Identifying the Carcinogenic Mechanism of Malignant Struma Ovarii Using Whole-Exome Sequencing and DNA Methylation Analysis
Abstract
1. Introduction
2. Materials and Methods
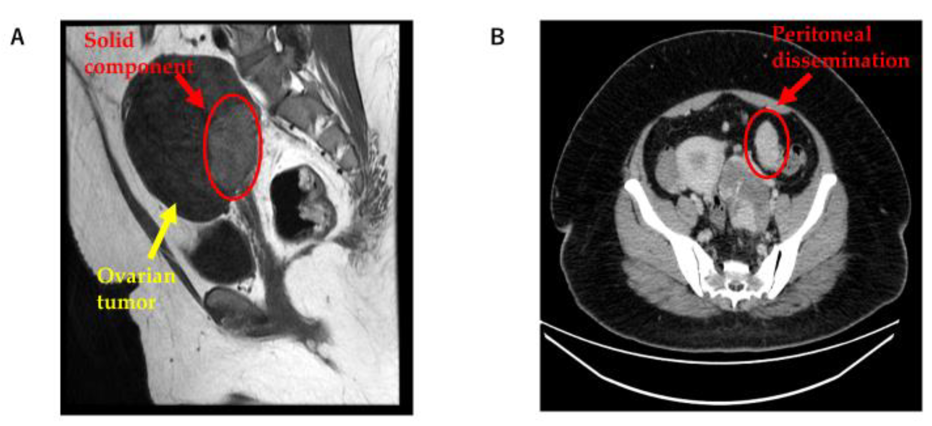
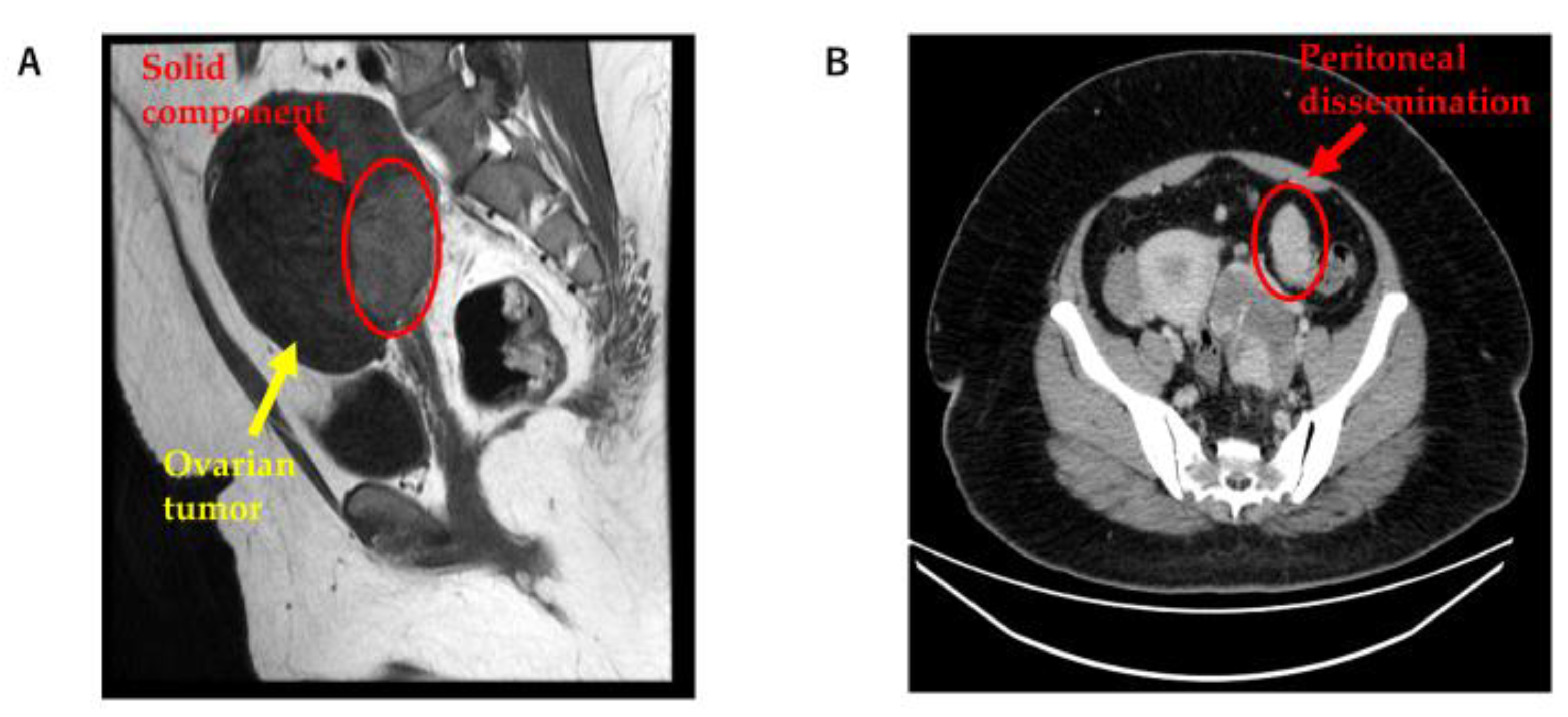
3. Results
4. Discussion
5. Conclusions
Author Contributions
Funding
Institutional Review Board Statement
Informed Consent Statement
Data Availability Statement
Conflicts of Interest
Additional Information
References
- Roth, L.M.; Talerman, A. The Enigma of struma ovarii. Pathology 2007, 39, 139–146. [Google Scholar] [CrossRef] [PubMed]
- Volpi, E.; Ferrero, A.; Nasi, P.G.; Sismondi, P. Malignant struma ovarii: A case report of laparoscopic management. Gynecol. Oncol. 2003, 90, 191–194. [Google Scholar] [CrossRef] [PubMed]
- Dardik, R.B.; Dardik, M.; Westra, W.; Montz, F.J. Malignant struma ovarii: Two case reports and a review of the literature. Gynecol. Oncol. 1999, 73, 447–451. [Google Scholar] [CrossRef] [PubMed]
- Goffredo, P.; Sawka, A.M.; Pura, J.; Adam, M.A.; Roman, S.A.; Sosa, J.A. Malignant struma ovarii: A population-level analysis of a large series of 68 patients. Thyroid 2015, 25, 211–215. [Google Scholar] [CrossRef] [PubMed]
- Genetic Analysis of Cancer. Available online: https://www.mesw.co.jp/solution/itsolution/plessision.html (accessed on 17 February 2023).
- Saotome, K.; Chiyoda, T.; Aimono, E.; Nakamura, K.; Tanishima, S.; Nohara, S.; Okada, C.; Hayashi, H.; Kuroda, Y.; Nomura, H.; et al. Clinical implications of next-generation sequencing-based panel tests for malignant ovarian tumors. Cancer Med. 2020, 9, 7407–7417. [Google Scholar] [CrossRef]
- Matsuda, K.; Maehama, T.; Kanazawa, K. Malignant struma ovarii with thyrotoxicosis. Gynecol. Oncol. 2001, 82, 575–577. [Google Scholar] [CrossRef]
- Moran, S.; Arribas, C.; Esteller, M. Validation of a DNA methylation microarray for 850,000 CpG sites of the human genome enriched in enhancer sequences. Epigenomics 2016, 8, 389–399. [Google Scholar] [CrossRef]
- Wang, J.; Li, Z.; Wang, X.; Ding, Y.; Li, N. The tumor suppressive effect of long non-coding RNA FRMD6-AS2 in uteri corpus endometrial carcinoma. Life Sci. 2020, 243, 117254. [Google Scholar] [CrossRef]
- Liu, Y.; Kim, H.G.; Dong, E.; Dong, C.; Huang, M.; Liu, Y.; Liangpunsakul, S.; Dong, X.C. Sesn3 deficiency promotes carcinogen-induced hepatocellular carcinoma via regulation of the hedgehog pathyway. Biochim. Biophys. Acta Mol. Basis Dis. 2019, 1865, 2685–2693. [Google Scholar] [CrossRef]
- Wang, X.; Li, T.; Cheng, Y.; Wang, P.; Yuan, W.; Liu, Q.; Yang, F.; Liu, Q.; Ma, D.; Ding, S.; et al. CYTL1 inhibits tumor metastasis with decreasing STAT3 phosphorylation. Oncoimmunology 2019, 8, e1577126. [Google Scholar] [CrossRef]
- Zhu, Y.M.; Chen, P.; Shi, L.; Zhu, T.; Chen, X. MiR-4429 suppresses the malignant development of ovarian cancer by targeting YOD1. Eur. Rev. Med. Pharmacol. Sci. 2020, 24, 8722–8730. [Google Scholar] [PubMed]
- Shen, J.; Song, R.; Ye, Y.; Wu, X.; Chow, W.H.; Zhao, H. HIF3A DNA methylation, obesity and weight gain, and breast cancer risk among Mexican American women. Obes. Res. Clin. Pract. 2020, 14, 548–553. [Google Scholar] [CrossRef] [PubMed]
- Kong, X.; Wang, J.S.; Yang, H. Upregulation of lncRNA DARS-AS1 accelerates tumor malignancy in cervical cancer by activating cGMP-PKG pathway. J. Biochem. Mol. Toxicol. 2021, 35, 1–11. [Google Scholar] [CrossRef] [PubMed]
- Makani, S.; Kim, W.; Gaba, A.R. Struma ovarii with a focus of papillary thyroid cancer: A case report and review of the literature. Gynecol. Oncol. 2004, 94, 835–839. [Google Scholar] [CrossRef]
- Ayhan, S.; Kilic, F.; Ersak, B.; Aytekin, O.; Akar, S.; Turkmen, O.; Akgul, G.; Toyran, A.; Turan, T.; Kimyon Comert, G. Malignant struma ovarii: From case to analysis. J. Obstet. Gynaecol. Res. 2021, 47, 3339–3351. [Google Scholar] [CrossRef]
- Li, S.; Yang, T.; Xiang, Y.; Li, X.; Zhang, L.; Deng, S. Clinical characteristics and survival outcomes of malignant struma ovarii confined to the ovary. BMC Cancer 2021, 21, 383. [Google Scholar] [CrossRef]
- Shaco-Levy, R.; Bean, S.M.; Bentley, R.C.; Robboy, S.J. Natural history of biologically malignant struma ovarii: Analysis of 27 cases with extraovarian spread. Int. J. Gynecol. Pathol. 2010, 29, 212–227. [Google Scholar] [CrossRef]
- Ukita, M.; Nakai, H.; Kotani, Y.; Tobiume, T.; Koike, E.; Tsuji, I.; Suzuki, A.; Mandai, M. Long-term survival in metastatic malignant struma ovarii treated with oral chemotherapy: A case report. Oncol. Lett. 2014, 8, 2458–2462. [Google Scholar] [CrossRef]
- Passler, C.; Scheuba, C.; Prager, G.; Kaczirek, K.; Kaserer, K.; Zettinig, G.; Niederle, B. Prognostic factors of papillary and follicular thyroid cancer: Differences in an iodine-replete endemic goiter region. Endocr. Relat. Cancer 2004, 11, 131–139. [Google Scholar] [CrossRef]
- Cancer Genome Atlas Research Network. Integrated genomic characterization of papillary thyroid carcinoma. Cell 2014, 159, 676–690. [Google Scholar] [CrossRef]
- Kimura, E.T.; Nikiforova, M.N.; Zhu, Z.; Knauf, J.A.; Nikiforov, Y.E.; Fagin, J.A. High prevalence of BRAF mutations in thyroid cancer: Genetic evidence for constitutive activation of the RET/PTC-RAS-BRAF signaling pathway in papillary thyroid carcinoma. Cancer Res. 2003, 63, 1454–1457. [Google Scholar] [PubMed]
- Romei, C.; Elisei, R. RET/PTC Translocations and Clinico-Pathological Features in Human Papillary Thyroid Carcinoma. Front. Endocrinol. 2012, 3, 54. [Google Scholar] [CrossRef] [PubMed]
- Coyne, C.; Nikiforov, Y.E. RAS mutation-positive follicular variant of papillary thyroid carcinoma arising in a struma ovarii. Endocr. Pathol. 2010, 21, 144–147. [Google Scholar] [CrossRef] [PubMed]
- Melillo, R.M.; Castellone, M.D.; Guarino, V.; De Falco, V.; Cirafici, A.M.; Salvatore, G.; Caiazzo, F.; Basolo, F.; Giannini, R.; Kruhoffer, M.; et al. The RET/PTC-RAS-BRAF linear signaling cascade mediates the motile and mitogenic phenotype of thyroid cancer cells. J. Clin. Investig. 2005, 115, 1068–1081. [Google Scholar] [CrossRef]
- Gianoukakis, A.G.; Giannelli, S.M.; Salameh, W.A.; McPhaul, L.W. Well differentiated follicular thyroid neoplasia: Impact of molecular and technological advances on detection, monitoring and treatment. Mol. Cell. Endocrinol. 2011, 332, 9–20. [Google Scholar] [CrossRef]
- Boutross-Tadross, O.; Saleh, R.; Asa, S.L. Follicular variant papillary thyroid carcinoma arising in struma ovarii. Endocr. Pathol. 2007, 18, 182–186. [Google Scholar] [CrossRef]
- Schmidt, J.; Derr, V.; Heinrich, M.C.; Crum, C.P.; Fletcher, J.A.; Corless, C.L.; Nosé, V. BRAF in papillary thyroid carcinoma of ovary (struma ovarii). Am. J. Surg. Pathol. 2007, 31, 1337–1343. [Google Scholar] [CrossRef]
- Stanojevic, B.; Dzodic, R.; Saenko, V.; Milovanovic, Z.; Krstevski, V.; Radlovic, P.; Buta, M.; Rulic, B.; Todorovic, L.; Dimitrijevic, B.; et al. Unilateral follicular variant of papillary thyroid carcinoma with unique KRAS mutation in struma ovarii in bilateral ovarian teratoma: A rare case report. BMC Cancer 2012, 12, 224. [Google Scholar] [CrossRef]
- Gobitti, C.; Sindoni, A.; Bampo, C.; Baresic, T.; Giorda, G.; Alessandrini, L.; Canzonieri, V.; Franchin, G.; Borsatti, E. Malignant struma ovarii harboring a unique NRAS mutation: Case report and review of the literature. Hormones 2017, 16, 322–327. [Google Scholar] [CrossRef]
- Ciarrocchi, A.; Cavuto, S.; Piana, S.; Braf, V. BRAF V600E mutation and papillary thyroid cancer. JAMA 2013, 310, 534. [Google Scholar] [CrossRef]
- Tan, A.; Stewart, C.J.R.; Garrett, K.L.; Rye, M.; Cohen, P.A. Novel BRAF and KRAS mutations in papillary thyroid carcinoma arising in struma ovarii. Endocr. Pathol. 2015, 26, 296–301. [Google Scholar] [CrossRef] [PubMed]
- Poli, R.; Scatolini, M.; Grosso, E.; Maletta, F.; Gallo, M.; Liscia, D.; Nelva, A.; Cesario, F.; Forte, G.; Metovic, J.; et al. Malignant struma ovarii: Next-generation sequencing of six cases revealed Nras, Braf, and Jak3 mutations. Endocrine 2021, 71, 216–224. [Google Scholar] [CrossRef] [PubMed]
- Smallridge, R.C.; Chindris, A.M.; Asmann, Y.W.; Casler, J.D.; Serie, D.J.; Reddi, H.V.; Cradic, K.W.; Rivera, M.; Grebe, S.K.; Necela, B.M.; et al. RNA sequencing identifies multiple fusion transcripts, differentially expressed genes, and reduced expression of immune function genes in BRAF(V600E) mutant vs BRAF wild-type papillary thyroid carcinoma. J. Clin. Endocrinol. Metab. 2014, 99, E338–E347. [Google Scholar] [CrossRef] [PubMed]
- Kim, K.; Jeon, S.; Kim, T.M.; Jung, C.K. Immune gene signature delineates a subclass of papillary thyroid cancer with unfavorable clinical outcomes. Cancers 2018, 10, 494. [Google Scholar] [CrossRef]
- Tsukada, T.; Yoshida, H.; Ishikawa, M.; Asami, Y.; Shiraishi, K.; Kato, T. Malignant struma ovarii presenting with follicular carcinoma: A case report with molecular analysis. Gynecol. Oncol. Rep. 2019, 30, 100498. [Google Scholar] [CrossRef]
- Balajee, A.S. Human RecQL4 as a novel molecular target for cancer therapy. Cytogenet. Genome Res. 2021, 161, 305–327. [Google Scholar] [CrossRef]
- Bralten, L.B.C.; Gravendeel, A.M.; Kloosterhof, N.K.; Sacchetti, A.; Vrijenhoek, T.; Veltman, J.A.; van den Bent, M.J.; Kros, J.M.; Hoogenraad, C.C.; Sillevis Smitt, P.A.; et al. The CASPR2 cell adhesion molecule functions as a tumor suppressor gene in glioma. Oncogene 2010, 29, 6138–6148. [Google Scholar] [CrossRef]
- Zhang, C.; Zhu, Q.; He, H.; Jiang, L.; Qiang, Q.; Hu, L.; Hu, G.; Jiang, Y.; Ding, X.; Lu, Y. RIZ1: A potential tumor suppressor in glioma. BMC Cancer 2015, 15, 990. [Google Scholar] [CrossRef]
- Vázquez-García, I.; Uhlitz, F.; Ceglia, N.; Lim, J.L.P.; Wu, M.; Mohibullah, N.; Niyazov, J.; Ruiz, A.E.B.; Boehm, K.M.; Bojilova, V.; et al. Ovarian cancer mutational processes drive site-specific immune evasion. Nature 2022, 612, 778–786. [Google Scholar] [CrossRef]
- Garsed, D.W.; Pandey, A.; Fereday, S.; Kennedy, C.J.; Takahashi, K.; Alsop, K.; Hamilton, P.T.; Hendley, J.; Chiew, Y.E.; Traficante, N.; et al. The genomic and immune landscape of long-term survivors of high-grade serous ovarian cancer. Nat. Genet. 2022, 54, 1853–1864. [Google Scholar] [CrossRef]
- Funnell, T.; O’Flanagan, C.H.; Williams, M.J.; McPherson, A.; McKinney, S.; Kabeer, F.; Lee, H.; Salehi, S.; Vázquez-García, I.; Shi, H.; et al. Single-cell genomic variation induced by mutational processes in cancer. Nature 2022, 612, 106–115. [Google Scholar] [CrossRef] [PubMed]





| Actionable Variants | Variant Allele Frequency (%) | Copy Number |
|---|---|---|
| gRECQL4 p.E976K | 82.4 | 1.9 |
| gCNTNAP2 p.I172T | 79.6 | 2.1 |
| gPRDM2 p.A935S | 77.4 | 2.1 |
| Gene Symbol | Type of Gene | RefSeq_Accession | Log Ratio | Average β Value of Malignant Struma Ovarii | Average β Value of Normal Uterine Tissues |
|---|---|---|---|---|---|
| FRMD6-AS2 | ncRNA | NR_051990 | 2.641554295 | 0.848721886 | 0.136012343 |
| SESN3 | protein-coding | NM_001271594 | 3.652856573 | 0.705986834 | 0.056127694 |
| CYTL1 | protein-coding | NM_018659 | 3.427866379 | 0.70975 | 0.06595 |
| MIR4429 | ncRNA | NR_039627 | 2.562496834 | 0.751119105 | 0.127151181 |
| HIF3A | protein-coding | NM_152796 | 3.017858731 | 0.708329124 | 0.08745187 |
| ATP1B2 | protein-coding | NM_001303263 | 1.959788684 | 0.819775968 | 0.210736617 |
Disclaimer/Publisher’s Note: The statements, opinions and data contained in all publications are solely those of the individual author(s) and contributor(s) and not of MDPI and/or the editor(s). MDPI and/or the editor(s) disclaim responsibility for any injury to people or property resulting from any ideas, methods, instructions or products referred to in the content. |
© 2023 by the authors. Licensee MDPI, Basel, Switzerland. This article is an open access article distributed under the terms and conditions of the Creative Commons Attribution (CC BY) license (https://creativecommons.org/licenses/by/4.0/).
Share and Cite
Yamashita, H.; Nakayama, K.; Kanno, K.; Ishibashi, T.; Ishikawa, M.; Sato, S.; Iida, K.; Razia, S.; Kyo, S. Identifying the Carcinogenic Mechanism of Malignant Struma Ovarii Using Whole-Exome Sequencing and DNA Methylation Analysis. Curr. Issues Mol. Biol. 2023, 45, 1843-1851. https://doi.org/10.3390/cimb45030118
Yamashita H, Nakayama K, Kanno K, Ishibashi T, Ishikawa M, Sato S, Iida K, Razia S, Kyo S. Identifying the Carcinogenic Mechanism of Malignant Struma Ovarii Using Whole-Exome Sequencing and DNA Methylation Analysis. Current Issues in Molecular Biology. 2023; 45(3):1843-1851. https://doi.org/10.3390/cimb45030118
Chicago/Turabian StyleYamashita, Hitomi, Kentaro Nakayama, Kosuke Kanno, Tomoka Ishibashi, Masako Ishikawa, Seiya Sato, Koji Iida, Sultana Razia, and Satoru Kyo. 2023. "Identifying the Carcinogenic Mechanism of Malignant Struma Ovarii Using Whole-Exome Sequencing and DNA Methylation Analysis" Current Issues in Molecular Biology 45, no. 3: 1843-1851. https://doi.org/10.3390/cimb45030118
APA StyleYamashita, H., Nakayama, K., Kanno, K., Ishibashi, T., Ishikawa, M., Sato, S., Iida, K., Razia, S., & Kyo, S. (2023). Identifying the Carcinogenic Mechanism of Malignant Struma Ovarii Using Whole-Exome Sequencing and DNA Methylation Analysis. Current Issues in Molecular Biology, 45(3), 1843-1851. https://doi.org/10.3390/cimb45030118

