Protective Effect of Thymosin β4 against Abdominal Aortic Ischemia–Reperfusion-Induced Acute Lung Injury in Rats
Abstract
:1. Introduction
2. Materials and Methods
2.1. Animals
2.2. Experimental Design
2.3. Surgical Procedure
2.4. Chemicals
2.5. Bronchoalveolar Lavage Fluid (BALF)
2.6. Biochemical Analyses
2.6.1. Determination of Protein Concentration
2.6.2. Oxidative Stress Parameters Measurements in Serum, BALF, and Lung Tissue Samples
2.6.3. Measurement of Inflammatory Cytokines and Nuclear Factor Kappa B
2.7. Histological Evaluation
2.8. Statistical Analysis
3. Results
3.1. Alterations of W/D (Wet to Dry) Weight Analysis
3.2. Changes of Oxidative Stress Parameters in Rats
3.3. Changes of Inflammatory Cytokines and NF-κB in Rats
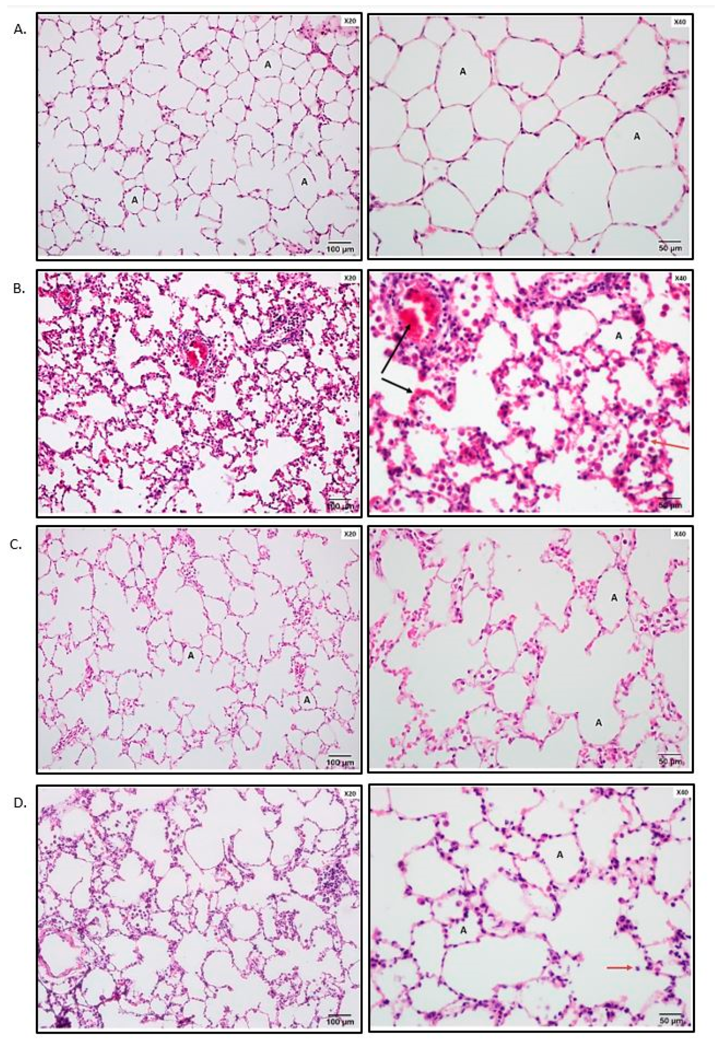
3.4. Changes in Lung Histology
4. Discussion
5. Conclusions
Author Contributions
Funding
Acknowledgments
Conflicts of Interest
References
- Kim, G.S.; Ahn, H.J.; Kim, W.H.; Kim, M.J.; Lee, S.H. Risk Factors for Postoperative Complications after Open Infrarenal Abdominal Aortic Aneurysm Repair in Koreans. Yonsei Med. J. 2011, 52, 339. [Google Scholar] [CrossRef] [PubMed]
- Guner, I.; Yaman, M.O.; Aksu, U.; Uzun, D.; Erman, H.; Inceli, M.; Gelisgen, R.; Yelmen, N.; Uzun, H.; Sahin, G. The effect of fluoxetine on ischemia-reperfusion after aortic surgery in a rat model. J. Surg. Res. 2014, 189, 96–105. [Google Scholar] [CrossRef] [PubMed]
- Aksu, U.; Guner, I.; Yaman, O.M.; Erman, H.; Uzun, D.; Sengezer-Inceli, M.; Sahin, A.; Yelmen, N.; Gelisgen, R.; Uzun, H. Fluoxetine ameliorates imbalance of redox homeostasis and inflammation in an acute kidney injury model. J. Physiol. Biochem. 2014, 70, 925–934. [Google Scholar] [CrossRef] [PubMed]
- De Perrot, M.; Liu, M.; Waddell, T.K.; Keshavjee, S. Ischemia-reperfusion-induced lung injury. Am. J. Respir. Crit. Care Med. 2003, 167, 490–511. [Google Scholar] [CrossRef] [PubMed]
- Ferrari, R.S.; Andrade, C.F. Oxidative Stress and Lung Ischemia-Reperfusion Injury. Oxid. Med. Cell. Longev. 2015, 2015, 590987. [Google Scholar] [CrossRef] [PubMed]
- Bown, M.J.; Nicholson, M.L.; Bell, P.R.; Sayers, R.D. Cytokines and inflammatory pathways in the pathogenesis of multiple organ failure following abdominal aortic aneurysm repair. Eur. J. Vasc. Endovasc. Surg. 2001, 22, 485–495. [Google Scholar] [CrossRef]
- Den Hengst, W.A.; Gielis, J.F.; Lin, J.Y.; van Schil, P.E.; de Windt, L.J.; Moens, A.L. Lung ischemia-reperfusion injury: A molecular and clinical view on a complex pathophysiological process. Am. J. Physiol. Heart Circ. Physiol. 2010, 299, H1283–H1299. [Google Scholar] [CrossRef]
- Ho, J.H.; Tseng, K.C.; Ma, W.H.; Chen, K.H.; Lee, O.K.; Su, Y. Thymosin beta-4 upregulates anti-oxidative enzymes and protects human cornea epithelial cells against oxidative damage. Br. J. Ophthalmol. 2008, 92, 992–997. [Google Scholar] [CrossRef]
- Shah, R.; Reyes-Gordillo, K.; Cheng, Y.; Varatharajalu, R.; Ibrahim, J.; Lakshman, M.R. Thymosin β4 Prevents Oxidative Stress, Inflammation, and Fibrosis in Ethanol- and LPS-Induced Liver Injury in Mice. Oxid. Med. Cell. Longev. 2018, 2018, 9630175. [Google Scholar] [CrossRef]
- Crockford, D.; Turjman, N.; Allan, C.; Angel, J. Thymosin beta4: Structure, function, and biological properties supporting current and future clinical applications. Ann. N. Y. Acad. Sci. 2010, 1194, 179–189. [Google Scholar] [CrossRef]
- Jo, J.-O.; Kang, Y.-J.; Ock, M.S.; Kleinman, H.K.; Chang, H.-K.; Cha, H.-J. Thymosin β4 expression in human tissues and in tumors using tissue microarrays. Appl. Immunohistochem. Mol. Morphol. 2011, 19, 160–167. [Google Scholar] [CrossRef]
- Sosne, G.; Qiu, P.; Goldstein, A.L.; Wheater, M. Biological activities of thymosin beta4 defined by active sites in short peptide sequences. FASEB J. 2010, 24, 2144–2151. [Google Scholar] [CrossRef]
- Philp, D.; Kleinman, H.K. Animal studies with thymosin beta, a multifunctional tissue repair and regeneration peptide. Ann. N. Y. Acad. Sci. 2010, 1194, 81–86. [Google Scholar] [CrossRef]
- Zhu, J.; Song, J.; Yu, L.; Zheng, H.; Zhou, B.; Weng, S.; Fu, G. Safety and efficacy of autologous thymosin β4 pre-treated endothelial progenitor cell transplantation in patients with acute ST segment elevation myocardial infarction: A pilot study. Cytotherapy 2016, 18, 1037–1042. [Google Scholar] [CrossRef]
- Buege, J.A.; Aust, S.D. Microsomal lipid peroxidation. Methods Enzymol. 1978, 52, 302–310. [Google Scholar]
- Nourooz-Zadeh, J. Ferrous ion oxidation in presence of xylenol orange for detection of lipid hydroperoxides in plasma. Methods Enzymol. 1999, 300, 58–62. [Google Scholar]
- Benzie, I.F.; Strain, J. Ferric reducing/antioxidant power assay: Direct measure of total antioxidant activity of biological fluids and modified version for simultaneous measurement of total antioxidant power and ascorbic acid concentration. Methods Enzymol. 1999, 299, 15–27. [Google Scholar]
- Alamdari, D.H.; Ghayour-Mobarhan, M.; Tavallaie, S.; Parizadeh, M.R.; Moohebati, M.; Ghafoori, F.; Kazemi-Bajestani, S.M.R.; Paletas, K.; Pegiou, T.; Koliakos, G. Prooxidant-antioxidant balance as a new risk factor in patients with angiographically defined coronary artery disease. Clin. Biochem. 2008, 41, 375–380. [Google Scholar] [CrossRef]
- Sun, Y.; Oberley, L.W.; Li, Y. A simple method for clinical assay of superoxide dismutase. Clin. Chem. 1988, 34, 497–500. [Google Scholar]
- Beutler, E.; Duron, O.; Kelly, B.M. Improved method for the determination of blood glutathione. J. Lab. Clin. Med. 1963, 61, 882–888. [Google Scholar]
- Erman, H.; Guner, I.; Yaman, M.O.; Uzun, D.D.; Gelisgen, R.; Aksu, U.; Yelmen, N.; Sahina, G.; Uzun, H. The effects of fluoxetine on circulating oxidative damage parameters in rats exposed to aortic ischemia-reperfusion. Eur. J. Pharm. 2015, 749, 56–61. [Google Scholar] [CrossRef]
- Kandilci, H.B.; Gumusel, B.; Topaloglu, E.; Ucar, G.; Korkusuz, P.; Ugur, Y.; Asan, E.; Demiryürek, A.T. Effects of ischemic preconditioning on rat lung: Role of nitric oxide. Exp. Lung Res. 2006, 32, 287–303. [Google Scholar] [CrossRef]
- Pirat, A.; Zeyneloglu, P.; Aldemir, D.; Yucel, M.; Ozen, O.; Candan, S.; Arslan, G. Pretreatment with simvastatin reduces lung injury related to intestinal ischemia-reperfusion in rats. Anesth. Analg. 2006, 102, 225–232. [Google Scholar] [CrossRef]
- Goodman, R.B.; Pugin, J.; Lee, J.S.; Matthay, M.A. Cytokine-mediated inflammation in acute lung injury. Cytokine Growth Factor Rev. 2003, 14, 523–535. [Google Scholar] [CrossRef]
- Guo, R.-F.; Ward, P.A. Role of oxidants in lung injury during sepsis. Antioxid. Redox Signal. 2007, 9, 1991–2002. [Google Scholar] [CrossRef]
- Gulmen, S.; Kiris, I.; Kocyigit, A.; Dogus, D.K.; Ceylan, B.G.; Meteoglu, I. β-Glucan protects against lung injury induced by abdominal aortic ischemia-reperfusion in rats. J. Surg Res. 2010, 164, e325–e332. [Google Scholar] [CrossRef]
- Quinlan, T.; Spivack, S.; Mossman, B. Regulation of antioxidant enzymes in lung after oxidant injury. Environ. Health Perspect. 1994, 102 (Suppl. 2), 79. [Google Scholar]
- Tian, X.F.; Yao, J.H.; Zhang, X.S.; Zheng, S.S.; Guo, X.H.; Wang, L.M.; Wang, Z.Z.; Liu, K.X. Protective effect of carnosol on lung injury induced by intestinal ischemia/reperfusion. Surg. Today 2010, 40, 858–865. [Google Scholar] [CrossRef]
- Kalogeris, T.; Baines, C.P.; Krenz, M.; Korthuis, R.J. Cell biology of ischemia/reperfusion injury. Int. Rev. Cell Mol. Biol. 2012, 298, 229–317. [Google Scholar]
- Tapuria, N.; Kumar, Y.; Habib, M.M.; Amara, M.A.; Seifalian, A.M.; Davidson, B.R. Remote ischemic preconditioning: A novel protective method from ischemia reperfusion injury—A review. J. Surg. Res. 2008, 150, 304–330. [Google Scholar] [CrossRef]
- Khimenko, P.L.; Bagby, G.; Fuseler, J.; Taylor, A.E. Tumor necrosis factor-α in ischemia and reperfusion injury in rat lungs. J. Appl. Physiol. 1998, 85, 2005–2011. [Google Scholar] [CrossRef]
- Fujishima, S. Epithelial cell restoration and regeneration in inflammatory lung diseases. Inflamm. Regen. 2011, 31, 290–295. [Google Scholar] [CrossRef]
- Holzheimer, R.G.; Gross, J.; Schein, M. Pro-and anti-inflammatory cytokine-response in abdominal aortic aneurysm repair: A clinical model of ischemia-reperfusion. Shock 1999, 11, 305–310. [Google Scholar] [CrossRef]
- Breithaupt-Faloppa, A.C.; Vitoretti, L.B.; Coelho, F.R.; dos Santos Franco, A.L.; Domingos, H.V.; Sudo-Hayashi, L.S.; Oliveira-Filho, R.M.; de Lima, W.T. Nitric oxide mediates lung vascular permeability and lymph-borne IL-6 after an intestinal ischemic insult. Shock 2009, 32, 55–61. [Google Scholar] [CrossRef]
- Christman, J.; Lancaster, L.; Blackwell, T. Nuclear factor k B: A pivotal role in the systemic inflammatory response syndrome and new target for therapy. Intensive Care Med. 1998, 24, 1131–1138. [Google Scholar] [CrossRef]
- Qiu, P.; Wheater, M.K.; Qiu, Y.; Sosne, G. Thymosin beta4 inhibits TNF-alpha-induced NF-kappaB activation, IL-8 expression, and the sensitizing effects by its partners PINCH-1 and ILK. FASEB J. 2011, 25, 1815–1826. [Google Scholar] [CrossRef]
- Sosne, G.; Qiu, P.; Christopherson, P.L.; Wheater, M.K. Thymosin beta 4 suppression of corneal NF-κB: A potential anti-inflammatory pathway. Exp. Eye Res. 2007, 84, 663–669. [Google Scholar] [CrossRef]
- Stark, C.K.J.; Tarkia, M.; Kentala, R.; Malmberg, M.; Vähäsilta, T.; Savo, M.; Hynninen, V.V.; Ruohonen, S.; Jalkanen, J.; Taimen, P.; et al. Systemic Dosing of Thymosin Beta 4 before and after Ischemia Does Not Attenuate Global Myocardial Ischemia-Reperfusion Injury in Pigs. Front. Pharm. 2016, 7, 115. [Google Scholar] [CrossRef]


| Groups | |||||
|---|---|---|---|---|---|
| Control n = 8 | IR n = 8 | Tβ4 + IR n = 8 | I+Tβ4+R n = 8 | ||
| Serum Oxidant /Anti-oxidant levels | LOOH (nmol/L) | 0.42 ± 0.02 | 0.30 ± 0.02 *** | 0.35 ± 0.01 ≠ | 0.32 ± 0.02 ≠≠≠ |
| MDA (µmol/mL) | 18.11 ± 0.72 | 8.49 ± 0.36 *** | 10.33 ± 1.01 ≠≠≠ | 8.84 ± 0.48 ≠≠≠ | |
| GSH † (µmol/g Hb) | 0.84 ± 0.01 | 1.19 ± 0.06 *** | 1.02 ± 0.06 ≠ | 1.07 ± 0.03 ≠≠≠ | |
| SOD (U/L) | 17.95 ± 1.50 | 10.81 ± 0.74 *** | 16.30 ± 0.70 ≠≠ | 17.42 ± 1.24 ≠≠ | |
| PAB (H2O2 %) | 24.37 ± 1.07 | 41.87 ± 2.37 *** | 26.58 ± 1.72 ≠≠≠ | 25.23 ± 2.24 ≠≠≠ | |
| FRAP (mmol uric acid) | 0.04 ± 0.00 | 0.08 ± 0.01 *** | 0.06 ± 0.01 ≠ | 0.07 ± 0.01 ≠≠ | |
| BALF Oxidant /Anti-oxidant levels | LOOH (nmol/L) | 4.08 ± 0.22 | 5.26 ± 0.13 *** | 4.30 ± 0.17 ≠≠ | 4.28 ± 0.14 ≠≠ |
| MDA (µmol/mL) | 13.76 ± 0.24 | 19.98 ± 1.53 *** | 14.59 ± 0.32 ≠≠≠ | 14.42 ± 0.36 ≠≠≠ | |
| GSH (µmol/L) | 0.69 ± 0.02 | 0.25 ± 0.02 *** | 0.60 ± 0.05 ≠≠≠ | 0.63 ± 0.02 ≠≠≠ | |
| SOD (U/L) | 19.50 ± 1.95 | 10.71 ± 0.86 *** | 16.84 ± 1.00 ≠ | 17.91 ± 1.03 ≠≠ | |
| PAB (H2O2 %) | 36.69 ± 0.82 | 43.34 ± 0.58 *** | 37.75 ± 1.30 ≠≠ | 37.49 ± 1.00 ≠≠ | |
| FRAP (mmol uric acid) | 0.06 ± 0.00 | 0.02 ± 0.01 *** | 0.04 ± 0.01 ≠ | 0.05 ± 0.01 ≠≠ | |
| Tissue Oxidant /Anti-oxidant levels | LOOH (nmol/wet tissue) | 3.59 ± 0.03 | 4.36 ± 0.05 *** | 3.76 ± 0.07 ≠≠≠ | 3.76 ± 0.02 ≠≠≠ |
| MDA (µmol/wet tissue) | 65.79 ± 0.68 | 84.09 ± 1.72 *** | 69.42 ± 1.09 ≠≠≠ | 69.54 ± 0.37 ≠≠≠ | |
| GSH (µmol/wet tissue) | 0.34 ± 0.03 | 0.17 ± 0.02 *** | 0.28 ± 0.02 ≠≠ | 0.30 ± 0.01 ≠≠≠ | |
| SOD (U/wet tissue) | 20.77 ± 1.62 | 13.39 ± 0.93 ** | 18.79 ± 1.28 ≠ | 20.64 ± 0.92 ≠≠ | |
| PAB (H2O2 % /wet tissue) | 113.40 ± 0.47 | 135.20± 2.33 *** | 120.60± 1.63 ≠≠≠ | 118.00± 2.39 ≠≠≠ | |
| FRAP (mmol uric acid /wet tissue) | 1.53 ± 0.03 | 1.01 ± 0.03 *** | 1.38 ± 0.01 ≠≠≠ | 1.45 ± 0.01 ≠≠≠ | |
| Groups | |||||
|---|---|---|---|---|---|
| Control n = 8 | IR n = 8 | Tβ4 + IR n = 8 | I+Tβ4+R n = 8 | ||
| Serum pro-inflammatory cytokines and NF-κB levels | TNF-α (pg/mL) | 45.36 ± 1.43 | 79.56 ± 3.18 *** | 50.46 ± 1.17 ≠≠≠ | 45.49 ± 1.14 ≠≠≠ |
| IL-6 (pg/mL) | 1517.00 ± 49.73 | 2448.00 ± 60.83 *** | 1561.00 ± 54.31 ≠≠≠ | 1555.00 ± 44.22 ≠≠≠ | |
| IL-1β (pg/mL) | 42.79 ± 3.19 | 81.82 ± 2.58 *** | 50.11 ± 3.32 ≠≠≠ | 46.32 ± 2.22 ≠≠≠ | |
| NF-κB (ng/mL) | 6.00 ± 0.52 | 12.05 ± 1.30 *** | 7.10 ± 0.25 ≠≠≠ | 6.74 ± 0.25 ≠≠≠ | |
| BALF pro-inflammatory cytokines and NF-κB levels | TNF-α (pg/mL) | 45.74 ± 1.63 | 78.58 ± 5.54 *** | 53.95 ± 2.77 ≠≠≠ | 51.35 ± 1.66 ≠≠≠ |
| IL-6 (pg/mL) | 1478.00 ± 52.67 | 2630.00 ± 71.86 *** | 1607.00 ± 70.06 ≠≠≠ | 1541.00 ± 47.37 ≠≠≠ | |
| IL-1β (pg/mL) | 233.90 ± 10.33 | 411.60 ± 27.90 *** | 247.00 ± 19.54 ≠≠≠ | 227.10 ± 11.80 ≠≠≠ | |
| NF-κB (ng/mL) | 9.63 ± 0.35 | 17.56 ± 1.88 *** | 10.25 ± 0.48 ≠≠≠ | 9.78 ± 0.45 ≠≠≠ | |
| Tissue pro-inflammatory cytokines and NF-κB levels | TNF-α (pg/100 µg protein) | 44.80 ± 1.01 | 72.32 ± 4.01 *** | 46.57 ± 1.02 ≠≠≠ | 42.59 ± 1.19 ≠≠≠ |
| IL-6 (pg/100 µg protein) | 109.30 ± 1.63 | 164.40 ± 3.07 *** | 117.60 ± 2.25 ≠≠≠ | 112.60 ± 1.94 ≠≠≠ | |
| IL-1β (pg/100 µg protein) | 130.50 ± 7.63 | 190.00 ± 7.14 *** | 152.20 ± 3.69 ≠≠ | 130.50 ± 7.81 ≠≠≠ | |
| NF-κB (ng/100 µg protein) | 1.00 ± 0.04 | 1.50 ± 0.06 *** | 1.17 ± 0.03 ≠≠≠ | 1.05 ± 0.06 ≠≠≠ | |
© 2019 by the authors. Licensee MDPI, Basel, Switzerland. This article is an open access article distributed under the terms and conditions of the Creative Commons Attribution (CC BY) license (http://creativecommons.org/licenses/by/4.0/).
Share and Cite
Yaman, O.M.; Guner, I.; Guntas, G.; Sonmez, O.F.; Tanriverdi, G.; Cakiris, A.; Aksu, U.; Akyol, S.; Guzel, E.; Uzun, H.; et al. Protective Effect of Thymosin β4 against Abdominal Aortic Ischemia–Reperfusion-Induced Acute Lung Injury in Rats. Medicina 2019, 55, 187. https://doi.org/10.3390/medicina55050187
Yaman OM, Guner I, Guntas G, Sonmez OF, Tanriverdi G, Cakiris A, Aksu U, Akyol S, Guzel E, Uzun H, et al. Protective Effect of Thymosin β4 against Abdominal Aortic Ischemia–Reperfusion-Induced Acute Lung Injury in Rats. Medicina. 2019; 55(5):187. https://doi.org/10.3390/medicina55050187
Chicago/Turabian StyleYaman, Onur M., Ibrahim Guner, Gulcan Guntas, Osman Fuat Sonmez, Gamze Tanriverdi, Aris Cakiris, Ugur Aksu, Sibel Akyol, Elif Guzel, Hafize Uzun, and et al. 2019. "Protective Effect of Thymosin β4 against Abdominal Aortic Ischemia–Reperfusion-Induced Acute Lung Injury in Rats" Medicina 55, no. 5: 187. https://doi.org/10.3390/medicina55050187
APA StyleYaman, O. M., Guner, I., Guntas, G., Sonmez, O. F., Tanriverdi, G., Cakiris, A., Aksu, U., Akyol, S., Guzel, E., Uzun, H., Yelmen, N., & Sahin, G. (2019). Protective Effect of Thymosin β4 against Abdominal Aortic Ischemia–Reperfusion-Induced Acute Lung Injury in Rats. Medicina, 55(5), 187. https://doi.org/10.3390/medicina55050187

