Peripheral Nerve Denervation in Streptozotocin-Induced Diabetic Rats Is Reduced by Cilostazol
Abstract
1. Introduction
2. Materials and Methods
2.1. Preparations and Administrations of Cilostazol
2.2. Animals and Diabetes Induction
2.3. Responsive Thresholds to Thermal and Mechanical Stimuli
2.4. Histological Samples Preparations, Immunohistochemistry, and Immunofluorescence
2.5. Statistical Analysis
3. Results
3.1. Cilostazol Ameliorated Mechanical Allodynia in Diabetic Rats
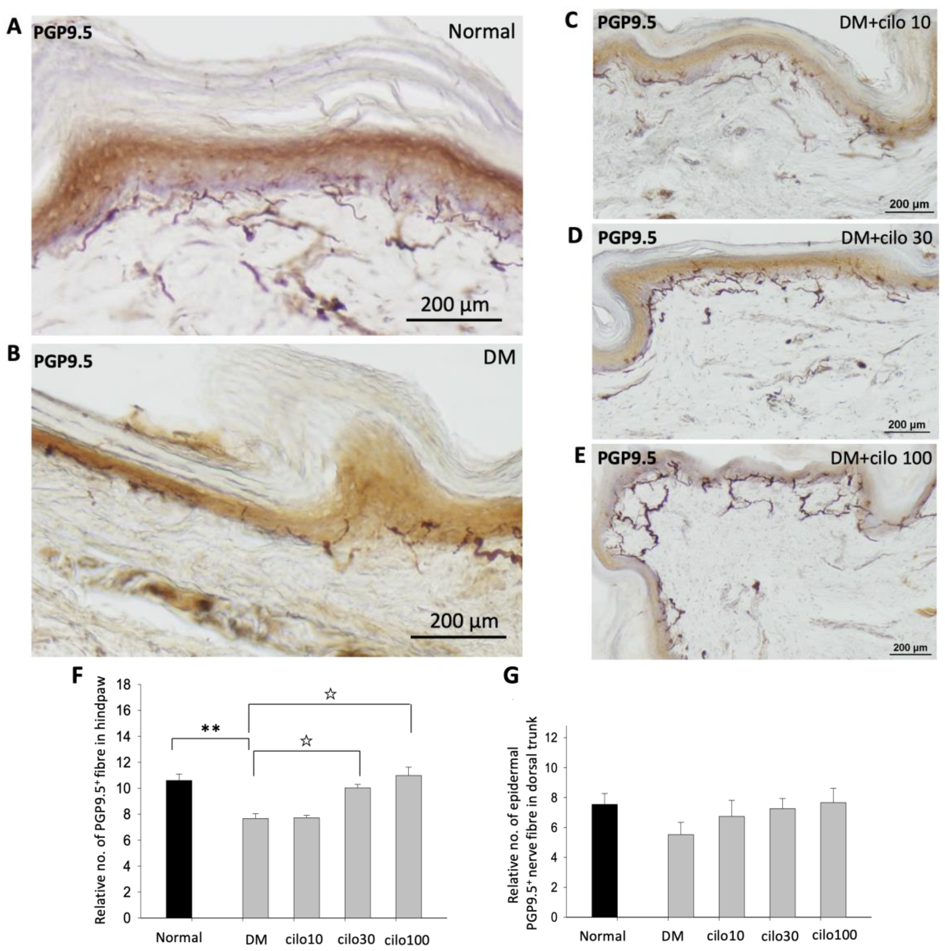
3.2. Cilostazol Reduced PGP9.5 Epidermal Sensory Nerve Fiber Disruptions in the Hind Paws of Diabetic Rats
3.3. Cilostazol Reduced P2X3, CGRP, and TRPV-1 Epidermal Nociceptive Nerve Disruptions in the Hind Paws of DM Rats
3.4. Cilostazol Reduced Aberrant Expression of Glia Cells in the Spinal Dorsal Horn of Diabetic Rats
4. Discussion
5. Conclusions
Author Contributions
Funding
Institutional Review Board Statement
Informed Consent Statement
Data Availability Statement
Acknowledgments
Conflicts of Interest
References
- Pfannkuche, A.; Alhajjar, A.; Ming, A.; Walter, I.; Piehler, C.; Mertens, P.R. Prevalence and risk factors of diabetic peripheral neuropathy in a diabetics cohort: Register initiative “diabetes and nerves”. Endocr. Metab. Sci. 2020, 1, 100053. [Google Scholar] [CrossRef]
- Standl, E.; Khunti, K.; Hansen, T.B.; Schnell, O. The global epidemics of diabetes in the 21st century: Current situation and perspectives. Eur. J. Prev. Cardiol. 2019, 26, 7–14. [Google Scholar] [CrossRef] [PubMed]
- Santamaría-Ulloa, C.; Montero-López, M.; Rosero-Bixby, L. Diabetes epidemics: Inequalities increase the burden on the healthcare system. Health Policy Plan. 2019, 34, ii45–ii55. [Google Scholar] [CrossRef] [PubMed]
- Rosenberger, D.C.; Blechschmidt, V.; Timmerman, H.; Wolff, A.; Treede, R.-D. Challenges of neuropathic pain: Focus on diabetic neuropathy. J. Neural Transm. 2020, 127, 1–36. [Google Scholar] [CrossRef] [PubMed]
- Callaghan, B.C.; Gallagher, G.; Fridman, V.; Feldman, E.L. Diabetic neuropathy: What does the future hold? Diabetologia 2020, 63, 1–7. [Google Scholar] [CrossRef] [PubMed]
- Feldman, E.L.; Nave, K.-A.; Jensen, T.S.; Bennett, D.L.H. New Horizons in Diabetic Neuropathy: Mechanisms, Bioenergetics, and Pain. Neuron 2017, 93, 1296–1313. [Google Scholar] [CrossRef] [PubMed]
- May, A. Chronic pain may change the structure of the brain. Pain 2008, 137, 7–15. [Google Scholar] [CrossRef] [PubMed]
- Brown, T.; Forster, R.B.; Cleanthis, M.; Mikhailidis, D.P.; Stansby, G.; Stewart, M. Cilostazol for intermittent claudication. Cochrane Database Syst. Rev. 2021, 2021, CD003748. [Google Scholar] [CrossRef] [PubMed]
- Franciscis, S.d.; Gallelli, L.; Battaglia, L.; Molinari, V.; Montemurro, R.; Stillitano, D.M.; Buffone, G.; Serra, R. Cilostazol prevents foot ulcers in diabetic patients with peripheral vascular disease. Int. Wound J. 2015, 12, 250–253. [Google Scholar] [CrossRef] [PubMed]
- Asal, N.J.; Wojciak, K.A. Effect of cilostazol in treating diabetes-associated microvascular complications. Endocrine 2017, 56, 240–244. [Google Scholar] [CrossRef] [PubMed]
- O’Donnell, M.E.; Badger, S.A.; Sharif, M.A.; Makar, R.R.; Young, I.S.; Lee, B.; Soong, C.V. The Effects of Cilostazol on Peripheral Neuropathy in Diabetic Patients With Peripheral Arterial Disease. Angiology 2009, 59, 695–704. [Google Scholar] [CrossRef] [PubMed]
- Rosales, R.L.; Santos, M.M.S.D.-D.; Mercado-Asis, L.B. Cilostazol: A Pilot Study on Safety and Clinical Efficacy in Neuropathies of Diabetes Mellitus Type 2 (ASCEND). Angiology 2011, 62, 625–635. [Google Scholar] [CrossRef] [PubMed]
- Tani, T.; Uehara, K.; Sudo, T.; Marukawa, K.; Yasuda, Y.; Kimura, Y. Cilostazol, a selective type III phosphodiesterase inhibitor, decreases triglyceride and increases HDL cholesterol levels by increasing lipoprotein lipase activity in rats. Atherosclerosis 2000, 152, 299–305. [Google Scholar] [CrossRef] [PubMed]
- Kwon, J.S.; Kim, Y.S.; Cho, H.H.; Kee, H.J.; Hong, M.H.; Kang, W.S.; Jeong, H.-Y.; Jeong, M.H.; Ahn, Y. Cilostazol protects vessels against hyperglycemic injury and accelerates healing after implantation of drug-eluting stent in a type 1 diabetes mellitus rat aorta stent model. Atherosclerosis 2013, 228, 332–338. [Google Scholar] [CrossRef] [PubMed]
- Matsumoto, T.; Kobayashi, T.; Wakabayashi, K.; Kamata, K. Cilostazol improves endothelium-derived hyperpolarizing factor-type relaxation in mesenteric arteries from diabetic rats. Am. J. Physiol.-Heart C 2005, 289, H1933–H1940. [Google Scholar] [CrossRef] [PubMed]
- Su, S.-C.; Hung, Y.-J.; Huang, C.-L.; Shieh, Y.-S.; Chien, C.-Y.; Chiang, C.-F.; Liu, J.-S.; Lu, C.-H.; Hsieh, C.-H.; Lin, C.-M.; et al. Cilostazol inhibits hyperglucose-induced vascular smooth muscle cell dysfunction by modulating the RAGE/ERK/NF-κB signaling pathways. J. Biomed. Sci 2019, 26, 68. [Google Scholar] [CrossRef] [PubMed]
- Biscetti, F.; Pecorini, G.; Straface, G.; Arena, V.; Stigliano, E.; Rutella, S.; Locatelli, F.; Angelini, F.; Ghirlanda, G.; Flex, A. Cilostazol promotes angiogenesis after peripheral ischemia through a VEGF-dependent mechanism. Int. J. Cardiol. 2013, 167, 910–916. [Google Scholar] [CrossRef] [PubMed]
- Naka, K.; Sasaki, H.; Kishi, Y.; Furuta, M.; Sanke, T.; Nanjo, K.; Mukoyama, M. Effects of cilostazol on development of experimental diabetic neuropathy: Functional and structural studies, and Na+-K+-ATPase acidity in peripheral nerve in rats with streptozotocin-induced diabetes. Diabetes Res. Clin. Pract. 1995, 30, 153–162. [Google Scholar] [CrossRef] [PubMed]
- Sekiguchi, M.; Aoki, Y.; Konno, S.-I.; Kikuchi, S.-I. The Effects of Cilostazol on Nerve Conduction Velocity and Blood Flow. Spine 2008, 33, 2605–2611. [Google Scholar] [CrossRef] [PubMed]
- Cheng, K.-I.; Wang, H.-C.; Tseng, K.-Y.; Wang, Y.-H.; Chang, C.-Y.; Chen, Y.-J.; Lai, C.-S.; Chen, D.-R.; Chang, L.-L. Cilostazol Ameliorates Peripheral Neuropathic Pain in Streptozotocin-Induced Type I Diabetic Rats. Front. Pharmacol. 2022, 12, 771271. [Google Scholar] [CrossRef]
- Cheng, K.I.; Wang, H.C.; Chuang, Y.T.; Chou, C.W.; Tu, H.P.; Yu, Y.C.; Chang, L.L.; Lai, C.S. Persistent mechanical allodynia positively correlates with an increase in activated microglia and increased P-p38 mitogen-activated protein kinase activation in streptozotocin-induced diabetic rats. Eur. J. Pain 2014, 18, 162–173. [Google Scholar] [CrossRef] [PubMed]
- Chang, L.-L.; Wang, H.-C.; Tseng, K.-Y.; Su, M.-P.; Wang, J.-Y.; Chuang, Y.-T.; Wang, Y.-H.; Cheng, K.-I. Upregulation of miR-133a-3p in the Sciatic Nerve Contributes to Neuropathic Pain Development. Mol. Neurobiol. 2020, 57, 3931–3942. [Google Scholar] [CrossRef] [PubMed]
- Danielson, P.; Alfredson, H.; Forsgren, S. Distribution of general (PGP 9.5) and sensory (substance P/CGRP) innervations in the human patellar tendon. Knee Surg. Sports Traumatol. Arthrosc. 2006, 14, 125–132. [Google Scholar] [CrossRef] [PubMed]
- Campbell, L.K.; Thomas, J.R.; Lamps, L.W.; Smoller, B.R.; Folpe, A.L. Protein Gene Product 9.5 (PGP 9.5) Is Not a Specific Marker of Neural and Nerve Sheath Tumors: An Immunohistochemical Study of 95 Mesenchymal Neoplasms. Modern. Pathol. 2003, 16, 963–969. [Google Scholar] [CrossRef] [PubMed]
- Dong, C.-R.; Zhang, W.-J.; Luo, H.-L. Association between P2X3 receptors and neuropathic pain: As a potential therapeutic target for therapy. Biomed. Pharmacother. 2022, 150, 113029. [Google Scholar] [CrossRef] [PubMed]
- North, R.A. P2X3 receptors and peripheral pain mechanisms. J. Physiol. 2004, 554, 301–308. [Google Scholar] [CrossRef] [PubMed]
- Kee, Z.; Kodji, X.; Brain, S.D. The Role of Calcitonin Gene Related Peptide (CGRP) in Neurogenic Vasodilation and Its Cardioprotective Effects. Front. Physiol. 2018, 9, 1249. [Google Scholar] [CrossRef] [PubMed]
- Ma, W.; Zhang, Y.; Bantel, C.; Eisenach, J.C. Medium and large injured dorsal root ganglion cells increase TRPV-1, accompanied by increased α2C-adrenoceptor co-expression and functional inhibition by clonidine. Pain 2005, 113, 386–394. [Google Scholar] [CrossRef] [PubMed]
- Premkumar, L.S.; Sikand, P. TRPV1: A target for next generation analgesics. Curr. Neuropharmacol. 2008, 6, 151–163. [Google Scholar] [CrossRef] [PubMed]
- Jeffry, J.A.; Yu, S.-Q.; Sikand, P.; Parihar, A.; Evans, M.S.; Premkumar, L.S. Selective Targeting of TRPV1 Expressing Sensory Nerve Terminals in the Spinal Cord for Long Lasting Analgesia. PLoS ONE 2009, 4, e7021. [Google Scholar] [CrossRef] [PubMed]
- Østergaard, L.; Finnerup, N.B.; Terkelsen, A.J.; Olesen, R.A.; Drasbek, K.R.; Knudsen, L.; Jespersen, S.N.; Frystyk, J.; Charles, M.; Thomsen, R.W.; et al. The effects of capillary dysfunction on oxygen and glucose extraction in diabetic neuropathy. Diabetologia 2015, 58, 666–677. [Google Scholar] [CrossRef] [PubMed]
- Baum, P.; Toyka, K.V.; Blüher, M.; Kosacka, J.; Nowicki, M. Inflammatory Mechanisms in the Pathophysiology of Diabetic Peripheral Neuropathy (DN)—New Aspects. Int. J. Mol. Sci. 2021, 22, 10835. [Google Scholar] [CrossRef] [PubMed]
- Richner, M.; Ferreira, N.; Dudele, A.; Jensen, T.S.; Vaegter, C.B.; Gonçalves, N.P. Functional and Structural Changes of the Blood-Nerve-Barrier in Diabetic Neuropathy. Front. Neurosci.-Switz 2019, 12, 13. [Google Scholar] [CrossRef] [PubMed]
- Vincent, A.M.; Callaghan, B.C.; Smith, A.L.; Feldman, E.L. Diabetic neuropathy: Cellular mechanisms as therapeutic targets. Nat. Rev. Neurol. 2011, 7, 573–583. [Google Scholar] [CrossRef] [PubMed]
- Goto, Y.; Obata, T.; Kunisawa, J.; Sato, S.; Ivanov, I.I.; Lamichhane, A.; Takeyama, N.; Kamioka, M.; Sakamoto, M.; Matsuki, T.; et al. Innate lymphoid cells regulate intestinal epithelial cell glycosylation. Science 2014, 345, 1254009. [Google Scholar] [CrossRef] [PubMed]
- Sakamoto, T.; Ohashi, W.; Tomita, K.; Hattori, K.; Matsuda, N.; Hattori, Y. Anti-inflammatory properties of cilostazol: Its interruption of DNA binding activity of NF-κB from the Toll-like receptor signaling pathways. Int. Immunopharmacol. 2018, 62, 120–131. [Google Scholar] [CrossRef] [PubMed]
- Song, F.; Ji, B.; Chen, T. Cilostazol on the expression of ICAM-1, VCAM-1 and inflammatory factors in plasma in patients with thromboangiitis obliterans. Exp. Ther. Med. 2018, 16, 2349–2354. [Google Scholar] [CrossRef] [PubMed]
- Mohamed, M.Z.; Hafez, H.M.; Zenhom, N.M.; Mohammed, H.H. Cilostazol alleviates streptozotocin-induced testicular injury in rats via PI3K/Akt pathway. Life Sci. 2018, 198, 136–142. [Google Scholar] [CrossRef] [PubMed]
- Latremoliere, A.; Woolf, C.J. Central Sensitization: A Generator of Pain Hypersensitivity by Central Neural Plasticity. J. Pain 2009, 10, 895–926. [Google Scholar] [CrossRef] [PubMed]
- van den Broeke, E.N. Central sensitization and pain hypersensitivity: Some critical considerations. F1000research 2018, 7, 1325. [Google Scholar] [CrossRef] [PubMed]
- Meacham, K.; Shepherd, A.; Mohapatra, D.P.; Haroutounian, S. Neuropathic Pain: Central vs. Peripheral Mechanisms. Curr. Pain Headache Rep. 2017, 21, 28. [Google Scholar] [CrossRef] [PubMed]
- Russell, F.A.; King, R.; Smillie, S.J.; Kodji, X.; Brain, S.D. Calcitonin Gene-Related Peptide: Physiology and Pathophysiology. Physiol. Rev. 2014, 94, 1099–1142. [Google Scholar] [CrossRef] [PubMed]
- Pabbidi, R.M.; Yu, S.-Q.; Peng, S.; Khardori, R.; Pauza, M.E.; Premkumar, L.S. Influence of TRPV1 on diabetes-induced alterations in thermal pain sensitivity. Mol. Pain 2008, 4, 9. [Google Scholar] [CrossRef] [PubMed]







Disclaimer/Publisher’s Note: The statements, opinions and data contained in all publications are solely those of the individual author(s) and contributor(s) and not of MDPI and/or the editor(s). MDPI and/or the editor(s) disclaim responsibility for any injury to people or property resulting from any ideas, methods, instructions or products referred to in the content. |
© 2023 by the authors. Licensee MDPI, Basel, Switzerland. This article is an open access article distributed under the terms and conditions of the Creative Commons Attribution (CC BY) license (https://creativecommons.org/licenses/by/4.0/).
Share and Cite
Tseng, K.-Y.; Wang, H.-C.; Wang, Y.-H.; Su, M.-P.; Cheng, K.-F.; Cheng, K.-I.; Chang, L.-L. Peripheral Nerve Denervation in Streptozotocin-Induced Diabetic Rats Is Reduced by Cilostazol. Medicina 2023, 59, 553. https://doi.org/10.3390/medicina59030553
Tseng K-Y, Wang H-C, Wang Y-H, Su M-P, Cheng K-F, Cheng K-I, Chang L-L. Peripheral Nerve Denervation in Streptozotocin-Induced Diabetic Rats Is Reduced by Cilostazol. Medicina. 2023; 59(3):553. https://doi.org/10.3390/medicina59030553
Chicago/Turabian StyleTseng, Kuang-Yi, Hung-Chen Wang, Yi-Hsuan Wang, Miao-Pei Su, Kai-Feng Cheng, Kuang-I Cheng, and Lin-Li Chang. 2023. "Peripheral Nerve Denervation in Streptozotocin-Induced Diabetic Rats Is Reduced by Cilostazol" Medicina 59, no. 3: 553. https://doi.org/10.3390/medicina59030553
APA StyleTseng, K.-Y., Wang, H.-C., Wang, Y.-H., Su, M.-P., Cheng, K.-F., Cheng, K.-I., & Chang, L.-L. (2023). Peripheral Nerve Denervation in Streptozotocin-Induced Diabetic Rats Is Reduced by Cilostazol. Medicina, 59(3), 553. https://doi.org/10.3390/medicina59030553

