Severe Coronary Artery Disease in a Person Living with HIV
Abstract
1. Introduction
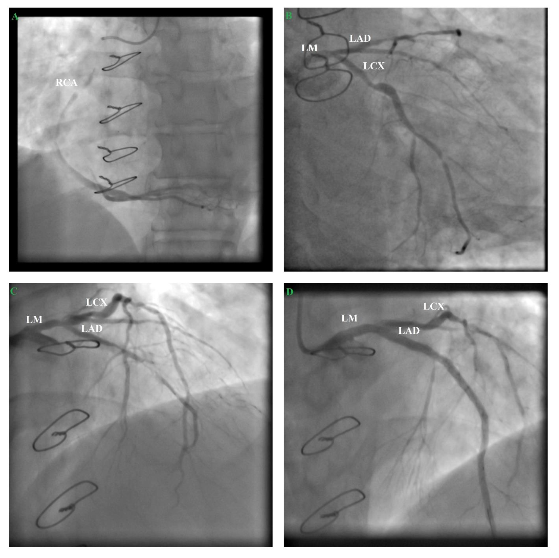
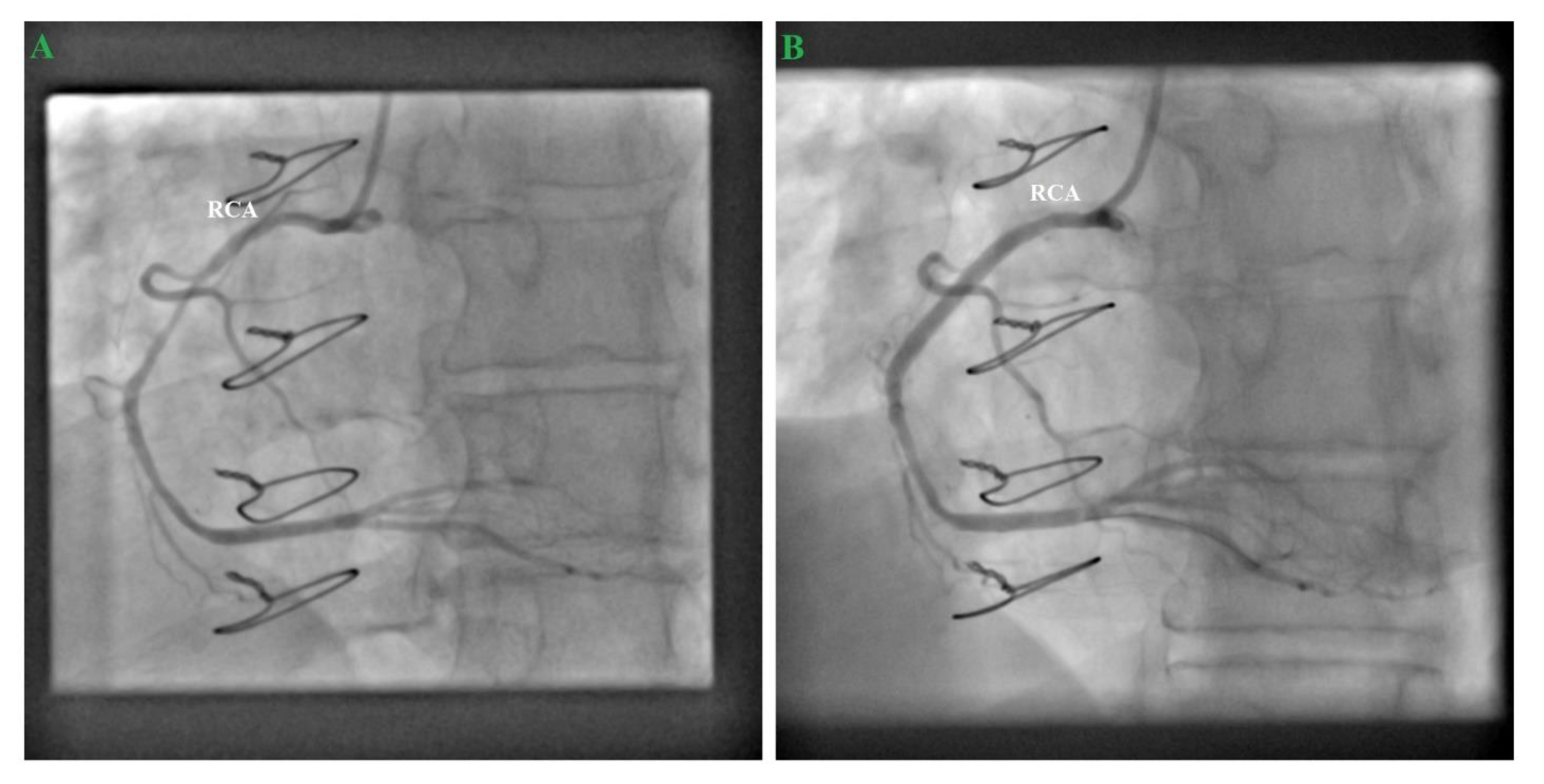
2. Case Report
3. Discussion
4. Conclusions
Author Contributions
Funding
Institutional Review Board Statement
Informed Consent Statement
Data Availability Statement
Conflicts of Interest
References
- Worm, S.W.; Sabin, C.; Weber, R.; Reiss, P.; El-Sadr, W.; Dabis, F.; De Wit, S.; Law, M.M.; Monforte, A.D.; Friis-Moller, N.; et al. Risk of Myocardial Infarction in Patients with HIV Infection Exposed to Specific Individual Antiretroviral Drugs from the 3 Major Drug Classes: The Data Collection on Adverse Events of Anti-HIV Drugs (D:A:D) Study. J. Infect. Dis. 2010, 201, 318–330. [Google Scholar] [CrossRef] [PubMed]
- Lewden, C.; May, T.; Rosenthal, E.; Burty, C.; Bonnet, F.; Costagliola, D.; Jougla, E.; Semaille, C.; Morlat, P.; Salmon, D.; et al. Changes in Causes of Death Among Adults Infected by HIV Between 2000 and 2005: The “Mortalité 2000 and 2005” Surveys (ANRS EN19 and Mortavic). J. Acquir. Immune Defic. Syndr. 2008, 48, 590–598. [Google Scholar] [CrossRef] [PubMed]
- The Antiretroviral Therapy Cohort Collaboration. Causes of Death in HIV-1–Infected Patients Treated with Antiretroviral Therapy, 1996–2006: Collaborative Analysis of 13 HIV Cohort Studies. Clin. Infect. Dis. 2010, 50, 1387–1396. [Google Scholar] [CrossRef] [PubMed]
- Palella, F.J.; Baker, R.K.; Moorman, A.C.; Chmiel, J.S.; Wood, K.C.; Brooks, J.T.; Holmberg, S.D. Mortality in the Highly Active Antiretroviral Therapy Era. JAIDS J. Acquir. Immune Defic. Syndr. 2006, 43, 27–34. [Google Scholar] [CrossRef] [PubMed]
- Kearns, A.; Gordon, J.; Burdo, T.H.; Qin, X. HIV-1—Associated Atherosclerosis: Unraveling the Missing Link. J. Am. Coll. Cardiol. 2017, 69, 3084–3098. [Google Scholar] [CrossRef] [PubMed]
- Seecheran, V.; Giddings, S.L.; Seecheran, N.A. Acute coronary syndromes in patients with HIV. Coron. Artery Dis. 2017, 28, 166–172. [Google Scholar] [CrossRef] [PubMed]
- Boccara, F.; Mary-Krause, M.; Teiger, E.; Lang, S.; Lim, P.; Wahbi, K.; Beygui, F.; Milleron, O.; Steg, P.G.; Funck-Brentano, C.; et al. Acute coronary syndrome in human immunodeficiency virus-infected patients: Characteristics and 1 year prognosis. Eur. Heart J. 2010, 32, 41–50. [Google Scholar] [CrossRef] [PubMed]
- Boccara, F.; Mary-Krause, M.; Potard, V.; Teiger, E.; Lang, S.; Hammoudi, N.; Chauvet, M.; Ederhy, S.; Dufour-Soulat, L.; Ancedy, Y.; et al. HIV Infection and Long-Term Residual Cardiovascular Risk After Acute Coronary Syndrome. J. Am. Heart Assoc. 2020, 9. [Google Scholar] [CrossRef] [PubMed]
- Triant, V.A.; Lee, H.; Hadigan, C.; Grinspoon, S.K. Increased acute myocardial infarction rates and cardiovascular risk factors among patients with human immunodeficiency virus disease. J. Clin. Endocrinol. Metab. 2007, 92, 2506–2512. [Google Scholar] [CrossRef] [PubMed]
- Freiberg, M.S.; Chang, C.-C.H.; Kuller, L.H.; Skanderson, M.; Lowy, E.; Kraemer, K.L.; Butt, A.A.; Goetz, M.B.; Leaf, D.; Oursler, K.A.; et al. HIV Infection and the Risk of Acute Myocardial Infarction. JAMA Intern. Med. 2013, 173, 614–622. [Google Scholar] [CrossRef] [PubMed]
- Escaut, L.; Monsuez, J.J.; Chironi, G.; Merad, M.; Teicher, E.; Smadja, D.; Simon, A.; Vittecoq, D. Coronary artery disease in HIV infected patients. Intensiv. Care Med. 2003, 29, 969–973. [Google Scholar] [CrossRef] [PubMed]
- Mehta, N.J.; Khan, I.A. HIV-Associated Coronary Artery Disease. Angiology 2003, 54, 269–275. [Google Scholar] [CrossRef] [PubMed]
- Boccara, F.; Cohen, A.; Di Angelantonio, E.; Meuleman, C.; Ederhy, S.; Dufaitre, G.; Odi, G.; Teiger, E.; Barbarini, G.; Barbaro, G.; et al. Coronary artery bypass graft in HIV-infected patients: A multicenter case control study. Curr. HIV Res. 2008, 6, 59–64. [Google Scholar] [CrossRef] [PubMed]
- Jiang, B.; Khandelwal, A.R.; Rogers, L.K.; Hebert, V.Y.; Kleinedler, J.J.; Zavecz, J.H.; Shi, W.; Orr, A.; Dugas, T.R. Antiretrovirals Induce Endothelial Dysfunction via an Oxidant-Dependent Pathway and Promote Neointimal Hyperplasia. Toxicol. Sci. 2010, 117, 524–536. [Google Scholar] [CrossRef] [PubMed]
- Marsousi, N.; Daali, Y.; Fontana, P.; Reny, J.; Ancrenaz-Sirot, V.; Calmy, A.; Rudaz, S.; Desmeules, J.A.; Samer, C.F. Impact of Boosted Antiretroviral Therapy on the Pharmacokinetics and Efficacy of Clopidogrel and Prasugrel Active Metabolites. Clin. Pharmacokinet. 2018, 57, 1347–1354. [Google Scholar] [CrossRef] [PubMed]
- Bajdechi, M.; Micu, C.-E.; Rugină, S.; Stoian, G.-E.; Gurghean, A. Metabolic Syndrome and Myocardial Involvement in HIV-Infected Patients. Intern. Med. 2019, 16, 37–45. [Google Scholar] [CrossRef]
- Erdem, H.; Puca, E.; Ruch, Y.; Santos, L.; Ghanem-Zoubi, N.; Argemi, X.; Hansmann, Y.; Guner, R.; Tonziello, G.; Mazzucotelli, J.-P.; et al. Portraying infective endocarditis: Results of multinational ID-IRI study. Eur. J. Clin. Microbiol. Infect. Dis. 2019, 38, 1753–1763. [Google Scholar] [CrossRef] [PubMed]
- Lind, A.; Reinsch, N.; Neuhaus, K.; Esser, S.; Brockmeyer, N.; Potthoff, A.; Pankuweit, S.; Erbel, R.; Maisch, B.; Neumann, T.; et al. Pericardial effusion of HIV-infected patients? Results of a prospective multicenter cohort study in the era of antiretroviral therapy. Eur. J. Med. Res. 2011, 16, 480. [Google Scholar] [PubMed]
- Torres-Macho, J.; Aro, T.; Bruckner, I.; Cogliati, C.; Gilja, O.; Gurghean, A.; Karlafti, E.; Krsek, M.; Monhart, Z.; Müller-Marbach, A.; et al. Point-of-care ultrasound in internal medicine: A position paper by the ultrasound working group of the European federation of internal medicine. Eur. J. Intern. Med. 2020, 73, 67–71. [Google Scholar] [CrossRef] [PubMed]
- Shahbaz, S.; Manicardi, M.; Guaraldi, G.; Raggi, P. Cardiovascular disease in human immunodeficiency virus infected patients: A true or perceived risk? World J. Cardiol. 2015, 7, 633–644. [Google Scholar] [CrossRef] [PubMed]





Publisher’s Note: MDPI stays neutral with regard to jurisdictional claims in published maps and institutional affiliations. |
© 2021 by the authors. Licensee MDPI, Basel, Switzerland. This article is an open access article distributed under the terms and conditions of the Creative Commons Attribution (CC BY) license (https://creativecommons.org/licenses/by/4.0/).
Share and Cite
Bajdechi, M.; Mihai, C.; Scafa-Udriste, A.; Cherry, A.; Zamfir, D.; Dumitru, I.; Cernat, R.; Rugina, S. Severe Coronary Artery Disease in a Person Living with HIV. Medicina 2021, 57, 595. https://doi.org/10.3390/medicina57060595
Bajdechi M, Mihai C, Scafa-Udriste A, Cherry A, Zamfir D, Dumitru I, Cernat R, Rugina S. Severe Coronary Artery Disease in a Person Living with HIV. Medicina. 2021; 57(6):595. https://doi.org/10.3390/medicina57060595
Chicago/Turabian StyleBajdechi, Mircea, Cosmin Mihai, Alexandru Scafa-Udriste, Ali Cherry, Diana Zamfir, Irina Dumitru, Roxana Cernat, and Sorin Rugina. 2021. "Severe Coronary Artery Disease in a Person Living with HIV" Medicina 57, no. 6: 595. https://doi.org/10.3390/medicina57060595
APA StyleBajdechi, M., Mihai, C., Scafa-Udriste, A., Cherry, A., Zamfir, D., Dumitru, I., Cernat, R., & Rugina, S. (2021). Severe Coronary Artery Disease in a Person Living with HIV. Medicina, 57(6), 595. https://doi.org/10.3390/medicina57060595

