Overview on Percutaneous Therapies of Disc Diseases
Abstract
1. Introduction
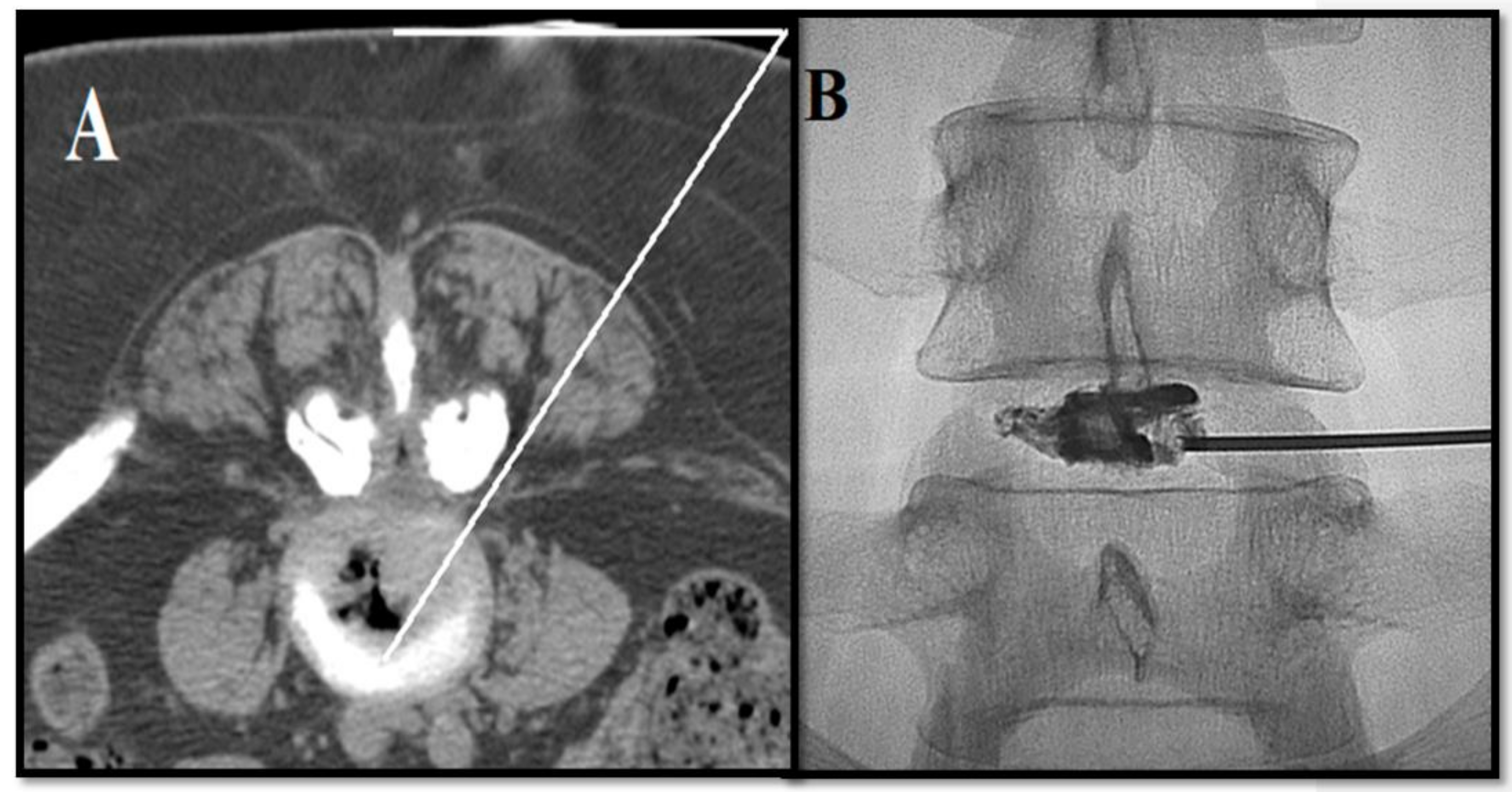
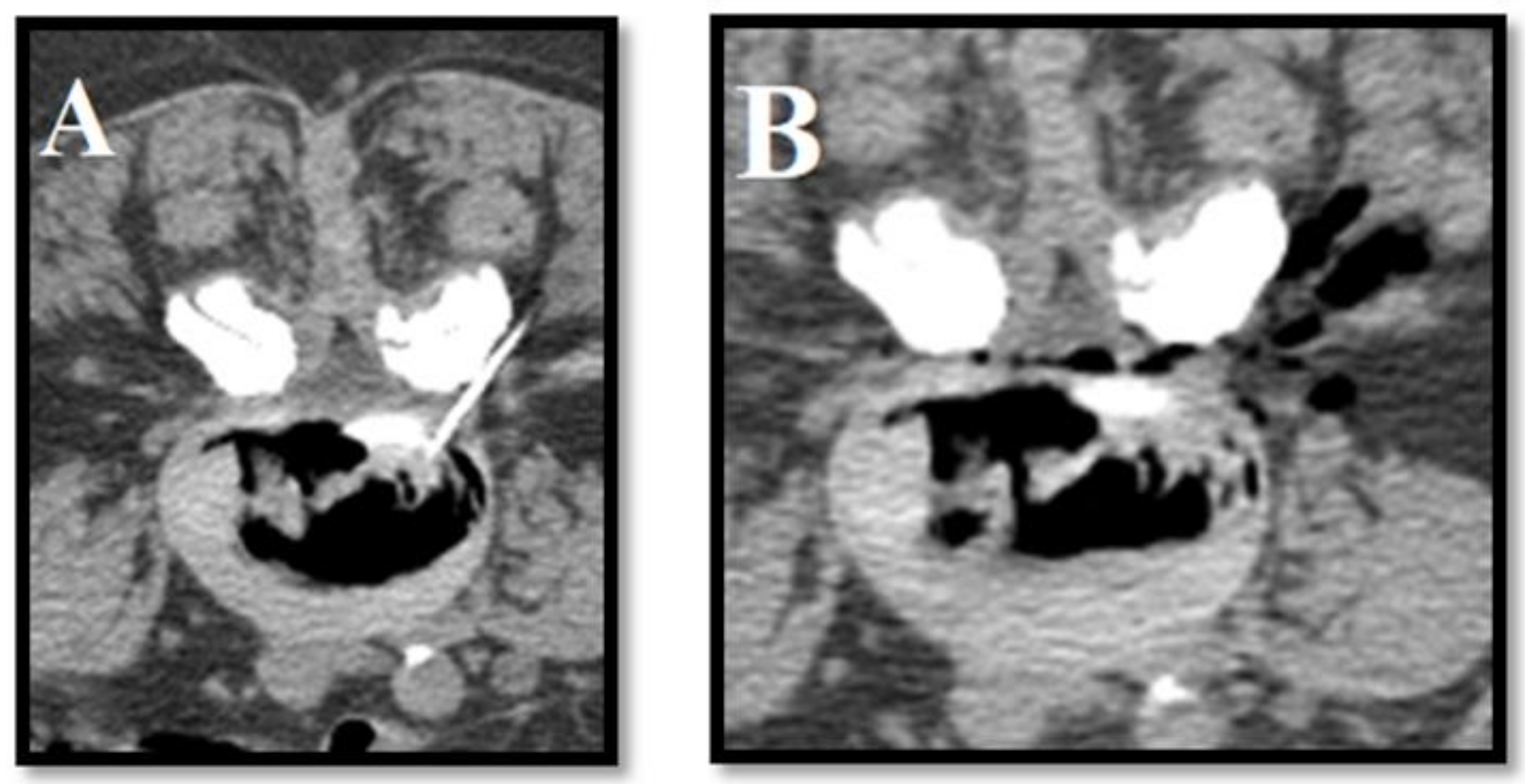
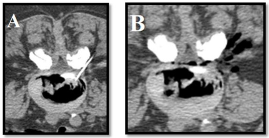
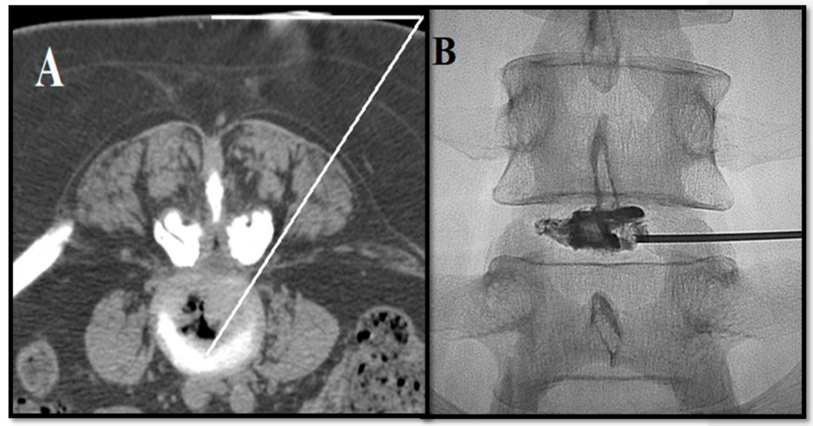
2. Techniques
Mechanical, Thermal, or Chemical Decompression Techniques
3. Biomaterial Implantationand Disc Cell Therapies
4. Conclusions
Author Contributions
Funding
Conflicts of Interest
References
- Zhang, Y.G. Clinical diagnosis for discogenic low back pain. Int. J. Biol. Sci. 2009, 5, 647–658. [Google Scholar] [CrossRef] [PubMed]
- Carragee, E.J.; Hannibal, M. Diagnostic evaluation of low back pain. Orthop. Clin. N. Am. 2004, 35, 7–16. [Google Scholar] [CrossRef]
- Adams, M.A. Biomechanics of back pain. Acupunct. Med. 2004, 22, 178–188. [Google Scholar] [CrossRef] [PubMed]
- Hooten, W.M.; Cohen, S.P. Evaluation and treatment of low back pain: A clinically focused review for primary care specialists. Mayo Clin. Proc. 2015, 90, 1699–1718. [Google Scholar] [CrossRef] [PubMed]
- Mulholland, R. Scientific basis for the treatment of low back pain. Ann. R. Coll. Surg. Engl. 2007, 89, 677–681. [Google Scholar] [CrossRef]
- Benoist, M. Natural history of the aging spine. Eur. Spine J. 2003, 12, S86–S89. [Google Scholar] [CrossRef]
- Peng, B.G. Pathophysiology, diagnosis, and treatment of discogenic low back pain. World J. Orthop. 2013, 4, 42–52. [Google Scholar] [CrossRef]
- Freemont, A.J. The cellular pathobiology of the degenerate intervertebral disc and discogenic back pain. Rheumatology 2009, 48, 5–10. [Google Scholar] [CrossRef]
- Kelekis, A.D.; Filippiadis, D.K.; Martin, J.B.; Brountzos, E. Standards of practice: Quality assurance guidelines for percutaneous treatments of intervertebral discs. Cardiovasc. Interv. Radiol. 2010, 33, 909–913. [Google Scholar] [CrossRef]
- Filippiadis, D.K.; Kelekis, A. A review of percutaneous techniques for low back pain and neuralgia: Current trends in epidural infiltrations, intervertebral disk and facet joint therapies. Br. J. Radiol. 2016, 89, 20150357. [Google Scholar] [CrossRef]
- Buy, X.; Gangi, A. Percutaneous treatment of intervertebral disc herniation. Semin. Interv. Radiol. 2010, 27, 148–159. [Google Scholar] [CrossRef] [PubMed]
- Manchikanti, L.; Buenaventura, R.M.; Manchikanti, K.N.; Ruan, X.; Gupta, S.; Smith, H.S.; Christo, P.J.; Ward, S.P. Effectiveness of therapeutic lumbar transforaminal epidural steroid injections in managing lumbar spinal pain. Pain Physician 2012, 15, 199–245. [Google Scholar]
- Parr, A.T.; Manchikanti, L.; Hameed, H.; Conn, A.; Manchikanti, K.N.; Benyamin, R.M.; Diwan, S.; Singh, V.; Abdi, S. Caudal epidural injections in the management of chronic low back pain: A systematic appraisal of the literature. Pain Physician 2012, 15, 159–198. [Google Scholar]
- Kelekis, A.D.; Somon, T.; Yilmaz, H.; Bize, P.; Brountzos, E.N.; Lovblad, K.; Ruefenacht, D.; Martin, J.B. Interventional spine procedures. Eur. J. Radiol. 2005, 55, 362–383. [Google Scholar] [CrossRef] [PubMed]
- Santiago, F.; Kelekis, A.; Álvarez, L.; Filippiadis, D. Interventional procedures of the spine. Semin. Musculoskelet. Radiol. 2014, 18, 309–317. [Google Scholar] [PubMed]
- Jasper, J.F. Radiofrequency cannula with active tip radio-opaque marker: Image analysis for facet, gray ramus, and dorsal root ganglion techniques. Pain Physician 2008, 11, 863–875. [Google Scholar]
- Kelekis, A.; Filippiadis, D. Percutaneous treatment of cervical and lumbar herniated disc. Eur. J. Radiol. 2015, 84, 771–776. [Google Scholar] [CrossRef]
- Fukui, S.; Nitta, K.; Iwashita, N.; Tomie, H.; Nosaka, S.; Rohof, O. Intradiscal pulsed radiofrequency for chronic lumbar discogenic low back pain: A one year prospective outcome study using discoblock for diagnosis. Pain Physician 2013, 16, 435–442. [Google Scholar]
- Muto, M.; Andreula, C.; Leonardi, M. Treatment of herniated lumbar disc by intradiscal and intraforaminal oxygen-ozone (O2-O3) injection. J. Neuroradiol. 2004, 31, 183–189. [Google Scholar] [CrossRef]
- Streitparth, F.; Walter, T.; Wonneberger, U.; Schnackenburg, B.; Philipp, C.M.; Collettini, F.; Teichgräber, U.K.; Gebauer, B. MR guidance and thermometry of percutaneous laser disc decompression in open MRI: An ex vivo study. Cardiovasc. Intervent. Radiol. 2014, 37, 777–783. [Google Scholar] [CrossRef]
- Deib, G.; Johnson, A.; Unberath, M.; Yu, K.; Andress, S.; Qian, L.; Osgood, G.; Navab, N.; Hui, F.; Gailloud, P. Image guided percutaneous spine procedures using an optical see-through head mounted display: Proof of concept and rationale. J. Neurointerv. Surg. 2018, 10, 1187–1191. [Google Scholar] [CrossRef]
- Slipman, C.W.; Bender, F.J., 3rd.; Menkin, S.; Garvan, C.; Salam, A.; Siegelman, E. PR 096, Percutaneous lumbar disc decompression using the Dekompressor: A pilot study. Arch. Phys. Med. Rehabil. 2006, 87, e21. [Google Scholar] [CrossRef]
- Amoretti, N.; Huwart, L.; Marcy, P.Y.; Foti, P.; Hauger, O.; Boileau, P. CT-and fluoroscopy guided percutaneous discectomy for lumbar radiculopathy related to disc herniation: A comparative prospective study comparing lateral to medial herniated discs. Skelet. Radiol. 2013, 42, 49–53. [Google Scholar] [CrossRef]
- Fukui, S.; Rohof, O. Results of pulsed radiofrequency technique with two laterally placed electrodes in the annulus in patients with chronic lumbar discogenic pain. J. Anesth. 2012, 26, 606–609. [Google Scholar] [CrossRef]
- Gerszten, P.C.; Smuck, M.; Rathmell, J.P.; Simopoulos, T.T.; Bhagia, S.M.; Mocek, C.K.; Crabtree, T.; Bloch, D.A. Plasma disc decompression compared with fluoroscopy-guided transforaminal epidural steroid injections for symptomatic contained lumbar disc herniation: A prospective, randomized, controlled trial. J. Neurosurg. Spine 2010, 12, 357–371. [Google Scholar] [CrossRef]
- Masala, S.A.; Massari, F.; Fabiano, S.; Ursone, A.; Fiori, R.; Pastore, F.; Simonetti, G. Nucleoplasty in the treatment of lumbar diskogenic back pain: One year follow-up. Cardiovasc. Interv. Radiol. 2007, 30, 426–432. [Google Scholar] [CrossRef]
- Duarte, R.; Costa, J.C. Percutaneous laser disc decompression for lumbar discogenic radicular pain. Radiología (Engl. Ed.) 2012, 54, 336–341. [Google Scholar] [CrossRef]
- Byrd, D.; Mackey, S. Pulsed radiofrequency for chronic pain. Curr. Pain Headache Rep. 2008, 12, 37–41. [Google Scholar] [CrossRef]
- Erginousakis, D.; Filippiadis, D.K.; Malagari, A.; Kostakos, A.; Brountzos, E.; Kelekis, N.L.; Kelekis, A. Comparative prospective randomized study comparing conservative treatment and percutaneous disk decompression for treatment of intervertebral disk herniation. Radiología 2011, 260, 487–493. [Google Scholar] [CrossRef]
- Ezeldin, M.; Leonardi, M.; Princiotta, C.; Dall’Olio, M.; Tharwat, M.; Zaki, M.; Abdel-Wanis, M.E.; Cirillo, L. Percutaneous ozone nucleolysis for lumbar disc herniation. Neuroradiology 2018, 60, 1231–1241. [Google Scholar] [CrossRef]
- Giurazza, F.; Guarnieri, G.; Murphy, K.J.; Muto, M. Intradiscal O2O3, rationale, injection technique, short- and long-term outcomes for the treatment of low back pain due to disc herniation. Can. Assoc. Radiol. J. 2017, 68, 171–177. [Google Scholar] [CrossRef]
- Ozcan, S.; Muz, A.; YildizAltun, A.; Onal, S.A. Intradiscal ozone therapy for lumbar disc herniation. Cell Mol. Biol. (Noisy le Grand) 2018, 64, 52–55. [Google Scholar] [CrossRef]
- Murphy, K.; Elias, G.; Steppan, J.; Boxley, C.; Balagurunathan, K.; Victor, X.; Meaders, T.; Muto, M. Percutaneous treatment of herniated lumbar discs with ozone: Investigation of the mechanisms of action. J. Vasc. Interv. Radiol. 2016, 27, 1242–1250. [Google Scholar] [CrossRef]
- Marcia, S.; Bellini, M.; Hirsch, J.A.; Chandra, R.V.; Piras, E.; Marras, M.; Sanna, A.M.; Saba, L. Efficacy of an ethyl alcohol gel in symptomatic disc herniation. Eur. J. Radiol. 2018, 109, 101–107. [Google Scholar] [CrossRef]
- Houra, K.; Perovic, D.; Rados, I.; Kvesic, D. Radiopaque gelified ethanol application in lumbar intervertebral soft disc herniations: Croatian multicentric study. Pain Med. 2018, 19, 1550–1558. [Google Scholar] [CrossRef]
- Stagni, S.; De Santis, F.; Cirillo, L.; Dall’Olio, M.; Princiotta, C.; Simonetti, L.; Stafa, A.; Leonardi, M. A minimally invasive treatment for lumbar disc herniation: DiscoGel chemonucleolysis in patients unresponsive to chemonucleolysis with oxygen-ozone. Interv. Neuroradiol. 2012, 18, 97–104. [Google Scholar] [CrossRef]
- Léglise, A.; Lombard, J.; Moufid, A. DiscoGel in patients with discallumbosciatica: Retrospective results in 25 consecutive patients. Orthop. Traumatol. Surg Res. 2015, 101, 623–626. [Google Scholar] [CrossRef][Green Version]
- De Sèze, M.; Saliba, L.; Mazaux, J.M. Percutaneous treatment of sciatica caused by a herniated disc: An exploratory study on the use of gaseous discography and Discogel in 79 patients. Ann. Phys. Rehabil. Med. 2013, 56, 143–154. [Google Scholar] [CrossRef][Green Version]
- Niu, T.; Lv, C.; Yi, G.; Tang, H.; Gong, C.; Niu, S. therapeutic effect of medical ozone on lumbar disc herniation. Med. Sci. Monit. 2018, 24, 1962–1969. [Google Scholar] [CrossRef]
- Zhang, Y.; Ma, Y.; Jiang, J.; Ding, T.; Wang, J. Treatment of the lumbar disc herniation with intradiscal and intraforaminal injection of oxygen-ozone. J. Back Musculoskelet. Rehabil. 2013, 26, 317–322. [Google Scholar] [CrossRef]
- Lemcke, J.; Al-Zain, F.; Mutze, S.; Meier, U. Minimally invasive spinal surgery using nucleoplasty and the Dekompressor tool: A comparison of two methods in a one year follow-up. Minim Invasive Neurosurg. 2014, 53, 236–242. [Google Scholar] [CrossRef]
- Yan, D.; Li, J.; Zhu, H.; Zhang, Z.; Duan, L. Percutaneous cervical nucleoplasty and percutaneous cervical discectomy treatments of the contained cervical disc herniation. Arch. Orthop. Trauma Surg. 2010, 130, 1371–1376. [Google Scholar] [CrossRef]
- Adam, D.; Pevzner, E.; Gepstein, R. Comparison of percutaneous nucleoplastyandopen discectomy in patients with lumbar disc protrusions. Chirurgia (Bucur) 2013, 108, 94–98. [Google Scholar]
- Liu, W.G.; Wu, X.T.; Guo, J.H.; Zhuang, S.Y.; Teng, G.J. Long-term outcomes of patients with lumbar disc herniation treated with percutaneous discectomy: Comparative study with microendoscopic discectomy. Cardiovasc. Intervent. Radiol. 2010, 33, 780–786. [Google Scholar] [CrossRef]
- Tassi, G.P. Comparison of Results of 500 Microdiscectomies and 500 Percutaneous Laser Disc Decompression Procedures for Lumbar Disc Herniation. Photomed. Laser Surg. 2006, 24, 694–697. [Google Scholar] [CrossRef]
- Gangi, A.; Tsoumakidou, G.; Buy, X.; Cabral, J.; Garnon, J. Percutaneous techniques for cervical pain of discal origin. Semin. Musculoskelet. Radiol. 2011, 15, 172–180. [Google Scholar] [CrossRef]
- Manchikanti, L.; Singh, V.; Falco, F.J.; Calodney, A.K.; Onyewu, O.; Benyamin, R.M.; Hirsch, J.A. An updated review of automated percutaneous mechanical lumbar discectomy for the contained herniated lumbar disc. Pain Physician 2013, 16, SE151–SE184. [Google Scholar]
- Manchikanti, L.; Falco, F.J.; Benyamin, R.M.; Caraway, D.L.; Deer, T.R.; Singh, V.; Hameed, H.; Hirsch, J.A. An update of the systematic assessment of mechanical lumbar disc decompression with nucleoplasty. Pain Physician 2013, 16, SE25–SE54. [Google Scholar]
- Manchikanti, L.; Singh, V.; Calodney, A.K.; Deer, T.R.; Benyamin, R.M.; Falco, F.J.; Hirsch, J.A. Percutaneous lumbar mechanical disc decompression utilizing Dekompressor: An update of current evidence. Pain Physician 2013, 16, SE1–SE24. [Google Scholar]
- Benneker, L.M.; Andersson, G.; Iatridis, J.C.; Sakai, D.; Härtl, R.; Ito, K.; Grad, S. Cell therapy for intervertebral disc repair: Advancing cell therapy from bench to clinics. Eur. Cell Mater. 2014, 27, 5–11. [Google Scholar] [CrossRef]
- Bowles, R.D.; Setton, L.A. Biomaterials for intervertebral disc regeneration and repair. Biomaterials 2017, 129, 54–67. [Google Scholar] [CrossRef]
- Wang, B.H.; Campbell, G. Formulations of polyvinyl alcohol cryogel that mimic the biomechanical properties of soft tissues in the natural lumbar intervertebral disc. Spine (Phila Pa 1976) 2009, 34, 2745–2753. [Google Scholar] [CrossRef]
- Vernengo, J.; Fussell, G.W.; Smith, N.G.; Lowman, A.M. Synthesis and characterization of injectable bioadhesive hydrogels for nucleus pulposus replacement and repair of the damaged intervertebral disc. J. Biomed. Mater. Res. Part B Appl. Biomater. 2010, 93, 309–317. [Google Scholar] [CrossRef]
- Iatridis, J.C.; Nicoll, S.B.; Michalek, A.J.; Walter, B.A.; Gupta, M.S. Role of biomechanics in intervertebral disc degeneration and regenerative therapies: What needs repairing in the disc and what are promising biomaterials for its repair? Spine J. 2013, 13, 243–262. [Google Scholar] [CrossRef]
- D’Este, M.; Eglin, D.; Alini, M. Lessons to be learned and future directions for intervertebral disc biomaterials. Acta Biomater. 2018, 78, 13–22. [Google Scholar] [CrossRef]
- Tekari, A.; Wöltje, M.; Frauchiger, D.; Fortunato, G.; Benneker, L.; Gantenbein, B. A review of the application of reinforced hydrogels and silk as biomaterials for intervertebral disc repair. eCM 2017, 34, 271–290. [Google Scholar]
- Mehrkens, A.; Müller, A.; Valderrabano, V.; Schären, S.; Vavken, P. Tissue engineering approaches to degenerative disc disease—A meta-analysis of controlled animal trials. Osteoarthr. Cartil. 2012, 20, 1316–1325. [Google Scholar] [CrossRef]
- Podd, D. Platelet-rich plasma therapy: Origins and applications investigated. J. Am. Acad. Physician Assist. 2012, 25, 44–49. [Google Scholar] [CrossRef]
- Levi, D.; Horn, S.; Tyszko, S.; Levin, J.; Hecht-Leavitt, C.; Walko, E. Intradiscal platelet-rich plasma injection for chronic discogenic low back pain: Preliminary results from a prospective trial. Pain Med. 2016, 17, 1010–1022. [Google Scholar] [CrossRef]
- Tuakli-Wosornu, Y.A.; Terry, A.; Boachie-Adjei, K.; Harrison, J.R.; Gribbin, C.K.; LaSalle, E.E.; Nguyen, J.T.; Solomon, J.L.; Lutz, G.E. Lumbar intradiscal platelet rich plasma (PRP) injections: A prospective, double-blind, randomized controlled study. PM R. 2016, 8, 1–10. [Google Scholar] [CrossRef]
- Orozco, L.; Soler, R.; Morera, C.; Alberca, M.; Sánchez, A.; García-Sancho, J. Intervertebral disc repair by autologous mesenchymal bone marrow cells: A pilot study. Transplantion 2011, 92, 822–828. [Google Scholar] [CrossRef]
- Ho, G.; Leung, V.Y.L.; Cheung, K.M.C.; Chan, D. Effect of severity of intervertebral disc injury on mesenchymal stem cell-based regeneration. Connect. Tissue Res. 2008, 49, 15–21. [Google Scholar] [CrossRef]
- Vadalà, G.; Sowa, G.; Hubert, M.; Gilbertson, L.G.; Denaro, V.; Kang, J.D. Mesenchymal stem cells injection in degenerated intervertebral disc: Cell leakage may induce osteophyte formation. J. Tissue Eng. Regen. Med. 2012, 6, 348–355. [Google Scholar] [CrossRef]
- Bhangare, K.P.; Kaye, A.D.; Knezevic, N.N.; Candido, K.D.; Urman, R.D. An analysis of new approaches and drug formulations for treatment of chronic low back pain. Anesthesiol. Clin. 2017, 35, 341–350. [Google Scholar] [CrossRef]







| Technique | Method |
|---|---|
| Mechanical decompression | Mechanical high RPM spiral tips or metallic laminae probes |
| Water-driven suction-cutting probe | |
| Pneumatically driven suction-cutting probe | |
| Herniotome | |
| Thermal decompression | Percutaneous laser decompression |
| Intradiscal electrothermaltherapy | |
| Intervertebral disc nucleoplasty | |
| Pulsed radiofrequency | |
| Chemical decompression | Radiopaque gelified ethanol |
| Ozonetherapy | |
| Biomateral implantation | Hydrogel |
| Cellular therapies | Platelet-rich plasma, stem cell therapy |
© 2019 by the authors. Licensee MDPI, Basel, Switzerland. This article is an open access article distributed under the terms and conditions of the Creative Commons Attribution (CC BY) license (http://creativecommons.org/licenses/by/4.0/).
Share and Cite
Masala, S.; Salimei, F.; Lacchè, A.; Marcia, S.; Massari, F. Overview on Percutaneous Therapies of Disc Diseases. Medicina 2019, 55, 471. https://doi.org/10.3390/medicina55080471
Masala S, Salimei F, Lacchè A, Marcia S, Massari F. Overview on Percutaneous Therapies of Disc Diseases. Medicina. 2019; 55(8):471. https://doi.org/10.3390/medicina55080471
Chicago/Turabian StyleMasala, Salvatore, Fabio Salimei, Adriano Lacchè, Stefano Marcia, and Francesco Massari. 2019. "Overview on Percutaneous Therapies of Disc Diseases" Medicina 55, no. 8: 471. https://doi.org/10.3390/medicina55080471
APA StyleMasala, S., Salimei, F., Lacchè, A., Marcia, S., & Massari, F. (2019). Overview on Percutaneous Therapies of Disc Diseases. Medicina, 55(8), 471. https://doi.org/10.3390/medicina55080471

