A Case of Biliary Cast Syndrome with Cholangiocarcinoma-like Lesion in a Patient with No History of Liver Transplantation
Abstract
1. Introduction
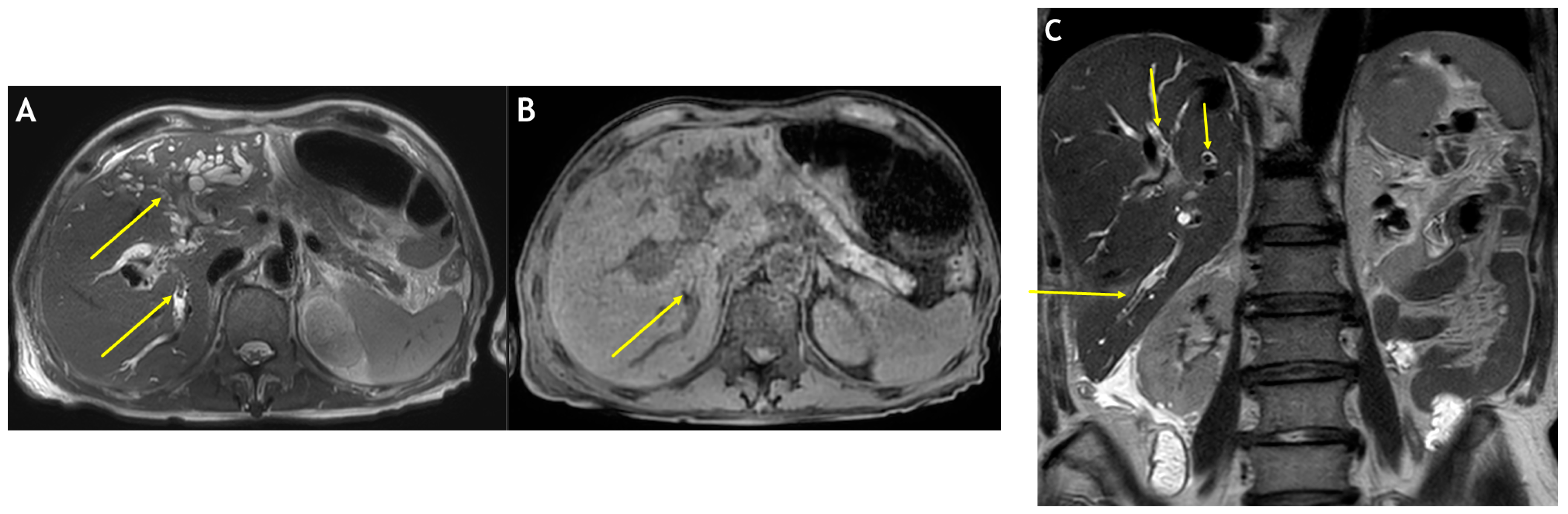
2. Case Report
3. Discussion
4. Conclusions
Author Contributions
Funding
Institutional Review Board Statement
Informed Consent Statement
Data Availability Statement
Conflicts of Interest
References
- Ha, S.I.; Choi, J.S.; Kim, Y.H.; Jun, H.S.; Jo, Y.G.; Lee, W.H.; Park, S.G.; Lee, S.H. Biliary cast syndrome in non-liver surgery patients. Korean J. Gastroenterol. 2012, 60, 382–385. [Google Scholar] [CrossRef] [PubMed]
- Waldram, R.; Williams, R.; Calne, R.Y. Bile composition and bile cast formation after transplantation of the liver in man. Transplantation 1975, 19, 382–387. [Google Scholar] [CrossRef] [PubMed]
- Jun, S.G.; Jeon, S.R.; Moon, J.H.; Cho, Y.D. A Case of Biliary Cast Syndrome in a Non-liver Transplant Patient. Korean J. Gastrointest. Endosc. 2011, 42, 419–423. [Google Scholar]
- Chun, P.J.; Gu, P.J. A Case of Biliary Cast Syndrome after Endoscopic and Percutaneous Management of Common Bile Duct Stone. J. Korean Soc. Radiol. 2022, 83, 224–229. [Google Scholar]
- Gor, N.V.; Levy, R.M.; Ahn, J.; Kogan, D.; Dodson, S.F.; Cohen, S.M. Biliary cast syndrome following liver transplantation: Predictive factors and clinical outcomes. Liver Transpl. 2008, 14, 1466–1472. [Google Scholar] [CrossRef] [PubMed]
- Koo, J.W.; Jang, N.E.; Lee, H.J.; Joo, K.R.; Cha, J.M.; Shin, H.P.; Lee, J.I.; Lim, S.J. A case of biliary cast developed in a patient with long-standing biliary sludge. Clin. Endosc. 2013, 46, 98–101. [Google Scholar] [CrossRef] [PubMed]
- Parry, S.D.; Muiesan, P. Cholangiopathy and the biliary cast syndrome. Eur. J. Gastroenterol. Hepatol. 2003, 15, 341–343. [Google Scholar] [CrossRef] [PubMed]
- Kinner, S.; Umutlu, L.; Dechêne, A.; Ladd, S.C.; Barkhausen, J.; Gerken, G.; Lauenstein, T.C.; Hunold, P. Biliary complications after liver transplantation: Addition of T1-weighted images to MR cholangiopancreatography facilitates detection of cast in biliary cast syndrome. Radiology 2012, 263, 429–436. [Google Scholar] [CrossRef] [PubMed]
- Lemmers, A.; Pezzullo, M.; Hadefi, A.; Dept, S.; Germanova, D.; Gustot, T.; Degré, D.; Boon, N.; Moreno, C.; Blero, D.; et al. Biliary cast syndrome after liver transplantation: A cholangiographic evolution study. J. Gastroenterol. Hepatol. 2021, 36, 1366–1377. [Google Scholar] [CrossRef] [PubMed]
- Renz, B.W.; Bosch, F.; Angele, M.K. Bile duct injury after cholecystectomy: Surgical therapy. Visc. Med. 2017, 33, 184–190. [Google Scholar] [CrossRef] [PubMed]
- Mir, F.F.; Jonnalagadda, S.S. Bile cast syndrome: Diagnosis and management, a case series. Endosc. Int. Open 2017, 5, E321–E323. [Google Scholar] [CrossRef] [PubMed]
- Dziurkowska-Marek, A.; Hartleb, M.; Marek, T.A.; Nowakowska-Duława, E.; Kaczor, R.; Ciupińska-Kajor, M.; Kajor, M. Fatal case of biliary cast syndrome in nontransplant patient. Endoscopy 2009, 41 (Suppl. S2), E256. [Google Scholar] [CrossRef] [PubMed]
- D’Haens, G.R.; Ruchim, M.A.; Goldberg, M.J.; Baker, A.L. Massive intra-hepatic and extra-hepatic bile cast formation after cholecystectomy. Gastrointest. Endosc. 1993, 39, 579–581. [Google Scholar] [CrossRef] [PubMed]





Disclaimer/Publisher’s Note: The statements, opinions and data contained in all publications are solely those of the individual author(s) and contributor(s) and not of MDPI and/or the editor(s). MDPI and/or the editor(s) disclaim responsibility for any injury to people or property resulting from any ideas, methods, instructions or products referred to in the content. |
© 2023 by the authors. Licensee MDPI, Basel, Switzerland. This article is an open access article distributed under the terms and conditions of the Creative Commons Attribution (CC BY) license (https://creativecommons.org/licenses/by/4.0/).
Share and Cite
Jo, S.-H.; Choi, H.-C.; Park, S.-E.; Moon, J.-I.; Won, J.-H.; Na, J.-B.; Kim, Y.-W.; Yang, W.-J.; Koo, B.-J.; Ahn, J.-K.; et al. A Case of Biliary Cast Syndrome with Cholangiocarcinoma-like Lesion in a Patient with No History of Liver Transplantation. Medicina 2023, 59, 1272. https://doi.org/10.3390/medicina59071272
Jo S-H, Choi H-C, Park S-E, Moon J-I, Won J-H, Na J-B, Kim Y-W, Yang W-J, Koo B-J, Ahn J-K, et al. A Case of Biliary Cast Syndrome with Cholangiocarcinoma-like Lesion in a Patient with No History of Liver Transplantation. Medicina. 2023; 59(7):1272. https://doi.org/10.3390/medicina59071272
Chicago/Turabian StyleJo, Sa-Hong, Ho-Cheol Choi, Sung-Eun Park, Jin-Il Moon, Jung-Ho Won, Jae-Boem Na, Yang-Won Kim, Won-Jeong Yang, Byeong-Ju Koo, Jae-Kyeong Ahn, and et al. 2023. "A Case of Biliary Cast Syndrome with Cholangiocarcinoma-like Lesion in a Patient with No History of Liver Transplantation" Medicina 59, no. 7: 1272. https://doi.org/10.3390/medicina59071272
APA StyleJo, S.-H., Choi, H.-C., Park, S.-E., Moon, J.-I., Won, J.-H., Na, J.-B., Kim, Y.-W., Yang, W.-J., Koo, B.-J., Ahn, J.-K., & Kim, S.-J. (2023). A Case of Biliary Cast Syndrome with Cholangiocarcinoma-like Lesion in a Patient with No History of Liver Transplantation. Medicina, 59(7), 1272. https://doi.org/10.3390/medicina59071272

