Pneumorrhachis Secondary to a Locally Advanced Rectal Cancer with Pre-Sacral Abscess—Case Report and Review
Abstract
1. Introduction
2. Case Report and Literature Review
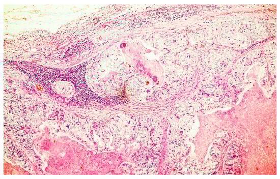
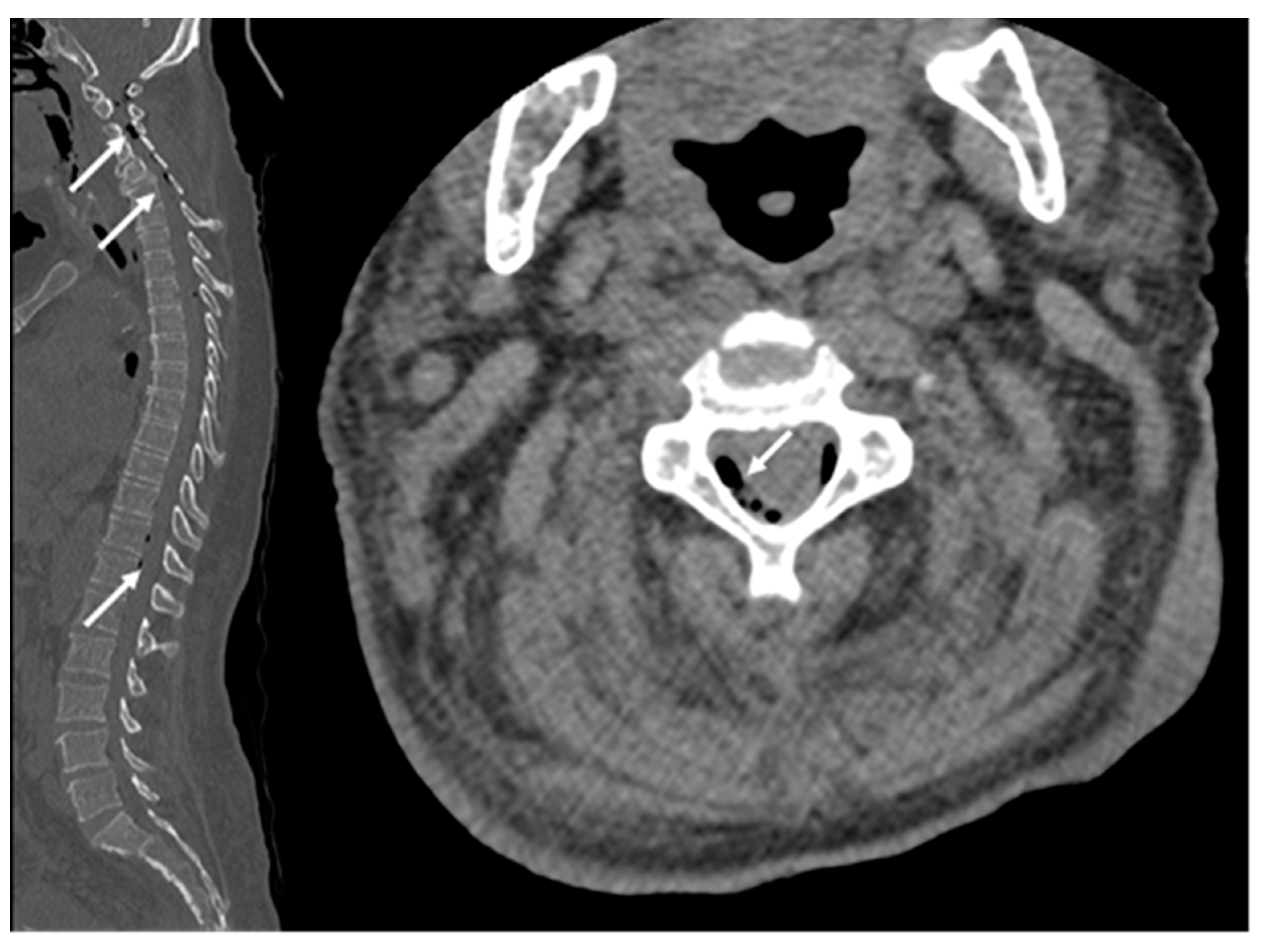
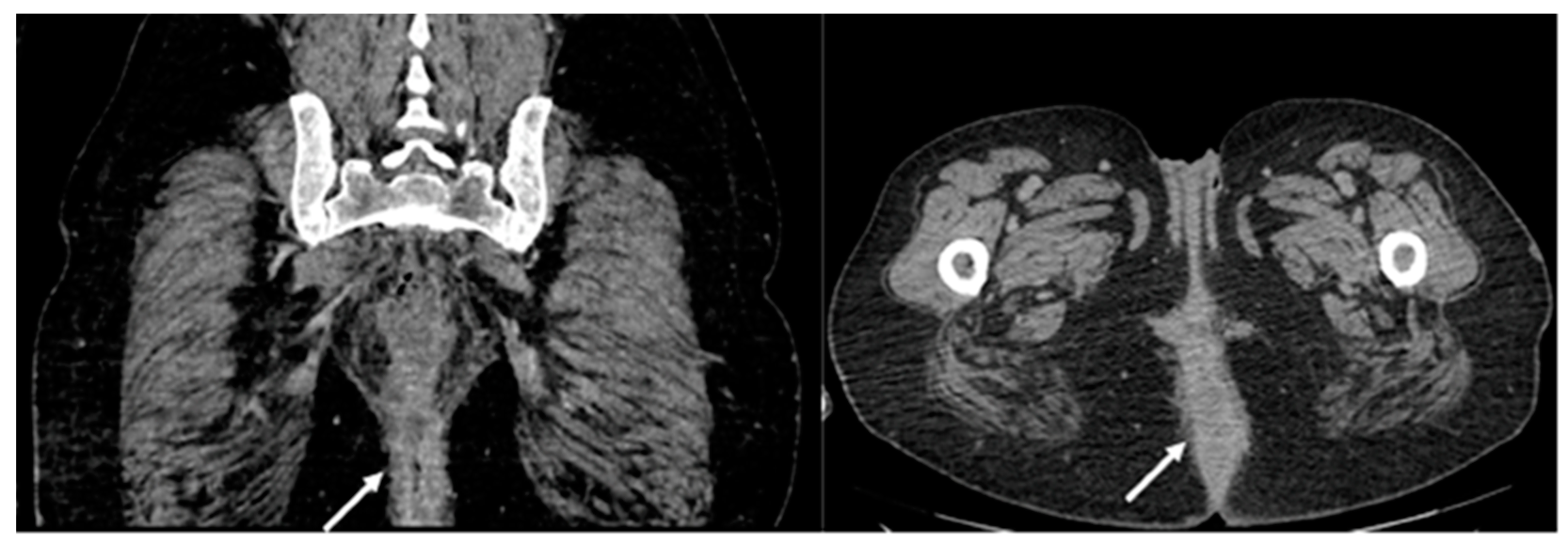
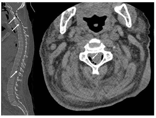
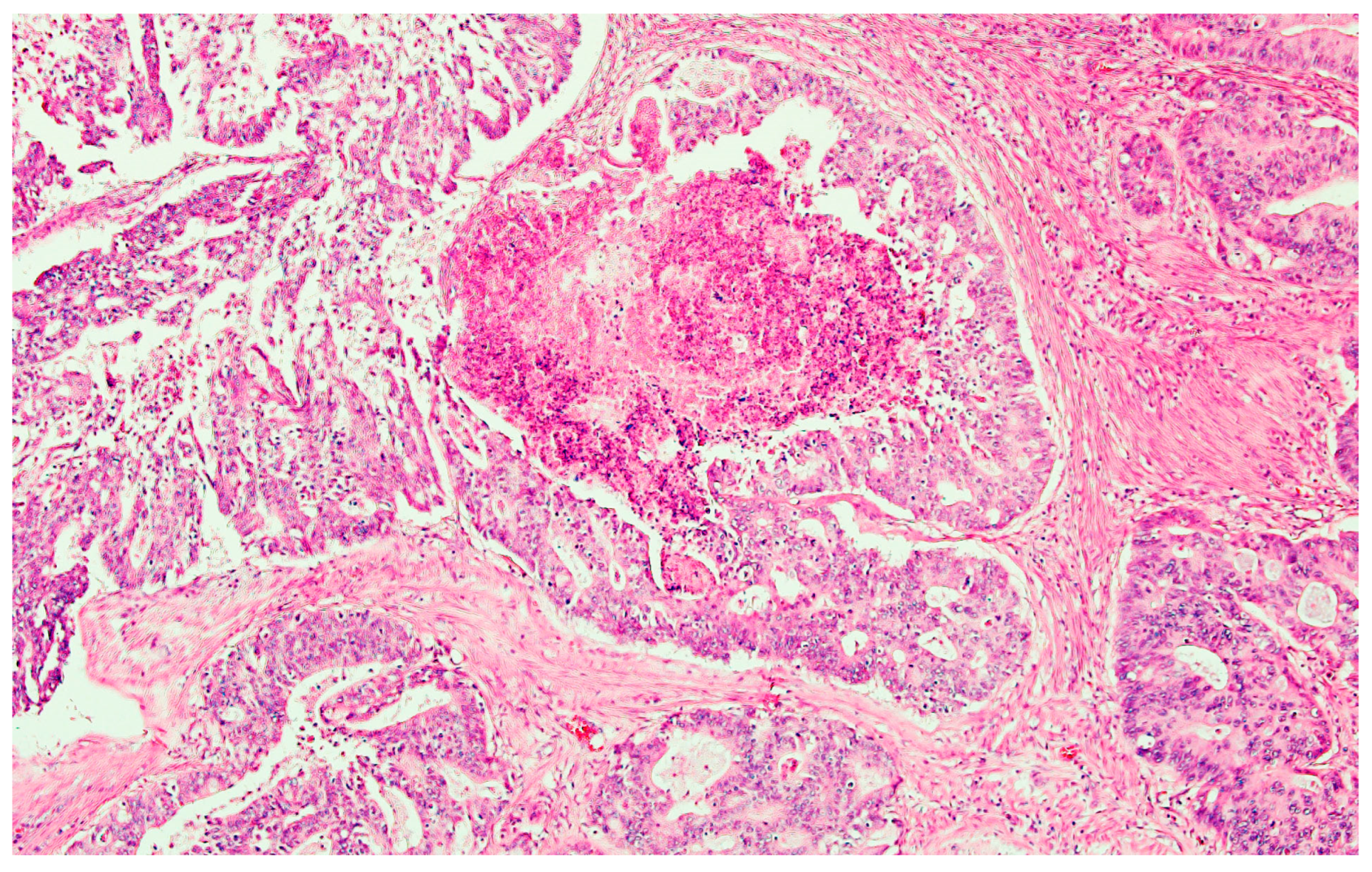
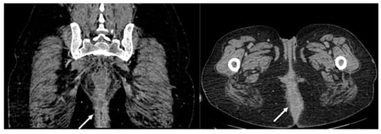
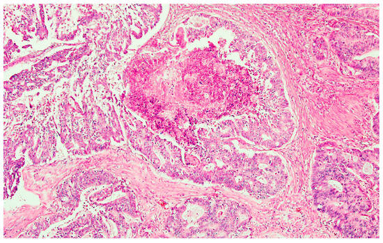
2.1. Case Report
2.2. Review of the Literature
3. Discussion
4. Conclusions
Author Contributions
Funding
Institutional Review Board Statement
Informed Consent Statement
Data Availability Statement
Acknowledgments
Conflicts of Interest
References
- Oertel, M.F.; Korinth, M.C.; Reinges, M.H.; Krings, T.; Terbeck, S.; Gilsbach, J.M. Pathogenesis, diagnosis, and management of pneumorrhachis. Eur. Spine J. 2006, 15 (Suppl. 5), 636–643. [Google Scholar] [CrossRef] [PubMed]
- Cunqueiro, A.; Scheinfeld, M.H. Causes of pneumocephalus and when to be concerned about it. Emerg. Radiol. 2018, 25, 331–340. [Google Scholar] [CrossRef] [PubMed]
- Krishna, G.; Bynevelt, M.; Sleigh, J.; Barnes, N.; Havill, J. Pneumocephalus resulting from an inflammatory neuro-enteric fistula: A case report. Aust. New Zealand J. Surg. 1998, 68, 540–541. [Google Scholar] [CrossRef] [PubMed]
- Shetty, S.; Aw, J.; Cook, C. Pneumocephalus as a complication of diverticulitis. Br. J. Radiol. 2007, 80, e301–e304. [Google Scholar] [CrossRef] [PubMed]
- Anaye, A.; Moschopoulos, C.; Agneessens, E.; Hainaux, B. Pneumoscrotum, pneumomediastinum, pneumothorax, and pneumorrhachis following colon surgery. Radiol. Case Rep. 2015, 3, 216. [Google Scholar] [CrossRef]
- Warsi, A.A.; Mukherjee, S.; Armstrong, C.P. Pneumospine and pneumocranium—An unusual complication of anastomotic leak: A case report. Color. Dis. 2010, 12, 380–381. [Google Scholar] [CrossRef] [PubMed]
- Amit, A.; Toll, E.C.; Siddique, S.; Nelson, R.J. Pneumorrhachis with pneumocranium: An unusual complication of in-tra-abdominal sepsis. Br. J. Neurosurg. 2011, 25, 111–112. [Google Scholar] [CrossRef] [PubMed]
- Batson, O.V. The vertebral vein system. Caldwell lecture, 1956. Am. J. Roentgenol. Radium. Ther. Nucl. Med. 1957, 78, 195–212. [Google Scholar] [PubMed]
- Willheim, K.; Jurjevic, A.; Tomic, Z. Pneumocephalus as a complication of metastases and eroding infection in the sacral region. J. Neurol. Neurosurg. Psychiatry 1998, 64, 136–137. [Google Scholar] [CrossRef] [PubMed][Green Version]
- Oertel, M.F.; Korinth, M.C.; Truong, H.T. Pneumorrhachis. Neuroradiology 2004, 46, S171. [Google Scholar]
- Ruiz Santiago, F.; Láinez Ramos-Bossini, A.J.; Wáng, Y.X.J.; Martínez Barbero, J.P.; García Espinosa, J.; Martínez Martínez, A. The value of magnetic resonance imaging and computed tomography in the study of spinal disorders. Quant. Imaging Med. Surg. 2022, 12, 3947–3986. [Google Scholar] [CrossRef] [PubMed]
- Ma, Q.; Cheng, J.; Bao, Y.; Gao, Z.; Jiang, K.; Wang, S.; Ye, Y.; Wang, Y.; Shen, Z. Magnetic resonance imaging pelvimetry predicts the technical difficulty of rectal surgery. Asian J. Surg. 2022, 45, 2626–2632. [Google Scholar] [CrossRef] [PubMed]
- Pan, J.; Wang, B.; Feng, Z.; Sun, Z.; Xia, C.; Zhang, Q.; Ren, S. Robotic versus laparoscopic total mesorectal excision for mid-low rectal cancer with difficult anatomical conditions. Asian J. Surg. 2022, 45, 2725–2732. [Google Scholar] [CrossRef] [PubMed]
- Katsura, M.; Fukuma, S.; Chida, K.; Saegusa, Y.; Kanda, S.; Kawasaki, K.; Tsuzuki, Y.; Ie, M. Which factors influence the decision to perform Hartmann’s reversal in various causative disease situations? A retrospective cohort study between 2006 and 2021. Color. Dis. 2023, 25, 305–314. [Google Scholar] [CrossRef] [PubMed]







| Authors/Year | Sex/Age | Abscess Location | Pneumorrhachis | Imaging | Operation | Outcome |
|---|---|---|---|---|---|---|
| Krishna 1998 [3] | f/71 | Sigmoid colon diverticulitis/lumbar 5th spine | Pneumocephalus and pneumorrhachis | CT | Hartmann procedure | Alive, recovered |
| Shetty 2007 [4] | m/48 | Sigmoid colon diverticulitis/sacrum | Pneumocephalus and pneumorrhachis | CT | Hartmann procedure and ileostomy | Alive, recovered |
| Annaye 2008 [5] | m/80 | Left colon anastomotic fistula with abdominal wall abscess | Pneumorrhachis and pneumoscrotum, pneumomediastinum, pneumothorax | CT | Hartmann procedure | Not stated |
| Warsi 2010 [6] | m/60 | Chronic anastomotic rectal leak with pre-sacral abscess | Pneumocephalus and pneumorrhachis | CT, MRI | Hartmann procedure | Alive, recovered |
| Amit 2011 [7] | m/60 | Sigmoid colon diverticulitis/sacral spine | Pneumocephalus and pneumorrhachis | CT, MRI | Hartmann procedure | Alive, mild residual left-sided hemiparesis |
Disclaimer/Publisher’s Note: The statements, opinions and data contained in all publications are solely those of the individual author(s) and contributor(s) and not of MDPI and/or the editor(s). MDPI and/or the editor(s) disclaim responsibility for any injury to people or property resulting from any ideas, methods, instructions or products referred to in the content. |
© 2023 by the authors. Licensee MDPI, Basel, Switzerland. This article is an open access article distributed under the terms and conditions of the Creative Commons Attribution (CC BY) license (https://creativecommons.org/licenses/by/4.0/).
Share and Cite
Diaconescu, R.; Popovici, D.; Tarta, C.; Isaic, A.; Costachescu, D.; Totolici, B. Pneumorrhachis Secondary to a Locally Advanced Rectal Cancer with Pre-Sacral Abscess—Case Report and Review. Medicina 2023, 59, 2076. https://doi.org/10.3390/medicina59122076
Diaconescu R, Popovici D, Tarta C, Isaic A, Costachescu D, Totolici B. Pneumorrhachis Secondary to a Locally Advanced Rectal Cancer with Pre-Sacral Abscess—Case Report and Review. Medicina. 2023; 59(12):2076. https://doi.org/10.3390/medicina59122076
Chicago/Turabian StyleDiaconescu, Razvan, Dorel Popovici, Cristi Tarta, Alexandru Isaic, Dan Costachescu, and Bogdan Totolici. 2023. "Pneumorrhachis Secondary to a Locally Advanced Rectal Cancer with Pre-Sacral Abscess—Case Report and Review" Medicina 59, no. 12: 2076. https://doi.org/10.3390/medicina59122076
APA StyleDiaconescu, R., Popovici, D., Tarta, C., Isaic, A., Costachescu, D., & Totolici, B. (2023). Pneumorrhachis Secondary to a Locally Advanced Rectal Cancer with Pre-Sacral Abscess—Case Report and Review. Medicina, 59(12), 2076. https://doi.org/10.3390/medicina59122076

