Correlation between Morphological Characteristics of Macular Edema and Visual Acuity in Young Patients with Idiopathic Intermediate Uveitis
Abstract
1. Introduction
2. Materials and Methods
Statistical Analysis
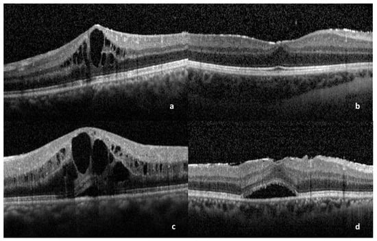
3. Results
4. Discussion
5. Conclusions
Author Contributions
Funding
Institutional Review Board Statement
Informed Consent Statement
Data Availability Statement
Acknowledgments
Conflicts of Interest
References
- Bonfioli, A.A.; Damico, F.M.; Curi, A.L.L.; Orefice, F. Intermediate Uveitis. Semin. Ophthalmol. 2005, 20, 147–154. [Google Scholar] [CrossRef] [PubMed]
- Paroli, M.P.; Spinucci, G.; Monte, R.; Pesci, F.R.; Abicca, I.; Pezzi, P.P. Intermediate Uveitis in a Pediatric Italian Population. Ocul. Immunol. Inflamm. 2011, 19, 321–326. [Google Scholar] [CrossRef] [PubMed]
- Babu, B.M.; Rathinam, S. Intermediate uveitis. Indian J. Ophthalmol. 2010, 58, 21–27. [Google Scholar] [CrossRef] [PubMed]
- Browning, A.C.; Calladine, D.; Collins, N.; Harmer, A.W.; Amoaku, W.M. HLA typing of a Hong Kong Chinese family with intermediate uveitis. Br. J. Ophthalmol. 2006, 90, 657–657. [Google Scholar] [CrossRef]
- Tang, W.M.; Pulido, J.S.; Eckels, D.D.; Han, D.P.; Mieler, W.F.; Pierce, K. The Association of HLA-DR15 and Intermediate Uveitis. Am. J. Ophthalmol. 1997, 123, 70–75. [Google Scholar] [CrossRef]
- Lai, W.W.; Pulido, J.S. Intermediate uveitis. Ophthalmol. Clin. N. Am. 2002, 15, 309–317. [Google Scholar] [CrossRef]
- Paroli, M.P.; Abicca, I.; Sapia, A.; Bruschi, S.; Pezzi, P.P. Intermediate Uveitis: Comparison between Childhood-Onset and Adult-Onset Disease. Eur. J. Ophthalmol. 2013, 24, 94–100. [Google Scholar] [CrossRef]
- Smith, R.E.; Godfrey, W.A.; Kimura, S.J. Complications of Chronic Cyclitis. Am. J. Ophthalmol. 1976, 82, 277–282. [Google Scholar] [CrossRef]
- Gritz, D.C. Incidence and prevalence of uveitis in Northern California The Northern California Epidemiology of Uveitis Study. Ophthalmology 2004, 111, 491–500. [Google Scholar] [CrossRef]
- Suhler, E.B.; Lloyd, M.J.; Choi, D.; Rosenbaum, J.T.; Austin, D.F. Incidence and Prevalence of Uveitis in Veterans Affairs Medical Centers of the Pacific Northwest. Am. J. Ophthalmol. 2008, 146, 890–896.e8. [Google Scholar] [CrossRef]
- Lardenoye, C.W.; van Kooij, B.; Rothova, A. Impact of Macular Edema on Visual Acuity in Uveitis. Ophthalmology 2006, 113, 1446–1449. [Google Scholar] [CrossRef]
- Fardeau, C.; Champion, E.; Massamba, N.; LeHoang, P. Uveitic macular edema. Eye 2016, 30, 1277–1292. [Google Scholar] [CrossRef]
- Valentincic, N.V.; De Groot-Mijnes, J.D.; Kraut, A.; Korosec, P.; Hawlina, M.; Rothova, A. Intraocular and serum cytokine profiles in patients with intermediate uveitis. Mol. Vis. 2011, 17, 2003–2010. [Google Scholar]
- Vidovic-Valentincic, N.; Kraut, A.; Hawlina, M.; Stunf, S.; Rothova, A. Intermediate uveitis: Long-term course and visual outcome. Br. J. Ophthalmol. 2008, 93, 477–480. [Google Scholar] [CrossRef]
- Rothova, A.; Schulten, M.S.S.-V.; Treffers, W.F.; Kijlstra, A. Causes and frequency of blindness in patients with intraocular inflammatory disease. Br. J. Ophthalmol. 1996, 80, 332–336. [Google Scholar] [CrossRef]
- Iannetti, L.; Spinucci, G.; Abbouda, A.; De Geronimo, D.; Tortorella, P.; Accorinti, M. Spectral-Domain Optical Coherence Tomography in Uveitic Macular Edema: Morphological Features and Prognostic Factors. Ophthalmologica 2012, 228, 13–18. [Google Scholar] [CrossRef]
- Onal, S.; Tugal-Tutkun, I.; Neri, P.; Herbort, C.P. Optical coherence tomography imaging in uveitis. Int. Ophthalmol. 2013, 34, 401–435. [Google Scholar] [CrossRef]
- Iannetti, L.; Tortorella, P.; D’Ambrosio, E.; Spena, R.; Zito, R.; Gharbiya, M. Epiretinal Membranes in Patients with Uveitis: Morphological and Functional Analysis with Spectral Domain Optical Coherence Tomography. BioMed Res. Int. 2013, 2013, 284821. [Google Scholar] [CrossRef]
- Accorinti, M.; Okada, A.A.; Smith, J.R.; Gilardi, M. Epidemiology of Macular Edema in Uveitis. Ocul. Immunol. Inflamm. 2019, 27, 169–180. [Google Scholar] [CrossRef]
- Maheshwary, A.S.; Oster, S.F.; Yuson, R.M.; Cheng, L.; Mojana, F.; Freeman, W.R. The Association Between Percent Disruption of the Photoreceptor Inner Segment–Outer Segment Junction and Visual Acuity in Diabetic Macular Edema. Am. J. Ophthalmol. 2010, 150, 63–67.e1. [Google Scholar] [CrossRef]
- Wong, I.Y.; Iu, L.; Koizumi, H.; Lai, W.W. The inner segment/outer segment junction. Curr. Opin. Ophthalmol. 2012, 23, 210–218. [Google Scholar] [CrossRef] [PubMed]
- Iannetti, L.; Accorinti, M.; Liverani, M.; Caggiano, C.; Abdulaziz, R.; Pivetti-Pezzi, P. Optical Coherence Tomography for Classification and Clinical Evaluation of Macular Edema in Patients with Uveitis. Ocul. Immunol. Inflamm. 2008, 16, 155–160. [Google Scholar] [CrossRef] [PubMed]
- Markomichelakis, N.N.; Halkiadakis, I.; Pantelia, E.; Peponis, V.; Patelis, A.; Theodossiadis, P.; Theodossiadis, G. Patterns of macular edema in patients with uveitis: Qualitative and quantitative assessment using optical coherence tomography. Ophthalmology 2004, 111, 946–953. [Google Scholar] [CrossRef] [PubMed]
- Markomichelakis, N.N.; Halkiadakis, I.; Pantelia, E.; Georgalas, E.; Chrysanthi, K.; Theodossiadis, P.; Moschos, M.; Theodossiadis, G.; Kouvatseas, G. Course of Macular Edema in Uveitis under Medical Treatment. Ocul. Immunol. Inflamm. 2007, 15, 71–79. [Google Scholar] [CrossRef] [PubMed]
- Thurau, S.R. Zystoides Makulaödem bei Uveitis. Der Ophthalmol. 2005, 102, 485–490. [Google Scholar] [CrossRef]
- R Core Team. European Environment Agency. 2020. Available online: https://www.eea.europa.eu/data-and-maps/indicators/oxygen-consuming-substances-in-rivers/r-development-core-team-2006 (accessed on 14 April 2022).
- Christensen, R. Regression Models for Ordinal Data Introducing R-package Ordinal, Undefined. 2011. Available online: https://www.semanticscholar.org/paper/Regression-Models-for-Ordinal-Data-Introducing-Christensen/a4ddf910eddf0f2abc742a91ac18308cf82ef04e (accessed on 24 January 2022).
- Otani, T.; Kishi, S.; Maruyama, Y. Patterns of diabetic macular edema with optical coherence tomography. Am. J. Ophthalmol. 1999, 127, 688–693. [Google Scholar] [CrossRef]
- Antcliff, R.J.; Stanford, M.R.; Chauhan, D.S.; Graham, E.M.; Spalton, D.J.; Shilling, J.S.; Ffytche, T.J.; Marshall, J. Comparison between optical coherence tomography and fundus fluorescein angiography for the detection of cystoid macular edema in patients with uveitis. Ophthalmology 2000, 107, 593–599. [Google Scholar] [CrossRef]
- Gupta, S.; Shah, D.N.; Joshi, S.N.; Aryal, M.; Puri, L.R. Patterns of Macular Edema in Uveitis as Diagnosed by Optical Coherence Tomography in Tertiary Eye Center. Nepal. J. Ophthalmol. 2018, 10, 39–46. [Google Scholar] [CrossRef]
- Shen, Y.; Liu, K.; Xu, X. Correlation Between Visual Function and Photoreceptor Integrity in Diabetic Macular Edema: Spectral-Domain Optical Coherence Tomography. Curr. Eye Res. 2015, 41, 391–399. [Google Scholar] [CrossRef]
- Oster, S.F.; Mojana, F.; Brar, M.; Yuson, R.M.S.; Cheng, L.; Freeman, W.R. Disruption of the photoreceptor inner segment/outer segment layer on spectral domain-optical coherence tomography is a predictor of poor visual acuity in patients with epiretinal membranes. Retina 2010, 30, 713–718. [Google Scholar] [CrossRef]
- Shimozono, M.; Oishi, A.; Hata, M.; Matsuki, T.; Ito, S.; Ishida, K.; Kurimoto, Y. The Significance of Cone Outer Segment Tips as a Prognostic Factor in Epiretinal Membrane Surgery. Am. J. Ophthalmol. 2012, 153, 698–704.e1. [Google Scholar] [CrossRef]
- Itoh, Y.; Inoue, M.; Rii, T.; Hirota, K.; Hirakata, A. Correlation Between Foveal Cone Outer Segment Tips Line and Visual Recovery After Epiretinal Membrane Surgery. Investig. Opthalmol. Vis. Sci. 2013, 54, 7302–7308. [Google Scholar] [CrossRef]
- Itoh, Y.; Inoue, M.; Rii, T.; Hiraoka, T.; Hirakata, A. Correlation between Length of Foveal Cone Outer Segment Tips Line Defect and Visual Acuity after Macular Hole Closure. Ophthalmology 2012, 119, 1438–1446. [Google Scholar] [CrossRef]
- Ito, S.-I.; Miyamoto, N.; Ishida, K.; Kurimoto, Y. Association between external limiting membrane status and visual acuity in diabetic macular oedema. Br. J. Ophthalmol. 2012, 97, 228–232. [Google Scholar] [CrossRef]
- Tortorella, P.; D’Ambrosio, E.; Iannetti, L.; De Marco, F.; La Cava, M. Correlation between Visual Acuity, Inner Segment/Outer Segment Junction, and Cone Outer Segment Tips Line Integrity in Uveitic Macular Edema. BioMed Res. Int. 2015, 2015, 853728. [Google Scholar] [CrossRef]
- Roesel, M.; Henschel, A.; Heinz, C.; Dietzel, M.; Spital, G.; Heiligenhaus, A. Fundus autofluorescence and spectral domain optical coherence tomography in uveitic macular edema. Graefe’s Arch. Clin. Exp. Ophthalmol. 2009, 247, 1685–1689. [Google Scholar] [CrossRef]
- Akduman, L. Can We Be More Objective in Determining the Response to Treatment in Uveitis Patients Aside From Recording Anterior Chamber Reaction? Ocul. Immunol. Inflamm. 2009, 17, 265–266. [Google Scholar] [CrossRef]
- Kempen, J.H.; Van Natta, M.L.; Altaweel, M.M.; Dunn, J.P.; Jabs, D.A.; Lightman, S.L.; Thorne, J.E.; Holbrook, J.T.; Jaffe, G.J.; Branchaud, B.; et al. Factors Predicting Visual Acuity Outcome in Intermediate, Posterior, and Panuveitis: The Multicenter Uveitis Steroid Treatment (MUST) Trial. Am. J. Ophthalmol. 2015, 160, 1133–1141.e9. [Google Scholar] [CrossRef]
- Niederer, R.L.; Sharief, L.; Bar, A.; Lightman, S.L.; Tomkins-Netzer, O. Predictors of Long-Term Visual Outcome in Intermediate Uveitis. Ophthalmology 2017, 124, 393–398. [Google Scholar] [CrossRef]
- Tomkins-Netzer, O.; Lightman, S.L.; Burke, A.E.; Sugar, E.A.; Lim, L.L.; Jaffe, G.J.; Altaweel, M.M.; Kempen, J.H.; Holbrook, J.T.; Jabs, D.A. Seven-Year Outcomes of Uveitic Macular Edema: The Multicenter Uveitis Steroid Treatment Trial and Follow-up Study Results. Ophthalmology 2020, 128, 719–728. [Google Scholar] [CrossRef]
- Wubben, T.; Besirli, C.; Zacks, D.N. Pharmacotherapies for Retinal Detachment. Ophthalmology 2016, 123, 1553–1562. [Google Scholar] [CrossRef] [PubMed]
- Murakami, Y.; Notomi, S.; Hisatomi, T.; Nakazawa, T.; Ishibashi, T.; Miller, J.W.; Vavvas, D.G. Photoreceptor cell death and rescue in retinal detachment and degenerations. Prog. Retin. Eye Res. 2013, 37, 114–140. [Google Scholar] [CrossRef] [PubMed]
- Wakabayashi, T.; Oshima, Y.; Fujimoto, H.; Murakami, Y.; Sakaguchi, H.; Kusaka, S.; Tano, Y. Foveal Microstructure and Visual Acuity after Retinal Detachment Repair: Imaging Analysis by Fourier-Domain Optical Coherence Tomography. Ophthalmology 2009, 116, 519–528. [Google Scholar] [CrossRef] [PubMed]
- van Rijssen, T.J.; Mohabati, D.; Dijkman, G.; Theelen, T.; de Jong, E.K.; van Dijk, E.H.C.; Boon, C.J.F. Correlation between redefined optical coherence tomography parameters and best-corrected visual acuity in non-resolving central serous chorioretinopathy treated with half-dose photodynamic therapy. PLoS ONE 2018, 13, e0202549. [Google Scholar] [CrossRef]
- Hu, Y.; Wu, Q.; Liu, B.; Cao, D.; Dong, X.; Zhang, L.; Li, T.; Yang, X.; Yu, H. Comparison of clinical outcomes of different components of diabetic macular edema on optical coherence tomography. Graefe’s Arch. Clin. Exp. Ophthalmol. 2019, 257, 2613–2621. [Google Scholar] [CrossRef]
- Lehpamer, B.; Moshier, E.; Goldberg, N.; Ackert, J.; Godbold, J.; Jabs, D.A. Subretinal Fluid in Uveitic Macular Edema: Effect on Vision and Response to Therapy. Am. J. Ophthalmol. 2013, 155, 143–149. [Google Scholar] [CrossRef]
- Weldy, E.W.; Patnaik, J.L.; Pecen, P.E.; Palestine, A.G. Quantitative effect of subretinal fluid and intraretinal edema on visual acuity in uveitic cystoid macular edema. J. Ophthalmic Inflamm. Infect. 2021, 11, 38. [Google Scholar] [CrossRef]
- Tran, T.H.C.; de Smet, M.; Bodaghi, B.; Fardeau, C.; Cassoux, N.; LeHoang, P. Uveitic macular oedema: Correlation between optical coherence tomography patterns with visual acuity and fluorescein angiography. Br. J. Ophthalmol. 2008, 92, 922–927. [Google Scholar] [CrossRef]


| Number of Eyes (%) | Median BCVA (1st–3rd Quartile) | |
|---|---|---|
| Total | 27 | 0.8 (0.55–0.95) |
| DME | 9 (33.3%) | 0.8 (0.45–0.975) |
| CME | 18 (66.6%) | 0.9 (0.7–0.9) |
| SRD * | 13 (48.1%) | 0.7 (0.4–0.8) |
| Subfoveal bubble * | 12 (44.4%) | 0.8 (0.375–0.9) |
| Foveal Bulge * | 11 (40.7%) | 0.9 (0.8–0.95) |
| EZ disruption * | 3 (11.1%) | 0.6 (0.45–0.75) |
| ELM disruption * | 0 (0%) | |
| COST line disruption * | 6 (22.2%) | 0.9 (0.675–0.9) |
| ERM * | 17 (62%) | 0.8 (0.6–1.0) |
| Central subfield thickness | 459 (±153) | |
| Central perifoveal thickness | 443 (±189) |
| Covariate | β Coefficients | Cumulative OR (95% CI) | p Value (Chi2 Test) |
|---|---|---|---|
| EZ disruption | −5.6 (−9.5–−2.5) | 0.004 (7.83 × 10−5–0.08) | 0.00021 |
| CME | −4.4 (−7.4–−1.9) | 0.012 (0.001–0.142) | 0.00021 |
| CST | −2.2 (−3.6–−0.19) | 0.106 (0.028–0.304) | 3.16 × 10−6 |
| SRD | −1.9 (−3.9–−0.12) | 0.146 (0.021–0.887) | 0.037 |
Disclaimer/Publisher’s Note: The statements, opinions and data contained in all publications are solely those of the individual author(s) and contributor(s) and not of MDPI and/or the editor(s). MDPI and/or the editor(s) disclaim responsibility for any injury to people or property resulting from any ideas, methods, instructions or products referred to in the content. |
© 2023 by the authors. Licensee MDPI, Basel, Switzerland. This article is an open access article distributed under the terms and conditions of the Creative Commons Attribution (CC BY) license (https://creativecommons.org/licenses/by/4.0/).
Share and Cite
Iannetti, L.; Scarinci, F.; Alisi, L.; Armentano, M.; Sampalmieri, L.; La Cava, M.; Gharbiya, M. Correlation between Morphological Characteristics of Macular Edema and Visual Acuity in Young Patients with Idiopathic Intermediate Uveitis. Medicina 2023, 59, 529. https://doi.org/10.3390/medicina59030529
Iannetti L, Scarinci F, Alisi L, Armentano M, Sampalmieri L, La Cava M, Gharbiya M. Correlation between Morphological Characteristics of Macular Edema and Visual Acuity in Young Patients with Idiopathic Intermediate Uveitis. Medicina. 2023; 59(3):529. https://doi.org/10.3390/medicina59030529
Chicago/Turabian StyleIannetti, Ludovico, Fabio Scarinci, Ludovico Alisi, Marta Armentano, Lorenzo Sampalmieri, Maurizio La Cava, and Magda Gharbiya. 2023. "Correlation between Morphological Characteristics of Macular Edema and Visual Acuity in Young Patients with Idiopathic Intermediate Uveitis" Medicina 59, no. 3: 529. https://doi.org/10.3390/medicina59030529
APA StyleIannetti, L., Scarinci, F., Alisi, L., Armentano, M., Sampalmieri, L., La Cava, M., & Gharbiya, M. (2023). Correlation between Morphological Characteristics of Macular Edema and Visual Acuity in Young Patients with Idiopathic Intermediate Uveitis. Medicina, 59(3), 529. https://doi.org/10.3390/medicina59030529

