Genetic Risk of MASLD in Mongolians: Role of PNPLA3 and FTO SNPs
Abstract
1. Introduction
2. Materials and Methods
2.1. Study Design and Participants
2.2. Genotyping of PNPLA3 and FTO SNPs
2.3. Statistical Analysis
3. Results
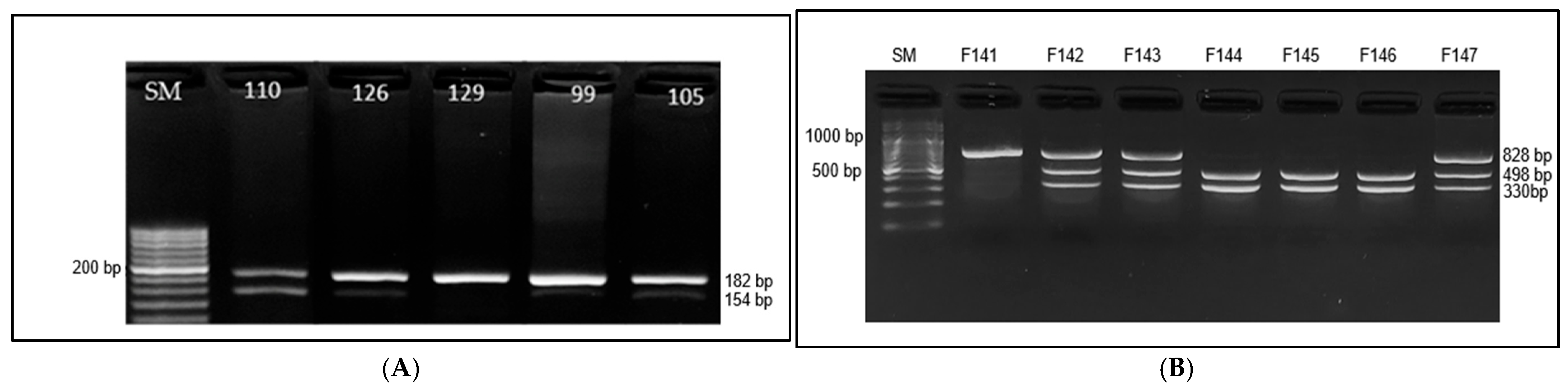
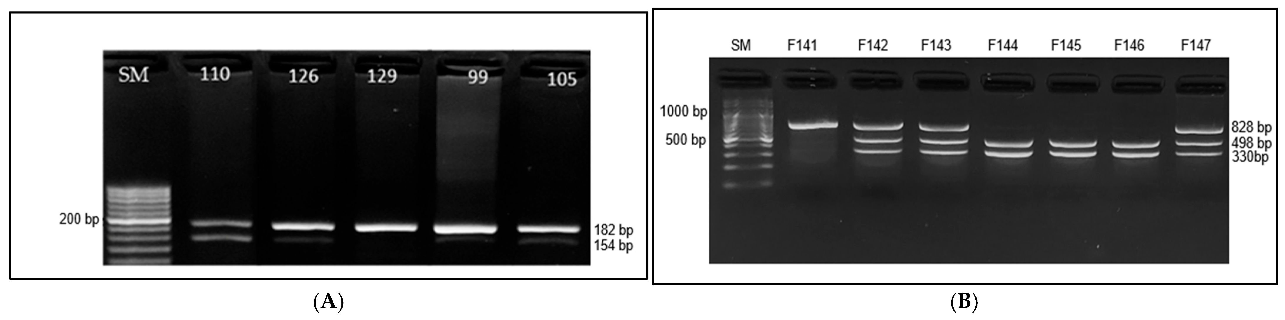
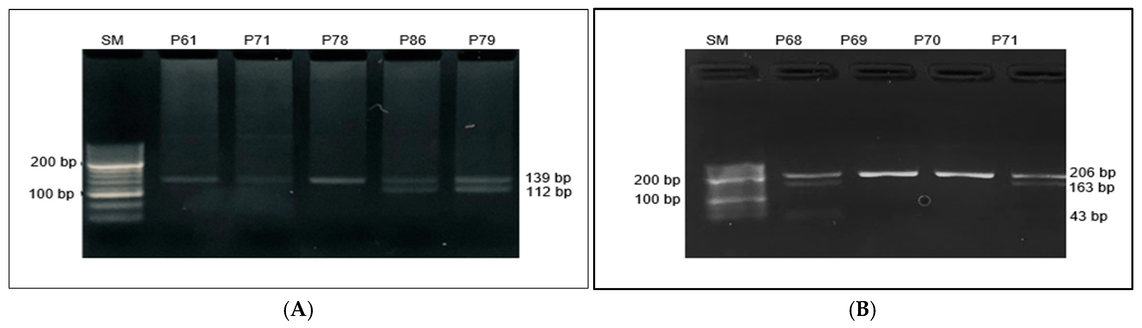
3.1. PNPLA3 rs738409, rs2896019 and FTO rs9939609, rs17817449 Polymorphisms in the Study Individuals
3.2. Association of SNPs with the Anthropometric Parameters
3.3. Correlation of SNPs with Biochemical Measures
3.4. Comparison of Anthropometric and Laboratory Characteristics According to the Number of SNPs Detected
3.5. MASLD-Related Risk Factors Using Univariate and Multivariate Logistic Regression Analysis
4. Discussion
5. Conclusions
Author Contributions
Funding
Institutional Review Board Statement
Informed Consent Statement
Data Availability Statement
Acknowledgments
Conflicts of Interest
References
- Ludwig, J.; Viggiano, T.R.; McGill, D.B.; Oh, B.J. Nonalcoholic steatohepatitis: Mayo Clinic experiences with a hitherto unnamed disease. Mayo Clin. Proc. 1980, 55, 434–438. [Google Scholar] [CrossRef]
- Rinella, M.E.; Lazarus, J.V.; Ratziu, V.; Francque, S.M.; Sanyal, A.J.; Kanwal, F.; Romero, D.; Abdelmalek, M.F.; Anstee, Q.M.; Arab, J.P.; et al. A multisociety Delphi consensus statement on new fatty liver disease nomenclature. Hepatology 2023, 78, 1966–1986. [Google Scholar] [CrossRef]
- Shen-Gunther, J.; Easley, A. HPV, HBV, and HIV-1 Viral Integration Site Mapping: A Streamlined Workflow from NGS to Genomic Insights of Carcinogenesis. Viruses 2024, 16, 975. [Google Scholar] [CrossRef]
- Golabi, P.; Paik, J.M.; AlQahtani, S.; Younossi, Y.; Tuncer, G.; Younossi, Z.M. Burden of non-alcoholic fatty liver disease in Asia, the Middle East and North Africa: Data from Global Burden of Disease 2009–2019. J. Hepatol. 2021, 75, 795–809. [Google Scholar] [CrossRef] [PubMed]
- Eslam, M.; Sarin, S.K.; Wong, V.W.; Fan, J.G.; Kawaguchi, T.; Ahn, S.H.; Zheng, M.H.; Shiha, G.; Yilmaz, Y.; Gani, R.; et al. The Asian Pacific Association for the Study of the Liver clinical practice guidelines for the diagnosis and management of metabolic associated fatty liver disease. Hepatol. Int. 2020, 14, 889–919. [Google Scholar] [CrossRef]
- Younossi, Z.M.; Henry, L. Epidemiology of non-alcoholic fatty liver disease and hepatocellular carcinoma. JHEP Rep. 2021, 3, 100305. [Google Scholar] [CrossRef] [PubMed]
- Paik, J.M.; Henry, L.; Younossi, Y.; Ong, J.; Alqahtani, S.; Younossi, Z.M. The burden of nonalcoholic fatty liver disease (NAFLD) is rapidly growing in every region of the world from 1990 to 2019. Hepatol. Commun. 2023, 7, e0251. [Google Scholar] [CrossRef]
- Younossi, Z.M.; Golabi, P.; Paik, J.M.; Henry, A.; Van Dongen, C.; Henry, L. The global epidemiology of nonalcoholic fatty liver disease (NAFLD) and nonalcoholic steatohepatitis (NASH): A systematic review. Hepatology 2023, 77, 1335–1347. [Google Scholar] [CrossRef]
- Sulaiman, S.A.; Dorairaj, V.; Adrus, M.N.H. Genetic Polymorphisms and Diversity in Nonalcoholic Fatty Liver Disease (NAFLD): A Mini Review. Biomedicines 2022, 11, 106. [Google Scholar] [CrossRef]
- Paternostro, R.; Staufer, K.; Traussnigg, S.; Stättermayer, A.F.; Halilbasic, E.; Keritam, O.; Meyer, E.L.; Stift, J.; Wrba, F.; Sipos, B.; et al. Combined effects of PNPLA3, TM6SF2 and HSD17B13 variants on severity of biopsy-proven non-alcoholic fatty liver disease. Hepatol. Int. 2021, 15, 922–933. [Google Scholar] [CrossRef] [PubMed]
- Wilson, P.A.; Gardner, S.D.; Lambie, N.M.; Commans, S.A.; Crowther, D.J. Characterization of the human patatin-like phospholipase family. J. Lipid Res. 2006, 47, 1940–1949. [Google Scholar] [CrossRef]
- Dai, G.; Liu, P.; Li, X.; Zhou, X.; He, S. Association between PNPLA3 rs738409 polymorphism and nonalcoholic fatty liver disease (NAFLD) susceptibility and severity: A meta-analysis. Medicine 2019, 98, e14324. [Google Scholar] [CrossRef]
- Pingitore, P.; Romeo, S. The role of PNPLA3 in health and disease. Biochim. Biophys. Acta Mol. Cell Biol. Lipids 2019, 1864, 900–906. [Google Scholar] [CrossRef]
- Vasconcellos, C.; Ferreira, O.; Lopes, M.F.; Ribeiro, A.F.; Vasques, J.; Guerreiro, C.S. Nutritional Genomics in Nonalcoholic Fatty Liver Disease. Biomedicines 2023, 11, 319. [Google Scholar] [CrossRef] [PubMed]
- Pingitore, P.; Pirazzi, C.; Mancina, R.M.; Motta, B.M.; Indiveri, C.; Pujia, A.; Montalcini, T.; Hedfalk, K.; Romeo, S. Recombinant PNPLA3 protein shows triglyceride hydrolase activity and its I148M mutation results in loss of function. Biochim. Biophys. Acta 2014, 1841, 574–580. [Google Scholar] [CrossRef]
- Kienesberger, P.C.; Oberer, M.; Lass, A.; Zechner, R. Mammalian patatin domain containing proteins: A family with diverse lipolytic activities involved in multiple biological functions. J. Lipid Res. 2009, 50, S63–S68. [Google Scholar] [CrossRef] [PubMed]
- Baulande, S.; Lasnier, F.; Lucas, M.; Pairault, J. Adiponutrin, a transmembrane protein corresponding to a novel dietary- and obesity-linked mRNA specifically expressed in the adipose lineage. J. Biol. Chem. 2001, 276, 33336–33344. [Google Scholar] [CrossRef]
- Safaei, M.; Sundararajan, E.A.; Driss, M.; Boulila, W.; Shapi’i, A. A systematic literature review on obesity: Understanding the causes & consequences of obesity and reviewing various machine learning approaches used to predict obesity. Comput. Biol. Med. 2021, 136, 104754. [Google Scholar] [CrossRef] [PubMed]
- Gerken, T.; Girard, C.A.; Tung, Y.C.; Webby, C.J.; Saudek, V.; Hewitson, K.S.; Yeo, G.S.; McDonough, M.A.; Cunliffe, S.; McNeill, L.A.; et al. The obesity-associated FTO gene encodes a 2-oxoglutarate-dependent nucleic acid demethylase. Science 2007, 318, 1469–1472. [Google Scholar] [CrossRef]
- Guo, J.; Ren, W.; Li, A.; Ding, Y.; Guo, W.; Su, D.; Hu, C.; Xu, K.; Chen, H.; Xu, X.; et al. Fat mass and obesity-associated gene enhances oxidative stress and lipogenesis in nonalcoholic fatty liver disease. Dig. Dis. Sci. 2013, 58, 1004–1009. [Google Scholar] [CrossRef]
- Piwonska, A.M.; Cicha-Mikolajczyk, A.; Sobczyk-Kopciol, A.; Piwonski, J.; Drygas, W.; Kwasniewska, M.; Pajak, A.; Zdrojewski, T.; Tykarski, A.; Kozakiewicz, K.; et al. Independent association of FTO rs9939609 polymorphism with overweight and obesity in Polish adults. Results from the representative population-based WOBASZ study. J. Physiol. Pharmacol. 2022, 73, 395–402. [Google Scholar] [CrossRef]
- Fawwad, A.; Siddiqui, I.A.; Zeeshan, N.F.; Shahid, S.M.; Basit, A. Association of SNP rs9939609 in FTO gene with metabolic syndrome in type 2 diabetic subjects, rectruited from a tertiary care unit of Karachi, Pakistan. Pak. J. Med. Sci. 2015, 31, 140–145. [Google Scholar] [CrossRef]
- Shahid, A.; Rana, S.; Saeed, S.; Imran, M.; Afzal, N.; Mahmood, S. Common variant of FTO gene, rs9939609, and obesity in Pakistani females. BioMed Res. Int. 2013, 2013, 324093. [Google Scholar] [CrossRef] [PubMed]
- Ursu, R.I.; Badiu, C.; Cucu, N.; Ursu, G.F.; Craciunescu, I.; Severin, E. The study of the rs9939609 FTO gene polymorphism in association with obesity and the management of obesity in a Romanian cohort. J. Med. Life 2015, 8, 232–238. [Google Scholar]
- Gu, Z.; Bi, Y.; Yuan, F.; Wang, R.; Li, D.; Wang, J.; Hu, X.; He, G.; Zhang, L.; Liu, B.C. FTO Polymorphisms are Associated with Metabolic Dysfunction-Associated Fatty Liver Disease (MAFLD) Susceptibility in the Older Chinese Han Population. Clin. Interv. Aging 2020, 15, 1333–1341. [Google Scholar] [CrossRef] [PubMed]
- Zhao, N.N.; Dong, G.P.; Wu, W.; Wang, J.L.; Ullah, R.; Fu, J.F. FTO gene polymorphisms and obesity risk in Chinese population: A meta-analysis. World J. Pediatr. WJP 2019, 15, 382–389. [Google Scholar] [CrossRef] [PubMed]
- Chen, L.Z.; Ding, H.Y.; Liu, S.S.; Liu, Q.; Jiang, X.J.; Xin, Y.N.; Xuan, S.Y. Combining I148M and E167K variants to improve risk prediction for nonalcoholic fatty liver disease in Qingdao Han population, China. Lipids Health Dis. 2019, 18, 45. [Google Scholar] [CrossRef]
- Kotronen, A.; Peltonen, M.; Hakkarainen, A.; Sevastianova, K.; Bergholm, R.; Johansson, L.M.; Lundbom, N.; Rissanen, A.; Ridderstråle, M.; Groop, L.; et al. Prediction of non-alcoholic fatty liver disease and liver fat using metabolic and genetic factors. Gastroenterology 2009, 137, 865–872. [Google Scholar] [CrossRef]
- Speliotes, E.K.; Butler, J.L.; Palmer, C.D.; Voight, B.F.; Hirschhorn, J.N. PNPLA3 variants specifically confer increased risk for histologic nonalcoholic fatty liver disease but not metabolic disease. Hepatology 2010, 52, 904–912. [Google Scholar] [CrossRef]
- Kotronen, A.; Johansson, L.E.; Johansson, L.M.; Roos, C.; Westerbacka, J.; Hamsten, A.; Bergholm, R.; Arkkila, P.; Arola, J.; Kiviluoto, T.; et al. A common variant in PNPLA3, which encodes adiponutrin, is associated with liver fat content in humans. Diabetologia 2009, 52, 1056–1060. [Google Scholar] [CrossRef]
- Hotta, K.; Yoneda, M.; Hyogo, H.; Ochi, H.; Mizusawa, S.; Ueno, T.; Chayama, K.; Nakajima, A.; Nakao, K.; Sekine, A. Association of the rs738409 polymorphism in PNPLA3 with liver damage and the development of nonalcoholic fatty liver disease. BMC Med. Genet. 2010, 11, 172. [Google Scholar] [CrossRef]
- Romeo, S.; Kozlitina, J.; Xing, C.; Pertsemlidis, A.; Cox, D.; Pennacchio, L.A.; Boerwinkle, E.; Cohen, J.C.; Hobbs, H.H. Genetic variation in PNPLA3 confers susceptibility to nonalcoholic fatty liver disease. Nat. Genet. 2008, 40, 1461–1465. [Google Scholar] [CrossRef]
- Kantartzis, K.; Peter, A.; Machicao, F.; Machann, J.; Wagner, S.; Königsrainer, I.; Königsrainer, A.; Schick, F.; Fritsche, A.; Häring, H.-U.; et al. Dissociation between fatty liver and insulin resistance in humans carrying a variant of the patatin-like phospholipase 3 gene. Diabetes 2009, 58, 2616–2623. [Google Scholar] [CrossRef]
- Elmansoury, N.; Megahed, A.A.; Kamal, A.; El-Nikhely, N.; Labane, M.; Abdelmageed, M.; Daly, A.K.; Wahid, A. Relevance of PNPLA3, TM6SF2, HSD17B13, and GCKR Variants to MASLD Severity in an Egyptian Population. Genes 2024, 15, 455. [Google Scholar] [CrossRef]
- Song, G.; Xiao, C.; Wang, K.; Wang, Y.; Chen, J.; Yu, Y.; Wang, Z.; Deng, G.; Sun, X.; Zhong, L.; et al. Association of patatin-like phospholipase domain-containing protein 3 gene polymorphisms with susceptibility of nonalcoholic fatty liver disease in a Han Chinese population. Medicine 2016, 95, e4569. [Google Scholar] [CrossRef]
- Stasinou, E.; Argyraki, M.; Sotiriadou, F.; Lambropoulos, A.; Fotoulaki, M. Association between rs738409 and rs2896019 single-nucleotide polymorphisms of phospholipase domain-containing protein 3 and susceptibility to nonalcoholic fatty liver disease in Greek children and adolescents. Ann. Gastroenterol. 2022, 35, 297–306. [Google Scholar] [CrossRef]
- Sookoian, S.; Pirola, C.J. Meta-analysis of the influence of I148M variant of patatin-like phospholipase domain containing 3 gene (PNPLA3) on the susceptibility and histological severity of nonalcoholic fatty liver disease. Hepatology 2011, 53, 1883–1894. [Google Scholar] [CrossRef] [PubMed]
- Raksayot, M.; Chuaypen, N.; Khlaiphuengsin, A.; Pinjaroen, N.; Treeprasertsuk, S.; Poovorawan, Y.; Tanaka, Y.; Tangkijvanich, P. Independent and additive effects of PNPLA3 and TM6SF2 polymorphisms on the development of non-B, non-C hepatocellular carcinoma. J. Gastroenterol. 2019, 54, 427–436. [Google Scholar] [CrossRef] [PubMed]
- Souza, M.; Al-Sharif, L.; Diaz, I.; Mantovani, A.; Villela-Nogueira, C.A. Global Epidemiology and Implications of PNPLA3 I148M Variant in Metabolic Dysfunction–Associated Steatotic Liver Disease: A Systematic Review and Meta-analysis. J. Clin. Exp. Hepatol. 2025, 15, 102495. [Google Scholar] [CrossRef] [PubMed]
- Liu, Y.L.; Patman, G.L.; Leathart, J.B.; Piguet, A.C.; Burt, A.D.; Dufour, J.F.; Day, C.P.; Daly, A.K.; Reeves, H.L.; Anstee, Q.M. Carriage of the PNPLA3 rs738409 C>G polymorphism confers an increased risk of non-alcoholic fatty liver disease associated hepatocellular carcinoma. J. Hepatol. 2014, 61, 75–81. [Google Scholar] [CrossRef]
- Li, Q.; Qu, H.-Q.; Rentfro, A.R.; Grove, M.L.; Mirza, S.; Lu, Y.; Hanis, C.L.; Fallon, M.B.; Boerwinkle, E.; Fisher-Hoch, S.P.; et al. PNPLA3 polymorphisms and liver aminotransferase levels in a Mexican American population. Clin. Investig. Med. 2012, 35, E237–E245. [Google Scholar] [CrossRef] [PubMed]
- Peng, X.-E.; Wu, Y.-L.; Lin, S.-W.; Lu, Q.-Q.; Hu, Z.-J.; Lin, X. Genetic variants in PNPLA3 and risk of non-alcoholic fatty liver disease in a Han Chinese population. PLoS ONE 2012, 7, e50256. [Google Scholar] [CrossRef]
- Kawaguchi, T.; Sumida, Y.; Umemura, A.; Matsuo, K.; Takahashi, M.; Takamura, T.; Yasui, K.; Saibara, T.; Hashimoto, E.; Kawanaka, M.; et al. Genetic polymorphisms of the human PNPLA3 gene are strongly associated with severity of non-alcoholic fatty liver disease in Japanese. PLoS ONE 2012, 7, e38322. [Google Scholar] [CrossRef] [PubMed]
- Elouej, S.; Belfki-Benali, H.; Nagara, M.; Lasram, K.; Attaoua, R.; Sallem, O.K.; Kamoun, I.; Chargui, M.; Romdhane, L.; Jamoussi, H.; et al. Association of rs9939609 polymorphism with metabolic parameters and FTO risk haplotype among Tunisian metabolic syndrome. Metab. Syndr. Relat. Disord. 2016, 14, 121–128. [Google Scholar] [CrossRef] [PubMed]
- Do, R.; Bailey, S.D.; Desbiens, K.; Belisle, A.; Montpetit, A.; Bouchard, C.; PérUsse, L.; Vohl, M.-C.; Engert, J.C. Genetic variants of FTO influence adiposity, insulin sensitivity, leptin levels, and resting metabolic rate in the Quebec Family Study. Diabetes 2008, 57, 1147–1150. [Google Scholar] [CrossRef]
- González, J.R.; González-Carpio, M.; Hernández-Sáez, R.; Vargas, V.S.; Hidalgo, G.T.; Rubio-Rodrigo, M.; García-Nogales, A.; Estévez, M.N.; Pérez, L.M.L.; Rodríguez-López, R. FTO risk haplotype among early onset and severe obesity cases in a population of western Spain. Obesity 2012, 20, 909–915. [Google Scholar] [CrossRef]
- Kolackov, K.; Łaczmański, Ł.; Lwow, F.; Ramsey, D.; Wełna, A.Z.; Tupikowska, M.; Tupikowska, G.B. The frequencies of haplotypes of FTO gene variants and their association with the distribution of body fat in non-obese poles. Adv. Clin. Exp. Med. 2016, 25, 33–42. [Google Scholar] [CrossRef] [PubMed]
- Ning, M.; Chen, L.; Wang, Y.; Xu, A.; Zeng, R.; Zhang, H.; Wang, B.; Liu, X. The Role of FTO Risk Haplotype in Overweight/Obesity and Lipid Parameters-Results From the Central China Population Study. Int. J. Endocrinol. 2024, 2024, 8062791. [Google Scholar] [CrossRef]
- Rauhio, A.; Uusi-Rasi, K.; Nikkari, S.T.; Kannus, P.; Sievänen, H.; Kunnas, T. Association of the FTO and ADRB2 genes with body composition and fat distribution in obese women. Maturitas 2013, 76, 165–171. [Google Scholar] [CrossRef]
- Hinney, A.; Nguyen, T.T.; Scherag, A.; Friedel, S.; Brönner, G.; Müller, T.D.; Grallert, H.; Illig, T.; Wichmann, H.E.; Rief, W.; et al. Genome wide association (GWA) study for early onset extreme obesity supports the role of fat mass and obesity associated gene (FTO) variants. PLoS ONE 2007, 2, e1361. [Google Scholar] [CrossRef]
- Shabana, H.S. Effect of the Common Fat Mass and Obesity Associated Gene Variants on Obesity in Pakistani Population: A Case-Control Study. BioMed Res. Int. 2015, 2015, 852920. [Google Scholar] [CrossRef]
- Chen, X.; Gao, Y.; Yang, X.; Zhang, H.; Mo, Z.; Tan, A. Relationship of FTO gene variations with NAFLD risk in Chinese men. Open Life Sci. 2020, 15, 860–867. [Google Scholar] [CrossRef] [PubMed]
- Gholamalizadeh, M.; Jarrahi, A.M.; Akbari, M.E.; Rezaei, S.; Doaei, S.; Mokhtari, Z.; Torki, A. The possible mechanisms of the effects of IRX3 gene on body weight: An overview. Arch. Med. Sci. Atheroscler. Dis. 2019, 4, e225–e230. [Google Scholar] [CrossRef] [PubMed]
- Cox, A.J.; Wing, M.R.; Carr, J.J.; Hightower, R.C.; Smith, S.C.; Xu, J.; Wagenknecht, L.E.; Bowden, D.W.; Freedman, B.I. Association of PNPLA3 SNP rs738409 with liver density in African Americans with type 2 diabetes mellitus. Diabetes Metab. 2011, 37, 452–455. [Google Scholar] [CrossRef] [PubMed]




| Characteristics | Total n = 150 | Case n = 100 | Control n = 50 | p Value |
|---|---|---|---|---|
| Gender (female), n (%) | 90 (60) | 60 (60) | 30 (60) | 1 |
| Age (years) * | 46.73 ± 11.45 | 46.80 ± 11.60 | 46.73 ± 11.25 | 0.912 |
| BMI (kg/m2) * | 27.37 ± 5.51 | 29.83 ± 5.05 | 22.45 ± 1.94 | <0.001 |
| WC (cm) * | 89.26 ± 19.62 | 97.00 ± 18.83 | 73.60 ± 9.06 | <0.001 |
| SABP (mmHg) * | 124.51 ± 18.72 | 126.84 ± 19.23 | 119.79 ± 16.86 | 0.034 |
| DABP (mmHg) * | 82.70 ± 12.49 | 84.55 ± 12.36 | 78.87 ± 11.98 | 0.011 |
| FSG (mmol/L) * | 5.45 ± 1.96 | 5.75 ± 2.30 | 4.85 ± 0.74 | 0.008 |
| ALT (IU/mL) ** | 21.68 (20.68) | 23.25 (25.63) | 17.49 (15.55) | 0.005 |
| AST (IU/mL) ** | 21.15 (12.49) | 21.55 (16.12) | 19.65 (8.44) | 0.066 |
| GGT | 27.6 (37.9) | 33.0 (39.2) | 20 (14.7) | 0.001 |
| TG (mmol/L) * | 1.55 ± 1.02 | 1.60 ± 1.01 | 1.45 ± 0.74 | 0.389 |
| TC (mmol/L) * | 5.59 ± 1.60 | 5.83 ± 1.76 | 5.11 ± 1.06 | 0.010 |
| LDL (mmol/L) * | 3.46 ± 0.84 | 3.59 ± 0.88 | 3.20 ± 0.69 | 0.008 |
| HDL (mmol/L) * | 1.48 ± 0.34 | 1.43 ± 0.33 | 1.58 ± 0.34 | 0.016 |
| Smoking, n (%) | 29 (19.3) | 19 (19) | 10 (20) | 1 |
| Obesity, n (%) | 96 (64) | 92 (92) | 4 (8) | <0.001 |
| Hypertriglyceridemia, n (%) | 69 (46) | 53 (53) | 16 (32) | 0.011 |
| Decreased HDL, n (%) | 57 (38) | 48 (48) | 9 (18) | <0.001 |
| Hypertension, n (%) | 87 (58) | 68 (68) | 19 (38) | <0.001 |
| Prediabetes or DM, n (%) | 46 (30.7) | 37 (37) | 9 (18) | 0.013 |
| Gene | Total n = 150 (%) | Case n = 100 (%) | Control n = 50 (%) | χ2 | p Value | OR (95% CI) | p Value |
|---|---|---|---|---|---|---|---|
| PNPLA3 rs738409, genotype frequency | |||||||
| CC | 67 (44.7) | 36 (36) | 31 (62) | 9.117 | 0.003 | 0.345 (0.171–0.696) | 0.003 |
| CG | 82 (54.7) | 63 (63) | 19 (38) | 8.407 | 0.004 | 2.778 (1.379–5.598) | 0.004 |
| CG/GG | 83 (55.3) | 64 (64) | 19 (38) | 9.117 | 0.003 | 2.901 (1.437–5.853) | 0.003 |
| C allele | 216 (72) | 135 (67.5) | 81(81) | 6.027 | 0.014 | 0.487 (0.273–0.871) | 0.015 |
| G allele | 84 (28) | 65 (32.5) | 19 (19) | 2.053 (1.149–3.668) | 0.015 | ||
| PNPLA3 rs2896019, genotype frequency | |||||||
| TT | 55 (36.7) | 31 (31) | 24 (48) | 4.148 | 0.042 | 0.487 (0.242–0.978) | 0.043 |
| TG | 91 (60.7) | 65 (65) | 26 (52) | 2.361 | 0.124 | 1.714 (0.859–3.419) | 0.126 |
| TG/GG | 95 (63.3) | 69 (69) | 26 (52) | 4.148 | 0.042 | 2.055 (1.022–4.130) | 0.043 |
| T allele | 201 (67) | 126 (63) | 75(75) | 4.342 | 0.037 | 0.568 (0.332–0.970) | 0.038 |
| G allele | 99 (33) | 74 (37) | 25 (25) | 1.738 (1.016–2.973) | 0.043 | ||
| FTO rs9939609, genotype frequency | |||||||
| TT | 91 (60.7) | (53) | 38 (76) | 7.390 | 0.007 | 0.356 (0.167–0.760) | 0.008 |
| AT | 55 (36.7) | 43 (43) | 12 (24) | 5.182 | 0.023 | 2.389 (1.117–5.109) | 0.025 |
| AT/AA | 59 (39.3) | 47 (47) | 12 (24) | 7.390 | 0.008 | 2.808 (1.315–5.996) | 0.008 |
| T allele | 237 (79) | 149 (74.5) | 88 (88) | 7.324 | 0.007 | 0.398 (0.201–0.788) | 0.008 |
| A allele | 63 (21) | 51 (25.5) | 12 (12) | 2.510 (1.269–4.964) | |||
| FTO rs17817449, genotype frequency | |||||||
| TT | 94 (62.7) | 59 (59) | 35 (70) | 1.724 | 0.189 | 0.918 (0.455–1.852) | 0.104 |
| TG | 48 (32) | 33 (33) | 15 (30) | 0.138 | 0.710 | 1.090 (0.540–2.199) | 0.086 |
| TG/GG | 56 (37.3) | 41 (41) | 15 (30) | 1.724 | 0.189 | 1.090 (0.540–2.199) | 0.104 |
| T allele | 237 (79) | 157 (78.5) | 80 (80) | 0.090 | 0.764 | 0.913 (0.504–1.655) | 0.115 |
| G allele | 63 (21) | 43 (21.5) | 20 (20) | 1.096 (0.604–1.986) | 0.115 | ||
| Characteristics | FTO Gene | PNPLA3 Gene | ||||||||||
|---|---|---|---|---|---|---|---|---|---|---|---|---|
| rs9939609 | rs17817449 | rs738409 | rs2896019 | |||||||||
| TT n = 91 | AT/AA n = 59 | p Value | TT n = 55 | TG/GG n = 95 | p Value | CC n = 67 | CG/GG n = 83 | p Value | TT n = 55 | TG/GG n = 95 | p Value | |
| Weight (kg) * | 70.17 ± 15.17 | 81.90 ± 18.40 | <0.001 | 72.28 ± 15.95 | 78.98 ± 19.11 | 0.022 | 68.73 ± 13.68 | 79.67 ± 18.65 | <0.001 | 69.38 ± 13.99 | 77.92 ± 18.51 | 0.004 |
| BMI (kg/m2) * | 25.88 ± 4.59 | 29.68 ± 6.03 | <0.001 | 26.65 ± 5.17 | 28.57 ± 5.88 | 0.039 | 25.58 ± 4.24 | 28.82 ± 5.99 | <0.001 | 25.83 ± 4.61 | 28.26 ± 5.81 | 0.009 |
| WC (cm) * | 85.04 ± 18.37 | 96.48 ± 19.78 | 0.001 | 88.05 ± 18.74 | 91.48 ± 21.18 | 0.343 | 84.16 ± 17.57 | 93.38 ± 20.33 | 0.007 | 84.76 ± 17.39 | 91.73 ± 20.43 | 0.053 |
| SABP (mmHg) * | 122.85 ± 20.05 | 127.20 ± 16.12 | 0.180 | 124.16 ± 19.80 | 125.14 ± 16.72 | 0.768 | 122.14 ± 15.49 | 126.39 ± 20.85 | 0.180 | 122.14 ± 15.49 | 126.39 ± 20.85 | 0.180 |
| DABP (mmHg) * | 81.69 ± 12.47 | 84.31 ± 12.45 | 0.226 | 82.72 ± 12.99 | 82.65 ± 11.62 | 0.977 | 80.71 ± 12.57 | 84.25 ± 12.28 | 0.095 | 80.71 ± 12.57 | 84.25 ± 12.28 | 0.095 |
| FSG (mmol/L) * | 5.61 ± 2.44 | 5.21 ± 0.78 | 0.230 | 5.43 ± 2.02 | 5.49 ± 1.88 | 0.854 | 5.36 ± 1.99 | 5.52 ± 1.96 | 0.636 | 5.36 ± 1.99 | 5.52 ± 1.96 | 0.636 |
| ALT (IU/mL) ** | 20 (17.8) | 23.9 (28.1) | 0.023 | 20.7 (19.7) | 23.2 (27.8) | 0.789 | 18.9 (14.5) | 23.9 (28.3) | 0.005 | 20 (14.3) | 23.48 (29.2) | 0.022 |
| AST (IU/mL) ** | 20.78 (10.2) | 21.4 (19) | 0.151 | 20.7 (10.4) | 21.5 (18.3) | 0.409 | 20.2 (7.4) | 22.14 (18.18) | 0.022 | 20.78 (8.48) | 21.80 (16) | 0.078 |
| GGT (IU/mL) ** | 24.5 (9.8, 247.5) | 32.2 (11.9, 412) | 0.011 | 27.1 (30.1) | 29.6 (44.7) | 0.365 | 21.6 (33.6) | 31.2 (38.6) | 0.028 | 23.6 (18.6) | 33 (42.7) | 0.004 |
| TG (mmol/L) * | 1.54 ± 1.13 | 1.57 ± 0.84 | 0.882 | 1.50 ± 1.06 | 1.63 ± 0.96 | 0.481 | 1.68 ± 1.21 | 1.45 ± 0.83 | 0.180 | 1.50 ± 0.91 | 1.58 ± 1.08 | 0.671 |
| TC (mmol/L) * | 5.54 ± 1.78 | 5.67 ± 1.26 | 0.616 | 5.59 ± 1.77 | 5.58 ± 1.16 | 0.971 | 5.56 ± 2.01 | 5.62 ± 1.18 | 0.819 | 5.37 ± 1.81 | 5.72 ± 1.46 | 0.199 |
| LDL (mmol/L) * | 3.33 ± 0.86 | 3.66 ± 0.77 | 0.018 | 3.30 ± 0.74 | 3.72 ± 0.94 | 0.003 | 3.29 ± 0.76 | 3.59 ± 0.88 | 0.030 | 3.23 ± 0.83 | 3.59 ± 0.82 | 0.012 |
| HDL (mmol/L) * | 1.53 ± 0.35 | 1.41 ± 0.30 | 0.032 | 1.50 ± 0.36 | 1.45 ± 0.30 | 0.312 | 1.56 ± 0.33 | 1.42 ± 0.33 | 0.008 | 1.47 ± 0.35 | 1.43 ± 0.32 | 0.616 |
| Characteristics | Total n = 150 | Non-SNP n = 28 | One SNP n = 23 | Two SNP n = 44 | Three SNP n = 38 | Four SNP n = 17 | p Value |
|---|---|---|---|---|---|---|---|
| Weight (kg) * | 74.7 ± 17.4 | 66.0 ± 12.5 | 68.1 ± 12.9 | 74.5 ± 16.3 | 77.3 ± 17.3 | 92.9 ± 19.1 | <0.001 |
| BMI (kg/m2) * | 27.3 ± 5.51 | 24.5 ± 4.0 | 25.7 ± 3.9 | 27.0 ± 5.0 | 28.6 ± 5.0 | 32.1 ± 6.68 | <0.001 |
| WC (cm) * | 89.2 ± 19.6 | 84.3 ± 18.2 | 79.3 ± 16.0 | 90.9 ± 18.7 | 108.0 ± 22.0 | 89.2 ± 19.6 | <0.001 |
| SABP (mmHg) * | 124.5 ± 18.7 | 121.8 ± 15.1 | 124.9 ± 14.9 | 120.2 ± 14.9 | 128.1 ± 12.8 | 132.0 ± 20.3 | 0.171 |
| DABP (mmHg) * | 78.3 ± 8.9 | 84.2 ± 16.4 | 81.6 ± 12.2 | 81.6 ± 12.2 | 84.4 ± 10.7 | 86.5 ± 14.7 | 0.212 |
| FSG (mmol/L) * | 5.4 ± 1.9 | 5.7 ± 2.9 | 5.1 ± 1.0 | 5.4 ± 2.5 | 5.3 ± 0.9 | 5.4 ± 0.9 | 0.910 |
| ALT (IU/mL) ** | 21.6 (20.6) | 20.2 (13.8) | 22.1 (13.3) | 22.4 (29.3) | 34.0 (20.2) | 22.1 (40.0) | 0.029 |
| AST (IU/mL) ** | 21.1 (12.4) | 19.3 (8.9) | 20.7 (5.3) | 21.2 (15.8) | 20.8 (12.3) | 31.0 (37.8) | 0.067 |
| GGT (IU/mL) ** | 27.6 (37.9) | 19.4 (18.8) | 28.4 (35.9) | 25.8 (21.4) | 33.6 (44.1) | 35.7 (68.4) | 0.020 |
| TG (mmol/L) * | 1.5 ± 1.0 | 1.5 ± 1.0 | 2.0 ± 1.5 | 1.2 ± 0.5 | 1.5 ± 0.8 | 1.8 ± 1.1 | 0.023 |
| TC (mmol/L) * | 5.5 ± 1.6 | 5.3 ± 2.2 | 5.9 ± 2.3 | 5.3 ± 0.8 | 5.6 ± 1.4 | 5.8 ± 1.1 | 0.559 |
| LDL (mmol/L) * | 3.4 ± 0.8 | 2.9 ± 0.6 | 3.5 ± 0.7 | 3.4 ± 0.8 | 3.5 ± 0.9 | 4.0 ± 0.6 | 0.001 |
| HDL (mmol/L) * | 1.4 ± 0.3 | 1.6 ± 0.3 | 1.5 ± 0.3 | 1.4 ± 0.3 | 1.4 ± 0.2 | 1.3 ± 0.2 | 0.019 |
| Characteristics | Univariate Analysis | Multivariate Analysis | |||||||
|---|---|---|---|---|---|---|---|---|---|
| Model 1 * | Model 2 ** | ||||||||
| OR | 95% CI | p Value | OR | 95% CI | p Value | OR | 95% CI | p Value | |
| Arterial hypertension | 3.46 | 1.70–7.04 | 0.001 | 2.59 | 1.19–5.64 | 0.016 | 2.79 | 1.29–6.03 | 0.009 |
| Prediabetes or DM | 2.67 | 1.16–6.12 | 0.020 | 1.83 | 0.73–4.64 | 0.194 | 1.94 | 0.78–4.85 | 0.153 |
| Decreased HDL | 4.20 | 1.85–9.56 | 0.001 | 3.12 | 1.20–8.10 | 0.019 | 3.27 | 1.23–8.64 | 0.017 |
| Hypertriglyceridemia | 2.39 | 1.17–4.88 | 0.016 | 1.47 | 0.60–3.58 | 0.391 | 1.32 | 0.54–3.21 | 0.538 |
| PNPLA3 rs738409 (GC/GG) | 2.90 | 1.43–5.85 | 0.003 | 2.39 | 1.02–5.62 | 0.045 | - | - | - |
| PNPLA3 rs2896019 (TG/GG) | 2.05 | 1.02–4.13 | 0.043 | 1.23 | 0.52–2.94 | 0.629 | - | - | - |
| FTO rs9939609 (AT/AA) | 2.80 | 1.31–5.99 | 0.008 | - | - | - | 2.55 | 1.12–5.79 | 0.025 |
Disclaimer/Publisher’s Note: The statements, opinions and data contained in all publications are solely those of the individual author(s) and contributor(s) and not of MDPI and/or the editor(s). MDPI and/or the editor(s) disclaim responsibility for any injury to people or property resulting from any ideas, methods, instructions or products referred to in the content. |
© 2025 by the authors. Licensee MDPI, Basel, Switzerland. This article is an open access article distributed under the terms and conditions of the Creative Commons Attribution (CC BY) license (https://creativecommons.org/licenses/by/4.0/).
Share and Cite
Tsedendorj, Y.; Daramjav, D.; Enkhbat, Y.; Dondov, G.; Dashjamts, G.; Khayankhyarvaa, E.; Ganzorig, A.-E.; Ulziitsogt, B.; Badamjav, T.; Batsaikhan, B.; et al. Genetic Risk of MASLD in Mongolians: Role of PNPLA3 and FTO SNPs. Curr. Issues Mol. Biol. 2025, 47, 605. https://doi.org/10.3390/cimb47080605
Tsedendorj Y, Daramjav D, Enkhbat Y, Dondov G, Dashjamts G, Khayankhyarvaa E, Ganzorig A-E, Ulziitsogt B, Badamjav T, Batsaikhan B, et al. Genetic Risk of MASLD in Mongolians: Role of PNPLA3 and FTO SNPs. Current Issues in Molecular Biology. 2025; 47(8):605. https://doi.org/10.3390/cimb47080605
Chicago/Turabian StyleTsedendorj, Yumchinsuren, Dolgion Daramjav, Yesukhei Enkhbat, Ganchimeg Dondov, Gantogtokh Dashjamts, Enkhmend Khayankhyarvaa, Amin-Erdene Ganzorig, Bolor Ulziitsogt, Tegshjargal Badamjav, Batbold Batsaikhan, and et al. 2025. "Genetic Risk of MASLD in Mongolians: Role of PNPLA3 and FTO SNPs" Current Issues in Molecular Biology 47, no. 8: 605. https://doi.org/10.3390/cimb47080605
APA StyleTsedendorj, Y., Daramjav, D., Enkhbat, Y., Dondov, G., Dashjamts, G., Khayankhyarvaa, E., Ganzorig, A.-E., Ulziitsogt, B., Badamjav, T., Batsaikhan, B., Avirmed, S., & Lonjid, T. (2025). Genetic Risk of MASLD in Mongolians: Role of PNPLA3 and FTO SNPs. Current Issues in Molecular Biology, 47(8), 605. https://doi.org/10.3390/cimb47080605

