Diagnostic and Therapeutic Challenges in a Patient with Radiation Retinopathy Complicated by Corticosteroid-Induced Central Serous Chorioretinopathy
Abstract
:1. Introduction
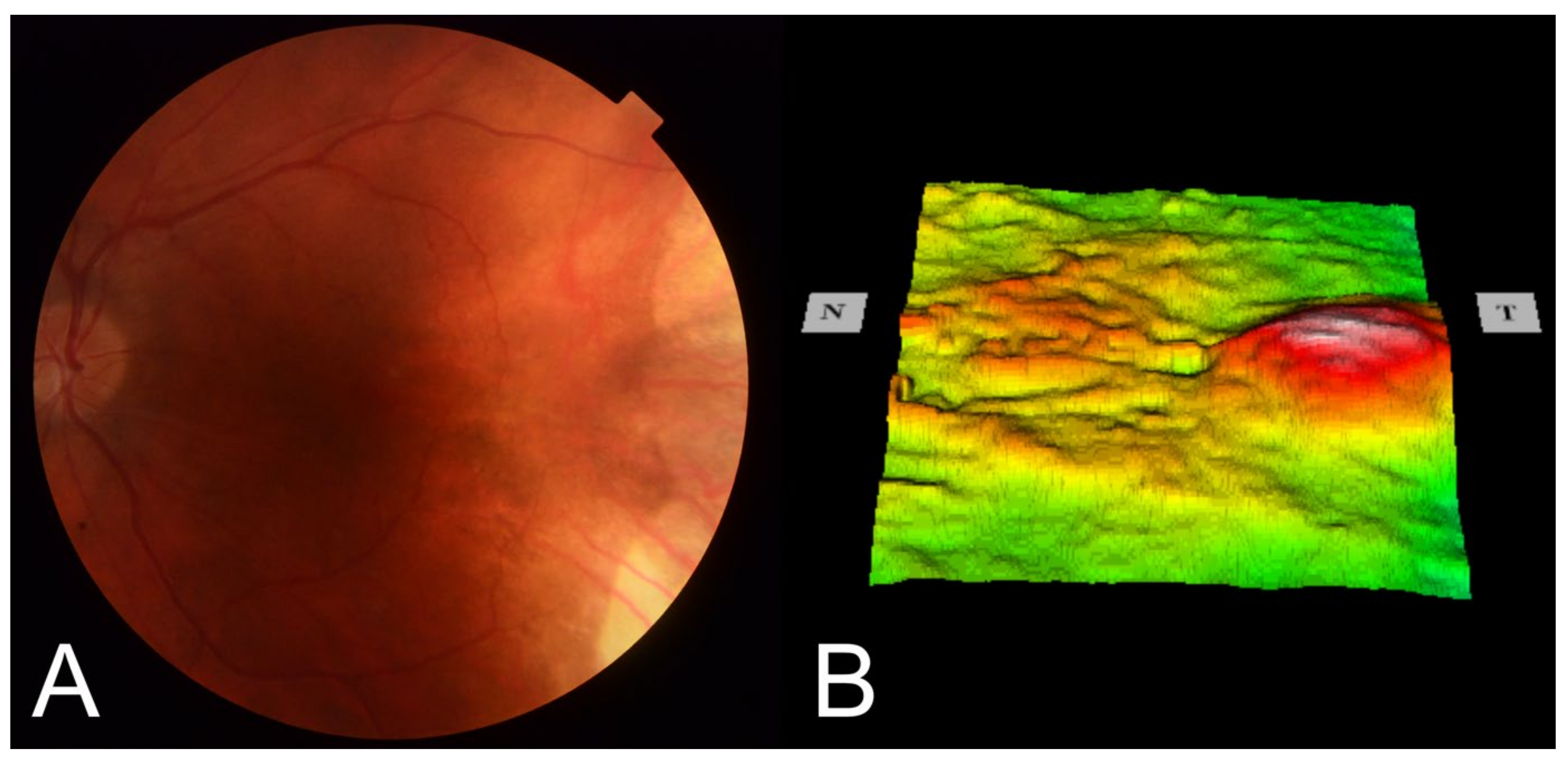
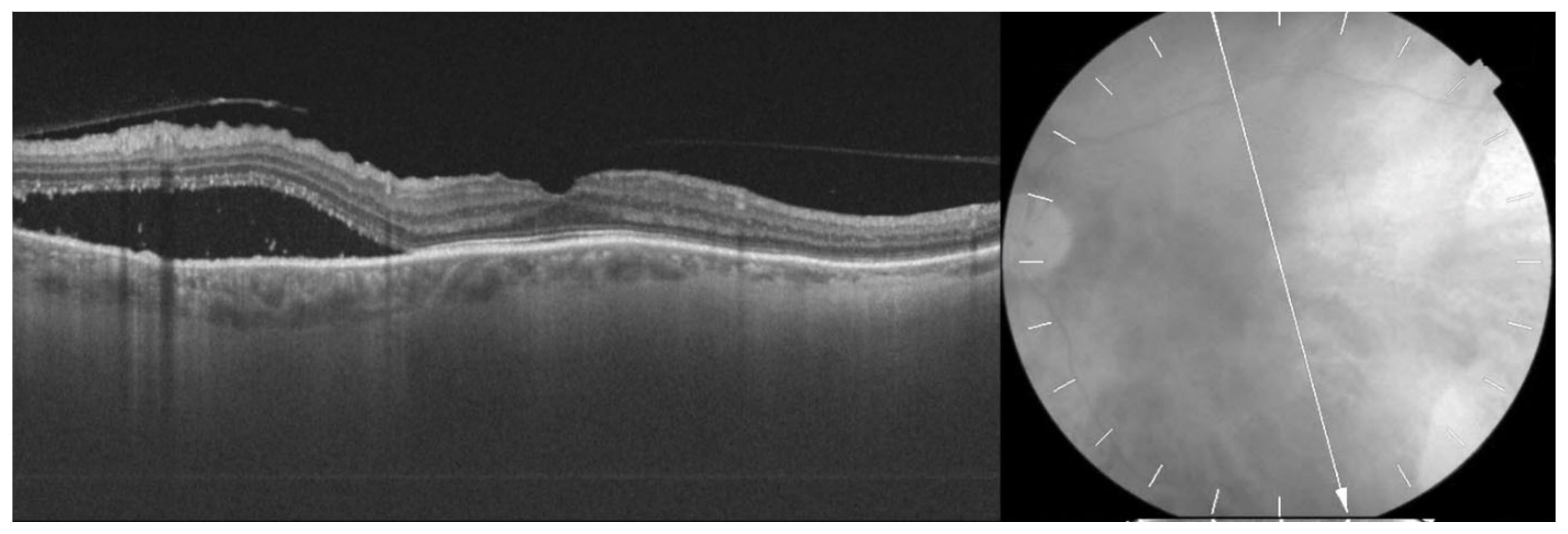
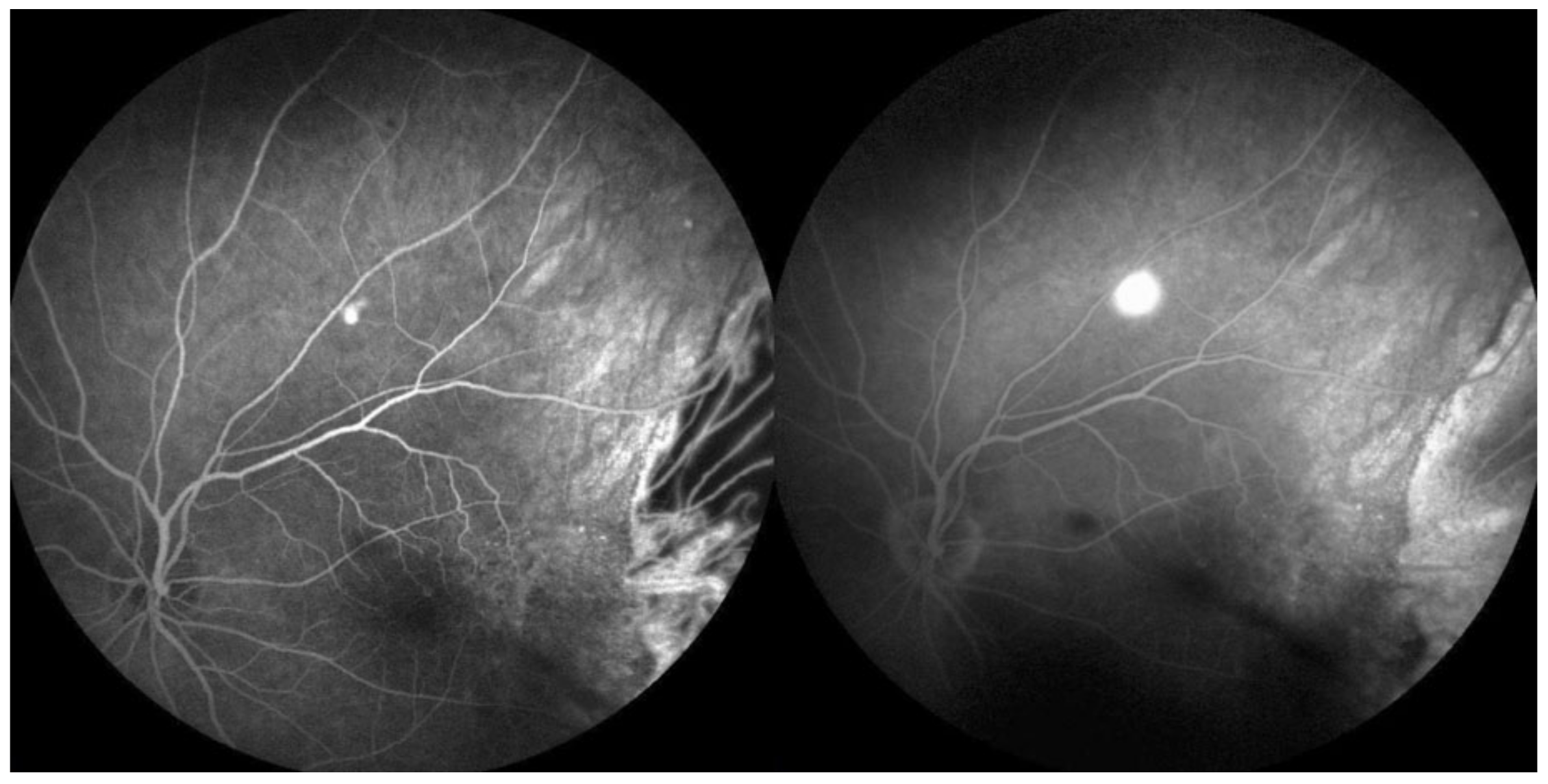
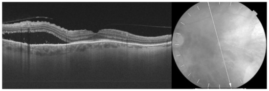
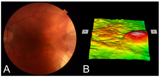
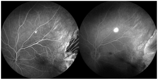
2. Case Report
3. Discussion
4. Conclusions
Author Contributions
Funding
Institutional Review Board Statement
Informed Consent Statement
Data Availability Statement
Conflicts of Interest
References
- Castro-Navarro, V.; Behar-Cohen, F.; Chang, W.; Joussen, A.M.; Lai, T.Y.Y.; Navarro, R.; Pearce, I.; Yanagi, Y.; Okada, A.A. Pachychoroid: Current concepts on clinical features and pathogenesis. Graefe’s Arch. Clin. Exp. Ophthalmol. 2021, 259, 1385–1400. [Google Scholar] [CrossRef] [PubMed]
- Karska-Basta, I.; Pociej-Marciak, W.; Chrząszcz, M.; Żuber-Łaskawiec, K.; Sanak, M.; Romanowska-Dixon, B. Quality of life of patients with central serous chorioretinopathy—A major cause of vision threat among middle-aged individuals. Arch. Med. Sci. 2020, 17, 724–730. [Google Scholar] [CrossRef]
- Karska-Basta, I.; Pociej-Marciak, W.; Chrzaszcz, M.; Wilanska, J.; Jager, M.J.; Markiewicz, A.; Romanowska-Dixon, B.; Sanak, M.; Kubicka-Trzaska, A. Differences in anti-endothelial and anti-retinal antibody titers: Implications for the pathohysiology of acute and chronic central serous chorioretinopathy. J. Physiol. Pharm. 2020, 71, 235–242. [Google Scholar] [CrossRef]
- Karska-Basta, I.; Pociej-Marciak, W.; Chrząszcz, M.; Kubicka-Trząska, A.; Dębicka-Kumela, M.; Gawęcki, M.; Romanowska-Dixon, B.; Sanak, M. Imbalance in the levels of angiogenic factors in patients with acute and chronic central serous chorioretinopathy. J. Clin. Med. 2021, 10, 1087. [Google Scholar] [CrossRef] [PubMed]
- Daruich, A.; Matet, A.; Dirani, A.; Bousquet, E.; Zhao, M.; Farman, N.; Jaisser, F.; Behar-Cohen, F. Central serous chorioretinopathy: Recent findings and new physiopathology hypothesis. Prog. Retin. Eye Res. 2015, 48, 82–118. [Google Scholar] [CrossRef] [PubMed] [Green Version]
- Ersoz, M.G.; Arf, S.; Hocaoglu, M.; Sayman Muslubas, I.; Karacorlu, M. Patient characteristics and risk factors for central serous chorioretinopathy: An analysis of 811 patients. Br. J. Ophthalmol. 2019, 103, 725–729. [Google Scholar] [CrossRef]
- Yu, J.; Xu, G.; Chang, Q.; Ye, X.; Li, L.; Jiang, C.; Zhao, Q. Risk factors for persistent or recurrent central serous chorioretinopathy. J. Ophthalmol. 2019, 2019, 5970659. [Google Scholar] [CrossRef] [PubMed] [Green Version]
- Noh, G.M.; Nam, K.Y.; Lee, S.U.; Lee, S.J. Central serous chorioretinopathy following intravitreal dexamethasone implant. Korean J. Ophthalmol. 2019, 33, 392–394. [Google Scholar] [CrossRef]
- O’Brien, P.; Young, R.C.; Ghafoori, S.D.; Harper, C.A.; Wong, R.W. Central serous retinopathy associated with topical oral corticosteroid use: A case report. J. Med. Case Rep. 2019, 13, 201. [Google Scholar] [CrossRef]
- Bouzas, E.A.; Karadimas, P.; Pournaras, C.J. Central serous chorioretinopathy and glucocorticoids. Surv. Ophthalmol. 2002, 47, 431–448. [Google Scholar] [CrossRef]
- Murray, T.G.; Latiff, A.; Villegas, V.M.; Gold, A.S. Aflibercept for radiation maculopathy study: A prospective, randomized clinical study. Ophthalmol. Retin. 2019, 3, 561–566. [Google Scholar] [CrossRef] [PubMed]
- Fallico, M.; Chronopoulos, A.; Schutz, J.S.; Reibaldi, M. Treatment of radiation maculopathy and radiation-induced macular edema: A systematic review. Surv. Ophthalmol. 2021, 6, 441–460. [Google Scholar] [CrossRef] [PubMed]
- Mashayekhi, A.; Rojanaporn, D.; Al-Dahmash, S.; Shields, C.L.; Shields, J.A. Monthly intravitreal bevacizumab for macular edema after iodine-125 plaque radiotherapy of uveal melanoma. Eur. J. Ophthalmol. 2014, 24, 228–234. [Google Scholar] [CrossRef] [PubMed]
- Peiris, T.J.; El Rami, H.E.; Sun, J.K. Central serous chorioretinopathy associated with steroid enema. Retin. Cases Brief Rep. 2021, 15, 15–17. [Google Scholar] [CrossRef] [PubMed]
- Kocabora, M.S.; Durmaz, S.; Kandemir, N. Exacerbation of central serous chorioretinopathy following intravitreal triamcinolone injection. Graefe’s Arch. Clin. Exp. Ophthalmol. 2008, 246, 1783–1786. [Google Scholar] [CrossRef] [PubMed]
- Imasawa, M.; Ohshiro, T.; Gotoh, T.; Imai, M.; Iijima, H. Central serous chorioretinopathy following vitrectomy with intravitreal triamcinolone acetonide for diabetic macular oedema. Acta Ophthalmol. Scand. 2005, 83, 132–133. [Google Scholar] [CrossRef]
- Narayanan, R.; Mungcal, J.K.; Kenney, M.C.; Seigel, G.M.; Kuppermann, B.D. Toxicity of Triamcinolone Acetonide on Retinal Neurosensory and Pigment Epithelial Cells. Investig. Ophthalmol. Vis. Sci. 2006, 42, 722–728. [Google Scholar] [CrossRef]
- Araki, T.; Ishikawa, H.; Iwahashi, C.; Niki, M.; Mitamura, Y.; Sugimoto, M.; Kondo, M.; Kinoshita, T.; Nishi, T.; Ueda, T.; et al. Central serous chorioretinopathy with and without steroids: A multicenter survey. PLoS ONE 2019, 14, e0213110. [Google Scholar] [CrossRef] [Green Version]
- Han, J.M.; Hwang, J.M.; Kim, J.S.; Park, K.H.; Woo, S.J. Changes in choroidal thickness after systemic administration of high-dose corticosteroids: A pilot study. Investig. Ophthalmol. Vis. Sci. 2014, 55, 440–445. [Google Scholar] [CrossRef] [Green Version]
- Sanjay, S.; Gowda, P.B.; Rao, B.; Mutalik, D.; Mahendradas, P.; Kawali, A.; Shetty, R. “Old wine in a new bottle”—Post COVID-19 infection, central serous chorioretinopathy and the steroids. J. Ophthalmic. Inflamm. Infect. 2021, 11, 14. [Google Scholar] [CrossRef]
- Nakatsuka, A.S.; Khanamiri, H.N.; Lam, Q.N.; El-Annan, J. Intranasal Corticosteroids and central serous chorioretinopathy: A report and review of the literature. Hawaii J. Med. Public Health 2019, 78, 151–154. [Google Scholar] [PubMed]
- Carvalho-Recchia, C.A.; Yannuzzi, L.A.; Negrão, S.; Spaide, R.F.; Freund, K.B.; Rodriguez-Coleman, H.; Lenharo, M.; Iida, T. Corticosteroids and central serous chorioretinopathy. Ophthalmology 2002, 109, 1834–1837. [Google Scholar] [CrossRef]
- Zhao, M.; Célérier, I.; Bousquet, E.; Jeanny, J.C.; Jonet, L.; Savoldelli, M.; Offret, O.; Curan, A.; Farman, N.; Jaisser, F.; et al. Mineralocorticoid receptor is involved in rat and human ocular chorioretinopathy. J. Clin. Investig. 2012, 122, 2672–2679. [Google Scholar] [CrossRef] [PubMed]








Publisher’s Note: MDPI stays neutral with regard to jurisdictional claims in published maps and institutional affiliations. |
© 2022 by the authors. Licensee MDPI, Basel, Switzerland. This article is an open access article distributed under the terms and conditions of the Creative Commons Attribution (CC BY) license (https://creativecommons.org/licenses/by/4.0/).
Share and Cite
Chrząszcz, M.; Mackiewicz, N.; Pociej-Marciak, W.; Romanowska-Dixon, B.; Kubicka-Trząska, A.; Gawęcki, M.; Karska-Basta, I. Diagnostic and Therapeutic Challenges in a Patient with Radiation Retinopathy Complicated by Corticosteroid-Induced Central Serous Chorioretinopathy. Medicina 2022, 58, 862. https://doi.org/10.3390/medicina58070862
Chrząszcz M, Mackiewicz N, Pociej-Marciak W, Romanowska-Dixon B, Kubicka-Trząska A, Gawęcki M, Karska-Basta I. Diagnostic and Therapeutic Challenges in a Patient with Radiation Retinopathy Complicated by Corticosteroid-Induced Central Serous Chorioretinopathy. Medicina. 2022; 58(7):862. https://doi.org/10.3390/medicina58070862
Chicago/Turabian StyleChrząszcz, Michał, Natalia Mackiewicz, Weronika Pociej-Marciak, Bożena Romanowska-Dixon, Agnieszka Kubicka-Trząska, Maciej Gawęcki, and Izabella Karska-Basta. 2022. "Diagnostic and Therapeutic Challenges in a Patient with Radiation Retinopathy Complicated by Corticosteroid-Induced Central Serous Chorioretinopathy" Medicina 58, no. 7: 862. https://doi.org/10.3390/medicina58070862
APA StyleChrząszcz, M., Mackiewicz, N., Pociej-Marciak, W., Romanowska-Dixon, B., Kubicka-Trząska, A., Gawęcki, M., & Karska-Basta, I. (2022). Diagnostic and Therapeutic Challenges in a Patient with Radiation Retinopathy Complicated by Corticosteroid-Induced Central Serous Chorioretinopathy. Medicina, 58(7), 862. https://doi.org/10.3390/medicina58070862

