Subtrochanteric Insufficiency Fracture Occurring 5 Years after Surgery at the Steinmann Pin Insertion Site for Fracture Reduction
Abstract
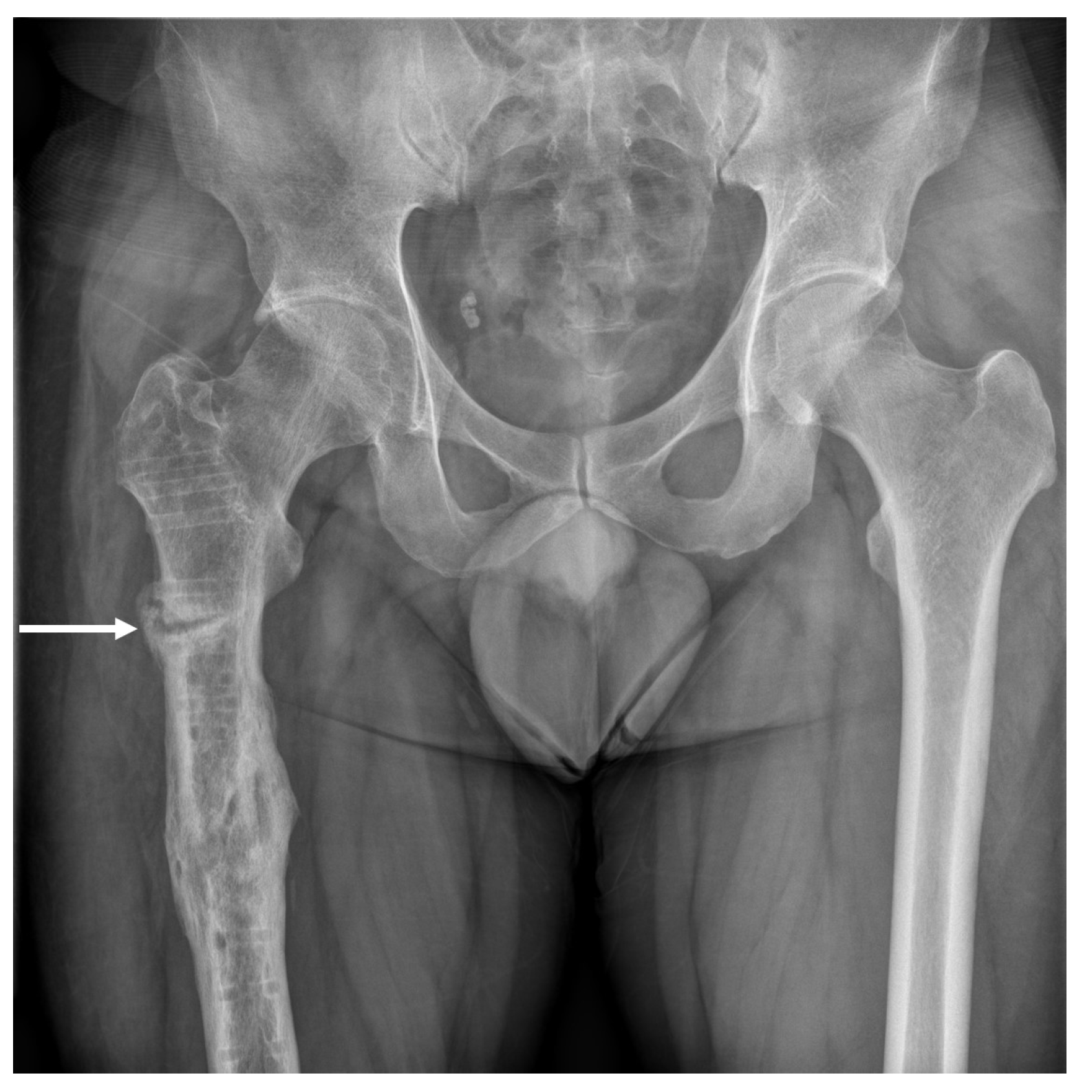
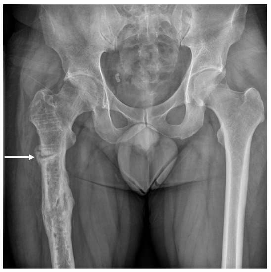
:1. Introduction
2. Materials and Methods
3. Discussion
4. Conclusions
Author Contributions
Funding
Institutional Review Board Statement
Informed Consent Statement
Data Availability Statement
Acknowledgments
Conflicts of Interest
References
- Reiffel, R.S. Thermal danger of Steinmann pins. Plast. Reconstr. Surg. 1984, 73, 995–996. [Google Scholar] [CrossRef] [PubMed]
- Augustin, G.; Zigman, T.; Davila, S.; Udilljak, T.; Staroveski, T.; Brezak, D.; Babic, S. Cortical bone drilling and thermal osteonecrosis. Clin. Biomech. 2012, 27, 313–325. [Google Scholar] [CrossRef] [PubMed]
- Jain, M.J.; Mavani, K.J.; Patel, D. Role of Provisional Fixation of Fracture Fragments By Steinmann-Pin and Technical Tips in Proximal Femoral Nailing for Intertrochanteric Fracture. J. Clin. Diagn. Res. 2017, 11, RC01–RC05. [Google Scholar] [CrossRef] [PubMed]
- Purnaganapathi Sundaram, V.; Valleri, D.P.; Agraharam, D.; Jayaramaraju, D.; Shanmuganathan, R. Pin Leverage Technique: A Simple Percutaneous Technique for Elevation of Posterolateral Tibial Plateau Fractures. Indian J. Orthop. 2021, 55, 473–480. [Google Scholar] [CrossRef] [PubMed]
- Kollnberger, K.V.; de Andrade, E.S.F.B.; Caiero, M.T.; de Camargo Leonhardt, M.; Dos Reis, P.R.; Dos Santos Silva, J.; Kojima, K.E. Intramedullary Steinmann pin nailing of the ulna: An option for the damage control orthopedics treatment of forearm fractures in open injuries in polytraumatized patients—A description of the technique and presentation of a case series. Injury 2021, 52 (Suppl. 3), S33–S37. [Google Scholar] [CrossRef] [PubMed]
- Yoon, B.H.; Kim, Y.S.; Koo, K.H. A Simple Percutaneous Technique to Reduce Valgus-Impacted Femoral Neck Fractures. Clin. Orthop. Surg. 2020, 12, 258–262. [Google Scholar] [CrossRef]
- Chun, Y.S.; Oh, H.; Cho, Y.J.; Rhyu, K.H. Technique and early results of percutaneous reduction of sagittally unstable intertrochateric fractures. Clin. Orthop. Surg. 2011, 3, 217–224. [Google Scholar] [CrossRef] [PubMed] [Green Version]
- Bashyal, R.K.; Chu, J.Y.; Schoenecker, P.L.; Dobbs, M.B.; Luhmann, S.J.; Gordon, J.E. Complications after pinning of supracondylar distal humerus fractures. J. Pediatr. Orthop. 2009, 29, 704–708. [Google Scholar] [CrossRef] [Green Version]
- Jardaly, A.H.; LaCoste, K.; Gilbert, S.R.; Conklin, M.J. Late Deep Infections Complicating Percutaneous Pinning of Supracondylar Humerus Fractures. Case Rep. Orthop. 2021, 2021, 7915516. [Google Scholar] [CrossRef]
- Wang, S.B.; Lin, B.H.; Liu, W.; Wei, G.J.; Li, Z.G.; Yu, N.C.; Ji, G.R. Modified Closed Reduction and Percutaneous Kirschner Wires Internal Fixation for Treatment of Supracondylar Humerus Fractures in Children. Curr. Med. Sci. 2021, 41, 777–781. [Google Scholar] [CrossRef] [PubMed]
- Itay, S.; Tsur, H. Thermal osteonecrosis complicating Steinmann pin insertion in plastic surgery. Plast. Reconstr. Surg. 1983, 72, 557–561. [Google Scholar] [CrossRef] [PubMed]
- Shane, E.; Burr, D.; Abrahamsen, B.; Adler, R.A.; Brown, T.D.; Cheung, A.M.; Cosman, F.; Curtis, J.R.; Dell, R.; Dempster, D.W.; et al. Atypical subtrochanteric and diaphyseal femoral fractures: Second report of a task force of the American Society for Bone and Mineral Research. J. Bone Miner Res. 2014, 29, 1–23. [Google Scholar] [CrossRef] [PubMed] [Green Version]
- Matthews, L.S.; Green, C.A.; Goldstein, S.A. The thermal effects of skeletal fixation-pin insertion in bone. J. Bone Jt. Surg. Am. 1984, 66, 1077–1083. [Google Scholar] [CrossRef]
- Tawy, G.F.; Rowe, P.J.; Riches, P.E. Thermal Damage Done to Bone by Burring and Sawing With and Without Irrigation in Knee Arthroplasty. J. Arthroplast. 2016, 31, 1102–1108. [Google Scholar] [CrossRef] [Green Version]
- Carswell, A.T.; Eastman, K.G.; Casey, A.; Hammond, M.; Shepstone, L.; Payerne, E.; Toms, A.P.; MacKay, J.W.; Swart, A.M.; Greeves, J.P.; et al. Teriparatide and stress fracture healing in young adults (RETURN—Research on Efficacy of Teriparatide Use in the Return of recruits to Normal duty): Study protocol for a randomised controlled trial. Trials 2021, 22, 580. [Google Scholar] [CrossRef] [PubMed]
- Notarnicola, A.; Vicenti, G.; Maccagnano, G.; Silvestris, F.; Cafforio, P.; Moretti, B. Extracorporeal shock waves induce osteogenic differentiation of human bone-marrow stromal cells. J. Biol. Regul. Homeost. Agents 2016, 30, 139–144. [Google Scholar] [PubMed]
- Vicenti, G.; Bizzoca, D.; Solarino, G.; Moretti, F.; Ottaviani, G.; Simone, F.; Zavattini, G.; Maccagnano, G.; Noia, G.; Moretti, B. The role of biophysical stimulation with pemfs in fracture healing: From bench to bedside. J. Biol. Regul. Homeost. Agents 2020, 34, 131–135. [Google Scholar] [PubMed]





Publisher’s Note: MDPI stays neutral with regard to jurisdictional claims in published maps and institutional affiliations. |
© 2022 by the authors. Licensee MDPI, Basel, Switzerland. This article is an open access article distributed under the terms and conditions of the Creative Commons Attribution (CC BY) license (https://creativecommons.org/licenses/by/4.0/).
Share and Cite
Hong, C.-H.; Park, J.-S.; Jang, B.-W.; Jang, H.; Kim, C.-H. Subtrochanteric Insufficiency Fracture Occurring 5 Years after Surgery at the Steinmann Pin Insertion Site for Fracture Reduction. Medicina 2022, 58, 404. https://doi.org/10.3390/medicina58030404
Hong C-H, Park J-S, Jang B-W, Jang H, Kim C-H. Subtrochanteric Insufficiency Fracture Occurring 5 Years after Surgery at the Steinmann Pin Insertion Site for Fracture Reduction. Medicina. 2022; 58(3):404. https://doi.org/10.3390/medicina58030404
Chicago/Turabian StyleHong, Chang-Hwa, Jong-Seok Park, Byung-Woong Jang, Heejun Jang, and Chang-Hyun Kim. 2022. "Subtrochanteric Insufficiency Fracture Occurring 5 Years after Surgery at the Steinmann Pin Insertion Site for Fracture Reduction" Medicina 58, no. 3: 404. https://doi.org/10.3390/medicina58030404
APA StyleHong, C.-H., Park, J.-S., Jang, B.-W., Jang, H., & Kim, C.-H. (2022). Subtrochanteric Insufficiency Fracture Occurring 5 Years after Surgery at the Steinmann Pin Insertion Site for Fracture Reduction. Medicina, 58(3), 404. https://doi.org/10.3390/medicina58030404

