Antidiabetic Potential of Sea Urchin Tripneustes gratilla Nanosuspension Based on In Vitro Enzyme Inhibition, In Vivo Evaluation, and Chemical Profiling Approaches
Abstract
1. Introduction
2. Materials and Methods
2.1. Collection and Extraction of T. gratilla
2.1.1. Collection and Identification of T. gratilla
2.1.2. Extraction of T. gratilla
2.2. In Vitro Antidiabetic Assay
2.2.1. α-Amylase-Inhibitory Activity
2.2.2. α-Glucosidase-Inhibitory Activity
2.3. In Vivo Antidiabetic Assay
2.3.1. Preparation of T. gratilla-NS
Particle Size Analysis
Scanning Electron Microscopy Analysis
2.3.2. In Vivo Model
Animals
2.3.3. Experimental Design
Induction of Diabetes
Experimental Groups
Biochemical Analysis
Determination of Oxidant/Antioxidant Status in Pancreatic Tissue
Histopathological Examination of Pancreatic Tissue
2.4. Chemical Profiling of T. gratilla Using GC-Ms
2.5. Spectroscopic Determination of Total Phenolic Content (TPC)
2.6. Statistical Analysis
3. Results
3.1. In Vitro Antidiabetic Assay
3.1.1. α-Amylase-Inhibitory Activity
3.1.2. α-Glucosidase-Inhibitory Activity
3.2. In Vivo Antidiabetic Assay
3.2.1. Nanosuspension Formulation of T. gratilla (T. gratilla-NS)
Particle Size Distribution
Imaging of T. gratilla-NS
3.2.2. In Vivo Antidiabetic Model
Impacts of T. gratilla-NS on Blood Glucose (BG), Insulin, and HOMA Indices
Impacts of T. gratilla-NS on the Oxidant/Antioxidant Parameters
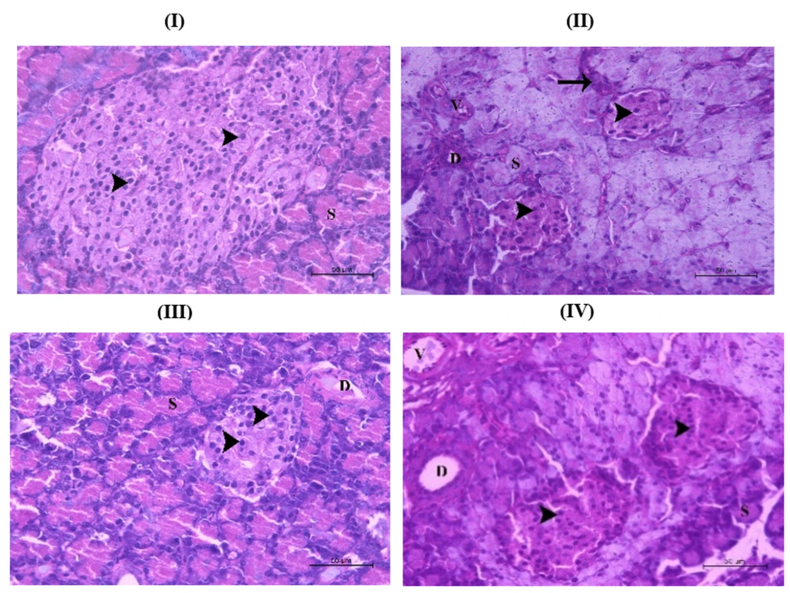
Histopathological Examination
3.3. Chemical Characterization of T. gratilla Using GC-MS
3.4. Total Phenolic Content of the Alcoholic Extract of T. gratilla
4. Discussion
5. Conclusions
Supplementary Materials
Author Contributions
Funding
Institutional Review Board Statement
Informed Consent Statement
Data Availability Statement
Conflicts of Interest
Abbreviations
| T1DM | Type 1 insulin-dependent diabetes mellitus |
| T2DM | Type 2 insulin-dependent diabetes mellitus |
| ALX | Alloxan |
| HOMA | Homeostatic Model Assessment |
| HOMA-IR | Homeostatic Model Assessment—Insulin Resistance |
| NS | Nanosuspension |
| MDA | Malondialdehyde |
| ROS | Reactive Oxygen Species |
| SOD | Superoxide Dismutase |
| TAC | Total Antioxidant Capacity |
| GLIB | Glibenclamide |
| PVP | Polyvinylpyrrolidone |
References
- Deepthi, B.; Sowjanya, K.; Lidiya, B.; Bhargavi, R.S.; Babu, P.S. A modern review of diabetes mellitus: An annihilatory metabolic disorder. Silico Vitro Pharmacol. 2017, 3, 1–10. [Google Scholar]
- Weber, C. Challenges in funding diabetes care: A health economic perspective. Expert Rev. Pharmacoecon. Outcomes Res. 2010, 10, 517–524. [Google Scholar] [CrossRef]
- Nedosugova, L.V.; Markina, Y.V.; Bochkareva, L.A.; Kuzina, I.A.; Petunina, N.A.; Yudina, I.Y.; Kirichenko, T.V. Inflammatory mechanisms of diabetes and its vascular complications. Biomedicines 2022, 10, 1168. [Google Scholar] [CrossRef]
- Elhefnawy, M.E.; Ghadzi, S.M.S.; Noor Harun, S. Predictors associated with type 2 diabetes mellitus complications over time: A literature review. J. Vasc. Dis. 2022, 1, 13–23. [Google Scholar] [CrossRef]
- Goyal, Y.; Verma, A.K.; Bhatt, D.; Rahmani, A.H.; Dev, K. Diabetes: Perspective and challenges in modern era. Gene Rep. 2020, 20, 100759. [Google Scholar] [CrossRef]
- El-Kebbi, I.M.; Bidikian, N.H.; Hneiny, L.; Nasrallah, M.P. Epidemiology of type 2 diabetes in the Middle East and North Africa: Challenges and call for action. World J. Diabetes 2021, 12, 1401–1425. [Google Scholar] [CrossRef]
- Stein, S.A.; Lamos, E.M.; Davis, S.N. A review of the efficacy and safety of oral antidiabetic drugs. Expert Opin. Drug Saf. 2013, 12, 153–175. [Google Scholar] [CrossRef]
- Singh, S.; Bhat, J.; Wang, P.H. Cardiovascular effects of anti-diabetic medications in type 2 diabetes mellitus. Curr. Cardiol. Rep. 2013, 15, 327. [Google Scholar] [CrossRef]
- Jia, W.; Gao, W.; Tang, L. Antidiabetic herbal drugs officially approved in China. Phytother. Res. 2003, 17, 1127–1134. [Google Scholar] [CrossRef] [PubMed]
- Blahova, J.; Martiniakova, M.; Babikova, M.; Kovacova, V.; Mondockova, V.; Omelka, R. Pharmaceutical drugs and natural therapeutic products for the treatment of type 2 diabetes mellitus. Pharmaceuticals 2021, 14, 806. [Google Scholar] [CrossRef] [PubMed]
- Casertano, M.; Vito, A.; Aiello, A.; Imperatore, C.; Menna, M. Natural bioactive compounds from marine invertebrates that modulate key targets implicated in the onset of type 2 diabetes mellitus (T2DM) and its complications. Pharmaceutics 2023, 15, 2321. [Google Scholar] [CrossRef]
- Sibiya, A.; Jeyavani, J.; Sivakamavalli, J.; Ravi, C.; Divya, M.; Vaseeharan, B. Bioactive compounds from various types of sea urchin and their therapeutic effects—A review. Reg. Stud. Mar. Sci. 2021, 44, 101760. [Google Scholar] [CrossRef]
- Pearse, J.S. Ecological role of purple sea urchins. Science 2006, 314, 940–941. [Google Scholar] [CrossRef]
- Li, C.; Haug, T.; Moe, M.K.; Styrvold, O.B.; Stensvåg, K. Centrocins: Isolation and characterization of novel dimeric antimicrobial peptides from the green sea urchin, Strongylocentrotus droebachiensis. Dev. Comp. Immunol. 2010, 34, 959–968. [Google Scholar] [CrossRef] [PubMed]
- Mishchenko, N.P.; Krylova, N.V.; Iunikhina, O.V.; Vasileva, E.A.; Likhatskaya, G.N.; Pislyagin, E.A.; Fedoreyev, S.A. Antiviral potential of sea urchin aminated spinochromes against herpes simplex virus type 1. Mar. Drugs 2020, 18, 550. [Google Scholar] [CrossRef]
- Abdelkarem, F.M.; Desoky, E.E.K.; Nafady, A.M.; Allam, A.E.; Mahdy, A.; Ashour, A.; Shimizu, K. Diadema setosum: Isolation of bioactive secondary metabolites with cytotoxic activity toward human cervical cancer. Nat. Prod. Res. 2022, 36, 1118–1122. [Google Scholar] [CrossRef] [PubMed]
- AbouElmaaty, E.E.; Ghobashy, A.A.; Hanafy, M.H.; Yassien, M.H.; Ahmed, M.I.; Hamed, M.M. Preliminary bioassay on antibacterial effects of Tripneustes gratilla extracts from the Red Sea, Egypt. Egypt. J. Aquat. Biol. Fish. 2020, 24, 77–88. [Google Scholar] [CrossRef]
- Abdelaziz, Y.A.; Khallaf, I.S.; Alian, A.; Ibrahim, A.A.; Desoky, E.E.K.; Abdelkarem, F.M. LC–MS-based chemical profiling of Aristotle’s lantern and viscera of the sea urchin Echinometra mathaei collected from the Red Sea and evaluation of their antiviral activity. Future J. Pharm. Sci. 2024, 10, 113. [Google Scholar] [CrossRef]
- Chen, Y.C.; Chen, T.Y.; Chiou, T.K.; Hwang, D.F. Seasonal variation on general composition, free amino acids and fatty acids in the gonad of Taiwan’s sea urchin Tripneustes gratilla. J. Mar. Sci. Technol. 2013, 21, 14–23. [Google Scholar]
- Chen, Y.C.; Hwang, D.F. Evaluation of antioxidant properties and biofunctions of polar, nonpolar, and water-soluble fractions extracted from gonad and body wall of the sea urchin Tripneustes gratilla. Fish. Sci. 2014, 80, 1311–1321. [Google Scholar] [CrossRef]
- Das, S.; Sharangi, A.B. Nanotechnology: A potential tool in exploring herbal benefits. In Functional Bionanomaterials: From Biomolecules to Nanoparticles; Springer: Cham, Switzerland, 2020; pp. 27–46. [Google Scholar]
- Ma, R.; Xiang, L.; Zhao, X.; Yin, J. Progress in preparation of sea urchin-like micro-/nanoparticles. Materials 2022, 15, 2846. [Google Scholar] [CrossRef] [PubMed]
- Teixeira, L.M.; Reis, C.P.; Pacheco, R. Marine-derived compounds combined with nanoparticles: A focus on the biomedical and pharmaceutical sector. Mar. Drugs 2025, 23, 207. [Google Scholar] [CrossRef]
- Wickramaratne, M.N.; Punchihewa, J.C.; Wickramaratne, D.B.M. In-vitro alpha amylase inhibitory activity of the leaf extracts of Adenanthera pavonina. BMC Complement. Altern. Med. 2016, 16, 466. [Google Scholar] [CrossRef]
- Pistia-Brueggeman, G.; Hollingsworth, R.I. A preparation and screening strategy for glycosidase inhibitors. Tetrahedron 2001, 57, 8773–8778. [Google Scholar] [CrossRef]
- Raza, A.; Ali, T.; Naeem, M.; Asim, M.; Hussain, F.; Li, Z.; Nasir, A. Biochemical characterization of bioinspired nanosuspensions from Swertia chirayita extract and their therapeutic effects through nanotechnology approach. PLoS ONE 2024, 19, e0293116. [Google Scholar] [CrossRef]
- Chavda, V.P.; Vaghela, D.A.; Solanki, H.K.; Balar, P.C.; Modi, S.; Gogoi, N.R. Nanosuspensions: A new era of targeted therapeutics. J. Drug Deliv. Sci. Technol. 2025, 105, 106613. [Google Scholar] [CrossRef]
- Đurašević, S.; Nikolić, G.; Zaletel, I.; Grigorov, I.; Memon, L.; Mitić-Ćulafić, D.; Vujović, P.; Đorđević, J.; Todorović, Z. Distinct effects of virgin coconut oil supplementation on the glucose and lipid homeostasis in non-diabetic and alloxan-induced diabetic rats. J. Funct. Foods 2020, 64, 103601. [Google Scholar] [CrossRef]
- Shah, N.A.; Khan, M.R. Antidiabetic effect of Sida cordata in alloxan induced diabetic rats. Biomed. Res. Int. 2014, 2014, 671294. [Google Scholar] [CrossRef]
- Matthews, D.R.; Hosker, J.P.; Rudenski, A.S.; Naylor, B.A.; Treacher, D.F.; Turner, R.C. Homeostasis model assessment: Insulin resistance and beta-cell function from fasting plasma glucose and insulin concentrations in man. Diabetologia 1985, 28, 412–419. [Google Scholar] [CrossRef] [PubMed]
- Ohkawa, H.; Ohishi, N.; Yagi, K. Assay for lipid peroxides in animal tissues by thiobarbituric acid reaction. Anal. Biochem. 1979, 95, 351–358. [Google Scholar] [CrossRef] [PubMed]
- Koracevic, D.; Koracevic, G.; Djordjevic, V.; Andrejevic, S.; Cosic, V. Method for the measurement of antioxidant activity in human fluids. J. Clin. Pathol. 2001, 54, 356–361. [Google Scholar] [CrossRef]
- Melchioretto, E.F.; Zeni, M.; Veronez, D.A.L.; Neto, F.F.; Digner, I.S.; de Fraga, R. Stereological study and analysis of oxidative stress during renal aging in rats. Acta Cir. Bras. 2020, 35, e20200011. [Google Scholar] [CrossRef]
- Bancroft, J.D.; Layton, C. The hematoxylin and eosin. In Theory and Practice of Histological Techniques, 7th ed.; Suvarna, S.K., Layton, C., Bancroft, J.D., Eds.; Churchill Livingstone Elsevier: Philadelphia, PA, USA, 2013; pp. 179–220. [Google Scholar]
- Hassan, M.; Bala, S.Z.; Bashir, M.; Waziri, P.M.; Adam, R.M.; Umar, M.A.; Kini, P. LC-MS and GC-MS profiling of different fractions of Ficus platyphylla stem bark ethanolic extract. J. Anal. Methods Chem. 2022, 2022, 6349332. [Google Scholar] [CrossRef]
- Aljohani, A.K.; Maghrabi, N.A.; Alrehili, O.M.; Alharbi, A.S.; Alsihli, R.S.; Alharthe, A.M.; Hussein, M.F. Ajwa date extract (Phoenix dactylifera L.): Phytochemical analysis, antiviral activity against herpes simplex virus-I and coxsackie B4 virus, and in silico study. Saudi Med. J. 2025, 46, 26–33. [Google Scholar] [CrossRef]
- Singleton, V.L.; Rossi, J.A. Colorimetry of Total Phenolics with Phosphomolybdic–Phosphotungstic Acid Reagents. Am. J. Enol. Vitic. 1965, 16, 144–158. [Google Scholar] [CrossRef]
- Marinova, D.; Ribarova, F.; Atanassova, M. Total Phenolics and Total Flavonoids in Bulgarian Fruits and Vegetables. J. Univ. Chem. Technol. Metall. 2005, 40, 255–260. [Google Scholar]
- Khamis, A.A.; Elkeiy, M.M.; El-Gamal, M.M.; Saad-Allah, K.M.; Salem, M.M. Biological and Molecular Efficiency of Paracentrotus lividus Shell in vitro Study: Antioxidant and Angiogenesis Effects Against T47D Breast Cancer Cell Line Via Nrf2/HMOX-1/and HIF-1α/VEGF Signaling Pathways. Cell Biochem. Biophys. 2025, 83, 2937–2959. [Google Scholar] [CrossRef] [PubMed]
- Mahnashi, M.H.; Alqahtani, Y.S.; Alyami, B.A.; Alqarni, A.O.; Ayaz, M.; Ghufran, M.; Murthy, H.A. Phytochemical Analysis, α-Glucosidase and Amylase Inhibitory, and Molecular Docking Studies on Persicaria hydropiper L. Leaves Essential Oils. Evid. Based Complement. Alternat. Med. 2022, 2022, 7924171. [Google Scholar]
- Shi, Q.; Yu, S.; Zhou, M.; Wang, P.; Li, W.; Jin, X.; Meng, X. Diterpenoids of Marine Organisms: Isolation, Structures, and Bioactivities. Mar. Drugs 2025, 23, 131. [Google Scholar] [CrossRef]
- Lauritano, C.; Ianora, A. Marine organisms with anti-diabetes properties. Mar. Drugs 2016, 14, 220. [Google Scholar] [CrossRef]
- Soleimani, S.; Moein, S.; Yousefzadi, M.; Amrollahi Bioki, N. Antidiabetic and antioxidant properties of sea urchin Echinometra mathaei from the Persian Gulf. J. Kerman Univ. Med. Sci. 2021, 28, 104–115. [Google Scholar]
- Ma, Y.; Cong, Z.; Gao, P.; Wang, Y. Nanosuspensions technology as a master key for nature products drug delivery and in vivo fate. Eur. J. Pharm. Sci. 2023, 185, 106425. [Google Scholar] [CrossRef]
- Ibrahim, R.M.; Abdelhafez, H.M.; EL-Shamy, S.A.E.M.; Eid, F.A.; Mashaal, A. Arabic gum ameliorates systemic modulation in alloxan monohydrate-induced diabetic rats. Sci. Rep. 2023, 13, 13. [Google Scholar] [CrossRef]
- Lenzen, S. The mechanisms of alloxan- and streptozotocin-induced diabetes. Diabetologia 2008, 51, 216–226. [Google Scholar] [CrossRef]
- Wallace, T.M.; Levy, J.C.; Matthews, D.R. Use and abuse of HOMA modeling. Diabetes Care 2004, 27, 1487–1495. [Google Scholar] [CrossRef]
- Ebokaiwe, A.P.; Okori, S.; Nwankwo, J.O.; Ejike, C.E.C.C.; Osawe, S.O. Selenium nanoparticles and metformin ameliorate streptozotocin-instigated brain oxidative-inflammatory stress and neurobehavioral alterations in rats. Naunyn Schmiedebergs Arch. Pharmacol. 2021, 394, 591–602. [Google Scholar] [CrossRef]
- Pinel, A.; Morio-Liondore, B.; Capel, F. n−3 Polyunsaturated Fatty Acids Modulate Metabolism of Insulin-Sensitive Tissues: Implication for the Prevention of Type 2 Diabetes. J. Physiol. Biochem. 2014, 70, 647–658. [Google Scholar] [CrossRef]
- Basha, R.H.; Sankaranarayanan, C. β-Caryophyllene, a natural sesquiterpene, modulates carbohydrate metabolism in streptozotocin-induced diabetic rats. Acta Histochem. 2014, 116, 1469–1479. [Google Scholar] [CrossRef]
- Gertsch, J.; Leonti, M.; Raduner, S.; Racz, I.; Chen, J.Z.; Xie, X.Q.; Altmann, K.H.; Karsak, M.; Zimmer, A. Beta-caryophyllene is a dietary cannabinoid. Proc. Natl. Acad. Sci. USA 2008, 105, 9099–9104. [Google Scholar] [CrossRef] [PubMed]
- Nualkaew, S.; Padee, P.; Talubmook, C. Hypoglycemic activity in diabetic rats of stigmasterol and sitosterol-3-O-β-d-glucopyranoside isolated from Pseuderanthemum palatiferum (Nees) Radlk. leaf extract. J. Med. Plants Res. 2015, 9, 629–635. [Google Scholar] [CrossRef]
- Yaghmaie, P.; Heydarian, E.; Poorbahman, N. The regenerative effects of Thymus vulgaris extract on beta cells of pancreas of streptozotocin induced diabetic Wistar rats. Med. Sci. J. Islam. Azad Univ. Tehran Med. Branch 2011, 21, 162–167. [Google Scholar]
- Gerber, P.A.; Rutter, G.A. The role of oxidative stress and hypoxia in pancreatic beta-cell dysfunction in diabetes mellitus. Antioxid. Redox Signal. 2017, 26, 501–518. [Google Scholar] [CrossRef]
- Khan, A.L.; Khan, H.; Hussain, J.; Adnan, M.; Hussain, I.; Khan, T.; Khan, A.R. Sesquiterpenes: The potent antioxidants. Pak. J. Sci. Ind. Res. 2008, 51, 343–350. [Google Scholar]
- Archana, A.; Babu, K.R. Nutrient composition and antioxidant activity of gonads of sea urchin Stomopneustes variolaris. Food Chem. 2016, 197, 597–602. [Google Scholar] [CrossRef] [PubMed]
- Quarta, S.; Scoditti, E.; Zonno, V.; Siculella, L.; Damiano, F.; Carluccio, M.A.; Pagliara, P. In vitro anti-inflammatory and vasculoprotective effects of red cell extract from the Black Sea Urchin Arbacia lixula. Nutrients 2023, 15, 1672. [Google Scholar] [CrossRef] [PubMed]
- Soleimani, S.; Moein, S.; Yousefzadi, M.; Bioki, N.A. Determination of in vitro antioxidant properties, anti-inflammatory effects, and α-amylase inhibition of purple sea urchin extract of Echinometra mathaei from the Persian Gulf. Jundishapur J. Nat. Pharm. Prod. 2016, 12, e36547. [Google Scholar] [CrossRef]
- Pagels, F.; Garrido, I.; Teixeira, C.; Tavares, T.G.; Costas, B.; Malcata, F.X.; Guedes, A.C. Sea urchin (Paracentrotus lividus) gut biomass as a co-product with antioxidant and antibacterial potential to supplement aquafeeds. Aquat. Living Resour. 2023, 36, 26. [Google Scholar] [CrossRef]
- Fedoreyev, S.A.; Krylova, N.V.; Mishchenko, N.P.; Vasileva, E.A.; Pislyagin, E.A.; Iunikhina, O.V.; Lavrov, V.F.; Svitich, Y.V.; Ebralidze, L.K.; Leonova, G.N. Antiviral and antioxidant properties of echinochrome A. Mar. Drugs 2018, 16, 509. [Google Scholar] [CrossRef]
- Shah, M.A.; Khalil, A.A.; ul Haq, I.; Khan, M.N. Pharmacological activities of sea urchin bioactive secondary metabolites. Pak. J. Pharm. Sci. 2020, 33, 2247–2253. [Google Scholar]






| Sample | In Vitro Antidiabetic Assay | |
|---|---|---|
| α-Amylase IC50 (µg/mL) | α-Glucosidase IC50 (µg/mL) | |
| Alc. Ext of T. gratilla | 5.31 ± 0.004 | 21.36 ± 0.06 |
| Positive control | 3.15 ± 0.007 | 2.21 ± 0.04 |
Disclaimer/Publisher’s Note: The statements, opinions and data contained in all publications are solely those of the individual author(s) and contributor(s) and not of MDPI and/or the editor(s). MDPI and/or the editor(s) disclaim responsibility for any injury to people or property resulting from any ideas, methods, instructions or products referred to in the content. |
© 2025 by the authors. Licensee MDPI, Basel, Switzerland. This article is an open access article distributed under the terms and conditions of the Creative Commons Attribution (CC BY) license.
Share and Cite
Aljohani, A.K.B.; Alharbi, A.S.; Alhazmi, A.B.; Hudhayri, M.N.; Almuwallad, I.B.; Alhazmi, M.A.; Almohammadi, S.M.; Alsaleh, A.I.; Aldhafiri, A.; Eltahir, H.M.; et al. Antidiabetic Potential of Sea Urchin Tripneustes gratilla Nanosuspension Based on In Vitro Enzyme Inhibition, In Vivo Evaluation, and Chemical Profiling Approaches. Curr. Issues Mol. Biol. 2026, 48, 8. https://doi.org/10.3390/cimb48010008
Aljohani AKB, Alharbi AS, Alhazmi AB, Hudhayri MN, Almuwallad IB, Alhazmi MA, Almohammadi SM, Alsaleh AI, Aldhafiri A, Eltahir HM, et al. Antidiabetic Potential of Sea Urchin Tripneustes gratilla Nanosuspension Based on In Vitro Enzyme Inhibition, In Vivo Evaluation, and Chemical Profiling Approaches. Current Issues in Molecular Biology. 2026; 48(1):8. https://doi.org/10.3390/cimb48010008
Chicago/Turabian StyleAljohani, Ahmed K. B., Aryam S. Alharbi, Asalah B. Alhazmi, Manhal N. Hudhayri, Israa B. Almuwallad, Maya A. Alhazmi, Shuruq M. Almohammadi, Atheer I. Alsaleh, Ahmed Aldhafiri, Heba M. Eltahir, and et al. 2026. "Antidiabetic Potential of Sea Urchin Tripneustes gratilla Nanosuspension Based on In Vitro Enzyme Inhibition, In Vivo Evaluation, and Chemical Profiling Approaches" Current Issues in Molecular Biology 48, no. 1: 8. https://doi.org/10.3390/cimb48010008
APA StyleAljohani, A. K. B., Alharbi, A. S., Alhazmi, A. B., Hudhayri, M. N., Almuwallad, I. B., Alhazmi, M. A., Almohammadi, S. M., Alsaleh, A. I., Aldhafiri, A., Eltahir, H. M., Abouzied, M. M., Alrbyawi, H., Mohamed, M. S., Abdel-Emam, M. M., & Abdelkarem, F. M. (2026). Antidiabetic Potential of Sea Urchin Tripneustes gratilla Nanosuspension Based on In Vitro Enzyme Inhibition, In Vivo Evaluation, and Chemical Profiling Approaches. Current Issues in Molecular Biology, 48(1), 8. https://doi.org/10.3390/cimb48010008

