A Histological Evaluation of Artificial Dermal Scaffold Used in Micrograft Treatment: A Case Study of Micrograft and NPWT Performed on a Postoperative Ulcer Formation after Tumor Resection
Abstract
:1. Introduction
2. Materials and Methods
2.1. Preparation of Micrograft
2.2. Micrograft Infusion into Artificial Dermis and Transplantation
2.3. Histological Examination
2.4. Follow-Up after the Micrograft Transplant
3. Results
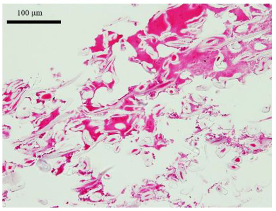
3.1. HE Staining of the Artificial Dermal Scaffold
3.2. Staining of Cytokeratin AE1/AE3
3.3. Staining of Desmin
3.4. Staining of FactorVIII
3.5. NPWT Dressing on Postoperative Day 3
4. Discussion
4.1. The Micrograft Concept
4.2. In Consideration of Our Case Study
5. Conclusions
Author Contributions
Funding
Institutional Review Board Statement
Informed Consent Statement
Data Availability Statement
Conflicts of Interest
References
- Balli, M.; Vitali, F.; Janiszewski, A.; Caluwe, E.; Cortes-Calabuig, A.; Carpentier, S.; Duelen, R.; Ronzoni, F.; Marcelis, L.; Bosisio, F.M.; et al. Autologous micrograft accelerates endogenous wound healing response through ERK-induced cell migration. Cell Death Differ. 2020, 27, 1520–1538. [Google Scholar] [CrossRef] [PubMed] [Green Version]
- Trovato, L.; Monti, M.; Del Fante, C.; Cervio, M.; Lampinen, M.; Ambrosio, L.; Redi, C.A.; Perotti, C.; Kankuri, E.; Ambrosio, G.; et al. A new medical device rigeneracons allows to obtain viable micro-grafts from mechanical disaggregation of human tissues. J. Cell. Physiol. 2015, 10, 2299–2303. [Google Scholar] [CrossRef] [PubMed]
- Graziano, A.; Carinci, F.; D’Aquino, R. Periodontal tissue generation using autologous dental ligament micro-grafts: Case report with 6 months follow-up. Ann. Oral Maxillofac. Surg. 2014, 17, 644–647. [Google Scholar]
- De Francesco, F.; Graziano, A.; Trovato, L.; Ceccarelli, G.; Romano, M.; Marcarelli, M.; Cusella de Angelis, G.; Cilloo, U.; Riccio, M.; Ferraro, G.A. A regenerative approach with dermal micrografts in the treatment of chronic ulcers. Stem Cell Rev. Rep. 2017, 13, 139–148. [Google Scholar] [CrossRef] [PubMed]
- Trovato, L.; Failla, G.; Serantoni, S.; Palumbo, F.P. Regenerative surgery in the management of the leg ulcers. J. Cell Sci. Ther. 2016, 7, 238. [Google Scholar] [CrossRef]
- Andreone, A.; Giaquinto-Cillers, M. Reconstruction of Scalp Defects with Exposed Bone Using Dermis Template (Integra®) with or without Autologous Skin Micrografts (Rigenera®) and Flowable Wound Matrix (Integra®); Wounds International: London, UK, 2021; pp. 58–65. [Google Scholar]
- Reverdin, J.L. Graffe epidermique. Experience faite dans le service de le docteur Guyon, M. a l’hopital Necker. Bull. Imp. Soc. Chir. Paris 1869, 10, 511–515. [Google Scholar]
- Padgett, E.C. The calibrated skin graft—A new principle and a new type of graft. Surg. Gynecol. Obstet. 1939, 69, 779–793. [Google Scholar]
- Gabarro, P. A new method of grafting. Br. Med. J. 1943, 1, 723–724. [Google Scholar] [CrossRef] [PubMed]
- Chick, L.R. Brief history and biology of skin grafting. Ann. Plast. Surg. 1988, 21, 458–465. [Google Scholar] [CrossRef] [PubMed]
- Converse, J.M. Early skin grafting in war wounds of the extremities. Ann. Surg. 1942, 115, 321–345. [Google Scholar] [CrossRef] [PubMed]
- Biswas, A.; Bharara, M.; Hurst, C.; Armstrong, D.G.; Rilo, H. The Micrograft concept for wound healing: Strategies and applications. J. Diabetes Sci. Technol. 2010, 4, 808–819. [Google Scholar] [CrossRef] [PubMed] [Green Version]
- Zhang, M.L.; Han, X.; Zhu, M. Microskin grafting. I. Animal experiments. Burns Incl. Therm. Inj. 1986, 12, 540–543. [Google Scholar] [CrossRef]
- Zhang, M.L.; Wang, C.Y.; Chang, Z.D.; Cao, D.X.; Han, X. Microskin grafting. II. Clinical report. Burns Incl Therm. Inj. 1986, 12, 544–548. [Google Scholar] [CrossRef]
- Jimi, S.; Kimura, M.; De Francesco, F.; Riccio, M.; Hara, S.; Ohjimi, H. Acceleration mechanisms of skin wound healing by autologous micrograft in mice. Int. J. Mol. Sci. 2017, 18, 1675. [Google Scholar] [CrossRef] [PubMed]
- Astarita, C.; Arora, C.L.; Trovato, L. Tissue regeneration: An overview from stem cells to micrografts. J. Int. Med. Res. 2020, 48, 4794. [Google Scholar] [CrossRef] [PubMed]
- Tresoldi, M.M.; Graziano, A.; Malovini, A.; Faga, A.; Nicoletti, G. The role of autologous dermal micrografts in regenerative surgery: A clinical experimental study. Stem Cells Int. 2019, 2019, 9843407. [Google Scholar] [CrossRef] [PubMed] [Green Version]
- Jimi, S.; Takagi, S.; De Francesco, F.; Miyazaki, M.; Saparov, A. Acceleration of skin wound-healing reactions by autologous micrograft tissue suspension. Medicina 2020, 56, 321. [Google Scholar] [CrossRef] [PubMed]
- Giaccone, M.; Brunetti, M.; Camandona, M.; Trovato, L.; Graziano, A. A new medical device, based on rigenera protocol, in the management of complex wounds. J. Stem Cells Res. Rev. Rep. 2016, 1, 1013. [Google Scholar]








| Published Year & Author | Name of Graft Technique | Graft Size | Expansion Ratio | Cutting Method |
|---|---|---|---|---|
| 1869: JL Reverdin | Pinch graft | 2–5 mm2 | 6–7 | Lifting the epidermis with a needle point and cutting the lifted epidermis with a scalper for harvesting. |
| 1943: P Gabbaro | Patch graft/ Scrap graft | 1.27 mm2 Various sizes | 6–9 | Donor skin that is one-sixth to one-ninth the size of the wound is placed on paper with dermis side up, and cut into small squares. A modified method uses a split-thickness skin graft, cutting them into small postage stamp sizes, known as “scrap grafts”. |
| 1958: CP Meek | Meek microdermagraft | 1.58 mm2 | 9 | Placing the graft on a cork carrier to create microskin grafts using the Meek-wall Microdermatome. |
| 1986: ML Zhang et al. | Microskin graft | 1 mm2 | 7–100 | Skin is minced with scissors into pieces smaller than 1 mm2. |
| 1987: SD Blair et al. | Microscopic split-skin graft | 40–200 µm2 | 20–26 | The technique uses a histological tissue slicer to prepare diced grafts that are 200 µm2 in area. |
| 1993: RW Kreis et al. | Modified Meek Technique | 9 mm2 | 10 | Modified meek-wall dermatome. |
| 2000: SS Lee et al. | Modified postage stamp graft | 25 mm2 | 9 | The skin is placed on stainless-steel plates called “quick cutting plates” for cutting the graft. |
| 2002: W Xie et al. | Microskin grafting by spraying | 0.04–0.25 mm2 | 110–150 | Harvested tissue fragment is cut into pieces of 0.2–0.5 mm in size. |
| 2009: Y Rissin et al. | Modified skin suspension technique | 0.4 mm2 | 15 | Pulse blending the skin and then spreading the particles over a synthetic fenestrated Telfa sheets. |
| 2015: L Trovato et al. | Micrograft technique | 80 µm | 20 | Disaggregation into 80 µm size using Rigenera® system [16,17] |
Publisher’s Note: MDPI stays neutral with regard to jurisdictional claims in published maps and institutional affiliations. |
© 2022 by the authors. Licensee MDPI, Basel, Switzerland. This article is an open access article distributed under the terms and conditions of the Creative Commons Attribution (CC BY) license (https://creativecommons.org/licenses/by/4.0/).
Share and Cite
Niimi, Y.; Baba, K.; Tsuchida, M.; Takeda, A. A Histological Evaluation of Artificial Dermal Scaffold Used in Micrograft Treatment: A Case Study of Micrograft and NPWT Performed on a Postoperative Ulcer Formation after Tumor Resection. Medicina 2022, 58, 73. https://doi.org/10.3390/medicina58010073
Niimi Y, Baba K, Tsuchida M, Takeda A. A Histological Evaluation of Artificial Dermal Scaffold Used in Micrograft Treatment: A Case Study of Micrograft and NPWT Performed on a Postoperative Ulcer Formation after Tumor Resection. Medicina. 2022; 58(1):73. https://doi.org/10.3390/medicina58010073
Chicago/Turabian StyleNiimi, Yuta, Kyoko Baba, Masako Tsuchida, and Akira Takeda. 2022. "A Histological Evaluation of Artificial Dermal Scaffold Used in Micrograft Treatment: A Case Study of Micrograft and NPWT Performed on a Postoperative Ulcer Formation after Tumor Resection" Medicina 58, no. 1: 73. https://doi.org/10.3390/medicina58010073
APA StyleNiimi, Y., Baba, K., Tsuchida, M., & Takeda, A. (2022). A Histological Evaluation of Artificial Dermal Scaffold Used in Micrograft Treatment: A Case Study of Micrograft and NPWT Performed on a Postoperative Ulcer Formation after Tumor Resection. Medicina, 58(1), 73. https://doi.org/10.3390/medicina58010073

