HPLC Analysis and In Vivo Renoprotective Evaluation of Hydroalcoholic Extract of Cucumis melo Seeds in Gentamicin-Induced Renal Damage
Abstract
:1. Introduction
2. Material and Method
2.1. Collection of Plant Material
2.2. Preparation of Extract
2.3. Preliminary Qualitative Phytochemical Screening
2.4. Quantitative Phytochemical Analysis by HPLC
2.5. Nephroprotective Activity
2.5.1. Experimental Animals
2.5.2. Study Design
2.5.3. Body and Organ Weight Changes
2.5.4. Biochemical Analysis
2.5.5. Histopathology
2.6. Statistical Analysis
3. Results
3.1. Preliminary Qualitative Phytochemical Analysis
3.2. Quantitative Phytochemical Analysis by HPLC
3.3. Body and Organ Weight Changes
3.4. Biochemical Analysis
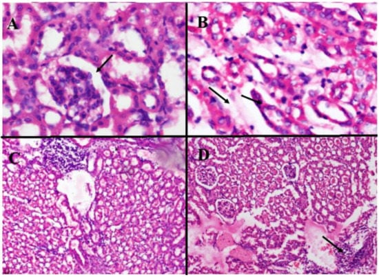
3.5. Histopathological Examination
4. Discussion
5. Conclusions
Supplementary Materials
Author Contributions
Funding
Acknowledgments
Conflicts of Interest
References
- El-Tantawy, W.H.; Mohamed, S.A.-H.; Al Haleem, E.N.A. Evaluation of biochemical effects of Casuarina equisetifolia extract on gentamicin-induced nephrotoxicity and oxidative stress in rats. Phytochemical analysis. J. Clin. Biochem. Nutr. 2013, 53, 158–165. [Google Scholar] [CrossRef] [PubMed]
- Boozari, M.; Hosseinzadeh, H. Natural medicines for acute renal failure: A review. Phytother. Res. 2017, 31, 1824–1835. [Google Scholar] [CrossRef]
- Casanova, A.G.; Vicente-Vicente, L.; Hernández-Sánchez, M.T.; Pescador, M.; Prieto, M.; Martínez-Salgado, C.; Morales, A.I.; López-Hernández, F.J. Key role of oxidative stress in animal models of aminoglycoside nephrotoxicity revealed by a systematic analysis of the antioxidant-to-nephroprotective correlation. Toxicology 2017, 385, 10–17. [Google Scholar] [CrossRef] [PubMed]
- Kopple, J.D.; Ding, H.; Letoha, A.; Ivanyi, B.; Qing, D.P.Y.; Dux, L.; et al. L-carnitine ameliorates gentamicin-induced renal injury in rats. Nephrol. Dial. Transplant. 2002, 17, 2122–2131. [Google Scholar] [CrossRef]
- Mathew, T. Drug-induced renal disease. Med. J. Aust. 1992, 156, 724–728. [Google Scholar]
- Qadir, M.I.; Tahir, M.; Lone, K.P.; Munir, B.; Sami, W. Protective role of ginseng against gentamicin induced changes in kidney of albino mice. J. Ayub. Med. Coll. Abbottabad. 2011, 23, 53–57. [Google Scholar] [PubMed]
- Walker, P.D.; Barri, Y.; Shah, S.V. Oxidant mechanisms in gentamicin nephrotoxicity. Ren. Fail. 1999, 21, 433–442. [Google Scholar] [CrossRef]
- Doroshow, J.; Davies, K. Redox cycling of anthracyclines by cardiac mitochondria. II. Formation of superoxide anion, hydrogen peroxide, and hydroxyl radical. J. Biol. Chem. 1986, 261, 3068–3074. [Google Scholar]
- Hussain, K.; Nisar, M.F.; Majeed, A.; Nawaz, K.; Bhatti, K.H. Ethnomedicinal survey for important plants of Jalalpur Jattan, district Gujrat, Punjab, Pakistan. Ethnobot. Leaflets 2010, 2010, 11. [Google Scholar]
- Ghatapanadi, S.; Johnson, N.; Rajasab, A. Documentation of folk knowledge on medicinal plants of Gulbarga district, Karnataka. IJTK 2011, 10, 349–353. [Google Scholar]
- Gill, N.; Bajwa, J.; Dhiman, K.; Sharma, P.; Sood, S.; Sharma, P.; Sood, S.; Sharma, P.D.; Singh, B.; Bali, M. Evaluation of therapeutic potential of traditionally consumed Cucumis melo seeds. Asian J. Plant Sci. 2011, 10, 86. [Google Scholar] [CrossRef]
- Milind, P.; Kulwant, S. Musk melon is eat-must melon. IRJP 2011, 2, 52–57. [Google Scholar]
- Ullah, N.; Khan, S.; Khan, A.; Ahmad, W.; Shah, Y.; Ahmad, L.; Ullah, I. A prospective pharmacological review of medicinal herbs, Cucumis melo and Berberis vulgaris, commonly used in the treatment of renal diseases in Pakistan. Acta Pol. Pharm. 2015, 72, 651–654. [Google Scholar]
- Tadesse, G.; Reneela, P.; Dekebo, A. Isolation and characterization of natural products from Helinus mystachnus (Rhamnaceae). J. Chem. Pharm. Res. 2012, 4, 1756–1762. [Google Scholar]
- Sultana, B.; Anwar, F.; Asi, M.R.; Chatha, S.A.S. Antioxidant potential of extracts from different agro wastes: Stabilization of corn oil. Grasas Y Aceites 2008, 59, 205–217. [Google Scholar]
- Sheth, F.; De, S. Evaluation of comparative antioxidant potential of four cultivars of Hibiscus rosa-sinensis L. by HPLC-DPPH method. Free Radic. Antioxidants 2012, 2, 73–78. [Google Scholar] [CrossRef]
- Chaware, V.; Chaudhary, B.; Vaishnav, M.; Biyani, K. Protective effect of the aqueous extract of Momordica charantia leaves on gentamicin induced nephrotoxicity in rats. Int. J. Pharm. Tech. Res. 2011, 3, 553–555. [Google Scholar]
- Lakshmi, B.; Sudhakar, M. Protective effect of Zingiber officinale on gentamicin-induced nephrotoxicity in rats. Int. J. Pharmacol. 2010, 6, 58–62. [Google Scholar] [CrossRef]
- Olagunju, J.; Adeneye, A.; Fagbohunka, B.; Bisuga, N.; Ketiku, A.; Benebo, A.; Olufowobi, O.M.; Adeoye, A.G.; Alimi, M.A.; Adeleke, A.G. Nephroprotective activities of the aqueous seed extract of Carica papaya Linn. in carbon tetrachloride induced renal injured Wistar rats: a dose-and time-dependent study. Biol. Med. 2009, 1, 11–19. [Google Scholar]
- Falayi, O.O.; Oyagbemi, A.A.; Omobowale, T.O.; Ayodele, E.A.; Adedapo, A.D.; Yakubu, M.A.; et al. Nephrop.;rotective properties of the methanol stem extract of Abrus precatorius on gentamicin-induced renal damage in rats. J. Complement. Integr. Med. 2018. [Google Scholar] [CrossRef]
- Gajjar, K.K.; Aiwale, A.S.; Anovadiya, A.P.; Mevada, A.V.; Baxi, S.N.; Tripathi, C. Evaluation of Nephroprotective Effects of Hydroalcoholic Extract of Cyperus scariosus Linn. in Gentamicin-induced Acute Kidney Injury in Wistar Albino Rats. Jundishapur J. Nat. Pharm. Prod. 2016, 11, e34452. [Google Scholar] [CrossRef]
- Rolim, P.; Fidelis, G.; Padilha, C.; Santos, E.; Rocha, H.; Macedo, G. Phenolic profile and antioxidant activity from peels and seeds of melon (Cucumis melo L. var. reticulatus) and their antiproliferative effect in cancer cells. Braz. J. Med. Biol. Res. 2018, 51, e6069. [Google Scholar] [CrossRef]
- Tavafi, M.; Ahmadvand, H.; Toolabi, P. Inhibitory effect of olive leaf extract on gentamicin-induced nephrotoxicity in rats. Iran. J. Kidney Dis. 2012, 6, 25–32. [Google Scholar]
- Harlalka, G.V.; Patil, C.R.; Patil, M.R. Protective effect of Kalanchoe pinnata pers.(Crassulaceae) on gentamicin-induced nephrotoxicity in rats. Indian J. Pharmacol. 2007, 39, 201. [Google Scholar] [CrossRef]
- Erdem, A.; Gündogan, N.Ü.; Usubütün, A.; Kılınç, K.; Erdem, Ş.R.; Kara, A.; Bozkurt, A. The protective effect of taurine against gentamicin-induced acute tubular necrosis in rats. Nephrol. Dial. Transplant. 2000, 15, 1175–1182. [Google Scholar] [CrossRef]
- Yehya, A.H.; Asif, M.; Kaur, G.; Hassan, L.E.; Al-Suede, F.S.; Majid, A.M.A.; Oon, C.E. Toxicological studies of Orthosiphon stamineus (Misai Kucing) standardized ethanol extract in combination with gemcitabine in athymic nude mice model. J. Adv. Res. 2019, 15, 59–68. [Google Scholar] [CrossRef]
- Lu, H.; Wu, L.; Liu, L.; Ruan, Q.; Zhang, X.; Hong, W.; Wu, S.; Jin, G.; Bai, Y. Quercetin ameliorates kidney injury and fibrosis by modulating M1/M2 macrophage polarization. Biochem. Pharmacol. 2018, 154, 203–212. [Google Scholar] [CrossRef]
- Kahraman, A.; Erkasap, N.; Serteser, M.; Köken, T. Protective effect of quercetin on renal ischemia/reperfusion injury in rats. J. Nephrol. 2003, 16, 219–224. [Google Scholar]
- Liu, C.-M.; Sun, Y.-Z.; Sun, J.-M.; Ma, J.-Q.; Cheng, C. Protective role of quercetin against lead-induced inflammatory response in rat kidney through the ROS-mediated MAPKs and NF-κB pathway. Biochim. Biophys. Acta 2012, 1820, 1693–1703. [Google Scholar] [CrossRef]
- Peng, C.-C.; Hsieh, C.-L.; Wang, H.-E.; Chung, J.-Y.; Chen, K.-C.; Peng, R.Y. Ferulic acid is nephrodamaging while gallic acid is renal protective in long term treatment of chronic kidney disease. Clin. Nutr. 2012, 31, 405–414. [Google Scholar] [CrossRef]
- Nabavi, S.M.; Habtemariam, S.; Nabavi, S.F.; Sureda, A.; Daglia, M.; Moghaddam, A.H.; et al. Protective effect of gallic acid isolated from Peltiphyllum peltatum against sodium fluoride-induced oxidative stress in rat’s kidney. Mol. Cell. Biochem. 2013, 372, 233–239. [Google Scholar] [CrossRef] [PubMed]
- Ahad, A.; Ahsan, H.; Mujeeb, M.; Siddiqui, W.A. Gallic acid ameliorates renal functions by inhibiting the activation of p38 MAPK in experimentally induced type 2 diabetic rats and cultured rat proximal tubular epithelial cells. Chem. Biol. Interact. 2015, 240, 292–303. [Google Scholar] [CrossRef] [PubMed]
- Yu, Y.-H.; Wang, S.-T.; Ren, J.; Camer, D.; Hua, Y.-Z.; Zhang, Q.; Huang, J.; Xue, D.L.; Zhang, X.F.; Huang, X.F.; et al. Chlorogenic acid protects d-galactose-induced liver and kidney injury via antioxidation and anti-inflammation effects in mice AU-Feng, Yan. Pharm. Biol. 2016, 54, 1027–1034. [Google Scholar]
- Domitrović, R.; Cvijanović, O.; Šušnić, V.; Katalinić, N. Renoprotective mechanisms of chlorogenic acid in cisplatin-induced kidney injury. Toxicology 2014, 324, 98–107. [Google Scholar] [CrossRef] [PubMed]
- Beulaja, M.; Thiagarajan, R.; Pandi, M.; Arulvasu, C.; Prabhu, N.M.; Saravanan, R.; Esakkirajan, M.; Palanisamy, S.; Dhanasekaran, G.; Nisha, R.G.; et al. Ameliorative effect of ferulic acid against renal injuries mediated by nuclear factor-kappaB during glycerol-induced nephrotoxicity in Wistar rats AU—Manikandan, Ramar. Ren. Fail. 2014, 36, 154–165. [Google Scholar]
- Choi, R.; Kim, B.H.; Naowaboot, J.; Lee, M.Y.; Hyun, M.R.; Cho, E.J.; Lee, E.S.; Lee, E.J.; Yang, Y.C.; Chung, C.H. Effects of ferulic acid on diabetic nephropathy in a rat model of type 2 diabetes. Exp. Mol. Med. 2011, 43, 676. [Google Scholar] [CrossRef]
- Ravishankar, K.; Priya, P. Evaluation of diuretic effect of ethanolic seed extracts of Macrotyloma uniflorum and Cucumis melo in rats. Int. J. Pharm. Bio. Sci. 2012, 3, 251–255. [Google Scholar]


| Tannins | Alkaloids | Flavonoids | Saponins | Anthraquinone | Terpenoids | |
|---|---|---|---|---|---|---|
| Cucumis melo | + | + | + | ++ | − | ++ |
| Compound | Retention Time (min) | Area | Area (%) | Quantity (ppm) |
|---|---|---|---|---|
| Quercetin | 2.740 | 2742.368 | 11.8 | 145.3 |
| Gallic acid | 4.133 | 4444.478 | 19.1 | 159.9 |
| Chlorogenic acid | 15.827 | 10,852.407 | 46.7 | 846.4 |
| m-Coumaric acid | 19.913 | 691.188 | 3.0 | 8.29 |
| trans-4-Hydroxy-3-methoxy cinnamic acid | 25.567 | 298.775 | 1.3 | 10.43 |
| Treatment Groups | Initial Body Weight (g) | Final Body Weight (g) | Body Weight Change (g)/% | Kidney Weight (g) |
|---|---|---|---|---|
| Normal Control | 22.00 ± 0.40 | 22.73 ± 0.32 ns | 0.73 ± 0.13 (3.31%) | 0.6 ± 0.09 |
| Toxic Control (Gentamicin 100 mg/kg/day) | 22.00 ± 0.40 | 19.78 ± 0.46 *** | −2.23 ± 0.22 (−10.03%) | 0.73 ± 0.09 |
| Gentamicin + CMHE 250 mg/kg/day | 23.75 ± 0.75 | 23.03 ± 0.69 ns | −0.73 ± 0.08 (−3.0%) | 0.63 ± 0.05 |
| Gentamicin + CMHE 500 mg/kg/day | 23.68 ± 0.34 | 22.95 ± 0.36 ns | −0.73 ± 0.08 (−3.01%) | 0.61 ± 0.04 |
| Treatment Groups | Creatinine (mg/dL) | Urea (mg/dL) | BUN (mg/dL) | Uric Acid (mg/dL) |
|---|---|---|---|---|
| Normal Control | 0.70 ± 0.009 | 40.33 ± 1.168 | 18.84 ± 0.546 | 4.03 ± 0.072 |
| Toxic Control (Gentamicin 100 mg/kg/day) | 1.92 ± 0.015 ** | 72.08 ± 1.197 *** | 33.68 ± 0.560 | 5.12 ± 0.011 ** |
| Gentamicin + CMHE 250 mg/kg/day | 0.91 ± 0.017 # | 48.43 ± 0.918 ### | 22.63± 0.429 ### | 4.05 ± 0.033 ## |
| Gentamicin + CMHE 500 mg/kg/day | 0.82 ±0.016 b | 45.88 ± 0.920 c | 21.44 ± 0.430 c | 3.96 ± 0.138 b |
| Treatment Groups | Tubular Degeneration | Tubulo-Interstitial Inflammation | Tubular Necrosis |
|---|---|---|---|
| Normal Control | 0 | 0 | 0 |
| Toxic Control (Gentamicin 100 mg/kg/day) | 2 | 4 | 4 |
| Gentamicin + CMHE 250 mg/kg/day | 1 | 4 | 0 |
| Gentamicin + CMHE 500 mg/kg/day | 0 | 2 | 0 |
© 2019 by the authors. Licensee MDPI, Basel, Switzerland. This article is an open access article distributed under the terms and conditions of the Creative Commons Attribution (CC BY) license (http://creativecommons.org/licenses/by/4.0/).
Share and Cite
Saleem, M.; Javed, F.; Asif, M.; Kashif Baig, M.; Arif, M. HPLC Analysis and In Vivo Renoprotective Evaluation of Hydroalcoholic Extract of Cucumis melo Seeds in Gentamicin-Induced Renal Damage. Medicina 2019, 55, 107. https://doi.org/10.3390/medicina55040107
Saleem M, Javed F, Asif M, Kashif Baig M, Arif M. HPLC Analysis and In Vivo Renoprotective Evaluation of Hydroalcoholic Extract of Cucumis melo Seeds in Gentamicin-Induced Renal Damage. Medicina. 2019; 55(4):107. https://doi.org/10.3390/medicina55040107
Chicago/Turabian StyleSaleem, Mohammad, Fatima Javed, Muhammad Asif, Muhammad Kashif Baig, and Mehwish Arif. 2019. "HPLC Analysis and In Vivo Renoprotective Evaluation of Hydroalcoholic Extract of Cucumis melo Seeds in Gentamicin-Induced Renal Damage" Medicina 55, no. 4: 107. https://doi.org/10.3390/medicina55040107
APA StyleSaleem, M., Javed, F., Asif, M., Kashif Baig, M., & Arif, M. (2019). HPLC Analysis and In Vivo Renoprotective Evaluation of Hydroalcoholic Extract of Cucumis melo Seeds in Gentamicin-Induced Renal Damage. Medicina, 55(4), 107. https://doi.org/10.3390/medicina55040107

