Severe Atrophy of the Ipsilateral Psoas Muscle Associated with Hip Osteoarthritis and Spinal Stenosis—A Case Report
Abstract
1. Introduction
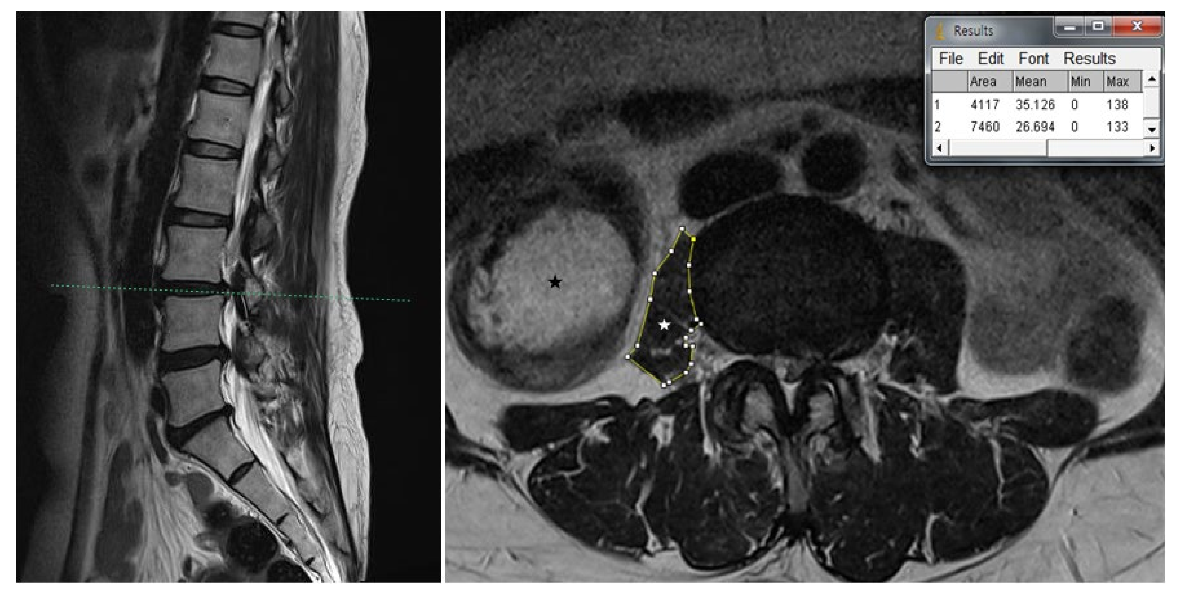
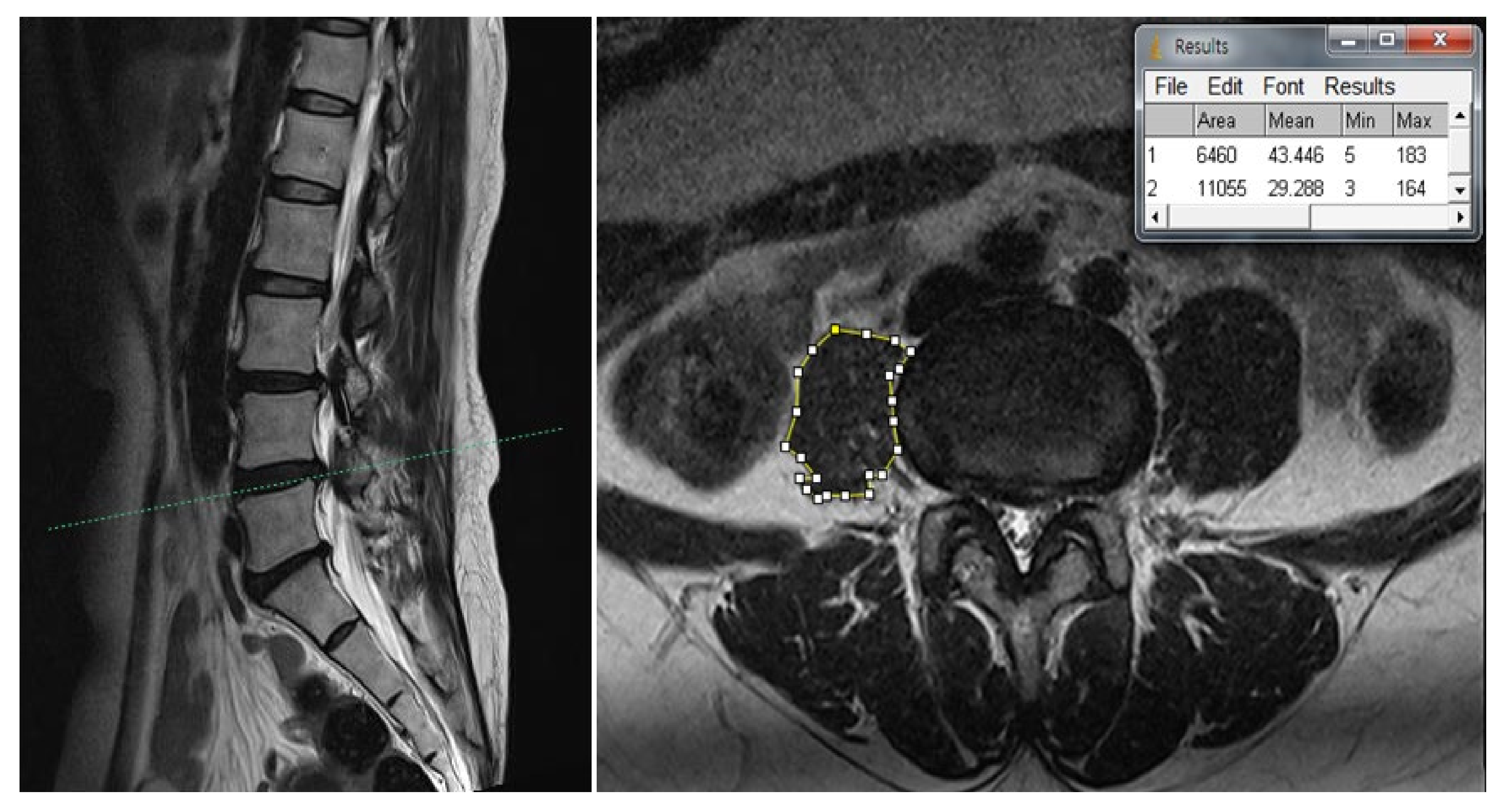
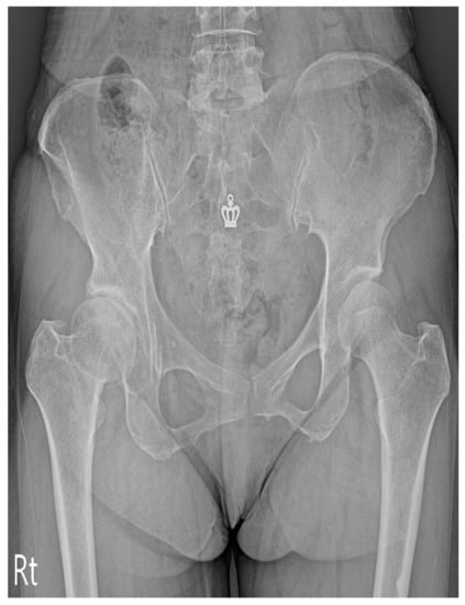
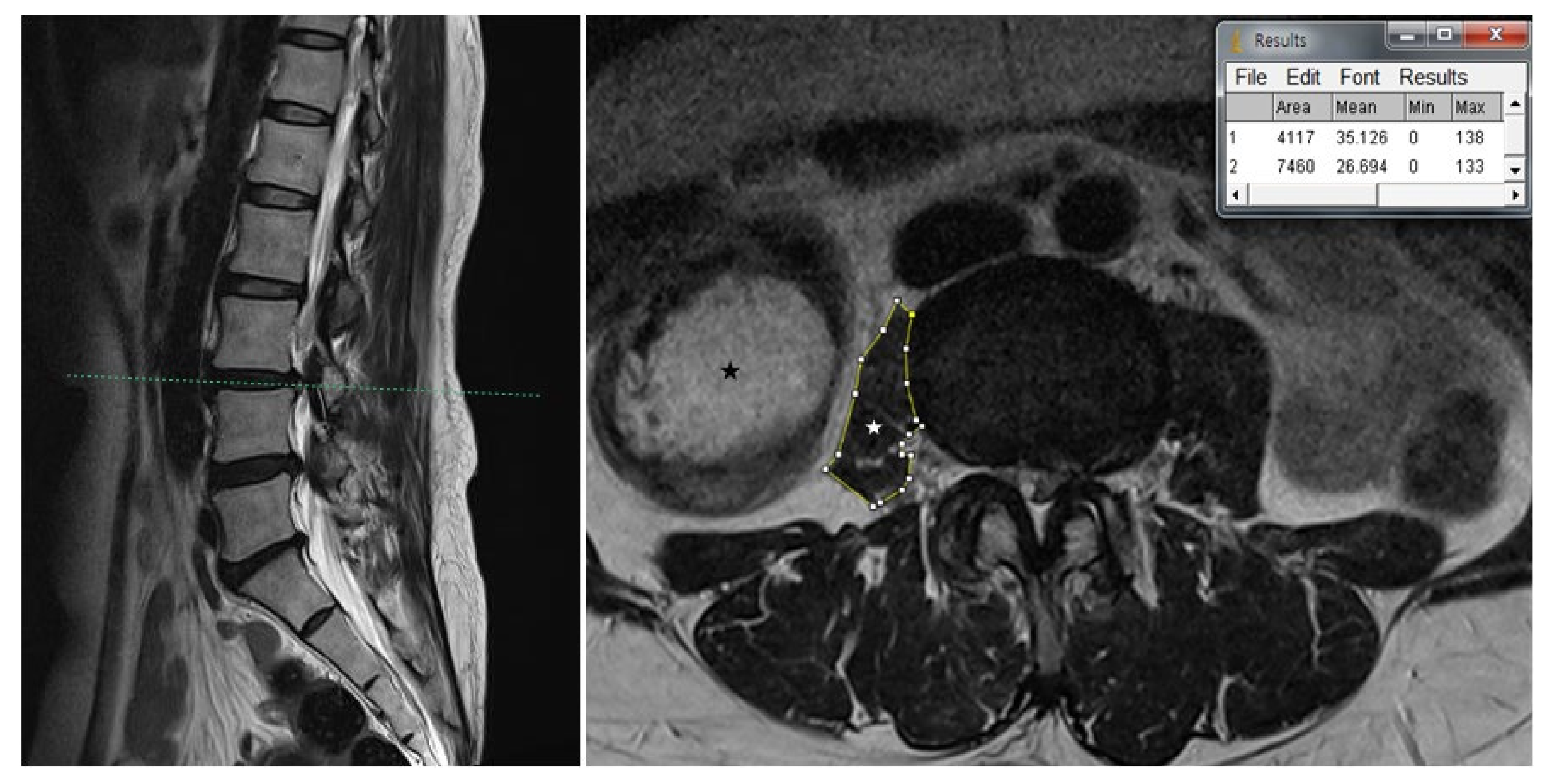
2. Case
3. Discussion
4. Conclusions
Author Contributions
Funding
Institutional Review Board Statement
Informed Consent Statement
Data Availability Statement
Conflicts of Interest
References
- Lee, S.Y.; Kim, T.-H.; Oh, J.K.; Park, M.S. Lumbar Stenosis: A Recent Update by Review of Literature. Asian Spine J. 2015, 9, 818–828. [Google Scholar] [CrossRef]
- Dieppe, P.; Lohmander, L.S. Pathogenesis and management of pain in osteoarthritis. Lancet 2005, 365, 965–973. [Google Scholar] [CrossRef]
- Mak, D.; Chisholm, C.; Davies, A.M.; Botchu, R.; James, S.L. Psoas muscle atrophy following unilateral hip arthroplasty. Skelet. Radiol. 2020, 49, 1539–1545. [Google Scholar] [CrossRef] [PubMed]
- Metcalfe, D.; Perry, D.C.; Claireaux, H.A.; Simel, D.L.; Zogg, C.K.; Costa, M.L. Does this patient have hip osteoarthritis? JAMA 2019, 322, 2323–2333. [Google Scholar] [CrossRef] [PubMed]
- Khan, A.M.; McLoughlin, E.; Giannakas, K.; Hutchinson, C.; Andrew, J.G. Hip osteoarthritis: Where is the pain? Ann. R. Coll. Surg. Engl. 2004, 86, 119–121. [Google Scholar] [CrossRef] [PubMed]
- Saito, J.; Ohtori, S.; Kishida, S.; Nakamura, J.; Takeshita, M.; Shigemura, T.; Takazawa, M.; Eguchi, Y.; Inoue, G.; Orita, S.; et al. Difficulty of diagnosing the origin of lower leg pain in patients with both lumbar spinal stenosis and hip joint osteoarthritis. Spine 2012, 37, 2089–2093. [Google Scholar] [CrossRef] [PubMed]
- Van Zyl, A.A. Misdiagnosis of hip pain could lead to unnecessary spinal surgery. SA Orthop. J. 2010, 9, 54–57. [Google Scholar]
- Rainville, J.; Bono, J.V.; Laxer, E.B.; Kim, D.H.; Lavelle, J.M.; Indahl, A.; Borenstein, D.G.; Haig, A.J.; Katz, J.N. Comparison of the history and physical examination for hip osteoarthritis and lumbar spinal stenosis. Spine J. 2019, 19, 1009–1018. [Google Scholar] [CrossRef]
- Byrd, J.W.T. Evaluation of the hip: History and physical examination. N. Am. J. Sports Phys. Ther. NAJSPT 2007, 2, 231–240. [Google Scholar]
- Gilroy, A.M.; MacPherson, B.R.; Ross, L.M. Atlas of Anatomy, 2nd ed.; Thieme Medical Publisher, Inc.: New York, NY, USA, 2009. [Google Scholar]
- Laban, M.M. Iliopsoas Weakness: A Clinical Sign of Lumbar Spinal Stenosis. Am. J. Phys. Med. Rehabil. 2004, 83, 224–225. [Google Scholar] [CrossRef]
- Ranger, T.A.; Cicuttini, F.M.; Jensen, T.S.; Peiris, W.L.; Hussain, S.M.; Fairley, J.; Urquhart, D.M. Are the size and composition of the paraspinal muscles associated with low back pain? A systematic review. Spine J. 2017, 17, 1729–1748. [Google Scholar] [CrossRef] [PubMed]
- Ploumis, A.; Michailidis, N.; Christodoulou, P.; Kalaitzoglou, I.; Gouvas, G.; Beris, A. Ipsilateral atrophy of paraspinal and psoas muscle in unilateral back pain patients with monosegmental degenerative disc disease. Br. J. Radiol. 2011, 84, 709–713. [Google Scholar] [CrossRef] [PubMed]
- Barker, K.L.; Shamley, D.R.; Jackson, D. Changes in the cross-sectional area of multifidus and psoas in patients with unilateral back pain: The relationship to pain and disability. Spine 2004, 29, E515–E519. [Google Scholar] [CrossRef] [PubMed]
- Dangaria, T.R.; Naesh, O. Changes in cross-sectional area of psoas major muscle in unilateral sciatica caused by disc herniation. Spine 1998, 23, 928–931. [Google Scholar] [CrossRef] [PubMed]
- Chon, J.; Kim, H.-S.; Lee, J.H.; Yoo, S.D.; Yun, D.H.; Kim, D.H.; Lee, S.A.; Han, Y.J.; Lee, H.S.; Han, Y.R.; et al. Asymmetric atrophy of paraspinal muscles in patients with chronic unilateral lumbar radiculopathy. Ann. Rehabil. Med. 2017, 41, 801–807. [Google Scholar] [CrossRef]
- Kim, W.H.; Lee, S.-H.; Lee, D.Y. Changes in the cross-sectional area of multifidus and psoas in unilateral sciatica caused by lumbar disc herniation. J. Korean Neurosurg. Soc. 2011, 50, 201–204. [Google Scholar] [CrossRef]
- Hides, J.A.; Stanton, W.; Freke, M.; Wilson, S.; McMahon, S.; Richardson, C. MRI study of the size, symmetry and function of the trunk muscles among elite cricketers with and without low back pain. Br. J. Sports Med. 2008, 42, 809–813. [Google Scholar] [CrossRef]
- Laban, M.M. Atrophy and clinical weakness of the iliopsoas muscle: A manifestation of hip osteoarthritis. Am. J. Phys. Med. Rehabil. 2006, 85, 629. [Google Scholar] [CrossRef]
- Birnbaum, K.; Prescher, A.; Hessler, S.; Heller, K.D. The sensory innervation of the hip joint—An anatomical study. Surg. Radiol. Anat. 1997, 19, 371–375. [Google Scholar] [CrossRef]
- Rasch, A.; Byström, A.H.; Dalen, N.; Berg, H.E. Reduced muscle radiological density, cross-sectional area, and strength of major hip and knee muscles in 22 patients with hip osteoarthritis. Acta Orthop. 2007, 78, 505–510. [Google Scholar] [CrossRef]
- DePalma, T.B.; Gilchrist, J.M. Unilateral thigh atrophy and weakness in hip osteoarthritis. J. Clin. Neuromuscul. Dis. 2007, 9, 313–317. [Google Scholar] [CrossRef] [PubMed]
- Kim, H.Y.; Park, J.W.; Park, S.Y.; Moon, J.Y.; Shin, J.H.; Park, S.H. Psoas compartment blockade in a laterally herniated disc compressing the psoas muscle—A case report. Korean J. Pain 2012, 25, 116–120. [Google Scholar] [CrossRef] [PubMed]
- Fortin, M.; Lazary, A.; Varga, P.P.; McCall, I.; Battié, M.C. Paraspinal muscle asymmetry and fat infiltration in patients with symptomatic disc herniation. Eur. Spine J. 2016, 25, 1452–1459. [Google Scholar] [CrossRef] [PubMed]



Publisher’s Note: MDPI stays neutral with regard to jurisdictional claims in published maps and institutional affiliations. |
© 2021 by the authors. Licensee MDPI, Basel, Switzerland. This article is an open access article distributed under the terms and conditions of the Creative Commons Attribution (CC BY) license (http://creativecommons.org/licenses/by/4.0/).
Share and Cite
Lee, B.; Lee, S.E.; Kim, Y.H.; Park, J.H.; Lee, K.H.; Kang, E.; Kim, S.; Lee, N.; Oh, D. Severe Atrophy of the Ipsilateral Psoas Muscle Associated with Hip Osteoarthritis and Spinal Stenosis—A Case Report. Medicina 2021, 57, 73. https://doi.org/10.3390/medicina57010073
Lee B, Lee SE, Kim YH, Park JH, Lee KH, Kang E, Kim S, Lee N, Oh D. Severe Atrophy of the Ipsilateral Psoas Muscle Associated with Hip Osteoarthritis and Spinal Stenosis—A Case Report. Medicina. 2021; 57(1):73. https://doi.org/10.3390/medicina57010073
Chicago/Turabian StyleLee, Byeongcheol, Sang Eun Lee, Yong Han Kim, Jae Hong Park, Ki Hwa Lee, Eunsu Kang, Sehun Kim, Nakyung Lee, and Daeseok Oh. 2021. "Severe Atrophy of the Ipsilateral Psoas Muscle Associated with Hip Osteoarthritis and Spinal Stenosis—A Case Report" Medicina 57, no. 1: 73. https://doi.org/10.3390/medicina57010073
APA StyleLee, B., Lee, S. E., Kim, Y. H., Park, J. H., Lee, K. H., Kang, E., Kim, S., Lee, N., & Oh, D. (2021). Severe Atrophy of the Ipsilateral Psoas Muscle Associated with Hip Osteoarthritis and Spinal Stenosis—A Case Report. Medicina, 57(1), 73. https://doi.org/10.3390/medicina57010073

