Lung Involvement in Adult T-Cell Lymphoma Diagnosed Using Bronchoscopic Cryobiopsy: A Case Report and Review of the Literature
Abstract
1. Introduction
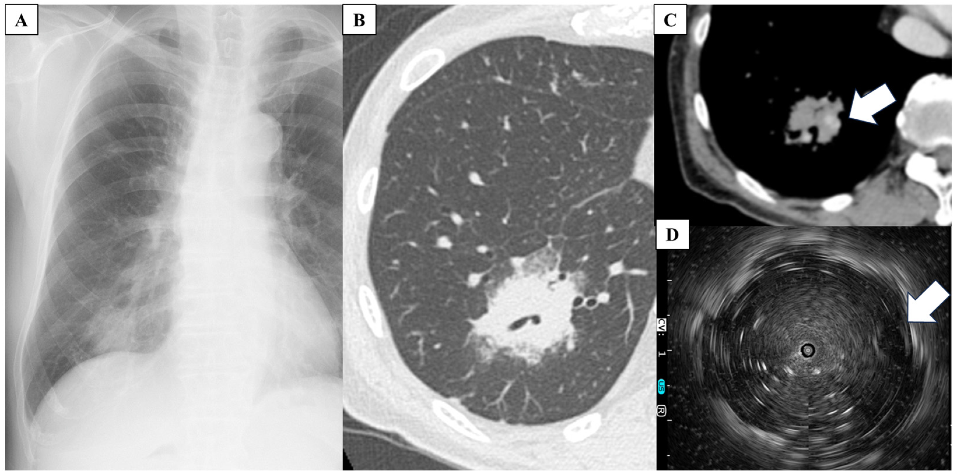
2. Case Report
3. Discussion
4. Conclusions and Future Directions
Author Contributions
Funding
Institutional Review Board Statement
Informed Consent Statement
Data Availability Statement
Conflicts of Interest
References
- Ishitsuka, K.; Tamura, K. Human T-cell leukaemia virus type I and adult T-cell leukaemia-lymphoma. Lancet Oncol. 2014, 15, e517–e526. [Google Scholar] [CrossRef] [PubMed]
- Gessain, A.; Cassar, O. Epidemiological aspects and world distribution of HTLV-1 infection. Front. Microbiol. 2012, 3, 388. [Google Scholar] [CrossRef] [PubMed]
- Yamada, Y.; Atogami, S.; Hasegawa, H.; Kamihira, S.; Soda, M.; Satake, M.; Yamaguchi, K. Nationwide survey of adult T-cell leukemia/lymphoma (ATL) in Japan. Rinsho Ketsueki (Jpn. J. Clin. Hematol.) 2011, 52, 1765–1771. [Google Scholar]
- Fukushima, T.; Nomura, S.; Shimoyama, M.; Shibata, T.; Imaizumi, Y.; Moriuchi, Y.; Tomoyose, T.; Uozumi, K.; Kobayashi, Y.; Fukushima, N.; et al. Japan Clinical Oncology Group (JCOG) prognostic index and characterization of long-term survivors of aggressive adult T-cell leukaemia-lymphoma (JCOG0902A). Br. J. Haematol. 2014, 166, 739–748. [Google Scholar] [CrossRef] [PubMed]
- Kido, T.; Ishimoto, H.; Ishii, H.; Hara, K.; Ozasa, M.; Kawabata, H.; Kawanami, T.; Suzuki, Y.; Yoshikawa, H.; Hara, A.; et al. Combined detection of lymphocyte clonality and MALT1 translocations in bronchoalveolar lavage fluid for diagnosing pulmonary lymphomas. Sci. Rep. 2021, 11, 23430. [Google Scholar] [CrossRef] [PubMed]
- Ganganah, O.; Guo, S.L.; Chiniah, M.; Li, Y.S. Efficacy and safety of cryobiopsy versus forceps biopsy for interstitial lung diseases and lung tumours: A systematic review and meta-analysis. Respirology 2016, 21, 834–841. [Google Scholar] [CrossRef]
- Ravaglia, C.; Bonifazi, M.; Wells, A.U.; Tomassetti, S.; Gurioli, C.; Piciucchi, S.; Dubini, A.; Tantalocco, P.; Sanna, S.; Negri, E.; et al. Safety and diagnostic yield of transbronchial lung cryobiopsy in diffuse parenchymal lung diseases: A comparative study versus video-assisted thoracoscopic lung biopsy and a systematic review of the literature. Respiration 2016, 91, 215–227. [Google Scholar] [CrossRef]
- Hermine, O.; Ramos, J.C.; Tobinai, K. A review of new findings in adult T-cell leukemia-lymphoma: A focus on current and emerging treatment strategies. Adv. Ther. 2018, 35, 135–152. [Google Scholar] [CrossRef]
- Poletti, V.; Gurioli, C.; Piciucchi, S.; Rossi, A.; Ravaglia, C.; Dubini, A.; Asioli, S.; Casoni, G.L. Intravascular large B cell lymphoma presenting in the lung: The diagnostic value of transbronchial cryobiopsy. Sarcoidosis Vasc. Diffuse Lung Dis. 2015, 31, 5. [Google Scholar]
- Schiavo, D.; Batzlaff, C.; Maldonado, F. Pulmonary parenchymal lymphoma diagnosed by bronchoscopic cryoprobe lung biopsy. J. Bronchol. Interv. Pulmonol. 2016, 23, 174–176. [Google Scholar] [CrossRef]
- Yap, E.; Low, I. Bronchoscopic Transbronchial Cryobiopsy Diagnosis of Recurrent Diffuse Large B-Cell Lymphoma in the Lung: A Promising New Tool? J. Bronchol. Interv. Pulmonol. 2017, 24, e22–e23. [Google Scholar] [CrossRef] [PubMed][Green Version]
- Sato, M.; Shinagawa, N.; Tsuji, K.; Matsumoto, M.; Kimura, H.; Suzuki, M.; Yoneda, K.; Shimizu, A.; Matsuno, Y.; Konno, S. A Case of Relapsed T Cell Lymphoma Diagnosed by a Bronchoscopic Cryobiopsy. J. Jpn. Soc. Respir. Endosc. 2020, 42, 6. [Google Scholar] [CrossRef]
- Bianchi, R.; Dubini, A.; Asioli, S.; Ravaglia, C.; Tomassetti, S.; Puglisi, S.; Piciucchi, S.; Gurioli, C.; Gurioli, C.; Fiocca, R.; et al. Transbronchial cryobiopsy: An effective tool in the diagnosis of lymphoproliferative disorders of the lung. ERJ Open Res. 2020, 6, 00260–02019. [Google Scholar] [CrossRef] [PubMed]
- Zhu, D.; Shen, Y.; Huang, J.; Zhao, L. Intravascular large B-cell lymphoma with diffuse ground glass lesion on chest computed tomography diagnosed using transbronchial lung cryobiopsy: A case report. Transl. Cancer Res. 2021, 10, 4571–4576. [Google Scholar] [CrossRef]
- Tan, C.H.; Faisal, M.; Md Esa, N.Y.; Othman, N.; Abdul Rahaman, J.A. Utility of transbronchial lung cryobiopsy in diagnosing pulmonary Hodgkin’s Lymphoma. East. J. Med. 2022, 27, 503–506. [Google Scholar] [CrossRef]
- Michimata, H.; Sumi, T.; Keira, Y.; Nagayama, D.; Koshino, Y.; Watanabe, H.; Yamada, Y.; Chiba, H. Intravascular large B-cell lymphoma with hot lung sign diagnosed by transbronchial lung cryobiopsy. QJM 2022, 115, 677–678. [Google Scholar] [CrossRef]
- Uchimura, K.; Imabayashi, T.; Matsumoto, Y.; Tsuchida, T. Intravascular Lymphoma Diagnosed by “Hot Lung” Sign. Intern. Med. 2022, 61, 761–762. [Google Scholar] [CrossRef]
- William, J.; Variakojis, D.; Yeldandi, A.; Raparia, K. Lymphoproliferative neoplasms of the lung: A review. Arch. Pathol. Lab. Med. 2013, 137, 382–391. [Google Scholar] [CrossRef]
- Poletti, V.; Ravaglia, C.; Tomassetti, S.; Gurioli, C.; Casoni, G.; Asioli, S.; Dubini, A.; Piciucchi, S.; Chilosi, M. Lymphoproliferative lung disorders: Clinicopathological aspects. Eur. Respir. Rev. 2013, 22, 427–436. [Google Scholar] [CrossRef]
- Shi, L.; Zeng, Y.; Lin, H.; Chen, X. An atypical case of primary pulmonary peripheral T-cell lymphoma misdiagnosed as a pulmonary infectious disease: A case report and literature review. Indian J. Cancer 2021, 58, 302–306. [Google Scholar] [CrossRef]
- Taton, O.; Bondue, B.; Gevenois, P.A.; Remmelink, M.; Leduc, D. Diagnostic yield of combined pulmonary cryobiopsies and electromagnetic navigation in small pulmonary nodules. Pulm. Med. 2018, 2018, 6032974. [Google Scholar] [CrossRef] [PubMed]
- Raghu, G.; Remy-Jardin, M.; Richeldi, L.; Thomson, C.C.; Inoue, Y.; Johkoh, T.; Kreuter, M.; Lynch, D.A.; Maher, T.M.; Martinez, F.J.; et al. Idiopathic Pulmonary Fibrosis (an Update) and Progressive Pulmonary Fibrosis in Adults: An Official ATS/ERS/JRS/ALAT Clinical Practice Guideline. Am. J. Respir. Crit. Care Med. 2022, 205, e18–e47. [Google Scholar] [CrossRef] [PubMed]
- Kinoshita, K.; Morikawa, K.; Tsuruoka, H.; Chosokabe, M.; Kida, H.; Handa, H.; Inoue, T.; Miyazawa, T.; Saji, H.; Mineshita, M. Efficacy of combined transbronchial lung cryobiopsy and conventional forceps biopsy for lung malignancies: A prospective cohort study. Sci. Rep. 2023, 13, 1850. [Google Scholar] [CrossRef] [PubMed]
- Udagawa, H.; Kirita, K.; Naito, T.; Nomura, S.; Ishibashi, M.; Matsuzawa, R.; Hisakane, K.; Usui, Y.; Matsumoto, S.; Yoh, K.; et al. Feasibility and utility of transbronchial cryobiopsy in precision medicine for lung cancer: Prospective single-arm study. Cancer Sci. 2020, 111, 2488–2498. [Google Scholar] [CrossRef]
- Aktas, Z.; Gunay, E.; Hoca, N.T.; Yilmaz, A.; Demirag, F.; Gunay, S.; Sipit, T.; Kurt, E.B. Endobronchial cryobiopsy or forceps biopsy for lung cancer diagnosis. Ann. Thorac. Med. 2010, 5, 242–246. [Google Scholar] [CrossRef]
- Siddiqui, N.; Charles, K.; Ferraro, A.E.; Holladay, R.C.; Johnson, J.C.; Kalanjeri, S. Pulmonary T-cell lymphoma masquerading as eosinophilic pneumonitis. Lung India 2019, 36, 543–545. [Google Scholar] [CrossRef]
- Hackner, K.; Stadler, A.; Schragel, F.; Klamminger, V.; Ghanim, B.; Varga, A.; Errhalt, P. Transbronchial lung cryobiopsy: Prospective safety evaluation and 90-day mortality after a standardized examination protocol. Ther. Adv. Respir. Dis. 2022, 16, 17534666221077562. [Google Scholar] [CrossRef]
- Davidsen, J.R.; Skov, I.R.; Louw, I.G.; Laursen, C.B. Implementation of transbronchial lung cryobiopsy in a tertiary referral center for interstitial lung diseases: A cohort study on diagnostic yield, complications, and learning curves. BMC Pulm. Med. 2021, 21, 67. [Google Scholar] [CrossRef]
- Cooper, W.A.; Mahar, A.; Myers, J.L.; Grainge, C.; Corte, T.J.; Williamson, J.P.; Vallely, M.P.; Lai, S.; Mulyadi, E.; Torzillo, P.J.; et al. Cryobiopsy for Identification of Usual Interstitial Pneumonia and Other Interstitial Lung Disease Features. Further Lessons from COLDICE, a Prospective Multicenter Clinical Trial. Am. J. Respir. Crit. Care Med. 2021, 203, 1306–1313. [Google Scholar] [CrossRef]
- Baba, T.; Takemura, T.; Okudela, K.; Hebisawa, A.; Matsushita, S.; Iwasawa, T.; Yamakawa, H.; Nakagawa, H.; Ogura, T. Concordance between transbronchial lung cryobiopsy and surgical lung biopsy for interstitial lung disease in the same patients. BMC Pulm. Med. 2023, 23, 279. [Google Scholar] [CrossRef]
- Ankudavicius, V.; Miliauskas, S.; Poskiene, L.; Vajauskas, D.; Zemaitis, M. Diagnostic yield of transbronchial cryobiopsy guided by radial endobronchial ultrasound and fluoroscopy in the radiologically suspected lung cancer: A single institution prospective study. Cancers 2022, 14, 1563. [Google Scholar] [CrossRef] [PubMed]
- Inomata, M.; Kuse, N.; Awano, N.; Tone, M.; Yoshimura, H.; Jo, T.; Minami, J.; Takada, K.; Muto, Y.; Fujimoto, K.; et al. Utility of radial endobronchial ultrasonography combined with transbronchial lung cryobiopsy in patients with diffuse parenchymal lung diseases: A multicentre prospective study. BMJ Open Respir. Res. 2021, 8, e000826. [Google Scholar] [CrossRef] [PubMed]


| Authors | Publication | Pathology of Lymphoma | TBLB | EBUS | Site | N | C |
|---|---|---|---|---|---|---|---|
| Poletti V. et al. [9] | 2015 | Intravascular large B-cell | − | − | RLL | 4 | − |
| Poletti V. et al. [9] | 2015 | Intravascular large B-cell | − | − | RLL | 2 | − |
| Schiavo D. et al. [10] | 2016 | Diffuse large B-cell | + | − | LUL | 3 | − |
| Yap E. et al. [11] | 2017 | Diffuse large B-cell | − | + | RML | 2 | − |
| Sato M. et al. [12] | 2020 | T-cell | + | + | RLL | 2 | − |
| Bianchi R. et al. [13] | 2020 | MALT | NA | NA | NA | 5 | − |
| Bianchi R. et al. [13] | 2020 | Peripheral T-cell | NA | NA | NA | 5 | − |
| Bianchi R. et al. [13] | 2020 | MALT | NA | NA | NA | 4 | − |
| Bianchi R. et al. [13] | 2020 | Hodgkin | NA | NA | NA | 7 | − |
| Bianchi R. et al. [13] | 2020 | MALT | NA | NA | NA | 2 | − |
| Bianchi R. et al. [13] | 2020 | MALT | NA | NA | NA | 5 | − |
| Bianchi R. et al. [13] | 2020 | Hodgkin | NA | NA | NA | 4 | − |
| Bianchi R. et al. [13] | 2020 | Diffuse large B-cell | NA | NA | NA | 13 | Bleeding (moderate) |
| Bianchi R. et al. [13] | 2020 | Lymphoplasmocytic | NA | NA | NA | 9 | − |
| Zhu D. et al. [14] | 2021 | Intravascular large B-cell | − | − | NA | NA | − |
| Tan CH. et al. [15] | 2022 | Hodgkin | − | − | LUL | 2 | − |
| Michimata H. et al. [16] | 2022 | Intravascular large B-cell | − | − | RLL | NA | − |
| Uchimura K. et al. [17] | 2022 | Intravascular large B-cell | − | − | RLL | NA | − |
| Tanaka Y. et al. (Present case) | 2023 | ATL | + | + | RLL | 2 | − |
Disclaimer/Publisher’s Note: The statements, opinions and data contained in all publications are solely those of the individual author(s) and contributor(s) and not of MDPI and/or the editor(s). MDPI and/or the editor(s) disclaim responsibility for any injury to people or property resulting from any ideas, methods, instructions or products referred to in the content. |
© 2023 by the authors. Licensee MDPI, Basel, Switzerland. This article is an open access article distributed under the terms and conditions of the Creative Commons Attribution (CC BY) license (https://creativecommons.org/licenses/by/4.0/).
Share and Cite
Tanaka, Y.; Kido, T.; Sakamoto, N.; Hara, A.; Kato, T.; Miyashita, R.; Ozasa, M.; Tokito, T.; Okuno, D.; Takeda, K.; et al. Lung Involvement in Adult T-Cell Lymphoma Diagnosed Using Bronchoscopic Cryobiopsy: A Case Report and Review of the Literature. Medicina 2023, 59, 2015. https://doi.org/10.3390/medicina59112015
Tanaka Y, Kido T, Sakamoto N, Hara A, Kato T, Miyashita R, Ozasa M, Tokito T, Okuno D, Takeda K, et al. Lung Involvement in Adult T-Cell Lymphoma Diagnosed Using Bronchoscopic Cryobiopsy: A Case Report and Review of the Literature. Medicina. 2023; 59(11):2015. https://doi.org/10.3390/medicina59112015
Chicago/Turabian StyleTanaka, Yasuhiro, Takashi Kido, Noriho Sakamoto, Atsuko Hara, Takeharu Kato, Ritsuko Miyashita, Mutsumi Ozasa, Takatomo Tokito, Daisuke Okuno, Kazuaki Takeda, and et al. 2023. "Lung Involvement in Adult T-Cell Lymphoma Diagnosed Using Bronchoscopic Cryobiopsy: A Case Report and Review of the Literature" Medicina 59, no. 11: 2015. https://doi.org/10.3390/medicina59112015
APA StyleTanaka, Y., Kido, T., Sakamoto, N., Hara, A., Kato, T., Miyashita, R., Ozasa, M., Tokito, T., Okuno, D., Takeda, K., Yura, H., Takemoto, S., Takazono, T., Ishimoto, H., Obase, Y., Ishimatsu, Y., Miyazaki, Y., & Mukae, H. (2023). Lung Involvement in Adult T-Cell Lymphoma Diagnosed Using Bronchoscopic Cryobiopsy: A Case Report and Review of the Literature. Medicina, 59(11), 2015. https://doi.org/10.3390/medicina59112015

