Angiosarcoma of the Urinary Bladder Following Radiotherapy: Report of a Case and Review of the Literature
Abstract
1. Introduction
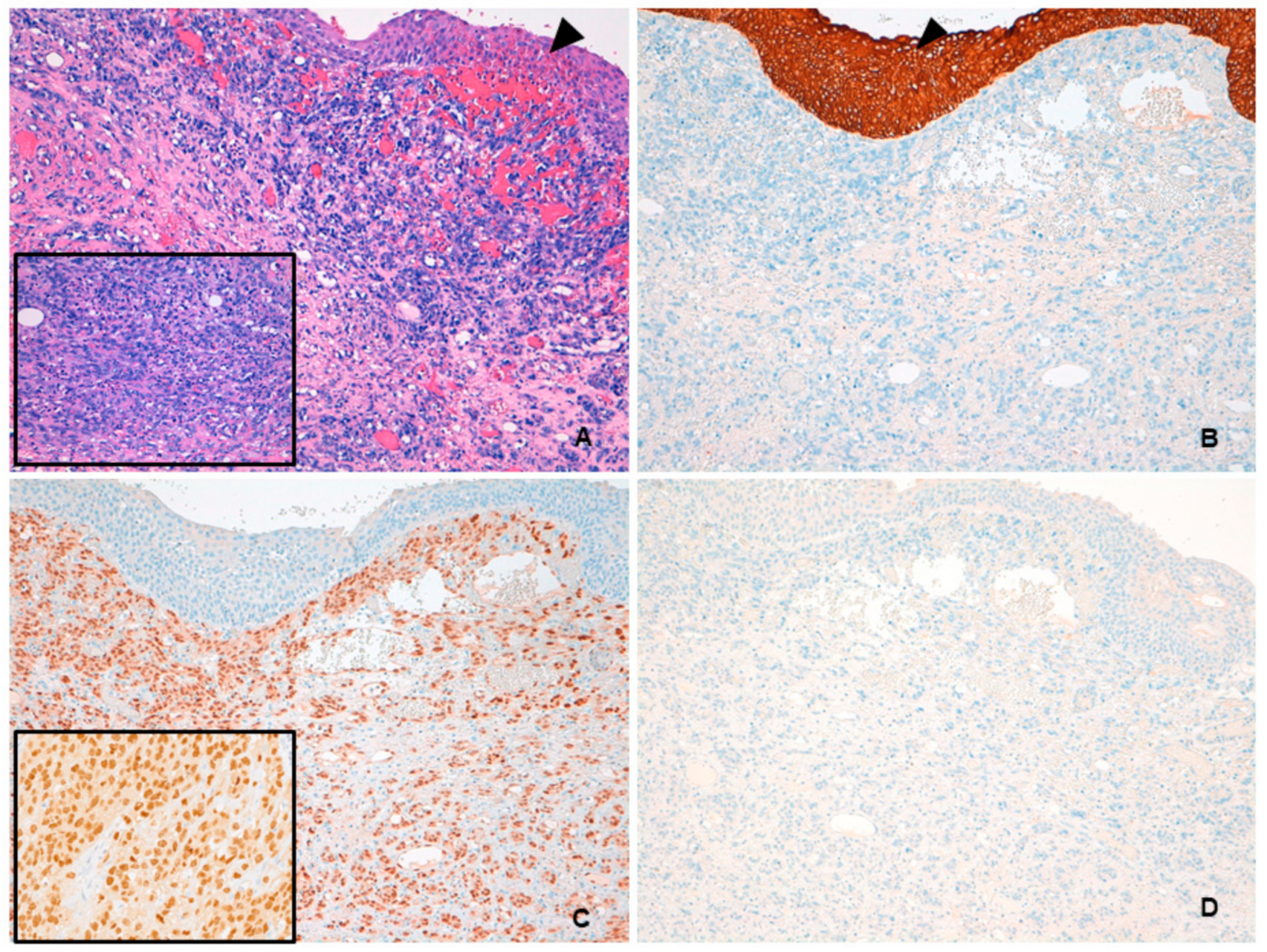
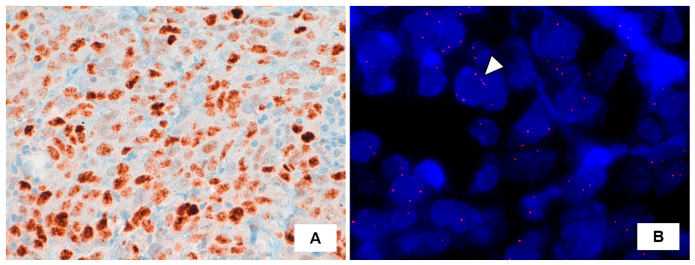
2. Case Presentation
3. Discussion
4. Conclusions
Author Contributions
Funding
Institutional Review Board Statement
Informed Consent Statement
Data Availability Statement
Conflicts of Interest
References
- Mondaini, N.; Palli, D.; Saieva, C.; Nesi, G.; Franchi, A.; Ponchietti, R.; Tripodi, S.; Miracco, C.; Meliani, E.; Carini, M.; et al. Clinical Characteristics and Overall Survival in Genitourinary Sarcomas Treated with Curative Intent: A Multicenter Study. Eur. Urol. 2005, 47, 468–473. [Google Scholar] [CrossRef] [PubMed]
- Dotan, Z.A.; Tal, R.; Golijanin, D.; Snyder, M.E.; Antonescu, C.; Brennan, M.F.; Russo, P. Adult Genitourinary Sarcoma: The 25-Year Memorial Sloan-Kettering Experience. J. Urol. 2006, 176, 2033–2039. [Google Scholar] [CrossRef] [PubMed]
- Jungano, F. Sur un cas d’angio-sarcome de la vessie. Ann. Mal. Org. Genitourin. 1907, 25, 1451–1461. [Google Scholar]
- Morgan, M.A.; Moutos, D.M.; Pippitt, C.H., Jr.; Suda, R.R.; Smith, J.J.; Thurnau, G.R. Vaginal and bladder angiosarcoma after therapeutic irradiation. South. Med. J. 1989, 82, 1434–1436. [Google Scholar] [CrossRef]
- Navon, J.D.; Rahimzadeh, M.; Wong, A.K.; Carpenter, P.M.; Ahlering, T.E. Angiosarcoma of the bladder after therapeutic irradiation for prostate cancer. J. Urol. 1997, 157, 1359–1360. [Google Scholar] [CrossRef]
- Seethala, R.R.; Gomez, J.A.; Vakar-Lopez, F. Primary Angiosarcoma of the Bladder. Arch. Pathol. Lab. Med. 2006, 130, 1543–1547. [Google Scholar] [CrossRef]
- Kulaga, A.; Yilmaz, A.; Wilkin, R.P.; Trpkov, K. Epithelioid angiosarcoma of the bladder after irradiation for endometrioid adenocarcinoma. Virchows Arch. Pathol. Anat. Physiol. Klin. Med. 2006, 450, 245–246. [Google Scholar] [CrossRef]
- Tavora, F.; Montgomery, E.; Epstein, J.I. A Series of Vascular Tumors and Tumorlike Lesions of the Bladder. Am. J. Surg. Pathol. 2008, 32, 1213–1219. [Google Scholar] [CrossRef]
- Williams, S.K.; Romaguera, R.L.; Kava, B. Angiosarcoma of the Bladder: Case Report and Review of the Literature. Sci. World J. 2008, 8, 508–511. [Google Scholar] [CrossRef]
- Bahouth, Z.; Masarwa, I.; Halachmi, S.; Nativ, O. Primary Angiosarcoma of Urinary Bladder: 13th Reported Patient. Case Rep. Oncol. Med. 2015, 2015, 1–4. [Google Scholar] [CrossRef]
- Matoso, A.; Epstein, J.I. Epithelioid angiosarcoma of the bladder: A series of 9 cases. Am. J. Surg. Pathol. 2015, 39, 1377–1382. [Google Scholar] [CrossRef]
- Ojerholm, E.; Stripp, D.; Mamtani, R.; Van Arsdalen, K.; Tripp, P. Angiosarcoma of the Bladder Following Prostate Radiotherapy. Am. J. Med. 2015, 128, e11–e12. [Google Scholar] [CrossRef]
- Wang, G.; Black, P.C.; Skinnider, B.F.; Hayes, M.M.; Jones, E.C. Post-radiation epithelioid angiosarcoma of the urinary bladder and prostate. Can. Urol. Assoc. J. 2016, 10, E197–E200. [Google Scholar] [CrossRef]
- Rallabandi, H.B.; Swain, M.; Gowrishankar, S.; Sinha, S. Postradiation angiosarcoma of bladder with extensive osseous metaplasia. Indian J. Pathol. Microbiol. 2016, 59, 78–80. [Google Scholar]
- Tynski, Z.; Barrett, A.J.; Bastacky, S.I. Primary urinary bladder angiosarcoma with ascites. Hum. Pathol. Case Rep. 2017, 10, 5–9. [Google Scholar] [CrossRef]
- Gerbaud, F.; Ingels, A.; Ferlicot, S.; Irani, J. Angiosarcoma of the Bladder: Review of the Literature and Discussion About a Clinical Case. Urol. Case Rep. 2017, 13, 97–100. [Google Scholar] [CrossRef]
- Spiess, P.E.; Kassouf, W.; Steinberg, J.R.; Tuziak, T.; Hernandez, M.; Tibbs, R.F.; Czerniak, B.; Kamat, A.M.; Dinney, C.P.; Grossman, H.B. Review of the M.D. Anderson experience in the treatment of bladder sarcoma. Urol. Oncol. Semin. Orig. Investig. 2007, 25, 38–45. [Google Scholar] [CrossRef]
- Beyazal, M.; Pirinççi, N.; Yavuz, A.; Özkaçmaz, S.; Bulut, G. Computed tomography and magnetic resonance imaging findings of primary bladder angiosarcoma: A case report. Clin. Imaging 2014, 38, 212–214. [Google Scholar] [CrossRef]
- Warne, R.R.; Ong, J.S.L.; Snowball, B.; Vivian, J.B. Primary angiosarcoma of the bladder in a young female. BMJ Case Rep. 2011, 2011, 1120103484. [Google Scholar] [CrossRef]
- Nawar, N.A.; Olsen, J.; Jelic, T.M.; He, C. Primary Urinary Bladder Angiosarcoma with Osteoclast-Like Multinucleated Giant Cells: A Case Report and Literature Review. Am. J. Case Rep. 2016, 17, 143–149. [Google Scholar] [CrossRef]
- Pazona, J.F.; Gupta, R.; Wysock, J.; Schaeffer, A.J.; Smith, N.D. Angiosarcoma of Bladder: Long-Term Survival After Multimodal Therapy. Urology 2007, 69, 575.e9–575.e10. [Google Scholar] [CrossRef]
- Mito, J.K.; Qian, X.; Jo, V.Y.; Doyle, L.A. MYC expression has limited utility in the distinction of undifferentiated radiation-associated sarcomas from sporadic sarcomas and sarcomatoid carcinoma. Histopathology 2020, 77, 667–672. [Google Scholar] [CrossRef]
- Mentzel, T.; Schildhaus, H.U.; Palmedo, G.; Buttner, R.; Kutzner, H.J. Postradiation cutaneous angiosarcoma after treatment of breast carcinoma is characterized by MYC amplification in contrast to atypical vascular lesions after radiotherapy and control cases: Clinicopathological, immunohistochemical and molecular analysis of 66 cases. Mod. Pathol. 2011, 25, 75–85. [Google Scholar] [CrossRef]
- Ginter, P.S.; Mosquera, J.M.; MacDonald, T.Y.; D’Alfonso, T.M.; Rubin, M.A.; Shin, S.J. Diagnostic utility of MYC amplification and anti-MYC immunohistochemistry in atypical vascular lesions, primary or radiation-induced mammary angiosarcomas, and primary angiosarcomas of other sites. Hum. Pathol. 2014, 45, 709–716. [Google Scholar] [CrossRef]
- Motaparthi, K.; Lauer, S.R.; Patel, R.M.; Vidal, C.I.; Linos, K. MYC gene amplification by fluorescence in situ hybridization and MYC protein expression by immunohistochemistry in the diagnosis of cutaneous angiosarcoma: Systematic review and appropriate use criteria. J. Cutan. Pathol. 2020. [Google Scholar] [CrossRef]


| Year/Author | Sex | Age | Time from RT/RT Cause | Clinical Presentation | Treatment | Outcome/Months |
|---|---|---|---|---|---|---|
| 1989/ Morgan et al. | F | 72 | 9 ys/ECar | Vaginal bleeding and hematuria | Chemotherapy (Doxorubicin) | DOD/7 |
| 1997/ Navon et al. | M | 78 | 13 ys/PCa | Hematuria | RCP | NED/30 |
| 2006/ Seethala et al. | M | 66 | 4 ys/PCa | Hematuria | RCP and chemotherapy (5 cycles, Gemcitabine plus Docetaxel) | NED/19 |
| 2007/ Kulaga et al. | F | 83 | 14 ys/ECa | Hematuria | TURB | DOD/3 |
| 2008/ Tavora et al. | M | 71 | 8 mos/PCa | Hematuria, voiding irritation | Biopsy (no treatment reported) | DOD/4 |
| 2008/ Tavora et al. | F | 73 | 17 mos/ECa | Hematuria | Radical cystectomy | DOD/2 |
| 2008/ Williams et al. | M | 71 | 10 ys/PCa | Hematuria | TURB followed by RCP and chemotherapy plus RT | DOD/3 |
| 2015/ Bahouth et al. | M | 89 | 12 ys/PCa | Hematuria | TURB and palliative RT | DOD/3 |
| 2015/ Matoso et al. | F | 73 | 10 ys/CCa | Hematuria | TURB followed by partial cystectomy | DOD/6 |
| 2015/ Matoso et al. | M | 77 | 9 ys/PCa | Hematuria | TURB | DOD/14 |
| 2015/ Matoso et al. | M | 71 | 10 ys/PCa | Hematuria | TURB followed by RCP | DOD/7 |
| 2015/ Matoso et al. | M | 85 | 15 ys/PCa | Hematuria | TURB | DOD/6 |
| 2015/ Matoso et al. | M | 64 | 6 ys/PCa | Hematuria | TURB followed by RCP | NED/12 |
| 2015/ Matoso et al. | M | 64 | 15 ys/PCa | Hematuria | TURB | AWD/3 |
| 2015/ Ojerholm et al. | M | 61 | 7 ys/PCa | Hematuria | RCP | NED/4 |
| 2016/ Wang et al. | M | 79 | 6 ys/PCa | Hematuria | TURB followed by RCP | NED/20 |
| 2016/ Rallabandi et al. | F | 65 | 22 ys/CCa | Hematuria | TURB | NA |
| 2017/ Tynski et al. | M | 69 | 5 ys/PCa | Ascites, urinary retention | Palliative chemotherapy (docetaxel plus gemcitabine) | DOD/6 weeks |
| Current case | M | 78 | 8 ys/PCa | Incidental finding | TURB followed by RCP | Early post-operative death |
Publisher’s Note: MDPI stays neutral with regard to jurisdictional claims in published maps and institutional affiliations. |
© 2021 by the authors. Licensee MDPI, Basel, Switzerland. This article is an open access article distributed under the terms and conditions of the Creative Commons Attribution (CC BY) license (https://creativecommons.org/licenses/by/4.0/).
Share and Cite
Cito, G.; Santi, R.; Gemma, L.; Galli, I.C.; Li Marzi, V.; Serni, S.; Nesi, G. Angiosarcoma of the Urinary Bladder Following Radiotherapy: Report of a Case and Review of the Literature. Medicina 2021, 57, 329. https://doi.org/10.3390/medicina57040329
Cito G, Santi R, Gemma L, Galli IC, Li Marzi V, Serni S, Nesi G. Angiosarcoma of the Urinary Bladder Following Radiotherapy: Report of a Case and Review of the Literature. Medicina. 2021; 57(4):329. https://doi.org/10.3390/medicina57040329
Chicago/Turabian StyleCito, Gianmartin, Raffaella Santi, Luca Gemma, Ilaria Camilla Galli, Vincenzo Li Marzi, Sergio Serni, and Gabriella Nesi. 2021. "Angiosarcoma of the Urinary Bladder Following Radiotherapy: Report of a Case and Review of the Literature" Medicina 57, no. 4: 329. https://doi.org/10.3390/medicina57040329
APA StyleCito, G., Santi, R., Gemma, L., Galli, I. C., Li Marzi, V., Serni, S., & Nesi, G. (2021). Angiosarcoma of the Urinary Bladder Following Radiotherapy: Report of a Case and Review of the Literature. Medicina, 57(4), 329. https://doi.org/10.3390/medicina57040329

