Inflammatory Myofibroblastic Tumour of the Urinary Bladder in a Middle-Aged Man—A Case Report of an Unusual Localization of a Rare Tumour
Abstract
1. Introduction
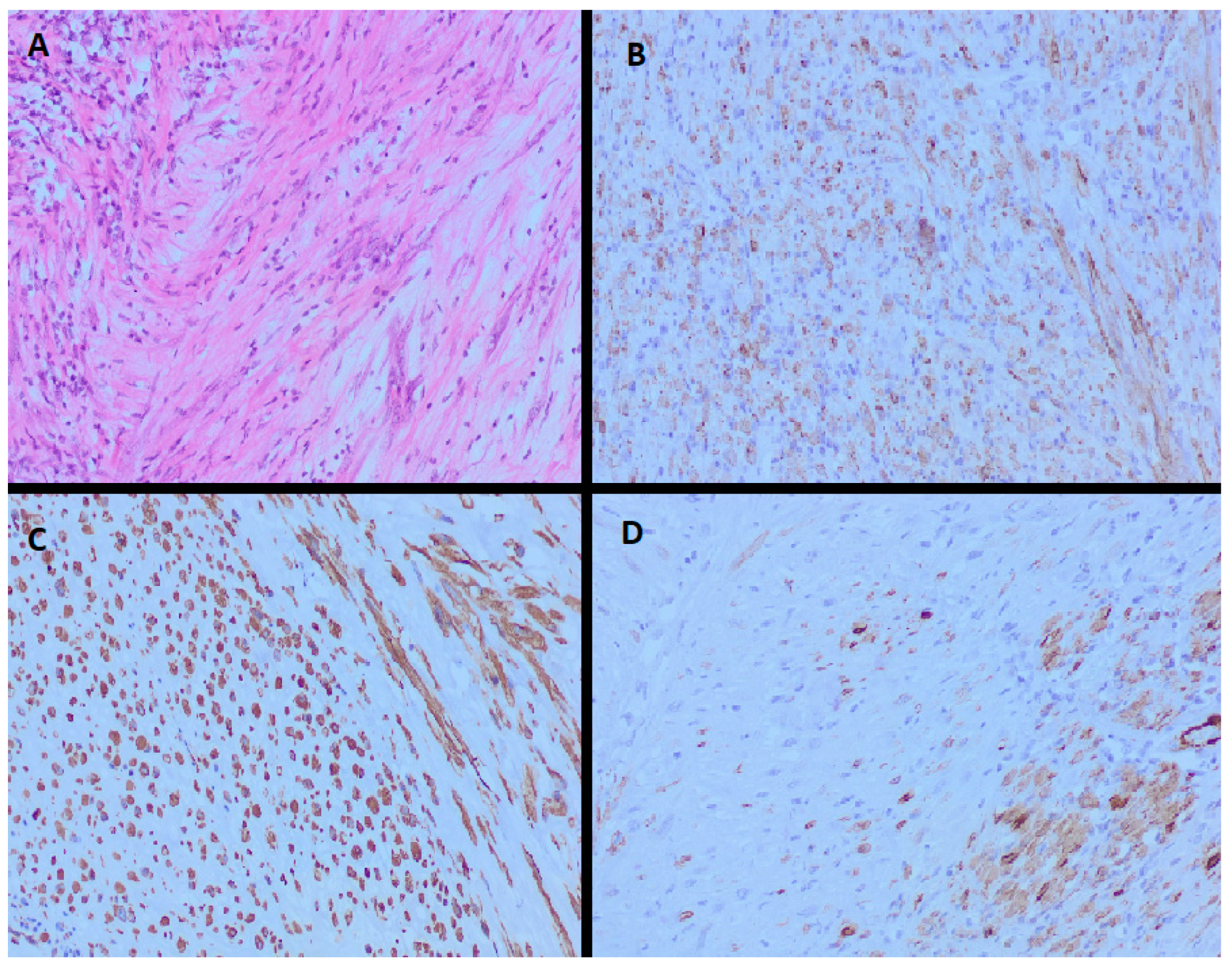
2. Detailed Case Description
3. Discussion
4. Conclusions
Author Contributions
Funding
Institutional Review Board Statement
Informed Consent Statement
Data Availability Statement
Conflicts of Interest
References
- Kovach, S.J.; Fischer, A.C.; Katzman, P.J.; Salloum, R.M.; Ettinghausen, S.E.; Madeb, R.; Koniaris, L.G. Inflammatory myofibroblastic tumors. J. Surg. Oncol. 2006, 94, 385–391. [Google Scholar] [CrossRef] [PubMed]
- Jo, V.Y.; Fletcher, C.D. WHO classification of soft tissue tumours: An update based on the 2013 (4th) edition. Pathology 2014, 46, 95–104. [Google Scholar] [CrossRef]
- Sanders, B.M.; West, K.W.; Gingalewski, C.; Engum, S.; Davis, M.; Grosfeld, J.L. Inflammatory pseudotumor of the alimentary tract: Clinical and surgical experience. J. Pediatr. Surg. 2001, 36, 169–173. [Google Scholar] [CrossRef]
- Siemion, K.; Reszec-Gielazyn, J.; Kisluk, J.; Roszkowiak, L.; Zak, J.; Korzynska, A. What do we know about inflammatory myofibroblastic tumors?—A systematic review. Adv. Med. Sci. 2022, 67, 129–138. [Google Scholar] [CrossRef] [PubMed]
- Janik, J.S.; Janik, J.P.; Lovell, M.A.; Hendrickson, R.J.; Bensard, D.D.; Greffe, B.S. Recurrent inflammatory pseudotumors in children. J. Pediatr. Surg. 2003, 38, 1491–1495. [Google Scholar] [CrossRef] [PubMed]
- Coffin, C.M.; Dehner, L.P.; Meis-Kindblom, J.M. Inflammatory myofibroblastic tumor, inflammatory fibrosarcoma, and related lesions: An historical review with differential diagnostic considerations. Semin. Diagn. Pathol. 1998, 15, 102–110. [Google Scholar]
- Manini, C.; Angulo, J.C.; López, J.I. Mimickers of Urothelial Carcinoma and the Approach to Differential Diagnosis. Clin. Pract. 2021, 11, 110–123. [Google Scholar] [CrossRef]
- Gleason, B.C.; Hornick, J.L. Inflammatory myofibroblastic tumours: Where are we now? J. Clin. Pathol. 2008, 61, 428–437. [Google Scholar] [CrossRef]
- Surabhi, V.R.; Chua, S.; Patel, R.P.; Takahashi, N.; Lalwani, N.; Prasad, S.R. Inflammatory Myofibroblastic Tumors: Current Update. Radiol. Clin. N. Am. 2016, 54, 553–563. [Google Scholar] [CrossRef]
- Panagiotopoulos, N.; Patrini, D.; Gvinianidze, L.; Woo, W.L.; Borg, E.; Lawrence, D. Inflammatory myofibroblastic tumour of the lung: A reactive lesion or a true neoplasm? J. Thorac. Dis. 2015, 7, 908–911. [Google Scholar]
- Patnana, M.; Sevrukov, A.B.; Elsayes, K.M.; Viswanathan, C.; Lubner, M.; Menias, C.O. Inflammatory pseudotumor: The great mimicker. Am. J. Roentgenol. 2012, 198, W217–W227. [Google Scholar] [CrossRef] [PubMed]
- Brunn, H. Two interesting benign lung tumors of contradictory histopathology. J. Thorac. Surg. 1939, 9, 119–131. [Google Scholar] [CrossRef]
- Manini, C.; López, J.I. Unusual Faces of Bladder Cancer. Cancers 2020, 12, 3706. [Google Scholar] [CrossRef]
- Kumar, A.; Bhatti, S.S.; Sharma, S.; Gupta, S.D.; Kumar, R. Inflammatory pseudotumor of urinary bladder—A diagnostic and management dilemma. Int. Urol. Nephrol. 2007, 39, 799–802. [Google Scholar] [CrossRef]
- Ortiz, M.V.; Rossi, C.T.; Hill, D.A.; Guzzetta, P.C.; Qureshi, F.; Dome, J.S. Inflammatory myofibroblastic tumor as a second neoplasm after Wilms tumor. Pediatr. Blood Cancer 2015, 62, 1075–1077. [Google Scholar] [CrossRef]
- Marais, B.; Eyal, P.; Kesner, K.; John, J. Inflammatory myofibroblastic tumour of the bladder: A case report and review of the literature. Ther. Adv. Urol. 2022, 14, 17562872221096385. [Google Scholar] [CrossRef] [PubMed]
- Balagobi, B.; Gobishangar, S.; Ginige, A.; Gamlaksha, D.; Sanjeyan, J.; Suvethini, L. Inflammatory myofibroblastic tumour: Case report of a rare form of bladder tumour. Int. J. Surg. Case Rep. 2022, 92, 106786. [Google Scholar] [CrossRef]
- Meis, J.M.; Enzinger, F.M. Inflammatory fibrosarcoma of the mesentery and retroperitoneum. A tumor closely simulating inflammatory pseudotumor. Am. J. Surg. Pathol. 1991, 15, 1146–1156. [Google Scholar] [CrossRef]
- Coffin, C.M.; Watterson, J.; Priest, J.R.; Dehner, L.P. Extrapulmonary inflammatory myofibroblastic tumor (inflammatory pseudotumor). A clinicopathologic and immunohistochemical study of 84 cases. Am. J. Surg. Pathol. 1995, 19, 859–872. [Google Scholar] [CrossRef]
- Zeng, X.; Huang, H.; Li, J.; Peng, J.; Zhang, J. The Clinical and Radiological Characteristics of Inflammatory Myofibroblastic Tumor Occurring at Unusual Sites. BioMed Res. Int. 2018, 2018, 5679634. [Google Scholar] [CrossRef]
- Coffin, C.M.; Hornick, J.L.; Fletcher, C.D. Inflammatory myofibroblastic tumor: Comparison of clinicopathologic, histologic, and immunohistochemical features including ALK expression in atypical and aggressive cases. Am. J. Surg. Pathol. 2007, 31, 509–520. [Google Scholar] [CrossRef]
- Cessna, M.H.; Zhou, H.; Sanger, W.G.; Perkins, S.L.; Tripp, S.; Pickering, D.; Coffin, C.M. Expression of ALK1 and p80 in inflammatory myofibroblastic tumor and its mesenchymal mimics: A study of 135 cases. Mod. Pathol. 2002, 15, 931–938. [Google Scholar] [CrossRef]
- Morris, S.W.; Kirstein, M.N.; Valentine, M.B.; Dittmer, K.G.; Shapiro, D.N.; Saltman, D.L.; Look, A.T. Fusion of a kinase gene, ALK, to a nucleolar protein gene, NPM, in non-Hodgkin’s lymphoma. Science 1994, 263, 1281–1284. [Google Scholar] [CrossRef]
- Griffin, C.A.; Hawkins, A.L.; Dvorak, C.; Henkle, C.; Ellingham, T.; Perlman, E.J. Recurrent involvement of 2p23 in inflammatory myofibroblastic tumors. Cancer Res. 1999, 59, 2776–2780. [Google Scholar] [PubMed]
- Coffin, C.M.; Patel, A.; Perkins, S.; Elenitoba-Johnson, K.S.; Perlman, E.; Griffin, C.A. ALK1 and p80 expression and chromosomal rearrangements involving 2p23 in inflammatory myofibroblastic tumor. Mod. Pathol. 2001, 14, 569–576. [Google Scholar] [CrossRef]
- Cook, J.R.; Dehner, L.P.; Collins, M.H.; Ma, Z.; Morris, S.W.; Coffin, C.M.; Hill, D.A. Anaplastic lymphoma kinase (ALK) expression in the inflammatory myofibroblastic tumor: A comparative immunohistochemical study. Am. J. Surg. Pathol. 2001, 25, 1364–1371. [Google Scholar] [CrossRef] [PubMed]
- Teoh, J.Y.; Chan, N.H.; Cheung, H.Y.; Hou, S.S.; Ng, C.F. Inflammatory myofibroblastic tumors of the urinary bladder: A systematic review. Urology 2014, 84, 503–508. [Google Scholar] [CrossRef]
- Chan, J.K.; Cheuk, W.; Shimizu, M. Anaplastic lymphoma kinase expression in inflammatory pseudotumors. Am. J. Surg. Pathol. 2001, 25, 761–768. [Google Scholar] [CrossRef]
- Gronchi, A.; Miah, A.B.; Dei Tos, A.P.; Abecassis, N.; Bajpai, J.; Bauer, S.; Stacchiotti, S.; ESMO Guidelines Committee, EURACAN and GENTURIS. Soft tissue and visceral sarcomas: ESMO-EURACAN-GENTURIS Clinical Practice Guidelines for diagnosis, treatment and follow-up☆. Ann. Oncol. 2021, 32, 1348–1365. [Google Scholar] [CrossRef]
- Libby, E.K.; Ellis, L.T.; Weinstein, S.; Hammer, R.D.; Murray, K.S. Metastatic inflammatory myofibroblastic tumor of the bladder. Urol. Case Rep. 2018, 15, 10–12. [Google Scholar] [CrossRef] [PubMed]
- Gros, L.; Dei Tos, A.P.; Jones, R.L.; Digklia, A. Inflammatory Myofibroblastic Tumour: State of the Art. Cancers 2022, 27, 3662. [Google Scholar] [CrossRef] [PubMed]




Disclaimer/Publisher’s Note: The statements, opinions and data contained in all publications are solely those of the individual author(s) and contributor(s) and not of MDPI and/or the editor(s). MDPI and/or the editor(s) disclaim responsibility for any injury to people or property resulting from any ideas, methods, instructions or products referred to in the content. |
© 2023 by the authors. Licensee MDPI, Basel, Switzerland. This article is an open access article distributed under the terms and conditions of the Creative Commons Attribution (CC BY) license (https://creativecommons.org/licenses/by/4.0/).
Share and Cite
Prijovic, N.; Santric, V.; Babic, U.; Stankovic, B.; Acimovic, M.; Cekerevac, M.; Nikolic, G.; Cegar, B. Inflammatory Myofibroblastic Tumour of the Urinary Bladder in a Middle-Aged Man—A Case Report of an Unusual Localization of a Rare Tumour. Medicina 2023, 59, 791. https://doi.org/10.3390/medicina59040791
Prijovic N, Santric V, Babic U, Stankovic B, Acimovic M, Cekerevac M, Nikolic G, Cegar B. Inflammatory Myofibroblastic Tumour of the Urinary Bladder in a Middle-Aged Man—A Case Report of an Unusual Localization of a Rare Tumour. Medicina. 2023; 59(4):791. https://doi.org/10.3390/medicina59040791
Chicago/Turabian StylePrijovic, Nebojsa, Veljko Santric, Uros Babic, Branko Stankovic, Miodrag Acimovic, Milica Cekerevac, Gorana Nikolic, and Bojan Cegar. 2023. "Inflammatory Myofibroblastic Tumour of the Urinary Bladder in a Middle-Aged Man—A Case Report of an Unusual Localization of a Rare Tumour" Medicina 59, no. 4: 791. https://doi.org/10.3390/medicina59040791
APA StylePrijovic, N., Santric, V., Babic, U., Stankovic, B., Acimovic, M., Cekerevac, M., Nikolic, G., & Cegar, B. (2023). Inflammatory Myofibroblastic Tumour of the Urinary Bladder in a Middle-Aged Man—A Case Report of an Unusual Localization of a Rare Tumour. Medicina, 59(4), 791. https://doi.org/10.3390/medicina59040791

