Differentiation of Endometriomas from Ovarian Hemorrhagic Cysts at Magnetic Resonance: The Role of Texture Analysis
Abstract
1. Introduction
2. Materials and Methods
2.1. Patients
2.2. Pathological Analysis
2.3. MRI Protocol
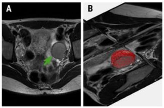
2.4. Image Interpretation
2.5. Texture and Statistical Analysis
3. Results
4. Discussion
5. Conclusions
Author Contributions
Funding
Conflicts of Interest
References
- Brosens, J.; Puttemans, P.; Gordts, S.; Campo, R.; Benagiano, G. Early stage management of ovarian endometrioma to prevent infertility. Facts Views Vis. ObGyn 2013, 5, 309–314. [Google Scholar] [PubMed]
- Corwin, M.T.; Gerscovich, E.O.; Lamba, R.; Wilson, M.D.; McGahan, J.P. Differentiation of ovarian endometriomas from hemorrhagic cysts at MR imaging: Utility of the T2 dark spot sign. Radiology 2014, 271, 126–132. [Google Scholar] [CrossRef] [PubMed]
- Lee, N.K.; Han, G.J.; Kim, S.; Kim, K.H.; Suh, D.S.; Kim, T.U.; Lee, J.W.; Kim, J.Y. Diffusion-weighted magnetic resonance imaging in the differentiation of endometriomas from hemorrhagic cysts in the ovary. Acta Radiol. 2015, 57, 998–1005. [Google Scholar] [CrossRef] [PubMed]
- Carnahan, M.; Fedor, J.; Agarwal, A.; Gupta, S. Ovarian endometrioma: Guidelines for selection of cases for surgical treatment or expectant management. Expert Rev. Obstet. Gynecol. 2013, 8, 29–55. [Google Scholar] [CrossRef]
- Jain, K.A. Sonographic spectrum of hemorrhagic ovarian cysts. J. Ultrasound Med. 2002, 21, 879–886. [Google Scholar] [CrossRef]
- Abbas, A.M.; Amin, M.T.; Tolba, S.M.; Ali, M.K. Hemorrhagic ovarian cysts: Clinical and sonographic correlation with the management options. Middle East Fertil. Soc. J. 2016, 21, 41–45. [Google Scholar] [CrossRef]
- Kim, H.-J.; Lee, S.-Y.; Shin, Y.R.; Park, C.S.; Kim, K. The value of diffusion-weighted imaging in the differential diagnosis of ovarian lesions: A meta-analysis. PLoS ONE 2016, 11, e0149465. [Google Scholar] [CrossRef]
- Redwine, D.B. Ovarian endometriosis: A marker for more extensive pelvic and intestinal disease. Fertil. Steril. 1999, 72, 310–315. [Google Scholar] [CrossRef]
- Tanase, Y.; Kawaguchi, R.; Takahama, J.; Kobayashi, H. Factors that differentiate between endometriosis-associated ovarian cancer and benign ovarian endometriosis with mural nodules. Magn. Reson. Med. Sci. 2018, 17, 231–237. [Google Scholar] [CrossRef] [PubMed]
- Bosch, T.V.D.; Van Schoubroeck, D. Ultrasound diagnosis of endometriosis and adenomyosis: State of the art. Best Pract. Res. Clin. Obstet. Gynaecol. 2018, 51, 16–24. [Google Scholar] [CrossRef] [PubMed]
- Kinkel, K.; Frei, K.A.; Balleyguier, C.; Chapron, C. Diagnosis of endometriosis with imaging: A review. Eur. Radiol. 2005, 16, 285–298. [Google Scholar] [CrossRef] [PubMed]
- Nishimura, K.; Togashi, K.; Itoh, K.; Fujisawa, I.; Noma, S.; Kawamura, Y.; Nakano, Y.; Itoh, H.; Torizuka, K.; Ozasa, H. Endometrial cysts of the ovary: MR imaging. Radiology 1987, 162, 315–318. [Google Scholar] [CrossRef] [PubMed]
- Dias, J.L.; Gomes, F.V.; Lucas, R.; Cunha, T.M. The shading sign: Is it exclusive of endometriomas? Abdom. Imaging 2015, 40, 2566–2572. [Google Scholar] [CrossRef] [PubMed]
- Togashi, K.; Nishimura, K.; Kimura, I.; Tsuda, Y.; Yamashita, K.; Shibata, T.; Nakano, Y.; Konishi, J.; Konishi, I.; Mori, T. Endometrial cysts: Diagnosis with MR imaging. Radiology 1991, 180, 73–78. [Google Scholar] [CrossRef] [PubMed]
- Outwater, E.; Schiebler, M.L.; Owen, R.S.; Schnall, M.D. Characterization of hemorrhagic adnexal lesions with MR imaging: Blinded reader study. Radiology 1993, 186, 489–494. [Google Scholar] [CrossRef] [PubMed]
- Kaponis, A.; Taniguchi, F.; Azuma, Y.; Deura, I.; Vitsas, C.; Decavalas, G.; Harada, T. Current treatment of endometrioma. Obstet. Gynecol. Surv. 2015, 70, 183–195. [Google Scholar] [CrossRef] [PubMed]
- Levine, D.; Brown, D.L.; Andreotti, R.F.; Benacerraf, B.; Benson, C.B.; Brewster, W.R.; Coleman, B.; DePriest, P.; Doubilet, P.M.; Goldstein, S.R.; et al. Management of asymptomatic ovarian and other adnexal cysts imaged at US: Society of Radiologists in Ultrasound Consensus Conference Statement. Radiology 2010, 256, 943–954. [Google Scholar] [CrossRef]
- Mulvany, N.J. Aspiration cytology of ovarian cysts and cystic neoplasms. A study of 235 aspirates. Acta Cytol. 1996, 40, 911–920. [Google Scholar] [CrossRef]
- Russell, P. Surface epithelial—Stromal tumors of the ovary. In Blaustein’s Pathology of the Female Genital Tract, 4th ed.; Kurman, R.J., Ed.; Springer-Verlag: New York, NY, USA, 1994; pp. 705–782. [Google Scholar]
- Bibbo, M.; Wood, M.D.; Fitzpatrick, B.T. Peritoneal washings and ovary. In Comprehensive Cyto-Pathology E-Book; Wilbur, D., Ed.; Elsevier Health Sciences: Amsterdam, The Netherlands, 2014; pp. 291–301. [Google Scholar]
- Varghese, B.A.; Cen, S.Y.; Hwang, D.H.; Duddalwar, V.A. Texture analysis of imaging: What radiologists need to know. Am. J. Roentgenol. 2019, 212, 520–528. [Google Scholar] [CrossRef]
- Larroza, A.; Bodí, V.; Moratal, D. Texture analysis in magnetic resonance imaging: Review and considerations for future applications. In Assessment of Cellular and Organ Function and Dysfunction Using Direct and Derived MRI Methodologies; InTechOpen: London, UK, 2016. [Google Scholar] [CrossRef]
- Strzelecki, M.; Szczypinski, P.; Materka, A.; Klepaczko, A. A software tool for automatic classification and segmentation of 2D/3D medical images. Nucl. Instrum. Methods Phys. Res. A 2013, 702, 137–140. [Google Scholar] [CrossRef]
- Collewet, G.; Strzelecki, M.; Mariette, F. Influence of MRI acquisition protocols and image intensity normalization methods on texture classification. Magn. Reson. Imaging 2004, 22, 81–91. [Google Scholar] [CrossRef] [PubMed]
- Mayerhoefer, M.E.; Breitenseher, M.; Amann, G.; Dominkus, M. Are signal intensity and homogeneity useful parameters for distinguishing between benign and malignant soft tissue masses on MR images? Objective evaluation by means of texture analysis. Magn. Reson. Imaging 2008, 26, 1316–1322. [Google Scholar] [CrossRef] [PubMed]
- Herlidou-Même, S.; Constans, J.-M.; Carsin, B.; Olivie, D.; Eliat, P.-A.; Nadal-Desbarats, L.; Gondry, C.; Le Rumeur, E.; Idy-Peretti, I.; De Certaines, J.D. MRI texture analysis on texture test objects, normal brain and intracranial tumors. Magn. Reson. Imaging 2003, 21, 989–993. [Google Scholar] [CrossRef]
- Sugimura, K.; Okizuka, H.; Imaoka, I.; Kaji, Y.; Takahashi, K.; Kitao, M.; Ishida, T. Pelvic endometriosis: Detection and diagnosis with chemical shift MR imaging. Radiology 1993, 188, 435–438. [Google Scholar] [CrossRef] [PubMed]
- Scoutt, L.M.; McCarthy, S.M.; Lange, R.; Bourque, A.; Schwartz, P.E. MR evaluation of clinically suspected adnexal masses. J. Comput. Assist. Tomogr. 1994, 18, 609–618. [Google Scholar] [CrossRef]
- Balaban, M.; Idilman, I.S.; Toprak, H.; Unal, O.; Ipek, A.; Kocakoc, E. The utility of diffusion-weighted magnetic resonance imaging in differentiation of endometriomas from hemorrhagic ovarian cysts. Clin. Imaging 2015, 39, 830–833. [Google Scholar] [CrossRef] [PubMed]
- Livens, S. Wavelets for texture analysis, an overview. In Proceedings of the 6th International Conference on Image Processing and its Applications, Dublin, Ireland, 14–17 July 1997; pp. 581–585. [Google Scholar]
- Zhao, H.; Feng, X.; Chen, Y.; Zhao, S.; Xiao, P. Entropy-based texture analysis and feature extraction of urban street trees in the spatial frequency domain. In Proceedings of the Sixth International Symposium on Multispectral Image Processing and Pattern Recognition, Yichang, China, 30 October–1 November 2009; Volume 7495, p. 749513. [Google Scholar] [CrossRef]
- Jernigan, M.E.; D’Astous, F. Entropy-based texture analysis in the spatial frequency domain. IEEE Trans. Pattern Anal. Mach. Intell. 1984, 6, 237–243. [Google Scholar] [CrossRef]
- Writh, A. Texture Analysis. Available online: http://www.cyto.purdue.edu/cdroms/micro2/content/education/wirth06.pdf (accessed on 10 August 2020).
- Texture Analysis Using Co-Occurrence Matrix. Available online: https://www.massey.ac.nz/~mjjohnso/notes/59731/presentations/texture.pdf (accessed on 10 August 2020).
- Biomedical Informatics 260. Computational Feature Extraction: Texture Features Lecture 6 David Paik, PhD Spring PDF Free Download [Internet]. Available online: https://docplayer.net/188454072-Biomedical-informatics-260-computational-feature-extraction-texture-features-lecture-6-david-paik-phd-spring-2019.html (accessed on 14 September 2020).
- Wang, C.; Brentnall, A.; Cuzick, J.; Harkness, E.F.; Evans, D.G.; Astley, S.M. A novel and fully automated mammographic texture analysis for risk prediction: Results from two case-control studies. Breast Cancer Res. 2017, 19, 114. [Google Scholar] [CrossRef]
- Szczypinski, P.M.; Klepaczko, A. MaZda—A framework for biomedical image texture analysis and data exploration. In Biomedical Texture Analysis: Fundamentals, Tools and Challenges; Szczypinski, P.M., Klepaczko, A., Depeursinge, A., Al-Kadi, O.S., Mitchell, J.R., Eds.; Academic Press: Cambridge, MA, USA, 2017. [Google Scholar]
- Skogen, K.; Schulz, A.; Helseth, E.; Ganeshan, B.; Dormagen, J.B.; Server, A. Texture analysis on diffusion tensor imaging: Discriminating glioblastoma from single brain metastasis. Acta Radiol. 2018, 60, 356–366. [Google Scholar] [CrossRef]
- Huang, Y.-Q.; Liang, H.-Y.; Yang, Z.-X.; Ding, Y.; Zeng, M.-S.; Rao, S.-X. Value of MR histogram analyses for prediction of microvascular invasion of hepatocellular carcinoma. Medicine 2016, 95, e4034. [Google Scholar] [CrossRef]
- Grey-Level Run Length Matrix (GLRLM). Available online: https://www.lifexsoft.org/index.php/resources/19-texture/radiomic-features/68-grey-level-run-length-matrix-glrlm (accessed on 14 September 2020).
- Wirth, M.A. Performance evaluation of image processing algorithms in CADe. Technol. Cancer Res. Treat. 2005, 4, 159–172. [Google Scholar] [CrossRef] [PubMed]
- Guo, S.-W.; Ding, D.; Shen, M.; Liu, X. Dating endometriotic ovarian cysts based on the content of cyst fluid and its potential clinical implications. Reprod. Sci. 2015, 22, 873–883. [Google Scholar] [CrossRef] [PubMed]
- Damario, M.A.; Rock, J.A. Classification and staging of endometriosis. In Endometriosis: Advanced Management and Surgical Techniques; Nezhat, C.R., Berger, G.S., Nezhat, F.R., Buttram, V.C., Nezhat, C.H., Eds.; Springer: New York, NY, USA, 1995; pp. 27–36. [Google Scholar]
- Laursen, J.B.; Schroll, J.B.; Rudnicki, M.; Macklon, K.T. Surgery versus conservative management of endometriomas in subfertile women. A systematic review. Acta Obstet. Gynecol. Scand. 2017, 96, 727–735. [Google Scholar] [CrossRef] [PubMed]
- Mayerhoefer, M.E.; Schima, W.; Trattnig, S.; Pinker, K.; Berger-Kulemann, V.; Ba-Ssalamah, A. Texture-based classification of focal liver lesions on MRI at 3.0 Tesla: A feasibility study in cysts and hemangiomas. J. Magn. Reson. Imaging 2010, 32, 352–359. [Google Scholar] [CrossRef] [PubMed]
- Gentillon, H. Artificial systems can complement human vision in medical imaging. Int. J. Sci. Basic Appl. Res. (IJSBAR) 2016, 25, 259–271. [Google Scholar]
- Hassan, I.; Kotrotsou, A.; Bakhtiari, A.S.; Thomas, G.A.; Weinberg, J.S.; Kumar, A.J.; Sawaya, R.; Luedi, M.M.; Zinn, P.O.; Colen, R.R. Radiomic texture analysis mapping predicts areas of true functional MRI activity. Sci. Rep. 2016, 6, 25295. [Google Scholar] [CrossRef] [PubMed]
- Jirak, D.; Dezortová, M.; Hájek, M. Phantoms for texture analysis of MR images. In Texture Analysis for Magnetic Resonance Imaging, 1st ed.; Hajek, M., Dezortova, M., Materka, A., Lerski, R., Eds.; Med4publishing: Prague, Czech Republic, 2006; pp. 113–124. [Google Scholar]
- Mayerhoefer, M.E.; Breitenseher, M.J.; Kramer, J.; Aigner, N.; Hofmann, S.; Materka, A. Texture analysis for tissue discrimination on T1-weighted MR images of the knee joint in a multicenter study: Transferability of texture features and comparison of feature selection methods and classifiers. J. Magn. Reson. Imaging 2005, 22, 674–680. [Google Scholar] [CrossRef]


| Diagnostic Sign | Endometriomas | HCs | Accuracy (%) | Sensitivity (%) | Specificity (%) |
|---|---|---|---|---|---|
| “T2 shading” | n = 22 | n = 9 | 62.79 (46.73–77.02) | 75.86 (56.46–89.7) | 35.71 (12.76–64.86) |
| “T2 dark spots” | n = 16 | n = 5 | 58.14 (42.13–72.99) | 55.17 (35.69–73.55) | 64.29 (35.14–87.24) |
| Parameter | Coefficient | p-Value | Endometriomas | HCs |
|---|---|---|---|---|
| Fisher | ||||
| WavEnLL_s-1 | 4.4737 | <0.0001 | 17,748.26 (17,365.55–18,027.58) | 15,355.26 (14,043.69–16,607.25) |
| WavEnLL_s-2 | 3.4413 | 0.0001 | 17,373.98 (16,457.74–18,525.13) | 12,582.52 (10,020.4–15,096.37) |
| CV4S6Entropy | 2.6443 | 0.0006 | 2.74 (2.55–2.93) | 2.1 (1.87–2.55) |
| CV5S6Entropy | 2.634 | 0.0005 | 2.76 (2.55–2.93) | 2.09 (1.7–2.57) |
| CV3S6Entropy | 2.4381 | 0.0004 | 2.66 (2.54–2.93) | 2.1 (1.97–2.49) |
| CV5S6SumEntrp | 2.4259 | 0.0014 | 1.79 (1.73–1.83) | 1.52 (1.22–1.75) |
| CN3S6Entropy | 2.4018 | 0.001 | 2.76 (2.58–2.92) | 2.09 (2.01–2.56) |
| CN2S6Entropy | 2.3572 | 0.0006 | 2.69 (2.53–2.92) | 2.13 (2.07–2.49) |
| CV2S6Entropy | 2.3346 | 0.0007 | 2.62 (2.49–2.88) | 2.17 (2.06–2.4) |
| CN4S6Entropy | 2.2939 | 0.0008 | 2.79 (2.52–2.92) | 2.1 (1.87–2.59) |
| POE + ACC | ||||
| Perc99 | 0.249 | 0.0219 | 33,336 (132–33,579.5) | 148 (123.5–166.7) |
| WavEnLL_s-1 | 0.2857 | <0.0001 | 17,748.26 (17,365.55–18,027.58) | 15,355.26 (14,043.69–16,607.25) |
| WavEnLL_s-2 | 0.34 | 0.0001 | 17,373.98 (16,457.74–18,525.13) | 12,582.52 (10,020.4–15,096.37) |
| CV1S6AngScMom | 0.3407 | 0.002 | 0.003 (0.002–0.006) | 0.01 (0.007–0.013) |
| RHS6RLNonUni | 0.3413 | 0.0025 | 1651.2 (410.94–2727.26) | 158.82 (78.83–995.16) |
| Variance | 0.3478 | 0.0008 | 2401.3 (328.5–5182.46) | 120.51 (40.09–238.33) |
| CV5S6AngScMom | 0.3483 | 0.0002 | 0.002 (0.001–0.003) | 0.009 (0.003–0.021) |
| Perc90 | 0.3854 | 0.024 | 33,270.5 (111 to 33,500) | 135 (114.5–157.25) |
| CN5S6AngScMom | 0.397 | 0.0006 | 0.001 (0.001–0.003) | 0.012 (0.003–0.02) |
| CH1S6AngScMom | 0.4135 | 0.0032 | 0.003 (0.002–0.007) | 0.008 (0.066–0.01_ |
| Mutual Information | ||||
| CV2S6SumAverg | 0.6806 | 0.54 | 64.58 (64.07–65.04) | 65.83 (62.5–66.99) |
| CN2S6SumAverg | 0.6235 | 0.6189 | 64.5 (64.16–65.02) | 66.2 (62.39–67.89) |
| CV3S6SumAverg | 0.5879 | 0.4996 | 64.56 (63.82–65.13) | 66.27 (62.36–67.06) |
| CZ1S6SumAverg | 0.5412 | 0.7223 | 64.64 (64.3–64.87) | 66.19 (62.54–67.5) |
| CN1S6SumAverg | 0.5045 | 0.6698 | 64.62 (64.22–64.9) | 65.76 (62.33–67.26) |
| WavEnLL_s-2 | 0.4639 | 0.0001 | 17,373.98 (16,457.74–18,525.13) | 12,582.52 (10,020.4–15,096.37) |
| WavEnLL_s-1 | 0.4525 | <0.0001 | 17,748.26 (17,365.55–18,027.58) | 15,355.26 (14,043.69–16,607.25) |
| CH2S6SumAverg | 0.431 | 0.7223 | 64.75 (64.18–64.97) | 66.31 (62.22–68.19) |
| CV2S6AngScMom | 0.426 | 0.0006 | 0.002 (0.001–0.004) | 0.008 (0.006–0.018 |
| CZ5S6Correlat | 0.4086 | 0.0252 | 0.586 (0.048–0.757) | 0.21 (0.466–0.269) |
| Parameter | AUC | Sign.lvl. | J | Cut-Off | Se (%) | Sp (%) |
|---|---|---|---|---|---|---|
| WavEnLL_s_1 | 0.939 (0.804–0.992) | <0.0001 | 0.7917 | >17,177.882 | 79.17 (57.8–92.9) | 100 (71.5–100) |
| WavEnLL_s_2 | 0.932 (0.793–0.989) | <0.0001 | 0.7917 | >16,321.281 | 79.17 (57.8–92.9) | 100 (71.5–100) |
| CV4S6Entropy | 0.867 (0.710–0.958) | <0.0001 | <0.0001 | >2.6335 | 66.67 (44.7–84.4) | 100 (71.5–100) |
| CV5S6Entropy | 0.871 (0.715–0.960) | <0.0001 | 0.625 | >2.6625 | 62.5 (40.6–81.2) | 100 (71.5–100) |
| CV3S6Entropy | 0.875 (0.719–0.962) | <0.0001 | 0.6667 | >2.5915 | 66.67 (44.7–84.4) | 100 (71.5–100) |
| CV2S6Entropy | 0.86 (0.701–0.954) | <0.0001 | 0.75 | >2.4921 | 75 (53.3–90.2) | 100 (71.5–100) |
| CN3S6Entropy | 0.852 (0.692–0.949) | <0.0001 | 0.5606 | >2.4254 | 83.33 (62.6–95.3) | 72.73 (39–94) |
| CN2S6Entropy | 0.867 (0.710–0.958) | <0.0001 | 0.6591 | >2.5666 | 75 (53.3–90.2) | 90.91 (58.7–99.8) |
| CN4S6Entropy | 0.856 (0.696–0.951) | <0.0001 | 0.5947 | >2.1539 | 95.83 (78.9–99.9) | 63.64 (30.8–89.1) |
| CV5S6AngScMom | 0.902 (0.753–0.976) | <0.0001 | 0.75 | ≤0.0032 | 75 (53.3–90.2) | 100 (71.5–100) |
| CN5S6AngScMom | 0.864 (0.705–0.956) | <0.0001 | 0.5947 | ≤0.0083 | 95.83 (78.9–99.9) | 63.64 (30.8–89.1) |
| CV2S6AngScMom | 0.867 (0.710–0.958) | <0.0001 | 0.7917 | ≤0.0043 | 79.17 (57.8–92.9) | 100 (71.5–100) |
| CV5S6SumEntrp | 0.841 (0.678–0.942) | <0.0001 | 0.5947 | >1.5482 | 95.83 (78.9–99.9) | 63.64 (30.8–89.1) |
| Variance | 0.856 (0.696–0.951) | <0.0001 | 0.7083 | >769.4818 | 70.83 (48.9–87.4) | 100 (71.5–100) |
| Independent Variable | Coefficient | Standard Error | p-Value | VIF |
|---|---|---|---|---|
| CN2S6Entropy | −8.2967 | 4.3623 | 0.0717 | 1027.045 |
| CN3S6Entropy | 15.6427 | 7.5443 | 0.0513 | 3669.47 |
| CN4S6Entropy | −8.1976 | 4.398 | 0.0771 | 1673.578 |
| CN5S6AngScMom | −5.4068 | 6.6826 | 0.428 | 31.822 |
| CV2S6AngScMom | 93.1964 | 59.4064 | 0.1324 | 28.594 |
| CV2S6Entropy | 9.3644 | 2.5189 | 0.0014 | 306.535 |
| CV3S6Entropy | −12.7996 | 4.4433 | 0.0092 | 1125.262 |
| CV4S6Entropy | 5.4712 | 6.3882 | 0.4019 | 2655.577 |
| CV5S6AngScMom | 23.9864 | 63.1998 | 0.7083 | 127.429 |
| CV5S6Entropy | 0.1952 | 4.8106 | 0.968 | 1932.615 |
| CV5S6SumEntrp | 2.0136 | 1.2166 | 0.1135 | 31.504 |
| Variance | 0.00002574 | 0.00001358 | 0.0727 | 1.521 |
| WavEnLL_s_1 | 0.0001645 | 0.0001153 | 0.1693 | 16.494 |
| WavEnLL_s_2 | −0.00002706 | 0.00005094 | 0.6011 | 15.087 |
| Sign.lvl. | 0.0007 | |||
| R2 | 0.7724 | |||
| R2 adjusted | 0.6131 | |||
| M.R. Coef. | 0.8789 |
| Imaging Feature | Author | Diagnostic Value |
|---|---|---|
| “T2 dark spots” | * Corwin et al. [2] | 36% (19.8–51.3%) Se; 93% (83.9–100%) Sp. |
| * Lee et al. [3] | 95.2% Se; 14.3% Sp. | |
| Morphological and signal features (including the “T2 shading “sign) | * Corwin et al. [2] | 93% (84–100%) Se; 45% (27.8–61.9%) Sp. |
| Togashi et al. [14] | 90% Se; 98% Sp. | |
| Sugimura et al. [27] | 82% Se; 91% Sp for lesions > 1 cm | |
| 11% Se; 98% Sp for lesions < 1 cm | ||
| Scout et al. [28] | 92% Se; 91% Sp. | |
| Lee et al. [3] | 89.8% Se; 14.2% Sp. | |
| * Outwater et al. [15] | 68% Se; 76% Sp. | |
| * Dias et al. [13] | 73% (56.8–85.2%) Se; 93% (89.3–95.5%) Sp. | |
| ADC values | * Lee et al. [2] | 100% Se; 92% Sp. |
| * Balaban et al. [29] | 77.6% Se; 76.2% Sp. |
© 2020 by the authors. Licensee MDPI, Basel, Switzerland. This article is an open access article distributed under the terms and conditions of the Creative Commons Attribution (CC BY) license (http://creativecommons.org/licenses/by/4.0/).
Share and Cite
Lupean, R.-A.; Ștefan, P.-A.; Csutak, C.; Lebovici, A.; Măluțan, A.M.; Buiga, R.; Melincovici, C.S.; Mihu, C.M. Differentiation of Endometriomas from Ovarian Hemorrhagic Cysts at Magnetic Resonance: The Role of Texture Analysis. Medicina 2020, 56, 487. https://doi.org/10.3390/medicina56100487
Lupean R-A, Ștefan P-A, Csutak C, Lebovici A, Măluțan AM, Buiga R, Melincovici CS, Mihu CM. Differentiation of Endometriomas from Ovarian Hemorrhagic Cysts at Magnetic Resonance: The Role of Texture Analysis. Medicina. 2020; 56(10):487. https://doi.org/10.3390/medicina56100487
Chicago/Turabian StyleLupean, Roxana-Adelina, Paul-Andrei Ștefan, Csaba Csutak, Andrei Lebovici, Andrei Mihai Măluțan, Rareş Buiga, Carmen Stanca Melincovici, and Carmen Mihaela Mihu. 2020. "Differentiation of Endometriomas from Ovarian Hemorrhagic Cysts at Magnetic Resonance: The Role of Texture Analysis" Medicina 56, no. 10: 487. https://doi.org/10.3390/medicina56100487
APA StyleLupean, R.-A., Ștefan, P.-A., Csutak, C., Lebovici, A., Măluțan, A. M., Buiga, R., Melincovici, C. S., & Mihu, C. M. (2020). Differentiation of Endometriomas from Ovarian Hemorrhagic Cysts at Magnetic Resonance: The Role of Texture Analysis. Medicina, 56(10), 487. https://doi.org/10.3390/medicina56100487

