Adrenal Gland Primary Neuroblastoma in an Adult Patient: A Case Report and Literature Review
Abstract
1. Introduction
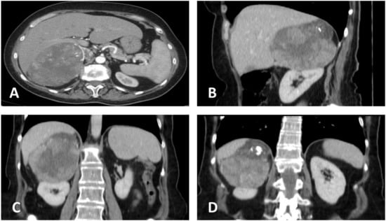
2. Case Presentation
2.1. Surgical Technique
2.2. Pathological Report
2.3. Follow-Up
3. Discussions
4. Conclusions
Author Contributions
Funding
Institutional Review Board Statement
Informed Consent Statement
Conflicts of Interest
References
- Smith, L.; Minter, S.; O’Brien, P.; Kraveka, J.M.; Medina, A.M.; Lazarchick, J. Neuroblastoma in an adult: Case presentation and literature review. Ann. Clin. Lab. Sci. 2013, 43, 81–84. [Google Scholar] [PubMed]
- Ward, E.; DeSantis, C.; Robbins, A.; Kohler, B.; Jemal, A. Childhood and adolescent cancer statistics, 2014. CA Cancer J. Clin. 2014, 64, 83–103. [Google Scholar] [CrossRef] [PubMed]
- Suzuki, M.; Kushner, B.H.; Kramer, K.; Basu, E.M.; Roberts, S.S.; Hammond, W.J.; LaQuaglia, M.P.; Wolden, S.L. Treatment and outcome of adult-onset neuroblastoma. Int. J. Cancer 2018, 143, 1249–1258. [Google Scholar] [CrossRef] [PubMed]
- Sokol, E.; Desai, A.V. The Evolution of Risk Classification for Neuroblastoma. Children 2019, 6, 27. [Google Scholar] [CrossRef] [PubMed]
- Irwin, M.S.; Naranjo, A.; Zhang, F.F.; Cohn, S.L.; London, W.B.; Gastier-Foster, J.M.; Ramirez, N.C.; Pfau, R.; Reshmi, S.; Wagner, E.; et al. Revised Neuroblastoma Risk Classification System: A Report From the Children’s Oncology Group. J. Clin. Oncol. 2021, 39, 3229–3241. [Google Scholar] [CrossRef]
- Maris, J.M. Recent advances in neuroblastoma. N. Engl. J. Med. 2010, 362, 2202–2211. [Google Scholar] [CrossRef]
- Rogowitz, E.; Babiker, H.M.; Kanaan, M.; Millius, R.A.; Ringenberg, Q.S.; Bishop, M. Neuroblastoma of the elderly, an oncologist’s nightmare: Case presentation, literature review and SEER database analysis. Exp. Hematol. Oncol. 2014, 3, 20. [Google Scholar] [CrossRef]
- Trigg, R.M.; Turner, S.D. ALK in Neuroblastoma: Biological and Therapeutic Implications. Cancers 2018, 10, 113. [Google Scholar] [CrossRef]
- Valentijn, L.J.; Koster, J.; Zwijnenburg, D.A.; Hasselt, N.E.; van Sluis, P.; Volckmann, R.; van Noesel, M.M.; George, R.E.; Tytgat, G.A.; Molenaar, J.J.; et al. TERT rearrangements are frequent in neuroblastoma and identify aggressive tumors. Nat. Genet. 2015, 47, 1411–1414. [Google Scholar] [CrossRef]
- Papaioannou, G.; McHugh, K. Neuroblastoma in childhood: Review and radiological findings. Cancer Imaging. 2005, 30, 116–127. [Google Scholar] [CrossRef]
- Suzuki, H.; Honzumi, M.; Funada, M.; Tomiyama, H. Metachronous bilateral adrenal neuroblastoma. Cancer 1985, 56, 1490–1492. [Google Scholar] [CrossRef]
- Custodio, C.M.; Semelka, R.C.; Balci, N.C.; Mitchell, K.M.; Freeman, J.A. Adrenal neuroblastoma in an adult with tumor thrombus in the inferior vena cava. J. Magn. Reson. Imaging. 1999, 9, 621–623. [Google Scholar] [CrossRef]
- Genc, F.A.; Aksoy, M.; Kapran, Y.; Tunca, F.; Tanakol, R.; Basar, Y.; Terzioglu, T. Adrenal neuroblastoma in an adult: Report of a case. Surg. Today 2003, 33, 879–881. [Google Scholar] [CrossRef]
- Genc, H.; Haciyanli, M.; Haciyanli, S.G.; Gelal, F.; Avci Uçarsoy, A.; Dag, F. An adult adrenal neuroblastoma: A case report. Acta Chir. Belg. 2005, 105, 673–676. [Google Scholar] [CrossRef]
- Schalk, E.; Mohren, M.; Koenigsmann, M.; Buhtz, P.; Franke, A.; Jentsch-Ullrich, K. Metastatic adrenal neuroblastoma in an adult. Oncol. Res. Treat. 2005, 28, 353–355. [Google Scholar] [CrossRef]
- Gupta, P.; Maiti, A.; Aich, R.K.; Deb, A.R. Adrenal neuroblastoma in an adult. J. Cancer Res. Ther. 2013, 9, 96–98. [Google Scholar]
- Kurokawa, S.; Mizuno, K.; Nakane, A.; Moritoki, Y.; Nishio, H.; Kamisawa, H.; Kubota, Y.; Okada, A.; Kawai, N.; Hayashi, Y.; et al. Adrenal Neuroblastoma in an Adult: Effect of Radiotherapy on Local Progression after Surgical Removal. Case Rep. Urol. 2016, 2016, 2657632. [Google Scholar] [CrossRef]
- Casteleti, P.; Senerchia, A.A.; Caran, E. Neuroblastoma in Patients Over 10 Years Old: A 21-Year Experience at a Single Institution. Austin Pediatr. 2017, 4, 1052. [Google Scholar]
- Manjunath, S.; Mouli, S.; Singh, K.R.; Rana, C.; Ramakant, P.; Mishra, A. Neuroblastoma in Late Adolescence: Case Report and Review of Literature. World J. Endoc. Surg. 2018, 10, 157–162. [Google Scholar]
- Majumder, S.N.; Amin, M.R.; Mallick, P.K.; Nath, R.; Islam, M.R. Adrenal Neuroblastoma: A Rare Entity in Adulthood. Rep. Cancer Treat 2018, 2, 1–5. [Google Scholar]
- McCarthy, L.C.; Chastain, K.; Flatt, T.G.; Taboada, E.; Garola, R.; Herriges, J.; Cooley, L.D.; Ahmed, A.A. Neuroblastoma in Adolescents and Children Older than 10 Years: Unusual Clinicopathologic and Biologic Features. J. Pediatr. Hematol. Oncol. 2019, 41, 586–595. [Google Scholar] [CrossRef] [PubMed]
- Ramsingh, J.; Casey, H.; Watson, C. Adult neuroblastoma: A rare diagnosis of an adrenal mass. BMJ Case Rep. 2019, 12, e228730. [Google Scholar] [CrossRef] [PubMed]
- Zhang, H.; Feng, Z. Adrenal neuroblastoma in an elderly adult: A case report and review of the literature. J. Med. Case Rep. 2019, 13, 284. [Google Scholar] [CrossRef] [PubMed]
- Thapa, B.B.; Yadav, S.; Pant, S.; Rajkarnikar, P.; Mandal, P. Surgical Management of Giant L2 Adrenal Neuroblastoma in Adult Male. Case Rep. Urol. 2020, 2020, 8890223. [Google Scholar] [CrossRef] [PubMed]
- Xu, S.; Zhang, W.; Che, B.; Zhang, J.; He, J.; Liu, D.; Chen, P.; Mu, Y.; Chen, K.; Tang, K. Adult adrenal neuroblastoma: A case report. Mol. Clin. Oncol. 2021, 15, 225. [Google Scholar] [CrossRef]
- Guzman Gómez, G.E.; Urbano, M.A.; Martínez, V. Adrenal Neuroblastoma Producing Catecholamines Diagnosed in Adults: Case Report. Case Rep. Oncol. 2022, 15, 682–686. [Google Scholar] [CrossRef]
- Moon, S.B. Childhood neuroblastoma masquerading as pheochromocytoma: Case report. Int. Med. Case Rep. J. 2016, 9, 65–67. [Google Scholar] [CrossRef]
- Corcuff, J.B.; Deminiere, C.; Trouillas, J.; Puel, O.; Perel, Y.; Barat, P. Ectopic Cushing’s Syndrome due to an Adrenal Ganglioneuroma. Horm. Res. Paediatr. 2010, 73, 405–408. [Google Scholar] [CrossRef]
- Mossé, Y.P.; Deyell, R.J.; Berthold, F.; Nagakawara, A.; Ambros, P.F.; Monclair, T.; Cohn, S.L.; Pearson, A.D.; London, W.B.; Matthay, K.K. Neuroblastoma in older children, adolescents and young adults: A report from the International Neuroblastoma Risk Group project. Pediatr. Blood Cancer 2014, 61, 627–635. [Google Scholar] [CrossRef]
- Krams, M.; Hero, B.; Berthold, F.; Parwaresch, R.; Harms, D.; Rudolph, P. Proliferation marker KI-S5 discriminates between favorable and adverse prognosis in advanced stages of neuroblastoma with and without MYCN amplification. Cancer 2002, 94, 854–861. [Google Scholar] [CrossRef]
- Podda, M.G.; Luksch, R.; Polastri, D.; Gandola, L.; Piva, L.; Collini, P.; Cefalo, G.; Terenziani, M.; Ferrari, A.; Casanova, M.; et al. Neuroblastoma in patients over 12 years old: A 20-year experience at the Istituto Nazionale Tumori of Milan. Tumori J. 2010, 96, 684–689. [Google Scholar] [CrossRef]
- Fassnacht, M.; Dekkers, O.M.; Else, T.; Baudin, E.; Berruti, A.; de Krijger, R.; Haak, H.R.; Mihai, R.; Assie, G.; Terzolo, M. European Society of Endocrinology Clinical Practice Guidelines on the management of adrenocortical carcinoma in adults, in collaboration with the European Network for the Study of Adrenal Tumors. Eur. J. Endocrinol. 2018, 179, G1–G46. [Google Scholar] [CrossRef]
- Mazzaglia, P.J.; Monchik, J.M. Limited Value of Adrenal Biopsy in the Evaluation of Adrenal Neoplasm: A Decade of Experience. Arch Surg. 2009, 144, 465–470. [Google Scholar] [CrossRef]
- Williams, A.R.; Hammer, G.D.; Else, T. Transcutaneous biopsy of adrenocortical carcinoma is rarely helpful in diagnosis, potentially harmful, but does not affect patient outcome. Eur. J. Endocrinol. 2014, 170, 829–835. [Google Scholar] [CrossRef]
- Twist, C.J.; Schmidt, M.L.; Naranjo, A.; London, W.B.; Tenney, S.C.; Marachelian, A.; Shimada, H.; Collins, M.H.; Esiashvili, N.; Adkins, E.S.; et al. Maintaining Outstanding Outcomes Using Response- and Biology-Based Therapy for Intermediate-Risk Neuroblastoma: A Report From the Children’s Oncology Group Study ANBL0531. J. Clin. Oncol. 2019, 37, 3243–3255. [Google Scholar] [CrossRef]




| Parameters | Determined Values | Reference Values |
|---|---|---|
| 24 h urine free cortisol | 187.5 µg/24 h | <50 µg/24 h |
| Serum ACTH | 286.2 pg/mL | 46–52 pg/mL |
| Metanephrines | 5.7 µmole | <7.1 µmole |
| Vanillylmandelic acid | 38.3 µmole | <50 µmole |
| Homovanillic acid | 46.9 µmole | <82.4 µmole |
| Aldosterone | 14 µg/24 h | 3–25 µg/24 h |
| Seric sodium | 139 mEq/L | 135–145 mEq/L |
| Seric potassium | 4.4 mEq/L | 3.5–5.2 mEq/L |
| Positive Markers | Negative Markers | Excluded Tumors |
|---|---|---|
| CD 10 CD 56 CD 99 WT 1 Vimentin ATRX (*) | CD 45 CD 4 CD 8 CD 20 CD 34 CD 31 MelanA Bcl 2 Tdl EMA TTF 1 Chromogranin A NSE S100 PSAP CKAE1/AE3 PAX 8 Inhibin Desmin ALK (*) MYCN (*) |
|
| No. | Author, Year | Age of the Patient (Years) | Maximum Diameter (mm) | Side | Excreted Hormones | Treatment | Details | Pathological Diagnosis | Complications and Follow-Up |
|---|---|---|---|---|---|---|---|---|---|
| 1. | Suzuki et al., 1985 [11] | 13 | 120 | Right | Vanilmandelic acid Metanephrines | Open surgery | Right adrenalectomy Lymphadenectomy | Homer-Wright rosettes | Uneventful recovery. Systemic chemotherapy (Vincristine, Doxorubicin, Cyclophosphamide). Alive at 12 months follow-up. |
| 2. | Custodio et al., 1999 [12] | 32 | 140 Tumoral thrombus invading the IVC and extending into the right atrium | Right | None | Open surgery | Right adrenalectomy, nephrectomy and right hepatic lobectomy; IVC thrombectomy and right atriotomy | Synaptophysin (+) Neurofilament (+) No CYT available | Chyloperitoneum and recurrent pleural effusions. Systemic chemotherapy and regional radiotherapy 3 months after surgery. No data regarding disease recurrence available |
| 3. | Genc et al., 2003 [13] | 30 | 66 | Left | None | Open surgery | Left adrenalectomy | Homer-Wright rosettes No IHC performed No CYT available | Uneventful recovery. Systemic chemotherapy, disease free at the 12 months follow-up. |
| 4. | Genc et al., 2005 [14] | 52 | 70 | Left | Vanilmandelic acid Metanephrines | Open surgery | Left adrenalectomy | No IHC performed No CYT available | Systemic chemotherapy (Cisplatin, Vincristin, Ifosfamide). Multiple liver metastases. Deceased 10 months after the surgery. |
| 5. | Schalk et al., 2005 [15] | 51 | 170 Retroperitoneal, mediastinal and cervical metastases | Right | Cathecolamines | Open surgery | Right adrenalectomy and nephrectomy, and lymphadenectomy. Positive surgical margins | Ki-67 (40%) MYCN (−) | Systemic chemotherapy. Tumoral progression. Deceased 9 months after surgery. |
| 6. | Gupta et al., 2013 [16] | 47 | N/A | Right | None | Open surgery | Right adrenalectomy and nephrectomy | No IHC performed No CYT available | Tumoral progression after 9 months. Systemic chemotherapy (Cisplatin and Etoposide as first line, then Irinotecan and Carboplatin as second line) and regional radiotherapy (30 Gy/10 fractions/2 weeks)). |
| 7. | Kurokawa et al., 2016 [17] | 62 | 70 | Left | None | Open surgery | Left adrenalectomy and splenectomy | NSE (+) Vimentin (+) Synaptophysin (+) S-100 (+) UCHL-1 (−) L26 (−) No CYT available | Tumoral recurrence after 4 months. Radiotherapy (50 Gy). |
| 8. | Casteleti et al., 2017 [18] | 11 | N/A | Right | None | Open surgery | Right adrenalectomy | MYCN (+) | Recurrence: 5.6 years Survival: 11.37 years Status: alive |
| 19 | Left | Left adrenalectomy | Recurrence: N/A Survival: 3.15 years Status: dead | ||||||
| 11 | Left | Left adrenalectomy | Recurrence: 9.3 years Survival: 10 years Status: dead | ||||||
| 9. | Manjunath et al., 2018 [19] | 15 | 241 Liver invasion Retroperitoneal adenopaties | Right | Metanephrines | Neoadjuvant chemotherapy (Cisplatin, Etoposide, Doxorubicin, Cyclophosphamide + Open surgery | Right adrenalectomy with upper right renal pole resection and retroperitoneal lymphadenectomy; omental metastasis resection | Horner-Wright rosettes NSE (+) Synaptophysin (+) LCA (−) WT1 (−) CD99 (−) | Uneventful recovery. Regional external radiotherapy. Alive at 6 months follow-up. |
| 10. | Majumder et al., 2018 [20] | 23 | 156 Liver invasion and metastases | Right | None | FNA + Systemic chemotherapy | FNA from one of the liver metastases | Horner-Wright rosettes | Poorly tolerated chemotherapy (Completed 3 cycles). |
| 11. | McCarthy et al., 2019 [21] | 11 | 105 Multiple bone metastases | Left | Catecholamines Chromogranin A | Open surgery | Left adrenalectomy | MYCN (−) ARTX (+) | Systemic chemotherapy (First line: Cyclophosphamide, Topotecan, Doxorubicin, Etoposide, Vincristine, Cisplatin; Second line: Irinotecan/Temozolomide puls Dinutuximab) Deceased 21 months from diagnosis. |
| 13 | 67 | Left | None | Open surgery | Left adrenalectomy | MYCN (−) ALK (+) | Disease recurrence (left renal fossa mess, para-aortic adenopathy, bone metastases) Systemic chemotherapy (Topotecan, Cytoxan, Cisplatin, Etoposide, Doxorubicin, Vincristine) plus immunotherapy (Dinutuximab) and radiation therapy. Deceased 23 months from diagnosis. | ||
| 12. | Ramsingh et al., 2019 [22] | 22 | 80 | Left | None | Laparoscopic surgery | Left adrenalectomy | Synaptophysin (+) Chromogranin A (+) PGP9.5 (+) CD56 (+) Neurofilament (+) Tyrosine hydroxylase (+) NSE (+) NB84A (+) Ki-67 (10%) | Uneventful recovery. Platinum-based chemotherapy. |
| 13. | Zhang et al., 2019 [23] | 75 | 45 | Left | Aldosterone | Laparoscopic surgery | Left adrenal-sparing tumorectomy | CD56 (+) Synaptophysin (+) Vimentin (+) Ki-67 (>30%) CD99 (−) EMA (−) MyoD1 (−) HHF35 (−) Chromogranin A (−) S-100 (−) No CYT available | Patient refused adjuvant oncological treatment. Multiple brain and lung metastases. Deceased 22 months after the surgery. |
| 14. | Thapa et al., 2020 [24] | 35 | 200 | Left | None | Open surgery | Left adrenalectomy and nephrectomy, paraaortic lymph node dissection | Homer-Wright rosettes Low Ki-67 No CYT available | Uneventful recovery. Patient refused adjuvant oncological treatment. No signs of recurrence at 69 months after the surgery. |
| 15. | Xu et al., 2021 [25] | 40 | 53 | Left | None | Laparoscopic surgery | Left adrenalectomy | Synaptophysin (+) Chromogranin A (+) CD56 (+) CD99 (+) S-100 (partially +) Ki-67 (80%) | Patient refused adjuvant oncological treatment. Multiple lung metastases. Deceased 36 months after the surgery. |
| 16. | Guzman Gomez et al., 2022 [26] | 24 | 80 | Right | Cathecolamines | Open surgery | Right adrenalectomy and retroperitoneal lymphadenectomy | N/A | Local recurrence: paravertebral retroperitoneal mass; retrocrural, retrocaval and para-aortic adenopathies. Systemic chemotherapy (Cisplatin, Etoposide). |
Disclaimer/Publisher’s Note: The statements, opinions and data contained in all publications are solely those of the individual author(s) and contributor(s) and not of MDPI and/or the editor(s). MDPI and/or the editor(s) disclaim responsibility for any injury to people or property resulting from any ideas, methods, instructions or products referred to in the content. |
© 2022 by the authors. Licensee MDPI, Basel, Switzerland. This article is an open access article distributed under the terms and conditions of the Creative Commons Attribution (CC BY) license (https://creativecommons.org/licenses/by/4.0/).
Share and Cite
Telecan, T.; Andras, I.; Bungardean, M.R.; Muntean, D.; Militaru, C.; Perciuleac, I.; Maga, A.; Crisan, N. Adrenal Gland Primary Neuroblastoma in an Adult Patient: A Case Report and Literature Review. Medicina 2023, 59, 33. https://doi.org/10.3390/medicina59010033
Telecan T, Andras I, Bungardean MR, Muntean D, Militaru C, Perciuleac I, Maga A, Crisan N. Adrenal Gland Primary Neuroblastoma in an Adult Patient: A Case Report and Literature Review. Medicina. 2023; 59(1):33. https://doi.org/10.3390/medicina59010033
Chicago/Turabian StyleTelecan, Teodora, Iulia Andras, Maria Raluca Bungardean, Diana Muntean, Claudia Militaru, Ion Perciuleac, Andrei Maga, and Nicolae Crisan. 2023. "Adrenal Gland Primary Neuroblastoma in an Adult Patient: A Case Report and Literature Review" Medicina 59, no. 1: 33. https://doi.org/10.3390/medicina59010033
APA StyleTelecan, T., Andras, I., Bungardean, M. R., Muntean, D., Militaru, C., Perciuleac, I., Maga, A., & Crisan, N. (2023). Adrenal Gland Primary Neuroblastoma in an Adult Patient: A Case Report and Literature Review. Medicina, 59(1), 33. https://doi.org/10.3390/medicina59010033

