Intestinal Mucosa-Associated Lymphoid Tissue Lymphoma Transforming into Diffuse Large B-Cell Lymphoma in a Young Adult Patient with Neurofibromatosis Type 1: A Case Report
Abstract
1. Introduction
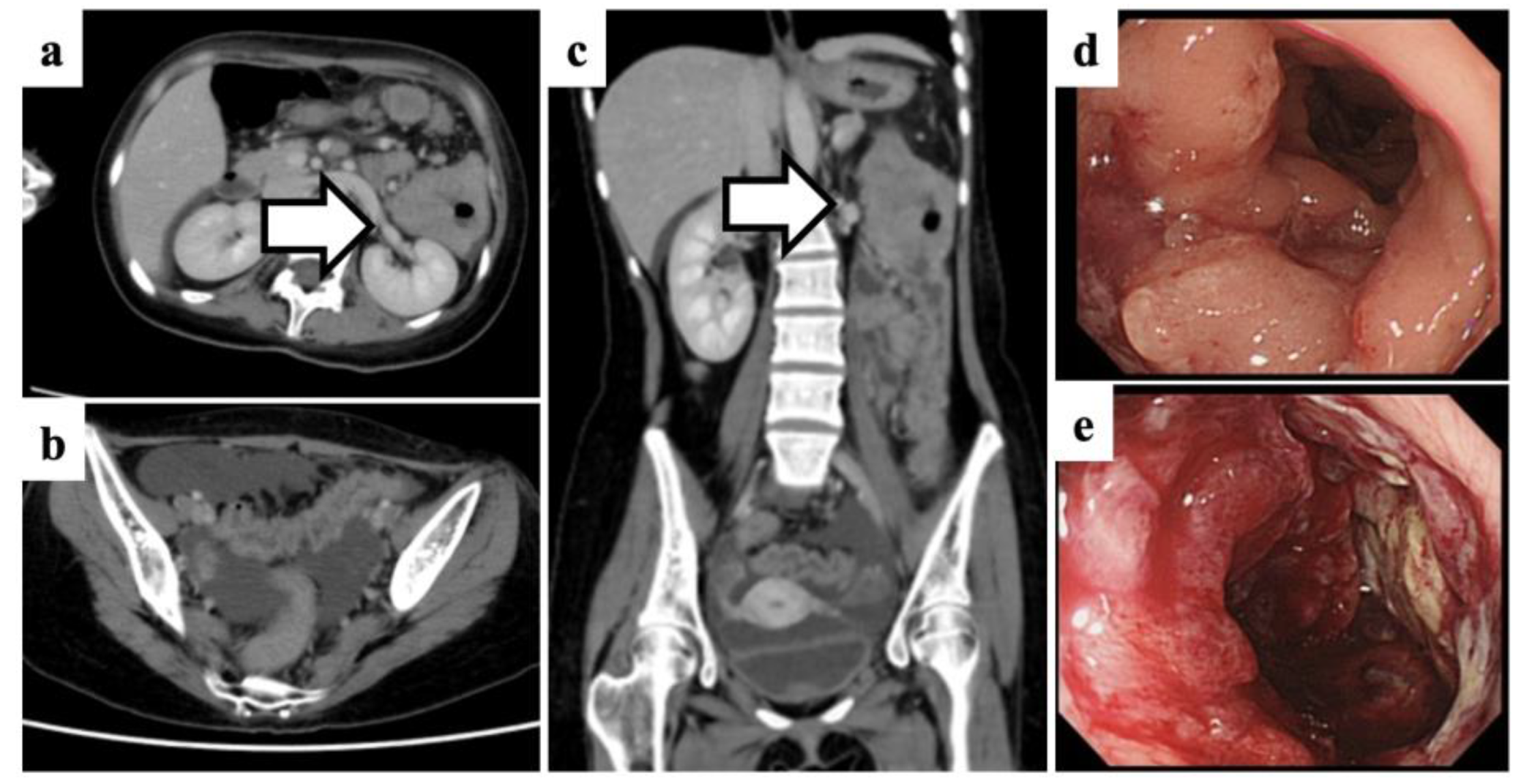
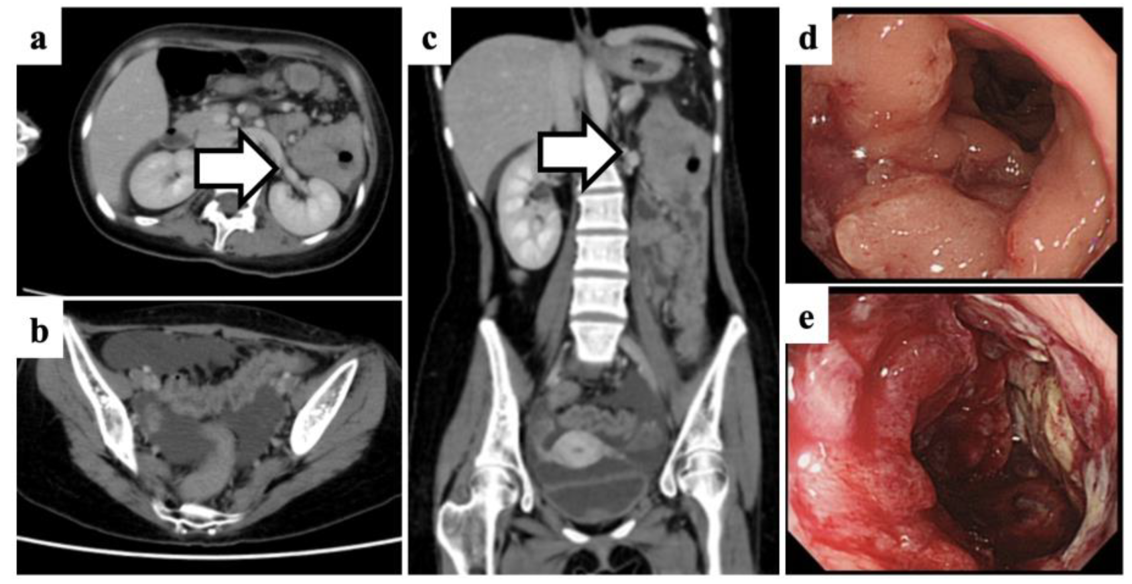
2. Case Report
3. Discussion
4. Conclusions
Author Contributions
Funding
Institutional Review Board Statement
Informed Consent Statement
Data Availability Statement
Conflicts of Interest
References
- Zucca, E.; Bertoni, F. The spectrum of MALT lymphoma at different sites: Biological and therapeutic relevance. Blood 2016, 127, 2082–2092. [Google Scholar] [CrossRef]
- Rossi, D.; Bertoni, F.; Zucca, E. Marginal-Zone Lymphomas. N. Engl. J. Med. 2022, 386, 568–581. [Google Scholar] [CrossRef]
- Di Rocco, A.; Petrucci, L.; Assanto, G.M.; Martelli, M.; Pulsoni, A. Extranodal Marginal Zone Lymphoma: Pathogenesis, Diagnosis and Treatment. Cancers 2022, 14, 1742. [Google Scholar] [CrossRef] [PubMed]
- Khalil, M.O.; Morton, L.M.; Devesa, S.S.; Check, D.P.; Curtis, R.E.; Weisenburger, D.D.; Dores, G.M. Incidence of marginal zone lymphoma in the United States, 2001–2009 with a focus on primary anatomic site. Br. J. Haematol. 2014, 165, 67–77. [Google Scholar] [CrossRef]
- Teckie, S.; Qi, S.; Chelius, M.; Lovie, S.; Hsu, M.; Noy, A.; Portlock, C.; Yahalom, J. Long-term outcome of 487 patients with early-stage extra-nodal marginal zone lymphoma. Ann. Oncol. 2017, 28, 1064–1069. [Google Scholar] [CrossRef]
- Wotherspoon, A.C.; Doglioni, C.; Diss, T.C.; Pan, L.; Moschini, A.; de Boni, M.; Isaacson, P.G. Regression of primary low-grade B-cell gastric lymphoma of mucosa-associated lymphoid tissue type after eradication of Helicobacter pylori. Lancet 1993, 342, 575–577. [Google Scholar] [CrossRef]
- Alderuccio, J.P.; Zhao, W.; Desai, A.; Gallastegui, N.; Ramdial, J.; Kimble, E.; de la Fuente, M.I.; Rosenblatt, J.D.; Chapman, J.R.; Vega, F.; et al. Risk Factors for Transformation to Higher-Grade Lymphoma and Its Impact on Survival in a Large Cohort of Patients With Marginal Zone Lymphoma From a Single Institution. J. Clin. Oncol. 2018, 36, Jco1800138. [Google Scholar] [CrossRef]
- Kiesewetter, B.; Lamm, W.; Dolak, W.; Lukas, J.; Mayerhoefer, M.E.; Weber, M.; Schiefer, A.I.; Kornauth, C.; Bayer, G.; Simonitsch-Klupp, I.; et al. Transformed mucosa-associated lymphoid tissue lymphomas: A single institution retrospective study including polymerase chain reaction-based clonality analysis. Br. J. Haematol. 2019, 186, 448–459. [Google Scholar] [CrossRef]
- Kaddu-Mulindwa, D.; Thurner, L.; Christofyllakis, K.; Bewarder, M.; Kos, I.A. Management of Extranodal Marginal Zone Lymphoma: Present and Upcoming Perspectives. Cancers 2022, 14, 3019. [Google Scholar] [CrossRef]
- Korf, B.R. Diagnosis and management of neurofibromatosis type 1. Curr. Neurol. Neurosci. Rep. 2001, 1, 162–167. [Google Scholar] [CrossRef]
- Rasmussen, S.A.; Yang, Q.; Friedman, J.M. Mortality in neurofibromatosis 1: An analysis using U.S. death certificates. Am. J. Hum. Genet. 2001, 68, 1110–1118. [Google Scholar] [CrossRef]
- Ruggieri, M.; Huson, S.M. The clinical and diagnostic implications of mosaicism in the neurofibromatoses. Neurology 2001, 56, 1433–1443. [Google Scholar] [CrossRef]
- Gutmann, D.H.; Ferner, R.E.; Listernick, R.H.; Korf, B.R.; Wolters, P.L.; Johnson, K.J. Neurofibromatosis type 1. Nat. Rev. Dis. Primers 2017, 3, 17004. [Google Scholar] [CrossRef]
- Varan, A.; Şen, H.; Aydın, B.; Yalçın, B.; Kutluk, T.; Akyüz, C. Neurofibromatosis type 1 and malignancy in childhood. Clin. Genet. 2016, 89, 341–345. [Google Scholar] [CrossRef]
- Seminog, O.O.; Goldacre, M.J. Risk of benign tumours of nervous system, and of malignant neoplasms, in people with neurofibromatosis: Population-based record-linkage study. Br. J. Cancer 2013, 108, 193–198. [Google Scholar] [CrossRef] [PubMed]
- Uusitalo, E.; Rantanen, M.; Kallionpää, R.A.; Pöyhönen, M.; Leppävirta, J.; Ylä-Outinen, H.; Riccardi, V.M.; Pukkala, E.; Pitkäniemi, J.; Peltonen, S.; et al. Distinctive Cancer Associations in Patients With Neurofibromatosis Type 1. J. Clin. Oncol. 2016, 34, 1978–1986. [Google Scholar] [CrossRef] [PubMed]
- Bergqvist, C.; Hemery, F.; Jannic, A.; Ferkal, S.; Wolkenstein, P. Lymphoproliferative malignancies in patients with neurofibromatosis 1. Orphanet. J. Rare Dis. 2021, 16, 230. [Google Scholar] [CrossRef] [PubMed]
- Shi, Y.; Wang, X.; Wang, J.; Wang, X.; Zhou, H.; Zhang, L. The dual roles of A20 in cancer. Cancer Lett. 2021, 511, 26–35. [Google Scholar] [CrossRef]
- Tamura, S.; Higuchi, K.; Tamaki, M.; Inoue, C.; Awazawa, R.; Mitsuki, N.; Nakazawa, Y.; Mishima, H.; Takahashi, K.; Kondo, O.; et al. Novel compound heterozygous DNA ligase IV mutations in an adolescent with a slowly-progressing radiosensitive-severe combined immunodeficiency. Clin. Immunol. 2015, 160, 255–260. [Google Scholar] [CrossRef]
- Tamura, S.; Kosako, H.; Furuya, Y.; Yamashita, Y.; Mushino, T.; Mishima, H.; Kinoshita, A.; Nishikawa, A.; Yoshiura, K.I.; Sonoki, T. A Patient with Kabuki Syndrome Mutation Presenting with Very Severe Aplastic Anemia. Acta Haematol. 2022, 145, 89–96. [Google Scholar] [CrossRef]
- Niemeyer, C.M.; Flotho, C. Juvenile myelomonocytic leukemia: Who’s the driver at the wheel? Blood 2019, 133, 1060–1070. [Google Scholar] [CrossRef]
- Philpott, C.; Tovell, H.; Frayling, I.M.; Cooper, D.N.; Upadhyaya, M. The NF1 somatic mutational landscape in sporadic human cancers. Hum. Genom. 2017, 11, 13. [Google Scholar] [CrossRef] [PubMed]
- de Castro, I.J.; da Silva, E.B.S.; Dos Santos, T.R.; de Freitas, A.B.; de Castro, I.J.; Portela, A.S.; de Magalhaes, M.C.; Pires, K.L.; da Silva, G.A.R.; de Azevedo, M. T-Cell Lymphoma in a Patient with Neurofibromatosis Type 1 and AIDS. Case Rep. Oncol. 2017, 10, 161–168. [Google Scholar] [CrossRef]
- Legius, E.; Messiaen, L.; Wolkenstein, P.; Pancza, P.; Avery, R.A.; Berman, Y.; Blakeley, J.; Babovic-Vuksanovic, D.; Cunha, K.S.; Ferner, R.; et al. Revised diagnostic criteria for neurofibromatosis type 1 and Legius syndrome: An international consensus recommendation. Genet. Med. 2021, 23, 1506–1513. [Google Scholar] [CrossRef] [PubMed]
- Kehrer-Sawatzki, H.; Cooper, D.N. Challenges in the diagnosis of neurofibromatosis type 1 (NF1) in young children facilitated by means of revised diagnostic criteria including genetic testing for pathogenic NF1 gene variants. Hum. Genet. 2022, 141, 177–191. [Google Scholar] [CrossRef]
- Anderson, S. Café au Lait Macules and Associated Genetic Syndromes. J. Pediatr. Health Care 2020, 34, 71–81. [Google Scholar] [CrossRef]
- Wimmer, K.; Kratz, C.P.; Vasen, H.F.; Caron, O.; Colas, C.; Entz-Werle, N.; Gerdes, A.M.; Goldberg, Y.; Ilencikova, D.; Muleris, M.; et al. Diagnostic criteria for constitutional mismatch repair deficiency syndrome: Suggestions of the European consortium ‘care for CMMRD’ (C4CMMRD). J. Med. Genet. 2014, 51, 355–365. [Google Scholar] [CrossRef] [PubMed]
- Wimmer, K.; Rosenbaum, T.; Messiaen, L. Connections between constitutional mismatch repair deficiency syndrome and neurofibromatosis type 1. Clin. Genet. 2017, 91, 507–519. [Google Scholar] [CrossRef]
- Ripperger, T.; Schlegelberger, B. Acute lymphoblastic leukemia and lymphoma in the context of constitutional mismatch repair deficiency syndrome. Eur. J. Med. Genet. 2016, 59, 133–142. [Google Scholar] [CrossRef]
- Abedalthagafi, M. Constitutional mismatch repair-deficiency: Current problems and emerging therapeutic strategies. Oncotarget 2018, 9, 35458–35469. [Google Scholar] [CrossRef]
- Hollie, N.; Asakrah, S. MALT lymphoma of the colon: A clinicopathological review. J. Clin. Pathol. 2020, 73, 378–383. [Google Scholar] [CrossRef]
- Du, M.Q. MALT lymphoma: A paradigm of NF-κB dysregulation. Semin. Cancer Biol. 2016, 39, 49–60. [Google Scholar] [CrossRef] [PubMed]
- Zhou, Q.; Wang, H.; Schwartz, D.M.; Stoffels, M.; Park, Y.H.; Zhang, Y.; Yang, D.; Demirkaya, E.; Takeuchi, M.; Tsai, W.L.; et al. Loss-of-function mutations in TNFAIP3 leading to A20 haploinsufficiency cause an early-onset autoinflammatory disease. Nat. Genet. 2016, 48, 67–73. [Google Scholar] [CrossRef] [PubMed]
- Economopoulos, T.; Papageorgiou, S.; Pappa, V.; Papageorgiou, E.; Valsami, S.; Kalantzis, D.; Xiros, N.; Dervenoulas, J.; Raptis, S. Monoclonal gammopathies in B-cell non-Hodgkin’s lymphomas. Leuk Res. 2003, 27, 505–508. [Google Scholar] [CrossRef]
- Wöhrer, S.; Streubel, B.; Bartsch, R.; Chott, A.; Raderer, M. Monoclonal immunoglobulin production is a frequent event in patients with mucosa-associated lymphoid tissue lymphoma. Clin. Cancer Res. 2004, 10, 7179–7181. [Google Scholar] [CrossRef] [PubMed]
- Koyama, R.; Hirayama, Y.; Nagai, T.; Ohta, H.; Kura, T.; Mogi, Y.; Kon, S.; Sakamaki, S.; Niitsu, Y. A case of diffuse large B-cell lymphoma transformed from immunoglobulin A-producing marginal zone B-cell lymphoma. Int. J. Hematol. 2000, 72, 349–352. [Google Scholar]
- Al-Saleem, T.; Al-Mondhiry, H. Immunoproliferative small intestinal disease (IPSID): A model for mature B-cell neoplasms. Blood 2005, 105, 2274–2280. [Google Scholar] [CrossRef] [PubMed]
- Evangelista-Leite, D.; Affonso Madaloso, B.; Shouta Yamashita, B.; Enrico Aloise, F.; Polito Verdasca, L.; Lopes de Mello, M.; Murata Hayashi, R.; Zimberg Chehter, E. Treating chronic diarrhea: A systematic review on Immunoproliferative Small Intestinal Disease (IPSID). PLoS ONE 2021, 16, e0253695. [Google Scholar] [CrossRef] [PubMed]
- Ishikawa, E.; Nakamura, M.; Satou, A.; Shimada, K.; Nakamura, S. Mucosa-Associated Lymphoid Tissue (MALT) Lymphoma in the Gastrointestinal Tract in the Modern Era. Cancers 2022, 14, 446. [Google Scholar] [CrossRef]





| Value | Reference Range | |
|---|---|---|
| Complete Blood Count | ||
| White blood cells | 6.08 × 109/L | 3.3–8.6 × 109/L |
| Neutrophils | 69% | |
| Basophils | 1% | |
| Monocytes | 8% | |
| Lymphocytes | 22% | |
| Red blood cells | 2.36 × 1012/L | 3.86–4.92 × 1012/L |
| Hemoglobin | 9.1 g/dL | 11.6–14.8 g/dL |
| Hematocrit | 27.8% | 35.1–44.4% |
| Mean corpuscular volume | 117.8 fL | 83.6–98.2 fL |
| Reticulocytes | 2.9 × 109/L | |
| Platelets | 19.5 × 109/L | 15.8–34.8 × 109/L |
| Coagulation System | ||
| Prothrombin time | 87.3% | 70–140% |
| APTT | 24.4 s | 25–35 s |
| Chemistry | ||
| Aspartate aminotransferase | 14 U/L | 13–30 U/L |
| Alanine aminotransferase | 4 U/L | 7–23 U/L |
| Lactate dehydrogenase | 212 U/L | 124–222 U/L |
| Total protein | 5.5 g/dL | 6.6–8.1 g/dL |
| Albumin | 1.6 g/dL | 4.1–5.1 g/dL |
| Globulin | 3.9 g/dL | 2.2–3.4 g/dL |
| Total bilirubin | 0.2 mg/dL | 0.4–1.5 mg/dL |
| Creatinine | 0.32 mg/dL | 0.48–0.79 mg/dL |
| Blood urea nitrogen | 5 mg/dL | 8–20 mg/dL |
| Sodium | 142 mEq/L | 138–145 mEq/L |
| Potassium | 3.7 mEq/L | 3.6–4.8 mEq/L |
| Chloride | 105 mEq/L | 101–108 mEq/L |
| Serum ferrum | 57 μg/mL | 40–188 μg/mL |
| Ferritin | 87 ng/mL | 5–152 ng/mL |
| C-reactive protein | 2.41 mg/dL | 0.00–0.14 mg/dL |
| Soluble interleukin-2 receptor | 811 U/mL | 122–496 U/mL |
| IgG | 308 mg/dL | 861–1747 mg/dL |
| IgA | 2072 mg/dL | 93–393 mg/dL |
| IgM | 17 mg/dL | 50–269 mg/dL |
| FLC kappa | 7.3 mg/L | 3.3–19.4 mg/L |
| FLC lambda | 43.8 mg/L | 5.7–26.3 mg/L |
| FLC kappa/lambda ratio | 0.17 | 0.26–1.65 |
| Infection | ||
| HIV antibody | negative | |
| Hepatitis B surface antigen | negative | |
| Hepatitis B core antibody | negative | |
| Hepatitis C virus antibody | negative |
Publisher’s Note: MDPI stays neutral with regard to jurisdictional claims in published maps and institutional affiliations. |
© 2022 by the authors. Licensee MDPI, Basel, Switzerland. This article is an open access article distributed under the terms and conditions of the Creative Commons Attribution (CC BY) license (https://creativecommons.org/licenses/by/4.0/).
Share and Cite
Kosako, H.; Yamashita, Y.; Tanaka, K.; Mishima, H.; Iwamoto, R.; Kinoshita, A.; Murata, S.-i.; Ohshima, K.; Yoshiura, K.-i.; Sonoki, T.; et al. Intestinal Mucosa-Associated Lymphoid Tissue Lymphoma Transforming into Diffuse Large B-Cell Lymphoma in a Young Adult Patient with Neurofibromatosis Type 1: A Case Report. Medicina 2022, 58, 1830. https://doi.org/10.3390/medicina58121830
Kosako H, Yamashita Y, Tanaka K, Mishima H, Iwamoto R, Kinoshita A, Murata S-i, Ohshima K, Yoshiura K-i, Sonoki T, et al. Intestinal Mucosa-Associated Lymphoid Tissue Lymphoma Transforming into Diffuse Large B-Cell Lymphoma in a Young Adult Patient with Neurofibromatosis Type 1: A Case Report. Medicina. 2022; 58(12):1830. https://doi.org/10.3390/medicina58121830
Chicago/Turabian StyleKosako, Hideki, Yusuke Yamashita, Ken Tanaka, Hiroyuki Mishima, Ryuta Iwamoto, Akira Kinoshita, Shin-ichi Murata, Koichi Ohshima, Koh-ichiro Yoshiura, Takashi Sonoki, and et al. 2022. "Intestinal Mucosa-Associated Lymphoid Tissue Lymphoma Transforming into Diffuse Large B-Cell Lymphoma in a Young Adult Patient with Neurofibromatosis Type 1: A Case Report" Medicina 58, no. 12: 1830. https://doi.org/10.3390/medicina58121830
APA StyleKosako, H., Yamashita, Y., Tanaka, K., Mishima, H., Iwamoto, R., Kinoshita, A., Murata, S.-i., Ohshima, K., Yoshiura, K.-i., Sonoki, T., & Tamura, S. (2022). Intestinal Mucosa-Associated Lymphoid Tissue Lymphoma Transforming into Diffuse Large B-Cell Lymphoma in a Young Adult Patient with Neurofibromatosis Type 1: A Case Report. Medicina, 58(12), 1830. https://doi.org/10.3390/medicina58121830

