Computed Tomography-Based Investigation on the Effects of Intravenous Bisphosphonate Administration on Tooth Growth in a Minipig Animal Model
Abstract
:1. Introduction
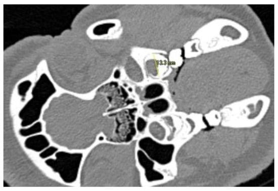
2. Materials and Methods
Statistical Anlysis
3. Results
4. Discussion
5. Conclusions
Author Contributions
Funding
Institutional Review Board Statement
Informed Consent Statement
Data Availability Statement
Conflicts of Interest
References
- Russell, R.G.G. Bisphosphonates: The first 40 years. Bone 2011, 49, 2–19. [Google Scholar] [CrossRef]
- Van Beek, E.; Löwik, C.; Que, I.; Papapoulos, S. Dissociation of binding and antiresorptive properties of hydroxybisphosphonates by substitution of the hydroxyl with an amino group. J. Bone Miner. Res. 1996, 11, 1492–1497. [Google Scholar] [CrossRef] [PubMed]
- Van Beek, E.; Pieterman, E.; Cohen, L.; Löwik, C.; Papapoulos, S. Farnesyl pyrophosphate synthase is the molecular target of nitrogen-containing bisphosphonates. Biochem. Biophys. Res. Commun. 1999, 264, 108–111. [Google Scholar] [CrossRef] [PubMed]
- Bhatt, R.; Hibbert, S.; Munns, C. The use of bisphosphonates in children: Review of the literature and guidelines for dental management. Aust. Dent. J. 2014, 59, 9–19. [Google Scholar] [CrossRef]
- Aghaloo, T.; Hazboun, R.; Tetradis, S. Pathophysiology of Osteonecrosis of the Jaws. Oral. Maxillofac. Surg. Clin. N. Am. 2015, 27, 489–496. [Google Scholar] [CrossRef] [PubMed]
- Kamoun-Goldrat, A.; Ginisty, D.; Merrer, M.L. Effects of bisphosphonates on tooth eruption in children with osteogenesis imperfecta. Eur. J. Oral. Sci. 2008, 116, 195–198. [Google Scholar] [CrossRef] [PubMed]
- Bradaschia-Correa, V.; Massa, L.F.; Arana-Chavez, V.E. Effects of alendronate on tooth eruption and molar root formation in young growing rats. Cell Tissue Res. 2007, 330, 475–485. [Google Scholar] [CrossRef]
- Hiraga, T.; Ninomiya, T.; Hosoya, A.; Nakamura, H. Administration of the Bisphosphonate Zoledronic Acid During Tooth Development Inhibits Tooth Eruption and Formation and Induces Dental Abnormalities in Rats. Calcif. Tissue Int. 2010, 86, 502–510. [Google Scholar] [CrossRef]
- Vuorimies, I.; Arponen, H.; Valta, H.; Tiesalo, O.; Ekholm, M.; Ranta, H.; Evälahti, M.; Mäkitie, O.; Waltimo-Sirén, J. Timing of dental development in osteogenesis imperfecta patients with and without bisphosphonate treatment. Bone 2017, 94, 29–33. [Google Scholar] [CrossRef]
- Basso, F.G.; Turrioni, A.P.; Hebling, J.; Costa, C.A.D.S. Effects of zoledronic acid on odontoblast-like cells. Arch. Oral. Biol. 2013, 58, 467–473. [Google Scholar] [CrossRef]
- Soares, A.P.; do Espírito Santo, R.F.; Line, S.R.P.; Pinto, M.D.G.F.; de Moura Santos, P.; Toralles, M.B.P.; do Espírito Santo, A.R. Bisphosphonates: Pharmacokinetics, bioavailability, mechanisms of action, clinical applications in children, and effects on tooth development. Environ. Toxicol. Pharmacol. 2016, 42, 212–217. [Google Scholar] [CrossRef] [PubMed]
- Otto, S.; Pautke, C.; Jurado, O.M.; Nehrbass, D.; Stoddart, M.J.; Ehrenfeld, M.; Zeiter, S. Further development of the MRONJ minipig large animal model. J. Cranio-Maxillofac. Surg. 2017, 45, 1503–1514. [Google Scholar] [CrossRef] [PubMed]
- Pautke, C.; Kreutzer, K.; Weitz, J.; Knödler, M.; Münzel, D.; Wexel, G.; Otto, S.; Hapfelmeier, A.; Stürzenbaum, S.; Tischer, T. Bisphosphonate related osteonecrosis of the jaw: A minipig large animal model. Bone 2012, 51, 592–599. [Google Scholar] [CrossRef] [PubMed]
- Nowicki, B.; Nehrbass, D.; Arens, D.; Stadelmann, V.A.; Zeiter, S.; Otto, S.; Kircher, P.; Stoddart, M.J. Medication-related osteonecrosis of the jaw in a minipig model: Parameters for developing a macroscopic, radiological, and microscopic grading scheme. J. Cranio-Maxillofac. Surg. 2019, 47, 1162–1169. [Google Scholar] [CrossRef] [PubMed]
- Mosekilde, L.; Kragstrup, J.; Richards, A. Compressive strength, ash weight, and volume of vertebral trabecular bone in experimental fluorosis in pigs. Calcif. Tissue Int. 1987, 40, 318–322. [Google Scholar] [CrossRef] [PubMed]
- Thorwarth, M.; Schultze-Mosgau, S.; Kessler, P.; Wiltfang, J.; Schlegel, K.A. Bone Regeneration in Osseous Defects Using a Resorbable Nanoparticular Hydroxyapatite. J. Oral Maxillofac. Surg. 2005, 63, 1626–1633. [Google Scholar] [CrossRef]
- Weaver, M.E.; Sorenson, F.M.; Jump, E.B. The miniature pig as an experimental animal in dental 220 research. Arch. Oral. Biol. 1962, 7, 17–23. [Google Scholar] [CrossRef]
- Lavelle, C.L. Maxillary and mandibular tooth size in different racial groups and in different occlusal categories. Am. J. Ortho. 1972, 61, 29–37. [Google Scholar] [CrossRef]
- Lézot, F.; Chesneau, J.; Battaglia, S.; Brion, R.; Castaneda, B.; Farges, J.C.; Heymann, D.; Rédini, F. Preclinical evidence of potential craniofacial adverse effect of zoledronic acid in pediatric patients with bone malignancies. Bone 2014, 68, 146–152. [Google Scholar] [CrossRef]
- Grier, R.L.; Wise, G.E. Inhibition of tooth eruption in the rat by a bisphosphonate. J. Dent. Res. 1998, 77, 8–15. [Google Scholar] [CrossRef]
- Gama, A.; Navet, B.; Vargas, J.W.; Castañeda, B.; Lézot, F. Bone resorption: An actor of dental and periodontal development? Front. Physiol. 2015, 6, 319. [Google Scholar] [CrossRef] [PubMed]


| Sectional Plane | Measurement Axis | Anatomical Orientation |
|---|---|---|
| Axial | coronal-apical | Parallel with nasal septum and central through tooth |
| buccal-oral | Parallel with palatal vault and at the level of the alveolar margin | |
| Coronal | mesial-distal | Central at the level of the alveolar ridge and central through the tooth |
| buccal-oral | Orthogonal with palatine suture and central through tooth | |
| Sagittal | mesial-distal | Central through pulp cavity |
| coronal-apical | Orthogonal with alveolar ridge and central through tooth |
| Group 1 (No ZOL-Administration) | Group 2 (ZOL Administration) | p-Value | |
|---|---|---|---|
| Mesial-distal | 0.029 ± 0.006 | 0.002 ± 0.005 | 0.0001 |
| Buccal-oral | 0.027 ± 0.028 | 0.002 ± 0.003 | 0.022 |
| Coronal-apical | 0.123 ± 0.117 | 0.005 ± 0.009 | 0.013 |
Publisher’s Note: MDPI stays neutral with regard to jurisdictional claims in published maps and institutional affiliations. |
© 2022 by the authors. Licensee MDPI, Basel, Switzerland. This article is an open access article distributed under the terms and conditions of the Creative Commons Attribution (CC BY) license (https://creativecommons.org/licenses/by/4.0/).
Share and Cite
Poxleitner, P.; Voss, P.J.; Steybe, D.; Seibert, L.-M.; Zeiter, S.; Stoddart, M.J.; Schmelzeisen, R.; Otto, S. Computed Tomography-Based Investigation on the Effects of Intravenous Bisphosphonate Administration on Tooth Growth in a Minipig Animal Model. Medicina 2022, 58, 778. https://doi.org/10.3390/medicina58060778
Poxleitner P, Voss PJ, Steybe D, Seibert L-M, Zeiter S, Stoddart MJ, Schmelzeisen R, Otto S. Computed Tomography-Based Investigation on the Effects of Intravenous Bisphosphonate Administration on Tooth Growth in a Minipig Animal Model. Medicina. 2022; 58(6):778. https://doi.org/10.3390/medicina58060778
Chicago/Turabian StylePoxleitner, Philipp, Pit J. Voss, David Steybe, Lisa-Marie Seibert, Stephan Zeiter, Martin J. Stoddart, Rainer Schmelzeisen, and Sven Otto. 2022. "Computed Tomography-Based Investigation on the Effects of Intravenous Bisphosphonate Administration on Tooth Growth in a Minipig Animal Model" Medicina 58, no. 6: 778. https://doi.org/10.3390/medicina58060778
APA StylePoxleitner, P., Voss, P. J., Steybe, D., Seibert, L.-M., Zeiter, S., Stoddart, M. J., Schmelzeisen, R., & Otto, S. (2022). Computed Tomography-Based Investigation on the Effects of Intravenous Bisphosphonate Administration on Tooth Growth in a Minipig Animal Model. Medicina, 58(6), 778. https://doi.org/10.3390/medicina58060778

