Anatomical Augmentation Using Suture Tape for Acute Syndesmotic Injury in Maisonneuve Fracture: A Case Report
Abstract
1. Introduction
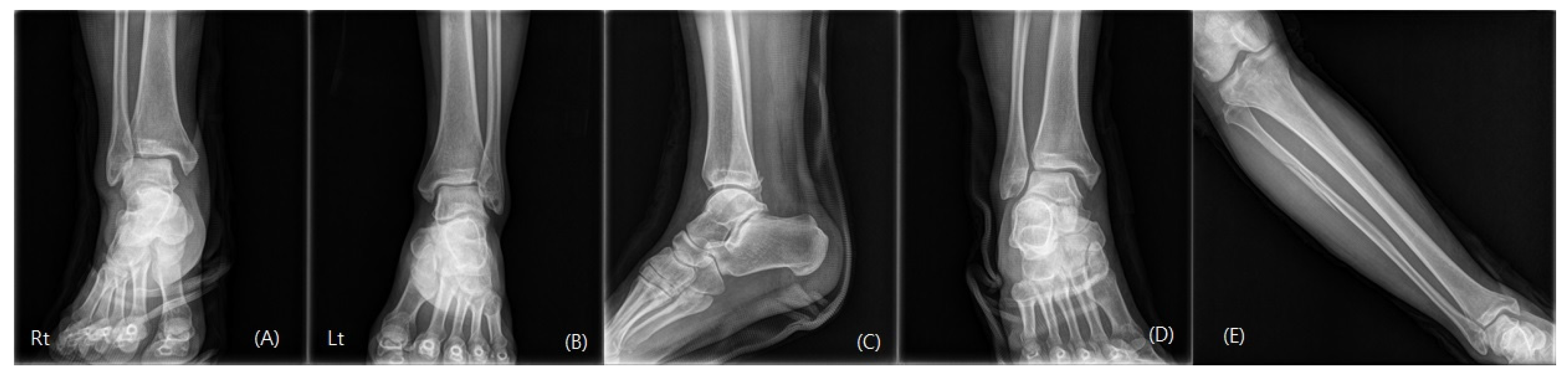
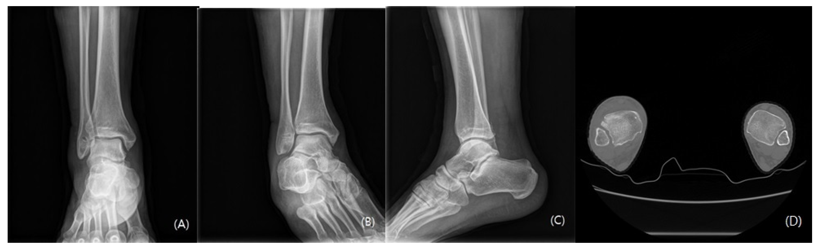
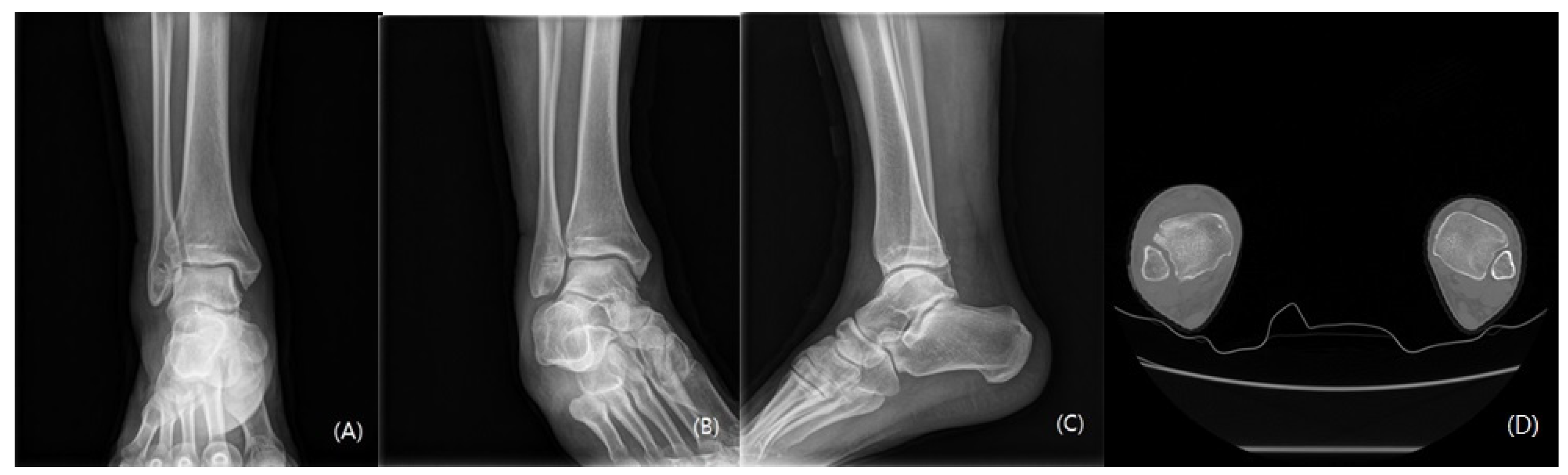
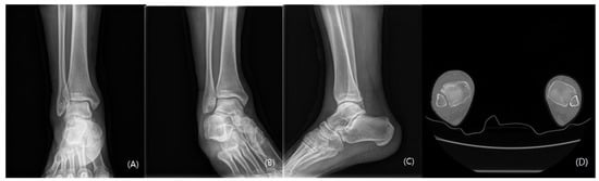
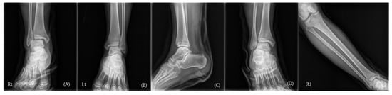
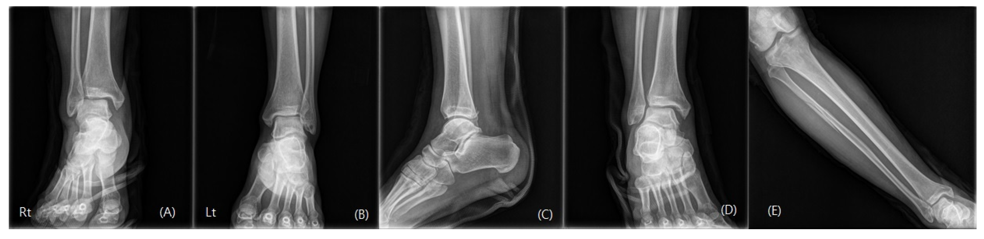
2. Case Presentation
3. Discussion
4. Conclusions
Author Contributions
Funding
Institutional Review Board Statement
Informed Consent Statement
Data Availability Statement
Conflicts of Interest
Abbreviations
| AITFL | anterior inferior tibiofibular ligament |
| IOL | interosseous ligament |
| TL | transverse ligament |
| PITFL | posterior inferior tibiofibular ligament |
| CT | computed tomography |
| MRI | magnetic resonance imaging. |
References
- Jelinek, J.A.; Porter, D.A. Management of unstable ankle fractures and syndesmosis injuries in athletes. Foot Ankle Clin. 2009, 14, 277–298. [Google Scholar] [CrossRef]
- Van Heest, T.J.; Lafferty, P.M. Injuries to the ankle syndesmosis. J. Bone Jt. Surg. Am. 2014, 96, 603–613. [Google Scholar] [CrossRef] [PubMed]
- van den Bekerom, M.P.; Lamme, B.; Hogervorst, M.; Bolhuis, H.W. Which ankle fractures require syndesmotic stabilization? J. Foot Ankle Surg. 2007, 46, 456–463. [Google Scholar] [CrossRef] [PubMed]
- Stark, E.; Tornetta, P., 3rd; Creevy, W.R. Syndesmotic instability in Weber B ankle fractures: A clinical evaluation. J. Orthop. Trauma 2007, 21, 643–646. [Google Scholar] [CrossRef] [PubMed]
- Egol, K.A.; Pahk, B.; Walsh, M.; Tejwani, N.C.; Davidovitch, R.I.; Koval, K.J. Outcome after unstable ankle fracture: Effect of syndesmotic stabilization. J. Orthop. Trauma 2010, 24, 7–11. [Google Scholar] [CrossRef]
- van Zuuren, W.J.; Schepers, T.; Beumer, A.; Sierevelt, I.; van Noort, A.; van den Bekerom, M.P.J. Acute syndesmotic instability in ankle fractures: A review. Foot Ankle Surg. 2017, 23, 135–141. [Google Scholar] [CrossRef]
- Bartonícek, J. Anatomy of the tibiofibular syndesmosis and its clinical relevance. Surg. Radiol. Anat. 2003, 25, 379–386. [Google Scholar] [CrossRef]
- Gan, K.; Xu, D.; Hu, K.; Wu, W.; Shen, Y. Dynamic fixation is superior in terms of clinical outcomes to static fixation in managing distal tibiofibular syndesmosis injury. Knee Surg. Sports Traumatol. Arthrosc. 2020, 28, 270–280. [Google Scholar] [CrossRef]
- Tourné, Y.; Molinier, F.; Andrieu, M.; Porta, J.; Barbier, G. Diagnosis and treatment of tibiofibular syndesmosis lesions. Orthop. Traumatol. Surg. Res. 2019, 105, S275–S286. [Google Scholar] [CrossRef]
- Cornu, O.; Manon, J.; Tribak, K.; Putineanu, D. Traumatic injuries of the distal tibiofibular syndesmosis. Orthop. Traumatol. Surg. Res. 2021, 107, 102778. [Google Scholar] [CrossRef]
- Ramsey, P.L.; Hamilton, W. Changes in tibiotalar area of contact caused by lateral talar shift. J. Bone Jt. Surg. Am. 1976, 58, 356–357. [Google Scholar] [CrossRef]
- Sagi, H.C.; Shah, A.R.; Sanders, R.W. The functional consequence of syndesmotic joint malreduction at a minimum 2-year follow-up. J. Orthop. Trauma 2012, 26, 439–443. [Google Scholar] [CrossRef] [PubMed]
- Schepers, T.; van der Linden, H.; van Lieshout, E.M.; Niesten, D.D.; van der Elst, M. Technical aspects of the syndesmotic screw and their effect on functional outcome following acute distal tibiofibular syndesmosis injury. Injury 2014, 45, 775–779. [Google Scholar] [CrossRef] [PubMed]
- Peek, A.C.; Fitzgerald, C.E.; Charalambides, C. Syndesmosis screws: How many, what diameter, where and should they be removed? A literature review. Injury 2014, 45, 1262–1267. [Google Scholar] [CrossRef] [PubMed]
- Høiness, P.; Strømsøe, K. Tricortical versus quadricortical syndesmosis fixation in ankle fractures: A prospective, randomized study comparing two methods of syndesmosis fixation. J. Orthop. Trauma 2004, 18, 331–337. [Google Scholar] [CrossRef] [PubMed]
- Walker, L.; Willis, N. Weber C ankle fractures: A retrospective audit of screw number, size, complications, and retrieval rates. J. Foot Ankle Surg. 2015, 54, 454–457. [Google Scholar] [CrossRef]
- Jamieson, M.D.; Stake, I.K.; Brady, A.W.; Brown, J.; Tanghe, K.K.; Douglass, B.W.; Clanton, T.O. Anterior Inferior Tibiofibular Ligament Suture Tape Augmentation for Isolated Syndesmotic Injuries. Foot Ankle Int. 2022, 43, 994–1003. [Google Scholar] [CrossRef]
- Harris, N.J.; Nicholson, G.; Pountos, I. Anatomical reconstruction of the anterior inferior tibiofibular ligament in elite athletes using InternalBrace suture tape. Bone Jt. J. 2022, 104-b, 68–75. [Google Scholar] [CrossRef]
- Kwon, J.Y.; Stenquist, D.; Ye, M.; Williams, C.; Giza, E.; Kadakia, A.R.; Kreulen, C. Anterior Syndesmotic Augmentation Technique Using Nonabsorbable Suture-Tape for Acute and Chronic Syndesmotic Instability. Foot Ankle Int. 2020, 41, 1307–1315. [Google Scholar] [CrossRef]
- Takahashi, K.; Teramoto, A.; Murahashi, Y.; Nabeki, S.; Shiwaku, K.; Kamiya, T.; Watanabe, K.; Yamashita, T. Comparison of Treatment Methods for Syndesmotic Injuries With Posterior Tibiofibular Ligament Ruptures: A Cadaveric Biomechanical Study. Orthop. J. Sports Med. 2022, 10, 23259671221122811. [Google Scholar] [CrossRef]
- Lee, H.S.; Kim, W.J.; Young, K.W.; Jeong, G.M.; Yeo, E.D.; Lee, Y.K. Comparison of Open Anterior Syndesmotic Repair Augmented With Suture-Tape and Trans-syndesmotic Screw Fixation: A Biomechanical Study. J. Foot Ankle Surg. 2021, 60, 339–344. [Google Scholar] [CrossRef] [PubMed]
- Regauer, M.; Mackay, G.; Lange, M.; Kammerlander, C.; Böcker, W. Syndesmotic InternalBrace(TM) for anatomic distal tibiofibular ligament augmentation. World J. Orthop. 2017, 8, 301–309. [Google Scholar] [CrossRef] [PubMed]
- Roemer, F.W.; Jomaah, N.; Niu, J.; Almusa, E.; Roger, B.; D’Hooghe, P.; Geertsema, C.; Tol, J.L.; Khan, K.; Guermazi, A. Ligamentous Injuries and the Risk of Associated Tissue Damage in Acute Ankle Sprains in Athletes: A Cross-sectional MRI Study. Am. J. Sports Med. 2014, 42, 1549–1557. [Google Scholar] [CrossRef]
- Gerber, J.P.; Williams, G.N.; Scoville, C.R.; Arciero, R.A.; Taylor, D.C. Persistent disability associated with ankle sprains: A prospective examination of an athletic population. Foot Ankle Int. 1998, 19, 653–660. [Google Scholar] [CrossRef] [PubMed]
- Switaj, P.J.; Mendoza, M.; Kadakia, A.R. Acute and Chronic Injuries to the Syndesmosis. Clin. Sports Med. 2015, 34, 643–677. [Google Scholar] [CrossRef]
- Kim, J.S.; Shin, H.S. Suture Anchor Augmentation for Acute Unstable Isolated Ankle Syndesmosis Disruption in Athletes. Foot Ankle Int. 2021, 42, 1130–1137. [Google Scholar] [CrossRef]
- Xu, Y.; Kang, R.; Li, M.; Li, Z.; Ma, T.; Ren, C.; Wang, Q.; Lu, Y.; Zhang, K. The Clinical Efficacy of Suture-Button Fixation and Trans-Syndesmotic Screw Fixation in the Treatment of Ankle Fracture Combined With Distal Tibiofibular Syndesmosis Injury: A Retrospective Study. J. Foot Ankle Surg. 2022, 61, 143–148. [Google Scholar] [CrossRef]
- Sanders, D.; Schneider, P.; Taylor, M.; Tieszer, C.; Lawendy, A.R. Improved Reduction of the Tibiofibular Syndesmosis With TightRope Compared With Screw Fixation: Results of a Randomized Controlled Study. J. Orthop. Trauma 2019, 33, 531–537. [Google Scholar]
- Kim, J.H.; Gwak, H.C.; Lee, C.R.; Choo, H.J.; Kim, J.G.; Kim, D.Y. A Comparison of Screw Fixation and Suture-Button Fixation in a Syndesmosis Injury in an Ankle Fracture. J. Foot Ankle Surg. 2016, 55, 985–990. [Google Scholar] [CrossRef]
- Ebraheim, N.A.; Mekhail, A.O.; Gargasz, S.S. Ankle fractures involving the fibula proximal to the distal tibiofibular syndesmosis. Foot Ankle Int. 1997, 18, 513–521. [Google Scholar] [CrossRef]
- Xu, G.; Chen, W.; Zhang, Q.; Wang, J.; Su, Y.; Zhang, Y. Flexible fixation of syndesmotic diastasis using the assembled bolt-tightrope system. Scand. J. Trauma Resusc. Emerg. Med. 2013, 21, 71. [Google Scholar] [CrossRef]
- Naqvi, G.A.; Shafqat, A.; Awan, N. Tightrope fixation of ankle syndesmosis injuries: Clinical outcome, complications and technique modification. Injury 2012, 43, 838–842. [Google Scholar] [CrossRef]
- McMurray, D.; Hornung, B.; Venkateswaran, B.; Ali, Z. Walking on a tightrope: Our experience in the treatment of traumatic ankle syndesmosis rupture. Injury Extra 2008, 39, 182. [Google Scholar] [CrossRef]
- Willmott, H.J.; Singh, B.; David, L.A. Outcome and complications of treatment of ankle diastasis with tightrope fixation. Injury 2009, 40, 1204–1206. [Google Scholar] [CrossRef]
- Shoji, H.; Teramoto, A.; Suzuki, D.; Okada, Y.; Sakakibara, Y.; Matsumura, T.; Suzuki, T.; Watanabe, K.; Yamashita, T. Suture-button fixation and anterior inferior tibiofibular ligament augmentation with suture-tape for syndesmosis injury: A biomechanical cadaveric study. Clin. Biomech. 2018, 60, 121–126. [Google Scholar] [CrossRef] [PubMed]
- Forsythe, K.; Freedman, K.B.; Stover, M.D.; Patwardhan, A.G. Comparison of a novel FiberWire-button construct versus metallic screw fixation in a syndesmotic injury model. Foot Ankle Int. 2008, 29, 49–54. [Google Scholar] [CrossRef] [PubMed]
- Teramoto, A.; Suzuki, D.; Kamiya, T.; Chikenji, T.; Watanabe, K.; Yamashita, T. Comparison of different fixation methods of the suture-button implant for tibiofibular syndesmosis injuries. Am. J. Sports Med. 2011, 39, 2226–2232. [Google Scholar] [CrossRef] [PubMed]
- Nelson, O.A. Examination and repair of the AITFL in transmalleolar fractures. J. Orthop. Trauma 2006, 20, 637–643. [Google Scholar] [CrossRef]
- Lee, S.H.; Kim, E.S.; Lee, Y.K.; Yeo, E.D.; Oh, S.R. Arthroscopic syndesmotic repair: Technical tip. Foot Ankle Int. 2015, 36, 229–231. [Google Scholar] [CrossRef]







Disclaimer/Publisher’s Note: The statements, opinions and data contained in all publications are solely those of the individual author(s) and contributor(s) and not of MDPI and/or the editor(s). MDPI and/or the editor(s) disclaim responsibility for any injury to people or property resulting from any ideas, methods, instructions or products referred to in the content. |
© 2023 by the authors. Licensee MDPI, Basel, Switzerland. This article is an open access article distributed under the terms and conditions of the Creative Commons Attribution (CC BY) license (https://creativecommons.org/licenses/by/4.0/).
Share and Cite
Yoon, S.-J.; Jung, K.-J.; Hong, Y.-C.; Yeo, E.-D.; Lee, H.-S.; Won, S.-H.; Lee, B.-R.; Ji, J.-Y.; Lee, D.-W.; Kim, W.-J. Anatomical Augmentation Using Suture Tape for Acute Syndesmotic Injury in Maisonneuve Fracture: A Case Report. Medicina 2023, 59, 652. https://doi.org/10.3390/medicina59040652
Yoon S-J, Jung K-J, Hong Y-C, Yeo E-D, Lee H-S, Won S-H, Lee B-R, Ji J-Y, Lee D-W, Kim W-J. Anatomical Augmentation Using Suture Tape for Acute Syndesmotic Injury in Maisonneuve Fracture: A Case Report. Medicina. 2023; 59(4):652. https://doi.org/10.3390/medicina59040652
Chicago/Turabian StyleYoon, Sung-Joon, Ki-Jin Jung, Yong-Cheol Hong, Eui-Dong Yeo, Hong-Seop Lee, Sung-Hun Won, Byung-Ryul Lee, Jae-Young Ji, Dhong-Won Lee, and Woo-Jong Kim. 2023. "Anatomical Augmentation Using Suture Tape for Acute Syndesmotic Injury in Maisonneuve Fracture: A Case Report" Medicina 59, no. 4: 652. https://doi.org/10.3390/medicina59040652
APA StyleYoon, S.-J., Jung, K.-J., Hong, Y.-C., Yeo, E.-D., Lee, H.-S., Won, S.-H., Lee, B.-R., Ji, J.-Y., Lee, D.-W., & Kim, W.-J. (2023). Anatomical Augmentation Using Suture Tape for Acute Syndesmotic Injury in Maisonneuve Fracture: A Case Report. Medicina, 59(4), 652. https://doi.org/10.3390/medicina59040652

