Medulloblastoma Presenting as Severe Headache during Pregnancy: A Case Report and Review of the Literature
Abstract
1. Introduction
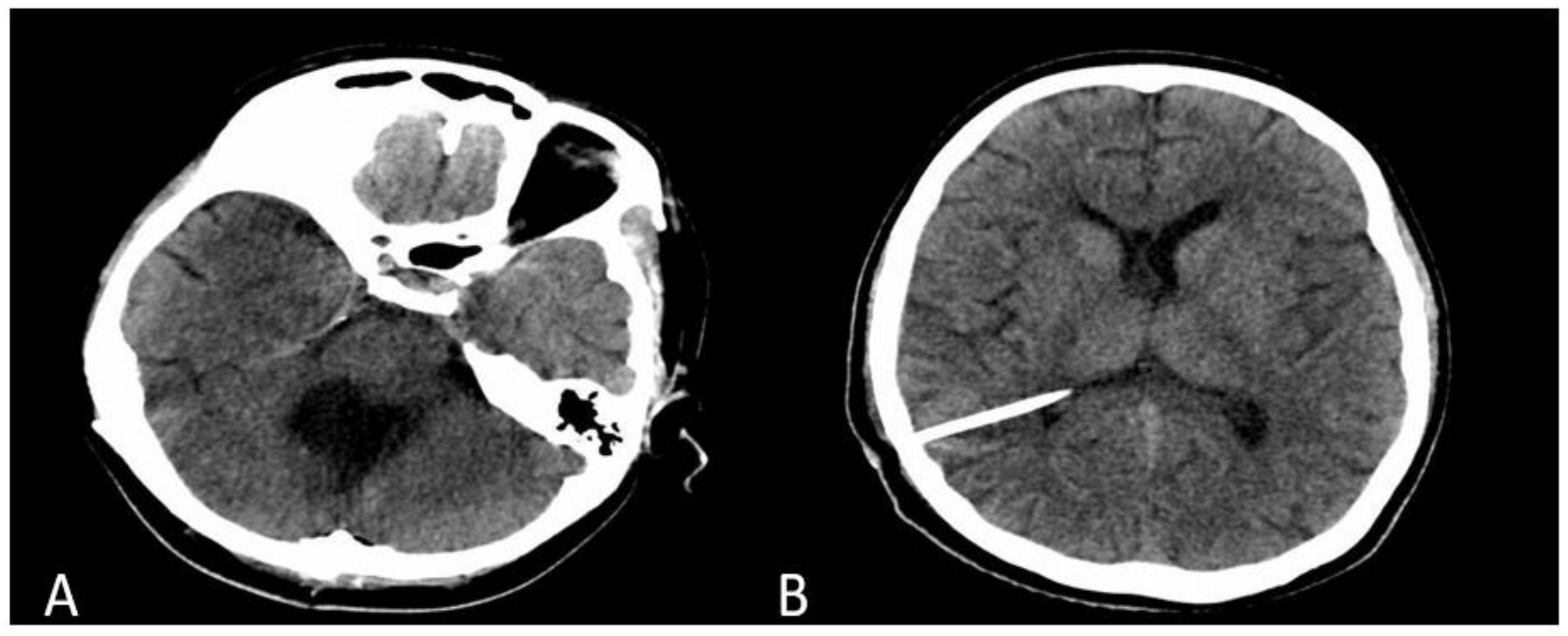
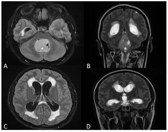
2. Case Presentation
3. Discussion
4. Conclusions
Author Contributions
Funding
Institutional Review Board Statement
Informed Consent Statement
Data Availability Statement
Conflicts of Interest
References
- Farwell, J.R.; Dohrmann, G.J.; Flannery, J.T. Medulloblastoma in childhood: An epidemiological study. J. Neurosurg. 1984, 61, 657–664. [Google Scholar] [CrossRef]
- Merchant, T.E.; Pollack, I.F.; Loeffler, J.S. Brain Tumors Across the Age Spectrum: Biology, Therapy, and Late Effects. Semin. Radiat. Oncol. 2010, 20, 58–66. [Google Scholar] [CrossRef]
- Faried, A.; Pribadi, M.; Sumargo, S.; Arifin, M.; Hernowo, B. Adult medulloblastoma: A rare case report and literature review. Surg. Neurol. Int. 2016, 7 (Suppl. S17), S481. [Google Scholar] [CrossRef] [PubMed]
- Franceschi, E.; Hofer, S.; Brandes, A.A.; Frappaz, D.; Kortmann, R.-D.; Bromberg, J.; Dangouloff-Ros, V.; Boddaert, N.; Hattingen, E.; Wiestler, B.; et al. EANO–EURACAN clinical practice guideline for diagnosis, treatment, and follow-up of post-pubertal and adult patients with medulloblastoma. Lancet Oncol. 2019, 20, e715–e728. [Google Scholar] [CrossRef]
- Louis, D.N.; Perry, A.; Wesseling, P.; Brat, D.J.; Cree, I.A.; Figarella-Branger, D.; Hawkins, C.; Ng, H.K.; Pfister, S.M.; Reifenberger, G.; et al. The 2021 WHO Classification of Tumors of the Central Nervous System: A summary. Neuro-Oncology 2021, 23, 1231–1251. [Google Scholar] [CrossRef] [PubMed]
- Maggioni, F.; Alessi, C.; Maggino, T.; Zanchin, G. Headache During Pregnancy. Cephalalgia 1997, 17, 765–769. [Google Scholar] [CrossRef]
- Negro, A.; Delaruelle, Z.; Ivanova, T.A.; Khan, S.; Ornello, R.; Raffaelli, B.; Terrin, A.; Reuter, U.; Mitsikostas, D.D. European Headache Federation School of Advanced Studies (EHF-SAS). Headache and pregnancy: A systematic review. J. Headache Pain 2017, 18, 106. [Google Scholar] [CrossRef] [PubMed]
- Robbins, M.S.; Farmakidis, C.; Dayal, A.K.; Lipton, R.B. Acute headache diagnosis in pregnant women: A hospital-based study. Neurology 2015, 85, 1024–1030. [Google Scholar] [CrossRef] [PubMed]
- Raffaelli, B.; Siebert, E.; Körner, J.; Liman, T.; Reuter, U.; Neeb, L. Characteristics and diagnoses of acute headache in pregnant women—A retrospective cross-sectional study. J. Headache Pain 2017, 18, 1–9. [Google Scholar] [CrossRef]
- Mitsikostas, D.D.; Ashina, M.; Craven, A.; Diener, H.C.; Goadsby, P.J.; Ferrari, M.D.; Lampl, C.; Paemeleire, K.; Pascual, J.; Siva, A. European Headache Federation consensus on technical investigation for primary headache disorders. J. Headache Pain 2015, 17, 1–8. [Google Scholar] [CrossRef]
- Kanekar, S.; Bennett, S. Imaging of Neurologic Conditions in Pregnant Patients. Radiographics 2016, 36, 2102–2122. [Google Scholar] [CrossRef] [PubMed]
- Pollack, R.; Pollack, M.; Rochon, L. Pregnancy complicated by medulloblastoma withmetastases to the placenta. Obs. Gynecol. 1993, 81, 858–859. [Google Scholar]
- Nishio, S.; Morioka, T.; Suzuki, S.; Takeshita, I.; Ikezaki, K.; Fukui, M. Primary brain tumours manifesting during pregnancy: Presentation ofsix cases and a review of the literature. J. Clin. Neurosci. 1996, 3, 334–337. [Google Scholar] [CrossRef]
- Razak, A.R.A.; Nasser, Q.; Morris, P.; Alcutt, D.; Grogan, L. Medulloblastoma in two successive pregnancies. J. Neuro-Oncol. 2005, 73, 89–90. [Google Scholar] [CrossRef] [PubMed]
- Aravind, A.; Shakeel, S.; Potdar, M.; Gujjar, P.; Dewoolkar, L. Posterior fossa surgery in the sitting position in a pregnant patient with medulloblastoma. Internet J. Anesthesiol. 2007, 16, 1–5. [Google Scholar]
- Ishak, M. Pregnant patient presenting with syncope and a medulloblastoma: A case report. Med. Stud. Res. J. 2011, 1, 5–7. [Google Scholar] [CrossRef][Green Version]
- Kwak, S.H.; Park, I.Y.; We, J.S.; Choi, M.R.; Shin, J.C. A case report on successful pregnancy and delivery in a medulloblastoma patient. Korean J. Obs. Gynecol. 2011, 54, 147–150. [Google Scholar] [CrossRef]
- Ventura, F.; Barranco, R.; Gentile, R.; Vergani, P. Unexpected and sudden death due to undiagnosed medulloblas-toma in twin pregnancy: A case report. Forensic Sci. Int. 2016, 266, e14–e17. [Google Scholar] [CrossRef]
- Sharma, S.; Tripathi, A. Pregnant patient presenting with headache and medul-loblastoma and hydrocephalous: A case report. Int. J. Reprod. Contracept. Obs. Gynecol. 2014, 3, 229–230. [Google Scholar] [CrossRef][Green Version]
- Gergawi, T.; Hazari, K.S.; Qadra, A.; Dissi, N.A.; Fazari, A.B. Medulloblastoma in Pregnancy, Case Report from Latifa Hospital, DHA, Dubai, UAE. Open J. Obstet. Gynecol. 2019, 9, 129–135. [Google Scholar] [CrossRef]
- Chuchuca, A.V.; Achi, X.W.; Torres, L.U. Medulloblastoma during pregnancy: Hormone-mediated association? Report of 2 cases. Neurochirurgie 2021, 67, 140–144. [Google Scholar] [CrossRef]
- Proença, F.; Guerreiro, C.; Sá, G.; Reimão, S. Neuroimaging safety during pregnancy and lactation: A review. Neuroradiology 2021, 63, 837–845. [Google Scholar] [CrossRef]
- Aljoghaiman, M.; Taha, M.S.; Abdulkader, M.M. Cerebellar Medulloblastoma in Middle-to-Late Adulthood. Case Rep. Pathol. 2018, 2018, 1–4. [Google Scholar] [CrossRef] [PubMed]
- Yust-Katz, S.; de Groot, J.F.; Liu, D.; Wu, J.; Yuan, Y.; Anderson, M.D.; Conrad, C.A.; Milbourne, A.; Gilbert, M.R.; Armstrong, T.S. Pregnancy and glial brain tumors. Neuro-Oncology 2014, 16, 1289–1294. [Google Scholar] [CrossRef] [PubMed]
- Özer, E.; Sarialioglu, F.; Çetingöz, R.; Yuceer, N.; Cakmakci, H.; Ozkal, S.; Olgun, N.; Uysal, K.; Corapcioglu, F.; Canda, Ş.; et al. Prognostic significance of anaplasia and angiogenesis in childhood medulloblastoma: A pediatric oncology group study. Pathol. Res. Pract. 2004, 200, 501–509. [Google Scholar] [CrossRef] [PubMed]
- Moschovi, M.; Koultouki, E.; Stefanaki, K.; Sfakianos, G.; Tourkantoni, N.; Prodromou, N.; Alexiou, G.A. Prognostic Significance of Angiogenesis in Relation to Ki-67, p-53, p-27, and bcl-2 Expression in Embryonal Tumors. Pediatr. Neurosurg. 2011, 47, 241–247. [Google Scholar] [CrossRef] [PubMed]
- Zannoni, G.F.; Ciucci, A.; Marucci, G.; Travaglia, D.; Stigliano, E.; Foschini, M.P.; Scambia, G.; Gallo, D. Sexual dimorphism in medulloblastoma features. Histopathology 2015, 68, 541–548. [Google Scholar] [CrossRef]
- Hedges, V.L.; Ebner, T.J.; Meisel, R.L.; Mermelstein, P.G. The cerebellum as a target for estrogen action. Front. Neuroendocr. 2012, 33, 403–411. [Google Scholar] [CrossRef]
- Wong, L.; Le, H.; Zsarnovsky, A.; Belcher, S. Estrogens and ICI182,780 (Faslodex) modulate mitosis and cell death in immature cerebellar neurons viarapid activation of p44/p42 mitogen-activated protein kinase. J. Neurosci. 2003, 23, 4984–4995. [Google Scholar] [CrossRef]
- Cookman, C.; Belcher, S. Estrogen Receptor Up-Regulates IGF1R Expressionand Activity to Inhibit Apoptosis and Increase Growth of Medulloblastoma. Endocrinology 2015, 156, 2395–2408. [Google Scholar] [CrossRef]
- Veduta, A.; Vayna, A.M.; Duta, S.; Panaitescu, A.; Popescu, F.; Bari, M.; Peltecu, G.; Nedelea, F. The first trimester combined test for aneuploidies—A single center experience. J. Matern. Neonatal Med. 2017, 31, 2091–2096. [Google Scholar] [CrossRef] [PubMed]


| Step | Approach |
|---|---|
| 1 | Investigate for pregnancy-related complications that can manifest with headaches
|
| 2 | Perform a basic neurologic exam |
| 3 | Investigate for “red flags” in association with headaches
|
| 4 | Consider options for diagnostic imaging |
| First Author, Year | Age (Years) | GA at Diagnosis (Weeks) | Symptoms | Metastases | Mode of Delivery | Treatment |
|---|---|---|---|---|---|---|
| Pollack et al., 1993 [12] | 21 | 20 | Not specified | Bone marrow, placenta | C-section at 29 weeks | Not specified |
| Nishio et al., 1996 [13] | 23 | 25 | Headache, right hand ataxia | C-section at 33 weeks | GTR, postpartum RxT | |
| Razak et al., 2005 [14] | 24 | 26 | Headache, diplopia, ataxia | C-section at 30 weeks | STR, RxT, ChT | |
| Aravind et al., 2007 [15] | 19 | 30 | Headache, vomiting | Vaginally | Intended GTR | |
| Ishak et al., 2011 [16] | 34 | 2nd trimester | Syncope, headache, vertigo | Termination of pregnancy | Surgical resection | |
| Kwalk et al., 2011 [17] | 32 | 26 | Not specified | Spine | C-section at 29 weeks | Intended STR, RxT, ChT |
| Ventura et al., 2016 [18] | 28 | 33 | Sudden death | |||
| Sharma et al., 2013 [19] | 28 | 30 | Headache, vomiting, vertigo, diplopia | Vaginally | Intended STR | |
| Gergawi et al., 2019 [20] | 29 | 13 | Headache, vomiting, vertigo | C-section at 32 weeks | GTR, ChT | |
| Valazero et al., 2021 [21] | 21 | 13 | Headache, gait disturbance, right hemiparesis, dysarthria | bone marrow | C-section at 37 weeks | STR, postpartum RxT, ChT |
| 20 | 8 | Headache, tonic-clonic Headache, tonic-clonic seizures | Termination of pregnancy at 13 weeks | GTR, RxT, ChT | ||
| Our case | 18 | 3rd trimester | Headache, antepartum; headache, nausea, vomiting, left hand ataxia, horizontal nystagmus postpartum | Vaginally | GTR, RxT, ChT |
Publisher’s Note: MDPI stays neutral with regard to jurisdictional claims in published maps and institutional affiliations. |
© 2022 by the authors. Licensee MDPI, Basel, Switzerland. This article is an open access article distributed under the terms and conditions of the Creative Commons Attribution (CC BY) license (https://creativecommons.org/licenses/by/4.0/).
Share and Cite
Paslaru, F.G.; Panaitescu, A.M.; Nestian, E.; Iancu, G.; Veduta, A.; Paslaru, A.C.; Pop, L.G.; Gorgan, R.M. Medulloblastoma Presenting as Severe Headache during Pregnancy: A Case Report and Review of the Literature. Medicina 2022, 58, 127. https://doi.org/10.3390/medicina58010127
Paslaru FG, Panaitescu AM, Nestian E, Iancu G, Veduta A, Paslaru AC, Pop LG, Gorgan RM. Medulloblastoma Presenting as Severe Headache during Pregnancy: A Case Report and Review of the Literature. Medicina. 2022; 58(1):127. https://doi.org/10.3390/medicina58010127
Chicago/Turabian StylePaslaru, Francesca Gabriela, Anca Maria Panaitescu, Elena Nestian, George Iancu, Alina Veduta, Alexandru Catalin Paslaru, Lucian Gheorghe Pop, and Radu Mircea Gorgan. 2022. "Medulloblastoma Presenting as Severe Headache during Pregnancy: A Case Report and Review of the Literature" Medicina 58, no. 1: 127. https://doi.org/10.3390/medicina58010127
APA StylePaslaru, F. G., Panaitescu, A. M., Nestian, E., Iancu, G., Veduta, A., Paslaru, A. C., Pop, L. G., & Gorgan, R. M. (2022). Medulloblastoma Presenting as Severe Headache during Pregnancy: A Case Report and Review of the Literature. Medicina, 58(1), 127. https://doi.org/10.3390/medicina58010127

