Silver-N-Heterocyclic Complexes Against Leishmania major: In Vitro, In Vivo and In Silico Therapeutic Activities
Abstract
1. Introduction
2. Results and Discussion
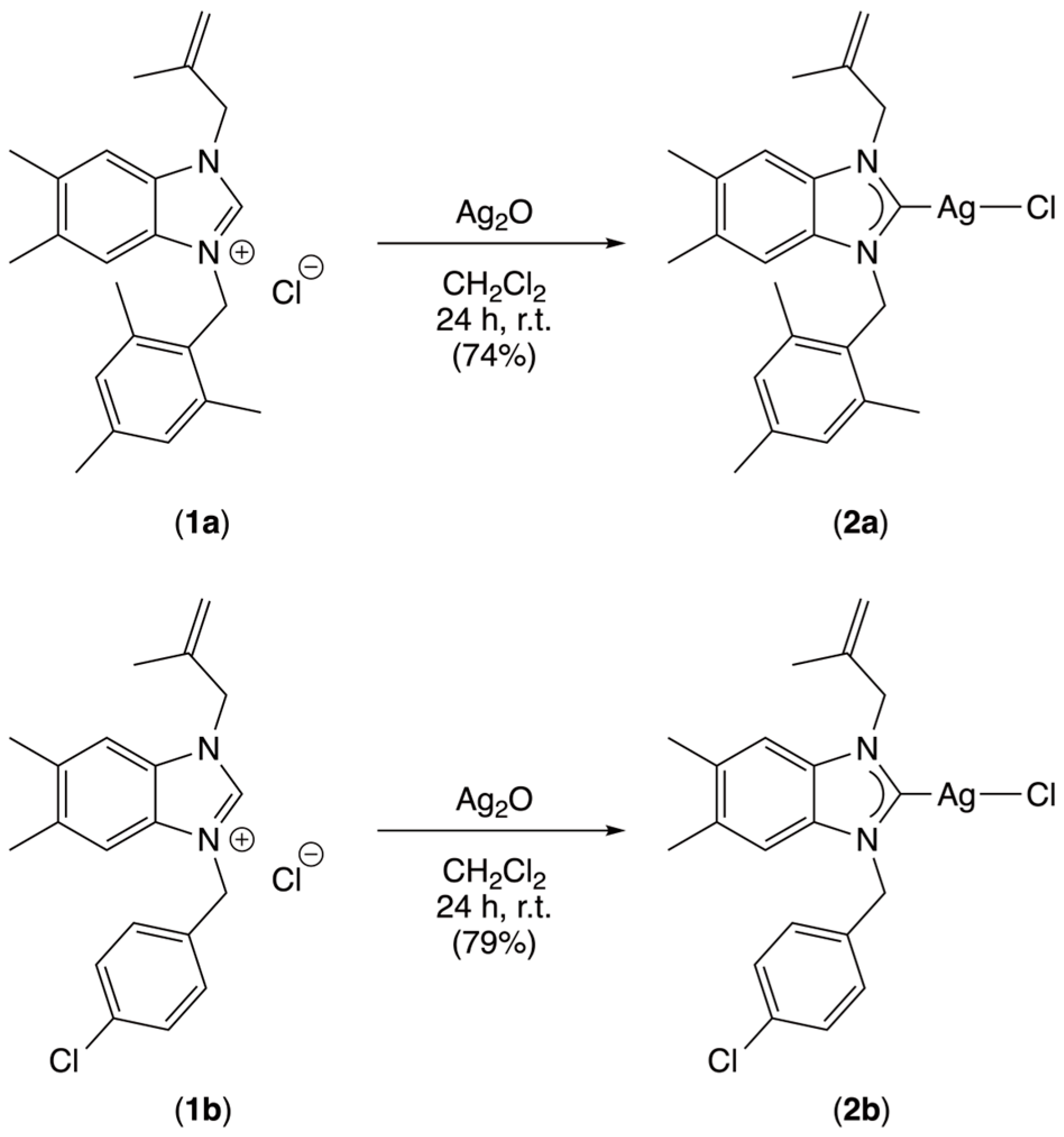
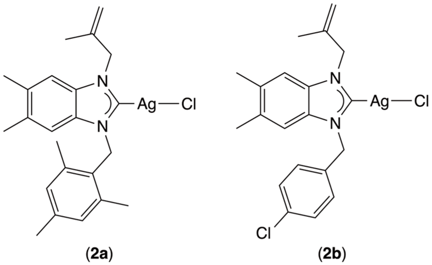
2.1. Synthesis and Characterization of Silver(I) Complex 2a
2.2. Cytotoxic Potential of Silver(I) Complexes
2.3. In Vitro Effects of L. major Promastigotes
2.4. In Vivo Anti-Leishmanial Activity
2.5. Histopathological Evaluation
2.6. Molecular Docking Analysis
3. Materials and Methods
3.1. Chemistry
3.1.1. General
3.1.2. Preparation of Silver Complexes 2a,2b
3.2. Cell Culture and Cytotoxicity Evaluation
3.2.1. Cell Line and Culture
3.2.2. Cytotoxicity Assessment
3.3. In Vitro Effects of L. major Promastigotes
3.3.1. Parasite Strain and Culture Conditions
3.3.2. In Vitro Assay for Promastigotes Activity
3.4. Experimental Cutaneous Leishmaniosis
3.4.1. Parasites
3.4.2. Animals
3.4.3. Animal Infections and Grouping
3.4.4. Assessment of Treatment Efficacy
3.5. Statistical Analysis
3.6. Molecular Docking Method
4. Conclusions
Supplementary Materials
Author Contributions
Funding
Institutional Review Board Statement
Informed Consent Statement
Data Availability Statement
Conflicts of Interest
Abbreviations
| CL | cutaneous leishmaniasis |
| NHC | N-heterocyclic carbenes |
| WHO | World Health Organization |
| NMR | nuclear magnetic resonance |
| XTT | 2,3-bis(2-methoxy-4-nitro-5-sulfophenyl)-2H-tetrazolium-5-carboxanilide |
| OD | optical density |
| FCS | foetal calf serum |
| PBS | endotoxin-free phosphate-buffered saline |
| MA | meglumine antimoniate |
References
- Burza, S.; Croft, S.L.; Boelaert, M. Leishmaniasis. Lancet 2018, 15, 951–970. [Google Scholar] [CrossRef]
- Brindha, J.; Balamurali, M.M.; Kaushik, C. An overview on the therapeutics of neglected infectious diseases-leishmaniasis and Chagas diseases. Front. Chem. 2021, 9, 622286. [Google Scholar]
- Alvar, J.; Vélez, I.D.; Bern, C.; Herrero, M.; Desjeux, P.; Cano, J.; Jannin, J.; den Boer, M. Leishmaniasis worldwide and global estimates of its incidence. PLoS ONE 2012, 7, e35671. [Google Scholar] [CrossRef] [PubMed]
- de Vries, H.J.; Schallig, H.D. Cutaneous leishmaniasis: A 2022 updated narrative review into diagnosis and management developments. Am. J. Clin. Dermatol. 2022, 23, 823–840. [Google Scholar] [CrossRef]
- Control of Neglected Tropical Diseases. World Health Organization. Available online: http://www.who.int/neglected_diseases/diseases/en/# (accessed on 14 December 2020).
- Mokni, M. Leishmanioses cutanées. Ann. Dermatol. Venereol. FMC 2019, 146, 232–246. [Google Scholar] [CrossRef] [PubMed]
- Palumbo, E. Current treatment for cutaneous leishmaniasis: A review. Am. J. Ther. 2009, 16, 178–182. [Google Scholar] [CrossRef]
- Aronson, N.E.; Joya, C.A. Cutaneous leishmaniasis: Updates in diagnosis and management. Infect. Dis. Clin. 2019, 33, 101–117. [Google Scholar]
- Garza-Tovar, T.F.; Sacriste-Hernández, M.I.; Juárez-Durán, E.R.; Arenas, R. An overview of the treatment of Cutaneous leishmaniasis. Fac. Rev. 2020, 9, 28. [Google Scholar] [CrossRef] [PubMed]
- Croft, S.L.; Seifert, K.; Yardley, V. Current scenario of drug development for leishmaniasis. Indian J. Med. Res. 2006, 123, 399–410. [Google Scholar]
- Pinheiro, A.C.; de Souza, M.V.N. Current leishmaniasis drug discovery. RSC Med. Chem. 2022, 13, 1029–1043. [Google Scholar] [CrossRef]
- N-Heterocyclic Carbenes in Synthesis; Nolan, S.P., Ed.; Wiley-VCH: Weinheim, Germany, 2006. [Google Scholar]
- Bourissou, D.; Guerret, O.; Gabbaï, F.P.; Bertrand, G. Stable carbenes. Chem. Rev. 2000, 100, 39–92. [Google Scholar] [CrossRef] [PubMed]
- Herrmann, W.A. N-Heterocyclic carbenes: A new concept in organometallic catalysis. Angew. Chem. Int. Ed. 2002, 41, 1290–1309. [Google Scholar] [CrossRef]
- Filevich, O.; Zayat, L.; Baraldo, L.M.; Etchenique, R. Long Wavelength phototriggering: Ruthenium-based caged compounds. In Luminescent and Photoactive Transition Metal Complexes as Biomolecular Probes and Cellular Reagents; Lo, K.K.-W., Ed.; Springer: Berlin/Heidelberg, Germany, 2015; pp. 47–68. [Google Scholar]
- Marinelli, M.; Santini, C.; Pellei, M. Recenrt advances in medicinal applications of coinage-metal (Cu and Ag) N-heterocyclic carbene complexes. Curr. Top. Med. Chem. 2016, 16, 2995–3017. [Google Scholar] [CrossRef]
- Yang, S.; Zhou, T.; Yu, X.; Szostak, M. Ag–NHC Complexes in the π-activation of alkynes. Molecules 2023, 28, 950. [Google Scholar] [CrossRef] [PubMed]
- Mikhaylov, V.N.; Balova, I.A. Alternative transformations of N-heterocyclic carbene complexes of the group 11 metals in transmetalation reactions (a review). Russ. J. Gen. Chem. 2021, 91, 2194–2248. [Google Scholar] [CrossRef]
- Díaz-Requejo, M.M.; Pérez, P.J. Copper, silver and gold-based catalysts for carbene addition or insertion reactions. J. Organomet. Chem. 2005, 690, 5441–5450. [Google Scholar] [CrossRef]
- Nayak, S.; Gaonkar, S.L. Coinage metal N-heterocyclic carbene complexes: Recent synthetic strategies and medicinal applications. ChemMedChem 2021, 16, 1360–1390. [Google Scholar] [CrossRef]
- Carrasco, C.J.; Montilla, F.; Villalobo, E.; Angulo, M.; Álvarez, E.; Galindo, A. Antimicrobial activity of anionic bis(N-heterocyclic carbene) silver complexes. Molecules 2024, 29, 4608. [Google Scholar] [CrossRef]
- King, O.S.; Hofmann, B.J.; Boakye-Smith, A.E.; Managh, A.J.; Stringer, T.; Lord, R.M. Fluorinated N-heterocyclic carbene silver(I) complexes with high cancer cell selectivity. Organometallics 2024, 43, 2662–2673. [Google Scholar] [CrossRef] [PubMed]
- Ceramella, J.; Catalano, A.; Mariconda, A.; D’Amato, A.; Aquila, S.; Saturnino, C.; Rosano, C.; Sinicropi, M.S.; Longo, P. Silver N-heterocyclic carbene (NHC) complexes as antimicrobial and/or anticancer agents. Pharmaceuticals 2025, 18, 9. [Google Scholar] [CrossRef]
- Şahin, N.; Mosrati, M.A.; Merghni, A.; Özdemir, İ.; Sellami, H.; Bedchiche, K.; Krayiem, S.; Aifa, S.; Abdelmalek, D.; Sémeril, D. Synthesis, antimicrobial and antibiofilm activities of silver(I) complexes with N-alkylbenzimidazole derivatives and their protein interaction modelling study. J. Mol. Struct. 2025, 1322, 140440. [Google Scholar] [CrossRef]
- Bensalah, D.; Gurbuz, N.; Özdemir, İ.; Gatri, R.; Mansour, L.; Hamdi, N. Synthesis, characterization, antimicrobial properties, and antioxidant activities of silver-N-heterocyclic carbene complexes. Bioinorg. Chem. Appl. 2023, 2023, 3066299. [Google Scholar] [CrossRef] [PubMed]
- Ataş, M.; Üstün, E.; Çelik, C.; Tutar, U.; Akın Polat, Z.; Şahin, N.; Sémeril, D. No cytotoxic silver(I) complexes as antibacterial and antibiofilm agents with BSA and DNA binding properties. Future Med. Chem. 2026, 18, 149–162. [Google Scholar] [CrossRef]
- Borges, A.P.; Obata, M.M.S.; Libardi, S.H.; Trevisan, R.O.; Deflon, V.M.; Abram, U.; Ferreira, F.B.; Costa, L.A.S.; Patrocínio, A.O.T.; da Silva, M.V. Gold(I) and silver(I) complexes containing hybrid sulfonamide/thiourea ligands as potential leishmanicidal agents. Pharmaceutics 2024, 16, 452. [Google Scholar] [CrossRef] [PubMed]
- Ataş, A.D.; Akın-Polat, Z.; Gülpınar, D.G.; Şahin, N. The first evaluation of the in vitro effects of silver(I)-N-heterocyclic carbene complexes on Encephalitozoon intestinalis and Leishmania major promastigotes. J. Biol. Inorg. Chem. 2024, 29, 499–509. [Google Scholar] [CrossRef]
- Bernal, Y.; Marquez, A.M.; Rangel, H.R.; Goite, M.C.; Noguera, P.; Fuentes, F.; Machado, R.; Castro, W.; Velasquéz, V.P.L.; Buendia-Atencio, C.; et al. Targeting Trypanosoma cruzi with silver and gold-based N-heterocyclic carbene complexes: Insights into parasite death and trypanothione reductase interaction. BioMetals 2025, 38, 1795–1813. [Google Scholar] [CrossRef] [PubMed]
- Akın-Polat, Z.; Şahin, N.; Hkiri, S.; Ly, B.M.T.; Özdemir, İ.; Sémeril, D. In Vitro evaluation of silver-NHC complexes against a clinical isolate of Acanthamoeba castellanii: Time- and dose-dependent effects. Inorganics 2025, 13, 204. [Google Scholar] [CrossRef]
- Şahin, N.; Üstün, E.; Tutar, U.; Celik, C.; Gürbüz, N.; Özdemir, İ. Antimicrobial activity, inhibition of biofilm formation, and molecular docking study of novel Ag-NHC complexes. J. Organomet. Chem. 2021, 954, 122082. [Google Scholar] [CrossRef]
- Challapa-Mamani, M.R.; Tomás-Alvarado, E.; Espinoza-Baigorria, A.; León-Figueroa, D.A.; Sah, R.; Rodriguez-Morales, A.J.; Barboza, J.J. Molecular docking and molecular dynamics simulations in related to leishmania donovani: An update and literature review. Trop. Med. Inf. Dis. 2023, 8, 457. [Google Scholar] [CrossRef]
- Üstün, E.; Özdemir, N.; Şahin, N. Activity analysis of new N-heterocyclic carbenes and silver N-heterocyclic carbene molecules against novel coronavirus by UV-vis, fluorescence spectroscopy and molecular docking. J. Coord. Chem. 2021, 74, 3109–3126. [Google Scholar] [CrossRef]
- Şahin, N. Palladium-N-heterocyclic carbene complexes: Synthesis, characterization and catalytic application of C-H activation for carboxaldehyde derivatives. ChemistrySelect 2024, 9, e202403032. [Google Scholar] [CrossRef]
- Nielsen, D.J.; Cavell, K.J.; Skelton, B.W.; White, A.H. Tetrafluoroborate anion B-F bond activation—unusual formation of a nucleophilic heterocyclic carbene: BF3 adduct. Inorg. Chim. Ata 2003, 352, 143–150. [Google Scholar] [CrossRef]
- Pytkowicz, J.; Roland, S.; Mangeney, P. Synthesis of chiral silver(I) diaminocarbene complexes from (R,R)-4,5-di-tert-butylimidazoline. J. Organomet. Chem. 2001, 631, 157–163. [Google Scholar] [CrossRef]
- Lee, H.M.; Chiu, P.L.; Hu, C.H.; Lai, C.L.; Chou, Y.C. Synthesis and structural characterization of metal complexes based on pyrazole/imidazolium chlorides. J. Organomet. Chem. 2005, 690, 403–414. [Google Scholar] [CrossRef]
- Tutar, U.; Çelik, C.; Üstün, E.; Özdemir, N.; ¸Sahin, N.; Sémeril, D.; Gürbüz, N.; Özdemir, İ. Benzimidazol-2-ylidene silver complexes: Synthesis, characterization, antimicrobial and antibiofilm activities, molecular docking and theoretical investigations. Inorganics 2023, 11, 385. [Google Scholar] [CrossRef]
- Ataş, A.D.; Gülpınar, D.G.; Polat, Z.A.; Özdemir, N.; Şahin, N. Investigation of the in vitro effects of benzimidazol-2-ylidene-based silver-N-heterocyclic carbene complexes on Microsporidia and Leishmania major promastigotes. J. Mol. Struct. 2025, 1327, 141153. [Google Scholar] [CrossRef]
- Hkiri, S.; Şahin, N.; Akın-Polat, Z.; Üstün, E.; Ly, B.M.T.; Özdemir, İ.; Sémeril, D. Silver(I)-NHC complexes as dual-action Agents against pathogenic Acanthamoeba trophozoites: Anti-amoebic and anti-adhesion activities. Int. J. Mol. Sci. 2025, 26, 9393. [Google Scholar] [CrossRef] [PubMed]
- Ashraf, R.; Akram, S.; El-Naggar, M.; Kanwal, A.; Tok, T.T.; Iqbal, M.A.; El-Bahy, Z.M. In vitro and in silico anticancer potential of binuclear silver(I) N-heterocyclic carbene (NHCs) complexes: Investigation of interaction with surfactants. Inorg. Chim. Acta 2024, 571, 122181. [Google Scholar] [CrossRef]
- Slimani, I.; Chakchouk-Mtibaa, A.; Mellouli, L.; Mansour, L.; Özdemir, İ.; Gürbüz, N.; Hamdi, N. Novel N-heterocyclic carbene silver(I) complexes: Synthesis, structural characterization, antimicrobial and cytotoxicity potential studies. J. Braz. Chem. Soc. 2020, 31, 2058–2070. [Google Scholar] [CrossRef]
- Joshi, P.B.; Kelly, B.L.; Kamhawi, S.; Sacks, D.L.; McMaster, W.R. Targeted gene deletion in Leishmania major identifies leishmanolysin (GP63) as a virulence factor. Mol. Biochem. Parasitol. 2002, 120, 33–40. [Google Scholar] [CrossRef]
- Balaña-Fouce, R.; Calvo-Álvarez, E.; Álvarez-Velilla, R.; Prada, C.F.; Pérez-Pertejo, Y.; Reguera, R.M. Role of trypanosomatid’s arginase in polyamine biosynthesis and pathogenesis. Mol. Biochem. Parasitol. 2012, 181, 85–93. [Google Scholar] [CrossRef]
- Tate, E.W.; Bell, A.S.; Rackham, M.D.; Wright, M.H. N-Myristoyltransferase as a potential drug target in malaria and leishmaniasis. Parasitology 2014, 141, 37–49. [Google Scholar] [CrossRef]
- Razzaghi-Asl, N.; Sepehri, S.; Ebadi, A.; Karami, P.; Nejatkhah, N.; Johari-Ahar, M. Insights into the current status of privileged N-heterocycles as antileishmanial agents. Mol. Divers. 2020, 24, 525–569. [Google Scholar] [CrossRef]
- Kamdem, B.P.; Boyom, F.F. Inhibitors of farnesyl diphosphate synthase and squalene synthase: Potential source for anti-Trypanosomatidae drug discovery. Drugs Drug Candidates 2023, 2, 624–652. [Google Scholar] [CrossRef]
- Shaukat, A.; Mirza, H.M.; Ansari, A.H.; Yasinzai, M.; Zaidi, S.Z.; Dilshad, S.; Ansari, F.L. Benzimidazole derivatives: Synthesis, leishmanicidal effectiveness, and molecular docking studies. Med. Chem. Res. 2013, 22, 3606–3620. [Google Scholar] [CrossRef]
- Mercado-Camargo, J.; Cervantes-Ceballos, L.; Vivas-Reyes, R.; Pedretti, A.; Serrano-García, M.L.; Gómez-Estrada, H. Homology modeling of leishmanolysin (gp63) from Leishmania panamensis and molecular docking of flavonoids. ACS Omega 2020, 5, 14741–14749. [Google Scholar] [CrossRef]
- Santiago-Silva, K.M.; Bortoleti, B.; Brito, T.O.; Costa, I.C.; Lima, C.H.; Macedo, F.; Miranda-Sapla, M.M.; Pavanelli, W.; Bispo, M.L.F. Exploring the antileishmanial activity of N1,N2-disubstituted-benzoylguanidines: Synthesis and molecular modeling studies. J. Biomol. Struct. Dyn. 2022, 40, 11495–11510. [Google Scholar] [CrossRef] [PubMed]
- Bell, A.S.; Yu, Z.; Hutton, J.A.; Wright, M.H.; Brannigan, J.A.; Paape, D.; Roberts, S.M.; Sutherell, C.L.; Ritzefeld, M.; Wilkinson, A.J.; et al. Novel thienopyrimidine inhibitors of Leishmania N-myristoyltransferase with on-target activity in intracellular amastigotes. J. Med. Chem. 2020, 63, 7740–7765. [Google Scholar] [CrossRef]
- Orabi, M.A.; Alshahrani, M.M.; Sayed, A.M.; Abouelela, M.E.; Shaaban, K.A.; Abdel-Sattar, E.S. Identification of potential Leishmania N-myristoyltransferase inhibitors from Withania somnifera (L.) Dunal: A molecular docking and molecular dynamics investigation. Metabolites 2023, 13, 93. [Google Scholar] [CrossRef] [PubMed]
- e Mattos Oliveira, L.; Araújo, J.S.C.; Bacelar Costa Junior, D.; Santana, I.B.; Duarte, A.A.; Leite, F.H.A.; Benevides, R.G.; Coelho Dos Santos Junior, M. Pharmacophore modeling, docking and molecular dynamics to identify Leishmania major farnesyl pyrophosphate synthase inhibitors. J. Mol. Model. 2018, 24, 314. [Google Scholar] [CrossRef]
- Metelytsia, L.O.; Hodyna, D.M.; Kobzar, O.L.; Kovalishyn, V.V.; Semenyuta, I.V. New anti-candida active nitrogen-containing bisphosphonates as inhibitors of farnesyl pyrophosphate synthase Candida albicans. Ukr. Biochem. J. 2019, 91, 78–89. [Google Scholar] [CrossRef]
- Ozpinar, N.; Polat, Z.A. A new therapeutic approach for the treatment of cutaneous leishmaniasis: Photothermal application of macrophage-specific antibody binding graphene oxide nanoparticles. J. Vector Borne Dis. 2020, 57, 347–355. [Google Scholar] [CrossRef]
- Neese, F. The ORCA program system. WIREs Comput. Mol. Sci. 2012, 2, 73–78. [Google Scholar] [CrossRef]
- Neese, F. Software update: The ORCA program system, version 4.0. WIREs Comput. Mol. Sci. 2018, 8, e1327. [Google Scholar] [CrossRef]
- Serdaroğlu, G.; Şahin, N.; Şahin-Bölükbaşı, S.; Üstün, E. Novel Ag(I)-NHC complex: Synthesis, in vitro cytotoxic activity, molecular docking, and quantum chemical studies. Z. Naturforsch. C 2022, 77, 21–36. [Google Scholar] [CrossRef] [PubMed]
- Schlagenhauf, E.; Etges, R.; Metcalf, P. The crystal structure of the Leishmania major surface proteinase leishmanolysin (gp63). Structure 1998, 6, 1035–1046. [Google Scholar] [CrossRef]
- D’Antonio, E.L.; Ullman, B.; Roberts, S.C.; Dixit, U.G.; Wilson, M.E.; Hai, Y.; Christianson, D.W. Crystal structure of arginase from Leishmania mexicana and implications for the inhibition of polyamine biosynthesis in parasitic infections. Arch. Biochem. Biophys. 2013, 535, 163–176. [Google Scholar] [CrossRef]
- Brannigan, J.A.; Roberts, S.M.; Bell, A.S.; Hutton, J.A.; Hodgkinson, M.R.; Tate, E.W.; Leatherbarrow, R.J.; Smith, D.F.; Wilkinson, A.J. Diverse modes of binding in structures of Leishmania major N-myristoyltransferase with selective inhibitors. IUCrJ 2014, 1, 250–260. [Google Scholar] [CrossRef]
- Aripirala, S.; Gonzalez-Pacanowska, D.; Oldfield, E.; Kaiser, M.; Amzel, L.M.; Gabelli, S.B. Structural and thermodynamic basis of the inhibition of Leishmania major farnesyl diphosphate synthase by nitrogen-containing bisphosphonates. Biol. Crystallogr. 2014, 70, 802–810. [Google Scholar] [CrossRef] [PubMed]
- Morris, G.M.; Huey, R.; Olson, A.J. Using autodock for ligand-receptor docking. Curr. Protoc. Bioinform. 2008, 24, 8–14. [Google Scholar] [CrossRef]
- Morris, G.M.; Huey, R.; Lindstrom, W.; Sanner, M.F.; Belew, R.K.; Goodsell, D.S.; Olson, A.J. AutoDock4 and AutoDockTools4: Automated docking with selective receptor flexibility. J. Comput. Chem. 2009, 30, 2785–2791. [Google Scholar] [CrossRef] [PubMed]
- Morris, G.M.; Goodsell, D.S.; Halliday, R.S.; Huey, R.; Hart, W.E.; Belew, R.K.; Olson, A.J. Automated docking using a Lamarckian genetic algorithm and an empirical binding free energy function. J. Comput. Chem. 1998, 19, 1639–1662. [Google Scholar] [CrossRef]
- Üstün, E.; Şahin, N.; Özdemir, İ.; Günal, S.; Gürbüz, N.; Özdemir, İ.; Sémeril, D. Design, synthesis, antimicrobial activity and molecular docking study of cationic bis-benzimidazole-silver(I) complexes. Arch. Pharm. 2023, 356, 2300302. [Google Scholar] [CrossRef] [PubMed]
- Biovia, D.S. Discovery Studio Client, v20.1.0.19295; Dassault Systèmes: San Diego, CA, USA, 2019.











| Weeks Post Infection | Group I Complex 2a (10−5 M) | Group II Complex 2b (10−5 M) | Group III MA 2 (20 mg/kg/day) | Group IV NaCl 2 (0.9%) |
|---|---|---|---|---|
| 1st | 55.4 ± 9.9 | 54.3 ± 1.3 | 55.2 ± 1.7 | 56.6 ± 3.0 |
| Sig. with | / | / | / | / |
| 2nd | 32.4 ± 8.4 | 31.2 ± 4.3 | 46.3 ± 8.5 | 59.5 ± 3.2 |
| Sig. with | Group IV * | Group IV * | / | Group I *, II * |
| 3rd | 27.8 ± 3.6 | 22.6 ± 6.6 | 44.7 ± 3.4 | 63.1 ± 7.7 |
| Sig. with | Group III *, IV ** | Group III **, IV ** | Group I *, II * | Group I **, II ** |
| 4th | 23.4 ± 3.6 | 16.6 ± 2.6 | 37.9 ± 1.8 | 70.7 ± 4.7 |
| Sig. with | Group III **, IV *** | Group III **, IV *** | Group I **, II ** | Group I ***, II *** |
| 5th | 20.9 ± 3.1 | 11.2 ± 4.6 | 33.2 ± 3.6 | 68.8 ± 1.7 |
| Sig. with | Group III **, IV *** | Group III **, IV *** | Group I **, II **, IV ** | Group I ***, II ***, III ** |
| Drugs | BA * (kcal/mol) | Amino Acids Residue |
|---|---|---|
| LaGP63 | ||
| 1a | −5.40 | Ala349 (H-bond), Glu265 (π-interaction), Val223, Leu224, Leu257, Val261, His264, His268, His334, Ala348 (alkylic interactions), Gly222, Ala225, Pro347, Phe451 (van der Waals interactions) |
| 1b | −6.23 | His264, Glu265 (π-interactions), Leu224, Arg260, Val261, His268, His334, Ala349 (alkylic interactions), Gly222, Val223, Ala225, Glu343, Ala346, Pro347, Ala348, Ala350, Gly352 (van der Waals interactions) |
| 2a | −6.98 | His264, Glu265 (π-interactions), His224, Leu257, His268, His334, Ala348, Ala349, Phe451 (alkylic interactions), Val223, Ala225, Val261, Ser330, Ala346, Pro347 (van der Waals interactions) |
| 2b | −6.49 | His264, Ala349 (π-interactions), Leu224, Val261, His268, His334, Ala348, Phe451 (alkylic interactions), Gly222, Arg260, Glu265, Gly329, Ser330, Glu343, Leu344, Ala346, Pro347, Ala350, Gly352 (van der Waals interactions) |
| LaARG | ||
| 1a | −3.27 | His154, Thr257 (π-interactions), Pro27, His114, His139, Ala140 (alkylic interactions), His28, Asp141, Ile142, Ser150, Asn152, Gly155, Ala192, Val193, Asp194, Glu197, Asp243, Asp245, Glu288 (van der Waals interactions) |
| 1b | −3.77 | Ser150, Thr257 (H-bonds), His154 (π-interactions), His139, Ala192 (alkylic interactions), His28, Asp137, Asp141, Asn143, Asn152, Gly155, Val193, Asp194, Glu197, Asp243, Asp245, Gly256, Glu288 (van der Waals interactions) |
| 2a | −4.47 | His139, Thr257 (π-interactions), Pro27, His28, His154, Ala192, Pro258 (alkylic interactions), Gln26, Ala140, Asp141, Gly155, Val193, Asp194, Glu197, Gly256 (van der Waals interactions) |
| 2b | −4.27 | His28, His139, Ala140 (alkylic interactions), Gln26, Pro27, Asp141, Ile142, Asn143, Asn152, Gly155, Glu197, Gly256, Thr257 (van der Waals interactions) |
| N-Myristoyltransferase | ||
| 1a | −7.97 | Asn167, Thr203, Tyr217 (H-bonds), Tyr80 (π-interaction), Val81, Phe90, Ile166, Leu169, Ala204, Ile328, Tyr345, Leu399, Met420 (alkylic interactions), Tyr92, Phe168, Tyr202, Gly205, Leu421 (van der Waals interactions) |
| 1b | −7.76 | Thr80, Ile166, Thr203 (H-bonds), Ala204, Leu421 (π-interactions), Val81, Phe90, Leu169, Tyr202, Tyr217, Tyr345, Leu399 (alkylic interactions), Tyr92, Ile126, Asn167, Phe168, Gly205, Met420 (van der Waals interactions) |
| 2a | −8.27 | Tyr80, Tyr92, Leu421 (H-bonds), Val81, Phe90, Tyr217, Ile328, Tyr345, Leu399, Met420 (alkylic interactions), Asn167, Phe168, Leu169, Thr203, Ala204, Gly205, Gly397, His398 (van der Waals interactions) |
| 2b | −8.17 | Thr203 (H-bond), Val81, Ile166, Leu169, Tyr202, Ala204, Tyr217, Leu399, Met420 (alkylic interactions), Tyr80, Tyr92, Asn167, Phe168, Gly205, His398, Leu421 (van der Waals interactions) |
| Farnesyl diphosphate synthase | ||
| 1a | −5.06 | Thr208, Gln247 (H-bonds), Arg51, Lys207, Phe246 (π-interactions), Phe94, Leu95, Tyr211 (alkylic interactions), Lys48, Gln91, Asp98, Asp99, Arg107, Thhr163, Gln167, Asp250 (van der Waals interactions) |
| 1b | −5.16 | Thr208, Gln247 (H-bonds), Phe94, Leu95, Lys207, Tyr211, Phe246 (alkylic interactions), Lys48, Arg51, Gln91, Asp98, Arg107, Thr163, Gln167, Asp250 (van der Waals interactions) |
| 2a | −5.35 | Thr208, Tyr211, Gln247 (H-bonds), Arg51, Phe246 (π-interactions), Phe94, Leu95 (alkylic interactions), Lys48, Gln91, Asp98, Arg107, Thr163, Gln167, Asp250, Lys264 (van der Waals interactions) |
| 2b | −5.20 | Thr208, Tyr211, Gln247 (H-bonds), Phe94, Leu95, Lys207, Phe246 (alkylic interactions), Lys48, Arg51, Gln91, Asp98, Arg107, Thr163, Gln167, Asp250, Lys264, Lys273 (van der Waals interactions) |
| Groups | Treatment Doses | Treatment Method | Animal Number |
|---|---|---|---|
| Group I | 10−5 M once a week for 2a | Intralesional—4 weeks | 8 |
| Group II | 10−5 M once a week for 2b | Intralesional—4 weeks | 8 |
| Group III (control-infected, treated group) | Meglumine antimoniate (Glucantime®) (20 mg/kg/day) | Subcutaneously—20 days | 8 |
| Group IV (control-infected, non-treated group) | 0.9% (w/v)-NaCl | Intralesional—once a week | 8 |
| Group V (Non-infected group) | / | / | 4 |
Disclaimer/Publisher’s Note: The statements, opinions and data contained in all publications are solely those of the individual author(s) and contributor(s) and not of MDPI and/or the editor(s). MDPI and/or the editor(s) disclaim responsibility for any injury to people or property resulting from any ideas, methods, instructions or products referred to in the content. |
© 2026 by the authors. Licensee MDPI, Basel, Switzerland. This article is an open access article distributed under the terms and conditions of the Creative Commons Attribution (CC BY) license.
Share and Cite
Şahin, N.; Polat, Z.A.; Gülpınar, D.G.; Ataş, A.D.; Üstün, E.; Özdemir, İ.; Sémeril, D. Silver-N-Heterocyclic Complexes Against Leishmania major: In Vitro, In Vivo and In Silico Therapeutic Activities. Pharmaceuticals 2026, 19, 356. https://doi.org/10.3390/ph19030356
Şahin N, Polat ZA, Gülpınar DG, Ataş AD, Üstün E, Özdemir İ, Sémeril D. Silver-N-Heterocyclic Complexes Against Leishmania major: In Vitro, In Vivo and In Silico Therapeutic Activities. Pharmaceuticals. 2026; 19(3):356. https://doi.org/10.3390/ph19030356
Chicago/Turabian StyleŞahin, Neslihan, Zübeyda Akın Polat, Derya Gül Gülpınar, Ahmet Duran Ataş, Elvan Üstün, İsmail Özdemir, and David Sémeril. 2026. "Silver-N-Heterocyclic Complexes Against Leishmania major: In Vitro, In Vivo and In Silico Therapeutic Activities" Pharmaceuticals 19, no. 3: 356. https://doi.org/10.3390/ph19030356
APA StyleŞahin, N., Polat, Z. A., Gülpınar, D. G., Ataş, A. D., Üstün, E., Özdemir, İ., & Sémeril, D. (2026). Silver-N-Heterocyclic Complexes Against Leishmania major: In Vitro, In Vivo and In Silico Therapeutic Activities. Pharmaceuticals, 19(3), 356. https://doi.org/10.3390/ph19030356

