Unilateral Uterine Artery Embolization as a Treatment for Patients with Symptomatic Fibroids—Experience in a Case Series
Abstract
1. Introduction
2. Objectives
3. Materials and Methods
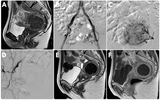
4. Endovascular Treatment
5. Follow-Up
6. Results
7. Discussion
Author Contributions
Funding
Institutional Review Board Statement
Informed Consent Statement
Data Availability Statement
Conflicts of Interest
References
- Stewart, E.A. Clinical practice. Uterine fibroids. N. Engl. J. Med. 2015, 372, 1646–1655. [Google Scholar] [CrossRef]
- Silberzweig, J.E.; Powell, D.K.; Matsumoto, A.H.; Spies, J.B. Management of uterine fibroids: A focus on uterine-sparing interventional techniques. Radiology 2016, 280, 675–692. [Google Scholar] [CrossRef] [PubMed]
- De La Cruz, M.S.; Buchanan, E.M. Uterine Fibroids: Diagnosis and Treatment. Am. Fam. Physician 2017, 95, 100–107. [Google Scholar] [PubMed]
- Silberzweig, J.E.; Powell, D.K.; Matsumoto, A.H.; Spies, J.B. Arterial embolisation to treat uterine myomata. Lancet 1995, 346, 671–672. [Google Scholar]
- Kohi, M.P.; Spies, J.B. Updates on Uterine Artery Embolization. Semin. Interv. Radiol. 2018, 35, 48–55. [Google Scholar]
- Aziz, A.; Petrucco, O.; Makinoda, S.; Wikholm, G.; Svendsen, P.; Brännström, M.; Janson, P. Transarterial embolization of the uterine arteries: Patient reactions and effects on uterine vasculature. Acta Obs. Gynecol. Scand. 1998, 77, 334–340. [Google Scholar] [CrossRef]
- McLucas, B.; A Reed, R.; Goodwin, S.; Rappaport, A.; Adler, L.; Perrella, R.; Dalrymple, J. Outcomes following unilateral uterine artery embolisation. Br. J. Radiol. 2002, 75, 122–126. [Google Scholar] [CrossRef]
- Nicholson, T. Outcome in patients undergoing unilateral uterine artery embolization for symptomatic fibroids. Clin. Radiol. 2004, 59, 186–191. [Google Scholar] [CrossRef] [PubMed]
- Bratby, M.J.; Hussain, F.F.; Walker, W.J. Outcomes after unilateral uterine artery embolization: A retrospective review. Cardiovasc. Interv. Radiol. 2008, 31, 254–259. [Google Scholar] [CrossRef]
- Stall, L.; Lee, J.; McCullough, M.; Nsrouli-Maktabi, H.; Spies, J.B. Effectiveness of elective unilateral uterine artery embolization: A case-control study. J. Vasc. Interv. Radiol. 2011, 22, 716–722. [Google Scholar] [CrossRef]
- Smith, W.J.; Upton, E.; Shuster, E.J.; Klein, A.J.; Schwartz, M.L. Patient satisfaction and disease specific quality of life after uterine artery embolization. Am. J. Obs. Gynecol. 2004, 190, 1697–1706. [Google Scholar] [CrossRef] [PubMed]
- Gabriel-Cox, K.; Jacobson, G.F.; Armstrong, M.A.; Hung, Y.-Y.; Learman, L.A. Predictors of hysterectomy after uterine artery embolization for leiomyoma. Am. J. Obs. Gynecol. 2007, 196, 588.e1–588.e6. [Google Scholar] [CrossRef] [PubMed]
- Scheurig-Muenkler, C.; Powerski, M.J.; Mueller, J.-C.; Kroencke, T.J. Radiation exposure during uterine artery embolization: Effective measures to minimize dose to the patient. Cardiovasc. Interv. Radiol. 2015, 38, 613–622. [Google Scholar] [CrossRef]
- Nocum, D.J.; Robinson, J.; Liang, E.; Thompson, N.; Reed, W. The factors contributing to the total radiation exposure of patients during uterine artery embolisation. J. Med. Radiat. Sci. 2019, 66, 200–211. [Google Scholar] [CrossRef] [PubMed]
- Pelage, J.-P.; Guaou, N.G.; Jha, R.C.; Ascher, S.M.; Spies, J.B. Uterine fibroid tumors: Long-term MR imaging outcome after embolization. Radiology 2004, 230, 803–809. [Google Scholar] [CrossRef] [PubMed]
- Lacayo, E.A.; Richman, D.L.; Acord, M.R.; Wolfman, D.J.; Caridi, T.M.; Desale, S.Y.; Spies, J.B. Leiomyoma Infarction after Uterine Artery Embolization: Influence of Embolic Agent and Leiomyoma Size and Location on Outcome. J. Vasc. Interv. Radiol. 2017, 28, 1003–1010. [Google Scholar] [CrossRef]
- Davis, M.R.; Soliman, A.M.; Castelli-Haley, J.; Snabes, M.C.; Surrey, E.S. Reintervention Rates After Myomectomy, Endometrial Ablation, and Uterine Artery Embolization for Patients with Uterine Fibroids. J. Womens Health 2018, 27, 1204–1214. [Google Scholar] [CrossRef]
- Yoon, J.K.; Han, K.; Kim, M.-D.; Kim, G.M.; Kwon, J.H.; Won, J.Y.; Lee, D.Y. Five-year clinical outcomes of uterine artery embolization for symptomatic leiomyomas: An analysis of risk factors for reintervention. Eur. J. Radiol. 2018, 109, 83–87. [Google Scholar] [CrossRef]
- Goldberg, J.; Pereira, L.; Berghella, V.; Diamond, J.; Daraı, E.; Seinera, P.; Seracchioli, R. Pregnancy outcomes after treatment for fibromyomata: Uterine artery embolization versus laparoscopic myomectomy. Am. J. Obstet. Gynecol. 2004, 191, 18–21. [Google Scholar] [CrossRef] [PubMed]
- Walker, W.J.; McDowell, S.J. Pregnancy after uterine artery embolization for leiomyomata: A series of 56 completed pregnancies. Am. J. Obstet. Gynecol. 2006, 195, 1266–1271. [Google Scholar] [CrossRef] [PubMed]
- Mohan, P.P.; Hamblin, M.H.; Vogelzang, R.L. Uterine Artery Embolization and Its Effect on Fertility. J. Vasc. Interv. Radiol. 2013, 24, 925–930. [Google Scholar] [CrossRef] [PubMed]
- Pisco, J.M.; Duarte, M.; Bilhim, T.; Branco, J.; Cirurgião, F.; Forjaz, M.; Fernandes, L.; Pereira, J.; Costa, N.; Pisco, J.B.M.; et al. Spontaneous Pregnancy with a Live Birth after Conventional and Partial Uterine Fibroid Embolization. Radiology 2017, 285, 302–310. [Google Scholar] [CrossRef] [PubMed]
- Serres-Cousine, O.; Kuijper, F.M.; Curis, E.; Atashroo, D. Clinical investigation of fertility after uterine artery embolization. Am. J. Obs. Gynecol. 2021, 225, 403.e1–403.e22. [Google Scholar] [CrossRef] [PubMed]

| Demographic data | |
| Mean age (years, min–max) | 39.7 (28 to 51) |
| Symptoms (n, %) | |
| Menorrhagia | 22 (85%) |
| Dysmenorrhea | 21 (81%) |
| Bulk symptoms | 10 (38%) |
| Difficulty with urination | 10 (38%) |
| Duration of symptoms (months, min–max) | 6.5 (4 to 13) |
| Procedural details | |
| Used embolic material (mL, min–max) | 5.6 (2 to 12) |
| Minor complication rate (n, %) | 2 (8%) |
| Post-procedural complication >48 h (n, %) | |
| Fever | 2 (8%) |
| Abdominal pain | 2 (8%) |
| Urinary infection | 1 (4%) |
| Re-intervention rate (n, %) | 4 (15%) |
| Follow-up | |
| Clinical improvement (n, %) | 23 (88%) |
| Overall satisfaction (n, %) | |
| Very satisfied | 15 (58%) |
| Satisfied | 7 (27%) |
| Neutral | 0 (0%) |
| Dissatisfied | 4 (15%) |
| Very dissatisfied | 0 (0%) |
Publisher’s Note: MDPI stays neutral with regard to jurisdictional claims in published maps and institutional affiliations. |
© 2022 by the authors. Licensee MDPI, Basel, Switzerland. This article is an open access article distributed under the terms and conditions of the Creative Commons Attribution (CC BY) license (https://creativecommons.org/licenses/by/4.0/).
Share and Cite
Pyra, K.; Szmygin, M.; Szmygin, H.; Woźniak, S.; Jargiełło, T. Unilateral Uterine Artery Embolization as a Treatment for Patients with Symptomatic Fibroids—Experience in a Case Series. Medicina 2022, 58, 1732. https://doi.org/10.3390/medicina58121732
Pyra K, Szmygin M, Szmygin H, Woźniak S, Jargiełło T. Unilateral Uterine Artery Embolization as a Treatment for Patients with Symptomatic Fibroids—Experience in a Case Series. Medicina. 2022; 58(12):1732. https://doi.org/10.3390/medicina58121732
Chicago/Turabian StylePyra, Krzysztof, Maciej Szmygin, Hanna Szmygin, Sławomir Woźniak, and Tomasz Jargiełło. 2022. "Unilateral Uterine Artery Embolization as a Treatment for Patients with Symptomatic Fibroids—Experience in a Case Series" Medicina 58, no. 12: 1732. https://doi.org/10.3390/medicina58121732
APA StylePyra, K., Szmygin, M., Szmygin, H., Woźniak, S., & Jargiełło, T. (2022). Unilateral Uterine Artery Embolization as a Treatment for Patients with Symptomatic Fibroids—Experience in a Case Series. Medicina, 58(12), 1732. https://doi.org/10.3390/medicina58121732

