A Case of Mediastinal Tuberculous Lymphadenitis in a Chronic Dialysis Patient Diagnosed by Endobronchial Ultrasound-Guided Transbronchial Needle Aspiration (EBUS-TBNA)
Abstract
1. Introduction
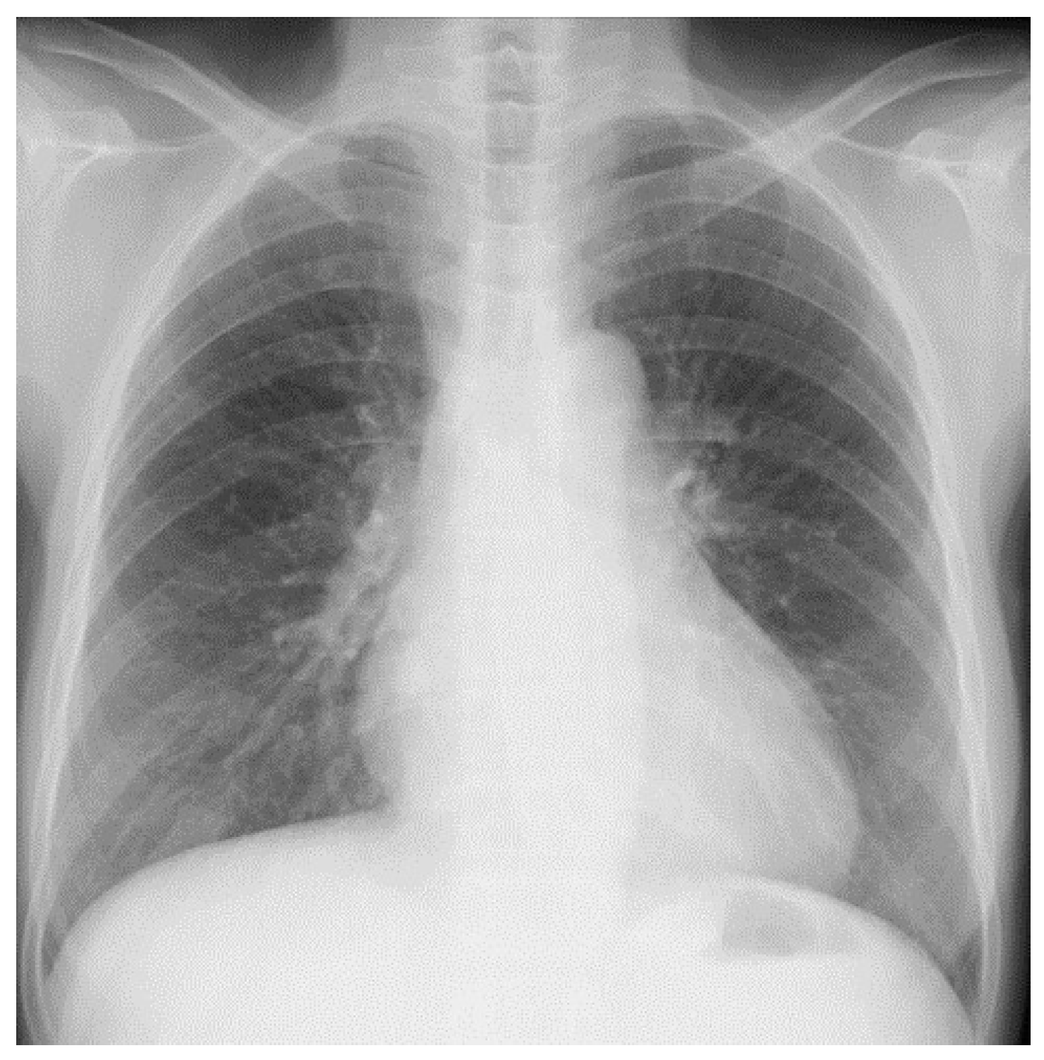
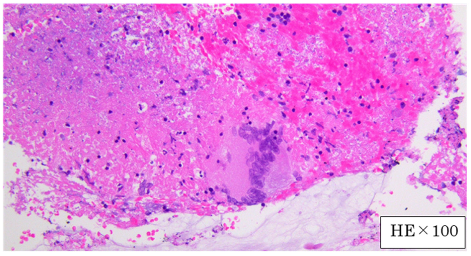
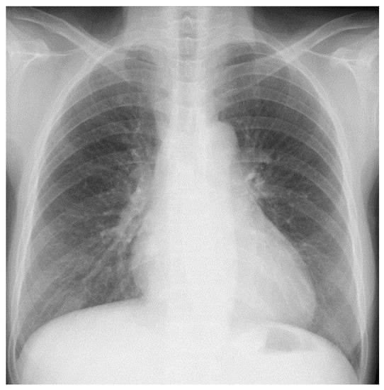
2. Case
3. Discussion
4. Conclusions
Author Contributions
Funding
Institutional Review Board Statement
Informed Consent Statement
Data Availability Statement
Conflicts of Interest
References
- Kanaji, N.; Junichiro, H.; Naokatsu, H.; Yutaro, S.; Shigeo, I. An Adult Case of Mediastinal Tuberculous Lymphadeniti. Ann. Jpn. Respir. Soc. 2001, 39, 857–861. [Google Scholar]
- Durack, D.T.; Street, A.C. Fever of unknown origin-reexamined and redefined. Curr. Clin. Top. Infect. Dis. 1991, 11, 35–51. [Google Scholar] [PubMed]
- Horowitz, H.W. Fever of unknown origin or fever of too many origins? N. Engl. J. Med. 2013, 368, 197–199. [Google Scholar] [CrossRef] [PubMed]
- Naito, T.; Mizooka, M.; Mitsumoto, F.; Kanazawa, K.; Torikai, K.; Ohno, S.; Morita, H.; Ukimura, A.; Mishima, N.; Otsuka, F.; et al. Diagnostic workup for fever of unknown origin: A multicenter collaborative retrospective study. BMJ Open 2013, 3, e003971. [Google Scholar] [CrossRef] [PubMed]
- Cunha, B.A.; Lortholary, O.; Cunha, C.B. Fever of unknown origin; a clinical approach. Am. J. Med. 2015, 128, 1138.e1–1138.e15. [Google Scholar] [CrossRef] [PubMed]
- Lawrence, R.M. Extrapulmonary Tuberculosis, Infectious Disease; Harper & Row Publishers: Hagerstown, MD, USA, 1977; p. 343. [Google Scholar]
- Golden, M.P.; Vikram, H.R. Extrapulmonary Tuberculosis: An Overview. Am. Fam. Physician 2005, 72, 9. [Google Scholar]
- Jones, B.E.; Young, S.M.M.; Antoniskis, D.; Davidson, P.T.; Kramer, F.; Barnes, P.F. Relationship of the manifestations of tuberculosis to CD4 cell counts in patients with human Immunodeficiency virus Infection. Am. Rev. Respir. Dis. 1993, 148, 1292–1297. [Google Scholar] [CrossRef] [PubMed]
- Inamoto, H. High Susceptibility and Low Resistance to Lymph Node Tuberculosis in Dialysis Patients. J. Jpn. Assoc. Infect. Dis. 1983, 57, 137–141. [Google Scholar]
- Kayabasi, H.; Sit, D.; Kadiroglu, A.K.; Kara, I.H.; Yilmaz, M.E. The Prevalence and the Characteristics of Tuberculosis Patients Undergoing Chronic Dialysis Treatment: Experience of a Dialysis Center in Southeast Turkey. Ren. Fail. 2008, 30, 513–519. [Google Scholar] [CrossRef] [PubMed]
- El Bardai, G.; Kabbali, N.; Baba, H.; Chouhani, B.A.; Houssaini, T.S. Tuberculosis in Dialysis Patients in the Central Region of Morocco: What Is the Health-Care Delay? Cureus 2022, 14, e30369. [Google Scholar] [CrossRef] [PubMed]
- Navani, N.; Molyneaux, P.L.; Breen, R.A.; Connell, D.W.; Jepson, A.; Nankivell, M.; Brown, J.M.; Morris-Jones, S.; Ng, B.; Wickremasinghe, M.; et al. Utility of endobronchial ultrasound guided transbronchial needle aspiration in patients with tuberculous intrathoracic lymphadenopathy: A multicenter study. Thorax 2011, 66, 889–893. [Google Scholar] [CrossRef] [PubMed]
- Hata, Y.; Sakamoto, S.; Otsuka, H.; Sato, K.; Sato, F.; Makino, T.; Sugino, K.; Isobe, K.; Tochigi, N.; Sibuya, K.; et al. EBUS-TBNA related complications in a patient with tuberculous lymphadenopathy. Inter. Med. 2013, 52, 2553–2559. [Google Scholar] [CrossRef] [PubMed]
- Romanowski, K.; Rose, C.; Cook, V.J.; Sekirov, I.; Morshed, M.; Djurdjev, O.; Levin, A.; Johnston, J.C. Effectiveness of Latent TB Screening and Treatment in People Initiating Dialysis in British Columbia, Canada. Can. J. Kidney Dis. 2020, 7, 2054358120937104. [Google Scholar] [CrossRef] [PubMed]
- Chiang, L.Y.; Baumann, B.; Romanowski, K.; Kumar, D.; Campbell, J.R.; Djurdjev, O.; Morshed, M.; Sekirov, I.; Cook, V.J.; Levin, A.; et al. Latent Tuberculosis Therapy Outcomes in Dialysis Patients: A Retrospective Cohort. Am. J. Kidney Dis. 2021, 77, 696–703. [Google Scholar] [CrossRef] [PubMed]




| Hemotology | Result | Reference Range | Biochemistry | Result | Reference Range |
|---|---|---|---|---|---|
| WBC | 23,100/μL | (3300–8600/µL) | AST | 10 IU/L | (13–30 IU/L) |
| Neu. | 80.2% | (49.7–72.7%) | ALT | 7 IU/L | (7–23 IU/L) |
| Eos. | 2.2% | (0.0–5.0%) | ALP | 205 IU/L | (106–322 IU/L) |
| Bas. | 0.3% | (0.0–3.0%) | LDH | 171 IU/L | (124–222 IU/L) |
| Mon. | 4.8% | (1.7–8.7%) | BUN | 63.4 mg/dL | (8–20 mg/dL) |
| Lym. | 5.3% | (24.5–38.9%) | Cre | 9.72 mg/dL | (0.46–0.79 mg/dL) |
| Hb | 9.3 g/dL | (11.6–14.8 g/dL) | TP | 7.2 g/dL | (6.6–8.1 g/dL) |
| PLT | 33.3 × 104/µL | (15.8–34.8 × 104/µL) | ALB | 4.9 g/dL | (4.1–5.1 g/dL) |
| CRP | 29.13 mg/dL | (≤0.14 mg/dL) | |||
| Serology | Na | 134 mEq/L | (138–145 mEq/L) | ||
| CYFRA | 7.6 ng/mL | (≤2.2 ng/mL) | K | 3.5 mEq/L | (3.6–4.8 mEq/L) |
| NSE | 13.3 ng/mL | (≤15.0 ng/mL) | Cl | 95.6 mEq/L | (101–108 mEq/L) |
| PRO-GRP | 345 pg/mL | (<81.0 pg/mL) | Coagulation | ||
| sIL-2R | 3140 U/L | (190–650 U/L) | D-dimer | 2.7 µg/mL | (<1.0 µg/mL) |
| ACE | 17.6 U/L | (7.7–29.4 U/L) | PT | 12.6 s | (9.0–13.0 s) |
| APTT | 42.1 s | (23–40 s) |
Disclaimer/Publisher’s Note: The statements, opinions and data contained in all publications are solely those of the individual author(s) and contributor(s) and not of MDPI and/or the editor(s). MDPI and/or the editor(s) disclaim responsibility for any injury to people or property resulting from any ideas, methods, instructions or products referred to in the content. |
© 2023 by the authors. Licensee MDPI, Basel, Switzerland. This article is an open access article distributed under the terms and conditions of the Creative Commons Attribution (CC BY) license (https://creativecommons.org/licenses/by/4.0/).
Share and Cite
Nagashima, H.; Abe, K.; Owada, Y.; Yakuwa, K.; Katagiri, H.; Chiba, S.; Matsumoto, A.; Akiyama, M.; Utsumi, Y.; Maemondo, M. A Case of Mediastinal Tuberculous Lymphadenitis in a Chronic Dialysis Patient Diagnosed by Endobronchial Ultrasound-Guided Transbronchial Needle Aspiration (EBUS-TBNA). Medicina 2023, 59, 677. https://doi.org/10.3390/medicina59040677
Nagashima H, Abe K, Owada Y, Yakuwa K, Katagiri H, Chiba S, Matsumoto A, Akiyama M, Utsumi Y, Maemondo M. A Case of Mediastinal Tuberculous Lymphadenitis in a Chronic Dialysis Patient Diagnosed by Endobronchial Ultrasound-Guided Transbronchial Needle Aspiration (EBUS-TBNA). Medicina. 2023; 59(4):677. https://doi.org/10.3390/medicina59040677
Chicago/Turabian StyleNagashima, Hiromi, Kazuyuki Abe, Yukihiro Owada, Kazuhiro Yakuwa, Hiroshi Katagiri, Shinji Chiba, Ami Matsumoto, Masachika Akiyama, Yu Utsumi, and Makoto Maemondo. 2023. "A Case of Mediastinal Tuberculous Lymphadenitis in a Chronic Dialysis Patient Diagnosed by Endobronchial Ultrasound-Guided Transbronchial Needle Aspiration (EBUS-TBNA)" Medicina 59, no. 4: 677. https://doi.org/10.3390/medicina59040677
APA StyleNagashima, H., Abe, K., Owada, Y., Yakuwa, K., Katagiri, H., Chiba, S., Matsumoto, A., Akiyama, M., Utsumi, Y., & Maemondo, M. (2023). A Case of Mediastinal Tuberculous Lymphadenitis in a Chronic Dialysis Patient Diagnosed by Endobronchial Ultrasound-Guided Transbronchial Needle Aspiration (EBUS-TBNA). Medicina, 59(4), 677. https://doi.org/10.3390/medicina59040677

