Effects of Eucommia ulmoides Oliver Extracts on Odontoblast Differentiation in Human Dental Pulp Stem Cells
Abstract
1. Introduction
2. Materials and Methods
2.1. Cell Culture
2.2. Reagents
2.3. Cell Viability Assay
2.4. Anti-Oxidation/Radical-Scavenging Activity
2.5. Odontogenic Differentiation
2.6. RNA Extraction and cDNA Synthesis
2.7. Real-Time Quantitative PCR (RT-qPCR)
2.8. Western Blot Analysis
2.9. Extraction of E. ulmoides
2.10. LC-MS/MS Analysis
- ○
- Positive ion mode: The mobile phase consisted of water with 0.1% formic acid (A) and acetonitrile containing 0.1% formic acid (B).
- ○
- Negative ion mode: The mobile phase consisted of 5 mM ammonium formate in water (A) and acetonitrile with 5 mM ammonium formate (B).
2.11. Statistical Analysis
3. Results
3.1. Effects of E. ulmoides Extract on Cell Proliferation and Anti-Oxidant Activity
3.2. Effects of E. ulmoides Extract on Mineralization in hDPSCs
3.3. Odontoblast Differentiation Markers Expression in E. ulmoides Extract-Treated hDPSCs
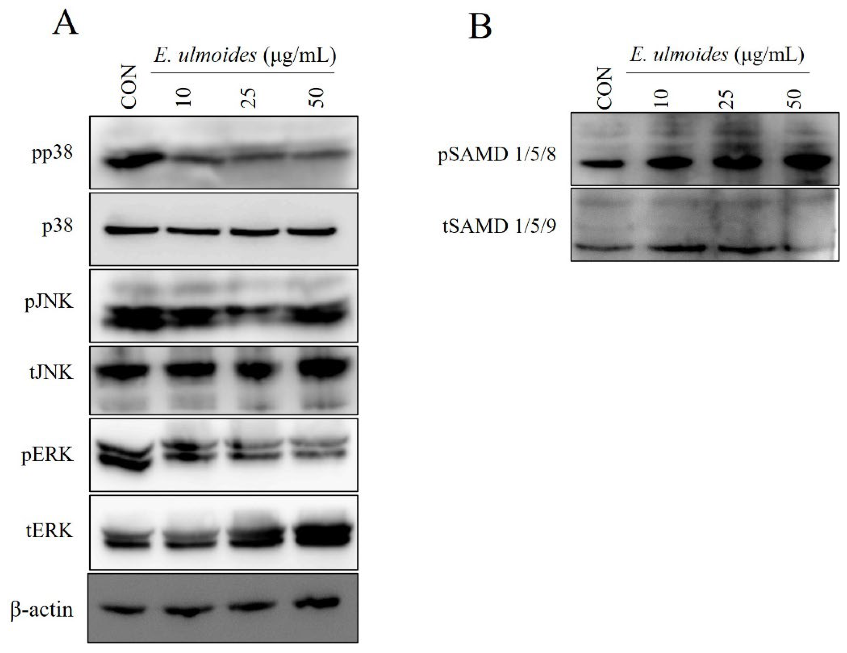
3.4. Signaling Pathway Analysis of E. ulmoides Extract-Treated Odontoblast Differentiation in hDPSCs
3.5. Quantitative and Qualitative LC-MS/MS Analysis of E. ulmoides
4. Discussion
5. Conclusions
Supplementary Materials
Author Contributions
Funding
Data Availability Statement
Acknowledgments
Conflicts of Interest
Abbreviations
| E. ulmoides | Eucommia ulmoides Oliver |
| CCK-8 | Cell counting kit-8 |
| ALP | Alkaline phosphatase |
| RUNX-2 | Runt-related transcription factor 2 |
| OPN | Osteopontin |
| DMP-1 | Dentin matrix acidic phosphoprotein 1 |
| DSPP | Dentin sialophosphoprotein |
| ERK | Extracellular signal-regulated kinase |
| JNK | c-Jun NH2 terminal kinase |
| MAP kinase | Mitogen-activated protein kinase |
| SMAD | Mothers against decapentaplegic homolog |
References
- Jang, H.-O.; Ahn, T.-Y.; Ju, J.-M.; Bae, S.-K.; Kim, H.-R.; Kim, D.-S. Odontogenic Differentiation-Induced Tooth Regeneration by Psoralea corylifolia L. Curr. Issues Mol. Biol. 2022, 44, 2300–2308. [Google Scholar] [CrossRef] [PubMed]
- Lampiasi, N. The Migration and the Fate of Dental Pulp Stem Cells. Biology 2023, 12, 742. [Google Scholar] [CrossRef] [PubMed]
- Neves, V.C.; Babb, R.; Chandrasekaran, D.; Sharpe, P.T. Promotion of natural tooth repair by small molecule GSK3 antagonists. Sci. Rep. 2017, 7, 39654. [Google Scholar] [CrossRef] [PubMed]
- Lee, G.H.; Lee, H.Y.; Choi, M.K.; Choi, A.H.; Shin, T.S.; Chae, H.J. Eucommia ulmoides leaf (EUL) extract enhances NO production in ox-LDL-treated human endothelial cells. Biomed. Pharmacother. 2018, 97, 1164–1172. [Google Scholar] [CrossRef]
- Huang, L.; Lyu, Q.; Zheng, W.; Yang, Q.; Cao, G. Traditional application and modern pharmacological research of Eucommia ulmoides Oliv. Chin. Med. 2021, 16, 73. [Google Scholar] [CrossRef]
- Kim, H.H.; Ahn, S.H.; Park, S.Y. Effects of Eucomiae Cortex on the Depression of Male Aged Mice. J. Physiol. Pathol. Korean Med. 2019, 33, 10–16. [Google Scholar] [CrossRef]
- Yao, L.; Zhang, A.; Zhang, H.; Shao, J.; Wen, M.; Wang, C.; Jiang, H.; Li, M. Effects of Dietary Aqueous Extract from Eucommia ulmoides Oliver on Growth, Muscle Composition, Amino Acid Composition and Fatty Acid Composition of Rainbow Trout (Oncorhynchus mykiss). Pak. J. Zool. 2020, 53, 603–611. [Google Scholar] [CrossRef]
- Youn, Y.; Baek, H.I.; Jin, H.Y.; Jeong, D.Y.; Shen, L.; Joo, J.C.; Park, S.J. Randomized double-blind human trial to evaluate efficacy and safety of Rhus verniciflua Stokes (Lacca Sinica Exsiccata) and Eucommia ulmoides Oliver (Eucommiae cortex) extract combination (ILF-RE) on improvement of liver function. Korea J. Herbol. 2020, 35, 45–55. [Google Scholar]
- Yoon, S.J.; Kim, K.Y.; Kim, G.Y.; Nam, K.W.; Sim, K.C.; Kim, E.J.; Chung, H.W.; Kim, H.W.; Kim, G.D. Effects of Eucommia ulmoides Oliver and Treadmill Exercise on the Osteoporosis of Rats Caused by Glucocorticoid Induction. J. Physiol. Pathol. Korean Med. 2008, 22, 884–890. [Google Scholar]
- Yun, D.Y.; Park, S.H.; Lee, J.S. Effects of Eucommiae cortex on Myofiber Type Transition and MyoD Expression in Hind Limb Muscle Atrophy of Rats. J. Korean Med. Rehabil. 2008, 18, 47–63. [Google Scholar]
- Yamada, M.; Nagayama, M.; Miyamoto, Y.; Kawano, S.; Takitani, Y.; Tanaka, M.; Ehara, M.; Nakao, J.; Ochiai, T.; Shibukawa, Y.; et al. Mineral Trioxide Aggregate (MTA) Upregulates the Expression of DMP1 in Direct Pulp Capping in the Rat Molar. Materials 2021, 14, 4640. [Google Scholar] [CrossRef]
- Sun, Y.; Liu, W.Z.; Liu, T.; Feng, X.; Yang, N.; Zhou, H.F. Signaling pathway of MAPK/ERK in cell proliferation, differentiation, migration, senescence and apoptosis. J. Recept. Signal Transduct. Res. 2015, 35, 600–604. [Google Scholar] [CrossRef]
- Barros, L.; Ferreira, M.-J.; Queirós, B.; Ferreira, I.C.F.R.; Baptista, P. Total phenols, ascorbic acid, β-carotene and lycopene in Portuguese wild edible mushrooms and their antioxidant activities. Food Chem. 2007, 103, 413–419. [Google Scholar] [CrossRef]
- Schierz, O.; Baba, K.; Fueki, K. Functional oral health-related quality of life impact: A systematic review in populations with tooth loss. J. Oral Rehabil. 2021, 48, 256–270. [Google Scholar] [CrossRef] [PubMed]
- Li, Z.Y.; Li, X.L.; Wei, P.G.; Qu, L.; Qiu, L.H.; Yu, Y.Q. Regulation mechanism of resveratrol on odontogenic differentiation of human dental pulp stem cells. Shanghai J. Stomatol. 2023, 32, 132. [Google Scholar]
- Amir, M.; Jeevithan, L.; Barkat, M.; Fatima, S.H.; Khan, M.; Israr, S.; Rahman, S.U. Advances in regenerative dentistry: A systematic review of harnessing Wnt/β-catenin in dentin–pulp regeneration. Cells 2024, 13, 1153. [Google Scholar] [CrossRef] [PubMed]
- Li, Y.; Cheng, L.; Li, M. Effects of green tea extract epigallocatechin-3-gallate on oral diseases: A narrative review. Pathogens 2024, 13, 634. [Google Scholar] [CrossRef]
- Bai, Y.; Cheng, X.; Liu, X.; Guo, Q.; Wang, Z.; Fu, Y.; Yu, Q. Transforming growth factor-β1 promotes early odontoblastic differentiation of dental pulp stem cells via activating AKT, ERK1/2 and p38 MAPK pathways. J. Dent. Sci. 2023, 18, 87–94. [Google Scholar] [CrossRef]
- Wen, X.; Jiao, L.; Tan, H. MAPK/ERK pathway as a central regulator in vertebrate organ regeneration. Int. J. Mol. Sci. 2022, 23, 1464. [Google Scholar] [CrossRef]
- Calabrese, E.J.; Agathokleous, E.; Dhawan, G.; Kapoor, R.; Calabrese, V. Human dental pulp stem cells and hormesis. Ageing Res. Rev. 2022, 73, 101540. [Google Scholar] [CrossRef]
- Lee, M.; Lee, Y.S.; Shon, W.J.; Park, J.C. Physiologic dentin regeneration: Its past, present, and future perspectives. Front. Physiol. 2023, 14, 1313927. [Google Scholar] [CrossRef]
- Al-Masoody, A.H.; Hodjat, M.; Kashi, T.S.J. Hyaluronic acid as a biomaterial for dental pulp regeneration: A systematic review of preclinical studies. Front. Bioeng. Biotechnol. 2025, 13, 1661188. [Google Scholar] [CrossRef]




| No. | Compound | m/z | RT (min) | Area (a.u.) | Score | Formula |
|---|---|---|---|---|---|---|
| 1 | L-Sorbose | 203.0539 | 0.92 | 1,505,000 | 100 | C8H10O6 |
| 2 | Glycerophosphocholine | 258.1117 | 0.89 | 209,000 | 98.9 | C7H19N3O5S |
| 3 | Maltotriose | 522.2058 | 0.96 | 339,000 | 95.8 | C5H20N20O9 |
| 4 | 1-Kestose | 543.1353 | 0.96 | 204,000 | 97.1 | C29H24N6OS |
| 5 | 6.α.-Mannobiose | 325.1148 | 0.96 | 112,000 | 85.6 | C6H16N10O4S |
| 6 | Stachyose | 689.2149 | 0.96 | 165,000 | 81.8 | C18H32N20O4S3 |
| 7 | Loganic acid | 399.1281 | 2.75 | 138,000 | 100 | C16H10N14 |
| 8 | Coniferyl aldehyde | 179.0706 | 4 | 88,400 | 72.9 | C10H10O3 |
| 9 | Coumarin | 147.0443 | 4.12 | 94,200 | 56 | C9H6O2 |
| 10 | Aspyrone | 185.0811 | 4.1 | 171,000 | 83.8 | C9H12O4 |
| 11 | Swertiamarin | 397.1138 | 4.79 | 354,000 | 90.5 | C19H24O5S2 |
| 12 | Catalpol | 385.16 | 4.15 | 109,000 | 78.5 | C29H20O |
| 13 | Tetrahydrocurcumin | 355.1375 | 5.18 | 95,000 | 92.5 | C14H22N6OS2 |
| 14 | Phenylacetaldehyde | 121.0653 | 4.79 | 51,000 | 88.6 | C8H8O |
| 15 | Hydrocinnamic acid | 151.0756 | 4.93 | 126,000 | 92 | C9H10O2 |
| 16 | Methyl trans-cinnamate | 163.0755 | 5.46 | 30,000 | 94.7 | C10H10O2 |
| 17 | Anisaldehyde | 137.06 | 4.72 | 25,600 | 51.5 | C8H8O2 |
| 18 | Eleutheroside E | 760.3074 | 6.59 | 176,000 | 98.7 | C15H30N30O5S |
| 19 | Aspyrone (replicate) | 185.0811 | 7.03 | 78,000 | 87.6 | C8H8O3 |
| 20 | Swertiamarin (replicate) | 385.16 | 4.16 | 109,000 | 78.5 | C29H20O |
| No. | Compound | m/z | RT (min) | Area (a.u.) | Score | Formula |
|---|---|---|---|---|---|---|
| 1 | Syringic acid | 197.0488 | 2.35 | 50,000 | 89.1 | C6H14O5S |
| 2 | Vanillic acid | 167.0376 | 1.63 | 44,380 | 99.3 | C5H12O4S |
| 3 | Geniposidic acid | 373.1205 | 0.98 | 18,660 | 97.1 | C15H18N8O2S |
| 4 | D-(+)-Raffinose | 503.1698 | 2.01 | 30,370 | 93.7 | C26H20N10O2 |
| 5 | Hexadecanedioic acid | 285.2107 | 9.23 | 76,360 | 100.0 | C14H30N4S |
| 6 | Asperuloside | 413.1502 | 3.87 | 103,600 | 97.1 | C14H18N14S |
| 7 | Caffeic acid | 179.0378 | 2.87 | 24,640 | 96.9 | C6H12O4S |
| 8 | Chlorogenic acid | 353.0938 | 1.02 | 14,000 | 100 | C7H12N14O5 |
| 9 | Aucubin | 345.1250 | 4.03 | 67,020 | 96.2 | C6H14N14O4 |
| 10 | Melibiose | 341.1149 | 0.97 | 93,380 | 99.2 | C11H18N8O3S |
| 11 | Trehalose | 387.1212 | 0.97 | 23,000 | 99.3 | C4H18N14OS2 |
| 12 | Sucrose | 683.2365 | 0.97 | 138,000 | 54.6 | C18H18N2O5 |
| 13 | D-Glucose | 225.0653 | 0.9 | 88,450 | 95.1 | C4H12N4O2S |
| 14 | 3-Furancarboxylic acid | 253.1481 | 4.72 | 92,880 | 81.0 | C4H18N10O3 |
| 15 | Neochlorogenic acid | 353.1652 | 5.60 | 103,600 | 95.0 | C8H22N10O6 |
| 16 | Genipin | 225.0803 | 6.07 | 90,160 | 98.6 | C8H18O5S |
| 17 | 3-Hydroxy-9,10-dimethoxypterocarpan | 299.0964 | 7.22 | 31,460 | 93.7 | C7H22N6O4S2 |
| 18 | (+)-Pinoresinol | 357.1391 | 9.73 | 12,500 | 98.5 | C8H26N10O6 |
| 19 | Pinoresinol-glucoside | 357.1395 | 7.60 | 71,910 | 99.5 | C3H20N16O4S |
| 20 | 3,5-Dicaffeoyl quinic acid | 515.1226 | 26.19 | 264,400 | 100.0 | C7H12O6 |
Disclaimer/Publisher’s Note: The statements, opinions and data contained in all publications are solely those of the individual author(s) and contributor(s) and not of MDPI and/or the editor(s). MDPI and/or the editor(s) disclaim responsibility for any injury to people or property resulting from any ideas, methods, instructions or products referred to in the content. |
© 2025 by the authors. Licensee MDPI, Basel, Switzerland. This article is an open access article distributed under the terms and conditions of the Creative Commons Attribution (CC BY) license (https://creativecommons.org/licenses/by/4.0/).
Share and Cite
Jang, H.-O.; Ju, J.-M.; Bae, S.-K.; Kim, D.-S.; Kim, H.-R. Effects of Eucommia ulmoides Oliver Extracts on Odontoblast Differentiation in Human Dental Pulp Stem Cells. Curr. Issues Mol. Biol. 2025, 47, 805. https://doi.org/10.3390/cimb47100805
Jang H-O, Ju J-M, Bae S-K, Kim D-S, Kim H-R. Effects of Eucommia ulmoides Oliver Extracts on Odontoblast Differentiation in Human Dental Pulp Stem Cells. Current Issues in Molecular Biology. 2025; 47(10):805. https://doi.org/10.3390/cimb47100805
Chicago/Turabian StyleJang, Hye-Ock, Ji-Min Ju, Soo-Kyung Bae, Da-Sol Kim, and Hyung-Ryong Kim. 2025. "Effects of Eucommia ulmoides Oliver Extracts on Odontoblast Differentiation in Human Dental Pulp Stem Cells" Current Issues in Molecular Biology 47, no. 10: 805. https://doi.org/10.3390/cimb47100805
APA StyleJang, H.-O., Ju, J.-M., Bae, S.-K., Kim, D.-S., & Kim, H.-R. (2025). Effects of Eucommia ulmoides Oliver Extracts on Odontoblast Differentiation in Human Dental Pulp Stem Cells. Current Issues in Molecular Biology, 47(10), 805. https://doi.org/10.3390/cimb47100805

