas, P.; Smyrnis, A.; Revenas, C.; Safioleas, C. Mirizzi Syndrome: An Unexpected Problem of Cholelithiasis. Our Experience with 27 Cases. Int. Semin. Surg. Oncol. 2008, 5, 12. [Google Scholar] [CrossRef]
- Yip, A.W.; Chow, W.C.; Chan, J.; Lam, K.H. Mirizzi Syndrome with Cholecystocholedochal Fistula: Preoperative Diagnosis and Management. Surgery 1992, 111, 335–338. [Google Scholar] [PubMed]
- Pemberton, M.; Wells, A.D. The Mirizzi Syndrome. Postgrad. Med. J. 1997, 73, 487–490. [Google Scholar] [CrossRef] [PubMed]
- Shirah, B.H.; Shirah, H.A.; Albeladi, K.B. Mirizzi Syndrome: Necessity for Safe Approach in Dealing with Diagnostic and Treatment Challenges. Ann. Hepato-Biliary-Pancreat. Surg. 2017, 21, 122. [Google Scholar] [CrossRef] [PubMed]
- Ibrarullah, M.; Mishra, T.; Das, A.P. Mirizzi Syndrome. Indian J. Surg. 2008, 70, 281–287. [Google Scholar] [CrossRef] [PubMed]
- Rao, P.S.; Tandon, R.K.; Kapur, B.M. Biliobiliary Fistula: Review of Nine Cases. Am. J. Gastroenterol. 1988, 83, 652–657. [Google Scholar] [PubMed]
- Alemi, F.; Seiser, N.; Ayloo, S. Gallstone Disease. Surg. Clin. N. Am. 2019, 99, 231–244. [Google Scholar] [CrossRef] [PubMed]
- Robertson, A.G.N.; Davidson, B.R. Mirizzi Syndrome Complicating an Anomalous Biliary Tract: A Novel Cause of a Hugely Elevated CA19-9. Eur. J. Gastroenterol. Hepatol. 2007, 19, 167–169. [Google Scholar] [CrossRef]
- Principe, A.; Del Gaudio, M.; Grazi, G.L.; Paolucci, U.; Cavallari, A. Mirizzi Syndrome with Cholecysto-Choledocal Fistula with a High CA19-9 Level Mimicking Biliary Malignancies: A Case Report. Hepatogastroenterology 2003, 50, 1259–1262. [Google Scholar]
- Lee, T.; Teng, T.Z.J.; Shelat, V.G. Carbohydrate Antigen 19-9—Tumor Marker: Past, Present, and Future. World J. Gastrointest. Surg. 2020, 12, 468–490. [Google Scholar] [CrossRef]
- Moshref, L.H.; Mandili, R.A.; Almaghrabi, M.; Abdulwahab, R.A.; Alosaimy, R.A.; Miro, J. Elevation of CA 19-9 in Mirizzi Syndrome in the Absence of Malignancy: A Case Report. Am. J. Case Rep. 2021, 22, e931819. [Google Scholar] [CrossRef]
- Koike, D.; Suka, Y.; Nagai, M.; Nomura, Y.; Tanaka, N. Laparoscopic Management of Mirizzi Syndrome Without Dissection of Calot’s Triangle. J. Laparoendosc. Adv. Surg. Tech. 2017, 27, 141–145. [Google Scholar] [CrossRef] [PubMed]
- Yonetci, N.; Kutluana, U.; Yilmaz, M.; Sungurtekin, U.; Tekin, K. The Incidence of Mirizzi Syndrome in Patients Undergoing Endoscopic Retrograde Cholangiopancreatography. Hepatobiliary Pancreat. Dis. Int. HBPD INT 2008, 7, 520–524. [Google Scholar] [PubMed]
- Yun, E.J.; Choi, C.S.; Yoon, D.Y.; Seo, Y.L.; Chang, S.K.; Kim, J.S.; Woo, J.Y. Combination of Magnetic Resonance Cholangiopancreatography and Computed Tomography for Preoperative Diagnosis of the Mirizzi Syndrome. J. Comput. Assist. Tomogr. 2009, 33, 636–640. [Google Scholar] [CrossRef] [PubMed]
- Piccinni, G.; Sciusco, A.; De Luca, G.M.; Gurrado, A.; Pasculli, A.; Testini, M. Minimally Invasive Treatment of Mirizzi’s Syndrome: Is There a Safe Way? Report of a Case Series. Ann. Hepatol. 2014, 13, 558–564. [Google Scholar] [CrossRef] [PubMed]
- Toscano, R.L.; Taylor, P.H.; Peters, J.; Edgin, R. Mirizzi Syndrome. Am. Surg. 1994, 60, 889–891. [Google Scholar]
- Yeh, C.-N.; Jan, Y.-Y.; Chen, M.-F. Laparoscopic Treatment for Mirizzi Syndrome. Surg. Endosc. 2003, 17, 1573–1578. [Google Scholar] [CrossRef] [PubMed]
- Kumar, A.; Senthil, G.; Prakash, A.; Behari, A.; Singh, R.K.; Kapoor, V.K.; Saxena, R. Mirizzi’s Syndrome: Lessons Learnt from 169 Patients at a Single Center. Korean J. Hepato-Biliary-Pancreat. Surg. 2016, 20, 17. [Google Scholar] [CrossRef]
- England, R.E.; Martin, D.F. Endoscopic Management of Mirizzi’s Syndrome. Gut 1997, 40, 272–276. [Google Scholar] [CrossRef]
- Kim, P.N.; Outwater, E.K.; Mitchell, D.G. Mirizzi Syndrome: Evaluation by Mr Imaging. Am. J. Gastroenterol. 1999, 94, 2546–2550. [Google Scholar] [CrossRef]
- Xu, X.; Hong, T.; Li, B.; Liu, W.; He, X.; Zheng, C. Mirizzi Syndrome: Our Experience with 27 Cases in PUMC Hospital. Chin. Med. Sci. J. 2013, 28, 172–177. [Google Scholar] [CrossRef]
- Tan, K.; Chng, H.; Chen, C.Y.; Tan, S.; Poh, B.; Hoe, M.N. Mirizzi Syndrome: Noteworthy Aspects of a Retrospective Study in One Centre. ANZ J. Surg. 2004, 74, 833–837. [Google Scholar] [CrossRef] [PubMed]
- Rayapudi, K.; Gholami, P.; Olyaee, M. Mirizzi Syndrome with Endoscopic Ultrasound Image. Case Rep. Gastroenterol. 2013, 7, 202–207. [Google Scholar] [CrossRef] [PubMed]
- Moon, J.H.; Cho, Y.D.; Cheon, Y.K.; Ryu, C.B.; Kim, Y.S.; Kim, J.O.; Cho, J.Y.; Kim, Y.S.; Lee, J.S.; Lee, M.S.; et al. Wire-Guided Intraductal US in the Assessment of Bile Duct Strictures with Mirizzi Syndrome-like Features at ERCP. Gastrointest. Endosc. 2002, 56, 873–879. [Google Scholar] [CrossRef] [PubMed]
- Wehrmann, T.; Riphaus, A.; Martchenko, K.; Kokabpick, S.; Pauka, H.; Stergiou, N.; Frenz, M. Intraductal Ultrasonography in the Diagnosis of Mirizzi Syndrome. Endoscopy 2006, 38, 717–722. [Google Scholar] [CrossRef]
- Anderson, M.A.; Fisher, L.; Jain, R.; Evans, J.A.; Appalaneni, V.; Ben-Menachem, T.; Cash, B.D.; Decker, G.A.; Early, D.S.; Fanelli, R.D.; et al. Complications of ERCP. Gastrointest. Endosc. 2012, 75, 467–473. [Google Scholar] [CrossRef] [PubMed]
- Rohatgi, A.; Singh, K.K. Mirizzi Syndrome: Laparoscopic Management by Subtotal Cholecystectomy. Surg. Endosc. 2006, 20, 1477–1481. [Google Scholar] [CrossRef]
- Baer, H.U.; Matthews, J.B.; Schweizer, W.P.; Gertsch, P.; Blumgart, L.H. Management of the Mirizzi Syndrome and the Surgical Implications of Cholecystcholedochal Fistula. Br. J. Surg. 1990, 77, 743–745. [Google Scholar] [CrossRef]
- Karademir, S.; Astarcioğlu, H.; Sökmen, S.; Atila, K.; Tankurt, E.; Akpınar, H.; Çoker, A.; Astarcioğlu, İ. Mirizzi’s Syndrome: Diagnostic and Surgical Considerations in 25 Patients. J. Hepatobiliary Pancreat. Surg. 2000, 7, 72–77. [Google Scholar] [CrossRef]
- Waisberg, J.; Corona, A.; Abreu, I.W.D.; Farah, J.F.D.M.; Lupinacci, R.A.; Goffi, F.S. Benign Obstruction of the Common Hepatic Duct (Mirizzi Syndrome): Diagnosis and Operative Management. Arq. Gastroenterol. 2005, 42, 13–18. [Google Scholar] [CrossRef]
- Mithani, R.; Schwesinger, W.H.; Bingener, J.; Sirinek, K.R.; Gross, G.W.W. The Mirizzi Syndrome: Multidisciplinary Management Promotes Optimal Outcomes. J. Gastrointest. Surg. 2008, 12, 1022–1028. [Google Scholar] [CrossRef]
- Hugh, T.B. Laparoscopic Bile Duct Injury: Some Myths. ANZ J. Surg. 2002, 72, 164–167. [Google Scholar] [CrossRef] [PubMed]
- Testini, M.; Sgaramella, L.I.; De Luca, G.M.; Pasculli, A.; Gurrado, A.; Biondi, A.; Piccinni, G. Management of Mirizzi Syndrome in Emergency. J. Laparoendosc. Adv. Surg. Tech. 2017, 27, 28–32. [Google Scholar] [CrossRef] [PubMed]
- Lledó, J.B.; Barber, S.M.; Ibañez, J.C.; Torregrosa, A.G.; Lopez-Andujar, R. Update on the Diagnosis and Treatment of Mirizzi Syndrome in Laparoscopic Era: Our Experience in 7 Years. Surg. Laparosc. Endosc. Percutan. Tech. 2014, 24, 495–501. [Google Scholar] [CrossRef] [PubMed]
- Tay, W.M.; Toh, Y.J.; Shelat, V.G.; Huey, C.W.; Junnarkar, S.P.; Woon, W.; Low, J.K. Subtotal Cholecystectomy: Early and Long-Term Outcomes. Surg. Endosc. 2020, 34, 4536–4542. [Google Scholar] [CrossRef] [PubMed]
- Strasberg, S.M.; Pucci, M.J.; Brunt, M.L.; Deziel, D.J. Subtotal Cholecystectomy–“Fenestrating” vs “Reconstituting” Subtypes and the Prevention of Bile Duct Injury: Definition of the Optimal Procedure in Difficult Operative Conditions. J. Am. Coll. Surg. 2016, 222, 89–96. [Google Scholar] [CrossRef] [PubMed]
- Koo, J.G.A.; Chan, Y.H.; Shelat, V.G. Laparoscopic Subtotal Cholecystectomy: Comparison of Reconstituting and Fenestrating Techniques. Surg. Endosc. 2021, 35, 1014–1024. [Google Scholar] [CrossRef] [PubMed]
- Paul, M.G.; Burris, D.G.; McGUIRE, A.M.; Thorfinnson, H.D.; Schönekäs, H. Laparoscopic Surgery in the Treatment of Mirizzi’s Syndrome. J. Laparoendosc. Surg. 1992, 2, 157–163. [Google Scholar] [CrossRef]
- Kamalesh, N.; Prakash, K.; Pramil, K.; George, T.; Sylesh, A.; Shaji, P. Laparoscopic Approach Is Safe and Effective in the Management of Mirizzi Syndrome. J. Minimal Access Surg. 2015, 11, 246. [Google Scholar] [CrossRef]
- Kwon, A.-H.; Inui, H. Preoperative Diagnosis and Efficacy of Laparoscopic Procedures in the Treatment of Mirizzi Syndrome. J. Am. Coll. Surg. 2007, 204, 409–415. [Google Scholar] [CrossRef]
- Amirthalingam, V.; Low, J.K.; Woon, W.; Shelat, V. Tokyo Guidelines 2013 May Be Too Restrictive and Patients with Moderate and Severe Acute Cholecystitis Can Be Managed by Early Cholecystectomy Too. Surg. Endosc. 2017, 31, 2892–2900. [Google Scholar] [CrossRef]
- Gulla, A.; Jasaitė, M.; Bilotaitė, L.; Strupas, K. Mirizzi Syndrome: Is There a Place for Minimally Invasive Surgery? Visc. Med. 2022, 38, 369–375. [Google Scholar] [CrossRef] [PubMed]
- Yeh, C.; Wang, S.; Liu, K.; Yeh, T.; Tsai, C.; Tseng, J.; Wu, C.; Liu, N.; Chu, Y.; Jan, Y. Surgical Outcome of Mirizzi Syndrome: Value of Endoscopic Retrograde Cholangiopancreatography and Laparoscopic Procedures. J. Hepato-Biliary-Pancreat. Sci. 2021, 28, 760–769. [Google Scholar] [CrossRef] [PubMed]
- Chowbey, P.K.; Sharma, A.; Mann, V.; Khullar, R.; Baijal, M.; Vashistha, A. The Management of Mirizzi Syndrome in the Laparoscopic Era. Surg. Laparosc. Endosc. Percutan. Tech. 2000, 10, 11–14. [Google Scholar] [CrossRef] [PubMed]
- Hubert, C.; Annet, L.; Van Beers, B.E.; Gigot, J.-F. The “inside Approach of the Gallbladder” Is an Alternative to the Classic Calot’s Triangle Dissection for a Safe Operation in Severe Cholecystitis. Surg. Endosc. 2010, 24, 2626–2632. [Google Scholar] [CrossRef] [PubMed]
- Zhao, J.; Fan, Y.; Wu, S. Safety and Feasibility of Laparoscopic Approaches for the Management of Mirizzi Syndrome: A Systematic Review. Surg. Endosc. 2020, 34, 4717–4726. [Google Scholar] [CrossRef]
- Senra, F.; Navaratne, L.; Acosta, A.; Martínez-Isla, A. Laparoscopic Management of Type II Mirizzi Syndrome. Surg. Endosc. 2020, 34, 2303–2312. [Google Scholar] [CrossRef]
- Yetışır, F.; Şarer, A.E.; Acar, H.Z.; Polat, Y.; Osmanoglu, G.; Aygar, M.; Ciftciler, A.E.; Parlak, O. Laparoscopic Treatment of Type III Mirizzi Syndrome by T-Tube Drainage. Case Rep. Surg. 2016, 2016, 1030358. [Google Scholar] [CrossRef][Green Version]
- Nag, H.; Nekarakanti, P. Laparoscopic versus Open Surgical Management of Patients with Mirizzi’s Syndrome: A Comparative Study. J. Minimal Access Surg. 2020, 16, 215. [Google Scholar] [CrossRef]
- Zaliekas, J.; Munson, J.L. Complications of Gallstones: The Mirizzi Syndrome, Gallstone Ileus, Gallstone Pancreatitis, Complications of “Lost” Gallstones. Surg. Clin. N. Am. 2008, 88, 1345–1368. [Google Scholar] [CrossRef]
- Prasad, T.L.V.D.; Kumar, A.; Sikora, S.S.; Saxena, R.; Kapoor, V.K. Mirizzi Syndrome and Gallbladder Cancer. J. Hepatobiliary Pancreat. Surg. 2006, 13, 323–326. [Google Scholar] [CrossRef]
- Redaelli, C.A.; Büchler, M.W.; Schilling, M.K.; Krähenbühl, L.; Ruchti, C.; Blumgart, L.H.; Baer, H.U. High Coincidence of Mirizzi Syndrome and Gallbladder Carcinoma. Surgery 1997, 121, 58–63. [Google Scholar] [CrossRef] [PubMed]
- Gupta, M.; Madhavan, S.; Teo, F.; Low, J.; Shelat, V. Perceptions of Singaporeans towards Informed Consent: A Cross-Sectional Survey. Singapore Med. J. 2021. Online ahead of print. [Google Scholar] [CrossRef] [PubMed]
- Ishizawa, T.; Bandai, Y.; Ijichi, M.; Kaneko, J.; Hasegawa, K.; Kokudo, N. Fluorescent Cholangiography Illuminating the Biliary Tree during Laparoscopic Cholecystectomy. Br. J. Surg. 2010, 97, 1369–1377. [Google Scholar] [CrossRef] [PubMed]
- Wang, C.; Peng, W.; Yang, J.; Li, Y.; Yang, J.; Hu, X.; Xia, L.; Zhang, L.; Zhong, Y.; Qiao, L.; et al. Application of Near-Infrared Fluorescent Cholangiography Using Indocyanine Green in Laparoscopic Cholecystectomy. J. Int. Med. Res. 2020, 48, 030006052097922. [Google Scholar] [CrossRef] [PubMed]
- Lim, S.H.; Tan, H.T.A.; Shelat, V.G. Comparison of Indocyanine Green Dye Fluorescent Cholangiography with Intra-Operative Cholangiography in Laparoscopic Cholecystectomy: A Meta-Analysis. Surg. Endosc. 2021, 35, 1511–1520. [Google Scholar] [CrossRef] [PubMed]
- Nitta, T.; Kataoka, J.; Ohta, M.; Ueda, Y.; Senpuku, S.; Kurashima, Y.; Shimizu, T.; Ishibashi, T. Laparoscopic Cholecystectomy for Cholecystitis Using Direct Gallbladder Indocyanine Green Injection Fluorescence Cholangiography: A Case Report. Ann. Med. Surg. 2020, 57, 218–222. [Google Scholar] [CrossRef] [PubMed]
- Roux, F.L.; Sabbagh, C.; Robert, B.; Yzet, T.; Dugue, L.; Joly, J.-P.; Regimbeau, J.-M. Multidisciplinary Management of Mirizzi Syndrome with Cholecystobiliary Fistula: The Value of Minimally Invasive Endoscopic Surgery. Hepatobiliary Pancreat. Dis. Int. 2015, 14, 543–547. [Google Scholar] [CrossRef]
- Shah, O.J.; Dar, M.A.; Wani, M.A.; Wani, N.A. Management of Mirizzi Syndrome: A New Surgical Approach. ANZ J. Surg. 2001, 71, 423–427. [Google Scholar] [CrossRef]
- Tan, Y.P.; Lim, C.; Junnarkar, S.P.; Huey, C.W.T.; Shelat, V.G. 3D Laparoscopic Common Bile Duct Exploration with Primary Repair by Absorbable Barbed Suture Is Safe and Feasible. J. Clin. Transl. Res. 2021, 7, 473–478. [Google Scholar]
- Erben, Y.; Benavente-Chenhalls, L.A.; Donohue, J.M.; Que, F.G.; Kendrick, M.L.; Reid-Lombardo, K.M.; Farnell, M.B.; Nagorney, D.M. Diagnosis and Treatment of Mirizzi Syndrome: 23-Year Mayo Clinic Experience. J. Am. Coll. Surg. 2011, 213, 114–119. [Google Scholar] [CrossRef]
- Reverdito, R.; Moricz, A.D.; Campos, T.D.; Pacheco Júnior, A.M.; Silva, R.A. Mirizzi Syndrome Grades III and IV: Surgical Treatment. Rev. Colégio Bras. Cir. 2016, 43, 243–247. [Google Scholar] [CrossRef] [PubMed]
- Clemente, G.; Tringali, A.; De Rose, A.M.; Panettieri, E.; Murazio, M.; Nuzzo, G.; Giuliante, F. Mirizzi Syndrome: Diagnosis and Management of a Challenging Biliary Disease. Can. J. Gastroenterol. Hepatol. 2018, 2018, 6962090. [Google Scholar] [CrossRef] [PubMed]
- Li, B.; Li, X.; Zhou, W.-C.; He, M.-Y.; Meng, W.-B.; Zhang, L.; Li, Y.-M. Effect of Endoscopic Retrograde Cholangiopancreatography Combined with Laparoscopy and Choledochoscopy on the Treatment of Mirizzi Syndrome. Chin. Med. J. 2013, 126, 3515–3518. [Google Scholar] [PubMed]
- Yetişir, F.; Şarer, A.E.; Acar, H.Z.; Parlak, O.; Basaran, B.; Yazıcıoğlu, O. Laparoscopic Resection of Cholecystocolic Fistula and Subtotal Cholecystectomy by Tri-Staple in a Type V Mirizzi Syndrome. Case Rep. Hepatol. 2016, 2016, 6434507. [Google Scholar] [CrossRef] [PubMed]
- Gómez, D.; Pedraza, M.; Cabrera, L.F.; Mendoza Zuchini, A.; Arrieta G, M.; Aparicio, B.S.; Pulido, J. Minimally Invasive Management of Mirizzi Syndrome Va: Case Series and Narrative Review of the Literature. Cir. Esp. Engl. Ed. 2022, 100, 404–409. [Google Scholar] [CrossRef] [PubMed]
- Chuang, S.-H.; Yeh, M.-C.; Chang, C.-J. Laparoscopic Transfistulous Bile Duct Exploration for Mirizzi Syndrome Type II: A Simplified Standardized Technique. Surg. Endosc. 2016, 30, 5635–5646. [Google Scholar] [CrossRef] [PubMed]
- Nassar, A.H.M.; Nassar, M.K.; Gil, I.C.; Ng, H.J.; Yehia, A.M. One-Session Laparoscopic Management of Mirizzi Syndrome: Feasible and Safe in Specialist Units. Surg. Endosc. 2021, 35, 3286–3295. [Google Scholar] [CrossRef]
- Navarro-Sánchez, A.; Ashrafian, H.; Segura-Sampedro, J.J.; Martrinez-Isla, A. LABEL Procedure: Laser-Assisted Bile Duct Exploration by Laparoendoscopy for Choledocholithiasis: Improving Surgical Outcomes and Reducing Technical Failure. Surg. Endosc. 2017, 31, 2103–2108. [Google Scholar] [CrossRef]
- Lee, T.; Teng, T.Z.J.; Shelat, V.G. Choledochoscopy: An Update. World J. Gastrointest. Endosc. 2021, 13, 571–592. [Google Scholar] [CrossRef]
- Chang, W.-B.; Han, H.-S.; Yoon, Y.-S.; Cho, J.Y.; Choi, Y. Single Incision Laparoscopic Cholecystectomy for Patients with Mirizzi Syndrome. Ann. Surg. Treat. Res. 2018, 94, 106. [Google Scholar] [CrossRef]
- Chuang, S.-H.; Kuo, K.-K.; Chuang, S.-C.; Wang, S.-N.; Chang, W.-T.; Su, W.-L.; Huang, J.-W.; Wu, P.-H.; Chan, H.-M.; Kuok, C.-H. Single-Incision versus Four-Incision Laparoscopic Transfistulous Bile Duct Exploration for Mirizzi Syndrome Type II. Surg. Endosc. 2022, 36, 8672–8683. [Google Scholar] [CrossRef] [PubMed]
- Zaman, J.A.; Singh, T.P. The Emerging Role for Robotics in Cholecystectomy: The Dawn of a New Era? HepatoBiliary Surg. Nutr. 2018, 7, 21–28. [Google Scholar] [CrossRef] [PubMed]
- Tung, K.L.M.; Tang, C.N.; Lai, E.C.H.; Yang, G.P.C.; Chan, O.C.Y.; Li, M.K.W. Robot-Assisted Laparoscopic Approach of Management for Mirizzi Syndrome. Surg. Laparosc. Endosc. Percutan. Tech. 2013, 23, e17–e21. [Google Scholar] [CrossRef]
- Lee, K.; Chong, C.; Ma, K.; Cheung, E.; Wong, J.; Cheung, S.; Lai, P. A Minimally Invasive Strategy for Mirizzi Syndrome: The Combined Endoscopic and Robotic Approach. Surg. Endosc. 2014, 28, 2690–2694. [Google Scholar] [CrossRef] [PubMed]
- Magge, D.; Steve, J.; Novak, S.; Slivka, A.; Hogg, M.; Zureikat, A.; Zeh, H.J. Performing the Difficult Cholecystectomy Using Combined Endoscopic and Robotic Techniques: How I Do It. J. Gastrointest. Surg. 2017, 21, 583–589. [Google Scholar] [CrossRef] [PubMed]
- Kalata, S.; Thumma, J.R.; Norton, E.C.; Dimick, J.B.; Sheetz, K.H. Comparative Safety of Robotic-Assisted vs Laparoscopic Cholecystectomy. JAMA Surg. 2023, 158, 1303–1310. [Google Scholar] [CrossRef] [PubMed]
- Chan, K.S.; Kwan, J.R.; Shelat, V.G. Awareness, Perception, Knowledge, and Attitude toward Robotic Surgery in a General Surgical Outpatient Clinic in Singapore, Asia. J. Clin. Transl. Res. 2022, 8, 224–233. [Google Scholar]
- Bhandari, S.; Bathini, R.; Sharma, A.; Maydeo, A. Usefulness of Single-Operator Cholangioscopy-Guided Laser Lithotripsy in Patients with Mirizzi Syndrome and Cystic Duct Stones: Experience at a Tertiary Care Center. Gastrointest. Endosc. 2016, 84, 56–61. [Google Scholar] [CrossRef]
- Tsuyuguchi, T.; Sakai, Y.; Sugiyama, H.; Ishihara, T.; Yokosuka, O. Long-Term Follow-up after Peroral Cholangioscopy-Directed Lithotripsy in Patients with Difficult Bile Duct Stones, Including Mirizzi Syndrome: An Analysis of Risk Factors Predicting Stone Recurrence. Surg. Endosc. 2011, 25, 2179–2185. [Google Scholar] [CrossRef]
- Kawai, H.; Sato, T.; Natsui, M.; Watanabe, K.; Inoue, R.; Kimura, M.; Yoko, K.; Sasaki, S.; Watanabe, M.; Ohashi, T.; et al. Mirizzi Syndrome Type IV Successfully Treated with Peroral Single-Operator Cholangioscopy-Guided Electrohydraulic Lithotripsy: A Case Report with Literature Review. Intern. Med. 2022, 61, 3513–3519. [Google Scholar] [CrossRef]





| Type of Mirizzi Syndrome | Description (Csendes) | Schematic Representation |
|---|---|---|
| I | External compression of the bile duct by an impacted gallstone in the infundibulum or cystic duct | ![]() |
| II | Cholecystobiliary fistula involving less than one-third of the circumference of the bile duct | ![]() |
| III | Cholecystobiliary fistula involving up to two-thirds of the bile duct circumference | ![]() |
| IV | Cholecystobiliary fistula with complete destruction of the entire wall of the bile duct | ![]() |
| V | Presence of cholecystoenteric fistula without gallstone ileus (Va) | ![]() |
| Presence of cholecystoenteric fistula with gallstone ileus (Vb) | ![]() |
Disclaimer/Publisher’s Note: The statements, opinions and data contained in all publications are solely those of the individual author(s) and contributor(s) and not of MDPI and/or the editor(s). MDPI and/or the editor(s) disclaim responsibility for any injury to people or property resulting from any ideas, methods, instructions or products referred to in the content. |
© 2023 by the authors. Licensee MDPI, Basel, Switzerland. This article is an open access article distributed under the terms and conditions of the Creative Commons Attribution (CC BY) license (https://creativecommons.org/licenses/by/4.0/).
Share and Cite
Koo, J.G.A.; Tham, H.Y.; Toh, E.Q.; Chia, C.; Thien, A.; Shelat, V.G. Mirizzi Syndrome—The Past, Present, and Future. Medicina 2024, 60, 12. https://doi.org/10.3390/medicina60010012
Koo JGA, Tham HY, Toh EQ, Chia C, Thien A, Shelat VG. Mirizzi Syndrome—The Past, Present, and Future. Medicina. 2024; 60(1):12. https://doi.org/10.3390/medicina60010012
Chicago/Turabian StyleKoo, Jonathan G. A., Hui Yu Tham, En Qi Toh, Christopher Chia, Amy Thien, and Vishal G. Shelat. 2024. "Mirizzi Syndrome—The Past, Present, and Future" Medicina 60, no. 1: 12. https://doi.org/10.3390/medicina60010012
APA StyleKoo, J. G. A., Tham, H. Y., Toh, E. Q., Chia, C., Thien, A., & Shelat, V. G. (2024). Mirizzi Syndrome—The Past, Present, and Future. Medicina, 60(1), 12. https://doi.org/10.3390/medicina60010012







