Isolated Spleen Metastases of Endometrial Cancer: A Case Report
Abstract
1. Introduction
2. Case Presentation
2.1. Chief Complaints
2.2. History of Past Illness
2.3. Physical Examination
2.4. Laboratory Testing
2.5. Imaging Examination
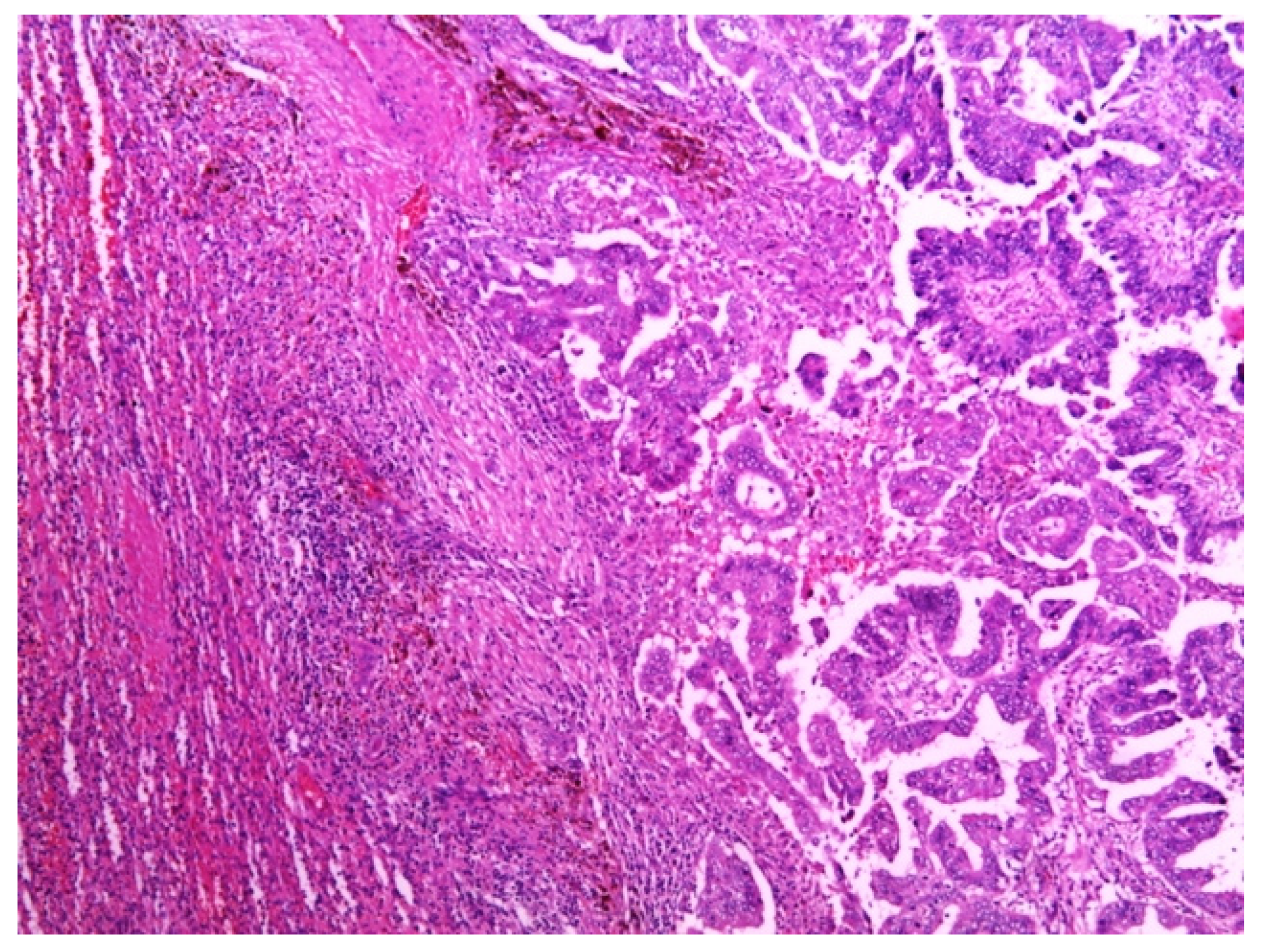
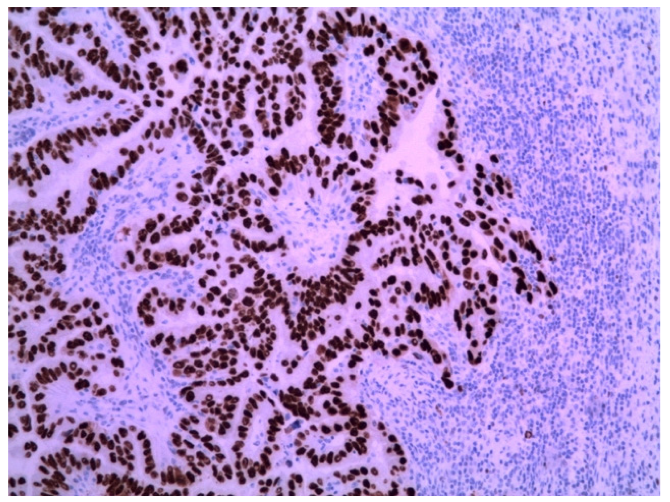
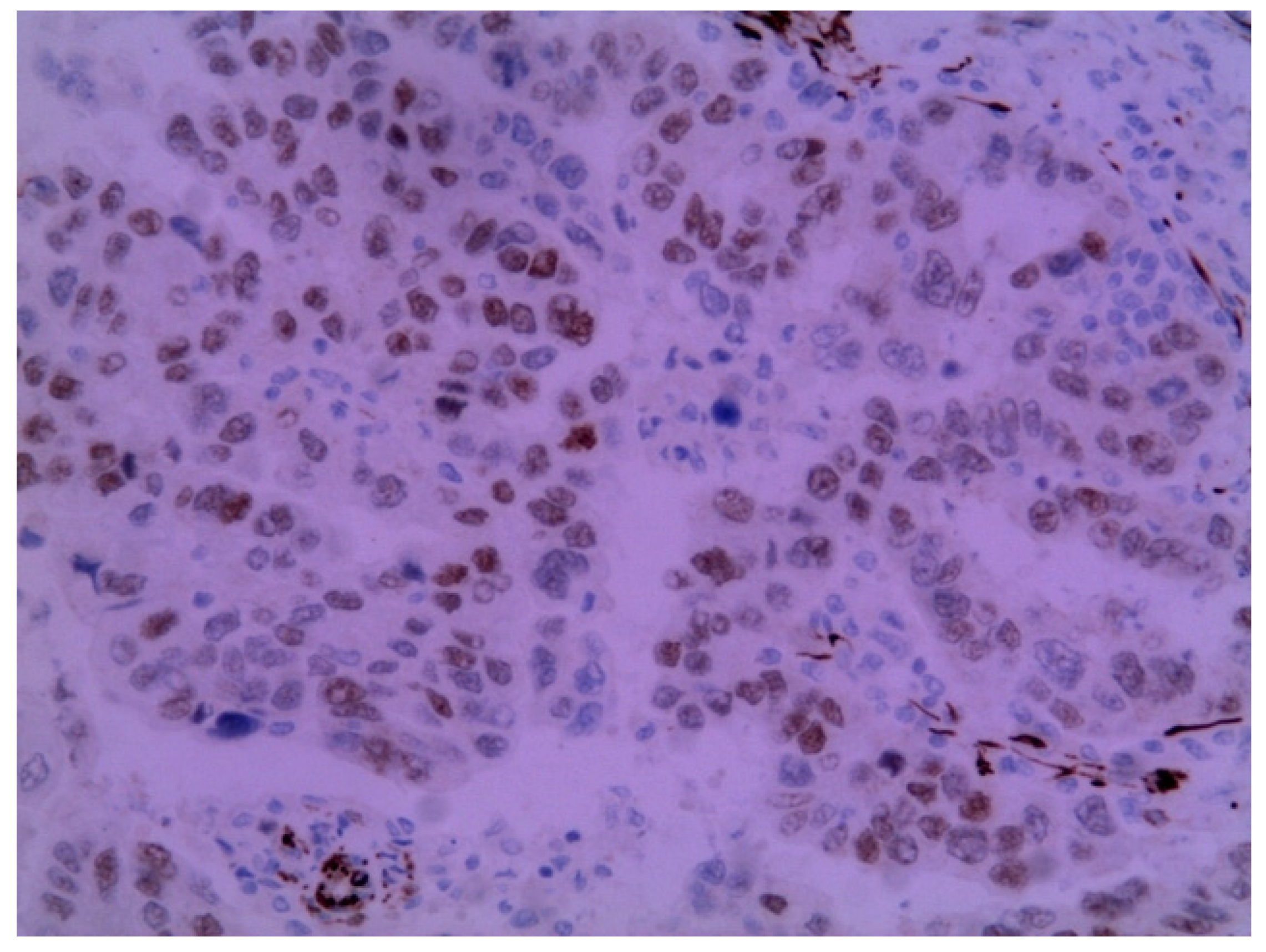
3. Multidisciplinary Expert Consultation and Final Diagnosis
4. Treatment
5. Outcome and Follow-Up
6. Discussion
7. Conclusions
Author Contributions
Funding
Institutional Review Board Statement
Informed Consent Statement
Data Availability Statement
Conflicts of Interest
References
- Compérat, E.; Bardier-Dupas, A.; Camparo, P.; Capron, F.; Charlotte, F. Splenic Metastases: Clinicopathologic Presentation, Differential Diagnosis, and Pathogenesis. Arch. Pathol. Lab. Med. 2007, 131, 965–969. [Google Scholar] [CrossRef] [PubMed]
- Furukawa, N. Solitary splenic metastasis of ovarian cancer. Arch. Gynecol. Obstet. 2007, 275, 499–502. [Google Scholar] [CrossRef] [PubMed]
- Resta, G.; Vedana, L.; Marino, S.; Scagliarini, L.; Bandi, M.; Anania, G. Isolated splenic metastasis of ovaric cancer. Case report and literature review. G. Chir. 2014, 35, 181–184. [Google Scholar] [CrossRef]
- Rosa, N.; Martins, S.; Lamelas, J. Isolated splenic metastasis of colon cancer: A case report and literature review. J. Coloproctol. 2012, 32, 88–93. [Google Scholar] [CrossRef]
- Tang, H.; Huang, H.; Xiu, Q.; Shi, Z. Isolated splenic metastasis from lung cancer: Ringleader of continuous fever. Eur. Respir. Rev. 2010, 19, 253–256. [Google Scholar] [CrossRef]
- Giuliani, A.; Caporale, A.; Di Bari, M.; Demoro, M.; Mingazzini, P. Isolated splenic metastasis from endometrial carcinoma. J. Exp. Clin. Cancer Res. 1999, 18, 93–96. [Google Scholar] [PubMed]
- Arend, P.; Amuli, M.; Algaba, R.; Blondiau, J.V.; Wauters, G.; Chamiec, M.; Malarme, M.; Ardichvilli, D.; Van Gysel, J.P. Métastase splénique unique d’un adénocarcinome de l’endomètre. A propos d’un cas et revue de la littérature [Solitary splenic metastasis of endometrial adenocarcinoma. A case report and review of the literature]. J. Gynecol. Obstet. Biol. Reprod. (Paris) 1992, 21, 182–184. [Google Scholar]
- Andrei, S.; Preda, C.; Andrei, A.; Becheanu, G.; Herlea, V.; Lupescu, I.; Popescu, I. Isolated splenic metastasis of endometrial adenocarcinoma--a case report. Chirurgia 2012, 106, 833–887. [Google Scholar]
- Piura, B.; Rabinovich, A.; Apel-Sarid, L.; Shaco-Levy, R. Splenic metastasis from endometrial carcinoma: Report of a case and review of literature. Arch. Gynecol. Obstet. 2009, 280, 1001–1006. [Google Scholar] [CrossRef]
- Sauer, J.; Sobolewski, K.; Dommisch, K. Splenic metastases—Not a frequent problem, but an underestimate location of metastases: Epidemiology and course. J. Cancer Res. Clin. Oncol. 2008, 135, 667–671. [Google Scholar] [CrossRef]
- Metser, U.; Miller, E.; Kessler, A.; Lerman, H.; Lievshitz, G.; Oren, R.; Even-Sapir, E. Solid splenic masses: Evaluation with 18F-FDG PET/CT. J. Nucl. Med. 2005, 46, 52–59. [Google Scholar] [CrossRef] [PubMed]
- Opocher, E.; Santambrogio, R.; Bianchi, P.; Cioffi, U.; De Simone, M.; Vellini, S.; Montorsi, M. Isolated splenic metastasis from gastric carcinoma: Value of CEA and CA 19-9 in early diagnosis: Report of two cases. Am. J. Clin. Oncol. 2000, 23, 579–580. [Google Scholar] [CrossRef] [PubMed]
- Cavanna, L.; Lazzaro, A.; Vallisa, D.; Civardi, G.; Artioli, F. Role of image-guided fine-needle aspiration biopsy in the management of patients with splenic metastasis. World J. Surg. Oncol. 2007, 5, 13. [Google Scholar] [CrossRef][Green Version]
- Pissarra, A.P.; Cunha, T.M.; Mata, S.; Félix, A. Synchronous splenic metastasis of endometrial carcinoma. BMJ Case Rep. 2019, 12, e230957. [Google Scholar] [CrossRef]
- Keogan, M.T.; Freed, K.S.; Paulson, E.K.; Nelson, R.C.; Dodd, L.G. Imaging-guided percutaneous biopsy of focal splenic lesions: Update on safety and effectiveness. Am. J. Roentgenol. 1999, 172, 933–937. [Google Scholar] [CrossRef] [PubMed]
- Lee, S.S.; Morgenstern, L.; Phillips, E.H.; Hiatt, J.R.; Margulies, D.R. Splenectomy for splenic metastases: A changing clinical spectrum. Am. Surg. 2000, 66, 837–840. [Google Scholar] [PubMed]
- Hashizume, M.; Tanoue, K.; Akahoshi, T.; Morita, M.; Ohta, M.; Tomikawa, M.; Sugimachi, K. Laparoscopic splenectomy: The latest modern technique. Hepatogastroenterology 1999, 46, 820–824. [Google Scholar]
- Sharma, D.; Shukla, V. Laparoscopic Splenectomy: 16 years since Delaitre with review of current literature. Surg. Laparosc. Endosc. Percutaneous Tech. 2009, 19, 190–194. [Google Scholar] [CrossRef]
- Makrin, V.; Avital, S.; White, I.; Sagie, B.; Szold, A. Laparoscopic splenectomy for solitary splenic tumors. Surg. Endosc. 2008, 22, 2009–2012. [Google Scholar] [CrossRef]
- Otrock, Z.; Seoud, M.; Khalifeh, M.; Makarem, J.; Shamseddine, A. Laparoscopic splenectomy for isolated parenchymal splenic metastasis of ovarian cancer. Int. J. Gynecol. Cancer 2006, 16, 1933–1935. [Google Scholar] [CrossRef]
- Han, E.S.; You, Y.K.; Kim, D.G.; Lee, J.S.; Kim, E.Y.; Lee, S.H.; Hong, T.H.; Na, G.H. Clinical significance of single-port laparoscopic splenectomy: Comparison of single-port and multiport laparoscopic procedure. Ann. Surg. Treat. Res. 2015, 89, 55–60. [Google Scholar] [CrossRef] [PubMed][Green Version]
- Gallotta, V.; D’Indinosante, M.; Nero, C.; Giudice, M.T.; Conte, C.; Lodoli, C.; Zannoni, G.F.; Fagotti, A.; Scambia, G. Robotic Splenectomy for Isolated Splenic Recurrence of Endometrial Adenocarcinoma. J. Minim. Invasive Gynecol. 2018, 25, 774–775. [Google Scholar] [CrossRef] [PubMed]





Publisher’s Note: MDPI stays neutral with regard to jurisdictional claims in published maps and institutional affiliations. |
© 2022 by the authors. Licensee MDPI, Basel, Switzerland. This article is an open access article distributed under the terms and conditions of the Creative Commons Attribution (CC BY) license (https://creativecommons.org/licenses/by/4.0/).
Share and Cite
Stojanovic, M.M.; Brzački, V.; Zivadinovic, J.D.; Ignjatovic, N.S.; Gmijovic, M.D.; Djordjevic, M.N.; Golubovic, I.; Nikolić, N.G.; Bojanic, N.Z.; Stojanovic, M.P. Isolated Spleen Metastases of Endometrial Cancer: A Case Report. Medicina 2022, 58, 592. https://doi.org/10.3390/medicina58050592
Stojanovic MM, Brzački V, Zivadinovic JD, Ignjatovic NS, Gmijovic MD, Djordjevic MN, Golubovic I, Nikolić NG, Bojanic NZ, Stojanovic MP. Isolated Spleen Metastases of Endometrial Cancer: A Case Report. Medicina. 2022; 58(5):592. https://doi.org/10.3390/medicina58050592
Chicago/Turabian StyleStojanovic, Marko M., Vesna Brzački, Jelena D. Zivadinovic, Nebojsa S. Ignjatovic, Marko D. Gmijovic, Miodrag N. Djordjevic, Ilija Golubovic, Nada G. Nikolić, Novica Z. Bojanic, and Miroslav P. Stojanovic. 2022. "Isolated Spleen Metastases of Endometrial Cancer: A Case Report" Medicina 58, no. 5: 592. https://doi.org/10.3390/medicina58050592
APA StyleStojanovic, M. M., Brzački, V., Zivadinovic, J. D., Ignjatovic, N. S., Gmijovic, M. D., Djordjevic, M. N., Golubovic, I., Nikolić, N. G., Bojanic, N. Z., & Stojanovic, M. P. (2022). Isolated Spleen Metastases of Endometrial Cancer: A Case Report. Medicina, 58(5), 592. https://doi.org/10.3390/medicina58050592

