Prevalence of TERT Promoter Mutations in Orbital Solitary Fibrous Tumors
Abstract
1. Introduction
2. Materials and Methods
2.1. Ethical Approval
2.2. Study Design and Case Research
2.3. Clinical and Radiographic Analyses
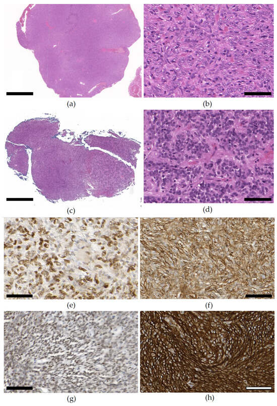
2.4. Histological Analyses and Immunohistochemistry
2.5. Analyses of Molecular Pathology
3. Results
3.1. Epidemiological and Clinical Parameters
3.2. Imaging
3.3. Surgery and Follow-Up
3.4. Pathology
4. Discussion
5. Conclusions
Supplementary Materials
Author Contributions
Funding
Institutional Review Board Statement
Informed Consent Statement
Data Availability Statement
Acknowledgments
Conflicts of Interest
References
- Schöffski, P.; Timmermans, I.; Hompes, D.; Stas, M.; Sinnaeve, F.; De Leyn, P.; Coosemans, W.; Van Raemdonck, D.; Hauben, E.; Sciot, R.; et al. Clinical Presentation, Natural History, and Therapeutic Approach in Patients with Solitary Fibrous Tumor: A Retrospective Analysis. Sarcoma 2020, 2020, 1385978. [Google Scholar] [CrossRef]
- Stout, A.P.; Murray, M.R. Hemangiopericytoma: A vascular tumor featuring zimmermann’s pericytes. Ann. Surg. 1942, 116, 26–33. [Google Scholar] [CrossRef]
- René, C.; Scollo, P.; O’Donovan, D. A review of solitary fibrous tumours of the orbit and ocular adnexa. Eye 2022, 37, 858–865. [Google Scholar] [CrossRef]
- Louis, D.N.; Perry, A.; Wesseling, P.; Brat, D.J.; Cree, I.A.; Figarella-Branger, D.; Hawkins, C.; Ng, H.K.; Pfister, S.M.; Reifenberger, G.; et al. The 2021 WHO Classification of Tumors of the Central Nervous System: A summary. Neuro Oncol. 2021, 23, 1231–1251. [Google Scholar] [CrossRef]
- Kim, J.M.; Choi, Y.-L.; Kim, Y.J.; Park, H.K. Comparison and evaluation of risk factors for meningeal, pleural, and extrapleural solitary fibrous tumors: A clinicopathological study of 92 cases confirmed by STAT6 immunohistochemical staining. Pathol. Res. Pract. 2017, 213, 619–625. [Google Scholar] [CrossRef]
- Chmielecki, J.; Crago, A.M.; Rosenberg, M.; O’Connor, R.; Walker, S.R.; Ambrogio, L.; Auclair, D.; McKenna, A.; Heinrich, M.C.; Frank, D.A.; et al. Whole-exome sequencing identifies a recurrent NAB2-STAT6 fusion in solitary fibrous tumors. Nat. Genet. 2013, 45, 131–132. [Google Scholar] [CrossRef] [PubMed]
- Robinson, D.R.; Wu, Y.-M.; Kalyana-Sundaram, S.; Cao, X.; Lonigro, R.J.; Sung, Y.-S.; Chen, C.-L.; Zhang, L.; Wang, R.; Su, F.; et al. Identification of recurrent NAB2-STAT6 gene fusions in solitary fibrous tumor by integrative sequencing. Nat. Genet. 2013, 45, 180–185. [Google Scholar] [CrossRef]
- Vogels, R.; Macagno, N.; Griewank, K.; Groenen, P.; Verdijk, M.; Fonville, J.; Kusters, B.; Bouvier, C.; Cornu, P.; Dufour, H.; et al. Prognostic significance of NAB2–STAT6 fusion variants and TERT promotor mutations in solitary fibrous tumors/hemangiopericytomas of the CNS: Not (yet) clear. Acta Neuropathol. 2019, 137, 679–682. [Google Scholar] [CrossRef] [PubMed]
- Park, Y.S.; Kim, H.S.; Kim, J.H.; Choi, S.H.; Kim, D.S.; Ryoo, Z.Y.; Kim, J.Y.; Lee, S. NAB2-STAT6 fusion protein mediates cell proliferation and oncogenic progression via EGR-1 regulation. Biochem. Biophys. Res. Commun. 2020, 526, 287–292. [Google Scholar] [CrossRef] [PubMed]
- Bieg, M.; Moskalev, E.A.; Will, R.; Hebele, S.; Schwarzbach, M.; Schmeck, S.; Hohenberger, P.; Jakob, J.; Kasper, B.; Gaiser, T.; et al. Gene Expression in Solitary Fibrous Tumors (SFTs) Correlates with Anatomic Localization and NAB2-STAT6 Gene Fusion Variants. Am. J. Pathol. 2021, 191, 602–617. [Google Scholar] [CrossRef] [PubMed]
- Westra, W.H.; Gerald, W.L.; Rosai, J. Solitary fibrous tumor. Consistent CD34 immunoreactivity and occurrence in the orbit. Am. J. Surg. Pathol. 1994, 18, 992–998. [Google Scholar] [CrossRef]
- Doyle, L.A.; Vivero, M.; Fletcher, C.D.M.; Mertens, F.; Hornick, J.L. Nuclear expression of STAT6 distinguishes solitary fibrous tumor from histologic mimics. Mod. Pathol. 2014, 27, 390–395. [Google Scholar] [CrossRef]
- Choi, J.H.; Ro, J.Y. The 2020 WHO Classification of Tumors of Bone: An Updated Review. Adv. Anat. Pathol. 2021, 28, 119–138. [Google Scholar] [CrossRef] [PubMed]
- Goldsmith, J.D.; van de Rijn, M.; Syed, N. Orbital hemangiopericytoma and solitary fibrous tumor: A morphologic continuum. Int. J. Surg. Pathol. 2001, 9, 295–302. [Google Scholar] [CrossRef] [PubMed]
- Goto, H.; Yamakawa, N.; Komatsu, H.; Asakage, M.; Tsubota, K.; Ueda, S.I.; Nemoto, R.; Umazume, K.; Usui, Y.; Mori, H. Clinico-epidemiological analysis of 1000 cases of orbital tumors. Jpn. J. Ophthalmol. 2021, 65, 704–723. [Google Scholar] [CrossRef]
- Thompson, L.D.R.; Liou, S.S.; Feldman, K.A. Orbit Solitary Fibrous Tumor: A Proposed Risk Prediction Model Based on a Case Series and Comprehensive Literature Review. Head Neck Pathol. 2021, 15, 138–152. [Google Scholar] [CrossRef]
- Ro, S.R.; Asbach, P.; Siebert, E.; Bertelmann, E.; Hamm, B.; Erb-Eigner, K. Characterization of orbital masses by multiparametric MRI. Eur. J. Radiol. 2016, 85, 324–336. [Google Scholar] [CrossRef]
- Bernardini, F.P.; de Conciliis, C.; Schneider, S.; Kersten, R.C.; Kulwin, D.R. Solitary fibrous tumor of the orbit: Is it rare? Report of a case series and review of the literature. Ophthalmology 2003, 110, 1442–1448. [Google Scholar] [CrossRef]
- Bertelmann, E.; Erb, K.; Mai, C.; Khan, M. Maligne Neoplasien der Orbita. Klin. Monbl. Augenheilkd. 2012, 229, e15–e31. [Google Scholar]
- Yang, P.; Liu, H.-C.; Qiu, E.; Wang, W.; Zhang, J.-L.; Jiang, L.-B.; Liu, H.-G.; Kang, J. Factors for postoperative recurrence of orbital solitary fibrous tumor: An analysis of long-term clinical follow-up results from a Chinese tertiary hospital. BMC Ophthalmol. 2021, 21, 61. [Google Scholar] [CrossRef]
- de Bernardi, A.; Dufresne, A.; Mishellany, F.; Blay, J.Y.; Ray-Coquard, I.; Brahmi, M. Novel Therapeutic Options for Solitary Fibrous Tumor: Antiangiogenic Therapy and Beyond. Cancers 2022, 14, 1064. [Google Scholar] [CrossRef] [PubMed]
- Jackson, C.H.; Hunt, B.C.; Harris, G.J. Fate and Management of Incompletely Excised Solitary Fibrous Tumor of the Orbit: A Case Series and Literature Review. Ophthalmic Plast. Reconstr. Surg. 2021, 37, 108–117. [Google Scholar] [CrossRef]
- Brum, M.; Nzwalo, H.; Oliveira, E.; Pelejão, M.R.; Pereira, P.; Farias, J.P.; Pimentel, J. Solitary Fibrous Tumors of the Orbit and Central Nervous System: A Case Series Analysis. Asian J. Neurosurg. 2018, 13, 336–340. [Google Scholar] [CrossRef] [PubMed]
- Demicco, E.G.; Wagner, M.J.; Maki, R.G.; Gupta, V.; Iofin, I.; Lazar, A.J.; Wang, W.-L. Risk assessment in solitary fibrous tumors: Validation and refinement of a risk stratification model. Mod. Pathol. 2017, 30, 1433–1442. [Google Scholar] [CrossRef] [PubMed]
- Salas, S.; Resseguier, N.; Blay, J.Y.; Le Cesne, A.; Italiano, A.; Chevreau, C.; Rosset, P.; Isambert, N.; Soulie, P.; Cupissol, D.; et al. Prediction of local and metastatic recurrence in solitary fibrous tumor: Construction of a risk calculator in a multicenter cohort from the French Sarcoma Group (FSG) database. Ann. Oncol. 2017, 28, 1979–1987. [Google Scholar] [CrossRef] [PubMed]
- Pasquali, S.; Gronchi, A.; Strauss, D.; Bonvalot, S.; Jeys, L.; Stacchiotti, S.; Hayes, A.; Honore, C.; Collini, P.; Renne, S.L.; et al. Resectable extra-pleural and extra-meningeal solitary fibrous tumours: A multi-centre prognostic study. Eur. J. Surg. Oncol. 2016, 42, 1064–1070. [Google Scholar] [CrossRef] [PubMed]
- Georgiesh, T.; Namløs, H.M.; Sharma, N.; Lorenz, S.; Myklebost, O.; Bjerkehagen, B.; Meza-Zepeda, L.A.; Boye, K. Clinical and molecular implications of NAB2-STAT6 fusion variants in solitary fibrous tumour. Pathology 2021, 53, 713–719. [Google Scholar] [CrossRef] [PubMed]
- Akaike, K.; Kurisaki-Arakawa, A.; Hara, K.; Suehara, Y.; Takagi, T.; Mitani, K.; Kaneko, K.; Yao, T.; Saito, T. Distinct clinicopathological features of NAB2-STAT6 fusion gene variants in solitary fibrous tumor with emphasis on the acquisition of highly malignant potential. Hum. Pathol. 2015, 46, 347–356. [Google Scholar] [CrossRef]
- Barthelmeß, S.; Geddert, H.; Boltze, C.; Moskalev, E.A.; Bieg, M.; Sirbu, H.; Brors, B.; Wiemann, S.; Hartmann, A.; Agaimy, A.; et al. Solitary Fibrous Tumors/Hemangiopericytomas with Different Variants of the NAB2-STAT6 Gene Fusion Are Characterized by Specific Histomorphology and Distinct Clinicopathological Features. Am. J. Pathol. 2014, 184, 1209–1218. [Google Scholar] [CrossRef]
- Liu, T.; Yuan, X.; Xu, D. Cancer-Specific Telomerase Reverse Transcriptase (TERT) Promoter Mutations: Biological and Clinical Implications. Genes 2016, 7, 38. [Google Scholar] [CrossRef]
- Bahrami, A.; Lee, S.; Schaefer, I.M.; Boland, J.M.; Patton, K.T.; Pounds, S.; Fletcher, C.D. TERT promoter mutations and prognosis in solitary fibrous tumor. Mod. Pathol. 2016, 29, 1511–1522. [Google Scholar] [CrossRef]
- Patel, B.; Taiwo, R.; Kim, A.H.; Dunn, G.P. TERT, a promoter of CNS malignancies. Neurooncol. Adv. 2020, 2, vdaa025. [Google Scholar] [CrossRef] [PubMed]
- Greider, C.W.; Blackburn, E.H. Identification of a specific telomere terminal transferase activity in Tetrahymena extracts. Cell 1985, 43, 405–413. [Google Scholar] [CrossRef] [PubMed]
- Chiba, K.; Johnson, J.Z.; Vogan, J.M.; Wagner, T.; Boyle, J.M.; Hockemeyer, D. Cancer-associated TERT promoter mutations abrogate telomerase silencing. eLife 2015, 4, e07918. [Google Scholar] [CrossRef] [PubMed]
- Bell, R.J.; Rube, H.T.; Xavier-Magalhães, A.; Costa, B.M.; Mancini, A.; Song, J.S.; Costello, J.F. Understanding TERT Promoter Mutations: A Common Path to Immortality. Mol. Cancer Res. 2016, 14, 315–323. [Google Scholar] [CrossRef] [PubMed]
- Hasanau, T.; Pisarev, E.; Kisil, O.; Nonoguchi, N.; Le Calvez-Kelm, F.; Zvereva, M. Detection of TERT Promoter Mutations as a Prognostic Biomarker in Gliomas: Methodology, Prospects, and Advances. Biomedicines 2022, 10, 728. [Google Scholar] [CrossRef] [PubMed]
- Huang, F.W.; Hodis, E.; Xu, M.J.; Kryukov, G.V.; Chin, L.; Garraway, L.A. Highly recurrent TERT promoter mutations in human melanoma. Science 2013, 339, 957–959. [Google Scholar] [CrossRef] [PubMed]
- Horn, S.; Figl, A.; Rachakonda, P.S.; Fischer, C.; Sucker, A.; Gast, A.; Kadel, S.; Moll, I.; Nagore, E.; Hemminki, K.; et al. TERT promoter mutations in familial and sporadic melanoma. Science 2013, 339, 959–961. [Google Scholar] [CrossRef]
- Bell, R.J.; Rube, H.T.; Kreig, A.; Mancini, A.; Fouse, S.D.; Nagarajan, R.P.; Choi, S.; Hong, C.; He, D.; Pekmezci, M.; et al. Cancer. The transcription factor GABP selectively binds and activates the mutant TERT promoter in cancer. Science 2015, 348, 1036–1039. [Google Scholar] [CrossRef]
- Yuan, X.; Dai, M.; Xu, D. TERT promoter mutations and GABP transcription factors in carcinogenesis: More foes than friends. Cancer Lett 2020, 493, 1–9. [Google Scholar] [CrossRef]
- Koelsche, C.; Sahm, F.; Capper, D.; Reuss, D.; Sturm, D.; Jones, D.T.; Kool, M.; Northcott, P.A.; Wiestler, B.; Böhmer, K.; et al. Distribution of TERT promoter mutations in pediatric and adult tumors of the nervous system. Acta Neuropathol. 2013, 126, 907–915. [Google Scholar] [CrossRef]
- Le, C.P.; Jones, S.; Valenzuela, A.A. Orbital solitary fibrous tumor: A case series with review of the literature. Orbit 2014, 33, 145–151. [Google Scholar] [CrossRef] [PubMed]
- Masuno, R.; Yunaiyama, D.; Shishido-Hara, Y.; Yoshimaru, D.; Maruyama, C.; Araki, Y.; Goto, H.; Nagao, T.; Saito, K. Magnetic Resonance Imaging of Orbital Solitary Fibrous Tumors: Radiological-Pathological Correlation Analysis. J. Belg. Soc. Radiol. 2021, 105, 14. [Google Scholar] [CrossRef] [PubMed]
- Yang, B.T.; Wang, Y.Z.; Dong, J.Y.; Wang, X.Y.; Wang, Z.C. MRI study of solitary fibrous tumor in the orbit. AJR Am. J. Roentgenol. 2012, 199, W506–W511. [Google Scholar] [CrossRef] [PubMed]
- Smith, R.C.; Lange, R.C.; McCarthy, S.M. Chemical shift artifact: Dependence on shape and orientation of the lipid-water interface. Radiology 1991, 181, 225–229. [Google Scholar] [CrossRef] [PubMed][Green Version]
- Saifuddin, A.; Siddiqui, S.; Pressney, I.; Khoo, M. The incidence and diagnostic relevance of chemical shift artefact in the magnetic resonance imaging characterisation of superficial soft tissue masses. Br. J. Radiol. 2020, 93, 20190828. [Google Scholar] [CrossRef] [PubMed]
- Huang, Z.; Dai, D.; Tang, G. Rare magnetic resonance imaging findings of intracranial solitary fibrous tumor: A case report. Medicine 2022, 101, e31355. [Google Scholar] [CrossRef]
- Macagno, N.; Figarella-Branger, D.; Mokthari, K.; Metellus, P.; Jouvet, A.; Vasiljevic, A.; Loundou, A.; Bouvier, C. Differential Diagnosis of Meningeal SFT-HPC and Meningioma: Which Immunohistochemical Markers Should Be Used? Am. J. Surg. Pathol. 2016, 40, 270–278. [Google Scholar] [CrossRef] [PubMed]
- Liu, X.; Deng, J.; Sun, Q.; Xue, C.; Li, S.; Zhou, Q.; Huang, X.; Liu, H.; Zhou, J. Differentiation of intracranial solitary fibrous tumor/hemangiopericytoma from atypical meningioma using apparent diffusion coefficient histogram analysis. Neurosurg. Rev. 2022, 45, 2449–2456. [Google Scholar] [CrossRef]
- Chan, J.K. Solitary fibrous tumour--everywhere, and a diagnosis in vogue. Histopathology 1997, 31, 568–576. [Google Scholar] [CrossRef]
- Augsburger, D.; Nelson, P.J.; Kalinski, T.; Udelnow, A.; Knösel, T.; Hofstetter, M.; Qin, J.W.; Wang, Y.; Gupta, A.S.; Bonifatius, S.; et al. Current diagnostics and treatment of fibrosarcoma -perspectives for future therapeutic targets and strategies. Oncotarget 2017, 8, 104638–104653. [Google Scholar] [CrossRef] [PubMed]
- Demicco, E.G.; Wani, K.; Ingram, D.; Wagner, M.; Maki, R.G.; Rizzo, A.; Meeker, A.; Lazar, A.J.; Wang, W.L. TERT promoter mutations in solitary fibrous tumour. Histopathology 2018, 73, 843–851. [Google Scholar] [CrossRef] [PubMed]
- Koelsche, C.; Renner, M.; Hartmann, W.; Brandt, R.; Lehner, B.; Waldburger, N.; Alldinger, I.; Schmitt, T.; Egerer, G.; Penzel, R.; et al. TERT promoter hotspot mutations are recurrent in myxoid liposarcomas but rare in other soft tissue sarcoma entities. J. Exp. Clin. Cancer Res. 2014, 33, 33. [Google Scholar] [CrossRef] [PubMed]
- Park, H.K.; Yu, D.B.; Sung, M.; Oh, E.; Kim, M.; Song, J.Y.; Lee, M.S.; Jung, K.; Noh, K.W.; An, S.; et al. Molecular changes in solitary fibrous tumor progression. J. Mol. Med. 2019, 97, 1413–1425. [Google Scholar] [CrossRef] [PubMed]
- Lee, D.D.; Komosa, M.; Nunes, N.M.; Tabori, U. DNA methylation of the TERT promoter and its impact on human cancer. Curr. Opin. Genet. Dev. 2020, 60, 17–24. [Google Scholar] [CrossRef]
- Lee, D.D.; Leão, R.; Komosa, M.; Gallo, M.; Zhang, C.H.; Lipman, T.; Remke, M.; Heidari, A.; Nunes, N.M.; Apolónio, J.D.; et al. DNA hypermethylation within TERT promoter upregulates TERT expression in cancer. J. Clin. Investig. 2019, 129, 223–229. [Google Scholar] [CrossRef]
- Georgiesh, T.; Aggerholm-Pedersen, N.; Schöffski, P.; Zhang, Y.; Napolitano, A.; Bovée, J.V.M.G.; Hjelle, Å.; Tang, G.; Spalek, M.; Nannini, M.; et al. Validation of a novel risk score to predict early and late recurrence in solitary fibrous tumour. Br. J. Cancer 2022, 127, 1793–1798. [Google Scholar] [CrossRef]
- Georgiesh, T.; Boye, K.; Bjerkehagen, B. A novel risk score to predict early and late recurrence in solitary fibrous tumour. Histopathology 2020, 77, 123–132. [Google Scholar] [CrossRef]





| Patient No. | Age at Initial Presentation | Gender | Symptoms | cc BCVA | IOP | Ophthalmological History |
|---|---|---|---|---|---|---|
| 1 | 78 | Female | Painless proptosis | 0.6 | 17 | None |
| 2 | 33 | Female | Painless proptosis | 0.9 | 21 | None |
| 3 | 74 | Female | Painful proptosis with visual alteration | 0.6 | NA | Mature cataract, rubeosis iridis, post ulcerative keratitis |
| 4 | 42 | Male | Painless swelling close to the lacrimal gland | 1.25 | 18 | None |
| 5 | 38 | Male | Painless proptosis | 1 | 20 | None |
| 6 | 83 | Male | Painless proptosis; diplopia in extreme gaze to the right | 0.4 | 20 | Cataract |
| 7 | 23 | Male | Painless swelling of the upper lid | 1 | 12 | None |
| 8 | 78 | Female | Painless swelling at the medial canthus | 0.5 | 13 | Post selective laser trabeculoplasty (SLT), post Trabectome PEX glaucoma |
| 9 | 46 | Male | Painless swelling of the medial upper lid | 1.0 | 18 | None |
| Patient N° | CT Native ″ | T1 Native (SI) ″ | T2 (SI) ″ | CSA * | ADC ^ | T1 CE | Morphology |
|---|---|---|---|---|---|---|---|
| 1 | n.a. | Hypointense | Intermediate | + | No reduction | Homogeneous | Vessels, well circumscribed, no compression |
| 2 | Hyperdense | Hypointense | Intermediate | + | Artifact | Homogeneous | Vessels, well circumscribed, compression signs |
| 3 | n.a. | Hypointense | Hypointense | − | - | Homogeneous | Vessels, well circumscribed, no compression |
| 4 | Hyperdense | Hypointense | Hyperintense | − | - | Homogeneous | No vessels, well circumscribed, infiltration in parasinuses |
| 5 | Hyperdense | Hypointense | Intermediate | − | Reduction | Homogeneous | Vessels, well circumscribed, compression signs |
| 6 | n.a. | Hypointense | Hypointense | − | Reduction | Inhomogeneous | Vessels, well circumscribed, no compression |
| 7 | Hyperdense | Hypointense | Intermediate | − | Reduction | Inhomogeneous | Few vessels, inhomogeneous intratumoral lesions, compression signs, suspicion of osseous infiltration |
| 8 | Hyperdense | Hypointense | Intermediate | + | Artifact | Homogeneous | Vessels, well circumscribed, no compression |
| 9 | Hyperdense | Hypointense | Intermediate | − | Reduction | Inhomogeneous | No vessels, well circumscribed, inhomogeneous, no compression |
| Patient N° | Age at Initial Presentation | Surgical Procedure | Eye Preservation | Overall Survival (Months) | Longest Survival w/o Progress (Months) |
|---|---|---|---|---|---|
| A | 78 | Swinging eyelid, medial orbitotomy | Yes | 42.5 | - |
| B | 33 | Excisional biopsy, incomplete resection via pterional approach Anterior orbitotomy with enucleation and tumor dissection | No | 91 | 89 |
| C | 74 | Pterional craniotomy and orbitotomy, lateral orbitotomy, excisional biopsy | Yes (but recommendation for exenteration) | 198 | 198 |
| D | 42 | Lateral orbitotomy, lateral tarsal strip with symblepharolysis after cicatricial ectropion | Yes | 43.5 | Not available |
| E | 39 | Lateral orbitotomy, lateral tarsal strip and symblepharolysis after cicatricial ectropion | Yes | 54.5 | Not available |
| F | 83 | Lateral orbitotomy, lateral orbitotomy, lateral orbitotomy | Yes | 82.5 | 36 |
| G | 23 | Transcutaneous resection, lateral orbitotomy | Yes | 99 | 68 |
| H | 78 | Local excision of medial canthus, second resection of medial canthus with lateral rhinotomy and reconstruction of the medial orbital wall, symblepharolysis with amniotic membrane transplantation, navigation-device-assisted parasinus revision surgery (06/2013), tumor resection of the medial canthus with reconstruction of the medial canthus with free dermal graft, resection of an infrabulbar relapsing tumor, tumor resection, revision surgery of the orbit and parasinuses due to locally uncontrolled tumor growth, orbital exenteration and hemimaxillectomy, hemimaxillectomy due to local recurrence, repetitive tumor debulking surgery (anterior septum, nasal bridge), tumor debulking (left parasinuses and orbital bone), tumor debulking surgery (maxilla and parasinuses), tumor debulking of the parasinuses, left orofacial region and paramedian region. | No | 153.5 | 11 |
| I | 46 | Lateral orbitotomy, excisional biopsy, lateral orbitotomy | Yes | 132 | 132 |
| Patient N° | Diameter in mm | Necrosis | Resection Status | Number of Mitotic Figures Per mm2 (per 10 HPF *) | Risk for Metastasis Demicco et al. [24] | Risk for Recurrence Thompson et al. [16] |
|---|---|---|---|---|---|---|
| A | 12 | No | R0 | <1, (1, 5) | Low | Low |
| B | 39 | No | R1 | <1, (1) | Low | Intermediate |
| C | Min. 50 | No | Not available | 3, (13) | Intermediate | Intermediate |
| D | 20 | No | R1 | <1, (3) | Low | Low |
| E | 32 | No | R1 | 0 | Low | Intermediate |
| F | Min. 35 | No | Not available | <1, (1) | Low | Intermediate |
| G | Min. 20 | No | Not available | <1, (2) | Low | Low |
| H | Min. 180 (Pos 1–7) | No | R1 | <1, 3 | Intermediate | Intermediate |
| I | Min. 13 | No | Not available | 5, (18) | Low | High |
| Patient N° | CD34 | STAT6 | Ki-67 Index (%) | CD99 |
|---|---|---|---|---|
| A | +++ | ++ | 3 | + |
| B | +++ | + | 5 | + |
| C | +++ | +++ | 25 | + |
| D | +++ | +++ | 1 | + |
| E | +++ | +++ | 4 | + |
| F | +++ | + | 10 | ++ |
| G | − | + | 30 | − |
| H | +++ | + | 20 | +++ |
| I | +++ | + | 20 | ++ |
| Patient N° | Eye Preservation | Local Recurrence | NAB2-STAT6 Fusion Variant | TERT Promoter Mutation |
|---|---|---|---|---|
| A | Yes | Yes | NAB2ex3::STAT6ex19 | WT |
| B | No | Yes | NAB2ex6::STAT6ex17 | WT |
| C | Yes (but exenteration recommended) | Yes | NAB2ex4::STAT6ex2 | WT |
| D | Yes | No | NAB2ex3::STAT6ex19 | WT |
| E | Yes | No | NAB2ex2::STAT6ex2 | WT |
| F | Yes | Yes | NAB2ex6::STAT6ex17 | WT |
| G | Yes | Yes | NAB2ex4::STAT6ex4 | WT |
| H | No | Yes | NAB2ex3::STAT6ex19 | C250T |
| H (+11 months) | NAB2ex3::STAT6ex19 | C250T | ||
| H (+8 years, 9 months) | NAB2ex3::STAT6ex19 | C250T | ||
| I | Yes | Yes | Not Available | WT |
Disclaimer/Publisher’s Note: The statements, opinions and data contained in all publications are solely those of the individual author(s) and contributor(s) and not of MDPI and/or the editor(s). MDPI and/or the editor(s) disclaim responsibility for any injury to people or property resulting from any ideas, methods, instructions or products referred to in the content. |
© 2024 by the authors. Licensee MDPI, Basel, Switzerland. This article is an open access article distributed under the terms and conditions of the Creative Commons Attribution (CC BY) license (https://creativecommons.org/licenses/by/4.0/).
Share and Cite
Koca, D.S.; Kolpakov, V.; Ihlow, J.; von Laffert, M.; Erb-Eigner, K.; Herbst, H.; Kriese, K.; Schweizer, L.; Bertelmann, E. Prevalence of TERT Promoter Mutations in Orbital Solitary Fibrous Tumors. Curr. Issues Mol. Biol. 2024, 46, 1467-1484. https://doi.org/10.3390/cimb46020095
Koca DS, Kolpakov V, Ihlow J, von Laffert M, Erb-Eigner K, Herbst H, Kriese K, Schweizer L, Bertelmann E. Prevalence of TERT Promoter Mutations in Orbital Solitary Fibrous Tumors. Current Issues in Molecular Biology. 2024; 46(2):1467-1484. https://doi.org/10.3390/cimb46020095
Chicago/Turabian StyleKoca, David Sinan, Vladimir Kolpakov, Jana Ihlow, Maximilian von Laffert, Katharina Erb-Eigner, Hermann Herbst, Karen Kriese, Leonille Schweizer, and Eckart Bertelmann. 2024. "Prevalence of TERT Promoter Mutations in Orbital Solitary Fibrous Tumors" Current Issues in Molecular Biology 46, no. 2: 1467-1484. https://doi.org/10.3390/cimb46020095
APA StyleKoca, D. S., Kolpakov, V., Ihlow, J., von Laffert, M., Erb-Eigner, K., Herbst, H., Kriese, K., Schweizer, L., & Bertelmann, E. (2024). Prevalence of TERT Promoter Mutations in Orbital Solitary Fibrous Tumors. Current Issues in Molecular Biology, 46(2), 1467-1484. https://doi.org/10.3390/cimb46020095

