Risk Factors and Clinical Outcomes of Osteotomy Plane Violation by D-Hole Screws in Medial Open Wedge High Tibial Osteotomy: A Simulation and Comparative Study
Abstract
:1. Introduction
2. Materials and Methods
2.1. D-Hole Violation Simulation Study
2.2. Comparison of CA Plate and IA Plate
2.3. Statistical Analysis
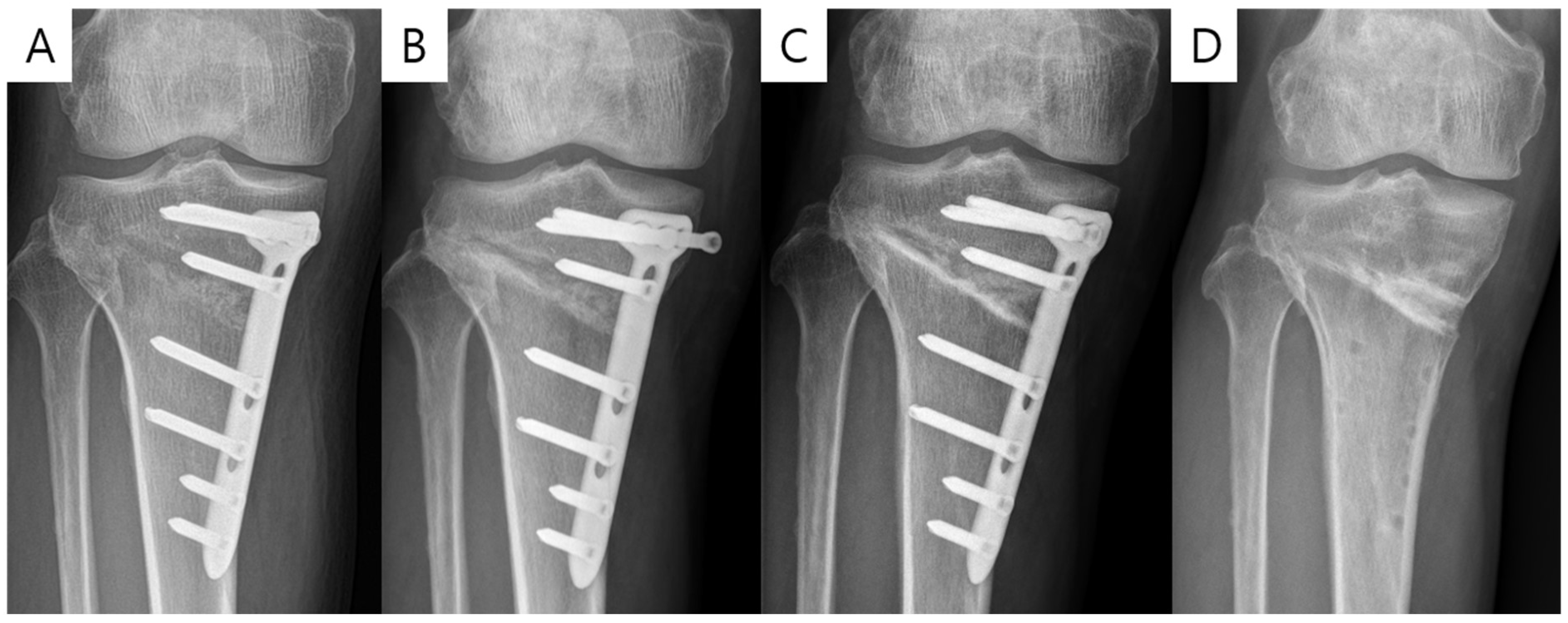
3. Results
3.1. D-Hole Violation Simulation
3.2. Comparison of CA Plate and IA Plate
4. Discussion
5. Conclusions
Author Contributions
Funding
Institutional Review Board Statement
Informed Consent Statement
Data Availability Statement
Acknowledgments
Conflicts of Interest
References
- Madry, H.; Kon, E.; Condello, V.; Peretti, G.M.; Steinwachs, M.; Seil, R.; Berruto, M.; Engebretsen, L.; Filardo, G.; Angele, P. Early osteoarthritis of the knee. Knee Surg. Sports Traumatol. Arthrosc. 2016, 24, 1753–1762. [Google Scholar] [CrossRef]
- Ollivier, B.; Berger, P.; Depuydt, C.; Vandenneucker, H. Good long-term survival and patient-reported outcomes after high tibial osteotomy for medial compartment osteoarthritis. Knee Surg. Sports Traumatol. Arthrosc. 2021, 29, 3569–3584. [Google Scholar] [CrossRef]
- Na, Y.G.; Kwak, D.S.; Chong, S.; Kim, T.K. Factors affecting stability after medial opening wedge high tibial osteotomy using locking plate: A cadaveric study. Knee 2019, 26, 1313–1322. [Google Scholar] [CrossRef]
- Roderer, G.; Gebhard, F.; Duerselen, L.; Ignatius, A.; Claes, L. Delayed bone healing following high tibial osteotomy related to increased implant stiffness in locked plating. Injury 2014, 45, 1648–1652. [Google Scholar] [CrossRef]
- van Haeringen, M.H.; Kuijer, P.P.F.M.; Daams, J.G.; van Geenen, R.C.I.; Brinkman, J.M.; Kerkhoffs, G.M.M.J.; van Heerwaarden, R.J.; Hoorntje, A. Opening- and closing-wedge high tibial osteotomy are comparable and early full weight bearing is safe with angular stable plate fixation: A meta-analysis. Knee Surg. Sports Traumatol. Arthrosc. 2023, 31, 3015–3026. [Google Scholar] [CrossRef] [PubMed]
- Ahmed, A.M.; Addosooki, A.; Sleem, A.S.; Said, E. Superior survivorship and plate-related results of TomoFix compared to Puddu plate fixation for opening-wedge high tibial osteotomy: A systematic review of the literature. Knee 2023, 42, 1–18. [Google Scholar] [CrossRef]
- Lee, S.S.; Park, J.; Lee, D.H. Comparison of Anatomical Conformity between TomoFix Anatomical Plate and TomoFix Conven-tional Plate in Open-Wedge High Tibial Osteotomy. Medicina 2022, 58, 1045. [Google Scholar] [CrossRef] [PubMed]
- Stoffel, K.; Stachowiak, G.; Kuster, M. Open wedge high tibial osteotomy: Biomechanical investigation of the modified Arthrex Osteotomy Plate (Puddu Plate) and the TomoFix Plate. Clin. Biomech. 2004, 19, 944–950. [Google Scholar] [CrossRef] [PubMed]
- Spahn, G.; Wittig, R. Primary stability of various implants in tibial opening wedge osteotomy: A biomechanical study. J. Orthop. Sci. 2002, 7, 683–687. [Google Scholar] [CrossRef]
- Seo, S.-S.; Kim, O.-G.; Seo, J.-H.; Kim, D.-H.; Kim, Y.-G.; Lee, I.-S. Complications and Short-Term Outcomes of Medial Opening Wedge High Tibial Osteotomy Using a Locking Plate for Medial Osteoarthritis of the Knee. Knee Surg. Relat. Res. 2016, 28, 289–296. [Google Scholar] [CrossRef] [PubMed]
- Han, S.B.; In, Y.; Oh, K.J.; Song, K.Y.; Yun, S.T.; Jang, K.M. Complications Associated with Medial Opening-Wedge High Tibial Osteotomy Using a Locking Plate: A Multicenter Study. J. Arthroplast. 2019, 34, 439–445. [Google Scholar] [CrossRef] [PubMed]
- Jung, W.-H.; Chun, C.-W.; Lee, J.-H.; Ha, J.-H.; Kim, J.-H.; Jeong, J.-H. Comparative Study of Medial Opening-Wedge High Tibial Osteotomy Using 2 Different Implants. J. Arthrosc. Relat. Surg. 2013, 29, 1063–1071. [Google Scholar] [CrossRef] [PubMed]
- Chen, Y.N.; Chuang, C.H.; Yang, T.H.; Chang, C.W.; Li, C.T.; Chang, C.J. Computational comparison of different plating strategies in medial open-wedge high tibial osteotomy with lateral hinge fractures. J. Orthop. Surg. Res. 2020, 15, 409. [Google Scholar] [CrossRef] [PubMed]
- Kang, K.-T.; Koh, Y.-G.; Lee, J.-A.; Lee, J.J.; Kim, P.S.; Kwon, S.K. The influence of the number of holes in the open wedge high tibial osteotomy on knee biomechanics using finite element analysis. Orthop. Traumatol. Surg. Res. 2021, 107, 102884. [Google Scholar] [CrossRef]
- Petersen, W.; Wall, A.; Paulin, T.; Park, H.U.; Heymann, L. Stability of two angular stable locking plates for open wedge high tibial osteotomy (HTO): TomoFix versus LOQTEQ(R) HTO plate. Arch. Orthop. Trauma Surg. 2014, 134, 1437–1442. [Google Scholar] [CrossRef] [PubMed]
- Nha, K.W.; Jung, W.H.; Koh, Y.G.; Shin, Y.S. D-hole breakage of 2 angular stable locking plates for medial opening-wedge high tibial osteotomy: Analysis of results from 12 cases. Medicine 2019, 98, e14138. [Google Scholar] [CrossRef] [PubMed]
- Fan, L.; Xu, T.; Li, X.; Zan, P.; Li, G. Morphologic features of the distal femur and tibia plateau in Southeastern Chinese population: A cross-sectional study. Medicine 2017, 96, e8524. [Google Scholar] [CrossRef] [PubMed]
- Mohan, H.; Chhabria, P.; Bagaria, V.; Tadepalli, K.; Naik, L.; Kulkarni, R. Anthropometry of Nonarthritic Asian Knees: Is It Time for a Race-Specific Knee Implant? Clin. Orthop. Surg. 2020, 12, 158–165. [Google Scholar] [CrossRef]
- Kim, S.J.; Basur, M.S.; Park, C.K.; Chong, S.; Kang, Y.G.; Kim, M.J.; Jeong, J.S.; Kim, T.K. Crosscultural Adaptation and Validation of the Korean Version of the New Knee Society Knee Scoring System. Clin. Orthop. Relat. Res. 2017, 475, 1629–1639. [Google Scholar] [CrossRef]
- Bae, S.-C.; Lee, H.-S.; Yun, H.; Kim, T.-H.; Yoo, D.-H.; Kim, S. Cross-cultural adaptation and validation of Korean Western Ontario and McMaster Universities (WOMAC) and Lequesne Osteoarthritis Indices for Clinical Research. Osteoarthr. Cartil. 2001, 9, 746–750. [Google Scholar] [CrossRef]
- Insall, J.; Salvati, E. Patella Position in the Normal Knee Joint. Radiology 1971, 101, 101–104. [Google Scholar] [CrossRef]
- Hayatbakhsh, Z.; Farahmand, F.; Karimpour, M. Is a Complete Anatomical Fit of the Tomofix Plate Biomechanically Favorable? A Parametric Study Using the Finite Element Method. Arch. Bone Jt. Surg. 2022, 10, 712–720. [Google Scholar] [CrossRef]
- Kim, H.Y. Statistical notes for clinical researchers: Chi-squared test and Fisher’s exact test. Restor. Dent. Endod. 2017, 42, 152–155. [Google Scholar] [CrossRef]
- Madry, H.; Goebel, L.; Hoffmann, A.; Duck, K.; Gerich, T.; Seil, R.; Tschernig, T.; Pape, D. Surgical anatomy of medial open-wedge high tibial osteotomy: Crucial steps and pitfalls. Knee Surg. Sports Traumatol. Arthrosc. 2017, 25, 3661–3669. [Google Scholar] [CrossRef]
- Lee, J.-H.; Kim, K.-J.; Jeong, Y.-G.; Lee, N.S.; Han, S.Y.; Lee, C.G.; Kim, K.Y.; Han, S.H. Pes anserinus and anserine bursa: Anatomical study. Anat. Cell Biol. 2014, 47, 127–131. [Google Scholar] [CrossRef]
- Curtis, B.R.; Huang, B.K.; Pathria, M.N.; Resnick, D.L.; Smitaman, E. Pes Anserinus: Anatomy and Pathology of Native and Har-vested Tendons. AJR Am. J. Roentgenol. 2019, 213, 1107–1116. [Google Scholar] [CrossRef] [PubMed]
- Reina, N.; Abbo, O.; Gomez-Brouchet, A.; Chiron, P.; Moscovici, J.; Laffosse, J.M. Anatomy of the bands of the hamstring tendon: How can we improve harvest quality? Knee 2013, 20, 90–95. [Google Scholar] [CrossRef] [PubMed]
- Koh, Y.G.; Lee, J.A.; Lee, H.Y.; Chun, H.J.; Kim, H.J.; Kang, K.T. Design optimization of high tibial osteotomy plates using finite element analysis for improved biomechanical effect. J. Orthop. Surg. Res. 2019, 14, 219. [Google Scholar] [CrossRef] [PubMed]
- Rubino, L.J.; Schoderbek, R.J.; Golish, S.R.; Baumfeld, J.; Miller, M.D. The effect of plate position and size on tibial slope in high tibial osteotomy: A cadaveric study. J. Knee Surg. 2008, 21, 75–79. [Google Scholar] [CrossRef] [PubMed]
- Yoo, O.S.; Lee, Y.S.; Lee, M.C.; Elazab, A.; Choi, D.G.; Jang, Y.W. Evaluation of the screw position and angle using a post-contoured plate in the open wedge high tibial osteotomy according to the correction degree and surgical technique. Clin. Biomech. 2016, 35, 111–115. [Google Scholar] [CrossRef] [PubMed]





| 47 Patients (64 Knees) | |
|---|---|
| Age (years) | 53.1 ± 10.3 |
| Sex (male/female) ratio | 0.39 (18/46) |
| Height (cm) | 160.1 ± 9.9 |
| Weight (kg) | 67.3 ± 11.4 |
| Body mass index (kg/m2) | 26.2 ± 3.7 |
| Tibial length (mm) | 314.7 ± 30.3 |
| Tibial width (mm) | 69.3 ± 5.4 |
| Medial proximal tibial angle (°) | 83.3 ± 3.1 |
| Hip–knee–ankle angle (°) | 8.5 ± 2.6 |
| Proximal segment length (mm) | 32.9 ± 4.4 |
| Distance | 5 mm | 7 mm | 10 mm | ||||||
|---|---|---|---|---|---|---|---|---|---|
| Violation | NV | PV | CV | NV | PV | CV | NV | PV | CV |
| Prevalence (%) | 79.7 | 15.6 | 4.7 | 67.2 | 26.6 | 6.3 | 40.6 | 35.9 | 23.4 |
| Height (cm) | 162.8 | 151.9 | 141.3 | 164.4 | 152.9 | 144.4 | 168.5 | 157.4 | 150 |
| p < 0.001 | p < 0.001 | p < 0.001 | |||||||
| Tibial length (mm) | 319.6 | 302.6 | 273 | 322.6 | 299.2 | 285 | 330.3 | 309.9 | 295.1 |
| p = 0.012 | p = 0.002 | p = 0.001 | |||||||
| Medial proximal tibial angle (°) | 83.2 | 82.9 | 85.8 | 82.7 | 83.8 | 86.3 | 82.8 | 83.3 | 83.9 |
| n.s. | n.s. | n.s. | |||||||
| Hip-knee-ankle angle (°) | 8.4 | 9.5 | 6.8 | 8.7 | 8.2 | 7.8 | 8.4 | 8.6 | 8.4 |
| n.s. | n.s. | n.s. | |||||||
| OR (C.I.) | p-Value | |
|---|---|---|
| Height (cm) | 0.701 (0.577–0.852) | <0.001 |
| Weight (kg) | - | n.s. |
| Body mass index (kg/m2) | - | n.s. |
| Tibial length (mm) | - | n.s. |
| Tibial width (mm) | - | n.s. |
| Medial proximal tibial angle (°) | - | n.s. |
| Hip knee ankle angle (°) | - | n.s. |
| CA Plate (n = 17) | IA Plate (n = 18) | p-Value | |
|---|---|---|---|
| Age (years) | 54.2 ± 5.8 | 58.3 ± 4.2 | 0.087 |
| Body mass index (kg/m2) | 25.1 ± 3.4 | 24.3 ± 3.2 | 0.647 |
| Preop KSKS | 46.1 ± 13.0 | 52.5 ± 13.8 | 0.393 |
| Preop KSFS | 44.1 ± 6.7 | 41.7 ± 12.0 | 0.243 |
| Preop WOMAC (pain) | 8.1 ± 3.3 | 9.5 ± 2.1 | 0.391 |
| Preop WOMAC (stiffness) | 4.4 ± 1.9 | 5.3 ± 1.2 | 0.307 |
| Preop WOMAC (function) | 29.4 ± 4.4 | 34.5 ± 5.5 | 0.075 |
| Preop MPTA | 86.4 ± 1.7 | 84.7 ± 3.2 | 0.257 |
| Preop tibial slope | 12.2 ± 4.0 | 12.5 ± 2.5 | 0.862 |
| Preop Insall-Salvati ratio | 1.1 ± 0.1 | 1.0 ± 0.2 | 0.807 |
| Postop 3 m KSKS | 90.1 ± 6.7 | 94.4 ± 3.0 | 0.201 |
| Postop 3 m KSFS | 72.0 ± 20.2 | 84.3 ± 7.4 | 0.154 |
| Postop 3 m WOMAC (pain) | 2.8 ± 1.8 | 2.9 ± 2.0 | 0.935 |
| Postop 3 m WOMAC (stiffness) | 1.6 ± 1.9 | 1.6 ± 1.3 | 0.985 |
| Postop 3 m WOMAC (function) | 15.9 ± 10.5 | 16.6 ± 9.7 | 0.896 |
| Postop 3 m MPTA | 93.5 ± 3.6 | 90.1 ± 0.9 | 0.152 |
| Postop 3 m tibial slope | 15.2 ± 1.9 | 11.8 ± 3.2 | 0.060 |
| Postop 3 m Insall-Salvati ratio | 1.1 ± 0.1 | 1.1 ± 0.2 | 0.867 |
| D-hole violation (%) | 3/14 (21.4%) | 1/18 (5.5%) | 0.338 |
| Plate fitting (inadequate, %) | 6/17 (35.3%) | 1/18 (5.5%) | 0.041 * |
Disclaimer/Publisher’s Note: The statements, opinions and data contained in all publications are solely those of the individual author(s) and contributor(s) and not of MDPI and/or the editor(s). MDPI and/or the editor(s) disclaim responsibility for any injury to people or property resulting from any ideas, methods, instructions or products referred to in the content. |
© 2023 by the authors. Licensee MDPI, Basel, Switzerland. This article is an open access article distributed under the terms and conditions of the Creative Commons Attribution (CC BY) license (https://creativecommons.org/licenses/by/4.0/).
Share and Cite
Kim, S.E.; Lee, M.H.; Cho, C.H.; Lee, J.-I.; Han, H.-S.; Lee, M.C.; Ro, D.H. Risk Factors and Clinical Outcomes of Osteotomy Plane Violation by D-Hole Screws in Medial Open Wedge High Tibial Osteotomy: A Simulation and Comparative Study. Medicina 2023, 59, 2104. https://doi.org/10.3390/medicina59122104
Kim SE, Lee MH, Cho CH, Lee J-I, Han H-S, Lee MC, Ro DH. Risk Factors and Clinical Outcomes of Osteotomy Plane Violation by D-Hole Screws in Medial Open Wedge High Tibial Osteotomy: A Simulation and Comparative Study. Medicina. 2023; 59(12):2104. https://doi.org/10.3390/medicina59122104
Chicago/Turabian StyleKim, Sung Eun, Myung Ho Lee, Chan Hee Cho, Jung-In Lee, Hyuk-Soo Han, Myung Chul Lee, and Du Hyun Ro. 2023. "Risk Factors and Clinical Outcomes of Osteotomy Plane Violation by D-Hole Screws in Medial Open Wedge High Tibial Osteotomy: A Simulation and Comparative Study" Medicina 59, no. 12: 2104. https://doi.org/10.3390/medicina59122104
APA StyleKim, S. E., Lee, M. H., Cho, C. H., Lee, J.-I., Han, H.-S., Lee, M. C., & Ro, D. H. (2023). Risk Factors and Clinical Outcomes of Osteotomy Plane Violation by D-Hole Screws in Medial Open Wedge High Tibial Osteotomy: A Simulation and Comparative Study. Medicina, 59(12), 2104. https://doi.org/10.3390/medicina59122104

