Neuro-Behçet’s Disease Onset in the Context of Tuberculous Meningoencephalitis: A Case Report
Abstract
1. Introduction
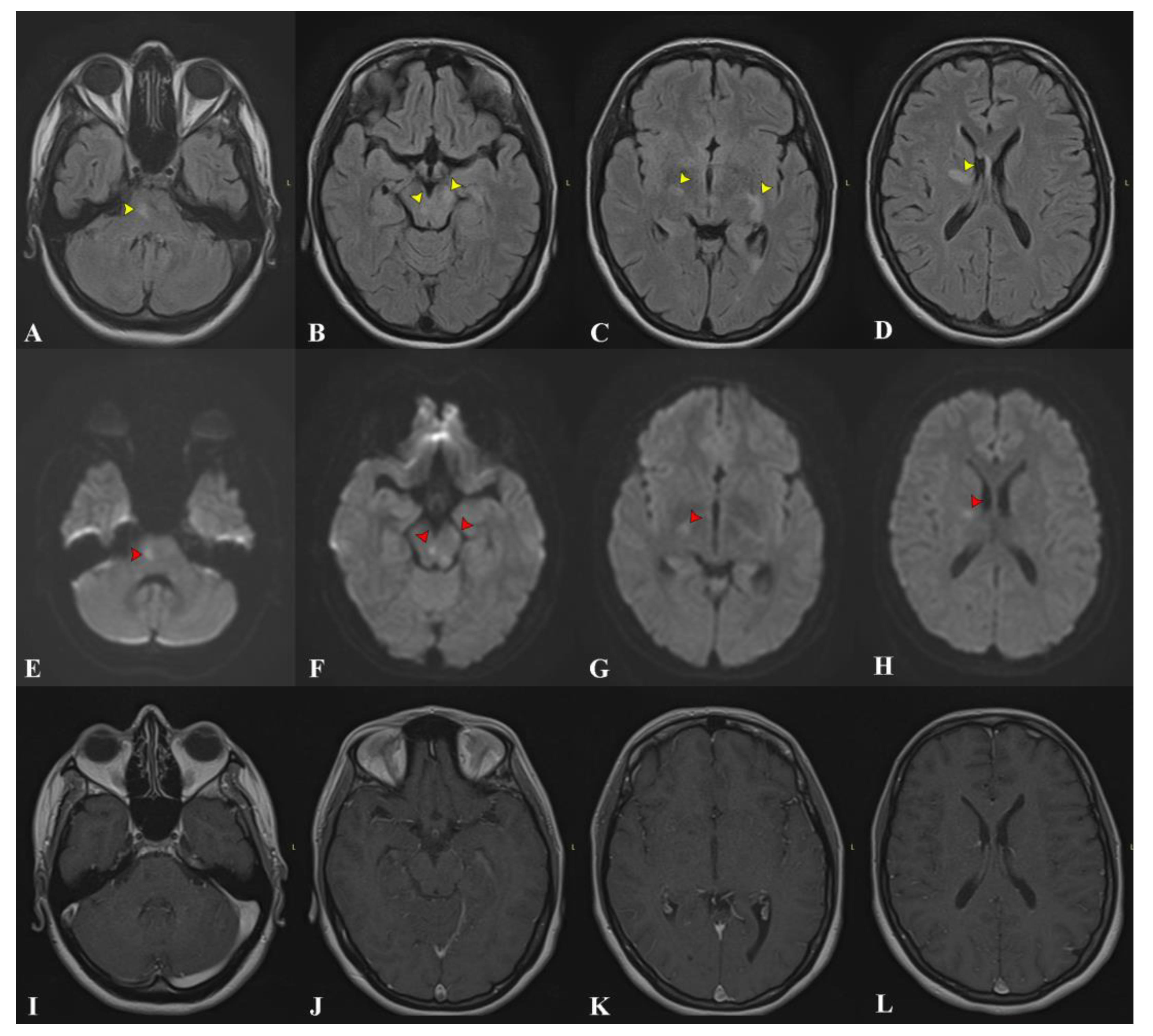
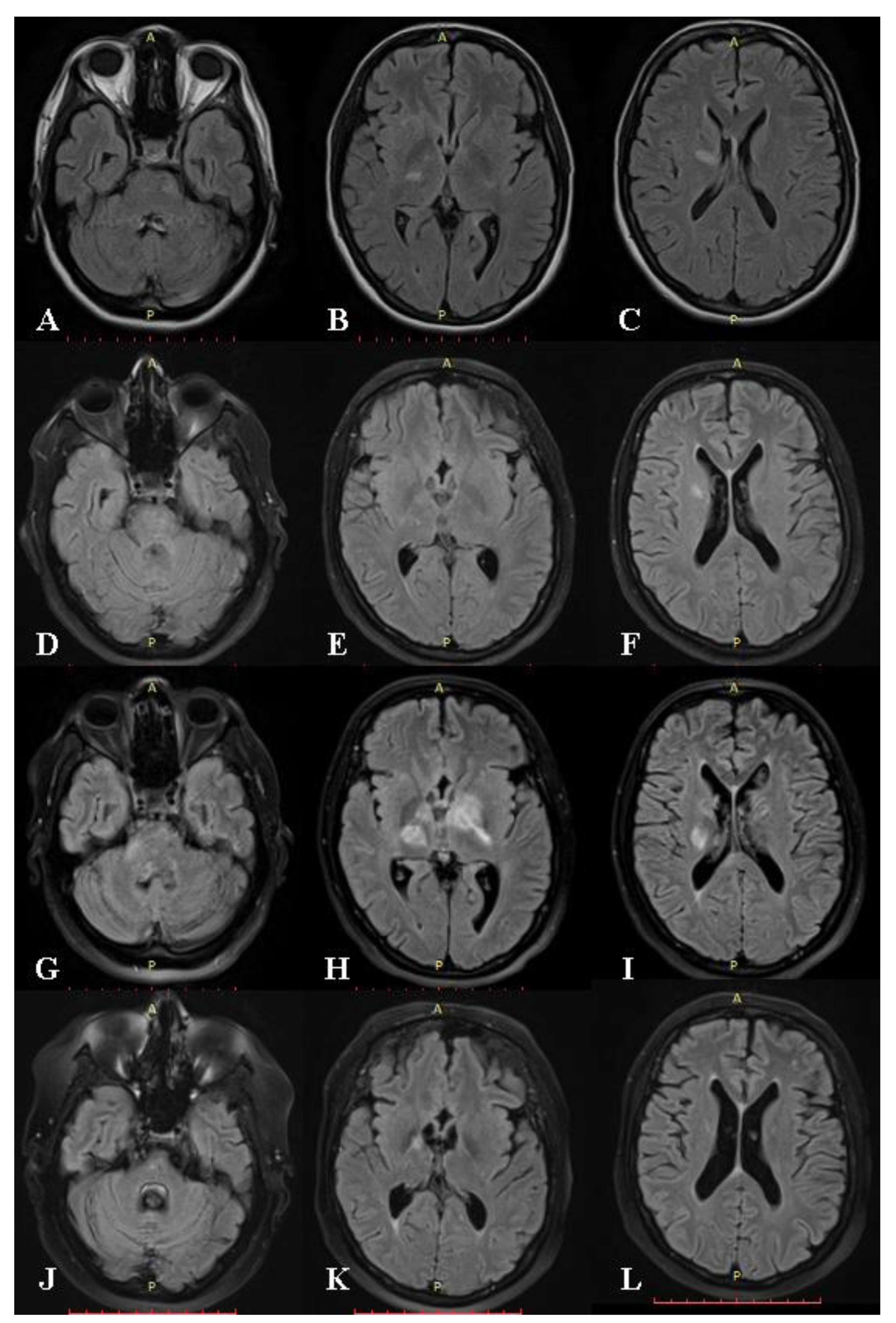
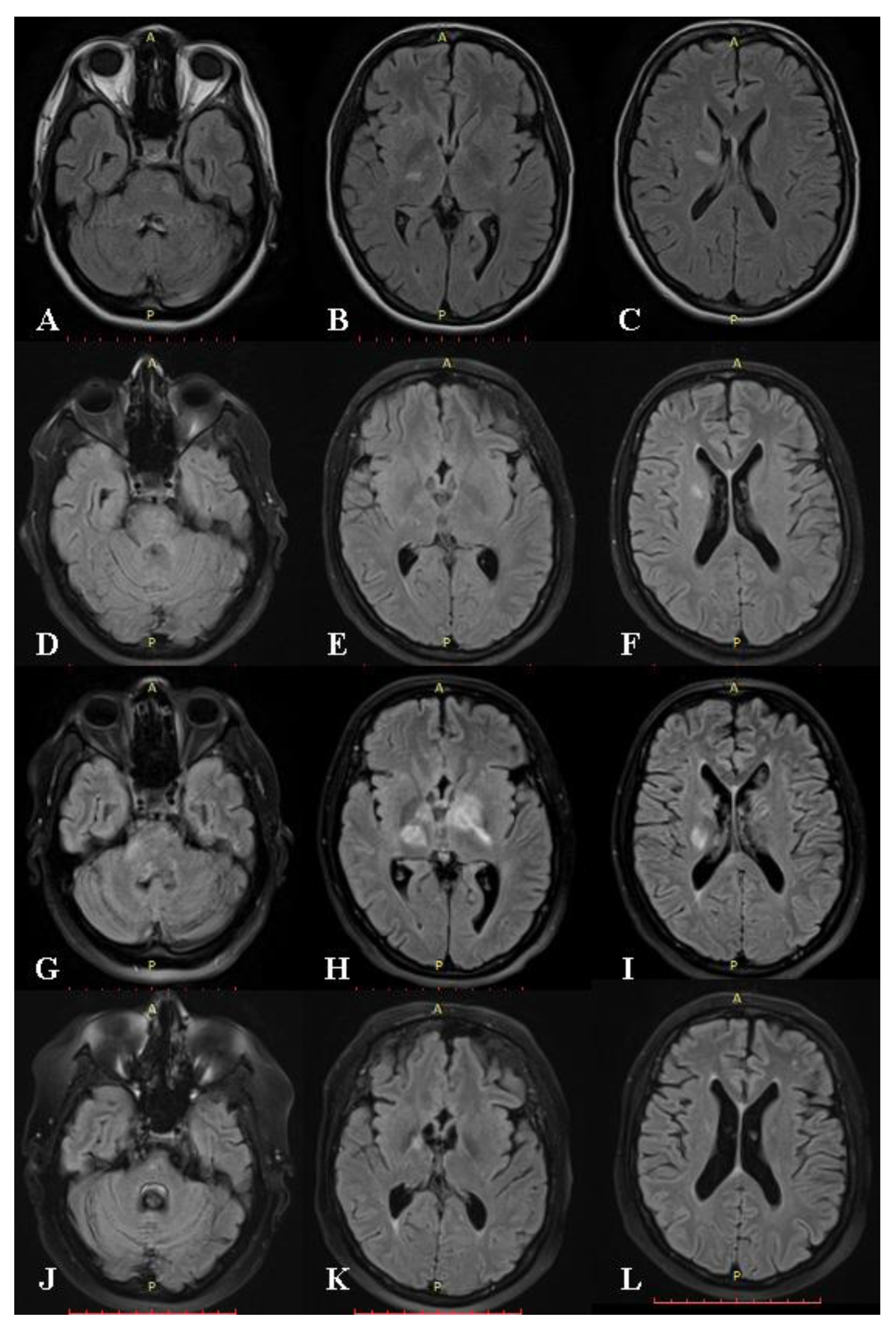
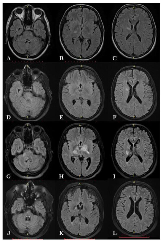
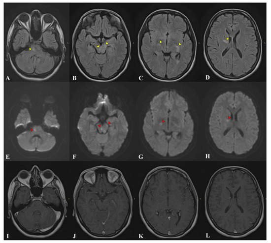
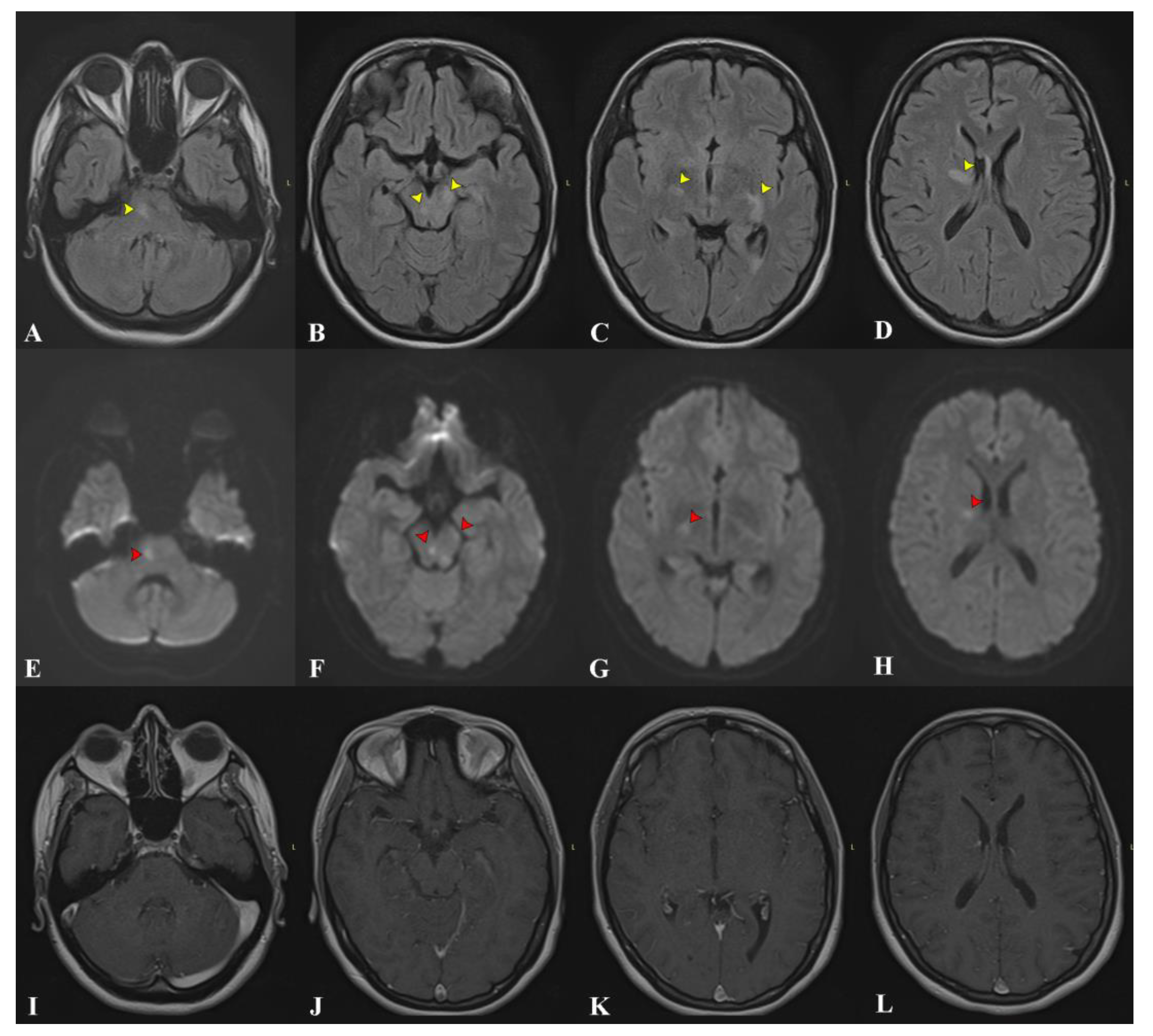
2. Case Presentation
3. Discussion
3.1. Relationship between Behçet Disease and Tuberculosis
3.2. Approaching a Difficult Differential Diagnosis
4. Conclusions
Author Contributions
Funding
Institutional Review Board Statement
Informed Consent Statement
Data Availability Statement
Acknowledgments
Conflicts of Interest
References
- Suzuki Kurokawa, M.; Suzuki, N. Behcet’s disease. Clin. Exp. Med. 2004, 4, 10–20. [Google Scholar] [CrossRef] [PubMed]
- Al-Araji, A.; Kidd, D.P. Neuro-Behçet’s disease: Epidemiology, clinical characteristics, and management. Lancet Neurol. 2009, 8, 192–204. [Google Scholar] [CrossRef]
- Kural-Seyahi, E.; Fresko, I.; Seyahi, N.; Ozyazgan, Y.; Mat, C.; Hamuryudan, V.; Yurdakul, S.; Yazici, H. The Long-Term Mortality and Morbidity of Behçet Syndrome. Medicine 2003, 82, 60–76. [Google Scholar] [CrossRef] [PubMed]
- Siva, A.; Altintas, A.; Saip, S. Behçet’s syndrome and the nervous system. Curr. Opin. Neurol. 2004, 17, 347–357. Available online: https://pubmed.ncbi.nlm.nih.gov/15167071/ (accessed on 22 February 2023). [CrossRef]
- Akman-Demir, G.; Saip, S.; Siva, A. Behçet’s Disease. Curr. Treat Options Neurol. 2011, 13, 290–310. Available online: https://pubmed.ncbi.nlm.nih.gov/21416331/ (accessed on 8 February 2023). [CrossRef]
- Alpsoy, E. Behçet’s disease: A comprehensive review with a focus on epidemiology, etiology and clinical features, and management of mucocutaneous lesions. J. Dermatol. 2016, 43, 620–632. [Google Scholar] [CrossRef] [PubMed]
- Leccese, P.; Alpsoy, E. Behçet’s Disease: An Overview of Etiopathogenesis. Front. Immunol. 2019, 10, 10. [Google Scholar] [CrossRef]
- Zhong, Z.; Su, G.; Zhou, Q.; Meguro, A.; Takeuchi, M.; Mizuki, N.; Ohno, S.; Liao, W.; Feng, X.; Ding, J.; et al. Tuberculosis Exposure with Risk of Behçet Disease Among Patients with Uveitis. JAMA Ophthalmol. 2021, 139, 415. [Google Scholar] [CrossRef]
- Freitas, S.M.; Marques, J.S.; Grilo, A.; Gomes, R.; Gonçalves, F.M. Behçet’s Disease and Tuberculosis: A Complex Relationship. Eur. J. Case Rep. Intern. Med. 2020, 7. [Google Scholar] [CrossRef]
- International Team for the Revision of the International Criteria for Behçet’s Disease (ITR-ICBD); Davatchi, F.; Assaad-Khalil, S.; Calamia, K.; Crook, J.; Sadeghi-Abdollahi, B.; Schirmer, M.; Tzellos, T.; Zouboulis, C.; Akhlagi, M.; et al. The International Criteria for Behçet’s Disease (ICBD): A collaborative study of 27 countries on the sensitivity and specificity of the new criteria. J. Eur. Acad. Dermatol. Venereol. 2014, 28, 338–347. [Google Scholar]
- Borhani-Haghighi, A.; Kardeh, B.; Banerjee, S.; Yadollahikhales, G.; Safari, A.; Sahraian, M.A.; Shapiro, L. Neuro-Behcet’s disease: An update on diagnosis, differential diagnoses, and treatment. Mult. Scler. Relat. Disord. 2019, 39. Available online: https://pubmed.ncbi.nlm.nih.gov/31887565/ (accessed on 22 February 2023). [CrossRef] [PubMed]
- Saip, S.; Akman-Demir, G.; Siva, A. Neuro-Behçet syndrome. In Handbook of Clinical Neurology; Elsevier: Amsterdam, The Netherlands, 2014; pp. 1703–1723. [Google Scholar]
- Noel, N.; Bernard, R.; Wechsler, B.; Resche-Rigon, M.; Depaz, R.; Le Thi Huong Boutin, D.; Piette, J.-C.; Drier, A.; Dormont, D.; Cacoub, P.; et al. Long-term outcome of neuro-Behçet’s disease. Arthritis Rheumatol. 2014, 66, 1306–1314. Available online: https://pubmed.ncbi.nlm.nih.gov/24782188/ (accessed on 26 August 2023). [CrossRef] [PubMed]
- Hirohata, S. Chronic Progressive Neuro-Behçet’s Disease. Brain Nerve 2021, 73, 568–575. [Google Scholar] [PubMed]
- Hamada, K.; Takei, R.; Sakiyama, Y.; Moriyama, H.; Hashiguchi, A.; Takashima, H. A case of chronic progressive neuro-Behçet disease with extensive cerebral atrophy and elevated CSF IL-6 activity treated with infliximab. Rinsho Shinkeigaku 2018, 58, 30–34. [Google Scholar] [CrossRef] [PubMed]
- Kanoto, M.; Hosoya, T.; Toyoguchi, Y.; Oda, A. Brain stem and cerebellar atrophy in chronic progressive neuro-Behçet’s disease. Eur. J. Radiol. 2013, 82, 146–150. [Google Scholar] [CrossRef]
- Öktem-Tanör, Ö.; Baykan-Kurt, B.; Hakan Gürvit, I.; Akman-Demir, G.; Serdaroǧlu, P. Neuropsychological follow-up of 12 patients with neuro-Behçet disease. J. Neurol. 1999, 246, 113–119. Available online: https://pubmed.ncbi.nlm.nih.gov/10195406/ (accessed on 22 February 2023). [CrossRef]
- Cavaco, S.; Da Silva, A.M.; Pinto, P.; Coutinho, E.; Santos, E.; Bettencourt, A.; Pinto, C.; Gonçalves, A.; Silva, S.; Gomes, F.; et al. Cognitive Functioning in Behçet’s Disease. Ann. N. Y. Acad. Sci. 2009, 1173, 217–226. [Google Scholar] [CrossRef] [PubMed]
- Direskeneli, H.; Hasan, A.; Shinnick, T.; Mizushima, Y.; Van Der Zee, R.; Fortune, F.; Stanford, M.R.; Lehner, T. Recognition of B-Cell Epitopes of the 65 kDa HSP in Behçet’s Disease. Scand. J. Immunol. 1996, 43, 464–471. [Google Scholar] [CrossRef]
- Shen, Y.; Ma, H.; Luo, D.; Cai, J.; Zou, J.; Bao, Z.; Guan, J. Behçet’s disease with latent Mycobacterium tuberculosis infection. Open Med. 2020, 16, 14–22. [Google Scholar] [CrossRef]
- Lin, P.L.; Flynn, J.L. Understanding Latent Tuberculosis: A Moving Target. J. Immunol. 2010, 185, 15–22. [Google Scholar] [CrossRef]
- Lakshmi, V.V.; Rakh, S.S.; Radha, B.A.; Priya, V.H.; Pantula, V.; Jasti, S.; Latha, G.S.; Murthy, K.J. Role of HLA-B51 and HLA-B52 in susceptibility to pulmonary tuberculosis. Infect. Genet. Evol. 2006, 6, 436–439. [Google Scholar] [CrossRef] [PubMed]
- Liu, Y.; Zhang, L.; Zhou, Z.; Sun, L.; Zhou, B.; Liu, X.; Zheng, W. Clinical Features and Risk Factors of Active Tuberculosis in Patients with Behçet’s Disease. J. Immunol. Res. 2020, 2020, 1–7. [Google Scholar] [CrossRef] [PubMed]
- Wallis, R.S.; Broder, M.S.; Wong, J.Y.; Hanson, M.E.; Beenhouwer, D.O. Granulomatous Infectious Diseases Associated with Tumor Necrosis Factor Antagonists. Clin. Infect. Dis. 2004, 38, 1261–1265. [Google Scholar] [CrossRef] [PubMed]
- Robert, M.; Miossec, P. Reactivation of latent tuberculosis with TNF inhibitors: Critical role of the beta 2 chain of the IL-12 receptor. Cell Mol. Immunol. 2021, 18, 1644–1651. [Google Scholar] [CrossRef] [PubMed]
- Keane, J.; Gershon, S.; Wise, R.P.; Mirabile-Levens, E.; Kasznica, J.; Schwieterman, W.D.; Siegel, J.N.; Braun, M.M. Tuberculosis Associated with Infliximab, a Tumor Necrosis Factor α–Neutralizing Agent. N. Engl. J. Med. 2001, 345, 1098–1104. [Google Scholar] [CrossRef] [PubMed]
- Davatchi, F. Diagnosis/Classification Criteria for Behcet’s Disease. Patholog. Res. Int. 2012, 2012. [Google Scholar] [CrossRef]
- Yazici, H.; Yazici, Y. Criteria for Behçet’s disease with reflections on all disease criteria. J. Autoimmun. 2014, 48–49, 104–107. [Google Scholar] [CrossRef]
- Shinoda, K.; Hayashi, R.; Taki, H.; Hounoki, H.; Makino, T.; Nomoto, K.; Shimizu, T.; Tobe, K. Pseudo-Behçet’s disease associated with tuberculosis: A case report and review of the literature. Rheumatol. Int. 2014, 34, 1471–1474. [Google Scholar] [CrossRef]
- Seddon, J.A.; Tugume, L.; Solomons, R.; Prasad, K.; Bahr, N.C. The current global situation for tuberculous meningitis: Epidemiology, diagnostics, treatment and outcomes. Wellcome Open Res. 2019, 4, 167. [Google Scholar] [CrossRef]
- Munteanu, I.; Cioran, N.; van Hest, R.; Abubakar, I.; Story, A.; Chiotan, D.; De Vries, G.; Mahler, B. Tuberculosis Surveillance in Romania Among Vulnerable Risk Groups Between 2015 and 2017. Ther. Clin. Risk Manag. 2022, 18, 439–446. [Google Scholar] [CrossRef]
- Ural, O.; Genç, E.; Demir, N.A.; Balci, M.; Genç, B.O. Neuro-Behçet’s syndrome presenting with features mimicking acute tuberculous meningitis. Int. J. Infect. Dis. 2009, 13, e141–e144. [Google Scholar] [CrossRef] [PubMed][Green Version]
- López Bravo, A.; Parra Soto, C.; Bellosta Diago, E.; Cecilio Irazola, Á.; Santos-Lasaosa, S. Neurological Manifestations of Behçet’s Disease: Case Report and Literature Review. Reumatol. Clínica (Engl. Ed.) 2019, 15, e36–e38. [Google Scholar] [CrossRef]
- Aires, N.; Santi, C.; Nico, M. Tuberculid of the Glans Penis. Acta Derm. Venereol. 2006, 86, 552–553. [Google Scholar] [CrossRef]
- Jain, P. Oral Manifestations of Tuberculosis: Step towards Early Diagnosis. J. Clin. Diagn. Res. 2014, 8, ZE18. [Google Scholar] [CrossRef]
- Manyelo, C.M.; Solomons, R.S.; Walzl, G.; Chegou, N.N. Tuberculous Meningitis: Pathogenesis, Immune Responses, Diagnostic Challenges, and the Potential of Biomarker-Based Approaches. J. Clin. Microbiol. 2021, 59. [Google Scholar] [CrossRef]
- Wei, Z.; Wei, C.; Yao, L.; Li, Y.; Zhang, X.; Xu, H.; Jia, Y.; Guo, R.; Wu, Y.; Yang, K.; et al. Diagnostic accuracy of in-house real-time PCR assay for Mycobacterium tuberculosis: A systematic review and meta-analysis. BMC Infect. Dis. 2019, 19, 701. Available online: https://pubmed.ncbi.nlm.nih.gov/31395014/ (accessed on 22 February 2023). [CrossRef] [PubMed]
- Solomons, R.S.; van Elsland, S.L.; Visser, D.H.; Hoek, K.G.; Marais, B.J.; Schoeman, J.F.; van Furth, A.M. Commercial nucleic acid amplification tests in tuberculous meningitis—A meta-analysis. Diagn. Microbiol. Infect. Dis. 2014, 78, 398–403. Available online: https://pubmed.ncbi.nlm.nih.gov/24503504/ (accessed on 22 February 2023). [CrossRef] [PubMed]



Disclaimer/Publisher’s Note: The statements, opinions and data contained in all publications are solely those of the individual author(s) and contributor(s) and not of MDPI and/or the editor(s). MDPI and/or the editor(s) disclaim responsibility for any injury to people or property resulting from any ideas, methods, instructions or products referred to in the content. |
© 2023 by the authors. Licensee MDPI, Basel, Switzerland. This article is an open access article distributed under the terms and conditions of the Creative Commons Attribution (CC BY) license (https://creativecommons.org/licenses/by/4.0/).
Share and Cite
Antonescu, F.; Butnariu, I.; Antonescu-Ghelmez, D.; Tuta, S.; Voinescu, B.A.; Manea, M.C.; Bucur, A.I.; Chelmambet, A.S.; Moraru, A. Neuro-Behçet’s Disease Onset in the Context of Tuberculous Meningoencephalitis: A Case Report. Medicina 2023, 59, 2163. https://doi.org/10.3390/medicina59122163
Antonescu F, Butnariu I, Antonescu-Ghelmez D, Tuta S, Voinescu BA, Manea MC, Bucur AI, Chelmambet AS, Moraru A. Neuro-Behçet’s Disease Onset in the Context of Tuberculous Meningoencephalitis: A Case Report. Medicina. 2023; 59(12):2163. https://doi.org/10.3390/medicina59122163
Chicago/Turabian StyleAntonescu, Florian, Ioana Butnariu, Dana Antonescu-Ghelmez, Sorin Tuta, Bianca Adriana Voinescu, Mihnea Costin Manea, Amanda Ioana Bucur, Altay Sercan Chelmambet, and Adriana Moraru. 2023. "Neuro-Behçet’s Disease Onset in the Context of Tuberculous Meningoencephalitis: A Case Report" Medicina 59, no. 12: 2163. https://doi.org/10.3390/medicina59122163
APA StyleAntonescu, F., Butnariu, I., Antonescu-Ghelmez, D., Tuta, S., Voinescu, B. A., Manea, M. C., Bucur, A. I., Chelmambet, A. S., & Moraru, A. (2023). Neuro-Behçet’s Disease Onset in the Context of Tuberculous Meningoencephalitis: A Case Report. Medicina, 59(12), 2163. https://doi.org/10.3390/medicina59122163

