Exploring the Genomic Landscape of Bacillus paranthracis PUMB_17 as a Proficient Phosphatidylcholine-Specific Phospholipase C Producer
Abstract
1. Introduction
2. Materials and Methods
2.1. Bacterial Strain, Culturing, and PC-PLC Screening Conditions
2.2. DNA Extraction, Sequencing Library Generation, Sequencing, and Assembly
2.3. Genome-Based Strain Identification
2.4. Genome Annotation
2.5. Quantitative Determination of PC-PLC Activity
2.6. PC-PLC Purification
2.6.1. Ultrafiltration
2.6.2. Size Exclusion Chromatography
2.6.3. Anion Exchange Chromatography (AEX)
2.7. Protein Concentration Quantification
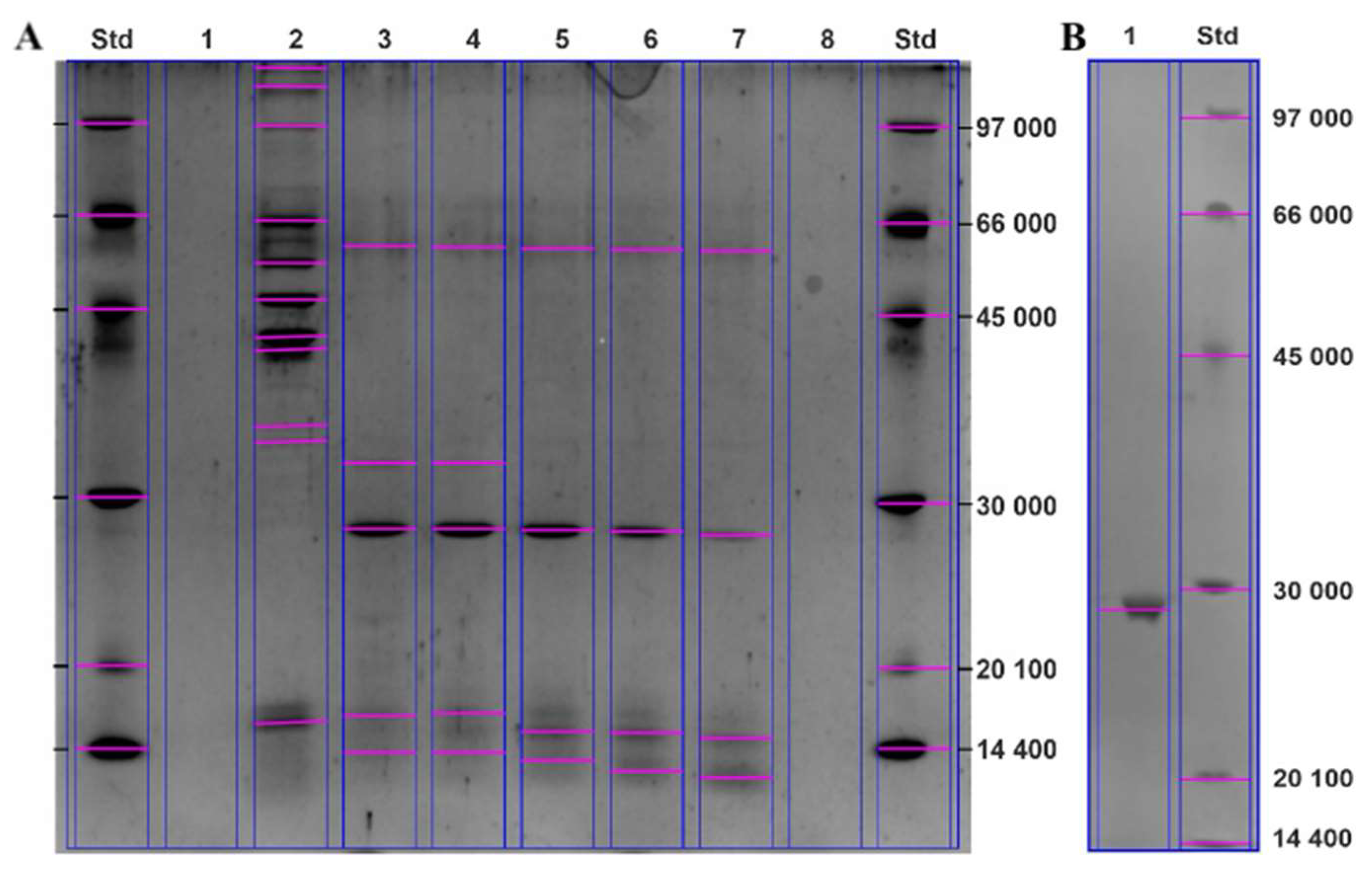
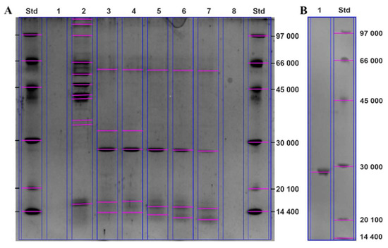
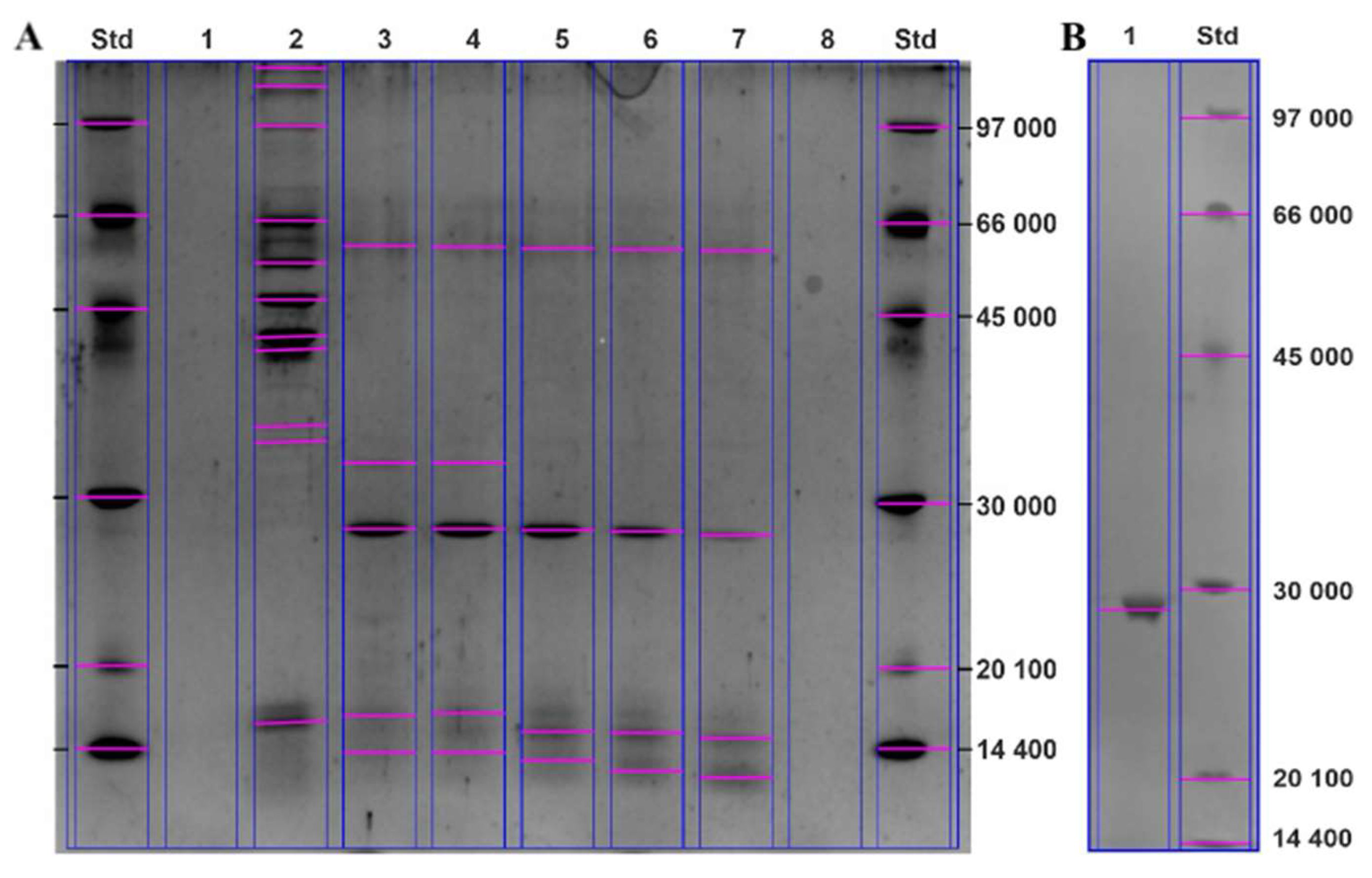
2.8. SDS–PAGE Electrophoresis and PC-PLC Zymography
2.9. Statistical Analysis
3. Results and Discussion
3.1. Extracellular Production of PC-PC by Bacillus sp. PUMB_17
3.2. In Silico Genomic Landscape Identifies PUMB_17 as a Bacillus paranthracis Strain
3.2.1. Genome Overview and Species Identification
3.2.2. Genome Annotation
3.3. Purification of PC-PLC from PUMB_17
PC-PLC Zymography
4. Conclusions
Supplementary Materials
Author Contributions
Funding
Data Availability Statement
Conflicts of Interest
References
- Flores-Díaz, M.; Monturiol-Gross, L.; Naylor, C.; Alape-Girón, A.; Flieger, A. Bacterial Sphingomyelinases and Phospholipases as Virulence Factors. Microbiol. Mol. Biol. Rev. 2016, 80, 597–628. [Google Scholar] [CrossRef]
- Nakamura, Y.; Fukami, K. Regulation and Physiological Functions of Mammalian Phospholipase C. J. Biochem. 2017, 161, 315–321. [Google Scholar] [CrossRef]
- Park, J.B.; Lee, C.S.; Jang, J.H.; Ghim, J.; Kim, Y.J.; You, S.; Hwang, D.; Suh, P.G.; Ryu, S.H. Phospholipase Signalling Networks in Cancer. Nat. Rev. Cancer 2012, 12, 782–792. [Google Scholar] [CrossRef]
- Pini, G.; Faggi, E.; Campisi, E. Enzymatic Characterization of Clinical and Environmental Cryptococcus Neoformans Strains Isolated in Italy. Rev. Iberoam. Micol. 2017, 34, 77–82. [Google Scholar] [CrossRef]
- Watkins, R.A.; King, J.S.; Johnston, S.A. Nutritional Requirements and Their Importance for Virulence of Pathogenic Cryptococcus Species. Microorganisms 2017, 5, 65. [Google Scholar] [CrossRef] [PubMed]
- Eurtivong, C.; Leung, E.; Sharma, N.; Leung, I.K.H.; Reynisson, J. Phosphatidylcholine-Specific Phospholipase C as a Promising Drug Target. Molecules 2023, 28, 5637. [Google Scholar] [CrossRef]
- Oda, M.; Terao, Y.; Sakurai, J.; Nagahama, M. Membrane-Binding Mechanism of Clostridium perfringens Alpha-Toxin. Toxins 2015, 7, 5268–5275. [Google Scholar] [CrossRef] [PubMed]
- Granum, P.E.; Brynestad, S.; Kramer, J.M. Analysis of Enterotoxin Production by Bacillus cereus from Dairy Products, Food Poisoning Incidents and Non-Gastrointestinal Infections. Int. J. Food Microbiol. 1993, 17, 269–279. [Google Scholar] [CrossRef] [PubMed]
- Ehling-Schulz, M.; Fricker, M.; Scherer, S. Bacillus cereus, the Causative Agent of an Emetic Type of Food-Borne Illness. Mol. Nutr. Food Res. 2004, 48, 479–487. [Google Scholar] [CrossRef]
- Liu, Y.; Du, J.; Lai, Q.; Zeng, R.; Ye, D.; Xu, J.; Shao, Z. Proposal of Nine Novel Species of the Bacillus cereus Group. Int. J. Syst. Evol. Microbiol. 2017, 67, 2499–2508. [Google Scholar] [CrossRef] [PubMed]
- Bukharin, O.V.; Perunova, N.B.; Andryuschenko, S.V.; Ivanova, E.V.; Bondarenko, T.A.; Chainikova, I.N. Genome Sequence Announcement of Bacillus paranthracis Strain ICIS-279, Isolated from Human Intestine. Microbiol. Resour. Announc. 2019, 8, e00662-19. [Google Scholar] [CrossRef]
- Chrisope, G.L.; Fox, C.W.; Marshall, R.T. Lecithin Agar for Detection of Microbial Phospholipases. Appl. Environ. Microbiol. 1976, 31, 784–786. [Google Scholar] [CrossRef] [PubMed]
- Gerasimene, G.B.; Makarjunaite, J.P.; Kulene, V.V. Some Properties of Phospholipase C from Bacillus cereus. Prikl. Biokhimiya Mikrobiol. 1985, 21. [Google Scholar]
- Kolmogorov, M.; Yuan, J.; Lin, Y.; Pevzner, P.A. Assembly of Long, Error-Prone Reads Using Repeat Graphs. Nat. Biotechnol. 2019, 37, 540–546. [Google Scholar] [CrossRef] [PubMed]
- Parks, D.H.; Imelfort, M.; Skennerton, C.T.; Hugenholtz, P.; Tyson, G.W. CheckM: Assessing the Quality of Microbial Genomes Recovered from Isolates, Single Cells, and Metagenomes. Genome Res. 2015, 25, 1043–1055. [Google Scholar] [CrossRef] [PubMed]
- Leal, C.; Fontaine, F.; Aziz, A.; Egas, C.; Clément, C.; Trotel-Aziz, P. Genome Sequence Analysis of the Beneficial Bacillus subtilis PTA-271 Isolated from a Vitis vinifera (cv. Chardonnay) Rhizospheric Soil: Assets for Sustainable Biocontrol. Environ. Microbiomes 2021, 16, 3. [Google Scholar] [CrossRef]
- Jain, C.; Rodriguez-R, L.M.; Phillippy, A.M.; Konstantinidis, K.T.; Aluru, S. High Throughput ANI Analysis of 90K Prokaryotic Genomes Reveals Clear Species Boundaries. Nat. Commun. 2018, 9, 5114. [Google Scholar] [CrossRef]
- Meier-Kolthoff, J.P.; Göker, M. TYGS Is an Automated High-Throughput Platform for State-of-the-Art Genome-Based Taxonomy. Nat. Commun. 2019, 10, 2182. [Google Scholar] [CrossRef]
- Brettin, T.; Davis, J.J.; Disz, T.; Edwards, R.A.; Gerdes, S.; Olsen, G.J.; Olson, R.; Overbeek, R.; Parrello, B.; Pusch, G.D.; et al. RASTtk: A Modular and Extensible Implementation of the RAST Algorithm for Building Custom Annotation Pipelines and Annotating Batches of Genomes. Sci. Rep. 2015, 5, 8365. [Google Scholar] [CrossRef]
- Kanehisa, M.; Sato, Y.; Morishima, K. BlastKOALA and GhostKOALA: KEGG Tools for Functional Characterization of Genome and Metagenome Sequences. J. Mol. Biol. 2016, 428, 726–731. [Google Scholar] [CrossRef]
- Alcock, B.P.; Raphenya, A.R.; Lau, T.T.Y.; Tsang, K.K.; Bouchard, M.; Edalatmand, A.; Huynh, W.; Nguyen, A.-L.V.; Cheng, A.A.; Liu, S.; et al. CARD 2020: Antibiotic Resistome Surveillance with the Comprehensive Antibiotic Resistance Database. Nucleic Acids Res. 2019, 48, D517–D525. [Google Scholar] [CrossRef]
- Doster, E.; Lakin, S.M.; Dean, C.J.; Wolfe, C.; Young, J.G.; Boucher, C.; Belk, K.E.; Noyes, N.R.; Morley, P.S. MEGARes 2.0: A Database for Classification of Antimicrobial Drug, Biocide and Metal Resistance Determinants in Metagenomic Sequence Data. Nucleic Acids Res. 2020, 48, D561–D569. [Google Scholar] [CrossRef] [PubMed]
- Bonin, N.; Doster, E.; Worley, H.; Pinnell, L.J.; Bravo, J.E.; Ferm, P.; Marini, S.; Prosperi, M.; Noyes, N.; Morley, P.S.; et al. MEGARes and AMR++, v3.0: An Updated Comprehensive Database of Antimicrobial Resistance Determinants and an Improved Software Pipeline for Classification Using High-Throughput Sequencing. Nucleic Acids Res. 2023, 51, D744–D752. [Google Scholar] [CrossRef] [PubMed]
- Liu, B.; Zheng, D.; Zhou, S.; Chen, L.; Yang, J. VFDB 2022: A General Classification Scheme for Bacterial Virulence Factors. Nucleic Acids Res. 2022, 50, D912–D917. [Google Scholar] [CrossRef]
- Zheng, J.; Hu, B.; Zhang, X.; Ge, Q.; Yan, Y.; Akresi, J.; Piyush, V.; Huang, L.; Yin, Y. DbCAN-Seq Update: CAZyme Gene Clusters and Substrates in Microbiomes. Nucleic Acids Res. 2023, 51, D557–D563. [Google Scholar] [CrossRef] [PubMed]
- Takahashi, T.; Sugahara, T.; Ohsaka, A. Phospholipase C from Clostridium Perfringens: EC 3.1.4.3 Phosphatidylcholine Cholinephosphohydrolase. Methods Enzymol. 1981, 71, 710–725. [Google Scholar] [CrossRef]
- Bradford, M.M. A Rapid and Sensitive for the Quantification of Microgram Quantities of Protein Utilizing the Principle of Protein-Dye Binding. Anal. Biochem. 1976, 72, 248–254. [Google Scholar] [CrossRef]
- Hartree, E.F. Determination of Protein: A Modification of the Lowry Method That Gives a Linear Photometric Response. Anal. Biochem. 1972, 48, 422–427. [Google Scholar] [CrossRef]
- Laemmli, U.K. Cleavage of Structural Proteins during the Assembly of the Head of Bacteriophage T4. Nature 1970, 227, 680–685. [Google Scholar] [CrossRef]
- Rossignol, G.; Merieau, A.; Guerillon, J.; Veron, W.; Lesouhaitier, O.; Feuilloley, M.G.J.; Orange, N. Involvement of a Phospholipase C in the Hemolytic Activity of a Clinical Strain of Pseudomonas Fluorescens. BMC Microbiol. 2008, 8, 189. [Google Scholar] [CrossRef]
- Ikezawa, H.; Matsushita, M.; Tomita, M.; Taguchi, R. Effects of Metal Ions on Sphingomyelinase Activity of Bacillus cereus. Arch. Biochem. Biophys. 1986, 249, 588–595. [Google Scholar] [CrossRef] [PubMed]
- Durban, M.A.; Silbersack, J.; Schweder, T.; Schauer, F.; Bornscheuer, U.T. High Level Expression of a Recombinant Phospholipase C from Bacillus cereus in Bacillus Subtilis. Appl. Microbiol. Biotechnol. 2007, 74, 634–639. [Google Scholar] [CrossRef] [PubMed]
- Möllby, R.; Wadström, T. Purification of Phospholipase C (Alpha-Toxin) from Clostridium Perfringens. BBA—Enzymol. 1973, 321, 115–126. [Google Scholar] [CrossRef] [PubMed]
- Takahashi, T.; Sugahara, T.; Ohsaka, A. Purification of Clostridium Perfringens Phospholipase C (α-Toxin) by Affinity Chromatography on Agarose-Linked Egg-Yolk Lipoprotein. BBA—Protein Struct. 1974, 351, 155–171. [Google Scholar] [CrossRef] [PubMed]
- Kamberov, E.; Ivanov, A. Purification of Phospholipase-C from Bacillus cereus by Affinity Chromatography on 2-(4-Aminophenylsulphonyl)Ethyl-Cellulose. J. Chromatogr. B Biomed. Sci. Appl. 1990, 525, 307–318. [Google Scholar] [CrossRef] [PubMed]
- Ivanov, A.; Titball, R.W.; Kostadinova, S. Characterisation of a Phospholipase C Produced by Pseudomonas fluorescens. New Microbiol. 1996, 19, 113–121. [Google Scholar] [PubMed]
- Doi, O.; Nojima, S. Phospholipase C from Pseudomonas fluorescens. Biochim. Biophys. Acta (BBA)/Lipids Lipid Metab. 1971, 248, 234–244. [Google Scholar] [CrossRef]
- Stinson, M.W.; Hayden, C. Secretion of Phospholipase C by Pseudomonas aeruginosa. Infect. Immun. 1979, 25, 558–564. [Google Scholar] [CrossRef]
- Crevel, I.; Sally, U.; Carne, A.; Katan, M. Purification and Properties of Zinc-metallophospholipase C from Pseudomonas fluorescens. Eur. J. Biochem. 1994, 224, 845–852. [Google Scholar] [CrossRef]
- Coffey, A.; Rombouts, F.M.; Abee, T. Influence of Environmental Parameters on Phosphatidylcholine Phospholipase C Production in Listeria monocytogenes: A Convenient Method to Differentiate L. monocytogenes from Other Listeria Species. Appl. Environ. Microbiol. 1996, 62, 1252–1256. [Google Scholar] [CrossRef]
- Sánchez Blanco, A.; Palacios Durive, O.; Batista Pérez, S.; Díaz Montes, Z.; Pérez Guerra, N. Simultaneous Production of Amylases and Proteases by Bacillus Subtilis in Brewery Wastes. Braz. J. Microbiol. 2016, 47, 665–674. [Google Scholar] [CrossRef]
- Elleboudy, N.S.; Aboulwafa, M.M.; Hassouna, N.A.H. Phospholipase C from Pseudomonas aeruginosa and Bacillus cereus; Characterization of Catalytic Activity. Asian Pac. J. Trop. Med. 2014, 7, 860–866. [Google Scholar] [CrossRef]
- Dong, Y.H.; Gusti, A.R.; Zhang, Q.; Xu, J.L.; Zhang, L.H. Identification of Quorum-Quenching N-Acyl Homoserine Lactonases from Bacillus Species. Appl. Environ. Microbiol. 2002, 68, 1754–1759. [Google Scholar] [CrossRef]
- Slamti, L.; Perchat, S.; Huillet, E.; Lereclus, D. Quorum Sensing in Bacillus thuringiensis Is Required for Completion of a Full Infectious Cycle in the Insect. Toxins 2014, 6, 2239–2255. [Google Scholar] [CrossRef] [PubMed]
- Carroll, L.M.; Cheng, R.A.; Wiedmann, M.; Kovac, J. Keeping up with the Bacillus cereus Group: Taxonomy through the Genomics Era and Beyond. Crit. Rev. Food Sci. Nutr. 2022, 62, 7677–7702. [Google Scholar] [CrossRef] [PubMed]
- Carroll, L.M.; Wiedmann, M.; Kovac, J. Proposal of a Taxonomic Nomenclature for the Bacillus cereus Group Which Reconciles Genomic Definitions of Bacterial Species with Clinical and Industrial Phenotypes. mBio 2020, 11, e00034-20. [Google Scholar] [CrossRef] [PubMed]
- Carroll, L.M.; Kovac, J.; Miller, R.A.; Wiedmann, M. Rapid, High-Throughput Identification of Anthrax-Causing and Emetic Bacillus cereus Group Genome Assemblies via BTyper, a Computational Tool for Virulencebased Classification of Bacillus cereus Group Isolates by Using Nucleotide Sequencing Data. Appl. Environ. Microbiol. 2017, 83, e01096-17. [Google Scholar] [CrossRef] [PubMed]
- Buist, G.; Steen, A.; Kok, J.; Kuipers, O.P. LysM, a Widely Distributed Protein Motif for Binding to (Peptido)Glycans. Mol. Microbiol. 2008, 68, 838–847. [Google Scholar] [CrossRef]
- Tran, D.M.; Huynh, T.U.; Nguyen, T.H.; Do, T.O.; Nguyen, Q.V.; Nguyen, A.D. Molecular Analysis of Genes Involved in Chitin Degradation from the Chitinolytic Bacterium Bacillus Velezensis. Antonie Leeuwenhoek Int. J. Gen. Mol. Microbiol. 2022, 115, 215–231. [Google Scholar] [CrossRef] [PubMed]
- Bottone, E.J. Bacillus cereus, a Volatile Human Pathogen. Clin. Microbiol. Rev. 2010, 23, 283–298. [Google Scholar] [CrossRef]
- Thompson, M.K.; Keithly, M.E.; Harp, J.; Cook, P.D.; Jagessar, K.L.; Sulikowski, G.A.; Armstrong, R.N. Structural and Chemical Aspects of Resistance to the Antibiotic Fosfomycin Conferred by FosB from Bacillus cereus. Biochemistry 2013, 52, 7350–7362. [Google Scholar] [CrossRef]
- Fraccalvieri, R.; Bianco, A.; Difato, L.M.; Capozzi, L.; Del Sambro, L.; Simone, D.; Catanzariti, R.; Caruso, M.; Galante, D.; Normanno, G.; et al. Toxigenic Genes, Pathogenic Potential and Antimicrobial Resistance of Bacillus cereus Group Isolated from Ice Cream and Characterized by Whole Genome Sequencing. Foods 2022, 11, 2480. [Google Scholar] [CrossRef]
- Bianco, A.; Capozzi, L.; Monno, M.R.; Del Sambro, L.; Manzulli, V.; Pesole, G.; Loconsole, D.; Parisi, A. Characterization of Bacillus cereus Group Isolates from Human Bacteremia by Whole-Genome Sequencing. Front. Microbiol. 2021, 11, 599524. [Google Scholar] [CrossRef] [PubMed]
- Fiedler, G.; Schneider, C.; Igbinosa, E.O.; Kabisch, J.; Brinks, E.; Becker, B.; Stoll, D.A.; Cho, G.S.; Huch, M.; Franz, C.M.A.P. Antibiotics Resistance and Toxin Profiles of Bacillus cereus-Group Isolates from Fresh Vegetables from German Retail Markets. BMC Microbiol. 2019, 19, 250. [Google Scholar] [CrossRef] [PubMed]
- Sokolov, S.; Brovko, F.; Solonin, A.; Nikanova, D.; Fursova, K.; Artyemieva, O.; Kolodina, E.; Sorokin, A.; Shchannikova, M.; Dzhelyadin, T.; et al. Genomic Analysis and Assessment of Pathogenic (Toxicogenic) Potential of Staphylococcus haemolyticus and Bacillus paranthracis Consortia Isolated from Bovine Mastitis in Russia. Sci. Rep. 2023, 13, 18646. [Google Scholar] [CrossRef] [PubMed]
- May, J.J.; Wendrich, T.M.; Marahiel, M.A. The Dhb Operon of Bacillus Subtilis Encodes the Biosynthetic Template for the Catecholic Siderophore 2,3-Dihydroxybenzoate-Glycine-Threonine Trimeric Ester Bacillibactin. J. Biol. Chem. 2001, 276, 7209–7217. [Google Scholar] [CrossRef] [PubMed]
- Chen, X.H.; Koumoutsi, A.; Scholz, R.; Borriss, R. More than Anticipated—Production of Antibiotics and Other Secondary Metabolites by Bacillus amyloliquefaciens FZB42. J. Mol. Microbiol. Biotechnol. 2008, 16, 14–24. [Google Scholar] [CrossRef]
- Wilson, M.K.; Abergel, R.J.; Raymond, K.N.; Arceneaux, J.E.L.; Byers, B.R. Siderophores of Bacillus anthracis, Bacillus cereus, and Bacillus thuringiensis. Biochem. Biophys. Res. Commun. 2006, 348, 320–325. [Google Scholar] [CrossRef] [PubMed]
- Li, P.; Tian, W.; Jiang, Z.; Liang, Z.; Wu, X.; Du, B. Genomic Characterization and Probiotic Potency of Bacillus sp. DU-106, a Highly Effective Producer of L-Lactic Acid Isolated from Fermented Yogurt. Front. Microbiol. 2018, 9, 2216. [Google Scholar] [CrossRef]
- Jeremiah Matson, M.; Anzick, S.L.; Feldmann, F.; Martens, C.A.; Drake, S.K.; Feldmann, H.; Massaquoi, M.; Chertow, D.S.; Munster, V.J. Bacillus paranthracis Isolate from Blood of Fatal Ebola Virus Disease Case. Pathogens 2020, 9, 475. [Google Scholar] [CrossRef]
- Carroll, L.M.; Wiedmann, M.; Mukherjee, M.; Nicholas, D.C.; Mingle, L.A.; Dumas, N.B.; Cole, J.A.; Kovac, J. Characterization of Emetic and Diarrheal Bacillus cereus Strains from a 2016 Foodborne Outbreak Using Whole-Genome Sequencing: Addressing the Microbiological, Epidemiological, and Bioinformatic Challenges. Front. Microbiol. 2019, 10, 144. [Google Scholar] [CrossRef]
- Fukuda, D.; Nolasco-Hipolito, C. Draft Genome Sequence of Bacillus paranthracis Strain DB-4, Isolated from Nukadoko, Fermented Rice Bran for Japanese Pickles. Microbiol. Resour. Announc. 2021, 10, e0070521. [Google Scholar] [CrossRef]
- Carroll, L.M.; Pierneef, R.; Mathole, A.; Atanda, A.; Matle, I. Genomic Sequencing of Bacillus cereus Sensu Lato Strains Isolated from Meat and Poultry Products in South Africa Enables Inter- and Intranational Surveillance and Source Tracking. Microbiol. Spectr. 2022, 10, e0070022. [Google Scholar] [CrossRef]
- Diale, M.O.; Kayitesi, E.; Serepa-Dlamini, M.H. Genome In Silico and In Vitro Analysis of the Probiotic Properties of a Bacterial Endophyte, Bacillus paranthracis Strain MHSD3. Front. Genet. 2021, 12, 672149. [Google Scholar] [CrossRef]
- Du, X.; Jiang, Y.; Sun, Y.; Cao, X.; Zhang, Y.; Xu, Q.; Yan, H. Biodegradation of Inosine and Guanosine by Bacillus paranthracis YD01. Int. J. Mol. Sci. 2023, 24, 14462. [Google Scholar] [CrossRef]
- Titball, R.W. Bacterial Phospholipases C. Microbiol. Rev. 1993, 57, 347–366. [Google Scholar] [CrossRef]
- Saxena, R.K.; Sheoran, A.; Giri, B.; Davidson, W.S. Purification Strategies for Microbial Lipases. J. Microbiol. Methods 2003, 52, 1–18. [Google Scholar] [CrossRef] [PubMed]
- Aboulwafa, M.; Elleboudy, N.; ElKhatib, W.; Hassouna, N. Production and Characterization of Phospholipases C from Some Bacillus thuringiensis Isolates Recovered from Egyptian Soil. Int. J. Biotechnol. Wellness Ind. 2016, 5, 10–24. [Google Scholar] [CrossRef]
- Eddehech, A.; Smichi, N.; Arhab, Y.; Noiriel, A.; Abousalham, A.; Gargouri, Y.; Zarai, Z. Production, Purification and Functional Characterization of Phospholipase C from Bacillus thuringiensis with High Catalytic Activity. Process Biochem. 2019, 83, 122–130. [Google Scholar] [CrossRef]
- Han, L.L.; Shao, H.H.; Liu, Y.C.; Liu, G.; Xie, C.Y.; Cheng, X.J.; Wang, H.Y.; Tan, X.M.; Feng, H. Transcriptome Profiling Analysis Reveals Metabolic Changes across Various Growth Phases in Bacillus Pumilus BA06. BMC Microbiol. 2017, 17, 156. [Google Scholar] [CrossRef] [PubMed]
- Johansen, T.; Holm, T.; Guddal, P.H.; Sletten, K.; Haugli, F.B.; Little, C. Cloning and Sequencing of the Gene Encoding the Phosphatidylcholine-Preferring Phospholipase C of Bacillus Cereus. Gene 1988, 65, 293–304. [Google Scholar] [CrossRef] [PubMed]
- Le Moigne, V.; Rottman, M.; Goulard, C.; Barteau, B.; Poncin, I.; Soismier, N.; Canaan, S.; Pitard, B.; Gaillard, J.L.; Herrmann, J.L. Bacterial Phospholipases C as Vaccine Candidate Antigens against Cystic Fibrosis Respiratory Pathogens: The Mycobacterium Abscessus Model. Vaccine 2015, 33, 2118–2124. [Google Scholar] [CrossRef]
- De Maria, L.; Vind, J.; Oxenbøll, K.M.; Svendsen, A.; Patkar, S. Phospholipases and Their Industrial Applications. Appl. Microbiol. Biotechnol. 2007, 74, 290–300. [Google Scholar] [CrossRef] [PubMed]
- Raveendran, S.; Parameswaran, B.; Ummalyma, S.B.; Abraham, A.; Mathew, A.K.; Madhavan, A.; Rebello, S.; Pandey, A. Applications of Microbial Enzymes in Food Industry. Food Technol. Biotechnol. 2018, 56, 16–30. [Google Scholar] [CrossRef] [PubMed]








| Activity (U) | Protein (mg) | Specific Activity (U/mg) | Purification (Fold) | Yield (%) | |
|---|---|---|---|---|---|
| Supernatant | 3537.07 | 1008.64 | 3.51 | - | 100.00 |
| Ultrafiltrate | 3091.40 | 171.75 | 18.00 | 5.13 | 87.40 |
| Sephadex G75 | 1794.45 | 16.63 | 107.89 | 30.77 | 50.73 |
| HiPrep DEAE | 1244.23 | 6.52 | 190.93 | 54.45 | 35.18 |
Disclaimer/Publisher’s Note: The statements, opinions and data contained in all publications are solely those of the individual author(s) and contributor(s) and not of MDPI and/or the editor(s). MDPI and/or the editor(s) disclaim responsibility for any injury to people or property resulting from any ideas, methods, instructions or products referred to in the content. |
© 2024 by the authors. Licensee MDPI, Basel, Switzerland. This article is an open access article distributed under the terms and conditions of the Creative Commons Attribution (CC BY) license (https://creativecommons.org/licenses/by/4.0/).
Share and Cite
Baev, V.; Iliev, I.; Stefanov, Y.; Tsankova, M.; Marhova, M.; Apostolova, E.; Gozmanova, M.; Yahubyan, G.; Kostadinova, S. Exploring the Genomic Landscape of Bacillus paranthracis PUMB_17 as a Proficient Phosphatidylcholine-Specific Phospholipase C Producer. Curr. Issues Mol. Biol. 2024, 46, 2497-2513. https://doi.org/10.3390/cimb46030158
Baev V, Iliev I, Stefanov Y, Tsankova M, Marhova M, Apostolova E, Gozmanova M, Yahubyan G, Kostadinova S. Exploring the Genomic Landscape of Bacillus paranthracis PUMB_17 as a Proficient Phosphatidylcholine-Specific Phospholipase C Producer. Current Issues in Molecular Biology. 2024; 46(3):2497-2513. https://doi.org/10.3390/cimb46030158
Chicago/Turabian StyleBaev, Vesselin, Ivan Iliev, Yordan Stefanov, Marinela Tsankova, Mariana Marhova, Elena Apostolova, Mariyana Gozmanova, Galina Yahubyan, and Sonya Kostadinova. 2024. "Exploring the Genomic Landscape of Bacillus paranthracis PUMB_17 as a Proficient Phosphatidylcholine-Specific Phospholipase C Producer" Current Issues in Molecular Biology 46, no. 3: 2497-2513. https://doi.org/10.3390/cimb46030158
APA StyleBaev, V., Iliev, I., Stefanov, Y., Tsankova, M., Marhova, M., Apostolova, E., Gozmanova, M., Yahubyan, G., & Kostadinova, S. (2024). Exploring the Genomic Landscape of Bacillus paranthracis PUMB_17 as a Proficient Phosphatidylcholine-Specific Phospholipase C Producer. Current Issues in Molecular Biology, 46(3), 2497-2513. https://doi.org/10.3390/cimb46030158

