Parathyroid Cancer—A Rare Finding during Parathyroidectomy in High Volume Surgery Centre
Abstract
1. Introduction
2. Clinical Presentation
3. Paraclinical Aspects
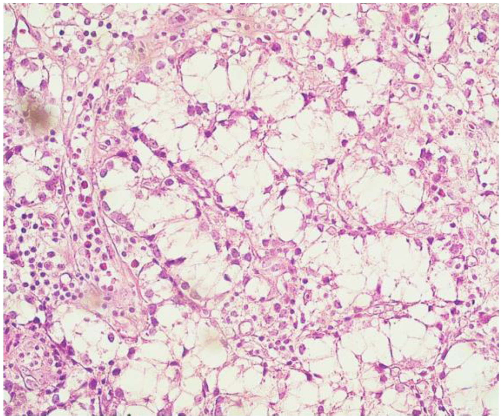
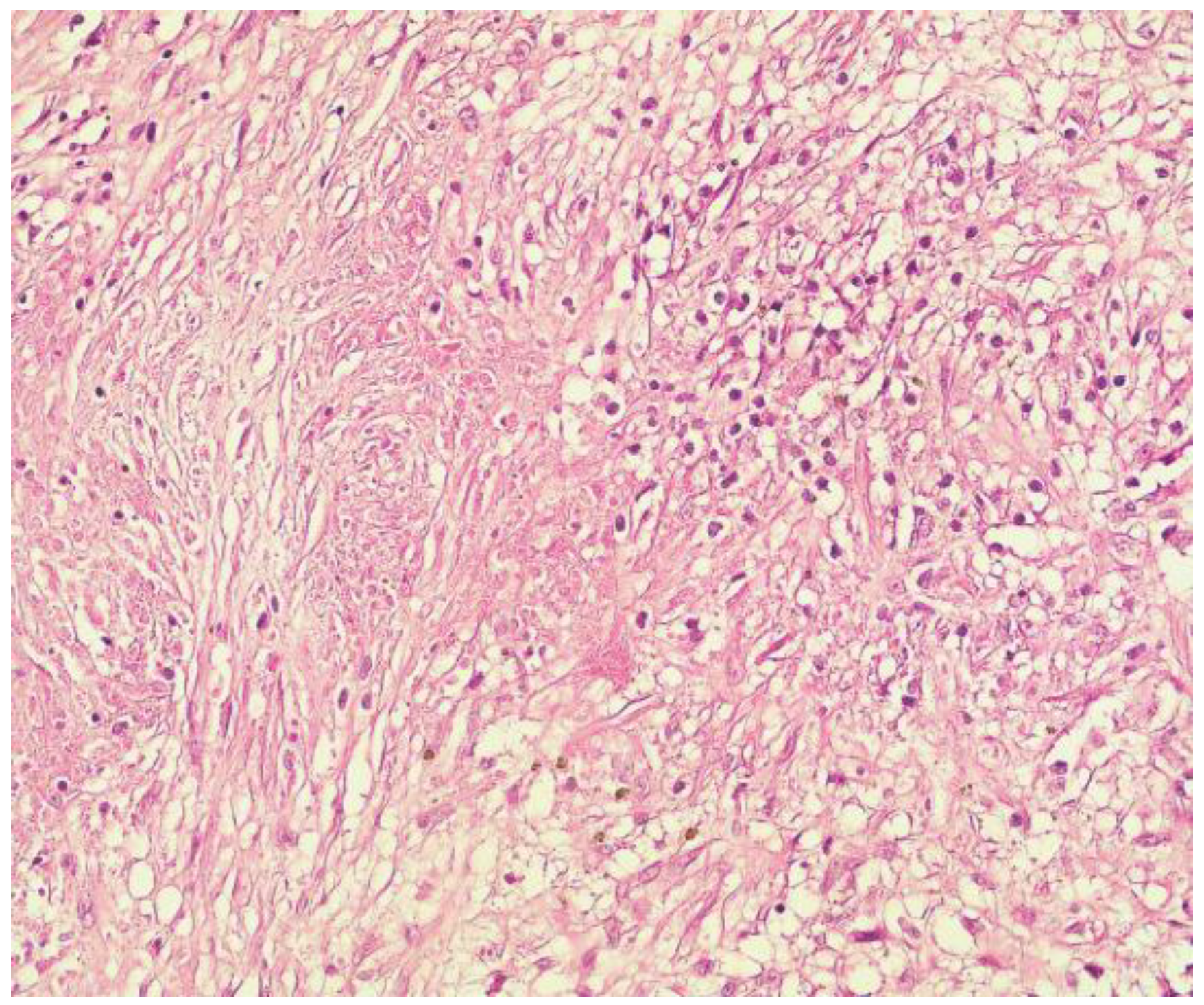
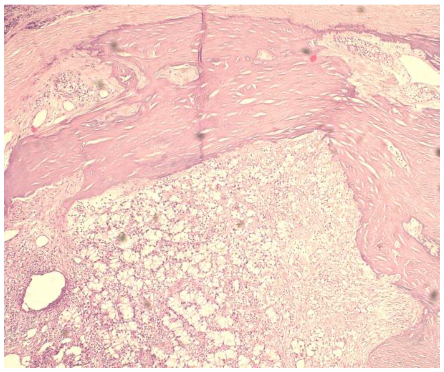
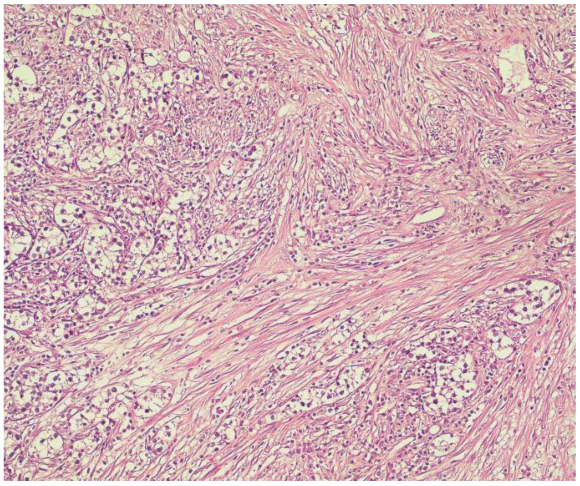
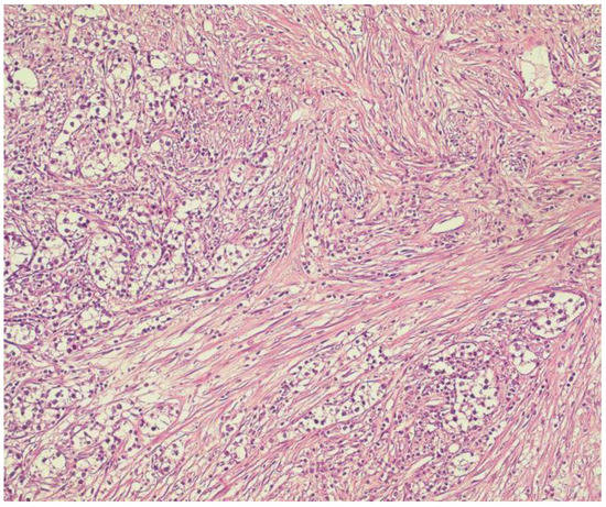
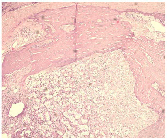
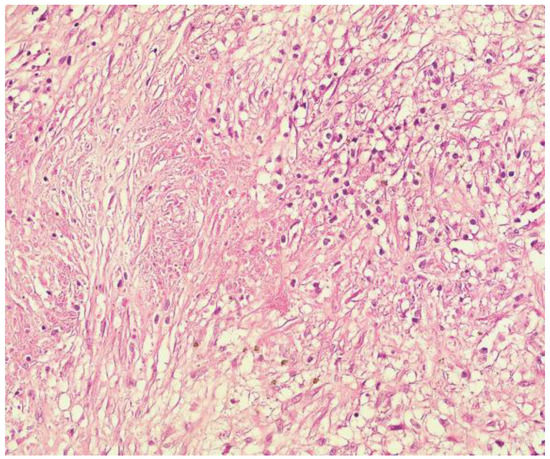
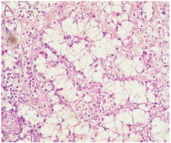
4. Diagnosis
5. Treatment
5.1. Medical Treatment
5.2. Surgical Treatment
5.3. Adjuvant Treatment
6. Methods
7. Discussion
8. Conclusions
Author Contributions
Funding
Institutional Review Board Statement
Informed Consent Statement
Data Availability Statement
Conflicts of Interest
References
- Hundahl, S.A.; Fleming, I.D.; Fremgen, A.M.; Menck, H.R. Two hundred eighty-six cases of parathyroid carcinoma treated in the U.S. between 1985–1995. Cancer 1999, 86, 538–544. [Google Scholar] [CrossRef]
- Bossola, M.; Tazza, L.; Ferrante, A.; Giungi, S.; Carbone, A.; Gui, A.; Luciani, G. Parathyroid carcinoma in a chronic hemodialysis patient: Case report and review of literature. Tumori 2005, 91, 558–562. [Google Scholar] [CrossRef] [PubMed]
- Kirkby-Bott, J.; Lewis, P.; Harmer, C.L.; Smellie, W.J.B. One stage treatment of parathyroid cancer. Eur. J. Surg. Oncol. EJSO 2005, 31, 78–83. [Google Scholar] [CrossRef] [PubMed]
- Talat, N.; Schulte, K.-M. Clinical Presentation, Staging and Long-Term Evolution of Parathyroid Cancer. Ann. Surg. Oncol. 2010, 17, 2156–2174. [Google Scholar] [CrossRef] [PubMed]
- Khan, M. Parathyroid carcinoma in secondary and tertiary hyperparathyroidism1. J. Am. Coll. Surg. 2004, 199, 312–319. [Google Scholar] [CrossRef] [PubMed]
- Kada, S.; Tanaka, M.; Yasoda, A. Parathyroid carcinoma in a patient with secondary hyperparathyroidism and thyroid hemiagenesis: A Case Report and Review of the Literature. Ear Nose Throat J. 2021, 28, 1455613211036240. [Google Scholar] [CrossRef] [PubMed]
- Marcocci, C.; Cetani, F.; Rubin, M.R.; Silverberg, S.J.; Pinchera, A.; Bilezikian, J.P. Parathyroid carcinoma. J. Bone Miner. Res. 2008, 23, 1869–1880. [Google Scholar] [CrossRef] [PubMed]
- Favia, G.; Iacobone, M. Parathyroid Carcinoma. In Primary, Secondary and Tertiary Hyperparathyroidism; Springer: Berlin/Heidelberg, Germany, 2016; pp. 183–191. [Google Scholar]
- Shane, E. Clinical Review 122: Parathyroid carcinoma. J. Clin. Endocrinol. Metab. 2001, 86, 485–493. [Google Scholar] [CrossRef]
- Woodard, G.E.; Lin, L.; Zhang, J.-H.; Agarwal, S.K.; Marx, S.J.; Simonds, W.F. Parafibromin, product of the hyperparathyroidism–jaw tumor syndrome gene HRPT2, regulates cyclin D1/PRAD1 expression. Oncogene 2005, 24, 1272–1276. [Google Scholar] [CrossRef]
- Ferraro, V.; Sgaramella, L.I.; Di Meo, G.; Prete, F.P.; Logoluso, F.; Minerva, F.; Noviello, M.; Renzulli, G.; Gurrado, A.; Testini, M. Current concepts in parathyroid carcinoma: A single Centre experience. BMC Endocr. Disord. 2019, 19 (Suppl. 1), 46. [Google Scholar] [CrossRef]
- Fingeret, A. Contemporary Evaluation and Management of Parathyroid Carcinoma. JCO Oncol. Pract. 2022, 17, 17. [Google Scholar] [CrossRef] [PubMed]
- Sharretts, J.M.; Simonds, W.F. Clinical and molecular genetics of parathyroid neoplasms. Best Pract. Res. Clin. Endocrinol. Metab. 2010, 24, 491–502. [Google Scholar] [CrossRef]
- Bae, J.H.; Choi, H.J.; Lee, Y.; Moon, M.K.; Park, Y.J.; Shin, C.S.; Park, D.J.; Jang, H.C.; Kim, S.T.; Kim, S.W. Preoperative predictive factors for parathyroid carcinoma in patients with primary hyperparathyroidism. J. Korean Med. Sci. 2012, 27, 890–895. [Google Scholar] [CrossRef] [PubMed]
- Tamler, R.; Lewis, M.S.; LiVolsi, V.A.; Genden, E.M. Parathyroid Carcinoma: Ultrasonographic and Histologic Features. Thyroid 2005, 15, 744–745. [Google Scholar] [CrossRef] [PubMed]
- Rodrigo, P.J.; Hernandez-Prera, C.J.; Randolph, W.G.; Zafereo, E.M.; Hartl, M.D.; Silver, E.C.; Suárez, C.; Owen, P.R.; Bradford, R.C.; Mäkitie, A.A.; et al. Parathyroid cancer: An update. Cancer Treat Rev. 2020, 86, 102012. [Google Scholar] [CrossRef] [PubMed]
- Hara, H.; Igarashi, A.; Yano, Y.; Yashiro, T.; Ueno, E.; Aiyoshi, Y.; Ito, K.; Obara, T. Ultrasonographic features of parathyroid carcinoma. Endocr. J. 2001, 48, 213–217. [Google Scholar] [CrossRef]
- Duan, K.; Mete, O. Parathyroid carcinoma: Diagnosis and clinical implications. Turk. J. Pathol. 2015, 31 (Suppl. S1), 80–97. [Google Scholar] [CrossRef]
- Machado, N.N.; Wilhelm, M.S. Parathyroid cancer: A review. Cancers 2019, 11, 1676. [Google Scholar] [CrossRef]
- Zhang, M.; Sun, L.; Rui, W.; Guo, R.; He, H.; Miao, Y.; Meng, H.; Liu, J.; Li, B. Semi-quantitative analysis of 99mTc-sestamibi retention level for preoperative differential diagnosis of parathyroid carcinoma. Quant. Imaging Med. Surg. 2019, 9, 1394–1401. [Google Scholar] [CrossRef]
- Wei, C.H.; Harrari, A. Parathyroid carcinoma: Update and guidelines for manangement. Curr. Treat. Options Oncol. 2012, 13, 11–23. [Google Scholar] [CrossRef] [PubMed]
- Takumi, K.; Fukukura, Y.; Hakamada, H.; Nagano, H.; Kumagae, Y.; Arima, H.; Nakajo, A.; Yoshiura, T. CT features of parathyroid carcinomas: Comparison with benign parathyroid lesions. JPN J. Radiol. 2019, 37, 380–389. [Google Scholar] [CrossRef] [PubMed]
- Long, K.; Sippel, R. Current and future treatments for parathyroid carcinoma. Int. J. Endocr. Oncol. 2018, 5, IJE06. [Google Scholar] [CrossRef]
- Holmes, E.C.; Morton, D.L.; Ketcham, A.S. Parathyroid carcinoma: A collective review. Ann. Surg. 1969, 169, 631–640. [Google Scholar] [CrossRef] [PubMed]
- Hu, Y.; Liao, Q.; Cao, S.; Gao, X.; Zhao, Y. Diagnostic performance of parafibromin immunohistochemical staining for sporadic parathyroid carcinoma: A meta-analysis. Endocrine 2016, 54, 612–619. [Google Scholar] [CrossRef]
- Silverberg, S.J.; Rubin, M.R.; Faiman, C.; Peacock, M.; Shoback, D.M.; Smallridge, R.C.; Schwanauer, L.E.; Olson, K.A.; Klassen, P.; Bilezikian, J.P. Cinacalcet hydrochloride reduces the serum calcium concentration in inoperable parathyroid carcinoma. J. Clin. Endocrinol. Metab. 2007, 92, 3803–3808. [Google Scholar] [CrossRef]
- Berenson, J.R. Treatment of hypercalcemia of malignancy with bisphosphonates. Semin. Oncol. 2002, 29, 12–18. [Google Scholar] [CrossRef]
- Villar Del Moral, J.; Jimenez Garcia, A.; Salvador Egea, P.; Martos-Martínez, J.M.; Nuño-Vázquez-Garza, J.M.; Serradilla-Martín, M.; Gómez-Palacio, A.; Moreno-Llorente, P.; Ortega-Serrano, J.; de la Quintana-Basarrate, A. Prognostic factors and staging systems in parathyroid cancer: A multi-center cohort study. Surgery 2014, 156, 1132–1144. [Google Scholar] [CrossRef]
- Sandelin, K.; Auer, G.; Bondeson, L.; Grimelius, L.; Farnebo, L.-O. Prognostic factors in parathyroid cancer: A review of 95 cases. World J. Surg. 1992, 16, 724–731. [Google Scholar] [CrossRef]
- Harari, A.; Waring, A.; Fernandez-Ranvier, G.; Hwang, J.; Suh, I.; Mitmaker, E.; Shen, W.; Gosnell, J.; Duh, Q.-Y.; Clark, O. Parathyroid carcinoma: A 43-year outcome and survival analysis. J. Clin. Endocrinol. Metab. 2011, 96, 3679–3686. [Google Scholar] [CrossRef]
- Sadler, C.; Gow, K.W.; Beierle, E.A.; Doski, J.J.; Langer, M.; Nuchtern, J.G.; Vasudevan, S.A.; Goldfarb, M. Parathyroid carcinoma in more than 1000 patients: A population-level analysis. Surgery 2014, 156, 1622–1629. [Google Scholar] [CrossRef]
- Rozhinskaya, L.; Pigarova, E.; Sabanova, E.; Mamedova, E.; Voronkova, I.; Krupinova, J.; Dzeranova, L.; Tiulpakov, A.; Gorbunova, V.; Orel, N.; et al. Diagnosis and treatment challenges of parathyroid carcinoma in a 27-year-old woman with multiple lung metastases. Endocrinol. Diab. Metab. Case Rep. 2017, 2017, 16-0113. [Google Scholar] [CrossRef] [PubMed]
- Melfa, G. Surgeon volume and hospital volume in endocrine neck surgery: How many procedures are needed for reaching a safety level and acceptable costs? A systematic narrative review. G. Di Chir.-J. Surg. 2018, 39, 5. [Google Scholar] [CrossRef] [PubMed]
- Iacobone, M.; Scerrino, G.; Palazzo, F.F. Parathyroid surgery: An evidence-based volume—Outcomes analysis. Langenbeck Arch. Surg. 2019, 404, 919–927. [Google Scholar] [CrossRef] [PubMed]
- Jayawardene, S.; Owen, W.J.; Goldsmith, D.J.A. Parathyroid carcinoma in a dialysis patient. Am. J. Kidney Dis. 2000, 36, e26.1–e26.5. [Google Scholar] [CrossRef]
- Obara, T.; Fujimoto, Y. Diagnosis and treatment of patients with parathyroid carcinoma: An update and review. World J. Surg. 1991, 15, 738–744. [Google Scholar] [CrossRef]
- Fernandez, J.M.P.; Paiva, C.; Correia, R.; Polonia, J.; da Costa, M.A. Parathyroid carcinoma: From a case report to a review of literature. Int. J. Surg. Case Rep. 2018, 42, 214–217. [Google Scholar] [CrossRef]
- McKeown, P.P.; McGarity, W.C.; Sewell, C.W. Carcinoma of the parathyroid gland: Is it overdiagnosed? A report of three cases. Am. J. Surg. 1984, 147, 292–298. [Google Scholar] [CrossRef]
- Erickson, L.; Mete, O.; Juhlin, C.; Perren, A.; Gill, A. Overview of the 2022 WHO Classification of Parathyroid Tumors. Endocr. Pathol. 2022, 33, 64–89. [Google Scholar] [CrossRef]
- Schantz, A.; Castleman, B. Parathyroid carcinoma. A study of 70 cases. Cancer 1973, 31, 600–605. [Google Scholar] [CrossRef]
- Gill, A.J. Understanding the Genetic Basis of Parathyroid Carcinoma. Endocr. Pathol. 2014, 25, 30–34. [Google Scholar] [CrossRef] [PubMed]
- Barazeghi, E.; Gill, A.J.; Sidhu, S.; Norlén, O.; Dina, R.; Palazzo, F.F.; Hellman, P.; Stålberg, P.; Westin, G. A role for TET2 in parathyroid carcinoma. Endocr.-Relat. Cancer 2017, 24, 309–318. [Google Scholar] [CrossRef] [PubMed]






| Case No. | Authors | Year | Age at Diagnosis | Gender | Duration of HD (Years) | Metastasis | Follow-Up (Month) | Status |
|---|---|---|---|---|---|---|---|---|
| 1 | Berland | 1982 | 62 | Female | 3 | No | 5 | DF |
| 2 | Anderson | 1983 | 44 | Female | No | 17 | DFD | |
| 3 | Ireland | 1985 | 34 | Male | 5 | 84 | DFD | |
| 4 | Sherlock | 1985 | 42 | Female | 7 | No | 12 | DF |
| 5 | Krishna | 1989 | 64 | Female | 9 | No | 36 | DF |
| 6 | Kodama | 1989 | 53 | Female | 7 | No | 4 | DF |
| 7 | Iwamoto | 1990 | 46 | Male | 11 | No | ||
| 8 | 55 | Female | 5 | No | ||||
| 9 | Rademaker | 1990 | 46 | Female | 3 | No | 84 | DF |
| 10 | 52 | Female | 2 | No | 48 | DF | ||
| 11 | Tominaga | 1995 | 46 | Female | 20 | Lung | ||
| 12 | Miki | 1996 | 40 | Female | 5 | Lung | 115 | |
| 13 | Liou | 1996 | 64 | Male | 0.2 | No | 12 | DF |
| 14 | Tseng | 1999 | 20 | Female | 5 | Liver | 4 | DFD |
| 15 | Takami | 1999 | 55 | Female | 3 | No | 4 | DF |
| 16 | Jayawardene | 2000 | 75 | Female | 3 | No | DF | |
| 17 | Kuji | 2000 | 51 | Male | 22 | |||
| 18 | Zivaljevic | 2002 | 69 | Male | 5 | No | 9 | DF |
| 19 | Srouji | 2004 | 27 | Female | 8 | No | 9 | DF |
| 20 | Khan | 2004 | 33 | Male | 10 | Lung, Bone | 22 | AWD |
| 21 | Bossola | 2005 | 52 | Female | 2 | No | 93 | DF |
| 22 | Babar-Craig | 2005 | 55 | Male | ||||
| 23 | Falvo | 2005 | 61 | Male | 18 | No | 18 | DF |
| 24 | Tzaczyk | 2007 | 55 | Male | ||||
| 25 | Diaconescu | 2011 | 48 | Male | 13 | No | 54 | DF |
| 26 | Nasrallah | 2014 | 53 | Male | 6 | No | 2 | AWD |
| 27 | Kim | 2016 | 57 | Male | 11 | No | 12 | DF |
| 28 | Pappa | 2017 | 45 | Male | 4 | No | 20 | DF |
| 29 | Curto | 2019 | 59 | Female | 40 | Lung | 6 | DF |
| 30 | Shen | 2019 | 70 | Male | 0.5 | No | 16 | DF |
| 31 | Won | 2019 | 46 | 15 | ||||
| 32 | Cappellacci | 2020 | 51 | Male | 15 | No | 22 | DF |
| 33 | Malipedda | 2020 | 53 | Male | 5 | No | DF | |
| 34 | Kada | 2021 | 48 | Female | 15 | No | 100 | DF |
| Factor | Benign Secondary Hyperparathyroidism | Parathyroid Carcinoma |
|---|---|---|
| Female:Male ratio | 4:1 | 1:1 |
| Average age | 55 | 48 |
| Serum calcium (mg/dL) | ≤12 | >14 |
| Serum PTH (pg/mL) | 10–20× above the upper normal limit | 3–10× above the upper normal limit |
| Palpable cervical mass | Rare | Common |
| Bone dysfunction | Common | Common |
| Stage | Pathological Aspects |
|---|---|
| Tumor | |
| Tis | Noninvasive or in situ cancer |
| T1 | Tumor with capsular and surrounding soft tissue invasion |
| T2 | Tumor with invasion of the thyroid gland |
| T3 | Tumor invading the trachea, esophagus or recurrent laryngeal nerve |
| T4 | Tumor invading major blood vessels/spine |
| Lymph Nodes | |
| N0 | No regional lymph node metastases |
| N1a | Metastases in central neck lymph nodes |
| N1b | Metastases in lateral neck lymph nodes |
| Metastases | |
| M0 | No evidence of distant metastases |
| M1 | Evidence of distant metastases |
Disclaimer/Publisher’s Note: The statements, opinions and data contained in all publications are solely those of the individual author(s) and contributor(s) and not of MDPI and/or the editor(s). MDPI and/or the editor(s) disclaim responsibility for any injury to people or property resulting from any ideas, methods, instructions or products referred to in the content. |
© 2023 by the authors. Licensee MDPI, Basel, Switzerland. This article is an open access article distributed under the terms and conditions of the Creative Commons Attribution (CC BY) license (https://creativecommons.org/licenses/by/4.0/).
Share and Cite
Radu, P.; Garofil, D.; Tigora, A.; Zurzu, M.; Paic, V.; Bratucu, M.; Litescu, M.; Prunoiu, V.; Georgescu, V.; Popa, F.; et al. Parathyroid Cancer—A Rare Finding during Parathyroidectomy in High Volume Surgery Centre. Medicina 2023, 59, 448. https://doi.org/10.3390/medicina59030448
Radu P, Garofil D, Tigora A, Zurzu M, Paic V, Bratucu M, Litescu M, Prunoiu V, Georgescu V, Popa F, et al. Parathyroid Cancer—A Rare Finding during Parathyroidectomy in High Volume Surgery Centre. Medicina. 2023; 59(3):448. https://doi.org/10.3390/medicina59030448
Chicago/Turabian StyleRadu, Petru, Dragos Garofil, Anca Tigora, Mihai Zurzu, Vlad Paic, Mircea Bratucu, Mircea Litescu, Virgil Prunoiu, Valentin Georgescu, Florian Popa, and et al. 2023. "Parathyroid Cancer—A Rare Finding during Parathyroidectomy in High Volume Surgery Centre" Medicina 59, no. 3: 448. https://doi.org/10.3390/medicina59030448
APA StyleRadu, P., Garofil, D., Tigora, A., Zurzu, M., Paic, V., Bratucu, M., Litescu, M., Prunoiu, V., Georgescu, V., Popa, F., Surlin, V., & Strambu, V. (2023). Parathyroid Cancer—A Rare Finding during Parathyroidectomy in High Volume Surgery Centre. Medicina, 59(3), 448. https://doi.org/10.3390/medicina59030448

