Gallbladder Pancreatic Heterotopia—The Importance of Diagnostic Imaging in Managing Intraoperative Findings
Abstract
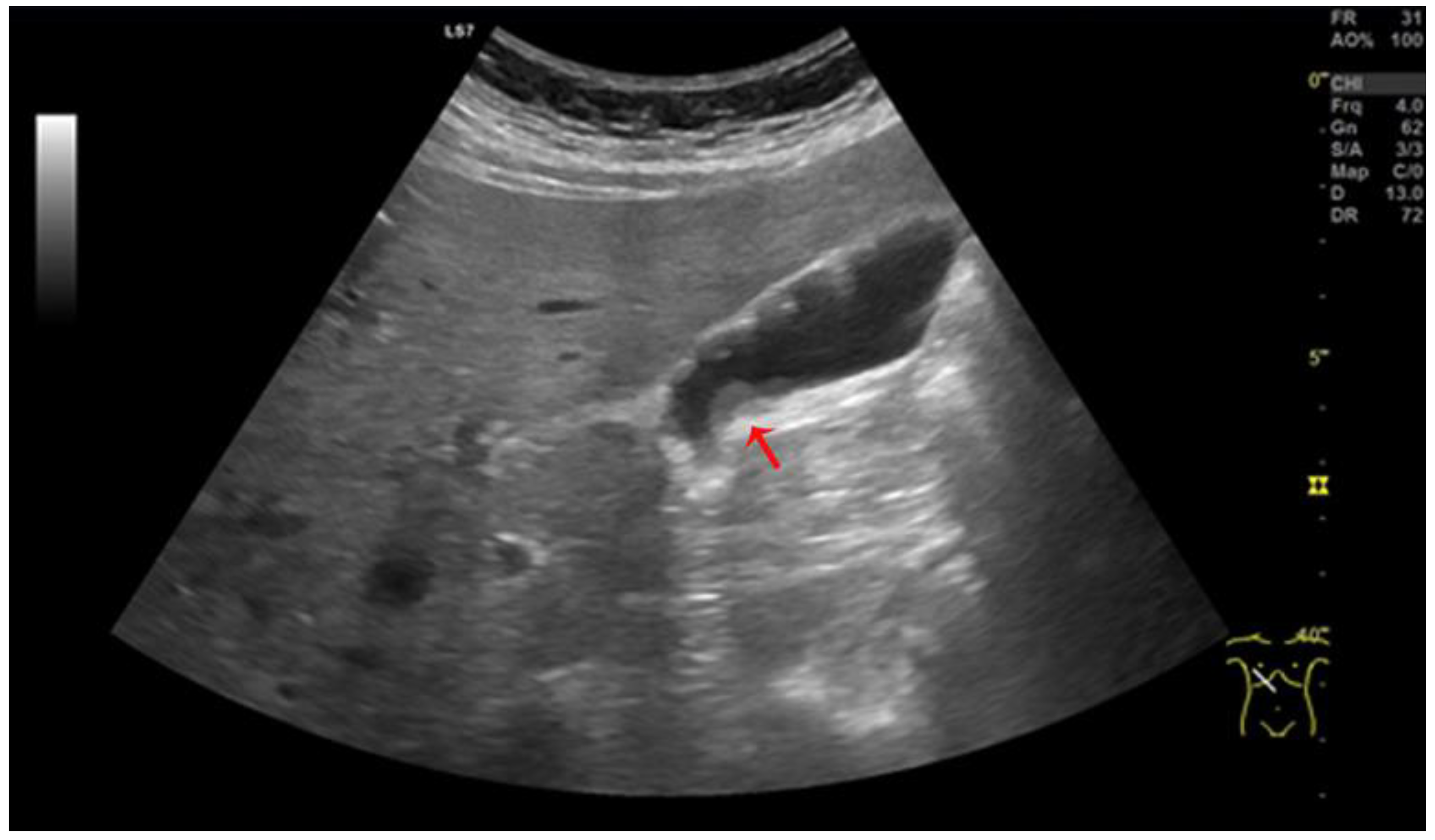
1. Introduction
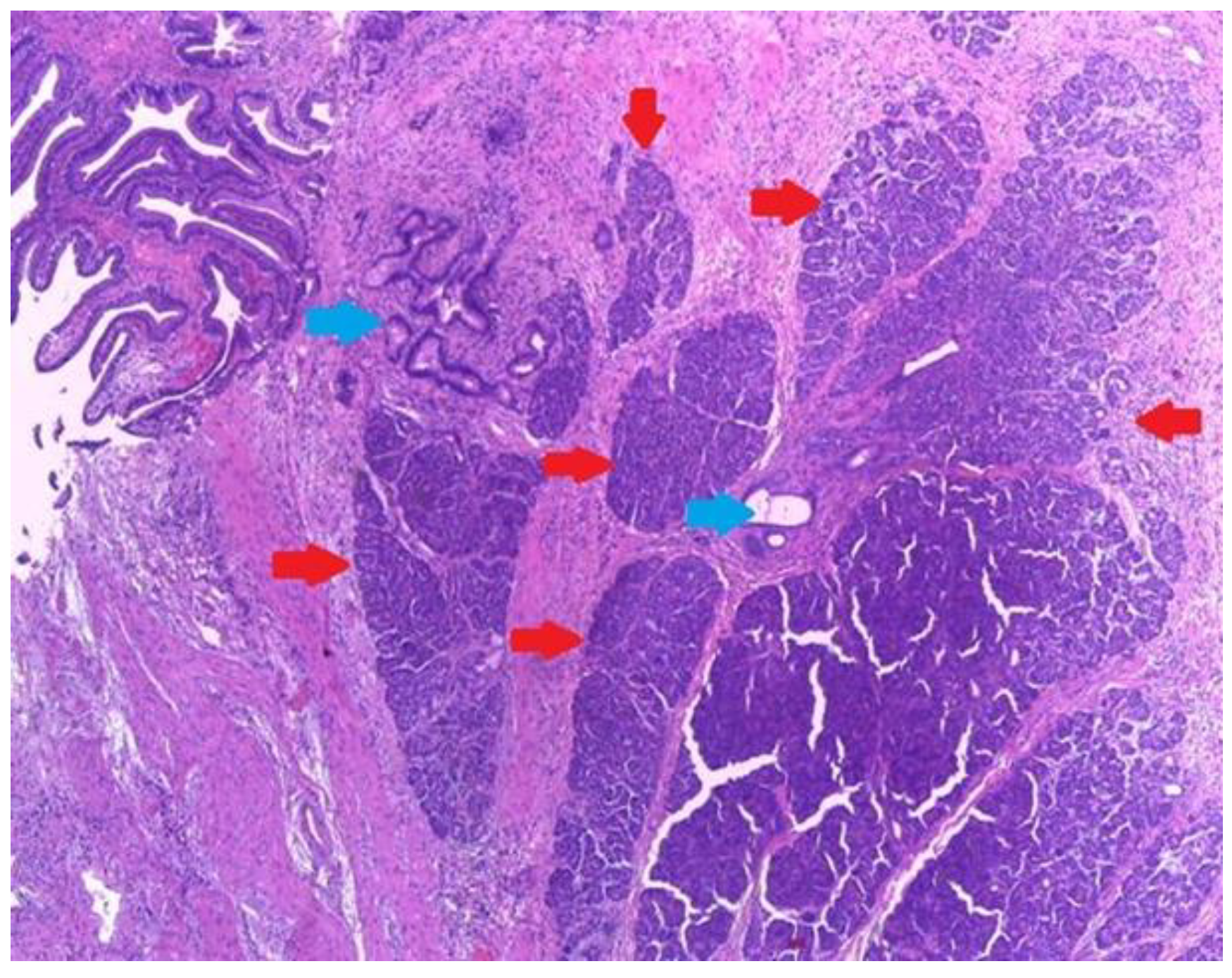
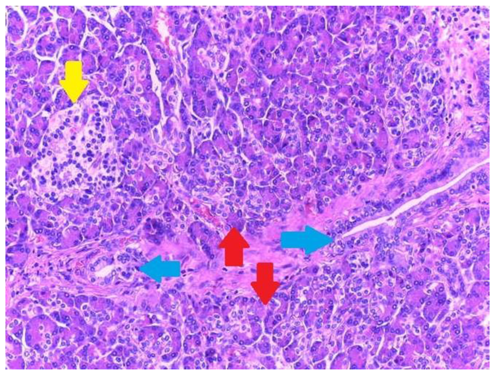
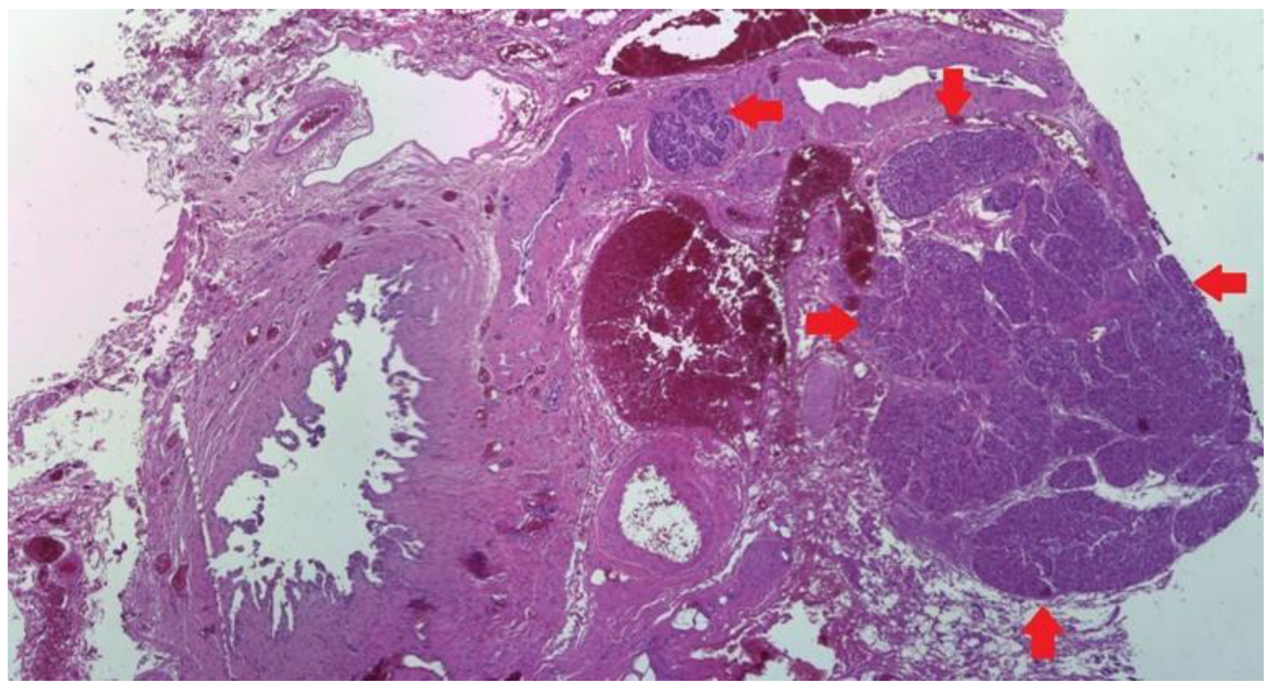
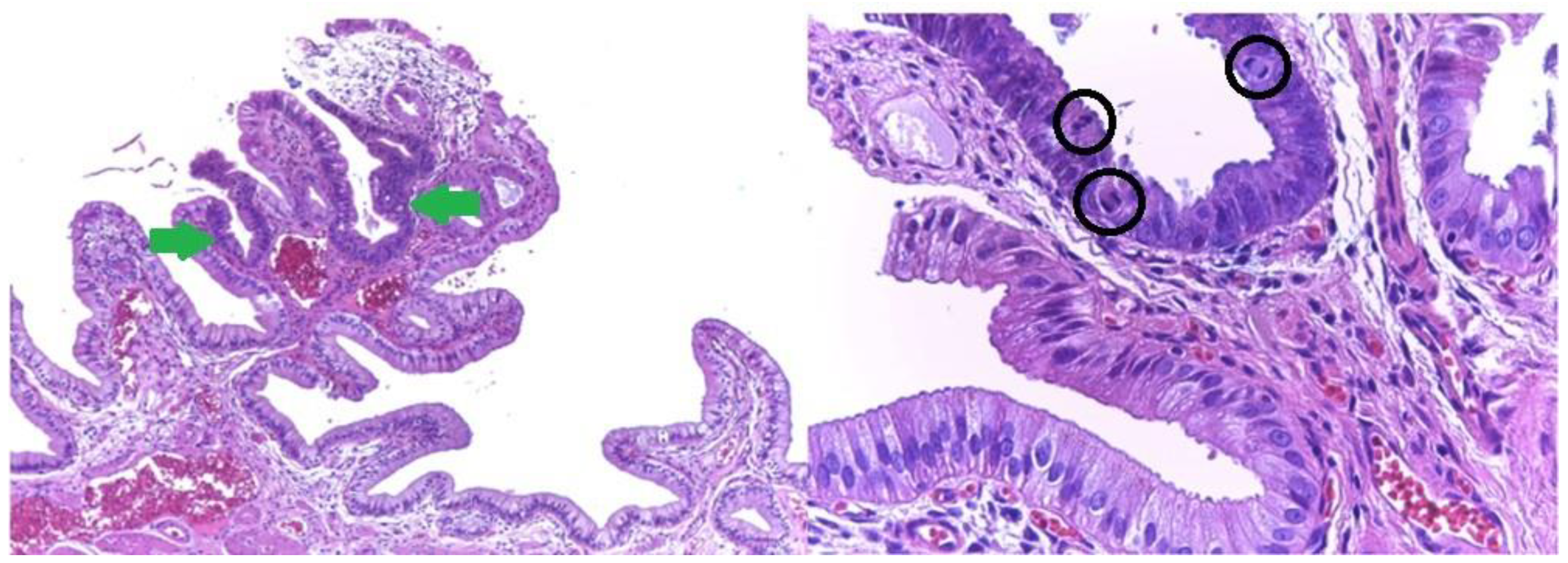
2. Types of Pancreatic Heterotopia
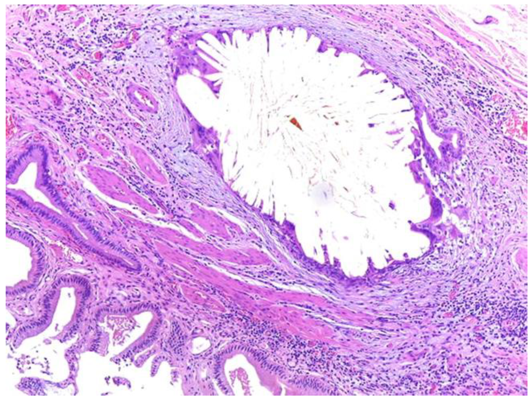
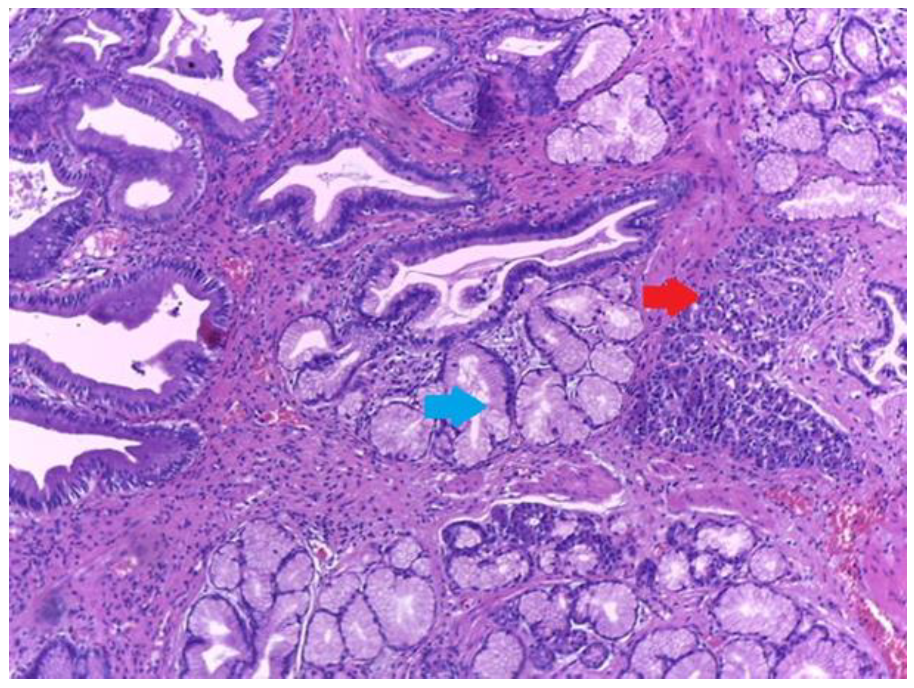
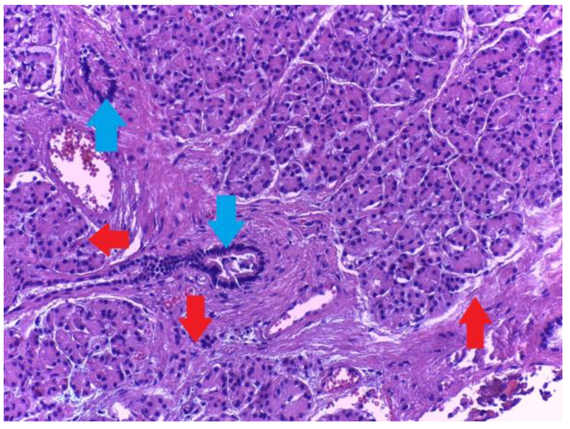
2.1. Type 1
2.2. Type 2
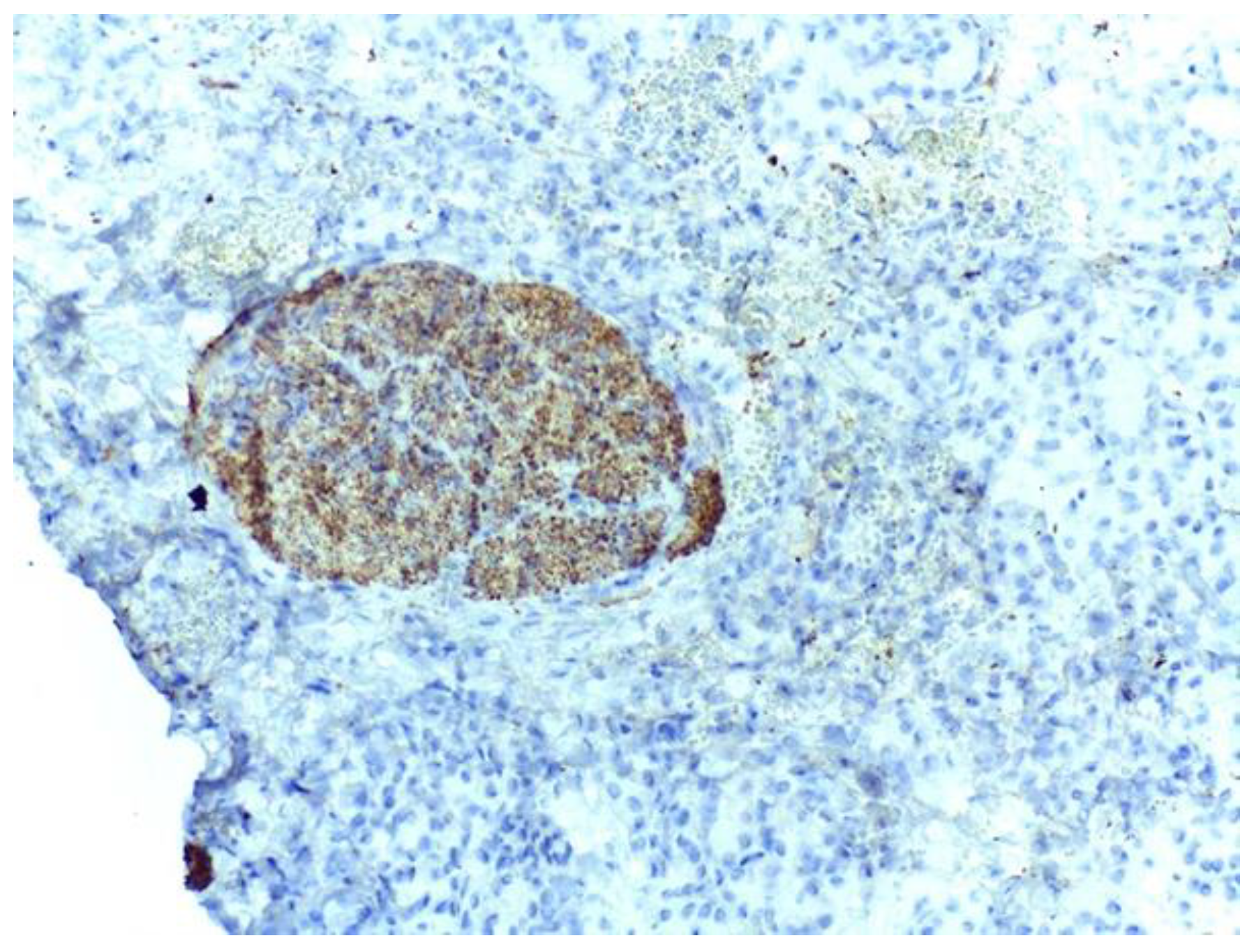
2.3. Type 3
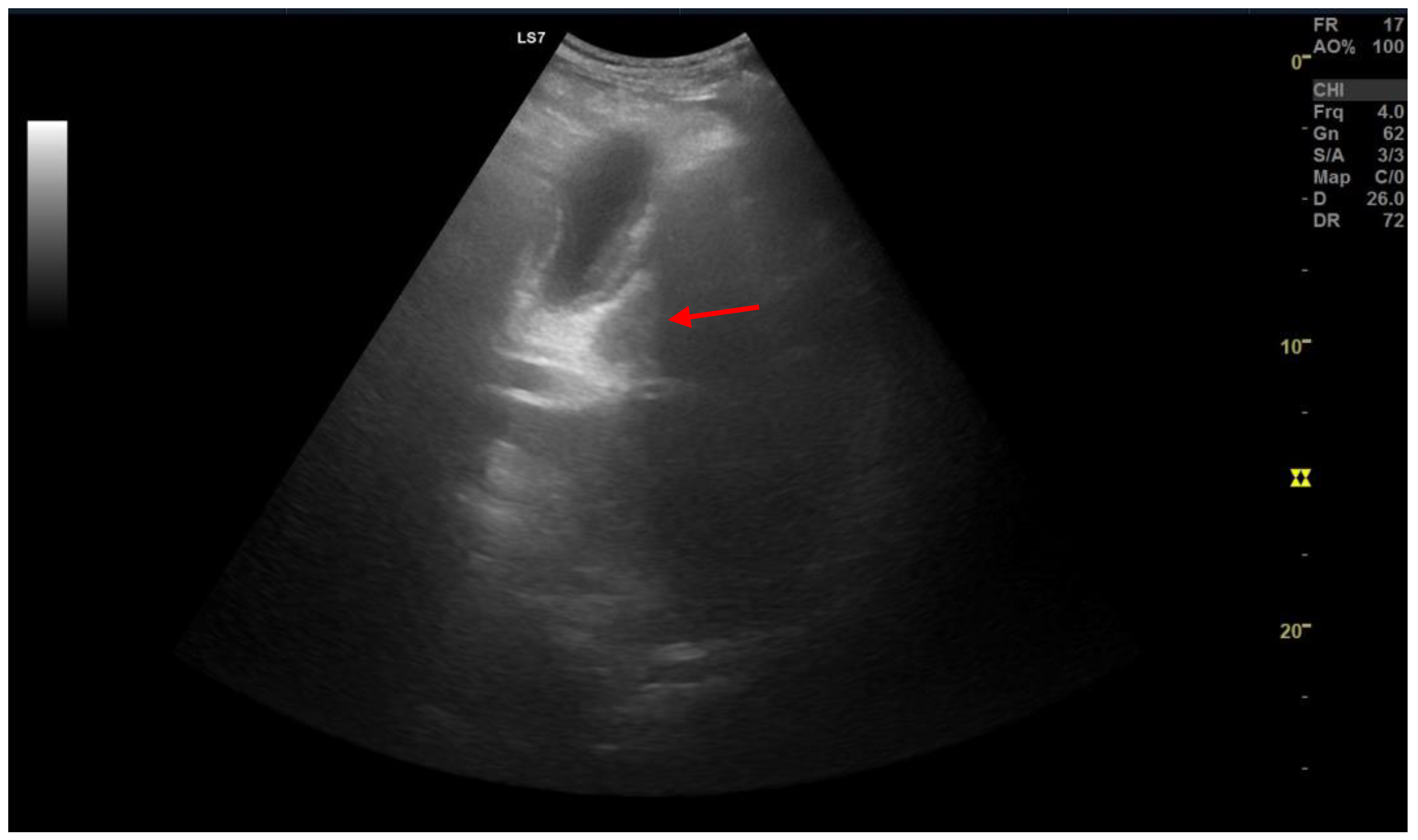
3. Discussion
4. Conclusions
Author Contributions
Funding
Institutional Review Board Statement
Informed Consent Statement
Data Availability Statement
Acknowledgments
Conflicts of Interest
References
- Ormarsson, O.T.; Gudmundsdottir, I.; Mårvik, R. Diagnosis and treatment of gastric heterotopic pancreas. World J. Surg. 2006, 30, 1682–1689. [Google Scholar] [CrossRef] [PubMed]
- Pang, L.C. Pancreatic heterotopia: A reappraisal and clinicopathologic analysis of 32 cases. South. Med. J. 1988, 81, 1264–1275. [Google Scholar] [CrossRef]
- Elhence, P.; Bansal, R.; Agrawal, N. Heterotopic pancreas in gall bladder associated with chronic cholecystolithiasis. Int. J. Appl. Basic Med. Res. 2012, 2, 142–143. [Google Scholar] [CrossRef]
- Wilde, G.E.; Gakhal, M.; Sartip, K.A.; Corso, M.J.; Butt, W.G. Pancreatitis in initially occult gastric heterotopic pancreas. Clin. Imaging 2007, 31, 356–359. [Google Scholar] [CrossRef]
- Jovanovic, I.; Knezevic, S.; Micev, M.; Krstic, M. EUS mini probes in diagnosis of cystic dystrophy of duodenal wall in heterotopic pancreas: A case report. World J. Gastroenterol. 2004, 10, 2609–2612. [Google Scholar] [CrossRef]
- Elpek, G.O.; Bozova, S.; Küpesiz, G.Y.; Oğüş, M. An unusual cause of cholecystitis: Heterotopic pancreatic tissue in the gallbladder. World J. Gastroenterol. 2007, 13, 313–315. [Google Scholar] [CrossRef] [PubMed]
- Ferhatoglu, M.F.; Kivilcim, T.; Kartal, A.; Filiz, A.I. A Rare Pathology Mimicking the Gallstone: Heterotopic Pancreas in the Gallbladder. Cureus 2018, 10, e2659. [Google Scholar] [CrossRef]
- Beltrán, M.A.; Barría, C. Heterotopic pancreas in the gallbladder: The importance of an uncommon condition. Pancreas. 2007, 34, 488–491. [Google Scholar] [CrossRef]
- Gaspar Fuentes, A.; Campos Tarrech, J.M.; Fernández Burgui, J.L.; Castells Tejón, E.; Ruíz Rossello, J.; Gómez Pérez, J.; Armengol Miró, J. Ectopias pancreáticas [Pancreatic ectopias]. Rev. Esp. Enferm. Apar. Dig. 1973, 39, 255–268. (In Spanish) [Google Scholar] [PubMed]
- Hickman, D.M.; Frey, C.F.; Carson, J.W. Adenocarcinoma arising in gastric heterotopic pancreas. West. J. Med. 1981, 135, 57–62. [Google Scholar]
- Terada, T.; Nakanuma, Y.; Kakita, A. Pathologic observations of intrahepatic peribiliary glands in 1000 consecutive autopsy livers: Heterotopic pancreas in the liver. Gastroenterology 1990, 98, 1333–1337. [Google Scholar] [CrossRef] [PubMed]
- Poppi, A. Sui pancreas aberranti. Arch. Ital. Delle Mal. Appar. Dig. 1935, 4, 534–579. [Google Scholar]
- Neupert, G.; Appel, P.; Braun, S.; Tonus, C. Heterotopic pancreas in the gallbladder: Diagnosis, therapy, and course of a rare developmental anomaly of the pancreas. Chirurg 2007, 78, 261–264. [Google Scholar] [CrossRef]
- Pendharkar, D.; Khetrapal, S.; Jairajpuri, Z.S.; Rana, S.; Jetley, S. Pancreatic and Gastric Heterotopia in the Gallbladder: A Rare Incidental Finding. Int. J. Appl. Basic Med. Res. 2019, 9, 115–117. [Google Scholar] [CrossRef] [PubMed]
- Kondi-Paphiti, A.; Antoniou, A.G.; Kotsis, T.; Polimeneas, G. Aberrant pancreas in the gallbladder wall. Eur. Radiol 1997, 7, 1064–1066. [Google Scholar] [CrossRef]
- Sharma, S.P.; Sohail, S.K.; Makkawi, S.; Abdalla, E. Heterotopic pancreatic tissue in the gallbladder. Saudi Med. J. 2018, 39, 834–837. [Google Scholar] [CrossRef]
- Ben-Baruch, D.; Sandbank, Y.; Wolloch, Y. Heterotopic pancreatic tissue in the gallbladder. Acta Chir. Scand. 1986, 152, 557–558. [Google Scholar] [PubMed]
- Inceoglu, R.; Dosluoglu, H.H.; Kullu, S.; Ahiskali, R.; Doslu, F.A. An unusual cause of hydropic gallbladder and biliary colic--heterotopic pancreatic tissue in the cystic duct: Report of a case and review of the literature. Surg. Today 1993, 23, 532–534. [Google Scholar] [CrossRef] [PubMed]
- Sato, A.; Hashimoto, M.; Sasaki, K.; Matsuda, M.; Watanabe, G. Elevation of pancreatic enzymes in gallbladder bile associated with heterotopic pancreas. A case report and review of the literature. JOP 2012, 13, 235–238. [Google Scholar]
- Murtaugh, L.C.; Stanger, B.Z.; Kwan, K.M.; Melton, D.A. Notch signaling controls multiple steps of pancreatic differentiation. Proc. Natl. Acad. Sci. USA 2003, 100, 14920–14925. [Google Scholar] [CrossRef]
- Sumazaki, R.; Shiojiri, N.; Isoyama, S.; Masu, M.; Keino-Masu, K.; Osawa, M.; Nakauchi, H.; Kageyama, R.; Matsui, A. Conversion of biliary system to pancreatic tissue in Hes1-deficient mice. Nat. Genet. 2004, 36, 83–87. [Google Scholar] [CrossRef]
- Fukuda, A.; Kawaguchi, Y.; Furuyama, K.; Kodama, S.; Horiguchi, M.; Kuhara, T.; Koizumi, M.; Boyer, D.F.; Fujimoto, K.; Doi, R.; et al. Ectopic pancreas formation in Hes1 -knockout mice reveals plasticity of endodermal progenitors of the gut, bile duct, and pancreas. J. Clin. Investig. 2006, 116, 1484–1493. [Google Scholar] [CrossRef]
- Ogata, M.; Chihara, N.; Matsunobu, T.; Koizumi, M.; Yoshino, M.; Shioya, T.; Watanabe, M.; Tokunaga, A.; Tajiri, T.; Matsumoto, K. A Case of Intra-abdominal Endocrine Tumor Possibly Arising from an Ectopic Pancreas. J. Nippon. Med. Sch. 2007, 74, 168–172. [Google Scholar] [CrossRef] [PubMed][Green Version]
- Wawrzynski, J.; De Leon, L.; Shah, S.A.; Adrain, A.; Goldstein, L.J.; Feller, E. Gastric Heterotopic Pancreas Presenting as Abdominal Pain with Acute and Chronic Pancreatitis in the Resected Specimen. Case Rep. Gastrointest. Med. 2019, 2019, 2021712. [Google Scholar] [CrossRef] [PubMed]
- Kaur, N.; Chander, B.; Kaur, H.; Kaul, R. Cholecystitis Associated with Heterotopic Pancreas, Pseudopyloric Metaplasia, and Adenomyomatous Hyperplasia: A Rare Combination. J. Lab. Physicians 2016, 8, 126–128. [Google Scholar] [CrossRef] [PubMed]
- Sanchiz-Cárdenas, E.M.; Soler Humanes, R.; Lavado-Fernández, A.I.; Díaz-Nieto, R.; Suárez-Muñoz, M.A. Ectopic pancreas in gallbladder. Clinical significance, diagnostic and therapeutic implications. Rev. Esp. Enferm. Dig. 2015, 107, 701–703. [Google Scholar] [CrossRef]
- Totolici, B.D.; Neamţu, C.; Bodog, F.D.; Bungau, S.; Goldiş, D.S.; Matei, M.; Andercou, O.A.; Amza, O.L.; Gyori, Z.; Coldea, L. Hemobilia by idiopathic aneurysm of cystic artery, fistulized in the biliary ways—Clinical case. Rom. J. Morphol. Embryol. 2017, 58, 267–270. [Google Scholar] [PubMed]
- Dumitru, M.; Berghi, O.N.; Taciuc, I.-A.; Vrinceanu, D.; Manole, F.; Costache, A. Could Artificial Intelligence Prevent Intraoperative Anaphylaxis? Reference Review and Proof of Concept. Medicina 2022, 58, 1530. [Google Scholar] [CrossRef]


















Disclaimer/Publisher’s Note: The statements, opinions and data contained in all publications are solely those of the individual author(s) and contributor(s) and not of MDPI and/or the editor(s). MDPI and/or the editor(s) disclaim responsibility for any injury to people or property resulting from any ideas, methods, instructions or products referred to in the content. |
© 2023 by the authors. Licensee MDPI, Basel, Switzerland. This article is an open access article distributed under the terms and conditions of the Creative Commons Attribution (CC BY) license (https://creativecommons.org/licenses/by/4.0/).
Share and Cite
Şerboiu, C.S.; Aliuș, C.; Dumitru, A.; Țăpoi, D.; Costache, M.; Nica, A.E.; Alexandra-Ana, M.; Antoniac, I.; Grădinaru, S. Gallbladder Pancreatic Heterotopia—The Importance of Diagnostic Imaging in Managing Intraoperative Findings. Medicina 2023, 59, 1407. https://doi.org/10.3390/medicina59081407
Şerboiu CS, Aliuș C, Dumitru A, Țăpoi D, Costache M, Nica AE, Alexandra-Ana M, Antoniac I, Grădinaru S. Gallbladder Pancreatic Heterotopia—The Importance of Diagnostic Imaging in Managing Intraoperative Findings. Medicina. 2023; 59(8):1407. https://doi.org/10.3390/medicina59081407
Chicago/Turabian StyleŞerboiu, Crenguţa Sorina, Cătălin Aliuș, Adrian Dumitru, Dana Țăpoi, Mariana Costache, Adriana Elena Nica, Mihăilescu Alexandra-Ana, Iulian Antoniac, and Sebastian Grădinaru. 2023. "Gallbladder Pancreatic Heterotopia—The Importance of Diagnostic Imaging in Managing Intraoperative Findings" Medicina 59, no. 8: 1407. https://doi.org/10.3390/medicina59081407
APA StyleŞerboiu, C. S., Aliuș, C., Dumitru, A., Țăpoi, D., Costache, M., Nica, A. E., Alexandra-Ana, M., Antoniac, I., & Grădinaru, S. (2023). Gallbladder Pancreatic Heterotopia—The Importance of Diagnostic Imaging in Managing Intraoperative Findings. Medicina, 59(8), 1407. https://doi.org/10.3390/medicina59081407

