Leptin and the rs2167270 Polymorphism Are Associated with Glycemic Control in Type Two Diabetes Mellitus Patients on Metformin Therapy
Abstract
1. Introduction
2. Materials and Methods
2.1. Study Design and Patient Recruitment
2.2. Eligibility Criteria
2.3. Glycemic Control Definition
2.4. Ethical Approval
2.5. Demographic, Anthropometric, and Clinical Data
2.6. Blood Sample Collection
2.7. Biochemical Measurements
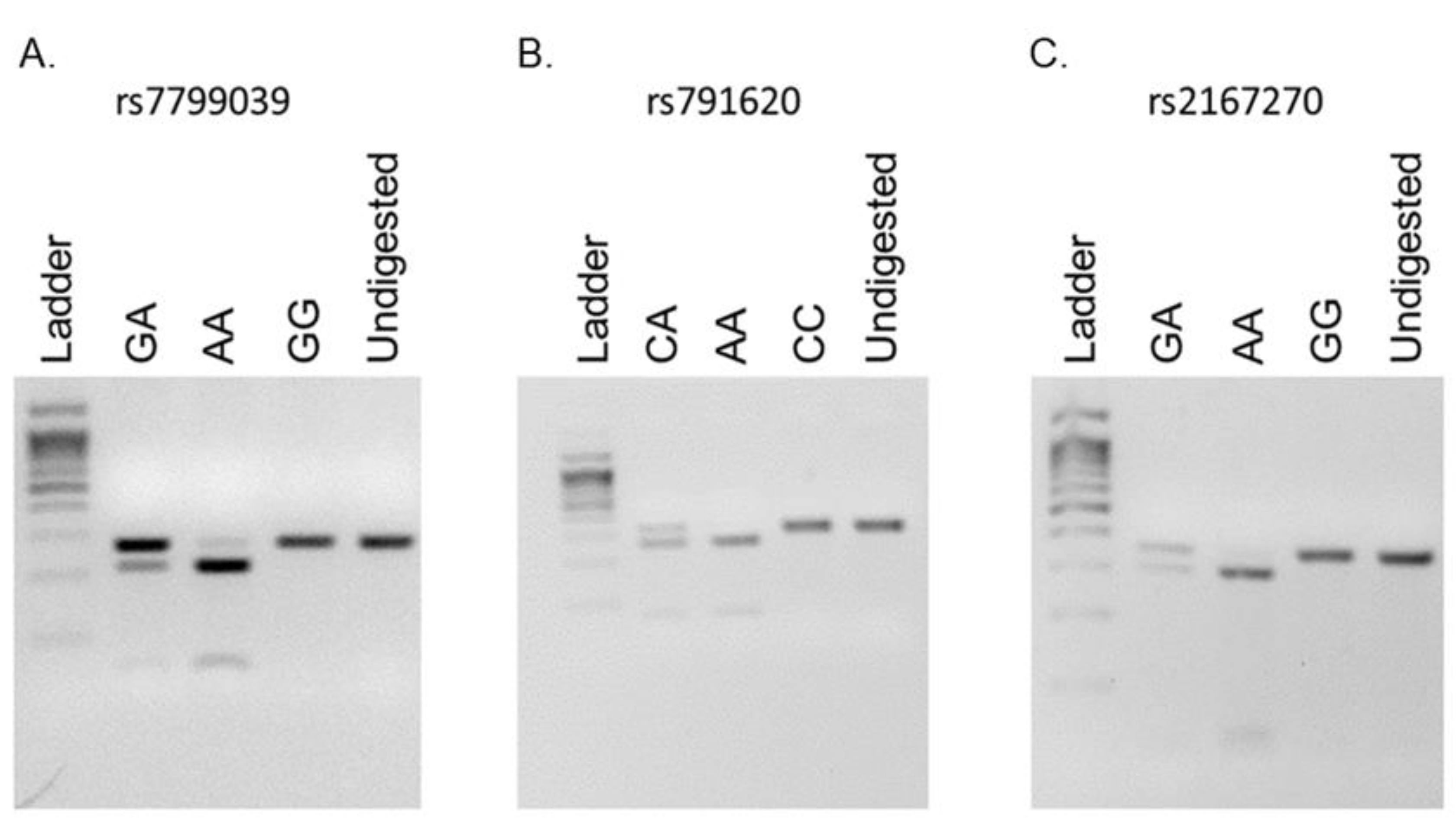
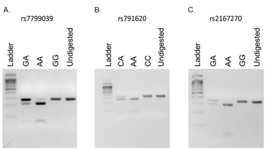
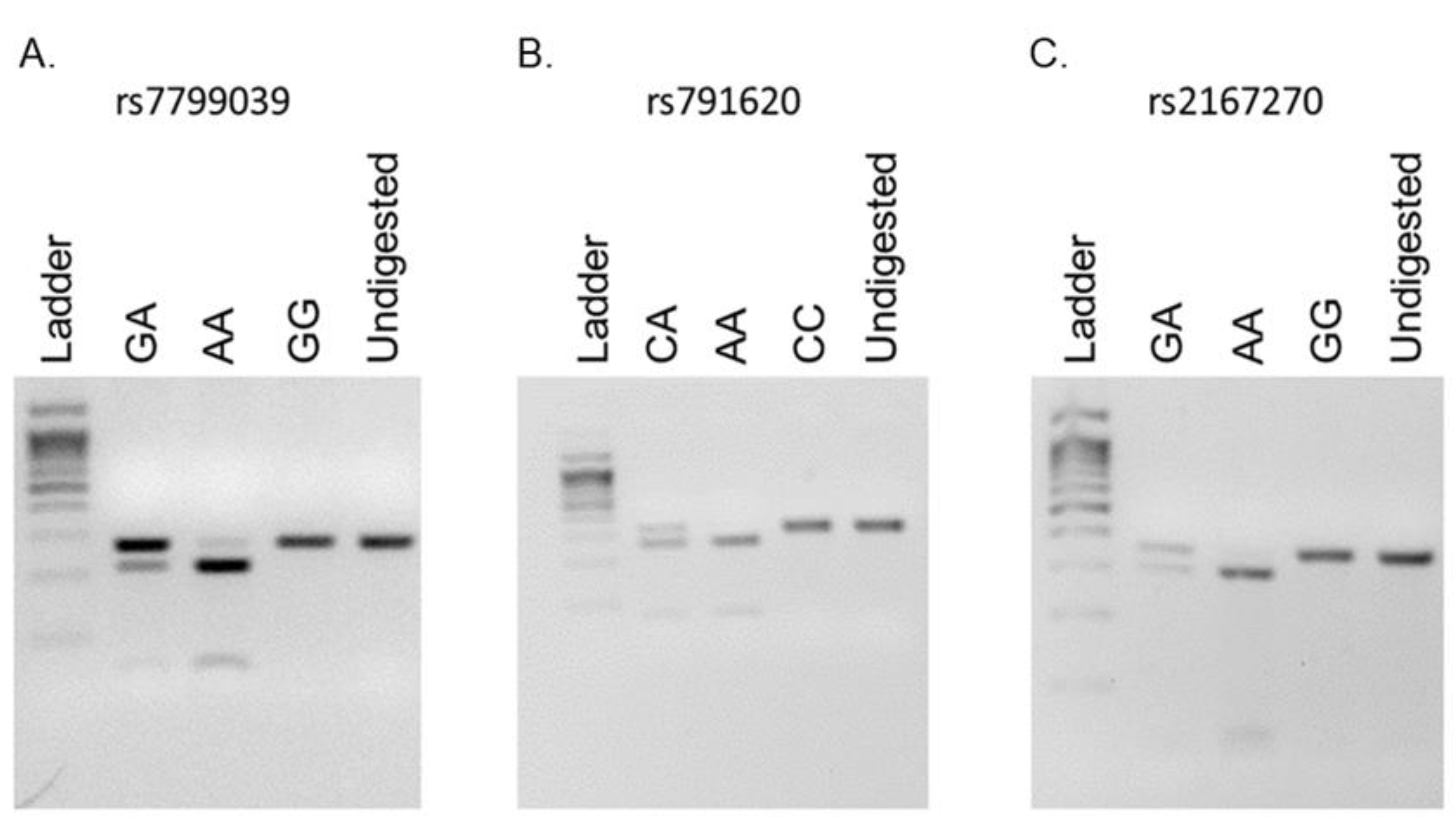
2.8. DNA Extraction and Genotyping
2.9. Statistical Analysis
3. Results
3.1. Patient Characteristics and Biochemical Profile
3.2. Leptin and the GA Genotype of rs2167270 Reduce the Risk of Poor Glycemic Control
4. Discussion
5. Conclusions
Author Contributions
Funding
Institutional Review Board Statement
Informed Consent Statement
Data Availability Statement
Acknowledgments
Conflicts of Interest
References
- Bastaki, S. Diabetes mellitus and its treatment. Dubai Diabetes Endocrinol. J. 2005, 13, 111–134. [Google Scholar] [CrossRef]
- Alfaqih, M.A.; Abu-Khdair, Z.; Saadeh, R.; Saadeh, N.; Al-Dwairi, A.; Al-Shboul, O. Serum branched chain amino acids are associated with type 2 diabetes mellitus in Jordan. Korean J. Fam. Med. 2018, 39, 313. [Google Scholar] [CrossRef] [PubMed]
- Alfaqih, M.A.; Abu-Khdair, Z.E.; Khabour, O.; Kheirallah, K.A.; Khanfar, M. A single nucleotide polymorphism in BCAT1 gene is associated with type 2 diabetes mellitus. Acta Biochim. Pol. 2022, 69, 19–24. [Google Scholar] [CrossRef]
- Alfaqih, M.A.; Melhem, N.Y.; Khabour, O.F.; Al-Dwairi, A.; Elsalem, L.; Alsaqer, T.G.; Allouh, M.Z. Normalization of vitamin D serum levels in patients with type two diabetes mellitus reduces levels of branched chain amino acids. Medicina 2022, 58, 1267. [Google Scholar] [CrossRef] [PubMed]
- Mills, H.; Acquah, R.; Tang, N.; Cheung, L.; Klenk, S.; Glassen, R.; Pirson, M.; Albert, A.; Hoang, D.T.; Van, T.N. Type 2 Diabetes Mellitus (T2DM) and Carbohydrate Metabolism in Relation to T2DM from Endocrinology, Neurophysiology, Molecular Biology, and Biochemistry Perspectives. Evid.-Based Complement. Altern. Med. 2022, 2022, 1708769. [Google Scholar] [CrossRef]
- Deshmukh, C.D.; Jain, A.; Nahata, B. Diabetes mellitus: A review. Int. J. Pure Appl. Biosci. 2015, 3, 224–230. [Google Scholar]
- Cole, J.B.; Florez, J.C. Genetics of diabetes mellitus and diabetes complications. Nat. Rev. Nephrol. 2020, 16, 377–390. [Google Scholar] [CrossRef]
- Yuan, T.; Yang, T.; Chen, H.; Fu, D.; Hu, Y.; Wang, J.; Yuan, Q.; Yu, H.; Xu, W.; Xie, X. New insights into oxidative stress and inflammation during diabetes mellitus-accelerated atherosclerosis. Redox Biol. 2019, 20, 247–260. [Google Scholar] [CrossRef]
- Nasri, H.; Rafieian-Kopaei, M. Diabetes mellitus and renal failure: Prevention and management. J. Res. Med. Sci. Off. J. Isfahan Univ. Med. Sci. 2015, 20, 1112. [Google Scholar]
- Stefánsson, E.; Bek, T.; Porta, M.; Larsen, N.; Kristinsson, J.K.; Agardh, E. Screening and prevention of diabetic blindness. Acta Ophthalmol. Scand. 2000, 78, 374–385. [Google Scholar] [CrossRef]
- Khan, M.A.B.; Hashim, M.J.; King, J.K.; Govender, R.D.; Mustafa, H.; Al Kaabi, J. Epidemiology of type 2 diabetes–global burden of disease and forecasted trends. J. Epidemiol. Glob. Health 2020, 10, 107. [Google Scholar] [CrossRef] [PubMed]
- Alfaqih, M.A.; Al-Hawamdeh, A.; Amarin, Z.O.; Khader, Y.S.; Mhedat, K.; Allouh, M.Z. Single Nucleotide Polymorphism in the ADIPOQ Gene Modifies Adiponectin Levels and Glycemic Control in Type Two Diabetes Mellitus Patients. BioMed Res. Int. 2022, 2022, 6632442. [Google Scholar] [CrossRef] [PubMed]
- Gaster, B.; Hirsch, I.B. The effects of improved glycemic control on complications in type 2 diabetes. Arch. Intern. Med. 1998, 158, 134–140. [Google Scholar] [CrossRef] [PubMed]
- American Diabetes Association Professional Practice Committee. 2. Classification and Diagnosis of Diabetes: Standards of Medical Care in Diabetes—2022. Diabetes Care 2022, 45, S17–S38. [Google Scholar] [CrossRef]
- Skyler, J.S. Effects of glycemic control on diabetes complications and on the prevention of diabetes. Clin. Diabetes 2004, 22, 162–166. [Google Scholar] [CrossRef]
- Imran, S.A.; Rabasa-Lhoret, R.; Ross, S.; Diabetes Canada Clinical Practice Guidelines Expert Committee. Targets for glycemic control. Can. J. Diabetes 2013, 37, S31–S34. [Google Scholar] [CrossRef]
- Jones, H.; Edwards, L.; Vallis, T.M.; Ruggiero, L.; Rossi, S.R.; Rossi, J.S.; Greene, G.; Prochaska, J.O.; Zinman, B. Changes in diabetes self-care behaviors make a difference in glycemic control: The Diabetes Stages of Change (DiSC) study. Diabetes Care 2003, 26, 732–737. [Google Scholar] [CrossRef]
- Dawite, F.; Girma, M.; Shibiru, T.; Kefelew, E.; Hailu, T.; Temesgen, R.; Abebe, G. Factors associated with poor glycemic control among adult patients with type 2 diabetes mellitus in Gamo and Gofa zone public hospitals, Southern Ethiopia: A case-control study. PLoS ONE 2023, 18, e0276678. [Google Scholar] [CrossRef]
- Khattab, M.; Khader, Y.S.; Al-Khawaldeh, A.; Ajlouni, K. Factors associated with poor glycemic control among patients with type 2 diabetes. J. Diabetes Complicat. 2010, 24, 84–89. [Google Scholar] [CrossRef]
- Ricks, J.; Molnar, M.Z.; Kovesdy, C.P.; Shah, A.; Nissenson, A.R.; Williams, M.; Kalantar-Zadeh, K. Glycemic Control and Cardiovascular Mortality in Hemodialysis Patients with Diabetes: A 6-Year Cohort Study. Diabetes 2012, 61, 708–715. [Google Scholar] [CrossRef]
- Aljanabi, M.A.; Alfaqih, M.A.; Khanfar, M.; Amarin, Z.O.; Elsalem, L.; Saadeh, R.; Al-Μughales, F. Leptin and the GA genotype of rs2167270 of the LEP gene increase the risk of prediabetes. Biomed. Rep. 2021, 14, 44. [Google Scholar] [CrossRef]
- Kelesidis, T.; Kelesidis, I.; Chou, S.; Mantzoros, C.S. Narrative review: The role of leptin in human physiology: Emerging clinical applications. Ann. Intern. Med. 2010, 152, 93–100. [Google Scholar] [CrossRef]
- Fatima, W.; Shahid, A.; Imran, M.; Manzoor, J.; Hasnain, S.; Rana, S.; Mahmood, S. Leptin deficiency and leptin gene mutations in obese children from Pakistan. Int. J. Pediatr. Obes. 2011, 6, 419–427. [Google Scholar] [CrossRef]
- Lindström, P. The physiology of obese-hyperglycemic mice [ob/ob mice]. Sci. World J. 2007, 7, 666–685. [Google Scholar] [CrossRef]
- Mantzoros, C.S.; Magkos, F.; Brinkoetter, M.; Sienkiewicz, E.; Dardeno, T.A.; Kim, S.-Y.; Hamnvik, O.-P.R.; Koniaris, A. Leptin in human physiology and pathophysiology. Am. J. Physiol.-Endocrinol. Metab. 2011, 301, E567–E584. [Google Scholar] [CrossRef]
- D’souza, A.M.; Neumann, U.H.; Glavas, M.M.; Kieffer, T.J. The glucoregulatory actions of leptin. Mol. Metab. 2017, 6, 1052–1065. [Google Scholar] [CrossRef]
- Frühbeck, G.; Salvador, J. Relation between leptin and the regulation of glucose metabolism. Diabetologia 2000, 43, 3. [Google Scholar] [CrossRef]
- Denroche, H.C.; Huynh, F.K.; Kieffer, T.J. The role of leptin in glucose homeostasis. J. Diabetes Investig. 2012, 3, 115–129. [Google Scholar] [CrossRef]
- Marcello, M.A.; Calixto, A.R.; De Almeida, J.F.M.; Martins, M.B.; Cunha, L.L.; Cavalari, C.A.A.; Etchebehere, E.; da Assumpção, L.V.M.; Geloneze, B.; Carvalho, A.L. Polymorphism in LEP and LEPR may modify leptin levels and represent risk factors for thyroid cancer. Int. J. Endocrinol. 2015, 2015, 173218. [Google Scholar] [CrossRef]
- Duan, D.M.; Jhang, J.Y.; Wu, S.; Teng, M.S.; Hsu, L.A.; Ko, Y.L. Modification effect of sex and obesity on the correlation of LEP polymorphisms with leptin levels in Taiwanese obese women. Mol. Genet. Genom. Med. 2020, 8, e1113. [Google Scholar] [CrossRef]
- Chen, H.H.; Hsu, H.T.; Liao, M.H.; Teng, M.S. Effects of Sex and Obesity on LEP Variant and Leptin Level Associations in Intervertebral Disc Degeneration. Int. J. Mol. Sci. 2022, 23, 12275. [Google Scholar] [CrossRef] [PubMed]
- Cadena-López, R.O.; Hernández-Rodríguez, L.V.; Aguilar-Galarza, A.; García-Muñoz, W.; Haddad-Talancón, L.; Anzures-Cortes, M.d.L.; Velázquez-Sánchez, C.; Flores-Viveros, K.L.; Anaya-Loyola, M.A.; García-Gasca, T.; et al. Association between SNPs in Leptin Pathway Genes and Anthropometric, Biochemical, and Dietary Markers Related to Obesity. Genes 2022, 13, 945. [Google Scholar] [CrossRef] [PubMed]
- Bin Rakhis, S.A., Sr.; AlDuwayhis, N.M.; Aleid, N.; AlBarrak, A.N.; Aloraini, A.A. Glycemic Control for Type 2 Diabetes Mellitus Patients: A Systematic Review. Cureus 2022, 14, e26180. [Google Scholar] [CrossRef] [PubMed]
- Alfaqih, M.A.; Al-Mughales, F.; Al-Shboul, O.; Al Qudah, M.; Khader, Y.S.; Al-Jarrah, M. Association of Adiponectin and rs1501299 of the ADIPOQ Gene with Prediabetes in Jordan. Biomolecules 2018, 8, 117. [Google Scholar] [CrossRef] [PubMed]
- Saadeh, N.; Alfaqih, M.A.; Mansour, H.; Khader, Y.S.; Saadeh, R.; Al-Dwairi, A.; Nusier, M. Serum homocysteine is associated with polycystic ovarian syndrome in Jordan. Biomed. Rep. 2018, 9, 439–445. [Google Scholar] [CrossRef]
- Shi, Y.Y.; He, L. SHEsis, a powerful software platform for analyses of linkage disequilibrium, haplotype construction, and genetic association at polymorphism loci. Cell Res. 2005, 15, 97–98. [Google Scholar] [CrossRef] [PubMed]
- Li, Z.; Zhang, Z.; He, Z.; Tang, W.; Li, T.; Zeng, Z.; He, L.; Shi, Y. A partition-ligation-combination-subdivision EM algorithm for haplotype inference with multiallelic markers: Update of the SHEsis (http://analysis.bio-x.cn). Cell Res. 2009, 19, 519–523. [Google Scholar] [CrossRef]
- Solé, X.; Guinó, E.; Valls, J.; Iniesta, R.; Moreno, V. SNPStats: A web tool for the analysis of association studies. Bioinformatics 2006, 22, 1928–1929. [Google Scholar] [CrossRef]
- Benhalima, K.; Standl, E.; Mathieu, C. The importance of glycemic control: How low should we go with HbA1c? Start early, go safe, go low. J. Diabetes Complicat. 2011, 25, 202–207. [Google Scholar] [CrossRef]
- Tahrani, A.A.; Piya, M.K.; Kennedy, A.; Barnett, A.H. Glycaemic control in type 2 diabetes: Targets and new therapies. Pharmacol. Ther. 2010, 125, 328–361. [Google Scholar] [CrossRef]
- Katsiki, N.; Mikhailidis, D.P.; Gotzamani-Psarrakou, A.; Didangelos, T.P.; Yovos, J.G.; Karamitsos, D.T. Effects of improving glycemic control with insulin on leptin, adiponectin, ghrelin and neuropeptidey levels in patients with type 2 diabetes mellitus: A pilot study. Open Cardiovasc. Med. J. 2011, 5, 136–147. [Google Scholar] [CrossRef] [PubMed]
- Klok, M.D.; Jakobsdottir, S.; Drent, M.L. The role of leptin and ghrelin in the regulation of food intake and body weight in humans: A review. Obes. Rev. Off. J. Int. Assoc. Study Obes. 2007, 8, 21–34. [Google Scholar] [CrossRef] [PubMed]
- Paz-Filho, G.; Mastronardi, C.; Wong, M.L.; Licinio, J. Leptin therapy, insulin sensitivity, and glucose homeostasis. Indian J. Endocrinol. Metab. 2012, 16, S549–S555. [Google Scholar] [CrossRef]
- American Diabetes Association. 9. Pharmacologic Approaches to Glycemic Treatment: Standards of Medical Care in Diabetes—2019. Diabetes Care 2018, 42, S90–S102. [Google Scholar] [CrossRef]
- Mendez, C.E.; Walker, R.J.; Eiler, C.R.; Mishriky, B.M.; Egede, L.E. Insulin therapy in patients with type 2 diabetes and high insulin resistance is associated with increased risk of complications and mortality. Postgrad. Med. 2019, 131, 376–382. [Google Scholar] [CrossRef]
- Buettner, C. Could Leptin Be Used to Treat Type 1 Diabetes? Sci. Transl. Med. 2010, 2, 24ec47. [Google Scholar] [CrossRef]
- Coppari, R.; Bjørbæk, C. Leptin revisited: Its mechanism of action and potential for treating diabetes. Nat. Rev. Drug Discov. 2012, 11, 692–708. [Google Scholar] [CrossRef]
- Myers, M.G.; Cowley, M.A.; Münzberg, H. Mechanisms of leptin action and leptin resistance. Annu. Rev. Physiol. 2008, 70, 537–556. [Google Scholar] [CrossRef]
- Andreoli, M.F.; Donato, J.; Cakir, I.; Perello, M. Leptin resensitisation: A reversion of leptin-resistant states. J. Endocrinol. 2019, 241, R81–R96. [Google Scholar] [CrossRef]
- Kohnert, K.D.; Heinke, P.; Vogt, L.; Salzsieder, E. Utility of different glycemic control metrics for optimizing management of diabetes. World J. Diabetes 2015, 6, 17–29. [Google Scholar] [CrossRef]
- Izadi, V.; Saraf-Bank, S.; Azadbakht, L. Dietary intakes and leptin concentrations. ARYA Atheroscler. 2014, 10, 266–272. [Google Scholar] [PubMed]
- Roberts, C.K.; Berger, J.J.; Barnard, R.J. Long-term effects of diet on leptin, energy intake, and activity in a model of diet-induced obesity. J. Appl. Physiol. 2002, 93, 887–893. [Google Scholar] [CrossRef] [PubMed]

| SNP 1 ID | Location and Base Change | Forward Primer Reverse Primer | PCR 2 Program (34 Cycles) | PCR Product Size (bp) | Restriction Enzyme, Incubation Temperature, and Time | RFLP 3 Product (bp) |
|---|---|---|---|---|---|---|
| rs7799039 | Promoter (G/A) | GGGCTGGGAACTTTCTCTAAAG CCTGACTTCCTGCAACATCT | 95 °C for 3 min, 35 cycles of 30 s at 95 °C, 30 s at 58.8 °C, and 1 min at 72 °C. | 276 | BtsIMutI, 55 °C, 1 h | GG: 276 GA: 276, 222, and 54 AA:222 and 54 |
| rs2167270 | 5’ UTR (G/A) | CTGGAGGGACATCAAGGATTT AAGAAAGACCAGCAGAGAAGG | 95 °C for 3 min, 35 cycles of 30 s at 95 °C, 30 s at 58.8 °C, and 1 min at 72 °C | 348 | HPYCH4III 37 °C, 1 h | GG: 348 GA: 348, 292 and, 56 AA: 292 and 56 |
| rs791620 | Regulatory region (C/A) | CTGGAGGGACATCAAGGATTT AAGAAAGACCAGCAGAGAAGG | 95 °C for 3 min, 35 cycles of 30 s at 95 °C, 30 s at 63.0 °C, and 1 min at 72 °C | 348 | AscI 37 °C, 1 h | CC: 348 CA: 348, 262 and, 86 AA: 262 and 86 |
| Variable | Glycemic Control | p-Value 1 | |
|---|---|---|---|
| Good n = 170 | Poor n = 170 | ||
| Age (years) | 58.88 ± 9.842 | 58.76 ± 10.05 | 0.91 |
| Gender(n) (%) Male Female | 65 (38%) 105 (62%) | 79 (46%) 91 (54%) | 0.12 |
| BMI 2 (kg/m2) | 30.50 (6.60) | 30.60 (6.50) | 0.57 |
| WC 3 (cm) | 106.00 (14.00) | 106.00 (15.00) | 0.28 |
| Treatment duration (years) | 3.00 (6.00) | 8.00 (6.5) | <0.001 |
| Cholesterol (mg/dL) | 195.70 (79.60) | 189.50 (93.80) | 0.88 |
| Triglycerides (mg/dL) | 140.80 (104.00) | 137.90 (119.20) | 0.44 |
| HbA1c 4 | 6.15 (0.82) | 8.59 (2.17) | <0.001 |
| Glucose (mg/dL) | 147.40 (65.20) | 231.60 (100.90) | <0.001 |
| Insulin(pmol/mL) | 23.10 (14.74) | 29.66 (26.62) | <0.001 |
| HOMA-IR 5 | 1.64 (0.77) | 2.90 (2.44) | <0.001 |
| Leptin (ng/mL) | 34.24 (36.17) | 26.41 (27.75) | 0.008 |
| Leptin/BMI | 1.09 (1.08) | 0.87 (0.85) | 0.007 |
| SNP ID | Genotype | Glycemic Control | p-Value 1 | |
|---|---|---|---|---|
| Good (n = 170) | Poor (n = 170) | |||
| rs7799039 | GG GA AA | 60 (35.3%) 86 (50.6%) 24 (14.1%) | 58 (34.1%) 76 (44.7%) 36 (21.2%) | 0.22 |
| rs2167270 | GG GA AA | 69 (40.6%) 83 (48.8%) 18 (10.6%) | 96 (56.5%) 51 (30.0%) 23 (13.5%) | 0.002 |
| rs791620 | CC CA AA | 160(96.5%) 10(6.0%) 0 (0.0%) | 164(96.5%) 5(2.9%) 1 (0.6%) | 0.26 |
| SNP ID | Allele | Glycemic Control | p-Value 1 | |
|---|---|---|---|---|
| Good n (%) | Poor n (%) | |||
| rs7799039 | G A | 206 (60.6%) 134 (39.4%) | 192 (56.5%) 148 (43.5%) | 0.28 |
| rs2167270 | G A | 221 (65.0%) 119 (35.0%) | 243 (71.5%) 97 (28.5%) | 0.07 |
| rs791620 | C A | 330 (97.0%) 10 (3.0%) | 333 (98.0%) 7 (2.0%) | 0.46 |
| rs7799039 | rs791620 | rs2167270 | Glycemic Control | OR 1 (95% CI 2) | p-Value 3 | ||
|---|---|---|---|---|---|---|---|
| Good (Frequency) | Poor (Frequency) | ||||||
| 1 | G | C | A | 0.35 | 0.27 | 0.69 (0.50–0.96) | 0.03 |
| 2 | A | C | G | 0.38 | 0.42 | 1.18 (0.86–1.60) | 0.31 |
| 3 | G | C | G | 0.24 | 0.27 | 1.23 (0.87–1.75) | 0.24 |
| Variable | OR 1 (95% CI 2) | p-Value 3 |
|---|---|---|
| HOMA_IR 4 | 1.56 (1.31–1.85) | <0.001 |
| Treatment duration (years) | 1.12 (1.07–1.17) | <0.001 |
| Leptin | 0.99 (0.98–0.99) | 0.002 |
| rs2167270 GG GA AA | Reference 0.42 (0.25–0.71) 0.89 (0.40–1.97) | 0.001 0.78 |
Disclaimer/Publisher’s Note: The statements, opinions and data contained in all publications are solely those of the individual author(s) and contributor(s) and not of MDPI and/or the editor(s). MDPI and/or the editor(s) disclaim responsibility for any injury to people or property resulting from any ideas, methods, instructions or products referred to in the content. |
© 2023 by the authors. Licensee MDPI, Basel, Switzerland. This article is an open access article distributed under the terms and conditions of the Creative Commons Attribution (CC BY) license (https://creativecommons.org/licenses/by/4.0/).
Share and Cite
Alfaqih, M.A.; Aljanabi, M.; Ababneh, E.; Khanfar, M.; Alqudah, M.; Sater, M. Leptin and the rs2167270 Polymorphism Are Associated with Glycemic Control in Type Two Diabetes Mellitus Patients on Metformin Therapy. Medicina 2023, 59, 997. https://doi.org/10.3390/medicina59050997
Alfaqih MA, Aljanabi M, Ababneh E, Khanfar M, Alqudah M, Sater M. Leptin and the rs2167270 Polymorphism Are Associated with Glycemic Control in Type Two Diabetes Mellitus Patients on Metformin Therapy. Medicina. 2023; 59(5):997. https://doi.org/10.3390/medicina59050997
Chicago/Turabian StyleAlfaqih, Mahmoud A., Mukhallad Aljanabi, Ebaa Ababneh, Mariam Khanfar, Mohammad Alqudah, and Mai Sater. 2023. "Leptin and the rs2167270 Polymorphism Are Associated with Glycemic Control in Type Two Diabetes Mellitus Patients on Metformin Therapy" Medicina 59, no. 5: 997. https://doi.org/10.3390/medicina59050997
APA StyleAlfaqih, M. A., Aljanabi, M., Ababneh, E., Khanfar, M., Alqudah, M., & Sater, M. (2023). Leptin and the rs2167270 Polymorphism Are Associated with Glycemic Control in Type Two Diabetes Mellitus Patients on Metformin Therapy. Medicina, 59(5), 997. https://doi.org/10.3390/medicina59050997

