May-Thurner Syndrome Is Aggravated by Pregnancy
Abstract
1. Introduction
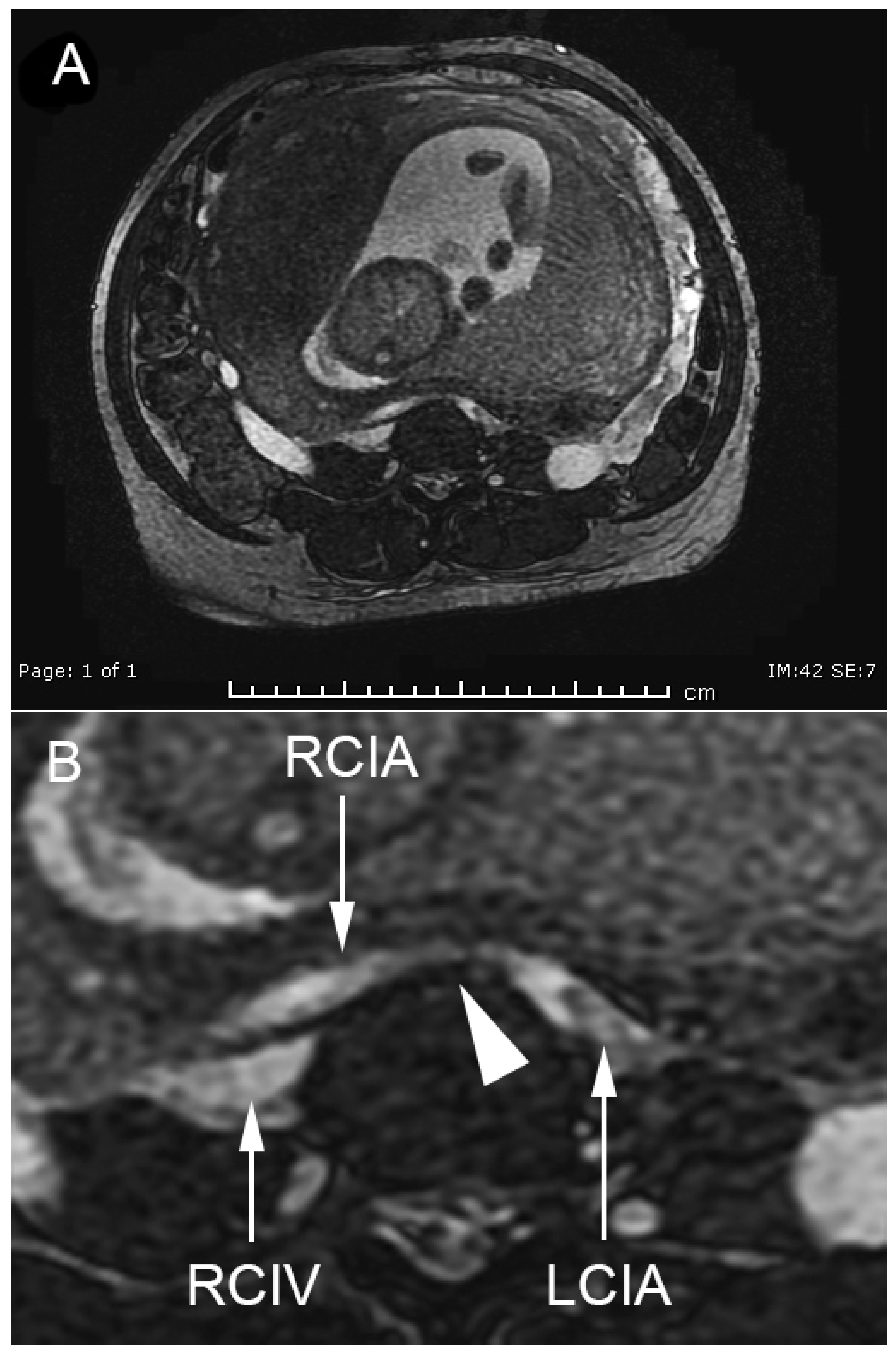
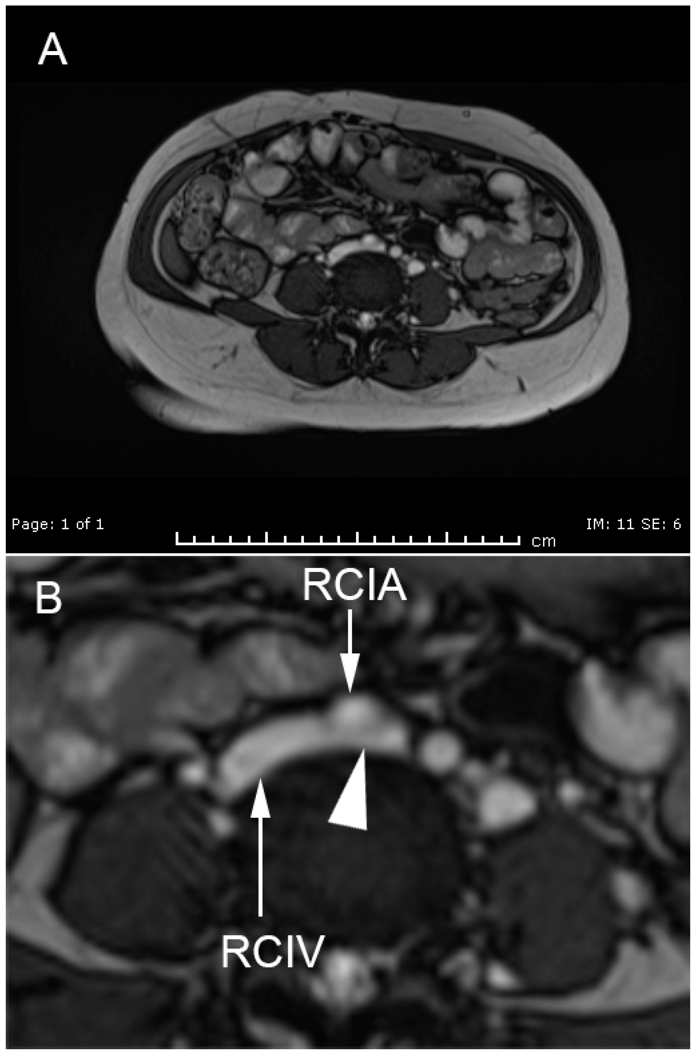
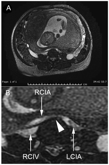
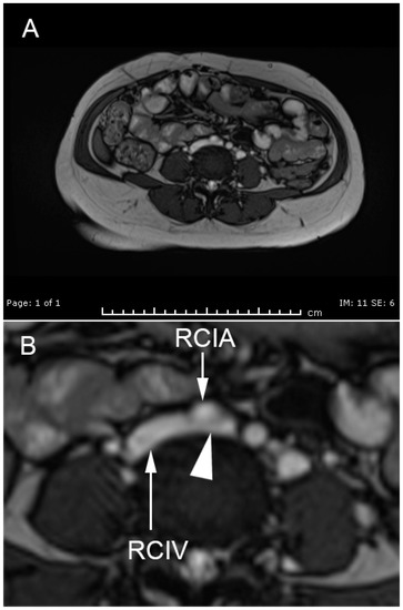
2. Case
3. Discussion
- Pregnancy can disclose undiagnosed or absolutely asymptomatic MTS for the first time by aggravating the subtle obstruction to be clinically severe;
- In a patient with edema specific to the left lower extremity during pregnancy, MTS should be listed in differential diagnoses;
- In pregnancy, MTS with marked edema can be solely caused by obstruction at the May-Thurner point without DVT;
- MTS without DVT during pregnancy may need a prophylactic rather than therapeutic anticoagulant;
- The pregnancy-induced obstruction secondary to MTS is expected to spontaneously disappear after delivery.
Author Contributions
Funding
Institutional Review Board Statement
Informed Consent Statement
Data Availability Statement
Acknowledgments
Conflicts of Interest
Abbreviations
| DVT | Deep vein thrombosis |
| DCDA | Dichorionic-diamnionic |
| MRV | Magnetic resonance angiography |
| MRV | Magnetic resonance venography |
| MTS | May-Thurner syndrome |
References
- May, R.; Thurner, J. The cause of the predominantly sinistral occurrence of thrombosis of the pelvic veins. Angiology 1957, 8, 419–427. [Google Scholar] [CrossRef] [PubMed]
- Oguzkurt, L.; Tercan, F.; Pourbagher, M.A.; Kizilkilic, O.; Turkoz, R.; Boyvat, F. Computed tomography findings in 10 cases of iliac vein compression (May-Thurner) syndrome. Eur. J. Radiol. 2005, 55, 421–425. [Google Scholar] [CrossRef] [PubMed]
- Inam, H.; Shaikh, F.A.; Siddiqui, N.A. May-Thurner Syndrome: A Cause of Acute Left Iliac Vein Obstruction in Early Postpartum Period: A Case Report. J. Pak. Med. Assoc. 2019, 69, 1044–1048. [Google Scholar] [PubMed]
- Ladha, A.B.; Fareeduddin, R. Phlegmasia Cerulea Dolens and May-Thurner Syndrome in the first trimester of Pregnancy. AJP Rep. 2016, 6, e71–e73. [Google Scholar] [PubMed]
- Wax, J.R.; Pinette, M.G.; Rausch, D.; Cartin, A. May-Thurner syndrome complicating pregnancy: A report of four cases. J. Reprod. Med. 2014, 59, 333–336. [Google Scholar] [PubMed]
- Nakajima, Y.; Masaoka, N.; Tsuzuki, Y.; Morooka, M.; Sakai, M. May-Thurner syndrome resulting in acute iliofemoral deep vein thrombosis during the second trimester of pregnancy. J. Obstet. Gynaecol. Res. 2012, 38, 1106–1110. [Google Scholar] [CrossRef] [PubMed]
- DeStephano, C.C.; Werner, E.F.; Holly, B.P.; Lessne, M.L. Diagnosis and management of iliac vein thrombosis in pregnancy resulting from May-Thurner Syndrome. J. Perinatol. 2014, 34, 566–568. [Google Scholar] [CrossRef] [PubMed]
- Goto, M.; Miura, S.I.; Yamamoto, T.; Fukuda, Y.; Kuwano, T.; Kimura, I.; Sanui, A.; Miyamoto, S.; Saku, K. Anticoagulant Therapy in a Pregnant Woman with May-Thurner Syndrome. Intern Med. 2016, 55, 59–62. [Google Scholar] [CrossRef] [PubMed]
- Mako, K.; Puskas, A. May-Thurner syndrome -Are we aware enough? Vasa 2019, 48, 381–388. [Google Scholar] [CrossRef] [PubMed]
- Greer, D.M.; Buonanno, F.S. Cerebral infarction in conjunction with patent foramen ovale and May-Thurner syndrome. J. Neuroimaging 2001, 11, 432–434. [Google Scholar] [CrossRef] [PubMed]


Publisher’s Note: MDPI stays neutral with regard to jurisdictional claims in published maps and institutional affiliations. |
© 2021 by the authors. Licensee MDPI, Basel, Switzerland. This article is an open access article distributed under the terms and conditions of the Creative Commons Attribution (CC BY) license (http://creativecommons.org/licenses/by/4.0/).
Share and Cite
Traisrisilp, K.; Manopunya, M.; Srisuwan, T.; Chankhunaphas, W.; Tongsong, T. May-Thurner Syndrome Is Aggravated by Pregnancy. Medicina 2021, 57, 222. https://doi.org/10.3390/medicina57030222
Traisrisilp K, Manopunya M, Srisuwan T, Chankhunaphas W, Tongsong T. May-Thurner Syndrome Is Aggravated by Pregnancy. Medicina. 2021; 57(3):222. https://doi.org/10.3390/medicina57030222
Chicago/Turabian StyleTraisrisilp, Kuntharee, Manatsawee Manopunya, Tanop Srisuwan, Wisit Chankhunaphas, and Theera Tongsong. 2021. "May-Thurner Syndrome Is Aggravated by Pregnancy" Medicina 57, no. 3: 222. https://doi.org/10.3390/medicina57030222
APA StyleTraisrisilp, K., Manopunya, M., Srisuwan, T., Chankhunaphas, W., & Tongsong, T. (2021). May-Thurner Syndrome Is Aggravated by Pregnancy. Medicina, 57(3), 222. https://doi.org/10.3390/medicina57030222

