Heritability of Subcortical Grey Matter Structures
Abstract
1. Introduction
2. Materials and Methods
2.1. Study Participants
2.2. MRI Acquisition
2.3. Image Processing
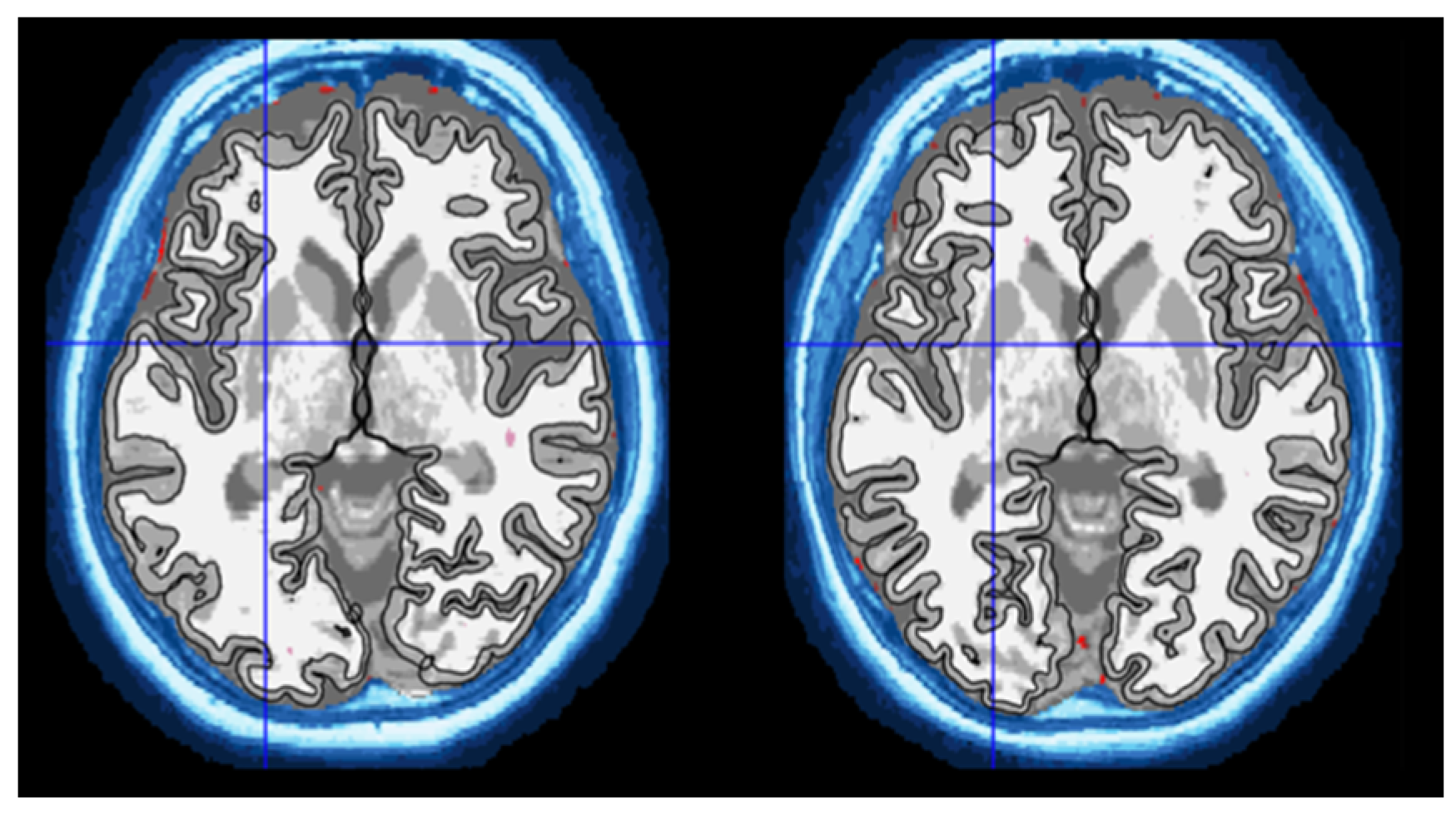
2.3.1. Volume Measurement Using Computational Anatomy Toolbox (CAT12) for Statistical Parametric Mapping (SPM12)
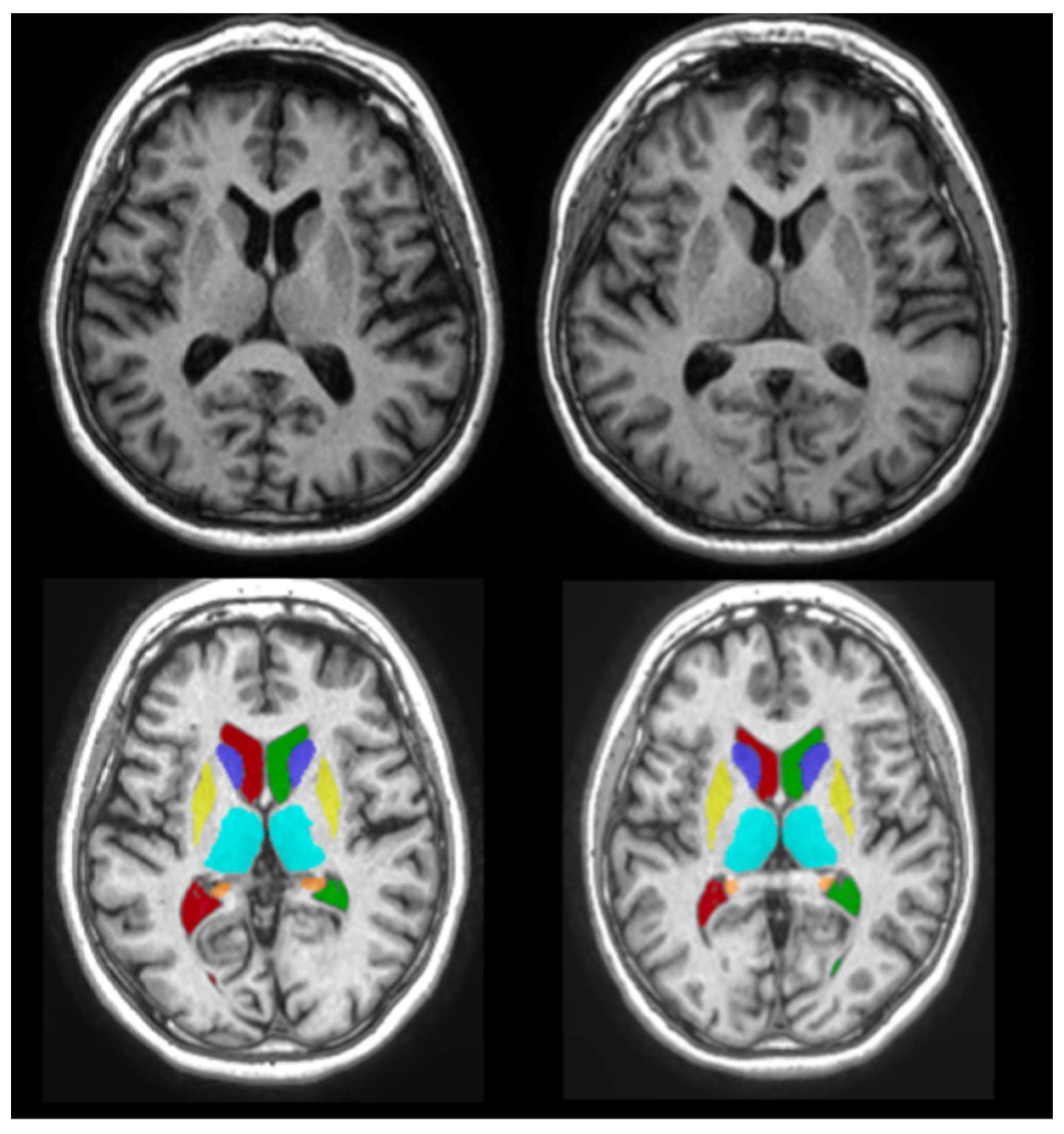
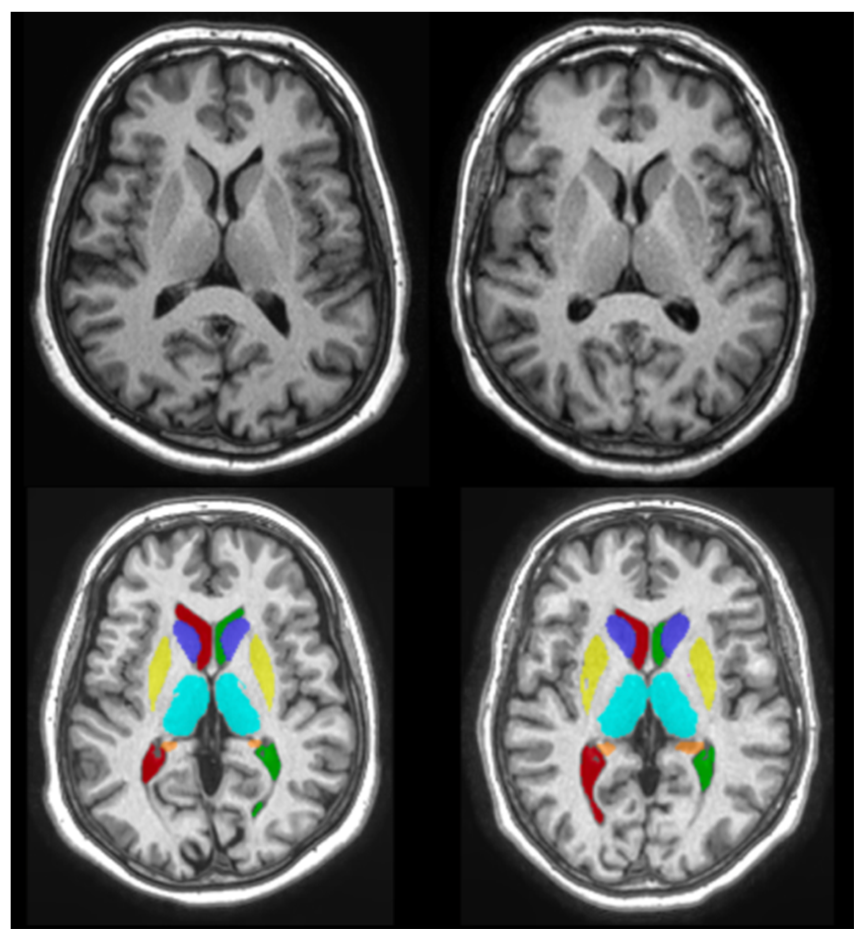
2.3.2. Volumetric Measurement Using volBrain
2.4. Statistical Analysis
2.4.1. Descriptive Statistics
2.4.2. Heritability Analysis
2.4.3. Correlation of Subcortical Structure Volume Measured Using Different Software
3. Results
3.1. Descriptive Statistics
3.2. Results for Volume Measurements Using CAT12
3.2.1. Intra-Pair Correlation Coefficients for Subcortical and General Brain Volumes Using CAT12
3.2.2. Univariate Model Analysis for Subcortical and General Brain Volumes Using CAT12
3.3. Results for Volume Measurements Using volBrain
3.3.1. Intra-Pair Correlation Coefficients for Subcortical and General Brain Volumes Using volBrain
3.3.2. Univariate Model Analysis for Subcortical and General Brain Volumes Using volBrain
3.4. Correlation of Subcortical Structure Volume Measured Using Different Software
4. Discussion
5. Conclusions
Supplementary Materials
Author Contributions
Funding
Institutional Review Board Statement
Informed Consent Statement
Data Availability Statement
Conflicts of Interest
References
- Koshiyama, D.; Fukunaga, M.; Okada, N.; Yamashita, F.; Yamamori, H.; Yasuda, Y.; Fujimoto, M.; Ohi, K.; Fujino, H.; Watanabe, Y.; et al. Role of subcortical structures on cognitive and social function in schizophrenia. Sci. Rep. 2018, 8, 1183. [Google Scholar] [CrossRef]
- Keuken, M.C.; van Maanen, L.; Boswijk, M.; Forstmann, B.U.; Steyvers, M. Large scale structure-function mappings of the human subcortex. Sci. Rep. 2018, 8, 15854. [Google Scholar] [CrossRef] [PubMed]
- MacDonald, M.E.; Pike, G.B. MRI of healthy brain aging: A review. NMR Biomed. 2021, 34, e4564. [Google Scholar] [CrossRef]
- Jernigan, T.L.; Archibald, S.L.; Fennema-Notestine, C.; Gamst, A.C.; Stout, J.C.; Bonner, J.; Hesselink, J.R. Effects of age on tissues and regions of the cerebrum and cerebellum. Neurobiol. Aging 2001, 22, 581–594. [Google Scholar] [CrossRef]
- Dima, D.; Modabbernia, A.; Papachristou, E.; Doucet, G.E.; Agartz, I.; Aghajani, M.; Akudjedu, T.N.; Albajes-Eizagirre, A.; Alnæs, D.; Alpert, K.I.; et al. Subcortical volumes across the lifespan: Data from 18,605 healthy individuals aged 3–90 years. Hum. Brain Mapp. 2022, 43, 452–469. [Google Scholar] [CrossRef]
- Wang, Y.; Xu, Q.; Luo, J.; Hu, M.; Zuo, C. Effects of Age and Sex on Subcortical Volumes. Front. Aging Neurosci. 2019, 11, 259. [Google Scholar] [CrossRef] [PubMed]
- Yamamoto, M.; Wada-Isoe, K.; Yamashita, F.; Nalkashita, S.; Kishi, M.; Tanaka, K.; Yamawaki, M.; Nakashima, K. Association between exercise habits and subcortical gray matter volumes in healthy elderly people: A population-based study in Japan. eNeurologicalSci 2017, 7, 1–6. [Google Scholar] [CrossRef]
- Ozdurak Singin, R.H.; Duz, S.; Kiraz, M. Cortical and Subcortical Brain Volume Alterations Following Endurance Running at 38.6 km and 119.2 km in Male Athletes. Med. Sci. Monit. 2021, 27, e926060. [Google Scholar] [CrossRef] [PubMed]
- Durazzo, T.C.; Meyerhoff, D.J.; Yoder, K.K.; Murray, D.E. Cigarette smoking is associated with amplified age-related volume loss in subcortical brain regions. Drug Alcohol Depend. 2017, 177, 228–236. [Google Scholar] [CrossRef] [PubMed]
- Choi, Y.Y.; Lee, J.J.; Choi, K.Y.; Choi, U.S.; Seo, E.H.; Choo, I.H.; Kim, H.; Song, M.K.; Choi, S.M.; Cho, S.H.; et al. Multi-Racial Normative Data for Lobar and Subcortical Brain Volumes in Old Age: Korean and Caucasian Norms May Be Incompatible With Each Other(dagger). Front. Aging Neurosci. 2021, 13, 675016. [Google Scholar] [CrossRef]
- Roh, J.H.; Qiu, A.; Seo, S.W.; Soon, H.W.; Kim, J.H.; Kim, G.H.; Kim, M.-J.; Lee, J.-M.; Na, D.L. Volume reduction in subcortical regions according to severity of Alzheimer’s disease. J. Neurol. 2011, 258, 1013–1020. [Google Scholar] [CrossRef] [PubMed]
- Rosenberg-Katz, K.; Herman, T.; Jacob, Y.; Kliper, E.; Giladi, N.; Hausdorff, J.M. Subcortical Volumes Differ in Parkinson’s Disease Motor Subtypes: New Insights into the Pathophysiology of Disparate Symptoms. Front. Hum. Neurosci. 2016, 10, 356. [Google Scholar] [CrossRef] [PubMed]
- Hibar, D.P.; the Costa Rica/Colombia Consortium for Genetic Investigation of Bipolar Endophenotypes; Westlye, L.T.; Van Erp, T.G.M.; Rasmussen, J.; Leonardo, C.D.; Faskowitz, J.; Haukvik, U.K.; Hartberg, C.B.; Doan, N.T.; et al. Subcortical volumetric abnormalities in bipolar disorder. Mol. Psychiatry 2016, 21, 1710–1716. [Google Scholar] [CrossRef] [PubMed]
- Hoogman, M.; Bralten, J.; Hibar, D.P.; Mennes, M.; Zwiers, M.P.; Schweren, L.S.J.; van Hulzen, K.J.E.; Medland, S.E.; Shumskaya, E.; Jahanshad, N.; et al. Subcortical brain volume differences in participants with attention deficit hyperactivity disorder in children and adults: A cross-sectional mega-analysis. Lancet Psychiatry 2017, 4, 310–319. [Google Scholar] [CrossRef]
- Zhang, F.F.; Peng, W.; Sweeney, J.A.; Jia, Z.-Y.; Gong, Q.-Y. Brain structure alterations in depression: Psychoradiological evidence. CNS Neurosci. Ther. 2018, 24, 994–1003. [Google Scholar] [CrossRef]
- Johnson, E.B.; Gregory, S. Huntington’s disease: Brain imaging in Huntington’s disease. Prog. Mol. Biol. Transl. Sci. 2019, 165, 321–369. [Google Scholar]
- Blokland, G.A.; de Zubicaray, G.I.; McMahon, K.L.; Wright, M.J. Genetic and environmental influences on neuroimaging phenotypes: A meta-analytical perspective on twin imaging studies. Twin Res. Hum. Genet. 2012, 15, 351–371. [Google Scholar] [CrossRef]
- Lukies, M.W.; Watanabe, Y.; Tanaka, H.; Talkahashi, H.; Ogata, S.; Omura, K.; Yorifuji, S.; Tomiyama, N.; the Osaka University Twin Research Group. Heritability of brain volume on MRI in middle to advanced age: A twin study of Japanese adults. PLoS ONE 2017, 12, e0175800. [Google Scholar] [CrossRef]
- Christova, P.; Joseph, J.; Georgopoulos, A.P. Human Connectome Project: Heritability of brain volumes in young healthy adults. Exp. Brain Res. 2021, 239, 1273–1286. [Google Scholar] [CrossRef]
- Peper, J.S.; Brouwer, R.M.; Boomsma, D.I.; Kahn, R.S.; Pol, H.E.H. Genetic influences on human brain structure: A review of brain imaging studies in twins. Hum. Brain Mapp. 2007, 28, 464–473. [Google Scholar] [CrossRef]
- Wright, I.C.; Sham, P.; Murray, R.; Weinberger, D.; Bullmore, E. Genetic contributions to regional variability in human brain structure: Methods and preliminary results. Neuroimage 2002, 17, 256–271. [Google Scholar] [CrossRef]
- Yoong, M.; Hunter, M.; Stephen, J.; Quigley, A.; Jones, J.; Shetty, J.; McLellan, A.; Bastin, M.E.; Chin, R.F. Cognitive impairment in early onset epilepsy is associated with reduced left thalamic volume. Epilepsy Behav. 2018, 80, 266–271. [Google Scholar] [CrossRef] [PubMed]
- Satizabal, C.L.; Adams, H.H.H.; Hibar, D.P.; White, C.C.; Knol, M.J.; Stein, J.L.; Scholz, M.; Sargurupremraj, M.; Jahanshad, N.; Roshchupkin, G.V.; et al. Genetic architecture of subcortical brain structures in 38,851 individuals. Nat. Genet. 2019, 51, 1624–1636. [Google Scholar] [CrossRef] [PubMed]
- Den Braber, A.; Bohlken, M.M.; Brouwer, R.M.; van’t Ent, D.; Kanai, R.; Kahn, R.S.; de Geus, E.J.; Pol, H.E.H.; Boomsma, D.I. Heritability of subcortical brain measures: A perspective for future genome-wide association studies. Neuroimage 2013, 83, 98–102. [Google Scholar] [CrossRef] [PubMed]
- Le Grand, Q.; Satizabal, C.L.; Sargurupremraj, M.; Mishra, A.; Soumaré, A.; Laurent, A.; Crivello, F.; Tsuchida, A.; Shin, J.; Macalli, M.; et al. Genomic Studies Across the Lifespan Point to Early Mechanisms Determining Subcortical Volumes. Biol. Psychiatry Cogn. Neurosci. Neuroimaging 2022, 7, 616–628. [Google Scholar] [CrossRef] [PubMed]
- Batouli, S.A.; Trollor, J.N.; Wen, W.; Sachdev, P.S. The heritability of volumes of brain structures and its relationship to age: A review of twin and family studies. Ageing Res. Rev. 2014, 13, 1–9. [Google Scholar] [CrossRef]
- Jansen, A.G.; Mous, S.E.; White, T.; Posthuma, D.; Polderman, T.J.C. What twin studies tell us about the heritability of brain development, morphology, and function: A review. Neuropsychol. Rev. 2015, 25, 27–46. [Google Scholar] [CrossRef]
- Tarnoki, A.D.; Tarnoki, D.L.; Forgo, B.; Szabo, H.; Melicher, D.; Metneki, J.; Littvay, L. The Hungarian Twin Registry Update: Turning From a Voluntary to a Population-Based Registry. Twin Res. Hum. Genet. 2019, 22, 561–566. [Google Scholar] [CrossRef]
- Heath, A.C.; Nyholt, D.R.; Neuman, R.; Madden, P.A.; Bucholz, K.K.; Todd, R.D.; Nelson, E.C.; Montgomery, G.W.; Martin, N.G. Zygosity diagnosis in the absence of genotypic data: An approach using latent class analysis. Twin Res. 2003, 6, 22–26. [Google Scholar] [CrossRef][Green Version]
- Rorden, C.; Karnath, H.O.; Bonilha, L. Improving lesion-symptom mapping. J. Cogn. Neurosci. 2007, 19, 1081–1088. [Google Scholar] [CrossRef]
- Gaser, C.; Dahnke, R.; Thompson, P.M.; Kurth, F.; Luders, E. Alzheimer’s Disease Neuroimaging Initiative. A Computational Anatomy Toolbox for the Analysis of Structural MRI Data. Neuroimage, in review. BioRxiv 2022. [Google Scholar] [CrossRef]
- Ashburner, J.; Friston, K.J. Unified segmentation. Neuroimage 2005, 26, 839–851. [Google Scholar] [CrossRef] [PubMed]
- Eickhoff, S.B.; Klaas, E.; Mohlberg, H.; Grefkes, C.; Fink, G.R.; Amunts, K.; Zilles, K. A new SPM toolbox for combining probabilistic cytoarchitectonic maps and functional imaging data. NeuroImage 2005, 25, 1325–1335. [Google Scholar] [CrossRef]
- Rolls, E.T.; Huang, C.C.; Lin, C.P.; Feng, J.; Joliot, M. Automated anatomical labelling atlas 3. Neuroimage 2020, 206, 116189. [Google Scholar] [CrossRef]
- Tzourio-Mazoyer, N.; Landeau, B.; Papathanassiou, D.; Crivello, F.; Etard, O.; Delcroix, N.; Mazoyer, B.; Joliot, M. Automated anatomical labeling of activations in SPM using a macroscopic anatomical parcellation of the MNI MRI single-subject brain. Neuroimage 2002, 15, 273–289. [Google Scholar] [CrossRef] [PubMed]
- Manjón, J.V.; Romero, J.E.; Vivo-Hernando, R.; Rubio, G.; Aparici, F.; de la Iglesia-Vaya, M.; Coupé, P. vol2Brain: A New Online Pipeline for Whole Brain MRI Analysis. Front. Neuroinform. 2022, 16, 862805. [Google Scholar] [CrossRef]
- Manjon, J.V.; Coupe, P. volBrain: An Online MRI Brain Volumetry System. Front. Neuroinform. 2016, 10, 30. [Google Scholar] [CrossRef]
- Ramirez, V.M.; Forbes, F.; Coupé, P.; Dojat, M. No Structural Differences Are Revealed by VBM in ‘De Novo’ Parkinsonian Patients. Stud. Health Technol. Inform. 2019, 264, 268–272. [Google Scholar]
- Tarnoki, D.L.; Tarnoki, A.D.; Lazar, Z.; Medda, E.; Littvay, L.; Cotichini, R.; Fagnani, C.; Stazi, M.A.; Nisticó, L.; Lucatelli, P.; et al. Genetic and environmental factors on the relation of lung function and arterial stiffness. Respir. Med. 2013, 107, 927–935. [Google Scholar] [CrossRef][Green Version]
- Neale, M.C.; Cardon, L. Data Summary. In Methodology for Genetic Studies of Twins and Families; Neale, M.C., Cardon, L.R., Eds.; Kluwer Academic Publishers: Dordrecht, The Netherlands, 1992; pp. 35–53. [Google Scholar]
- Baare, W.F.; Pol, H.E.H.; Boomsma, R.I.; Posthuma, D.; De Geus, E.J.; Schnack, H.G.; Van Haren, N.E.; Van Oel, C.J.; Kahn, R.S. Quantitative genetic modeling of variation in human brain morphology. Cereb. Cortex 2001, 11, 816–824. [Google Scholar] [CrossRef]
- Bartley, A.J.; Jones, D.W.; Weinberger, D.R. Genetic variability of human brain size and cortical gyral patterns. Brain 1997, 120, 257–269. [Google Scholar] [CrossRef] [PubMed]
- Roshchupkin, G.V.; Gutman, B.A.; Vernooij, M.W.; Jahanshad, N.; Martin, N.G.; Hofman, A.; McMahon, K.L.; van der Lee, S.J.; van Duijn, C.M.; de Zubicaray, G.I.; et al. Heritability of the shape of subcortical brain structures in the general population. Nat. Commun. 2016, 7, 13738. [Google Scholar] [CrossRef] [PubMed]
- Renteria, M.E.; Hansell, N.K.; Strike, L.T.; McMahon, K.L.; de Zubicaray, G.I.; Hickie, I.B.; Thompson, P.M.; Martin, N.G.; Medland, S.E.; Wright, M.J. Genetic architecture of subcortical brain regions: Common and region-specific genetic contributions. Genes Brain Behav. 2014, 13, 821–830. [Google Scholar] [CrossRef] [PubMed]
- Eyler, L.T.; Vuoksimaa, E.; Panizzon, M.S.; Fennema-Notestine, C.; Neale, M.C.; Chen, C.-H.; Jak, A.; Franz, C.E.; Lyons, M.J.; Thompson, W.K.; et al. Conceptual and data-based investigation of genetic influences and brain asymmetry: A twin study of multiple structural phenotypes. J. Cogn. Neurosci. 2014, 26, 1100–1117. [Google Scholar] [CrossRef] [PubMed]
- Fama, R.; Sullivan, E.V. Thalamic structures and associated cognitive functions: Relations with age and aging. Neurosci. Biobehav. Rev. 2015, 54, 29–37. [Google Scholar] [CrossRef] [PubMed]
- Wen, W.; Thalamuthu, A.; Mather, K.A.; Zhu, W.; Jiang, J.; De Micheaux, P.L.; Wright, M.J.; Ames, D.; Sachdev, P.S. Distinct Genetic Influences on Cortical and Subcortical Brain Structures. Sci. Rep. 2016, 6, 32760. [Google Scholar] [CrossRef]
- Hibar, D.P.; Initiative, T.A.D.N.; Stein, J.L.; Renteria, M.E.; Arias-Vasquez, A.; Desrivières, S.; Jahanshad, N.; Toro, R.; Wittfeld, K.; Abramovic, L.; et al. Common genetic variants influence human subcortical brain structures. Nature 2015, 520, 224–229. [Google Scholar] [CrossRef]
- Lamballais, S.; Jansen, P.R.; Labrecque, J.A.; Ikram, M.A.; White, T. Genetic scores for adult subcortical volumes associate with subcortical volumes during infancy and childhood. Hum. Brain Mapp. 2021, 42, 1583–1593. [Google Scholar] [CrossRef]
- Hibar, D.P.; Jahanshad, N.; Stein, J.L.; Kohannim, O.; Toga, A.W.; Medland, S.E.; Hansell, N.K.; McMahon, K.L.; de Zubicaray, G.I.; Montgomery, G.W.; et al. Alzheimer’s disease risk gene, GAB2, is associated with regional brain volume differences in 755 young healthy twins. Twin Res. Hum. Genet. 2012, 15, 286–295. [Google Scholar] [CrossRef]
- Roalf, D.R.; Vandekar, S.N.; Almasy, L.; Ruparel, K.; Satterthwaite, T.D.; Elliott, M.A.; Podell, J.; Gallagher, S.; Jackson, C.T.; Prasad, K.; et al. Heritability of subcortical and limbic brain volume and shape in multiplex-multigenerational families with schizophrenia. Biol. Psychiatry 2015, 77, 137–146. [Google Scholar] [CrossRef]
- Glaister, J.; Carass, A.; NessAiver, T.; Stough, J.V.; Saidha, S.; Calabresi, P.A.; Prince, J.L. Thalamus segmentation using multi-modal feature classification: Validation and pilot study of an age-matched cohort. Neuroimage 2017, 158, 430–440. [Google Scholar] [CrossRef] [PubMed]
- Akudjedu, T.N.; Nabulsi, L.; Makelyte, M.; Scanlon, C.; Hehir, S.; Casey, H.; Ambati, S.; Kenney, J.; O’Donoghue, S.; McDermott, E.; et al. A comparative study of segmentation techniques for the quantification of brain subcortical volume. Brain Imaging Behav. 2018, 12, 1678–1695. [Google Scholar] [CrossRef] [PubMed]
- Fischl, B.; Salat, D.H.; Busa, E.; Albert, M.; Dieterich, M.; Haselgrove, C.; van der Kouwe, A.; Killiany, R.; Kennedy, D.; Klaveness, S.; et al. Whole brain segmentation: Automated labeling of neuroanatomical structures in the human brain. Neuron 2002, 33, 341–355. [Google Scholar] [CrossRef]
- Smith, S.M.; Zhanga, Y.; Jenkinson, M.; Chenab, J.; Matthews, P.M.; Federico, A.; de Stefano, N. Accurate, robust, and automated longitudinal and cross-sectional brain change analysis. Neuroimage 2002, 17, 479–489. [Google Scholar] [CrossRef]
- Heinen, R.; Bouvy, W.H.; Mendrik, A.M.; Viergever, M.A.; Biessels, G.J.; de Bresser, J. Robustness of Automated Methods for Brain Volume Measurements across Different MRI Field Strengths. PLoS ONE 2016, 11, e0165719. [Google Scholar] [CrossRef]
- Tavares, V.; Prata, D.; Ferreira, H.A. Comparing SPM12 and CAT12 segmentation pipelines: A brain tissue volume-based age and Alzheimer’s disease study. J. Neurosci. Methods 2019, 334, 108565. [Google Scholar] [CrossRef]
- Buchert, R.; Lange, C.; Suppa, P.; Apostolova, I.; Spies, L.; Teipel, S.; Dubois, B.; Hampel, H.; Grothe, M.J. Magnetic resonance imaging-based hippocampus volume for prediction of dementia in mild cognitive impairment: Why does the measurement method matter so little? Alzheimers Dement. 2018, 14, 976–978. [Google Scholar] [CrossRef]
- Brewer, J.B.; Magda, S.; Airriess, C.; Smith, M. Fully-automated quantification of regional brain volumes for improved detection of focal atrophy in Alzheimer disease. AJNR Am. J. Neuroradiol. 2009, 30, 578–580. [Google Scholar] [CrossRef]



| Total (n = 118) | MZ (n = 86) | DZ (n = 32) | p-Value | |
|---|---|---|---|---|
| Zygosity (nMZ:nDZ) | 86:32 | - | - | - |
| Sex (male:female) | 32:86 | 24:62 | 10:22 | 0.90 |
| Age (years) | 50 ± 27 | 46 ± 23 | 63.5 ± 29.5 | 0.04 †,* |
| Body mass index (kg/m2) | 24.4 ± 4.3 | 24.3 ± 4.6 | 24.5 ± 3.4 | 0.86 |
| Smoking, n (%) | 12 (14.3) | 9 (15.3) | 3 (12.0) | 0.70 |
| Diabetes, n (%) | 6 (7.1) | 4 (6.8) | 2 (8.0) | 0.84 |
| Hypertension, n (%) | 23 (27.4) | 15 (25.4) | 8 (32.0) | 0.54 |
| Hyperlipidemia, n (%) | 20 (23.8) | 16 (27.1) | 4 (16.0) | 0.27 |
| rMZ | rDZ | |
|---|---|---|
| TIV | 0.92 (0.88, 0.95) | 0.50 (0.10, 0.72) |
| Total GM | 0.91 (0.85, 0.94) | 0.27 (−0.16, 0.59) |
| Total WM | 0.93 (0.90, 0.96) | 0.41 (0.01, 0.67) |
| Total CSF | 0.67 (0.46, 0.80) | 0.73 (0.49, 0.85) |
| Right accumbens | 0.90 (0.82, 0.94) | 0.29 (−0.15, 0.64) |
| Left accumbens | 0.86 (0.76, 0.92) | 0.11 (−0.33, 0.52) |
| Right amygdala | 0.87 (0.78, 0.93) | 0.36 (−0.08, 0.68) |
| Left amygdala | 0.74 (0.56, 0.85) | 0.16 (−0.30, 0.56) |
| Right caudate | 0.87 (0.78, 0.93) | 0.66 (0.32, 0.85) |
| Left caudate | 0.90 (0.82, 0.94) | 0.44 (0.02, 0.74) |
| Right pallidum | 0.91 (0.85, 0.95) | 0.43 (0.02, 0.72) |
| Left pallidum | 0.90 (0.83, 0.95) | 0.25 (−0.20, 0.61) |
| Right putamen | 0.90 (0.82, 0.94) | 0.20 (−0.24, 0.57) |
| Left putamen | 0.92 (0.86, 0.96) | 0.02 (−0.41, 0.44) |
| Right thalamus | 0.74 (0.57, 0.85) | 0.73 (0.43, 0.88) |
| Left thalamus | 0.87 (0.78, 0.93) | 0.72 (0.42, 0.88) |
| A | C | E | Model Fit (p-Value) | |
|---|---|---|---|---|
| TIV | 0.93 (0.89, 0.96) | 0 | 0.07 (0.05, 0.11) | 1 |
| Total GM | 0.93 (0.88, 0.96) | 0 | 0.08 (0.04, 0.12) | 1 |
| Total WM | 0.93 (0.89, 0.96) | 0 | 0.07 (0.04, 0.11) | 1 |
| Total CSF | 0.81 (0.67, 0.89) | 0 | 0.19 (0.11, 0.33) | 0.92 |
| Right accumbens | 0.90 (0.86, 0.94) | 0 | 0.10 (0.06, 0.15) | 1 |
| Left accumbens | 0.91 (0.83, 0.95) | 0 | 0.09 (0.05, 0.17) | 1 |
| Right amygdala | 0.86 (0.76, 0.91) | 0 | 0.15 (0.09, 0.24) | 1 |
| Left amygdala | 0.75 (0.58, 0.86) | 0 | 0.25 (0.14, 0.42) | 1 |
| Right caudate | 0.87 (0.79, 0.92) | 0 | 0.13 (0.08, 0.21) | 0.14 |
| Left caudate | 0.91 (0.84, 0.94) | 0 | 0.09 (0.06, 0.16) | 1 |
| Right pallidum | 0.90 (0.84, 0.94) | 0 | 0.10 (0.06, 0.16) | 0.85 |
| Left pallidum | 0.93 (0.9, 0.96) | 0 | 0.07 (0.04, 0.13) | 1 |
| Right putamen | 0.90 (0.82, 0.94) | 0 | 0.10 (0.06, 0.18) | 1 |
| Left putamen | 0.95 (0.93, 0.97) | 0 | 0.05 (0.03, 0.07) | 1 |
| Right thalamus | 0 | 0.73 (0.59, 0.83) | 0.27 (0.17, 0.41) | 0.74 |
| Left thalamus | 0.44 (0.13, 0.91) | 0.45 (0, 0.75) | 0.11 (0.07, 0.19) | - |
| rMZ | rDZ | |
|---|---|---|
| TIV | 0.93 (0.89, 0.95) | 0.36 (−0.06, 0.64) |
| Total GM | 0.94 (0.89, 0.96) | 0.27 (−0.16, 0.58) |
| Total WM | 0.88 (0.81, 0.9) | 0.42 (0.02, 0.67) |
| Total CSF | 0.79 (0.64, 0.88) | 0.34 (−0.13, 0.71) |
| Right accumbens | 0.72 (0.55, 0.84) | −0.02 (−0.45, 0.42) |
| Left accumbens | 0.79 (0.64, 0.88) | −0.07 (−0.49, 0.38) |
| Right amygdala | 0.83 (0.70, 0.90) | 0.59 (0.21, 0.82) |
| Left amygdala | 0.78 (0.64, 0.88) | 0.71 (0.40, 0.88) |
| Right caudate | 0.89 (0.80, 0.94) | 0.59 (0.21, 0.82) |
| Left caudate | 0.91 (0.84, 0.95) | 0.68 (0.34, 0.86) |
| Right pallidum | 0.87 (0.77, 0.92) | 0.49 (0.08, 0.76) |
| Left pallidum | 0.85 (0.74, 0.92) | 0.50 (0.08, 0.76) |
| Right putamen | 0.92 (0.85, 0.95) | 0.17 (−0.28, 0.56) |
| Left putamen | 0.89 (0.81, 0.94) | 0.20 (−0.26, 0.58) |
| Right thalamus | 0.68 (0.48, 0.81) | 0.83 (0.61, 0.93) |
| Left thalamus | 0.86 (0.76, 0.92) | 0.86 (0.69, 0.94) |
| A | C | E | Model Fit (p-Value) | |
|---|---|---|---|---|
| TIV | 0.93 (0.90, 0.96) | 0 | 0.07 (0.04, 0.10) | 1 |
| Total GM | 0.94 (0.90, 0.96) | 0 | 0.06 (0.04, 0.10) | 1 |
| Total WM | 0.88 (0.80, 0.92) | 0 | 0.12 (0.08, 0.20) | 1 |
| Total CSF | 0.74 (0.60, 0.84) | 0 | 0.26 (0.16, 0.40) | 0.45 |
| Right accumbens | 0.69 (0.49, 0.82) | 0 | 0.31 (0.18, 0.52) | 1 |
| Left accumbens | 0.78 (0.62, 0.87) | 0 | 0.23 (0.13, 0.38) | 1 |
| Right amygdala | 0.80 (0.68, 0.88) | 0 | 0.20 (0.12, 0.32) | 0.21 |
| Left amygdala | 0 | 0.76 (0.63, 0.85) | 0.24 (0.16, 0.37) | 0.51 |
| Right caudate | 0.88 (0.80, 0.93) | 0 | 0.12 (0.07, 0.20) | 0.31 |
| Left caudate | 0.91 (0.85, 0.94) | 0 | 0.09 (0.06, 0.16) | 0.14 |
| Right pallidum | 0.84 (0.75, 0.90) | 0 | 0.16 (0.10, 0.25) | 0.37 |
| Left pallidum | 0.84 (0.75, 0.91) | 0 | 0.16 (0.10, 0.26) | 0.64 |
| Right putamen | 0.92 (0.86, 0.95) | 0 | 0.08 (0.05, 0.14) | 1 |
| Left putamen | 0.90 (0.82, 0.94) | 0 | 0.10 (0.06, 0.18) | 1 |
| Right thalamus | 0 | 0.72 (0.57, 0.82) | 0.28 (0.18, 0.43) | 1 |
| Left thalamus | 0 | 0.85 (0.77, 0.91) | 0.15 (0.09, 0.23) | 0.34 |
| Pearson’s Correlation Coefficient (r) | p-Value | |
|---|---|---|
| Right amygdala | 0.89 | < 0.001 * |
| Left amygdala | 0.85 | < 0.001 * |
| Right caudate | 0.90 | < 0.001 * |
| Left caudate | 0.91 | < 0.001 * |
| Right pallidum | 0.94 | < 0.001 * |
| Left pallidum | 0.92 | < 0.001 * |
| Right putamen | 0.93 | < 0.001 * |
| Left putamen | 0.93 | < 0.001 * |
| Right thalamus | 0.74 | < 0.001 * |
| Left thalamus | 0.79 | < 0.001 * |
| Right accumbens | 0.85 | < 0.001 * |
| Left accumbens | 0.86 | < 0.001 * |
Publisher’s Note: MDPI stays neutral with regard to jurisdictional claims in published maps and institutional affiliations. |
© 2022 by the authors. Licensee MDPI, Basel, Switzerland. This article is an open access article distributed under the terms and conditions of the Creative Commons Attribution (CC BY) license (https://creativecommons.org/licenses/by/4.0/).
Share and Cite
Strelnikov, D.; Alijanpourotaghsara, A.; Piroska, M.; Szalontai, L.; Forgo, B.; Jokkel, Z.; Persely, A.; Hernyes, A.; Kozak, L.R.; Szabo, A.; et al. Heritability of Subcortical Grey Matter Structures. Medicina 2022, 58, 1687. https://doi.org/10.3390/medicina58111687
Strelnikov D, Alijanpourotaghsara A, Piroska M, Szalontai L, Forgo B, Jokkel Z, Persely A, Hernyes A, Kozak LR, Szabo A, et al. Heritability of Subcortical Grey Matter Structures. Medicina. 2022; 58(11):1687. https://doi.org/10.3390/medicina58111687
Chicago/Turabian StyleStrelnikov, David, Amirreza Alijanpourotaghsara, Marton Piroska, Laszlo Szalontai, Bianka Forgo, Zsofia Jokkel, Alíz Persely, Anita Hernyes, Lajos Rudolf Kozak, Adam Szabo, and et al. 2022. "Heritability of Subcortical Grey Matter Structures" Medicina 58, no. 11: 1687. https://doi.org/10.3390/medicina58111687
APA StyleStrelnikov, D., Alijanpourotaghsara, A., Piroska, M., Szalontai, L., Forgo, B., Jokkel, Z., Persely, A., Hernyes, A., Kozak, L. R., Szabo, A., Maurovich-Horvat, P., Tarnoki, D. L., & Tarnoki, A. D. (2022). Heritability of Subcortical Grey Matter Structures. Medicina, 58(11), 1687. https://doi.org/10.3390/medicina58111687

