Combined Robotic Surgery for Double Renal Masses and Prostate Cancer: Myth or Reality?
Abstract
1. Introduction
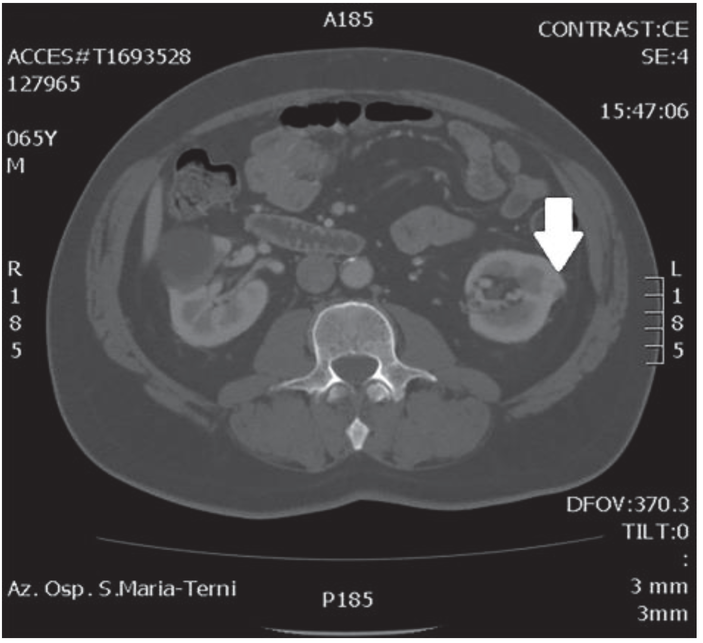
2. Case Report
3. Discussion
4. Conclusions
Author Contributions
Funding
Conflicts of Interest
References
- Bray, F.; Ferlay, J.; Soerjomataram, I.; Siegel, R.L.; Torre, L.A.; Jemal, A. Global cancer statistics 2018: GLOBOCAN estimates of incidence and mortality worldwide for 36 cancers in 185 countries. CA: A Cancer J. Clin. 2018, 68, 394–424. [Google Scholar] [CrossRef]
- AIRTUM Working Group. Italian cancer figures, report 2013: Multiple tumours. Epidemiol. Prev. 2013, 37, 1–152. [Google Scholar]
- Ozsoy, O.; Fioretta, G.; Ares, C.; Miralbell, R. Incidental detection of synchronous primary tumours during staging workup for prostate cancer. Swiss Med. Wkly. 2010, 140, 233–236. [Google Scholar] [PubMed]
- Uzzo, R.G.; Novick, A.C. Nephron sparing surgery for renal tumors: Indications, techniques and outcomes. J. Urol. 2001, 166, 6–18. [Google Scholar] [CrossRef]
- Ficarra, V.; Novara, G.; Rosen, R.C.; Artibani, W.; Carroll, P.R.; Costello, A.; Menon, M.; Montorsi, F.; Patel, V.R.; Stolzenburg, J.-U.; et al. Systematic review and meta-analysis of studies reporting urinary continence recovery after robot-assisted radical prostatectomy. Eur. Urol. 2012, 62, 405–417. [Google Scholar] [CrossRef]
- Ficarra, V.; Novara, G.; Ahlering, T.E.; Costello, A.; Eastham, J.A.; Graefen, M.; Guazzoni, G.; Menon, M.; Mottrie, A.; Patel, V.R.; et al. Systematic review and meta-analysis of studies reporting potency rates after robot-assisted radical prostatectomy. Eur. Urol. 2012, 62, 418–430. [Google Scholar] [CrossRef]
- Choi, J.E.; You, J.H.; Kim, D.K.; Rha, K.H.; Lee, S.H. Comparison of perioperative outcomes between robotic and laparoscopic partial nephrectomy: A systematic review and meta-analysis. Eur. Urol. 2015, 67, 891–901. [Google Scholar] [CrossRef]
- Boni, A.; Cochetti, G.; Ascani, S.; Del Zingaro, M.; Quadrini, F.; Paladini, A.; Cocca, D.; Mearini, E. Robotic treatment of oligometastatic kidney tumor with synchronous pancreatic metastasis: Case report and review of the literature. BMC Surg. 2018, 18, 40. [Google Scholar] [CrossRef]
- Raheem, A.A.; Santok, G.D.; Kim, D.K.; Troya, I.S.; Alabdulaali, I.; Choi, Y.D.; Rha, K.H. Simultaneous Retzius-sparing robot-assisted radical prostatectomy and partial nephrectomy. Investig. Clin. Urol. 2016, 57, 146–149. [Google Scholar] [CrossRef][Green Version]
- Pansadoro, A.; Cochetti, G.; D’Amico, F.; Barillaro, F.; Del Zingaro, M.; Mearini, E. Retroperitoneal laparoscopic renal tumour enucleation with local hypotension on demand. World J. Urol. 2014, 33, 427–432. [Google Scholar] [CrossRef]
- Cochetti, G.; Boni, A.; Barillaro, F.; Pohja, S.; Cirocchi, R.; Mearini, E. Full neurovascular sparing extraperitoneal robotic radical prostatectomy: Our experience with PERUSIA technique. J. Endourol. 2017, 31, 32–37. [Google Scholar] [CrossRef] [PubMed]
- Mearini, E.; Cirocchi, R.; Cochetti, G. Robot-assisted surgery in urology: The show must go on. Appl. Sci. 2019, 9, 844. [Google Scholar] [CrossRef]
- Boris, R.S.; Proano, M.; Rogers, C.G.; Linehan, W.M.; Pinto, P.A.; Bratslavsky, G. Robotic assisted partial nephrectomy for multiple renal masses: Feasibility and results of initial experience. J. Urol. 2009, 181, 536. [Google Scholar] [CrossRef]
- Laydner, H.; Autorino, R.; Spana, G.; Altunrende, F.; Yang, B.; Khanna, R.; White, M.A.; Isac, W.; Hillyer, S.; Haber, G.-P.; et al. Robot-assisted partial nephrectomy for sporadic ipsilateral multifocal renal tumours. BJU Int. 2011, 109, 274–280. [Google Scholar] [CrossRef] [PubMed]
- Patel, M.N.; Eun, D.; Menon, M.; Rogers, C.G. Combined robotic-assisted laparoscopic partial nephrectomy and radical prostatectomy. JSLS: J. Soc. Laparoendosc. Surg. 2009, 13, 229–232. [Google Scholar]
- Boncher, N.; Vricella, G.; Greene, G.; Madi, R. Concurrent robotic renal and prostatic surgery: initial case series and safety data of a new surgical technique. J. Endourol. 2010, 24, 1625–1629. [Google Scholar] [CrossRef]
- Lavery, H.J.; Patel, S.; Palese, M.; Kasabian, N.G.; Gainsburg, D.M.; Samadi, D.B. Combined robotic radical prostatectomy and robotic radical nephrectomy. JSLS: J. Soc. Laparoendosc. Surg. 2010, 14, 603–607. [Google Scholar] [CrossRef][Green Version]
- Jung, J.H.; Arkoncel, F.R.P.; Lee, J.W.; Oh, C.K.; Yusoff, N.A.M.; Kim, K.J.; Rha, K.H. Initial clinical experience of simultaneous robot-assisted bilateral partial nephrectomy and radical prostatectomy. Yonsei Med. J. 2012, 53, 236–239. [Google Scholar] [CrossRef]
- Meininger, D.; Westphal, K.; Bremerich, D.H.; Runkel, H.; Probst, M.; Zwissler, B.; Byhahn, C. Effects of posture and prolonged pneumoperitoneum on hemodynamic parameters during laparoscopy. World J. Surg. 2008, 32, 1400–1405. [Google Scholar] [CrossRef]
- Wolf, J.; Marcovich, R.; Gill, I.S.; Sung, G.T.; Kavoussi, L.R.; Clayman, R.V.; McDougall, E.M.; Shalhav, A.; Dunn, M.D.; Afane, J.S.; et al. Survey of neuromuscular injuries to the patient and surgeon during urologic laparoscopic surgery. Urology 2000, 55, 831–836. [Google Scholar] [CrossRef]
- Jung, J.H.; Kim, H.W.; Oh, C.K.; Song, J.M.; Chung, B.H.; Hong, S.J.; Rha, K.H. Simultaneous robot-assisted laparoendoscopic single-site partial nephrectomy and standard radical prostatectomy. Yonsei Med. J. 2014, 55, 535–538. [Google Scholar] [CrossRef] [PubMed]





| N. | Authors | Year | Patient | Prostate | Kidney | |||||||
|---|---|---|---|---|---|---|---|---|---|---|---|---|
| Age | BMI | Comorbidity | ASA | PSA (ng/mL) | Gleason Score | Clinical Stage | Creatinine (mg/dL) | Tumor Size (mm) | Side | |||
| 1 | Patel M.N. | 2009 | 59 | - | - | - | 21.1 | 6 (3 + 3) | T1c | 1.1 | 17 | Right | 
| 2 | Boncher N. | 2010 | 49 | 35 | HTN | 3 | 7 | 6 (3 + 3) | T1c | 1.2 | 50 | Right | 
| 3 | Boncher N. | 2010 | 72 | 26 | HTN, DM | 3 | 29.1 | 7 (3 + 4) | T2a | 1.4 | 28 | Right | 
| 4 | Lavery H.J. | 2010 | 60 | 8.4 | 7 (4 + 3) | T2a | 1.0 | 40 | Left | |||
| 5 | Guttilla A. | 2011 | 56 | - | No | - | 4.8 | 7 (4 + 3) | T1c | - | 20 | Left | 
| 6 | Jung J.H. | 2012 | 62 | 24.17 | - | - | 47 | 8 (4 + 4) | T3b | - | 25 | Right | 
| 55 | Left | |||||||||||
| 7 | Jung J.H. | 2014 | 72 | 28 | - | - | 0.30 | 8 (5 + 3) | Salvage | 1.1 | 53 | - | 
| 8 | Jung J.H. | 2014 | 55 | 24 | HTN, DM | - | 7.42 | 8 (4 + 4) | T3a | 1.0 | 27 | - | 
| 9 | Jung J.H. | 2014 | 61 | 23 | HTN | - | 61.21 | 7 (3 + 4) | T3b | 1.0 | 16 | - | 
| 10 | Raheem A.A. | 2016 | 61 | 25.4 | No | - | 6.7 | 6 (3 + 3) | T1c | 1.0 | 16 | Right | 
| 11 | Our patient | 2018 | 66 | 25 | HTN | 2 | 4.5 | 6 (3 + 3) | T1c | 1.43 | 32 | Left | 
| 10 | ||||||||||||
| N. | Initial Procedure | OP Time (mins) | Console Time (mins) | Type of Nephr | WIT (mins) | EBL (mL) (Nephrectomy/Prostatectomy) | Complic. | Treatment | ||
|---|---|---|---|---|---|---|---|---|---|---|
| Nephr | Prostat | Nephr | Prostat | |||||||
| 1 | Nephrectomy | 427 | 177 | 158 | Partial | 24 | 200 (25/175) | No | - | |
| 2 | Nephrectomy | 120 | 140 | - | Radical | - | 150 (50/100) | No | - | |
| 3 | Nephrectomy | 150 | 138 | - | Partial | 34 | 250 (150/100) | PO Bleeding | Angio-embolization | |
| 4 | Prostatectomy | 300 | 158 | 120 | Radical | - | 200 (100/100) | No | - | |
| 5 | Nephrectomy | - | - | Partial | - | - | - | - | ||
| 6 | Prostatectomy | 557 | 116 (right) | 164 | Partial | 24 (right) | 500 (300/200) | No | - | |
| 88 (left) | 27 (left) | |||||||||
| 7 | Prostatectomy | 136 | 206 | 78 | 110 | Partial | 33 | 150 (50/100) | No | - | 
| 8 | Prostatectomy | 123 | 144 | 89 | 111 | Partial | 24 | 800 (150/650) | No | - | 
| 9 | Nephrectomy | 150 | 330 | 103 | 272 | Partial | 35 | 700 (50/650) | Ureteral injury | Ureteroneocystostomy | 
| 10 | Prostatectomy | 240 | 71 | 61 | Partial | 19 | 300 (250/50) | No | - | |
| 11 | Nephrectomy | 110 | 155 | 80 | 125 | Double partial | 25 | 250 (100/150) | No | - | 
| N. | Creatinine (mg/dL) | Length of Stay (days) | Prostate | Kidney | Length FU (months) | Evidence Recurrence | |||
|---|---|---|---|---|---|---|---|---|---|
| Gleason Score | Pathologic Stage | PSM | Pathology/Stage | PSM | |||||
| 1 | - | 2 | 7 (4 + 3) | - | No | Clear cell, grade 2/T1a | No | 4 | No | 
| 2 | 1,8 | 3 | 7 (3 + 4) | T2aN0M0 | No | RCC, grade 3/- | No | 10 | No | 
| 3 | 1,0 | 2 | 7 (3 + 4) | T3bN0M0 | No | RCC, grade 2/- | No | 6 | No | 
| 4 | 1,3 | 2 | 7 (3 + 4) | T2cN0M0 | No | Clear cell, grade 2/T1a | No | - | - | 
| 5 | - | - | - | - | - | - | - | - | - | 
| 6 | 1,31 | - | 9 (4 + 5) | - | Yes | Clear cell, grade 2/T1a | - | 2 | Prostate | 
| Clear cell, grade 3/T3a | - | ||||||||
| 7 | 1,3 | 7 | 0 | T0N0M0 | No | Clear cell, grade 2/T1b | - | 18 | - | 
| 8 | 1,1 | 7 | 8 (3 + 5) | T2bN0M0 | No | Clear cell, grade 3/T1a | - | ||
| 9 | 1,4 | 13 | 8 (3 + 5) | T4aN0M0 | Yes | Clear cell, grade 2/T1a | - | ||
| 10 | - | 4 | 7 (3 + 4) | - | No | Clear cell, grade 2/T1a | No | - | - | 
| 11 | 1,4 | 9 | 6 (3 + 3) | T2b | No | Oncocytoma Papillary adenoma | - | 1 | No | 
© 2020 by the authors. Licensee MDPI, Basel, Switzerland. This article is an open access article distributed under the terms and conditions of the Creative Commons Attribution (CC BY) license (http://creativecommons.org/licenses/by/4.0/).
Share and Cite
Cochetti, G.; Cocca, D.; Maddonni, S.; Paladini, A.; Sarti, E.; Stivalini, D.; Mearini, E. Combined Robotic Surgery for Double Renal Masses and Prostate Cancer: Myth or Reality? Medicina 2020, 56, 318. https://doi.org/10.3390/medicina56060318
Cochetti G, Cocca D, Maddonni S, Paladini A, Sarti E, Stivalini D, Mearini E. Combined Robotic Surgery for Double Renal Masses and Prostate Cancer: Myth or Reality? Medicina. 2020; 56(6):318. https://doi.org/10.3390/medicina56060318
Chicago/Turabian StyleCochetti, Giovanni, Diego Cocca, Stefania Maddonni, Alessio Paladini, Elena Sarti, Davide Stivalini, and Ettore Mearini. 2020. "Combined Robotic Surgery for Double Renal Masses and Prostate Cancer: Myth or Reality?" Medicina 56, no. 6: 318. https://doi.org/10.3390/medicina56060318
APA StyleCochetti, G., Cocca, D., Maddonni, S., Paladini, A., Sarti, E., Stivalini, D., & Mearini, E. (2020). Combined Robotic Surgery for Double Renal Masses and Prostate Cancer: Myth or Reality? Medicina, 56(6), 318. https://doi.org/10.3390/medicina56060318
 
        



 
       