Respiratory Failure during BIS-Guided Sedation in a Patient with Relapsing Polychondritis: A Case Report
Abstract
1. Introduction
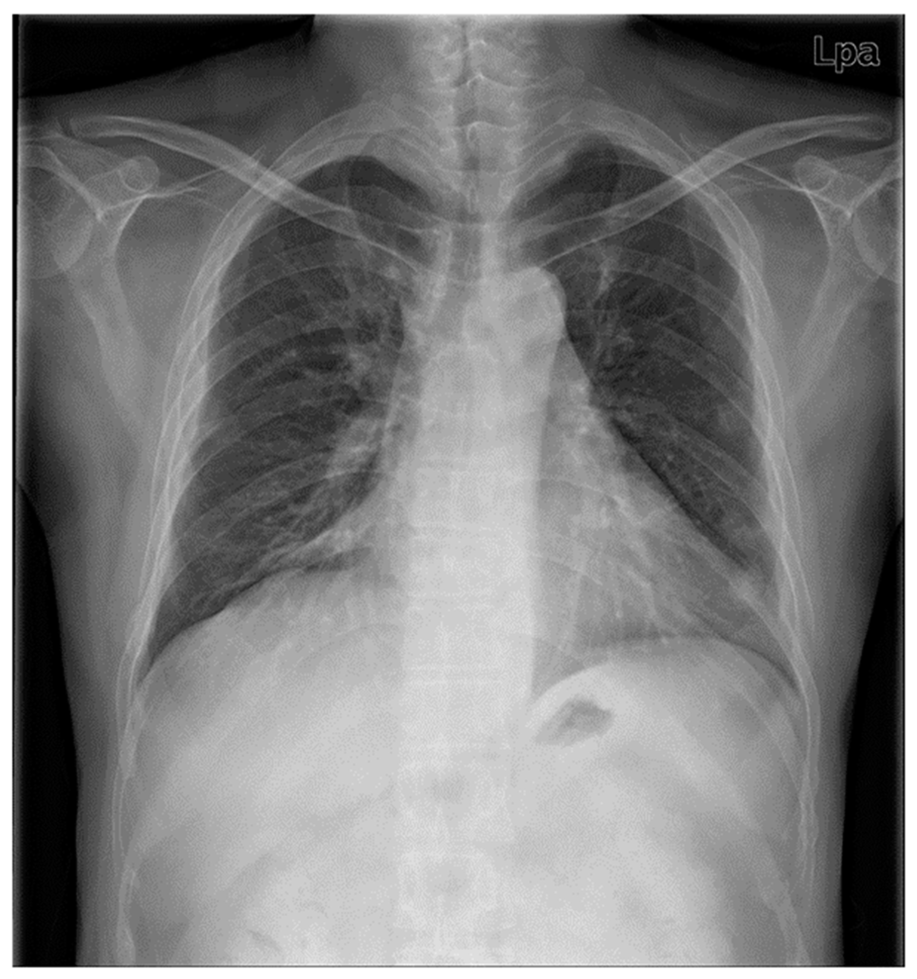
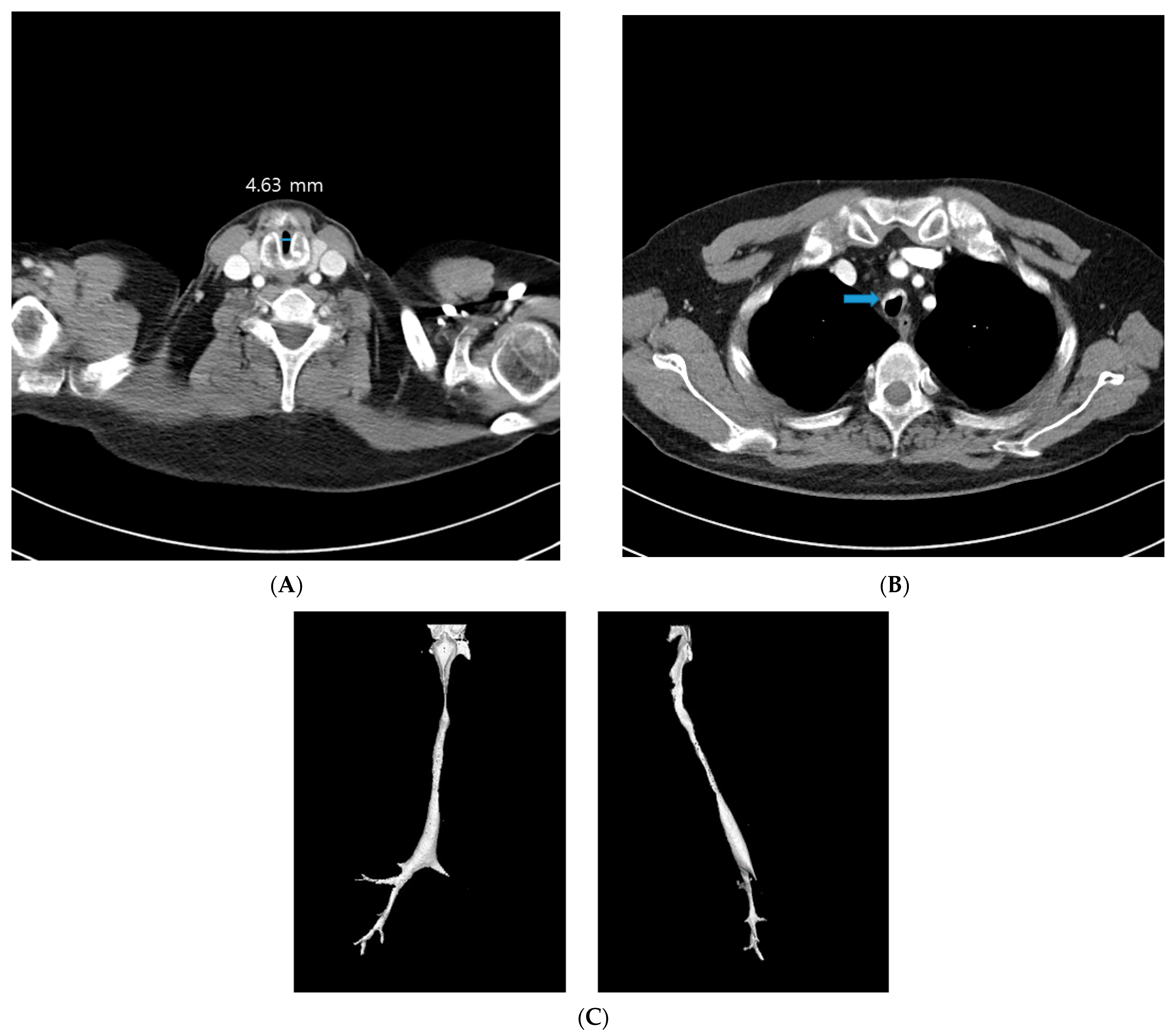
2. Case Presentation
3. Discussion and Conclusions
Author Contributions
Funding
Institutional Review Board Statement
Informed Consent Statement
Data Availability Statement
Conflicts of Interest
References
- Vitale, A.; Sota, J.; Rigante, D.; Lopalco, G.; Molinaro, F.; Messina, M.; Iannone, F.; Cantarini, L. Relapsing Polychondritis: An Update on Pathogenesis, Clinical Features, Diagnostic Tools, and Therapeutic Perspectives. Curr. Rheumatol. Rep. 2016, 18, 3. [Google Scholar] [CrossRef] [PubMed]
- Kingdon, J.; Roscamp, J.; Sangle, S.; D’Cruz, D. Relapsing polychondritis: A clinical review for rheumatologists. Rheumatology 2018, 57, 1525–1532. [Google Scholar] [CrossRef] [PubMed]
- Catano, J.; Uzunhan, Y.; Paule, R.; Dion, J.; Régent, A.; Legendre, P.; Gonin, F.; Martinod, E.; Cohen, P.; Puéchal, X.; et al. Presentation, Diagnosis, and Management of Subglottic and Tracheal Stenosis During Systemic Inflammatory Diseases. Chest 2022, 161, 257–265. [Google Scholar] [CrossRef] [PubMed]
- Muntimadugu, B.T.; Goldstraw, P. Fixed and dynamic airway obstruction in polychondritis. Eur. J. Cardiothorac. Surg. 2005, 27, 705. [Google Scholar] [CrossRef] [PubMed][Green Version]
- Punjasawadwong, Y.; Phongchiewboon, A.; Bunchungmongkol, N. Bispectral index for improving anaesthetic delivery and postoperative recovery. Cochrane Database Syst. Rev. 2014, 2014, CD003843. [Google Scholar] [CrossRef] [PubMed]
- Okamoto, A.; Kamata, K.; Miyata, T.; Yoshikawa, T.; Ishikawa, R.; Yamazaki, T.; Nakai, A.; Omoto, S.; Minaga, K.; Yamao, K.; et al. Bispectral index-guided propofol sedation during endoscopic ultrasonography. Clin. Endosc. 2022, 55, 558–563. [Google Scholar] [CrossRef] [PubMed]
- Zetterlund, E.L.; Gréen, H.; Oscarsson, A.; Vikingsson, S.; Vrethem, M.; Lindholm, M.L.; Eintrei, C. Determination of loss of consciousness: A comparison of clinical assessment, bispectral index and electroencephalogram: An observational study. Eur. J. Anaesthesiol. 2016, 33, 922–928. [Google Scholar] [CrossRef] [PubMed]
- Jung, J.Y.; Cho, C.B.; Min, B.M. Bispectral index monitoring correlates with the level of consciousness in brain injured patients. Korean J. Anesthesiol. 2013, 64, 246–250. [Google Scholar] [CrossRef] [PubMed]
- Chalela, R.; Gallart, L.; Pascual-Guardia, S.; Sancho-Muñoz, A.; Gea, J.; Orozco-Levi, M. Bispectral index in hypercapnic encephalopathy associated with COPD exacerbation: A pilot study. Int. J. Chron Obs. Pulmon. Dis. 2018, 13, 2961–2967. [Google Scholar] [CrossRef] [PubMed]
- Kim, I.K.; Kim, M.S.; Choi, Y.S.; Shin, Y.-S. Anesthetic experience of a patient with relapsing polychondritis -A case report-. Korean J. Anesthesiol. 2012, 63, 465–468. [Google Scholar] [CrossRef] [PubMed]
- Tanaka, T.T.; Furutani, H.F.; Harioka, T.H. Anaesthetic management of a patient with relapsing polychondritis undergoing laparoscopic surgery. Anaesth. Intensive Care 2006, 34, 372–374. [Google Scholar] [CrossRef] [PubMed]
- Zhou, P.; Fu, B.; Zhang, C.; Chen, K.; Xia, Q.; Tang, W.; Yu, W.; Huang, W. Bronchoscopy-Guided Intervention Therapy with Extracorporeal Membrane Oxygenation Support for Relapsing Polychondritis with Severe Tracheobronchomalacia: A Case Report and Literature Review. Front. Med. 2021, 8, 695505. [Google Scholar] [CrossRef] [PubMed]
- Ahn, H.-J.; Kim, J.A.; Yang, M.; Lee, E.K. Respiratory insufficiency and dynamic hyperinflation after rigid bronchoscopy in a patient with relapsing polychondritis -a case report-. Korean J. Anesthesiol. 2013, 65, 569–573. [Google Scholar] [CrossRef] [PubMed]
- Guillon, A.; Hottier, S.; Fusciardi, J.; Réa, D.; Garnaud, D. Polychondrite atrophiante: Une cause possible d’extubation difficile [Relapsing polychondritis: A possible cause of difficult extubation. Ann. Fr. Anesth. Reanim. 2006, 25, 1003–1006. [Google Scholar] [CrossRef] [PubMed]
- Rafeq, S.; Trentham, D.; Ernst, A. Pulmonary manifestations of relapsing polychondritis. Clin. Chest Med. 2010, 31, 513–518. [Google Scholar] [CrossRef] [PubMed]
- Ernst, A.; Feller-Kopman, D.; Becker, H.D.; Mehta, A.C. Central airway obstruction. Am. J. Respir Crit. Care Med. 2004, 169, 1278–1297. [Google Scholar] [CrossRef] [PubMed]
- Staats, B.A.; Utz, J.P.; Michet, C.J., Jr. Relapsing polychondritis. Semin. Respir. Crit. Care Med. 2002, 23, 145–154. [Google Scholar] [CrossRef] [PubMed]
- O’Donoghue, F.J.; Catcheside, P.; Ellis, E.E.; Grunstein, R.R.; Pierce, R.J.; Rowland, L.S.; Collins, E.R.; Rochford, S.E.; McEvoy, R.D. Sleep hypoventilation in hypercapnic chronic obstructive pulmonary disease: Prevalence and associated factors. Eur. Respir. J. 2003, 21, 977–984. [Google Scholar] [CrossRef]
- Goldberg, A. Clinical indications for noninvasive positive pressure ventilation in chronic respiratory failure due to restrictive lung disease, COPD, and nocturnal hypoventilation—A consensus conference report. Chest 1999, 116, 521–534. [Google Scholar]


Disclaimer/Publisher’s Note: The statements, opinions and data contained in all publications are solely those of the individual author(s) and contributor(s) and not of MDPI and/or the editor(s). MDPI and/or the editor(s) disclaim responsibility for any injury to people or property resulting from any ideas, methods, instructions or products referred to in the content. |
© 2022 by the authors. Licensee MDPI, Basel, Switzerland. This article is an open access article distributed under the terms and conditions of the Creative Commons Attribution (CC BY) license (https://creativecommons.org/licenses/by/4.0/).
Share and Cite
Lee, J.; Moon, H.; Hong, S.; Chon, J.; Kwon, H.; Park, H.; Lee, J. Respiratory Failure during BIS-Guided Sedation in a Patient with Relapsing Polychondritis: A Case Report. Medicina 2023, 59, 65. https://doi.org/10.3390/medicina59010065
Lee J, Moon H, Hong S, Chon J, Kwon H, Park H, Lee J. Respiratory Failure during BIS-Guided Sedation in a Patient with Relapsing Polychondritis: A Case Report. Medicina. 2023; 59(1):65. https://doi.org/10.3390/medicina59010065
Chicago/Turabian StyleLee, Jaesang, Hosik Moon, Sungjin Hong, Jinyoung Chon, Hyejin Kwon, Hunwoo Park, and Jiyung Lee. 2023. "Respiratory Failure during BIS-Guided Sedation in a Patient with Relapsing Polychondritis: A Case Report" Medicina 59, no. 1: 65. https://doi.org/10.3390/medicina59010065
APA StyleLee, J., Moon, H., Hong, S., Chon, J., Kwon, H., Park, H., & Lee, J. (2023). Respiratory Failure during BIS-Guided Sedation in a Patient with Relapsing Polychondritis: A Case Report. Medicina, 59(1), 65. https://doi.org/10.3390/medicina59010065

