Early Use of Cardiac Resynchronization Therapy to Accelerate Symptomatic Relief and Complete Left Ventricular Function Recovery in Peripartum Cardiomyopathy
Abstract
:1. Introduction
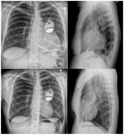
2. Case Report
3. Discussion
4. Conclusions
Author Contributions
Funding
Conflicts of Interest
References
- Pillarisetti, J.; Kondur, A.; Alani, A.; Reddy, M.; Reddy, M.; Vacek, J.; Weiner, C.P.; Ellerbeck, E.; Schreiber, T.; Lakkireddy, D. Peripartum cardiomyopathy: Predictors of recovery and current state of implantable cardioverter-defibrillator use. J. Am. Coll. Cardiol. 2014, 63, 2831–2839. [Google Scholar] [CrossRef] [PubMed]
- Hilfiker-Kleiner, D.; Haghkia, A.; Berliner, D.; Vogel-Claussen, J.; Schwab, J.; Franke, A.; Schwarzkopf, M.; Ehlermann, P.; Pfister, R.; Micheels, G.; et al. Bromocriptine for the treatment of peripartum cardiomyopathy: A multicenter randomized study. Eur. Heart J. 2017, 38, 2671–2679. [Google Scholar] [CrossRef] [PubMed]
- McNamara, D.M.; Elkayam, U.; Alharethi, R.; Damp, J.; Hsich, E.; Ewald, G.; Modi, K.; Alexis, J.D.; Ramani, G.V.; Semigran, M.J.; et al. IPAC Investigators. Clinical outcomes for peripartum cardiomyopathy in North America: Results of the IPAC study (investigations of pregnancy-associated cardiomyopathy). J. Am. Coll. Cardiol. 2015, 66, 905–914. [Google Scholar] [CrossRef] [PubMed]
- Mouquet, F.; Mostefa Kara, M.; Lamblin, N.; Coulon, C.; Langlois, S.; Marquie, C.; de Groote, P. Unexpected and rapid recovery of left ventricular function in patients with peripartum cardiomyopathy: Impact of cardiac resynchronization therapy. Eur. J. Heart Fail. 2012, 14, 526–529. [Google Scholar] [CrossRef]
- Normand, C.; Linde, C.; Singh, J.; Dickstein, K. Indications for cardiac resynchronization therapy: A comparison of the major international guidelines. JACC Heart Fail. 2018, 6, 308–316. [Google Scholar] [CrossRef]
- Castellant, P.; Fatemi, M.; Orhan, E.; Etienne, Y.; Blanc, J.J. Patients with non-ischaemic dilated cardiomyopathy and hyper-responders to cardiac resynchronization therapy: Characteristics and long-term evolution. Europace 2009, 11, 350–355. [Google Scholar] [CrossRef] [PubMed]


© 2019 by the authors. Licensee MDPI, Basel, Switzerland. This article is an open access article distributed under the terms and conditions of the Creative Commons Attribution (CC BY) license (http://creativecommons.org/licenses/by/4.0/).
Share and Cite
Richard, E.; Turgeon, P.Y.; Dubois, M.; Sénéchal, M. Early Use of Cardiac Resynchronization Therapy to Accelerate Symptomatic Relief and Complete Left Ventricular Function Recovery in Peripartum Cardiomyopathy. Medicina 2019, 55, 246. https://doi.org/10.3390/medicina55060246
Richard E, Turgeon PY, Dubois M, Sénéchal M. Early Use of Cardiac Resynchronization Therapy to Accelerate Symptomatic Relief and Complete Left Ventricular Function Recovery in Peripartum Cardiomyopathy. Medicina. 2019; 55(6):246. https://doi.org/10.3390/medicina55060246
Chicago/Turabian StyleRichard, Elizabeth, Pierre Yves Turgeon, Michelle Dubois, and Mario Sénéchal. 2019. "Early Use of Cardiac Resynchronization Therapy to Accelerate Symptomatic Relief and Complete Left Ventricular Function Recovery in Peripartum Cardiomyopathy" Medicina 55, no. 6: 246. https://doi.org/10.3390/medicina55060246
APA StyleRichard, E., Turgeon, P. Y., Dubois, M., & Sénéchal, M. (2019). Early Use of Cardiac Resynchronization Therapy to Accelerate Symptomatic Relief and Complete Left Ventricular Function Recovery in Peripartum Cardiomyopathy. Medicina, 55(6), 246. https://doi.org/10.3390/medicina55060246

