Primary and Recurrent Intraosseous Adenoid Cystic Carcinoma—Analysis of Two Cases and Literature Review
Abstract
1. Introduction
2. Case Report
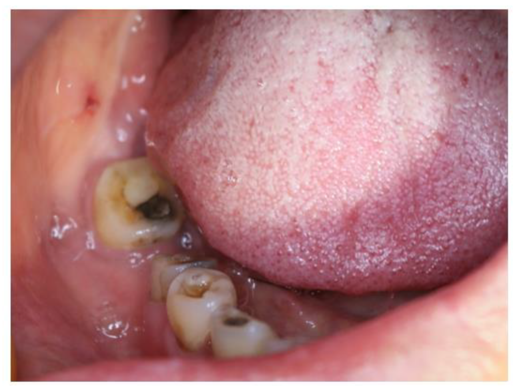
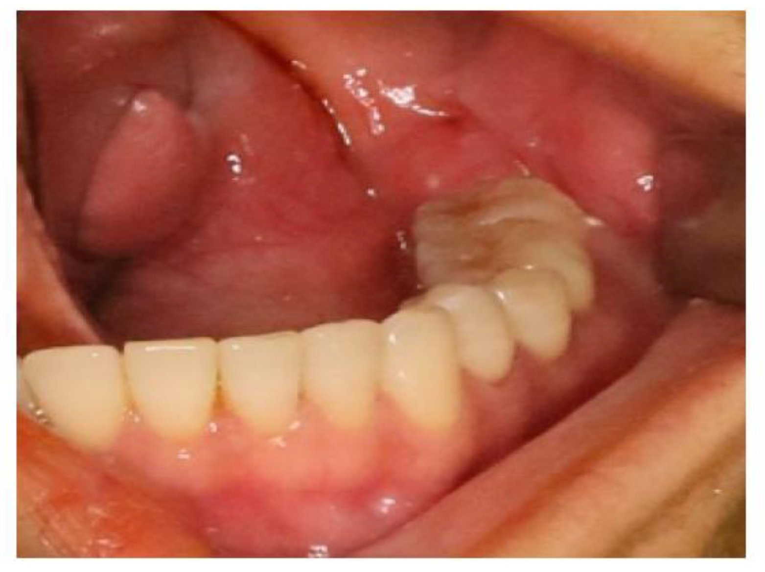
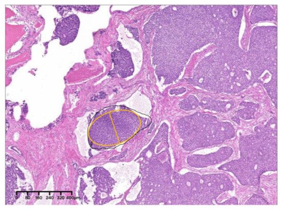
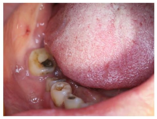
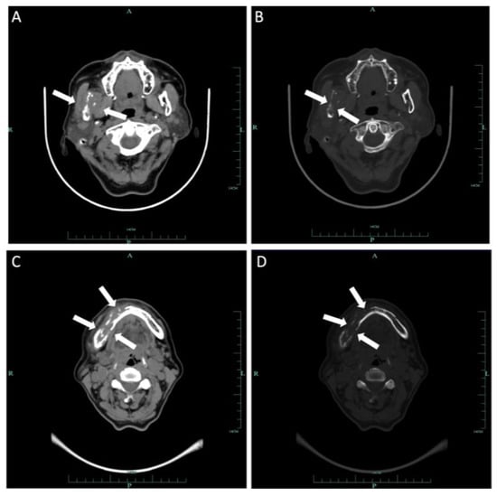
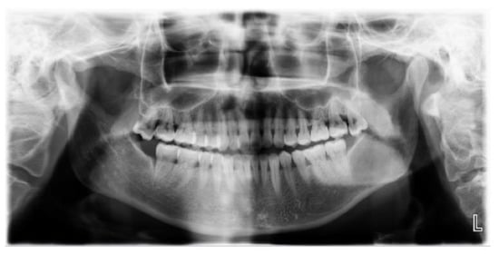
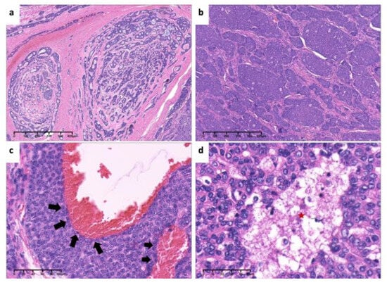
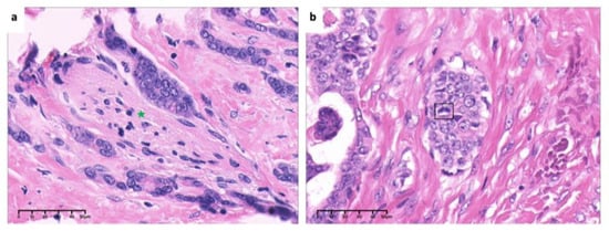
2.1. Case 1
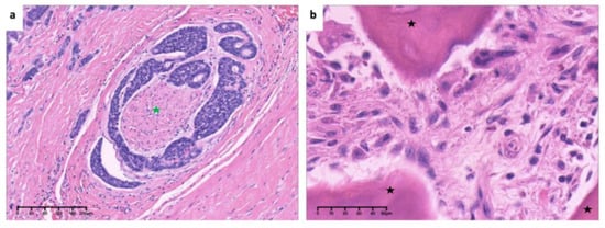
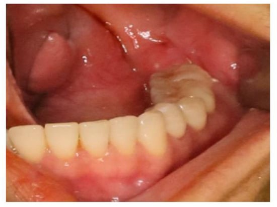
2.2. Case 2
3. Literature Review of PIACC
3.1. Materials and Methods
3.2. Results
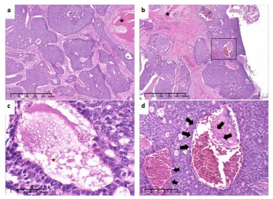
4. Analysis of the Two Cases
5. Conclusions
Author Contributions
Funding
Institutional Review Board Statement
Informed Consent Statement
Data Availability Statement
Conflicts of Interest
References
- Giannini, P.J.; Shetty, K.V.; Horan, S.L.; Reid, W.D.; Litchmore, L.L. Adenoid cystic carcinoma of the buccal vestibule: A case report and review of the literature. Oral Oncol. 2006, 42, 1029–1032. [Google Scholar] [CrossRef] [PubMed]
- Ammad Ud Din, M.; Shaikh, H. Adenoid Cystic Cancer. In StatPearls; StatPearls Publishing: Treasure Island, FL, USA, 2023. [Google Scholar]
- Ouyang, D.Q.; Liang, L.Z.; Zheng, G.S.; Ke, Z.F.; Weng, D.S.; Yang, W.F.; Su, Y.X.; Liao, G.Q. Risk factors and prognosis for salivary gland adenoid cystic carcinoma in southern china: A 25-year retrospective study. Medicine 2017, 96, e5964. [Google Scholar] [CrossRef] [PubMed]
- Megwalu, U.C.; Sirjani, D. Risk of Nodal Metastasis in Major Salivary Gland Adenoid Cystic Carcinoma. Otolaryngol. Head Neck Surg. 2017, 156, 660–664. [Google Scholar] [CrossRef] [PubMed]
- Jang, S.; Patel, P.N.; Kimple, R.J.; McCulloch, T.M. Clinical Outcomes and Prognostic Factors of Adenoid Cystic Carcinoma of the Head and Neck. Anticancer Res. 2017, 37, 3045–3052. [Google Scholar] [CrossRef] [PubMed]
- Seok, J.; Lee, D.Y.; Kim, W.S.; Jeong, W.-J.; Chung, E.-J.; Jung, Y.H.; Kwon, S.K.; Kwon, T.-K.; Sung, M.-W.; Ahn, S.-H. Lung metastasis in adenoid cystic carcinoma of the head and neck. Head Neck 2019, 41, 3976–3983. [Google Scholar] [CrossRef] [PubMed]
- Young, A.; Okuyemi, O.T. Malignant Salivary Gland Tumors. In StatPearls; StatPearls Publishing: Treasure Island, FL, USA, 2023. [Google Scholar]
- Perzin, K.H.; Gullane, P.; Clairmont, A.C. Adenoid cystic carcinomas arising in salivary glands: A correlation of histologic features and clinical course. Cancer 1978, 42, 265–282. [Google Scholar] [CrossRef]
- Szanto, P.A.; Luna, M.A.; Tortoledo, M.E.; White, R.A. Histologic grading of adenoid cystic carcinoma of the salivary glands. Cancer 1984, 54, 1062–1069. [Google Scholar] [CrossRef] [PubMed]
- Spiro, R.H.; Huvos, A.G.; Strong, E.W. Adenoid cystic carcinoma of salivary origin. A clinicopathologic study of 242 cases. Am. J. Surg. 1974, 128, 512–520. [Google Scholar] [CrossRef]
- Van Weert, S.; van der Waal, I.; Witte, B.I.; Leemans, C.R.; Bloemena, E. Histopathological grading of adenoid cystic carcinoma of the head and neck: Analysis of currently used grading systems and proposal for a simplified grading scheme. Oral Oncol. 2015, 51, 71–76. [Google Scholar] [CrossRef]
- Morita, N.; Murase, T.; Ueda, K.; Nagao, T.; Kusafuka, K.; Nakaguro, M.; Urano, M.; Taguchi, K.-I.; Yamamoto, H.; Kano, S.; et al. Pathological evaluation of tumor grade for salivary adenoid cystic carcinoma: A proposal of an objective grading system. Cancer Sci. 2021, 112, 1184–1195. [Google Scholar] [CrossRef]
- Vinuth, D.; Agarwal, P.; Dhirawani, R.B.; Dube, G. Atypical case of primary intraosseous adenoid cystic carcinoma of mandible. J. Oral Maxillofac. Pathol. 2013, 17, 436–439. [Google Scholar] [CrossRef] [PubMed]
- Hu, H.Y.; Liu, Y.Y.; Wang, H.; Jiang, M. Primary Intraosseous Adenoid Cystic Carcinoma of the Mandible: A Comprehensive Review with Analysis of 2 Additional Cases. J. Oral Maxillofac. Surg. 2017, 75, 1685–1701. [Google Scholar] [CrossRef] [PubMed]
- Indu, S.; Roy, I.D. Intraosseous adenoid cystic carcinoma of the mandible: A rare presentation. J. Oral Maxillofac. Pathol. 2020, 24, S37–S41. [Google Scholar] [CrossRef] [PubMed]
- Reddy, V.; Wadhwan, V.; Arunkumar, K.V.; Venkatesh, A. Primary intraosseous adenoid cystic carcinoma of the mandible: A rare clinical entity. J. Oral Maxillofac. Pathol. 2020, 24, S42–S45. [Google Scholar] [CrossRef] [PubMed]
- Savithri, V.; Suresh, R.; Janardhanan, M.; Aravind, T.; Mohan, M. Primary Intraosseous Adenoid Cystic Carcinoma with Widespread Skeletal Metastases Showing Features of High-Grade Transformation. Head Neck Pathol. 2020, 15, 715–722. [Google Scholar] [CrossRef] [PubMed]
- Shome, S.; Mallick, A.; Kundu, S.; Gayen, S. Gnathic variant of primary adenoid cystic carcinoma: A unique case report. J. Cancer Res. Ther. 2022, 18, 286. [Google Scholar] [CrossRef] [PubMed]
- Sasaki, E.; Yamagata, K.; Hagiwara, T.; Takasaki, R.; Fukuzawa, S.; Uchida, F.; Ishibashi-Kanno, N.; Bukawa, H. A Case of Primary Intraosseous Adenoid Cystic Carcinoma of the Mandible. Case Rep. Dent. 2023, 2023, 2422086. [Google Scholar] [CrossRef] [PubMed]
- Favia, G.; Maiorano, E.; Orsini, G.; Piattelli, A. Central (intraosseous) adenoid cystic carcinoma of the mandible: Report of a case with periapical involvement. J. Endod. 2000, 26, 760–763. [Google Scholar] [CrossRef]
- Chen, Y.; Zheng, Z.-Q.; Chen, F.-P.; Yan, J.-Y.; Huang, X.-D.; Li, F.; Sun, Y.; Zhou, G.-Q. Role of Postoperative Radiotherapy in Nonmetastatic Head and Neck Adenoid Cystic Carcinoma. J. Natl. Compr. Cancer Netw. 2020, 18, 1476–1484. [Google Scholar] [CrossRef]
- Mendenhall, W.M.; Morris, C.G.; Amdur, R.J.; Werning, J.W.; Hinerman, R.W.; Villaret, D.B. Radiotherapy alone or combined with surgery for adenoid cystic carcinoma of the head and neck. Head Neck 2004, 26, 154–162. [Google Scholar] [CrossRef]
- Chen, A.M.; Bucci, M.K.; Weinberg, V.; Garcia, J.; Quivey, J.M.; Schechter, N.R.; Phillips, T.L.; Fu, K.K.; Eisele, D.W. Adenoid cystic carcinoma of the head and neck treated by surgery with or without postoperative radiation therapy: Prognostic features of recurrence. Int. J. Radiat. Oncol. Biol. Phys. 2006, 66, 152–159. [Google Scholar] [CrossRef] [PubMed]
- Toper, M.H.; Sarioglu, S. Molecular Pathology of Salivary Gland Neoplasms: Diagnostic, Prognostic, and Predictive Perspective. Adv. Anat. Pathol. 2021, 28, 81–93. [Google Scholar] [CrossRef] [PubMed]
- Li, Y.; Hao, D.; Song, X.; Zhang, C. Computed tomography and magnetic resonance imaging of adenoid cystic carcinoma in the maxillary sinus: A retrospective study with radiologic-histopathologic correlations. Oral Surg. Oral Med. Oral Pathol. Oral Radiol. 2021, 131, 111–121. [Google Scholar] [CrossRef] [PubMed]
- Fang, Y.; Peng, Z.; Wang, Y.; Gao, K.; Liu, Y.; Fan, R.; Zhang, H.; Xie, Z.; Jiang, W. Current opinions on diagnosis and treatment of adenoid cystic carcinoma. Oral Oncol. 2022, 130, 105945. [Google Scholar] [CrossRef] [PubMed]
- Lukšić, I.; Suton, P.; Macan, D.; Dinjar, K. Intraoral adenoid cystic carcinoma: Is the presence of perineural invasion associated with the size of the primary tumour, local extension, surgical margins, distant metastases, and outcome? Br. J. Oral. Maxillofac. Surg. 2014, 52, 214–218. [Google Scholar] [CrossRef] [PubMed][Green Version]
- Zupancic, M.; Näsman, A.; Berglund, A.; Dalianis, T.; Friesland, S. Adenoid Cystic Carcinoma (AdCC): A Clinical Survey of a Large Patient Cohort. Cancers 2023, 15, 1499. [Google Scholar] [CrossRef] [PubMed]
- Brookstone, M.S.; Huvos, A.G. Central salivary gland tumors of the maxilla and mandible: A clinicopathologic study of 11 cases with an analysis of the literature. J. Oral. Maxillofac. Surg. 1992, 50, 229–236. [Google Scholar] [CrossRef] [PubMed]
- Johnson, P.A.; Millar, B.G.; Leopard, P.J. Intraosseous adenoid cystic carcinoma of the mandible. Br. J. Oral. Maxillofac. Surg. 1989, 27, 501–505. [Google Scholar] [CrossRef]
- Deugnier, M.-A.; Teulière, J.; Faraldo, M.M.; Thiery, J.P.; Glukhova, M.A. The importance of being a myoepithelial cell. Breast Cancer Res. 2002, 4, 224–230. [Google Scholar] [CrossRef]
- Du, F.; Zhou, C.-X.; Gao, Y. Myoepithelial differentiation in cribriform, tubular and solid pattern of adenoid cystic carcinoma: A potential involvement in histological grading and prognosis. Ann. Diagn. Pathol. 2016, 22, 12–17. [Google Scholar] [CrossRef]
- Chen, Z.; Jiang, J.; Fan, Y.; Lu, H. Pulmonary adenoid cystic carcinoma: Molecular characteristics and literature review. Diagn. Pathol. 2023, 18, 65. [Google Scholar] [CrossRef] [PubMed]
- Huang, Z.; Pan, J.; Chen, J.; Wu, S.; Wu, T.; Ye, H.; Zhang, H.; Nie, X.; Huang, C. Multicentre clinicopathological study of adenoid cystic carcinoma: A report of 296 cases. Cancer Med. 2021, 10, 1120–1127. [Google Scholar] [CrossRef] [PubMed]
- Ishida, E.; Ogawa, T.; Rokugo, M.; Ishikawa, T.; Wakamori, S.; Ohkoshi, A.; Usubuchi, H.; Higashi, K.; Ishii, R.; Nakanome, A.; et al. Management of adenoid cystic carcinoma of the head and neck: A single-institute study with over 25-year follow-up. Head Face Med. 2020, 16, 14. [Google Scholar] [CrossRef] [PubMed]
- Jeong, I.S.; Roh, J.-L.; Cho, K.-J.; Choi, S.-H.; Nam, S.Y.; Kim, S.Y. Risk factors for survival and distant metastasis in 125 patients with head and neck adenoid cystic carcinoma undergoing primary surgery. J. Cancer Res. Clin. Oncol. 2020, 146, 1343–1350. [Google Scholar] [CrossRef]
- Lee, R.H.; Wai, K.C.; Chan, J.W.; Ha, P.K.; Kang, H. Approaches to the Management of Metastatic Adenoid Cystic Carcinoma. Cancers 2022, 14, 5698. [Google Scholar] [CrossRef]



















| Number | Gender/Age (yr) | Site | Symptoms | Lymph Nodes Metastasis at First Visit | DM at First Visit | Surgery | Safety Margin | ND | Reconstruction | RT | CT | Histologic Type | Follow-Up |
|---|---|---|---|---|---|---|---|---|---|---|---|---|---|
| 1 | M/54 | Body (R) | Pain, swelling | No | No | Partial mandibulectomy | / | No | No | Yes | No | Cribriform | Pulmonary metastasis |
| 2 | M/64 | Angle (R) | Pain, swelling, trismus | No | No | Total mandibulectomy | Negative | No | Chrome–cobalt implant | No | No | / | / |
| 3 | F/40 | Ramus | Swelling | No | Lung | No | / | No | No | No | No | / | / |
| 4 | M/35 | Angle (R) | Swelling | No | No | Hemi-mandibulectomy | / | No | No | No | No | / | Lost to follow-up |
| 5 | F/50 | Body (R) | Pain | No | No | Hemi-mandibulectomy | / | No | No | No | No | / | Pulmonary metastasis |
| 6 | F/47 | Body (R) | Paresthesia, tooth mobility | No | The right Gasserian ganglion | No | / | No | No | Yes | No | Solid | / |
| 7 | M/47 | Body (R) | Swelling, tooth mobility | No | No | Hemi-mandibulectomy | / | Yes | No | No | No | / | / |
| 8 | F/72 | Body (L) | Pain | No | No | No/Palliative treatment | / | No | No | No | No | Cribriform | NED at 7 yr, lost to follow-up |
| 9 | F/68 | Ramus (R) | Swelling | No | No | Partial mandibulectomy | Negative | No | No | Yes | No | Cribriform | Recurrence |
| 10 | M/82 | Body, angle, ramus (L) | Pain, swelling | No | No | No | / | No | No | Yes | Yes | Cribriform | Died of pneumonia |
| 11 | F/33 | Body, angle (R) | Pain, trismus | No | No | Hemi-mandibulectomy with preservation of the condyloid process | / | Yes | A free fibula flap and titanium plates | Yes | No | Cribriform | / |
| 12 | M/67 | Body | / | No | No | Hemi-mandibulectomy | / | No | No | No | No | Cribriform, Solid | Lymph node metastases |
| 13 | F/46 | Body (B) | Pain, swelling | No | No | Partial mandibulectomy | Negative | No | No | No | No | Cribriform | NED at 14 y |
| 14 | M/54 | Body (R) | Swelling | Yes | No | Hemi-mandibulectomy | Negative | Yes | A free fibula flap and titanium plates | Yes | No | Cribriform | NED at 4.5 yr |
| 15 | M/51 | Angle | / | / | / | Hemi-mandibulectomy | / | No | No | Yes | No | / | Died of the tumor at 4 yr |
| 16 | M/48 | Body | / | / | / | Hemi-mandibulectomy | / | No | No | Yes | No | / | Died of the tumor at 3 yr |
| 17 | F/24 | Angle | / | / | Lung | Hemi-mandibulectomy | / | No | No | Yes | No | / | AWD at 7 yr |
| 18 | F/35 | Angle | / | / | / | Hemi-mandibulectomy | / | No | No | Yes | No | / | AWD at 5 yr |
| 19 | M/56 | Body(R) | Pain | / | / | Apicoectomy Tooth extraction | / | No | No | No | No | Cribriform, tubular | lost to follow-up |
| 20 | F/36 | Angle (R) | Pain, swelling, paresthesia | No | Lung | No | / | No | No | Yes | Yes | Cribriform | AWD at 3 yr |
| 21 | F/61 | Angle (L) | Swelling | Yes | No | Partial mandibulectomy | Positive | Yes | Titanium plates | Yes | No | / | / |
| 22 | F/80 | Body (L) | Pain | No | No | Partial mandibulectomy | / | No | No | No | No | Solid | NED at 3 yr |
| 23 | M/45 | Body, angle (R) | Swelling | No | Lung | No | / | No | No | No | No | Solid | Died before treatment |
| 24 | F/57 | Angle (L) | Paresthesia, tooth mobility | No | No | Partial mandibulectomy | Negative | No | No | Yes | No | Cribriform, tubular | NED at 3 yr |
| 25 | M/46 | Body, angle, ramus (L) | Pain, paresthesia | No | Lung | Hemi-mandibulectomy | Negative | No | A free fibular flap and titanium plates | No | No | Cribriform, tubular | AWD at 2 yr |
| 26 | F/53 | Body (B) | Pain, swelling, paresthesia | No | No | Partial mandibulectomy | / | No | Walter-Lorenz plate | No | No | Cribriform, tubular | NED at 3 yr |
| 27 | M/68 | Body (B) | Swelling, paresthesia, tooth mobility | No | No | Partial mandibulectomy | Negative | Yes | A fibula free flap and titanium plates | Yes | Yes | Solid | Multiple bone metastases in the ribs, thoracic spine, pubis and pelvis 5 months after surgery. Died with lung metastases 13 months after first being seen |
| 28 | M/48 | Body (L) | Pain | No | No | Hemi-mandibulectomy | / | No | No | Yes | No | Solid | / |
| 29 | F/45 | Body (B) | Pain, paresthesia | No | No | Partial mandibulectomy | / | Yes | A fibula free flap and titanium plates | Yes | Yes | Cribriform | Pulmonary, breast, kidney and pancreatic metastases. Died from respiratory failure 7 years after curative surgery |
| 30 | M/64 | Body (B) | Pain | No | No | Subtotal mandibulectomy (sparing the condylar stumps) | / | Yes | Titanium plates | No | No | Solid | NED at 15 mo |
| 31 | F/23 | Body (R) | Pain, swelling | No | No | Hemi-mandibulectomy | Negative | No | A free fibular flap and titanium plates | Yes | No | Cribriform | NED at 10 mo |
| 32 | F/47 | Body (B) | Swelling, paresthesia, tooth mobility | No | No | Partial mandibulectomy | / | No | A free iliac crest bone flap and titanium plates | No | No | Cribriform | NED at 6 mo |
| 33 | M/57 | Body (L) | Pain, swelling, tooth mobility | No | No | Partial mandibulectomy | Negative | Yes | No | Yes | No | / | NED at 6 mo |
| 34 | F/42 | Body | Pain, tooth mobility | No | No | Partial mandibulectomy | Negative | No | NO | Yes | No | Cribriform | NED at 6 mo |
| 35 | F/81 | Body | Pain | Yes | No | Partial mandibulectomy | Negative | Yes | A pectoralis major musculocutaneous flap | No | No | Solid | Recurrence at 9 mo |
| 36 | F/46 | Body | Swelling | No | No | Partial mandibulectomy | Negative | No | A free fibular flap and titanium plates | Yes | No | Cribriform | NED at 76 mo |
| 37 | F/74 | Body | Pain | Yes | / | Partial mandibulectomy | Negative | Yes | A pectoralis major musculocutaneous flap | Yes | No | Solid | Died at 24 mo |
| 38 | M/66 | Ramus | Swelling | No | No | Partial mandibulectomy | Negative | No | No | Yes | No | Tubular | NED at 21 mo |
| 39 | F/63 | Body | Swelling | No | No | Partial mandibulectomy | Negative | No | No | Yes | No | Cribriform | Recurrence at 144 mo |
| 40 | F/28 | Body | Paresthesia | Yes | No | Partial mandibulectomy | Negative | Yes | A radial forearm free flap | Yes | No | Tubular | NED at 42 mo |
| 41 | M/65 | Body | Swelling | No | No | Partial mandibulectomy | Negative | No | No | Yes | No | Cribriform | NED at 74 mo |
| 42 | F/57 | Body, angle (R) | Swelling, paresthesia | No | No | Partial mandibulectomy | / | No | No | Yes | Yes | Cribriform | Pulmonary metastasis 3 months after surgery. AWD at 3 yr |
| 43 | M/41 | Body, angle, ramus (R) | Toothache, swelling, paresthesia, trismus | No | No | No | / | No | No | No | No | Solid | bone and lymph node metastases 1 year after biopsy. AWD at 1 yr |
| 44 | M/58 | Body (L) | Pain, paresthesia | No | No | Partial mandibulectomy | / | No | No | Yes | No | Solid | NED at 5 mo |
| 45 | M/54 | Body (L) | Swelling | No | No | Partial mandibulectomy | / | No | No | Yes | No | Cribriform | NED at 3 mo |
| 46 | F/38 | Body (L) | Pain, swelling | Yes | No | Hemi-mandibulectomy | Negative | Yes | A free rib skin flap and titanium plates | Yes | No | Cribriform | NED at 2 yr |
| 47 | M/52 | TMJ area (L) | Pain, trismus | Yes | Lung | No | / | No | No | No | Yes | Cribriform | AWD at 2 yr |
| 48 | F/71 | Body (B) | Pain, swelling | No | No | Partial mandibulectomy | / | No | No | Yes | No | Cribriform | NED at 15 mo |
| 49 | M/55 | Body (L) | Swelling, pain | No | No | Hemi-mandibulectomy | Negative | No | A free fibular flap and titanium plates | No | No | Solid | Died of the disease within 3 years |
| 50 | F/54 | Angle, ramus (R) | swelling, pain, paresthesia | Yes | Bone | No/Palliative treatment | / | No | No | No | No | Solid | / |
| 51 | M/49 | Body, angle (R) | Swelling | / | / | No | / | No | No | No | No | Solid, cribriform | lost to follow-up |
| 52 | F/70 | Body, angle, ramus (R) | paresthesia | Yes | Bone | No | / | No | No | Yes | Yes | Solid | AWD at 3 yr |
| 53 | F/65 | Body, angle, ramus (R) | Pain, swelling, paresthesia | Yes | No | Hemi-mandibulectomy(R) Partial mandibulectomy(L) | Negative | Yes | An anterolateral thigh perforator flap | Yes | No | Solid | NED at 15 mo |
| Initial Diagnosis | Total, n (%) |
|---|---|
| Ameloblastoma | 7 (22.6%) |
| Odontogenic infection or cyst | 11 (35.5%) |
| Periapical cemental dysplasia | 1 (3.2%) |
| Malignant tumor | 12 (38.7%) |
Disclaimer/Publisher’s Note: The statements, opinions and data contained in all publications are solely those of the individual author(s) and contributor(s) and not of MDPI and/or the editor(s). MDPI and/or the editor(s) disclaim responsibility for any injury to people or property resulting from any ideas, methods, instructions or products referred to in the content. |
© 2024 by the authors. Licensee MDPI, Basel, Switzerland. This article is an open access article distributed under the terms and conditions of the Creative Commons Attribution (CC BY) license (https://creativecommons.org/licenses/by/4.0/).
Share and Cite
Xu, C.; Shen, W.; Cheng, Y.; Yu, D.; Zhu, H. Primary and Recurrent Intraosseous Adenoid Cystic Carcinoma—Analysis of Two Cases and Literature Review. Medicina 2024, 60, 100. https://doi.org/10.3390/medicina60010100
Xu C, Shen W, Cheng Y, Yu D, Zhu H. Primary and Recurrent Intraosseous Adenoid Cystic Carcinoma—Analysis of Two Cases and Literature Review. Medicina. 2024; 60(1):100. https://doi.org/10.3390/medicina60010100
Chicago/Turabian StyleXu, Chenlu, Wenyi Shen, Yangxi Cheng, Dan Yu, and Huiyong Zhu. 2024. "Primary and Recurrent Intraosseous Adenoid Cystic Carcinoma—Analysis of Two Cases and Literature Review" Medicina 60, no. 1: 100. https://doi.org/10.3390/medicina60010100
APA StyleXu, C., Shen, W., Cheng, Y., Yu, D., & Zhu, H. (2024). Primary and Recurrent Intraosseous Adenoid Cystic Carcinoma—Analysis of Two Cases and Literature Review. Medicina, 60(1), 100. https://doi.org/10.3390/medicina60010100

