The Importance of the Mediastinal Triangle in Traumatic Lesions of the Aorta
Abstract
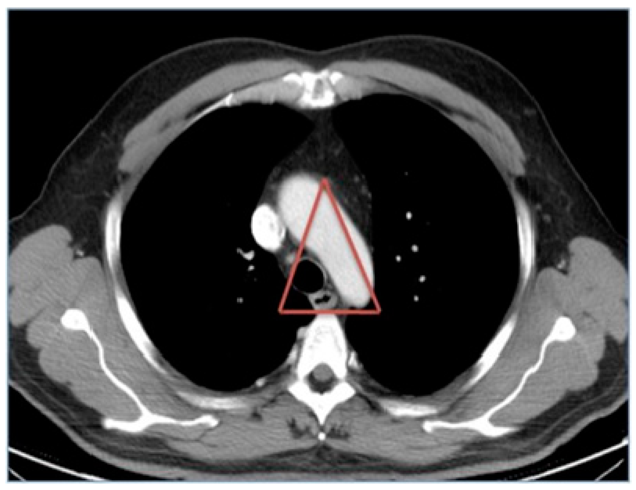
1. Introduction
2. Materials and Methods
Statistical Analysis
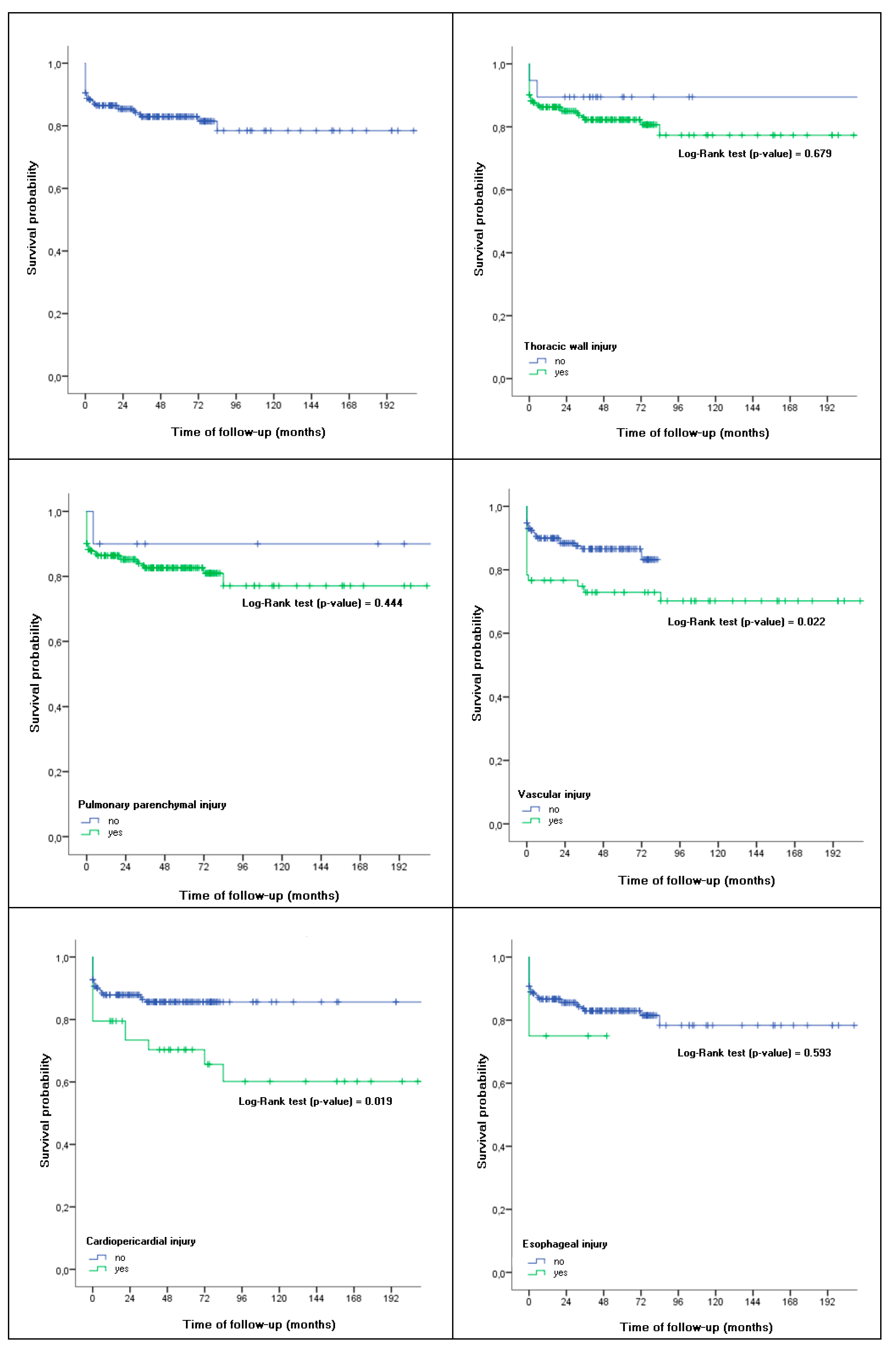
3. Results
4. Discussion
4.1. Injuries Associated with the Aorta
4.2. Limitations of the Study
5. Conclusions
Author Contributions
Funding
Conflicts of Interest
References
- Mullinix, A.J.; Foley, W.D. Multidetector Computed Tomography and Blunt Thoracoabdominal Trauma. J. Comput. Assist. Tomogr. 2004, 28, S20–S27. [Google Scholar] [CrossRef] [PubMed]
- Peters, S.; Nicolas, V.; Heyer, C. Multidetector computed tomography-spectrum of blunt chest wall and lung injuries in polytraumatized patients. Clin. Radiol. 2010, 65, 333–338. [Google Scholar] [CrossRef] [PubMed]
- Williams, S.R.; Perera, P.; Gharahbaghian, L. The FAST and E-FAST in 2013: Trauma ultrasonography: Overview, practical techniques, controversies, and new frontiers. Crit. Care Clin. 2014, 30, 119–150. [Google Scholar] [CrossRef] [PubMed]
- DGT. Principales Cifras de la Siniestralidad Vial. 2009. Available online: http://www.dgt.es/Galerias/seguridad-vial/estadisticas-e indicadores/publicaciones/principales-cifras-siniestralidad/Las principales-cifras-2017-Internet.pdf (accessed on 10 June 2019).
- Teixeira, P.G.; Inaba, K.; Barmparas, G.; Georgiou, C.; Toms, C.; Noguchi, T.T.; Rogers, C.; Sathyavagiswaran, L.; Demetriades, D. Blunt thoracic aortic injuries: An autopsy study. J. Trauma 2011, 70, 197–202. [Google Scholar] [CrossRef] [PubMed]
- Crass, J.R.; Cohen, A.M.; Motta, A.O.; Tomashefski, J.F., Jr.; Wiesen, E.J. A proposed new mechanism of traumatic aortic rupture: The osseous pinch. Radiology 1990, 176, 645–649. [Google Scholar] [CrossRef] [PubMed]
- Cohen, A.M.; Crass, J.R.; Thomas, H.A.; Fisher, R.G.; Jacobs, D.G. CT evidence for the “osseous pinch” mechanism of traumatic aortic injury. AJR Am. J. Roentgenol. 1992, 159, 271–274. [Google Scholar] [CrossRef] [PubMed]
- Creasy, J.D.; Chiles, C.; Routh, W.D.; Dyer, R.B. Overview of traumatic injury of the thoracic aorta. Radiogr. 1997, 17, 27–45. [Google Scholar] [CrossRef] [PubMed]
- Kaewlai, R.; Avery, L.L.; Asrani, A.V.; Novelline, R.A. Multidetector CT of blunt thoracic trauma. Radiographics 2008, 28, 1555–1570. [Google Scholar] [CrossRef] [PubMed]
- Mikhail, J.N.; Harris, Y.D.; Sorensen, V.J. Injury Severity Scoring: Influence of Trauma Surgeon Involvement on Accuracy. J. Trauma Nurs. 2003, 10, 43–47. [Google Scholar] [CrossRef] [PubMed]
- Moore, E.E.; Cogbill, T.H.; Malangoni, M.A.; Jurkovich, G.J.; Shackford, S.R.; Champion, H.R.; McAninch, J.W. Organ Injury Scaling. Surg. Clin. North Am. 1995, 75, 293–303. [Google Scholar] [CrossRef]
- Alsac, J.M.; Boura, B.; Desgranges, P.; Fabiani, J.N.; Becquemin, J.P.; Leseche, G.; PARIS-VASC. Immediate endovascular repair for acute traumatic injuries of the thoracic aorta: A multicenter analysis of 28 cases. J. Vasc. Surg. 2008, 48, 1369–1374. [Google Scholar] [CrossRef] [PubMed][Green Version]
- Parmley, L.F.; Mattingly, T.W.; Manion, W.C.; Jahnke, E.J. Nonpenetrating Traumatic Injury of the Aorta. Circulation 1958, 17, 1086–1101. [Google Scholar] [CrossRef]
- Greendyke, R.M. Traumatic rupture of aorta: Special reference to automobile accidents. JAMA 1996, 195, 119. [Google Scholar] [CrossRef]
- Ochsner, M.G.; Hoffman, A.P.; DiPasquale, D.; Cole, F.J.; Rozycki, G.S.; Webster, D.W.; Champion, H.R. Associated aortic rupture-pelvic fracture: An alert for orthopedic and general surgeons. J. Trauma: Inj. Infect. Crit. Care 1992, 33, 429. [Google Scholar] [CrossRef]
- Hunt, J.P.; Baker, C.C.; Lentz, C.W.; Rutledge, R.R.; Oller, D.W.; Flowe, K.M.; Nayduch, D.A.; Smith, C.; Clancy, T.V.; Thomason, M.H.; et al. Thoracic aortic injuries: Management and outcome of 144 patients. J. Trauma 1996, 40, 547. [Google Scholar] [CrossRef] [PubMed]
- Maggisano, R.; Nathens, A.; Alexandrova, N.A.; Cina, C.; Boulanger, B.; McKenzie, R.; Harrison, A.W. Trauma rupture of the thoracic aorta: Should one always operate immediately? Ann. Vasc. Surg. 1995, 9, 44. [Google Scholar] [CrossRef]
- Young, C.A.; Menias, C.O.; Bhalla, S.; Prasad, S.R. CT features of esophageal emergencies. Radiographics 2008, 28, 1541–1553. [Google Scholar] [CrossRef] [PubMed]
- Bryant, A.S.; Cerfolio, R.J. Esophageal trauma. Thorac. Surg. Clin. 2007, 17, 63–72. [Google Scholar] [CrossRef]
- Rojas, C.A.; Restrepo, C.S. Mediastinal hematomas: Aortic injury and beyond. J. Comput. Assist Tomogr. 2009, 33, 218–224. [Google Scholar] [CrossRef]
- Miller, L.A. Chest Wall, Lung, and Pleural Space Trauma. Radiol. Clin. North Am. 2006, 44, 213–224. [Google Scholar] [CrossRef]
- Kang, E.Y.; Müller, N.L. CT in blunt chest trauma: Pulmonary, tracheobronchial, and diaphragmatic injuries. Semin. Ultrasound CT MR 1996, 17, 114–118. [Google Scholar] [CrossRef]



| Injury AO | ||||
|---|---|---|---|---|
| Yes (n = 58) | No (n = 174) | |||
| Mean ± SD | Mean ± SD | p | OR (95% CI) | |
| Age (years) | 43.66 ± 18.13 | 47.94 ± 18.92 | 0.145 | 0.99 (0.97–1.00) |
| n (%) | n (%) | |||
| Sex | 0.639 | |||
| Woman | 12 (20.7) | 31 (17.9) | 1.19 (0.56–2.52) | |
| Man | 46 (79.3) | 142 (82.1) | 1 | |
| Mechanism of injury | 0.101 | |||
| Precipitation | 9 (15.5) | 59 (33.9) | 1 | |
| Car accident | 29 (50.0) | 61 (35.1) | 3.12 (1.36–7.14) | |
| Motorcycle accident | 11 (19.0) | 31 (17.8) | 2.33 (0.87–6.21) | |
| Flattening | 3 (5.2) | 10 (5.7) | 1.96 (0.45–8.54) | |
| Run over | 6 (10.3) | 11 (6.3) | 3.57 (1.06–12.17) | |
| Other | 0 | 2 (1.1) | ||
| Location of the Ao lesion | ||||
| Upward | 2 (3.4) | |||
| Aortic camber | 5 (8.6) | |||
| Isthmus | 32(55.2) | |||
| Descending aorta | 19 (32.8) | |||
| In-hospital exodus | 0.008 | |||
| No | 41 (70.7) | 151 (86.8) | 1 | |
| Yes | 17 (29.3) | 23 (13.2) | 2.72 (1.33–5.56) | |
| Injury AO | ||||
|---|---|---|---|---|
| Yes (n = 58) | No (n = 174) | |||
| n (%) | n (%) | p | OR (95% CI) | |
| Thoracic wall injury | 0.010 | |||
| No | 10 (17.2) | 9 (5.2) | 1 | |
| Yes | 48 (82.8) | 165 (94.8) | 0.26 (0.1–0.7) | |
| Grade I–II | 34 (70.8) | 146 (88.5) | ||
| Grade ≥III | 14 (29.2) | 19 (11.5) | ||
| Pulmonary parenchymal injury | 0.017 | |||
| No | 6 (10.3) | 4 (2.3) | 1 | |
| Yes | 52 (89.7) | 170 (97.7) | 0.20 (0.05–0.75) | |
| Grade I–II | 17 (32.7) | 62 (36.5) | ||
| Grade ≥III | 35 (67.3) | 108 (63.5) | ||
| Diaphragm injury | 0.167 | |||
| No | 55 (94.8) | 171(98.3) | 1 | |
| Yes | 3 (5.2) | 3(1.7) | 3.11 (0.61–15.85) | |
| Grade I–II | 1 (33.3) | 1 (33.3) | ||
| Grade ≥III | 2 (66.7) | 2 (66.7) | ||
| Vascular injury | 0.000 | |||
| No | 0 | 172 (98.9) | ||
| Yes | 58 (100.0) | 2 (1.1) | ||
| Grade I–II | 0 (0) | 1 (50.0) | ||
| Grade ≥III | 58 (100) | 1 (50.0) | ||
| Airway injury | 0.001 | |||
| No | 51 (87.9) | 172 (98.9) | 1 | |
| Yes | 7 (12.1) | 2(1.1) | 11.80 (2.37–58.59) | |
| Esophageal injury | 0.047 | |||
| No | 54 (94.7) | 173 (99.4) | 1 | |
| Yes | 3 (5.3) | 1 (0.6) | 9.61 (0.98–94.31) | |
| Grade I–II | 3 (100) | 1 (100) | ||
| Cardiopericardial injury | 0.000 | |||
| No | 34 (58.6) | 159 (91.4) | 1 | |
| Yes | 24 (41.4) | 15 (8.6) | 7.48 (3.55–15.74) | |
| Grade I–II | 19 (79.2) | 13 (86.7) | ||
| Grade ≥III | 5 (20.8) | 2 (13.3) | ||
| B | SE | p | OR (95% CI) | |
|---|---|---|---|---|
| Age (years) | −0.011 | 0.010 | 0.259 | 0.98 (0.97–1.01) |
| Sex | 0.020 | 0.468 | 0.965 | 1.02 (0.41–2.55) |
| Thoracic Wall injury | −1.864 | 0.556 | 0.001 | 0.15 (0.05–0.46) |
| Pulmonary Parenchymal injury | −1.230 | 0.818 | 0.132 | 0.29 (0.05–1.45) |
| Diaphragm injury | 0.901 | 0.987 | 0.361 | 2.46 (0.35–17.03) |
| Airway injury | 2.962 | 0.879 | 0.001 | 19.33 (3.45–108.28) |
| Esophageal injury | 1.910 | 1.302 | 0.142 | 6.75 (0.52–86.65) |
| Heart-pericardium injury | 2.276 | 0.425 | 0.000 | 9.74 (4.23–22.39) |
© 2019 by the authors. Licensee MDPI, Basel, Switzerland. This article is an open access article distributed under the terms and conditions of the Creative Commons Attribution (CC BY) license (http://creativecommons.org/licenses/by/4.0/).
Share and Cite
Gulias-Soidan, D.; Fraga-Manteiga, D.; Mosquera-Rodriguez, V.X.; Marini-Diaz, M.; Lopez-Bargiela, P.; González-Martín, C.; Balboa-Barreiro, V. The Importance of the Mediastinal Triangle in Traumatic Lesions of the Aorta. Medicina 2019, 55, 263. https://doi.org/10.3390/medicina55060263
Gulias-Soidan D, Fraga-Manteiga D, Mosquera-Rodriguez VX, Marini-Diaz M, Lopez-Bargiela P, González-Martín C, Balboa-Barreiro V. The Importance of the Mediastinal Triangle in Traumatic Lesions of the Aorta. Medicina. 2019; 55(6):263. https://doi.org/10.3390/medicina55060263
Chicago/Turabian StyleGulias-Soidan, Daniel, Daniel Fraga-Manteiga, Víctor X Mosquera-Rodriguez, Milagros Marini-Diaz, Paula Lopez-Bargiela, Cristina González-Martín, and Vanesa Balboa-Barreiro. 2019. "The Importance of the Mediastinal Triangle in Traumatic Lesions of the Aorta" Medicina 55, no. 6: 263. https://doi.org/10.3390/medicina55060263
APA StyleGulias-Soidan, D., Fraga-Manteiga, D., Mosquera-Rodriguez, V. X., Marini-Diaz, M., Lopez-Bargiela, P., González-Martín, C., & Balboa-Barreiro, V. (2019). The Importance of the Mediastinal Triangle in Traumatic Lesions of the Aorta. Medicina, 55(6), 263. https://doi.org/10.3390/medicina55060263

