Primary Fallopian Tube Carcinoma Presenting with a Massive Inguinal Tumor: A Case Report and Literature Review
Abstract
:1. Introduction
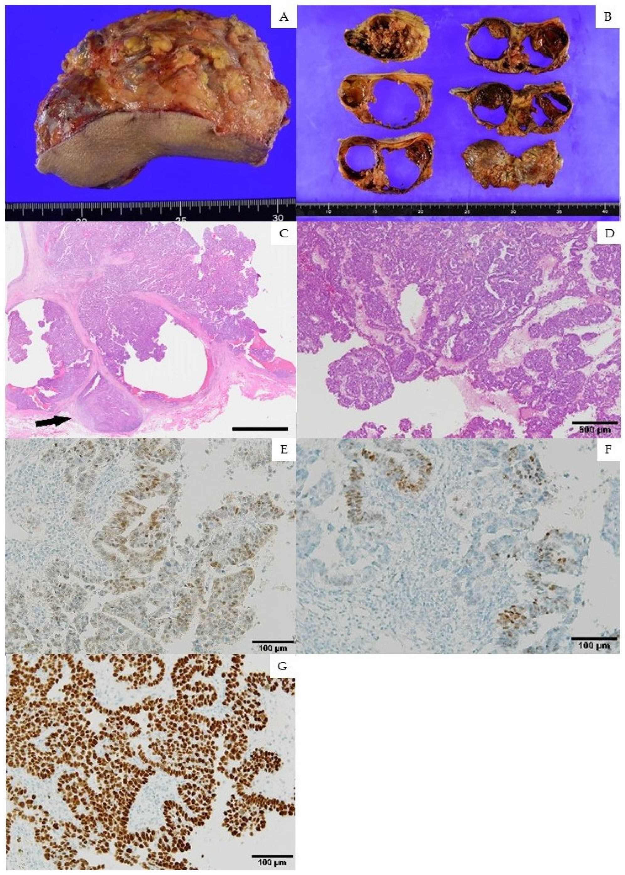
2. Case Presentation
3. Discussion
4. Conclusions
Author Contributions
Funding
Institutional Review Board Statement
Informed Consent Statement
Data Availability Statement
Conflicts of Interest
References
- Stasenko, M.; Fillipova, O.; Tew, W.P. Fallopian Tube Carcinoma. J. Oncol. Pract. 2019, 15, 375–382. [Google Scholar] [CrossRef]
- Berek, J.S.; Renz, M.; Kehoe, S.; Kumar, L.; Friedlander, M. Cancer of the ovary, fallopian tube, and peritoneum: 2021 update. Int. J. Gynecol. Obstet. 2021, 155, 61–85. [Google Scholar] [CrossRef]
- Crum, C.P.; Drapkin, R.; Miron, A.; Ince, T.; Muto, M.; Kindelberger, D.W.; Lee, Y. The distal fallopian tube: A new model for pelvic serous carcinogenesis. Curr. Opin. Obstet. Gynecol. 2007, 19, 3–9. [Google Scholar] [CrossRef] [PubMed]
- Kurman, R.J.; Shih, I.M. The origin and pathogenesis of epithelial ovarian cancer: A proposed unifying theory. Am. J. Surg. Pathol. 2010, 34, 433–443. [Google Scholar] [CrossRef] [Green Version]
- Przybycin, C.G.; Kurman, R.J.; Ronnett, B.M.; Shih, I.-M.; Vang, R. Are All Pelvic (Nonuterine) Serous Carcinomas of Tubal Origin? Am. J. Surg. Pathol. 2010, 34, 1407–1416. [Google Scholar] [CrossRef]
- Usach, I.; Blansit, K.; Chen, L.M.; Ueda, S.; Brooks, R.; Kapp, D.S.; Chan, J.K. Survival differences in women with serous tubal, ovarian, peritoneal, and uterine carcinomas. Am. J. Obstet. Gynecol. 2015, 212, 188.e1–188.e6. [Google Scholar] [CrossRef]
- Stewart, S.L.; Wike, J.M.; Foster, S.L.; Michaud, F. The incidence of primary fallopian tube cancer in the United States. Gynecol. Oncol. 2007, 107, 392–397. [Google Scholar] [CrossRef] [PubMed] [Green Version]
- Alvarado-Cabrero, I.; Young, R.H.; Vamvakas, E.C.; Scully, R.E. Carcinoma of the Fallopian Tube: A Clinicopathological Study of 105 Cases with Observations on Staging and Prognostic Factors. Gynecol. Oncol. 1999, 72, 367–379. [Google Scholar] [CrossRef]
- Goff, B.A.; Mandel, L.S.; Melancon, C.H.; Muntz, H.G. Frequency of Symptoms of Ovarian Cancer in Women Presenting to Primary Care Clinics. J. Am. Med Assoc. 2004, 291, 2705–2712. [Google Scholar] [CrossRef] [PubMed] [Green Version]
- Huepenbecker, S.P.; Sun, C.C.; Fu, S.; Zhao, H.; Primm, K.; Giordano, S.H.; Meyer, L.A. Factors impacting the time to ovarian cancer diagnosis based on classic symptom presentation in the United States. Cancer 2021, 127, 4151–4160. [Google Scholar] [CrossRef]
- Sakurai, N.; Tateoka, K.; Fukaya, K.; Terada, T.; Kubushiro, K. Supraclavicular lymph node metastasis as the initial presentation of primary fallopian tube carcinoma. Int. J. Clin. Oncol. 2010, 15, 301–304. [Google Scholar] [CrossRef] [PubMed]
- Scholz, H.S.; Lax, S.; Tamussino, K.F.; Benedicic, C.; Petru, E. Long-term survival of a patient with fallopian tube cancer presenting with a supraclavicular mass. Anticancer Res. 2001, 20, 4801–4802. [Google Scholar]
- Suh, D.H.; Chang, S.-J.; Song, T.; Lee, S.; Kang, W.D.; Lee, S.J.; Roh, J.-W.; Joo, W.D.; Yoon, J.H.; Jeong, D.H.; et al. Practice guidelines for management of ovarian cancer in Korea: A Korean Society of Gynecologic Oncology Consensus Statement. J. Gynecol. Oncol. 2018, 29, e56. [Google Scholar] [CrossRef] [PubMed]
- Zeppernick, F.; Meinhold-Heerlein, I. The new FIGO staging system for ovarian, fallopian tube, and primary peritoneal cancer. Arch. Gynecol. Obstet. 2014, 290, 839–842. [Google Scholar] [CrossRef] [PubMed]
- Liao, C.-I.; Chow, S.; Chen, L.-M.; Kapp, D.S.; Mann, A.; Chan, J.K. Trends in the incidence of serous fallopian tube, ovarian, and peritoneal cancer in the US. Gynecol. Oncol. 2018, 149, 318–323. [Google Scholar] [CrossRef]
- Mandelbaum, R.S.; Adams, C.L.; Yoshihara, K.; Nusbaum, D.J.; Matsuzaki, S.; Matsushima, K.; Klar, M.; Paulson, R.J.; Roman, L.D.; Wright, J.D.; et al. The rapid adoption of opportunistic salpingectomy at the time of hysterectomy for benign gynecologic disease in the United States. Am. J. Obstet. Gynecol. 2020, 223, 721.e1–721.e18. [Google Scholar] [CrossRef]
- Piek, J.; Van Diest, P.J.; Zweemer, R.P.; Jansen, J.W.; Poort-Keesom, R.J.J.; Menko, F.H.; Gille, J.; Jongsma, A.P.M.; Pals, G.; Kenemans, P. Dysplastic changes in prophylactically removed Fallopian tubes of women predisposed to developing ovarian cancer. J. Pathol. 2001, 195, 451–456. [Google Scholar] [CrossRef] [PubMed]
- Rice, M.S.; Hankinson, S.E.; Tworoger, S. Tubal ligation, hysterectomy, unilateral oophorectomy, and risk of ovarian cancer in the Nurses’ Health Studies. Fertil. Steril. 2014, 102, 192–198.e3. [Google Scholar] [CrossRef] [PubMed] [Green Version]
- ACOG Committee. Opinion No. 774 Summary: Opportunistic Salpingectomy as a Strategy for Epithelial Ovarian Cancer Prevention. Obs. Gynecol. 2019, 133, 842–843. [Google Scholar] [CrossRef]
- Falconer, H.; Yin, L.; Grönberg, H.; Altman, D. Ovarian Cancer Risk After Salpingectomy: A Nationwide Population-Based Study. J. Natl. Cancer Inst. 2014, 107, dju410. [Google Scholar] [CrossRef] [Green Version]
- Page, M.J.; McKenzie, J.; Bossuyt, P.M.; Boutron, I.; Hoffmann, T.C.; Mulrow, C.D.; Shamseer, L.; Tetzlaff, J.M.; Moher, D. Updating guidance for reporting systematic reviews: Development of the PRISMA 2020 statement. J. Clin. Epidemiol. 2021, 134, 103–112. [Google Scholar] [CrossRef] [PubMed]
- Matsuzaki, S.; Nagase, Y.; Ueda, Y.; Kakuda, M.; Maeda, M.; Matsuzaki, S.; Kamiura, S. Placenta Previa Complicated with Endometriosis: Contemporary Clinical Management, Molecular Mechanisms, and Future Research Opportunities. Biomedicines 2021, 9, 1536. [Google Scholar] [CrossRef]
- Matsuzaki, S.; Klar, M.; Chang, E.J.; Matsuzaki, S.; Maeda, M.; Zhang, R.H.; Roman, L.D.; Matsuo, K. Minimally Invasive Surgery and Surgical Volume-Specific Survival and Perioperative Outcome: Unmet Need for Evidence in Gynecologic Malignancy. J. Clin. Med. 2021, 10, 4787. [Google Scholar] [CrossRef] [PubMed]
- Matsuzaki, S.; Ueda, Y.; Nagase, Y.; Matsuzaki, S.; Kakuda, M.; Kakuda, S.; Sakaguchi, H.; Hisa, T.; Kamiura, S. Placenta Accreta Spectrum Disorder Complicated with Endometriosis: Systematic Review and Meta-Analysis. Biomedicines 2022, 10, 390. [Google Scholar] [CrossRef]
- Bacalbaşa, N.; Balescu, I.; Bălălău, C.; Ionescu, O.; Stoica, C. Normal Size Ovary Carcinoma Syndrome with Inguinal Ovarian Cancer Lymph Node Metastases—A Case Report and Literature Review. In Vivo 2018, 32, 385–389. [Google Scholar]
- Metwally, I.H.; Zuhdy, M.; Hassan, A.; Alghandour, R.; Megahed, N. Ovarian cancer with metastatic inguinal lymphadenopathy: A case series and literature review. J. Egypt. Natl. Cancer Inst. 2017, 29, 109–114. [Google Scholar] [CrossRef]
- Yang, X.-J.; Zheng, F.-Y.; Xu, Y.-S.; Ou, R.-Y. Ovarian cancer initially presenting with isolated ipsilateral superficial inguinal lymph node metastasis: A case study and review of the literature. J. Ovarian Res. 2014, 7, 20. [Google Scholar] [CrossRef] [Green Version]
- Deka, P.; Shrivastava, S.; Barmon, D.; Kataki, A.C.; Sarma, A. Ovarian carcinoma in normal size ovaries with inguinal lymph node metastasis: A case report inhibitor-like mechanism. J. Cancer Ther. Res. 2013, 2, 3. [Google Scholar] [CrossRef]
- Oei, A.L.; de Hullu, J.A.; Grefte, J.M.; Havenith, B.P. An enlarged groin node as first manifestation of a malignancy: Don’t forget the ovaries. Eur. J. Obstet. Gynecol. Reprod. Biol. 2008, 138, 240–242. [Google Scholar] [CrossRef] [PubMed]
- Ang, D.; Ng, K.-Y.; Tan, H.-K.; Chung, A.Y.F.; Yew, B.-S.; Lee, V.K.M. Ovarian carcinoma presenting with isolated contralateral inguinal lymph node metastasis: A case report. Ann. Acad. Med. Singap. 2007, 36, 427–430. [Google Scholar]
- Cho, J.; Grumbine, F.C.; Diaz-Montes, T.P. Inguinal node metastasis as the initial presentation of primary fallopian tube cancer. Gynecol. Oncol. 2006, 103, 759–762. [Google Scholar] [CrossRef] [PubMed]
- Manci, N.; Bellati, F.; Graziano, M.; Pernice, M.; Muzii, L.; Angioli, R.; Panici, P.B. Ovarian cancer, diagnosed with PET, with bilateral inguinal lymphadenopathy as primary presenting sign. Gynecol. Oncol. 2006, 100, 621–622. [Google Scholar] [CrossRef] [PubMed]
- Winter-Roach, B.A.; Tjalma, W.A.; Nordin, A.J.; Naik, R.; Lopes, A.D.B.; Monaghan, J.M. Inguinal Lymph Node Metastasis: An Unusual Presentation of Fallopian Tube Carcinoma. Gynecol. Oncol. 2001, 81, 324–325. [Google Scholar] [CrossRef]
- Cormio, G.; Gabriele, A.; Rota, S.M.; Perego, P.; Cantu, M.G.; Zanetta, G.; Maneo, A. Massive Groin Node Metastasis as Presenting Sign of Squamous Cell Carcinoma of the Fallopian Tube. Aust. N. Zeal. J. Obstet. Gynaecol. 1996, 36, 102–103. [Google Scholar] [CrossRef]
- Kehoe, S.; Luesley, D.; Rollason, T. Ovarian Carcinoma Presenting with Inguinal Metastatic Lymphadenopathy 33 Months Prior to Intraabdominal Disease. Gynecol. Oncol. 1993, 50, 128–130. [Google Scholar] [CrossRef]
- Mcgonigle, K.F.; Dudzinski, M.R. Endometrioid carcinoma of the ovary presenting with an enlarged inguinal lymph node without evidence of abdominal carcinomatosis. Gynecol. Oncol. 1992, 45, 225–228. [Google Scholar] [CrossRef]
- Shulman, A.; Ratzan, W.J.; Izenberg, D. Primary ovarian cystadenocarcinoma: Solitary metastasis to contralateral inguinal lymph node. Am. J. Obstet. Gynecol. 1953, 66, 197–198. [Google Scholar] [CrossRef]
- Nasioudis, D.; Chapman-Davis, E.; Frey, M.K.; Caputo, T.A.; Witkin, S.S.; Holcomb, K. Should epithelial ovarian carcinoma metastatic to the inguinal lymph nodes be assigned stage IVB? Gynecol. Oncol. 2017, 147, 81–84. [Google Scholar] [CrossRef] [PubMed]
- Kleppe, M.; Kraima, A.C.; Kruitwagen, R.F.; Van Gorp, T.; Smit, N.N.; van Munsteren, J.C.; DeRuiter, M.C. Understanding Lymphatic Drainage Pathways of the Ovaries to Predict Sites for Sentinel Nodes in Ovarian Cancer. Int. J. Gynecol. Cancer 2015, 25, 1405–1414. [Google Scholar] [CrossRef] [PubMed] [Green Version]
- Uccella, S.; Nero, C.; Vizza, E.; Vargiu, V.; Corrado, G.; Bizzarri, N.; Ghezzi, F.; Cosentino, F.; Turco, L.C.; Fagotti, A.; et al. Sentinel-node biopsy in early-stage ovarian cancer: Preliminary results of a prospective multicentre study (SELLY). Am. J. Obstet. Gynecol. 2019, 221, 324.e1–324.e10. [Google Scholar] [CrossRef]
- Togashi, K.; Ooyama, N.; Enomoto, K.; Sato, H. A case report of advanced ovarian cancer detected due to an inguinal metastasis in the canal of Nuck. Int. J. Surg. Case Rep. 2019, 66, 277–282. [Google Scholar] [CrossRef]
- Nasser, H.; King, M.; Rosenberg, H.K.; Rosen, A.; Wilck, E.; Simpson, W.L. Anatomy and pathology of the canal of Nuck. Clin. Imaging 2018, 51, 83–92. [Google Scholar] [CrossRef]
- Gaeta, M.; Minutoli, F.; Mileto, A.; Racchiusa, S.; Donato, R.; Bottari, A.; Blandino, A. Nuck canal endometriosis: MR imaging findings and clinical features. Gastrointest. Radiol. 2010, 35, 737–741. [Google Scholar] [CrossRef]
- Zaren, H.A.; Copeland, E.M. Inguinal node metastases. Cancer 1978, 41, 919–923. [Google Scholar] [CrossRef]
- Xiang, L.; Kong, B. PAX8 is a novel marker for differentiating between various types of tumor, particularly ovarian epithelial carcinomas. Oncol. Lett. 2013, 5, 735–738. [Google Scholar] [CrossRef] [Green Version]
- Harter, P.; Sehouli, J.; Lorusso, D.; Reuss, A.; Vergote, I.; Marth, C.; Kim, J.-W.; Raspagliesi, F.; Lampe, B.; Aletti, G.; et al. A Randomized Trial of Lymphadenectomy in Patients with Advanced Ovarian Neoplasms. N. Engl. J. Med. 2019, 380, 822–832. [Google Scholar] [CrossRef] [PubMed]



| Year | Age | Origin | Hist | Imaging | Preop | Size1 | LN | Size2 | Meta | Surg | Rec | PFS | OS | |
|---|---|---|---|---|---|---|---|---|---|---|---|---|---|---|
| This study | 2022 | 77 | FT | HGS | CT, MRI | No | ND | 12 cm | 2 cm | None | Comp | No | 9 | 9 |
| Bacalbasa [25] | 2018 | 46 | Ov | AC | CT, PET | Yes | PET | -- | -- | PLN | Comp | No | 12 | 12 |
| Metwally [26] | 2017 | 65 | Ov | HGS | CT | Yes | -- | -- | -- | None | Comp | No | -- | -- |
| Yang [27] | 2014 | 53 | Ov | SC | TVUS | Yes | 5 cm | 3 cm | 5 cm | None | Comp | No | 60 | 60 |
| Deka [28] | 2013 | 35 | Ov | AC | CT | No | ND | 5 cm | ND | None | Comp | No | 24 | 24 |
| Oei [29] | 2008 | 49 | Ov | AC | CT | Yes | 13 cm | 3 cm | 13 cm | P, DA | Opt | No | -- | -- |
| Ang [30] | 2007 | 59 | Ov | SC | CT | Yes | 9 cm | 3 cm | 10 cm | None | Comp | No | 7 | 7 |
| Cho [31] | 2006 | 72 | FT | SC | PET-CT | No | ND | 2.3 cm | 1.2 cm | None | Comp | No | 72 | 72 |
| Manci [32] | 2006 | 58 | Ov | LGS | CT, PET | Yes | PET | -- | ND | None | Comp | No | 19 | 19 |
| Winte [33] | 2001 | 69 | FT | SC | TAUS | No | ND | -- | 6 cm | # | Opt | Yes | 13 | 20 |
| Cormio [34] | 1996 | 67 | FT | SC | CT | No | ND | 3 cm | 2.6 cm | None | Comp | No | 72 | 72 |
| Kohoe [35] | 1992 | 66 | Ov | AC | CT | No | ND | 2 cm | 15 cm | P, OM | Sub | Yes | 8 | 8 |
| Mcgonigle [36] | 1991 | 59 | Ov | EC | CT | Yes | 12 cm | 4 cm | 13 cm | None | Comp | No | 32 | 32 |
| Shulman [37] | 1952 | 63 | Ov | AC | AXR | No | ND | 1.9 cm | 14 cm | None | Comp | No | 1.5 | 1.5 |
Publisher’s Note: MDPI stays neutral with regard to jurisdictional claims in published maps and institutional affiliations. |
© 2022 by the authors. Licensee MDPI, Basel, Switzerland. This article is an open access article distributed under the terms and conditions of the Creative Commons Attribution (CC BY) license (https://creativecommons.org/licenses/by/4.0/).
Share and Cite
Maeda, M.; Hisa, T.; Matsuzaki, S.; Ohe, S.; Nagata, S.; Lee, M.; Mabuchi, S.; Kamiura, S. Primary Fallopian Tube Carcinoma Presenting with a Massive Inguinal Tumor: A Case Report and Literature Review. Medicina 2022, 58, 581. https://doi.org/10.3390/medicina58050581
Maeda M, Hisa T, Matsuzaki S, Ohe S, Nagata S, Lee M, Mabuchi S, Kamiura S. Primary Fallopian Tube Carcinoma Presenting with a Massive Inguinal Tumor: A Case Report and Literature Review. Medicina. 2022; 58(5):581. https://doi.org/10.3390/medicina58050581
Chicago/Turabian StyleMaeda, Michihide, Tsuyoshi Hisa, Shinya Matsuzaki, Shuichi Ohe, Shigenori Nagata, Misooja Lee, Seiji Mabuchi, and Shoji Kamiura. 2022. "Primary Fallopian Tube Carcinoma Presenting with a Massive Inguinal Tumor: A Case Report and Literature Review" Medicina 58, no. 5: 581. https://doi.org/10.3390/medicina58050581
APA StyleMaeda, M., Hisa, T., Matsuzaki, S., Ohe, S., Nagata, S., Lee, M., Mabuchi, S., & Kamiura, S. (2022). Primary Fallopian Tube Carcinoma Presenting with a Massive Inguinal Tumor: A Case Report and Literature Review. Medicina, 58(5), 581. https://doi.org/10.3390/medicina58050581
