Ascites as First Atypical and Only Clinical Manifestation of De Novo Follicular Lymphoma
Abstract
1. Introduction
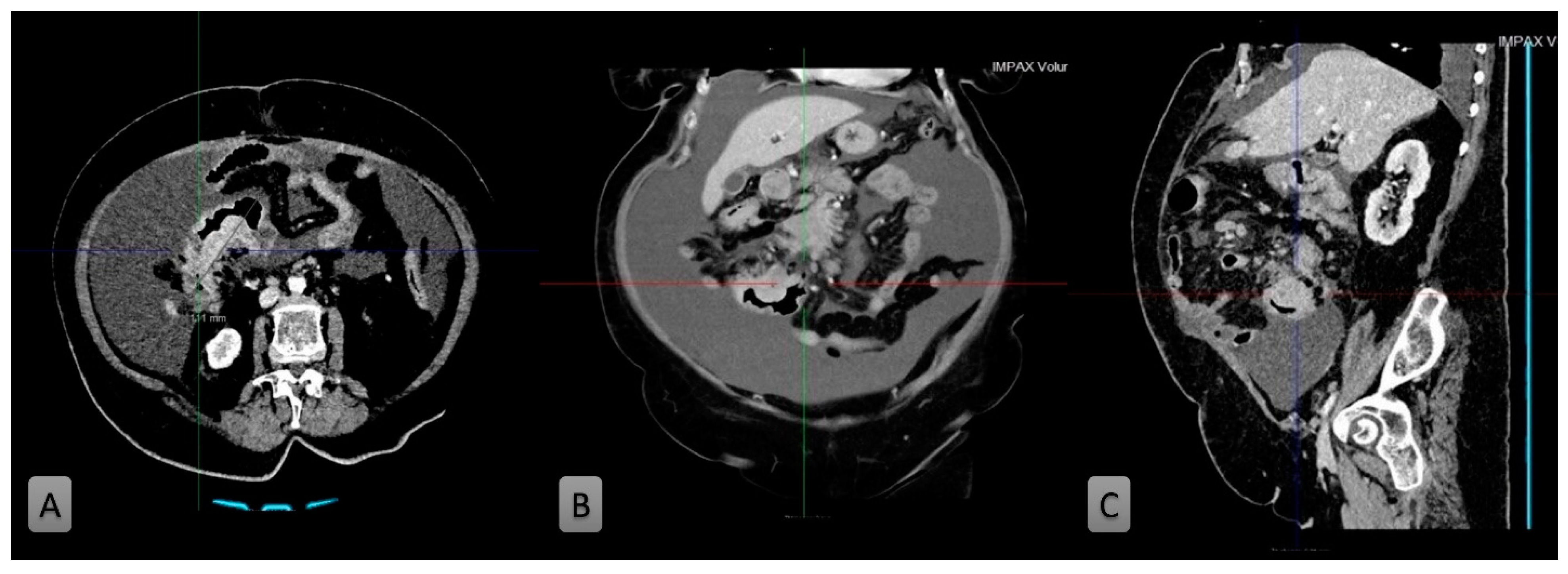
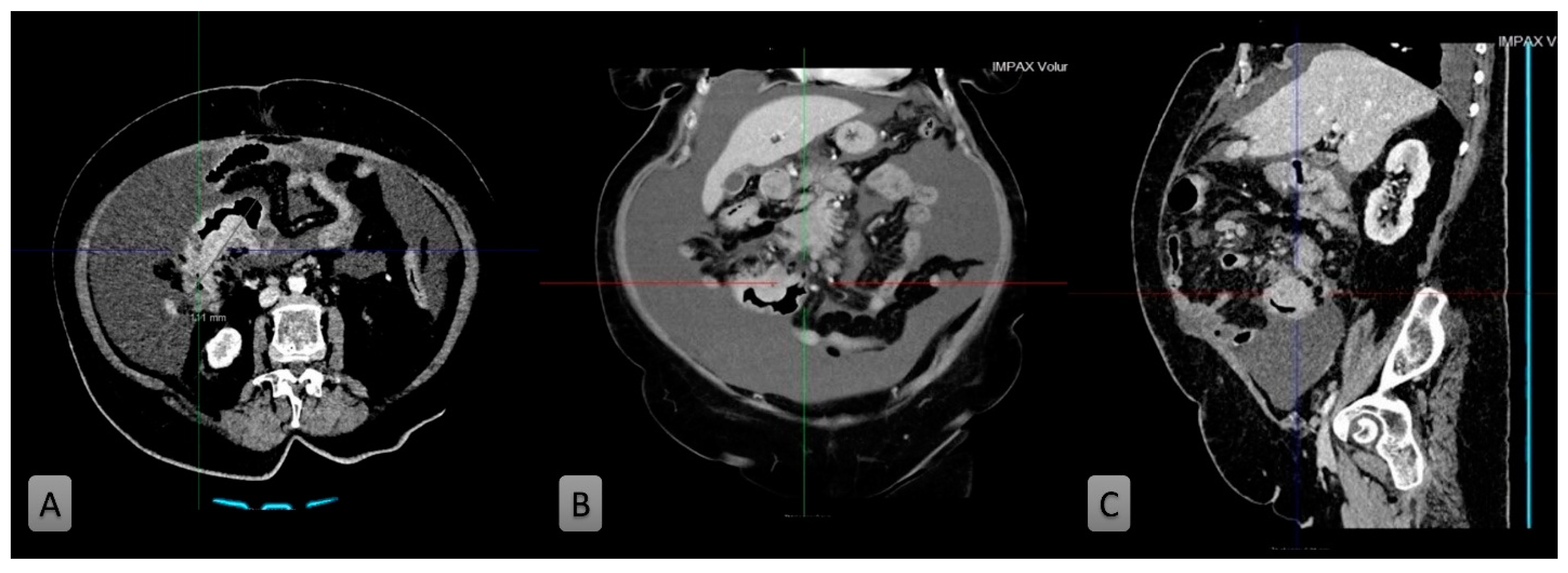
2. Case Presentation
3. Discussion and Conclusions
Author Contributions
Funding
Institutional Review Board Statement
Informed Consent Statement
Data Availability Statement
Conflicts of Interest
References
- Rodgers, T.D.; Casulo, C.; Boissard, F.; Launonen, A.; Parreira, J.; Cartron, G. Early Relapse in First-Line Follicular Lymphoma: A Review of the Clinical Implications and Available Mitigation and Management Strategies. Oncol. Ther. 2021, 9, 329–346. [Google Scholar] [CrossRef] [PubMed]
- Diamantidis, M.D.; Papaioannou, M.; Hatjiharissi, E. Primary gastric non-Hodgkin lymphomas: Recent advances regarding disease pathogenesis and treatment. WJG 2021, 27, 5932–5945. [Google Scholar] [CrossRef] [PubMed]
- Zheng, G.; Wang, Y.; Zhao, Y.; Zheng, Z. Clinicopathological Features, Treatment Strategy, and Prognosis of Primary Non-Hodgkin’s Lymphoma of the Duodenum: A SEER Database Analysis. Can. J. Gastroenterol. Hepatol. 2020, 2020, 9327868. [Google Scholar] [CrossRef] [PubMed]
- Randall, C.; Fedoriw, Y. Pathology and diagnosis of follicular lymphoma and related entities. Pathology 2020, 52, 30–39. [Google Scholar] [CrossRef] [PubMed]
- Yamamoto, S.; Nakase, H.; Yamashita, K.; Matsuura, M.; Takada, M.; Kawanami, C.; Chiba, T. Gastrointestinal follicular lymphoma: Review of the literature. J. Gastroenterol. 2010, 45, 370–388. [Google Scholar] [CrossRef] [PubMed]
- Makita, S.; Maruyama, D.; Maeshima, A.M.; Taniguchi, H.; Yuda, S.; Toyoda, K.; Yamauchi, N.; Fukuhara, S.; Munakata, W.; Kobayashi, Y.; et al. A comparison of clinical staging using the Lugano versus Ann Arbor classifications in Japanese patients with Hodgkin lymphoma. Asia Pac. J. Clin. Oncol. 2020, 16, 108–114. [Google Scholar] [CrossRef] [PubMed]
- A clinical evaluation of the International Lymphoma Study Group classification of non-Hodgkin’s lymphoma. The Non-Hodgkin’s Lymphoma Classification Project. Blood 1997, 89, 3909–3918. [CrossRef]
- Mann, R.B.; Berard, C.W. Criteria for the cytologic subclassification of follicular lymphomas: A Proposed alternative method. Hematol. Oncol. 2007, 1, 187–192. [Google Scholar] [CrossRef] [PubMed]
- Das, D. Contribution of immunocytochemistry to the diagnosis of usual and unusual lymphoma cases. J. Cytol. 2018, 35, 163. [Google Scholar] [CrossRef] [PubMed]
- Esmeray, E.; Küçük, C. Genetic alterations in B cell lymphoma subtypes as potential biomarkers for noninvasive diagnosis, prognosis, therapy, and disease monitoring. Turk. J. Biol. 2020, 44, 1–14. [Google Scholar] [PubMed]



Publisher’s Note: MDPI stays neutral with regard to jurisdictional claims in published maps and institutional affiliations. |
© 2022 by the authors. Licensee MDPI, Basel, Switzerland. This article is an open access article distributed under the terms and conditions of the Creative Commons Attribution (CC BY) license (https://creativecommons.org/licenses/by/4.0/).
Share and Cite
Zdravkovic, N.D.; Grbovic, V.M.; Vojinovic, R.H.; Stolic, R.V.; Zivic, J.Z.; Maksic, M.M.; Zivic, Z.P.; Andjelkovic, N.V.; Zivic, M.Z.; Todorovic, Z.D. Ascites as First Atypical and Only Clinical Manifestation of De Novo Follicular Lymphoma. Medicina 2022, 58, 1381. https://doi.org/10.3390/medicina58101381
Zdravkovic ND, Grbovic VM, Vojinovic RH, Stolic RV, Zivic JZ, Maksic MM, Zivic ZP, Andjelkovic NV, Zivic MZ, Todorovic ZD. Ascites as First Atypical and Only Clinical Manifestation of De Novo Follicular Lymphoma. Medicina. 2022; 58(10):1381. https://doi.org/10.3390/medicina58101381
Chicago/Turabian StyleZdravkovic, Natasa D., Vesna M. Grbovic, Radisa H. Vojinovic, Radojica V. Stolic, Jelena Z. Zivic, Mladen M. Maksic, Ziva P. Zivic, Nebojsa V. Andjelkovic, Milos Z. Zivic, and Zeljko D. Todorovic. 2022. "Ascites as First Atypical and Only Clinical Manifestation of De Novo Follicular Lymphoma" Medicina 58, no. 10: 1381. https://doi.org/10.3390/medicina58101381
APA StyleZdravkovic, N. D., Grbovic, V. M., Vojinovic, R. H., Stolic, R. V., Zivic, J. Z., Maksic, M. M., Zivic, Z. P., Andjelkovic, N. V., Zivic, M. Z., & Todorovic, Z. D. (2022). Ascites as First Atypical and Only Clinical Manifestation of De Novo Follicular Lymphoma. Medicina, 58(10), 1381. https://doi.org/10.3390/medicina58101381

