Garlic Peel-Derived Phytochemicals Using GC-MS: Antioxidant, Anti-Inflammatory, and Anti-Apoptotic Effects in Ulcerative Colitis Rat Model
Abstract
1. Introduction
2. Results
2.1. Identification of Bioactive Compounds of GPE by GC-MS Analysis
2.2. Effects of Inner Garlic Peel Ethanolic Extract (GPE) on Final Body Weight and Colon Length in AA-Induced UC Rats
2.3. Effects of Inner Garlic Peel Ethanolic Extract (GPE) on Pro- and Anti-Inflammatory Mediators and Transcription Factor NF-kB in AA-Induced UC Rats
2.4. Effects of Inner Garlic Peel Ethanolic Extract (GPE) on Oxidative Stress Biomarkers in AA-Induced UC Rats
2.5. Effects of Inner Garlic Peel Ethanolic Extract (GPE) on Caspase-3 Levels in AA-Induced UC Rats
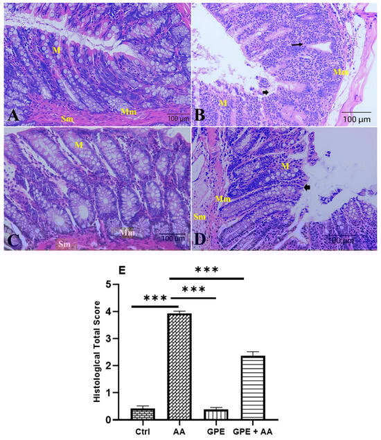
2.6. Effects of Inner Garlic Peel Ethanolic Extract (GPE) on Colon Histopathology in AA-Induced UC Rats
3. Discussion
4. Materials and Methods
4.1. Plant Material
4.2. Preparation of Garlic Peel Ethanolic Extract (GPE)
4.3. Gas Chromatography–Mass Spectrometry (GC-MS) Analysis of GPE
4.4. Animals
4.5. Ulcerative Colitis (UC) Induction
4.6. Experimental Design
4.7. Preparation of Colonic Tissue Homogenates
4.8. Immunological and Molecular Assays
4.9. Oxidative Stress Assays
4.10. Histopathological Examination
4.11. Statistical Analysis
5. Conclusions
Supplementary Materials
Author Contributions
Funding
Institutional Review Board Statement
Informed Consent Statement
Data Availability Statement
Acknowledgments
Conflicts of Interest
Abbreviations
| AA | Acetic acid |
| 5-ASAs | 5-aminosalicylates |
| CAT | Catalase |
| COX-2 | Cyclooxygenase-2 |
| CSs | Corticosteroids |
| DAMPs | Damage-associated molecular patterns |
| DAS | Diallyl sulfide |
| DHA | Docosahexaenoic acid |
| DSS | Dextran sulfate sodium |
| EPA | Eicosapentaenoic acid |
| FFAs | Free fatty acids |
| GPE | Garlic peel extract |
| GC-MS | Gas chromatography–mass spectrometry |
| IMMs | Immunomodulators |
| IBD | Inflammatory bowel disease |
| IL-1 | Interleukin 1 |
| IL-6 | Interleukin 6 |
| IL-10 | Interleukin 10 |
| IL-17 | Interleukin 17 |
| iNOS | Inducible nitric oxide synthase |
| JAK | Janus kinase |
| LPO | Lipid peroxidation |
| MDA | Malondialdehyde |
| MPO | Myeloperoxidase |
| MUFAs | Monounsaturated fatty acids |
| NF-κB | Nuclear factor kappa B |
| OSCs | Organosulfur-containing compounds |
| OS | Oxidative stress |
| PUFAs | Polyunsaturated fatty acids |
| ROS | Reactive oxygen species |
| SAC | S-allyl-L-cysteine |
| SOD | Superoxide dismutase |
| TLRs | Toll-like receptors |
| TNF-α | Tumor necrosis factor-alpha |
| UC | Ulcerative colitis |
References
- Dakhli, N.; Rtibi, K.; Arrari, F.; Ayari, A.; Sebai, H. Prophylactic coloprotective effect of Urtica dioica leaves against dextran sulfate sodium (DSS)-induced ulcerative colitis in rats. Medicina 2023, 59, 1990. [Google Scholar] [CrossRef]
- Li, S.; Zhuge, A.; Chen, H.; Han, S.; Shen, J.; Wang, K.; Xia, J.; Xia, H.; Jiang, S.; Wu, Y.; et al. Sedanolide alleviates DSS-induced colitis by modulating the intestinal FXR-SMPD3 pathway in mice. J. Adv. Res. 2025, 69, 413–426. [Google Scholar] [CrossRef]
- Feng, J.; Liu, Y.; Zhang, C.; Ji, M.; Li, C. Phytic acid regulates proliferation of colorectal cancer cells by downregulating NF-kB and β-catenin signalling. Eur. J. Inflamm. 2023, 21, 1–14. [Google Scholar] [CrossRef]
- Alfwuaires, M.A.; Algefare, A.I.; Afkar, E.; Salam, S.A.; El-Moaty, H.I.A.; Badr, G.M. Immunomodulatory assessment of Portulaca oleracea L. extract in a mouse model of colitis. Biomed. Pharmacother. 2021, 143, 112148. [Google Scholar] [CrossRef] [PubMed]
- El Mahdy, R.N.; Nader, M.A.; Helal, M.G.; Abu-Risha, S.E.; Abdelmageed, M.E. Eicosapentaenoic acid mitigates ulcerative colitis-induced by acetic acid through modulation of NF-κB and TGF-β/EGFR signaling pathways. Life Sci. 2023, 327, 121820. [Google Scholar] [CrossRef]
- Ghasemi-Dehnoo, M.; Lorigooini, Z.; Amini-Khoei, H.; Sabzevary-Ghahfarokhi, M.; Rafieian-Kopaei, M. Quinic acid ameliorates ulcerative colitis in rats, through the inhibition of two TLR4-NF-κB and NF-κB-INOS-NO signaling pathways. Immun. Inflamm. Dis. 2023, 11, e926. [Google Scholar] [CrossRef]
- Rehman, I.U.; Saleem, M.; Raza, S.A.; Bashir, S.; Muhammad, T.; Asghar, S.; Qamar, M.U.; Shah, T.A.; Bin Jardan, Y.A.; Mekonnen, A.B.; et al. Anti-ulcerative colitis effects of chemically characterized extracts from Calliandra haematocephala in acetic acid-induced ulcerative colitis. Front. Chem. 2024, 12, 1291230. [Google Scholar] [CrossRef]
- Long, D.; Mao, C.; Xu, Y.; Zhu, Y. The emerging role of neutrophil extracellular traps in ulcerative colitis. Front. Immunol. 2024, 15, 1425251. [Google Scholar] [CrossRef] [PubMed]
- Chen, Z.; Yi, L.; Pan, Y.; Long, X.; Mu, J.; Yi, R.; Zhao, X. Lactobacillus fermentum ZS40 ameliorates inflammation in mice with ulcerative colitis induced by dextran sulfate sodium. Front. Pharmacol. 2021, 12, 700217. [Google Scholar] [CrossRef]
- Zhang, C.; Zhang, J.; Zhang, Y.; Song, Z.; Bian, J.; Yi, H.; Ma, Z. Identifying neutrophil-associated subtypes in ulcerative colitis and confirming neutrophils promote colitis-associated colorectal cancer. Front. Immunol. 2023, 14, 1095098. [Google Scholar] [CrossRef]
- Sun, W.; Hang, L.; Chen, L.; Qu, Y.; Zhang, Y.; Miao, Z.; Wang, X. Fraxin ameliorates ulcerative colitis by modulating oxidative stress, inflammation and TLR4/NF-κB and MAPK signaling pathways. Altern. Ther. Health Med. 2024, 30, 117–125. [Google Scholar] [PubMed]
- Ozbeyli, D.; Sen, A.; Yenal, N.O.; Yavuz, A.N.H.; Turet, D.M.; Yuksel, M.; Senkardes, I.; Aykac, A. Thymus longicaulis subsp. chaubardii ethanolic extract ameliorates acetic acid–induced rat ulcerative colitis model by inhibiting oxidative sress, inflammation, and apoptosis. J. Food Biochem. 2025, 2025, 6245901. [Google Scholar] [CrossRef]
- Chen, B.; Dong, X.; Zhang, J.L.; Sun, X.; Zhou, L.; Zhao, K.; Deng, H.; Sun, Z. Natural compounds target programmed cell death (PCD) signaling mechanism to treat ulcerative colitis: A review. Front. Pharmacol. 2024, 15, 1333657. [Google Scholar] [CrossRef]
- Albalawi, G.A.; Albalawi, M.Z.; Alsubaie, K.T.; Albalawi, A.Z.; Elewa, M.A.F.; Hashem, K.S.; Al-Gayyar, M.M.H. Curative effects of crocin in ulcerative colitis via modulating apoptosis and inflammation. Int. Immunopharmacol. 2023, 118, 110138. [Google Scholar] [CrossRef]
- Sebastian, S.A.; Kaiwan, O.; Co, E.L.; Mehendale, M.; Mohan, B.P. Current pharmacologic options and emerging therapeutic approaches for the management of ulcerative colitis: A narrative review. Spartan Med. Res. J. 2024, 9, 123397. [Google Scholar] [CrossRef] [PubMed]
- AlAmeel, T.; AlMutairdi, A.; Al-Bawardy, B. Emerging therapies for ulcerative colitis: Updates from recent clinical trials. Clin. Exp. Gastroenterol. 2023, 16, 147–167. [Google Scholar] [CrossRef]
- Chen, Y.; Wang, P.; Zhang, Y.; Du, X.Y.; Zhang, Y.J. Comparison of effects of aminosalicylic acid, glucocorticoids and immunosuppressive agents on the expression of multidrug-resistant genes in ulcerative colitis. Sci. Rep. 2022, 12, 20656. [Google Scholar] [CrossRef] [PubMed]
- Badr, G.; Elsawy, H.; Amalki, M.A.; Alfwuaires, M.; El-Gerbed, M.S.; Abdel-Moneim, A.M. Protective effects of myristicin against ulcerative colitis induced by acetic acid in male mice. Food Agric. Immunol. 2020, 31, 435–446. [Google Scholar] [CrossRef]
- Serrano, J.C.E.; Castro-Boque, E.; Garcia-Carrasco, A.; Moran-Valero, M.I.; Gonzalez-Hedstrom, D.; Bermudez-Lopez, M.; Valdivielso, J.M.; Espinel, A.E.; Portero-Otin, M. Antihypertensive effects of an optimized aged garlic extract in subjects with grade I hypertension and antihypertensive drug therapy: A randomized, triple-blind controlled trial. Nutrients 2023, 15, 3691. [Google Scholar] [CrossRef]
- Farhat, Z.; Scheving, T.; Aga, D.S.; Hershberger, P.A.; Freudenheim, J.L.; Hageman Blair, R.; Mammen, M.J.; Mu, L. Antioxidant and antiproliferative activities of several garlic forms. Nutrients 2023, 15, 4099. [Google Scholar] [CrossRef]
- Pandey, P.; Khan, F.; Alshammari, N.; Saeed, A.; Aqil, F.; Saeed, M. Updates on the anticancer potential of garlic organosulfur compounds and their nanoformulations: Plant therapeutics in cancer management. Front. Pharmacol. 2023, 14, 1154034. [Google Scholar] [CrossRef] [PubMed]
- Furdak, P.; Bartosz, G.; Sadowska-Bartosz, I. Which constituents determine the antioxidant activity and cytotoxicity of garlic? Role of organosulfur compounds and phenolics. Int. J. Mol. Sci. 2024, 25, 8391. [Google Scholar] [CrossRef]
- Dong, Y.; Zhang, J.; Xie, A.; Yue, X.; Li, M.; Zhou, Q. Garlic peel extract as an antioxidant inhibits triple-negative breast tumor growth and angiogenesis by inhibiting cyclooxygenase-2 expression. Food Sci. Nutr. 2024, 12, 6886–6895. [Google Scholar] [CrossRef] [PubMed]
- Kotenkova, E.A.; Kupaeva, N.V. Comparative antioxidant study of onion and garlic waste and bulbs. IOP Conf. Ser. Earth Environ. Sci. 2019, 333, 012031. [Google Scholar] [CrossRef]
- Carreon-Delgado, D.F.; Hernandez-Montesinos, I.Y.; Rivera-Hernandez, K.N.; Del Sugeyrol Villa-Ramirez, M.; Ochoa-Velasco, C.E.; Ramirez-Lopez, C. Evaluation of pretreatments and extraction conditions on the antifungal and antioxidant effects of garlic (Allium sativum) peel extracts. Plants 2023, 12, 217. [Google Scholar] [CrossRef]
- Linoj, J.; Ramadoss, R.; Selvam, S.P.; Sundar, S.; Ramani, P.; Shanmugam, R.K. Anti inflammatory activity of aqueous extract of garlic peel. J. Popul. Ther. Clin. Pharmacol. 2023, 30, 454–458. [Google Scholar]
- Hernandez-Montesinos, I.Y.; Carreon-Delgado, D.F.; Lazo-Zamalloa, O.; Tapia-Lopez, L.; Rosas-Morales, M.; Ochoa-Velasco, C.E.; Hernandez-Carranza, P.; Cruz-Narvaez, Y.; Ramirez-Lopez, C. Exploring agro-industrial by-products: Phenolic content, antioxidant capacity, and phytochemical profiling via FI-ESI-FTICR-MS untargeted analysis. Antioxidants 2024, 13, 925. [Google Scholar] [CrossRef]
- Ichikawa, M.; Ryu, K.; Yoshida, J.; Ide, N.; Kodera, Y.; Sasaoka, T.; Rosen, R.T. Identification of six phenylpropanoids from garlic skin as major antioxidants. J. Agric. Food Chem. 2003, 51, 7313–7317. [Google Scholar] [CrossRef] [PubMed]
- dos Santos, P.C.M.; da Silva, L.M.R.; Magalhaes, F.E.A.; Cunha, F.E.T.; Ferreira, M.J.G.; de Figueiredo, E.A.T. Garlic (Allium sativum L.) peel extracts: From industrial by-product to food additive. Appl. Food Res. 2022, 2, 100186. [Google Scholar] [CrossRef]
- Swirkosz, G.; Szczygiel, A.; Logon, K.; Wrzesniewska, M.; Gomulka, K. The role of the microbiome in the pathogenesis and treatment of ulcerative colitis-A literature review. Biomedicines 2023, 11, 3144. [Google Scholar] [CrossRef]
- Gyriki, D.; Nikolaidis, C.; Stavropoulou, E.; Bezirtzoglou, I.; Tsigalou, C.; Vradelis, S.; Bezirtzoglou, E. Exploring the gut microbiome’s role in inflammatory bowel disease: Insights and interventions. J. Pers. Med. 2024, 14, 507. [Google Scholar] [CrossRef] [PubMed]
- Zhang, Y.; Wang, L.; Peng, L. The role of intestinal fungi in the pathogenesis and treatment of ulcerative colitis. Microorganisms 2025, 13, 794. [Google Scholar] [CrossRef] [PubMed]
- Azmat, F.; Imran, A.; Islam, F.; Afzaal, M.; Zahoor, T.; Akram, R.; Aggarwale, S.; Rehman, M.; Naaz, S.; Ashraf, S.; et al. Valorization of the phytochemical profile, nutritional composition, and therapeutic potentials of garlic peel: A concurrent review. Int. J. Food Prop. 2023, 26, 2642–2655. [Google Scholar] [CrossRef]
- Mounithaa, N.; Selvam, S.P.; Shanmugam, R.K.; Ramadoss, R.; Sundar, S.; Ramani, P. Preparation of garlic peel extract and its free radical scavenging activity. J. Popul. Ther. Clin. Pharmacol. 2023, 30, 405–410. [Google Scholar]
- Wu, C.Y.; Couto, E.S.A.; Citadin, C.T.; Clemons, G.A.; Acosta, C.H.; Knox, B.A.; Grames, M.S.; Rodgers, K.M.; Lee, R.H.; Lin, H.W. Palmitic acid methyl ester inhibits cardiac arrest-induced neuroinflammation and mitochondrial dysfunction. Prostaglandins Leukot. Essent. Fat. Acids 2021, 165, 102227. [Google Scholar] [CrossRef]
- Salinas-Nolasco, C.; Perez-Hernandez, E.; Garza, S.; Park, H.G.; Brenna, J.T.; Castaneda-Hernandez, G.; Reyes-Lopez, C.A.S.; Perez-Hernandez, N.; Chavez-Pina, A.E. Antioxidative action of alpha-linolenic acid during its gastroprotective effect in an indomethacin-induced gastric injury model. Prev. Nutr. Food Sci. 2025, 30, 132–140. [Google Scholar] [CrossRef]
- Anand, R.; Kaithwas, G. Anti-inflammatory potential of alpha-linolenic acid mediated through selective COX inhibition: Computational and experimental data. Inflammation 2014, 37, 1297–1306. [Google Scholar] [CrossRef]
- Shoge, M.; Amusan, T. Phytochemical, antidiarrhoeal activity, isolation and characterisation of 11-Octadecenoic acid, methyl ester isolated from the seeds of Acacia nilotica Linn. J. Biotechnol. Immunol. 2020, 2, 1–12. [Google Scholar]
- Youssef, A.M.M.; Maaty, D.A.M.; Al-Saraireh, Y.M. Phytochemical analysis and profiling of antioxidants and anticancer compounds from Tephrosia purpurea (L.) subsp. apollinea family Fabaceae. Molecules 2023, 28, 3939. [Google Scholar]
- Ibrahim, O.H.M.; Al-Qurashi, A.D.; Asiry, K.A.; Mousa, M.A.A.; Alhakamy, N.A.; Abo-Elyousr, K.A.M. Investigation of potential in vitro anticancer and antimicrobial activities of Balanites aegyptiaca (L.) delile fruit extract and its phytochemical components. Plants 2022, 11, 2621. [Google Scholar] [CrossRef]
- Pinto, M.E.A.; Araujo, S.G.; Morais, M.I.; Sa, N.P.; Lima, C.M.; Rosa, C.A.; Siqueira, E.P.; Johann, S.; Lima, L. Antifungal and antioxidant activity of fatty acid methyl esters from vegetable oils. An. Acad. Bras. Ciên. 2017, 89, 1671–1681. [Google Scholar] [CrossRef]
- Al-Ani, W.M.; Almahdawy, S.S. GC/MS analysis of the peels of Annona muricata L. Res. J. Pharm. Technol. 2022, 15, 3137–3140. [Google Scholar]
- Efiong, E.E.; Nwaedozie, J.M.; Ubhenin, A.E.; Kwon-Ndung, E.H. GC-MS characterization of unsweetened and sweetened “Kunun-zaki” beverage and pulp. Food Sci. J. 2020, 19, 25–39. [Google Scholar] [CrossRef]
- Ezeduru, V.; Shao, A.R.Q.; Venegas, F.A.; McKay, G.; Rich, J.; Nguyen, D.; Thibodeaux, C.J. Defining the functional properties of cyclopropane fatty acid synthase from Pseudomonas aeruginosa PAO1. J. Biol. Chem. 2024, 300, 107618. [Google Scholar] [CrossRef] [PubMed]
- Fafal, T.; Tüzün, B.S.; Kıvçak, B. Fatty acid compositions and antioxidant activities of Ranunculus isthmicus subsp. tenuifolius and Ranunculus rumelicus. Int. J. Nat. Sci. 2022, 6, 151–159. [Google Scholar]
- Matsunaga, H.; Hokari, R.; Kurihara, C.; Okada, Y.; Takebayashi, K.; Okudaira, K.; Watanabe, C.; Komoto, S.; Nakamura, M.; Tsuzuki, Y.; et al. Omega-3 polyunsaturated fatty acids ameliorate the severity of ileitis in the senescence accelerated mice (SAM)P1/Yit mice model. Clin. Exp. Immunol. 2009, 158, 325–333. [Google Scholar] [CrossRef] [PubMed]
- Heshmati, J.; Morvaridzadeh, M.; Maroufizadeh, S.; Akbari, A.; Yavari, M.; Amirinejad, A.; Maleki-Hajiagha, A.; Sepidarkish, M. Omega-3 fatty acids supplementation and oxidative stress parameters: A systematic review and meta-analysis of clinical trials. Pharmacol. Res. 2019, 149, 104462. [Google Scholar] [CrossRef]
- Banaszak, M.; Dobrzynska, M.; Kawka, A.; Gorna, I.; Wozniak, D.; Przyslawski, J.; Drzymala-Czyz, S. Role of Omega-3 fatty acids eicosapentaenoic (EPA) and docosahexaenoic (DHA) as modulatory and anti-inflammatory agents in noncommunicable diet-related diseases—Reports from the last 10 years. Clin. Nutr. ESPEN 2024, 63, 240–258. [Google Scholar] [CrossRef]
- Ariturk, L.A.; Cilingir, S.; Kolgazi, M.; Elmas, M.; Arbak, S.; Yapislar, H. Docosahexaenoic acid (DHA) alleviates inflammation and damage induced by experimental colitis. Eur. J. Nutr. 2024, 63, 2801–2813. [Google Scholar] [CrossRef]
- Kusumah, D.; Wakui, M.; Murakami, M.; Xie, X.; Yukihito, K.; Maeda, I. Linoleic acid, alpha-linolenic acid, and monolinolenins as antibacterial substances in the heat-processed soybean fermented with Rhizopus oligosporus. Biosci. Biotechnol. Biochem. 2020, 84, 1285–1290. [Google Scholar] [CrossRef]
- Parang, K.; Knaus, E.E.; Wiebe, L.I.; Sardari, S.; Daneshtalab, M.; Csizmadia, F. Synthesis and antifungal activities of myristic acid analogs. Arch. Pharm. 1996, 329, 475–482. [Google Scholar] [CrossRef]
- Sasatsuki, H.; Nakazaki, A.; Uchida, K.; Shibata, T. Quantitative analysis of oxidized vitamin B1 metabolites generated by hypochlorous acid. Free Radic. Biol. Med. 2020, 152, 197–206. [Google Scholar] [CrossRef] [PubMed]
- Bose, R.; Kumar, M.S.; Manivel, A.; Mohan, S.C. Chemical constituents of Sauropus androgynus and evaluation of its antioxidant activity. Res. J. Phytochem. 2018, 12, 7–13. [Google Scholar]
- Andriolo, I.R.L.; Venzon, L.; da Silva, L.M. Perspectives about ascorbic acid to treat inflammatory bowel diseases. Drug Res. 2024, 74, 149–155. [Google Scholar] [CrossRef]
- Liu, K.Y.; Nakatsu, C.H.; Jones-Hall, Y.; Kozik, A.; Jiang, Q. Vitamin E alpha- and gamma-tocopherol mitigate colitis, protect intestinal barrier function and modulate the gut microbiota in mice. Free Radic. Biol. Med. 2021, 163, 180–189. [Google Scholar] [CrossRef] [PubMed]
- Zhang, Y.; Jin, X.; Xia, H.; Wu, X.; Chen, W.; Zhuang, M.; Tang, S. β-sitosterol ameliorates ulcerative colitis through modulation of the AMPK/MLCK anti-inflammatory pathway. J. Biochem. Mol. Toxicol. 2025, 39, e70287. [Google Scholar] [CrossRef]
- Thakur, R.S.; Ahirwar, B. A steroidal derivative from Trigonella foenum graecum L. that induces apoptosis In Vitro and In Vivo. J. Food Drug Anal. 2019, 27, 231–239. [Google Scholar] [CrossRef]
- Elezabeth, V.D.; Arumugam, S. MS analysis of ethanol extract of Cyperus rotundus leaves. Int. J. Curr. Biotechnol. 2014, 2, 19–23. [Google Scholar]
- Sun, J.; Xue, P.; Liu, J.; Huang, L.; Lin, G.; Ran, K.; Yang, J.; Lu, C.; Zhao, Y.Z.; Xu, H.L. Self-cross-linked hydrogel of cysteamine-grafted γ-polyglutamic acid stabilized tripeptide KPV for alleviating TNBS-induced ulcerative colitis in rats. ACS Biomater. Sci. Eng. 2021, 7, 4859–4869. [Google Scholar] [CrossRef]
- Msegued Ayam, I.; Zinedine, A.; Lyagoubi, A.; Rocha, J.M.; Raoui, S.M.; Errachidi, F. Chemical composition, antioxidant, and antifungal activity of essential oil extracted from cumin seeds (Cuminum cyminum L.) planted in Morocco. Chem. Biodivers. 2025, e02687. [Google Scholar] [CrossRef]
- van Breemen, R.B.; Pajkovic, N. Multitargeted therapy of cancer by lycopene. Cancer Lett. 2008, 269, 339–351. [Google Scholar] [CrossRef] [PubMed]
- Costa-Perez, A.; Sanchez-Bravo, P.; Medina, S.; Dominguez-Perles, R.; Garcia-Viguera, C. Bioaccessible organosulfur compounds in broccoli stalks modulate the inflammatory mediators involved in inflammatory bowel disease. Int. J. Mol. Sci. 2024, 25, 800. [Google Scholar] [CrossRef]
- Fudman, D.I.; McConnell, R.A.; Ha, C.; Singh, S. Modern advanced therapies for inflammatory bowel diseases: Practical considerations and positioning. Clin. Gastroenterol. Hepatol. 2025, 23, 454–468. [Google Scholar] [CrossRef]
- Fansiwala, K.; Sauk, J.S. Small molecules, big results: How JAK inhibitors have transformed the treatment of patients with IBD. Dig. Dis. Sci. 2025, 70, 469–477. [Google Scholar] [CrossRef] [PubMed]
- Nagaraj, T.; Shinn, J.; De Felice, K. A practical guide to selecting and using new ulcerative colitis therapies. Curr. Opin. Gastroenterol. 2024, 40, 235–242. [Google Scholar] [CrossRef] [PubMed]
- Rahman, S.; Patel, R.K.; Boden, E.; Tsikitis, V.L. Medical management of inflammatory bowel disease. Surg. Clin. N. Am. 2024, 104, 657–671. [Google Scholar] [CrossRef]
- Mosaad, Y.O.; Ateyya, H.; Hussein, M.A.; Moro, A.M.; Abdel-Wahab, E.A.; El-Ella, A.A.; Nassar, Z.N. BAO-Ag-NPs as promising suppressor of ET-1/ICAM-1/VCAM-1 signaling pathway in ISO-induced AMI in rats. Curr. Pharm. Biotechnol. 2024, 25, 772–786. [Google Scholar] [CrossRef]
- Elwekeel, A.; Hassan, M.H.; Almutairi, E.; AlHammad, M.; Alwhbi, F.; Abdel-Bakky, M.S.; Amin, E.; Mohamed, E.I. Anti-inflammatory, anti-oxidant, GC-MS profiling and molecular docking analyses of non-polar extracts from five salsola species. Separations 2023, 10, 72. [Google Scholar] [CrossRef]
- Farooqi, S.S.; Naveed, S.; Qamar, F.; Sana, A.; Farooqi, S.H.; Sabir, N.; Mansoor, A.; Sadia, H. Phytochemical analysis, GC-MS characterization and antioxidant activity of Hordeum vulgare seed extracts. Heliyon 2024, 10, e27297. [Google Scholar] [CrossRef]
- Mazumder, K.; Nabila, A.; Aktar, A.; Farahnaky, A. Bioactive variability and in vitro and in vivo antioxidant activity of unprocessed and processed flour of nine cultivars of Australian lupin species: A comprehensive substantiation. Antioxidants 2020, 9, 282. [Google Scholar] [CrossRef]
- Smyth, M.; Lunken, G.; Jacobson, K. Insights into inflammatory bowel disease and effects of dietary fatty acid intake with a focus on polyunsaturated fatty acids using preclinical models. J. Can. Assoc. Gastroenterol. 2024, 7, 104–114. [Google Scholar] [CrossRef] [PubMed]
- Magisetty, J.; Gadiraju, B.; Kondreddy, V. Genomic analysis in the colon tissues of omega-3 fatty acid-treated rats identifies novel gene signatures implicated in ulcerative colitis. Int. J. Biol. Macromol. 2024, 258, 128867. [Google Scholar] [CrossRef] [PubMed]
- Calder, P.C. n-3 PUFA and inflammation: From membrane to nucleus and from bench to bedside. Proc. Nutr. Soc. 2020, 79, 404–416. [Google Scholar] [CrossRef]
- Zhao, H.; Li, T.; Li, C.; Xiong, Z.; Rong, W.; Cao, L.; Chen, G.; Liu, Q.; Liu, Y.; Wang, X.; et al. Vitamin C alleviates intestinal damage induced by 17α-methyltestosterone in Carassius auratus. Aquat. Toxicol. 2025, 280, 107266. [Google Scholar] [CrossRef]
- Zhu, R.; Liu, Z.; Lu, M.; Wu, X.; Zhao, X.; Wang, H.H.; Quan, Y.N.; Wu, L.F. The protective role of vitamin C on intestinal damage induced by high-dose glycinin in juvenile Rhynchocypris lagowskii Dybowski. Fish Shellfish Immunol. 2023, 134, 108589. [Google Scholar] [CrossRef]
- Ekeanyanwu, C.R.; Uzoma, T.C. Chemical characterization and anti-inflammatory activity of flavonoid fraction of garlic skin extract: A potential source of natural anti-inflammatory agents. J. Res. Complement. Med. 2025, 2, 43–58. [Google Scholar] [CrossRef]
- Kurumi, H.; Yokoyama, Y.; Hirano, T.; Akita, K.; Hayashi, Y.; Kazama, T.; Isomoto, H.; Nakase, H. Cytokine profile in predicting the effectiveness of advanced therapy for ulcerative colitis: A narrative review. Biomedicines 2024, 12, 952. [Google Scholar] [CrossRef]
- Vebr, M.; Pomahacova, R.; Sykora, J.; Schwarz, J. A narrative review of cytokine networks: Pathophysiological and therapeutic implications for inflammatory bowel disease pathogenesis. Biomedicines 2023, 11, 3229. [Google Scholar] [CrossRef] [PubMed]
- Lu, P.D.; Zhao, Y.H. Targeting NF-κB pathway for treating ulcerative colitis: Comprehensive regulatory characteristics of Chinese medicines. Chin. Med. 2020, 15, 15. [Google Scholar] [CrossRef]
- Yu, X.; Li, C.; Tao, Y.; Xia, T.; Jia, Z. Lacidipine inhibits NF-κB and Notch pathways and mitigates DSS-induced colitis. Dig. Dis. Sci. 2024, 69, 3753–3759. [Google Scholar] [CrossRef]
- Laurindo, L.F.; Santos, A.; Carvalho, A.C.A.; Bechara, M.D.; Guiguer, E.L.; Goulart, R.A.; Vargas Sinatora, R.; Araujo, A.C.; Barbalho, S.M. Phytochemicals and regulation of NF-kB in inflammatory bowel diseases: An overview of In Vitro and In Vivo effects. Metabolites 2023, 13, 96. [Google Scholar] [CrossRef] [PubMed]
- Mostafa, R.E.; Abdel-Rahman, R.F. Ezetimibe alleviates acetic acid-induced ulcerative colitis in rats: Targeting the Akt/NF-κB/STAT3/CXCL10 signaling axis. J. Pharm. Pharmacol. 2023, 75, 533–543. [Google Scholar] [CrossRef]
- Lokman, M.S.; Kassab, R.B.; Salem, F.A.M.; Elshopakey, G.E.; Hussein, A.; Aldarmahi, A.A.; Theyab, A.; Alzahrani, K.J.; Hassan, K.E.; Alsharif, K.F.; et al. Asiatic acid rescues intestinal tissue by suppressing molecular, biochemical, and histopathological changes associated with the development of ulcerative colitis. Biosci. Rep. 2024, 44, BSR20232004. [Google Scholar] [CrossRef] [PubMed]
- Branchett, W.J.; Saraiva, M.; O’Garra, A. Regulation of inflammation by Interleukin-10 in the intestinal and respiratory mucosa. Curr. Opin. Immunol. 2024, 91, 102495. [Google Scholar] [CrossRef]
- Nguyen, H.D.; Aljamaei, H.M.; Stadnyk, A.W. The production and function of endogenous interleukin-10 in intestinal epithelial cells and gut homeostasis. Cell Mol. Gastroenterol. Hepatol. 2021, 12, 1343–1352. [Google Scholar] [CrossRef]
- Wei, H.X.; Wang, B.; Li, B. IL-10 and IL-22 in mucosal immunity: Driving protection and pathology. Front. Immunol. 2020, 11, 1315. [Google Scholar] [CrossRef]
- Muro, P.; Zhang, L.; Li, S.; Zhao, Z.; Jin, T.; Mao, F.; Mao, Z. The emerging role of oxidative stress in inflammatory bowel disease. Front. Endocrinol. 2024, 15, 1390351. [Google Scholar] [CrossRef] [PubMed]
- Jawhara, S. How do polyphenol-rich foods prevent oxidative stress and maintain gut health? Microorganisms 2024, 12, 1570. [Google Scholar] [CrossRef]
- Wu, J.S.; Liu, H.J.; Han, S.J.; Mao, N.F.; Liu, X.F. Chelerythrine ameliorates acetic acid-induced ulcerative colitis via suppression of inflammation and oxidation. Nat. Prod. Commun. 2022, 17, 1–8. [Google Scholar] [CrossRef]
- Zheng, X.Y.; Lv, Y.F.; Li, S.; Li, Q.; Zhang, Q.N.; Zhang, X.T.; Hao, Z.M. Recombinant adeno-associated virus carrying thymosin β4 suppresses experimental colitis in mice. World J. Gastroenterol. 2017, 23, 242–255. [Google Scholar] [CrossRef]
- Subramanian, S.; Geng, H.; Tan, X.D. Cell death of intestinal epithelial cells in intestinal diseases. Sheng Li Xue Bao 2020, 72, 308–324. [Google Scholar] [PubMed]
- Wang, M.; Wang, Z.; Li, Z.; Qu, Y.; Zhao, J.; Wang, L.; Zhou, X.; Xu, Z.; Zhang, D.; Jiang, P.; et al. Targeting programmed cell death in inflammatory bowel disease through natural products: New insights from molecular mechanisms to targeted therapies. Phytother. Res. 2025, 39, 1776–1807. [Google Scholar] [CrossRef] [PubMed]
- Ghazavi, F.; Huysentruyt, J.; De Coninck, J.; Kourula, S.; Martens, S.; Hassannia, B.; Wartewig, T.; Divert, T.; Roelandt, R.; Popper, B.; et al. Executioner caspases 3 and 7 are dispensable for intestinal epithelium turnover and homeostasis at steady state. Proc. Natl. Acad. Sci. USA 2022, 119, e2024508119. [Google Scholar] [CrossRef] [PubMed]
- Tripathi, K.; Dong, J.; Mishkin, B.F.; Feuerstein, J.D. Patient preference and adherence to aminosalicylates for the treatment of ulcerative colitis. Clin. Exp. Gastroenterol. 2021, 14, 343–351. [Google Scholar] [CrossRef]
- Khan, H.M.; Mehmood, F.; Khan, N. Optimal management of steroid-dependent ulcerative colitis. Clin. Exp. Gastroenterol. 2015, 8, 293–302. [Google Scholar] [CrossRef]
- Zhdanava, M.; Zhao, R.; Manceur, A.M.; Ding, Z.; Boudreau, J.; Kachroo, S.; Kerner, C.; Izanec, J.; Pilon, D. Burden of chronic corticosteroid use among patients with ulcerative colitis initiated on targeted treatment or conventional therapy in the United States. J. Manag. Care Spec. Pharm. 2024, 30, 141–152. [Google Scholar] [CrossRef]
- Nguyen, G.C.; Harris, M.L.; Dassopoulos, T. Insights in immunomodulatory therapies for ulcerative colitis and Crohn’s disease. Curr. Gastroenterol. Rep. 2006, 8, 499–505. [Google Scholar] [CrossRef]
- Chhibba, T.; Ma, C. Is there room for immunomodulators in ulcerative colitis? Expert. Opin. Biol. Ther. 2020, 20, 379–390. [Google Scholar] [CrossRef]
- Bhattacharya, A.; Osterman, M.T. Biologic therapy for ulcerative colitis. Gastroenterol. Clin. N. Am. 2020, 49, 717–729. [Google Scholar] [CrossRef]
- Dutt, K.; Vasudevan, A. Therapeutic drug monitoring for biologic and small-molecule therapies for inflammatory bowel disease. Medicina 2024, 60, 250. [Google Scholar] [CrossRef]
- Harindranath, S. Tofacitinib in ulcerative colitis—Second-line therapy, first-rate results. Dig. Dis. Sci. 2024, 69, 3116–3118. [Google Scholar] [CrossRef] [PubMed]
- Caballero-Mateos, A.M.; Canadas-de la Fuente, G.A. Game changer: How Janus kinase inhibitors are reshaping the landscape of ulcerative colitis management. World J. Gastroenterol. 2024, 30, 3942–3953. [Google Scholar] [CrossRef] [PubMed]
- Müller, J.; Heindl, A. Drying of medicinal plants. In Medicinal and Aromatic Plants: Agricultural, Commercial, Ecological, Legal, Pharmacological and Social Aspects; Bogers, R.J., Craker, L.E., Lange, D., Eds.; Springer: Wageningen, The Netherlands, 2006; pp. 237–252. [Google Scholar]
- Lala, P.K. Lab Manuals of Pharmacognosy, 5th ed.; CSI Publishers and Distributors: Calcutta, India, 1993. [Google Scholar]
- Ichihara, K.; Fukubayashi, Y. Preparation of fatty acid methyl esters for gas-liquid chromatography. J. Lipid Res. 2010, 51, 635–640. [Google Scholar] [CrossRef] [PubMed]
- Ghasemi-Pirbaluti, M.; Motaghi, E.; Najafi, A.; Hosseini, M.J. The effect of theophylline on acetic acid induced ulcerative colitis in rats. Biomed. Pharmacother. 2017, 90, 153–159. [Google Scholar] [CrossRef]
- Yagi, K. Simple assay for the level of total lipid peroxides in serum or plasma. Methods Mol. Biol. 1998, 108, 101–106. [Google Scholar]






| Name of Detected Compound | RT (min) | MF | MW | A (%) | CAS # | Biological Role(s) |
|---|---|---|---|---|---|---|
| Fatty acid esters | ||||||
| Heptanoic acid, 6-oxo-,methyl ester | 6.51 | C8H14O3 | 158 | 1.91 | 2046-21-1 | Not reported |
| Palmitic acid, methyl ester | 25.60 | C17H34O2 | 270 | 5.26 | 112-39 -0 | Anti-inflammatory [35] |
| α-Linolenic acid, methyl ester, omega-3 | 28.66 | C19H32O2 | 292 | 9.58 | 7361-80-0 | Antioxidant; anti-inflammatory [36,37] |
| 11-Octadecenoic acid, methyl ester | 28.79 | C19H36O2 | 296 | 15.87 | 52380-33-3 | Antimicrobial; anti-inflammatory; antioxidant [38] |
| 10-Octadecenoic acid, methyl ester | 28.91 | C19H36O2 | 296 | 6.97 | 13481-95-3 | Antimicrobial; antioxidant [39] |
| 6,9-Octadecadiynoic acid, methyl ester | 29.10 | C19H30O2 | 290 | 1.02 | 56847-03-1 | Anticancer; antimicrobial [40] |
| Stearic acid, methyl ester | 29.35 | C19H38O2 | 298 | 7.55 | 112-61-8 | Antioxidant; antifungal [41] |
| Nonanoic acid, methyl ester | 29.58 | C10H20O2 | 172 | 6.18 | 1731-84-6 | Not reported |
| 4,7-Octadecadiynoic acid, methyl ester | 30.15 | C19H30O2 | 290 | 3.69 | 18202-20-5 | Contribution to antioxidant and cytotoxic activities [42] |
| 7,10-Octadecadienoic acid, methyl ester | 30.23 | C19H34O2 | 294 | 3.62 | 56554-24-6 | Might enhance immune function [43] |
| Stearic acid, 3-(octadecyloxy) propyl ester | 35.70 | C39H78O3 | 594 | 0.45 | 17367-40-7 | Not reported |
| Cyclopropanedodecanoic acid, 2-octyl-, methyl ester | 35.98 | C24H46O2 | 366 | 0.37 | 10152-65-5 | Antioxidant; anti-inflammatory; reduction in lipid peroxidation [44] |
| Fatty acids | ||||||
| Oleic acid (omega-9 fatty acid) | 4.04 | C18H34O2 | 282 | 0.62 | 112-80-1 | Antioxidant [45] |
| Eicosapentaenoic acid (fish omega-3) | 29.58 | C20H30O2 | 302 | 6.18 | 10417-94-4 | Anti-inflammatory; antioxidant [5,46,47,48] |
| Docosahexaenoic acid (omega 3) | 30.47 | C22H32O2 | 328 | 3.56 | NA | Anti-inflammatory; antioxidant [46,47,49] |
| Fatty acid derivatives | ||||||
| 6-Dodecanone (derived from lauric acid) | 6.41 | C12H18O | 178 | 3.23 | NA | Not reported |
| 2-Monolinolenin (derived from linolenic acid) | 24.65 | C27H52O4Si2 | 496 | 2.91 | 55521-23-8 | Antibacterial; antifungal [50] |
| 2-Bromotetradecanoic acid (derived from myristic acid) | 32.78 | C14H27BrO2 | 306 | 0.61 | 10520-81-7 | Antifungal [51] |
| Vitamins | ||||||
| Thiamine hydrochloride (vitamin B1) | 23.83 | C12H17ClN4OS | 338 | 0.32 | NA | Antioxidant [52] |
| L-Ascorbic acid 2,6-dihexadecanoate | 26.36 | C38H68O8 | 652 | 4.18 | 28474-90-0 | Antioxidant [53,54] |
| Tocopherol (Vitamin E) | 29.50 | C29H50O2 | 431 | 0.36 | NA | Mitigation of colitis [55] |
| Steroids | ||||||
| β-sitosterol | 11.20 | C29H50O | 415 | 3.18 | NA | Ameliorates colitis [56] |
| Ethyl iso-allocholate | 31.78 | C26H44O5 | 436 | 0.21 | 47676-48-2 | Anti-apoptotic [57] |
| Natural alcohols | ||||||
| Hexahydrofarnesol (sesquiterpene alcohol) | 9.92 | C15H32O | 228 | 0.33 | 6750-34-1 | Not reported |
| 1-Heptatriacotanol (fatty alcohol) | 30.01 | C37H76O | 536 | 2.39 | 105794-58-9 | Antimicrobial [58] |
| Organosulfur compounds | ||||||
| Ethanimidothioic acid (derived from sulfur amino acid) | 4.64 | C7H13N3O3S | 219 | 1.21 | 23135-22-0 | Not reported |
| Cysteamine sulphonic acid | 11.18 | C2H7NO3S2 | 157 | 1.43 | 2937-53-3 | Supporting mucosal healing in colitis [59] |
| Fatty aldehydes | ||||||
| 11-Octadecenal | 4.12 | C18H34O | 266 | 0.28 | 56554-95-1 | Not reported |
| Butanedial | 4.81 | C4H6O2 | 86 | 0.18 | 638-37 -9 | Not reported |
| 3,5-Heptadienal, 2-ethylidene-6-methyl | 11.6 | C10H14O | 150 | 2.05 | 99172-18-6 | Antioxidant; antifungal [60] |
| Carotenoids | ||||||
| ψ,ψ-Carotene | 30.99 | C42H64O2 | 600 | 2.43 | 13833-01-7 | Antioxidant [61] |
| Sugars | ||||||
| Melezitose | 9.81 | C18H32O16 | 504 | 0.65 | 597-12-6 | Not reported |
| Arabinitol | 36.51 | C15H22O10 | 362 | 0.34 | 26674-23-7 | |
| Glucosinolates | ||||||
| Glucobrassicin | 20.38 | C16H20N2O9S2 | 448 | 0.8 | 4356-52-9 | Modulation of inflammatory mediators in IBD [62] |
| Therapeutic Agent | Key Mechanisms and Benefits | Main Limitations | Comparative Advantages of GPE | Reference(s) |
|---|---|---|---|---|
| GPE | Multimodal: antioxidant, anti-inflammatory (↓TNF-α), anti-apoptotic (↓caspase-3); localized delivery | Requires further clinical validation | Targeted action; minimal systemic effects; suitable for chronic use | Our study |
| Aminosalicylates (5-ASA) | Topical anti-inflammatory (epithelial COX/LOX inhibition) | No antioxidant/anti-apoptotic activity | Broader cytoprotection beyond inflammation control | [94] |
| Corticosteroids (CSs) | Systemic immunosuppression (↓NF-κB/cytokines) | Severe metabolic effects; contraindicated for maintenance | Safer long-term profile without steroidogenic effects | [95,96] |
| Immunomodulators (IMMs) | Cytotoxic lymphocyte suppression | Infection/malignancy risks | Non-cytotoxic immune regulation via natural pathways | [97] |
| Biologics (Anti-TNF) | Neutralize TNF-α, effective for moderate-to-severe UC | Immunogenicity; high cost | Natural TNF-α downregulation with lower immunogenicity | [99,100] |
| JAK Inhibitors | Block intracellular cytokine signaling (JAK/STAT pathway) | Thromboembolic risk; pan-cytokine inhibition | Selective anti-inflammatory action without broad immunosuppression | [101,102] |
Disclaimer/Publisher’s Note: The statements, opinions and data contained in all publications are solely those of the individual author(s) and contributor(s) and not of MDPI and/or the editor(s). MDPI and/or the editor(s) disclaim responsibility for any injury to people or property resulting from any ideas, methods, instructions or products referred to in the content. |
© 2025 by the authors. Licensee MDPI, Basel, Switzerland. This article is an open access article distributed under the terms and conditions of the Creative Commons Attribution (CC BY) license (https://creativecommons.org/licenses/by/4.0/).
Share and Cite
Althumairy, D.A.; Abu-Khudir, R.; Alandanoosi, A.I.; Badr, G.M. Garlic Peel-Derived Phytochemicals Using GC-MS: Antioxidant, Anti-Inflammatory, and Anti-Apoptotic Effects in Ulcerative Colitis Rat Model. Pharmaceuticals 2025, 18, 969. https://doi.org/10.3390/ph18070969
Althumairy DA, Abu-Khudir R, Alandanoosi AI, Badr GM. Garlic Peel-Derived Phytochemicals Using GC-MS: Antioxidant, Anti-Inflammatory, and Anti-Apoptotic Effects in Ulcerative Colitis Rat Model. Pharmaceuticals. 2025; 18(7):969. https://doi.org/10.3390/ph18070969
Chicago/Turabian StyleAlthumairy, Duaa A., Rasha Abu-Khudir, Afnan I. Alandanoosi, and Gehan M. Badr. 2025. "Garlic Peel-Derived Phytochemicals Using GC-MS: Antioxidant, Anti-Inflammatory, and Anti-Apoptotic Effects in Ulcerative Colitis Rat Model" Pharmaceuticals 18, no. 7: 969. https://doi.org/10.3390/ph18070969
APA StyleAlthumairy, D. A., Abu-Khudir, R., Alandanoosi, A. I., & Badr, G. M. (2025). Garlic Peel-Derived Phytochemicals Using GC-MS: Antioxidant, Anti-Inflammatory, and Anti-Apoptotic Effects in Ulcerative Colitis Rat Model. Pharmaceuticals, 18(7), 969. https://doi.org/10.3390/ph18070969

